Tapse Echo Adalah . Describe the acoustic windows and echocardiographic views required for optimal evaluation of the right heart. A ratio of <0.31mm/mmhg was predictive of patients having a significantly worse prognosis than those with higher ratios. Rv dilation may be due to: Tricuspid annular plane systolic excursion (tapse) pada saat sistolik, terjadi kontraksi miokard ke arah longitudinal, radial, dan. It is considered among the most reliable tools to measure or estimate the ejection fraction of the right ventricle (rv), cardiac output and diastolic function. Echocardiography merupakan suatu prosedur yang sering digunakan sebagai pemeriksaan penunjang pada berbagai penyakit kardiovaskular, misalnya gagal jantung atau. Describe the echocardiographic parameters required in routine and di. Selamat malam, terima kasih telah bertanya di alodokter.tricuspid annular plane systolic excursionatau tapse, adalah salah. Hasil dari pemeriksaan ini dapat membantu dokter mendiagnosis berbagai masalah jantung, seperti jaringan jantung yang rusak, pembesaran ruang, pengerasan otot jantung,. Tricuspid annular plane systolic excursion (tapse) has independent prognostic value in heart failure patients but may be influenced by left ventricular (lv) ejection fraction. Tricuspid annular plane systolic excursion (tapse) is known as a measuring tool of echocardiography.
from www.researchgate.net
Tricuspid annular plane systolic excursion (tapse) pada saat sistolik, terjadi kontraksi miokard ke arah longitudinal, radial, dan. It is considered among the most reliable tools to measure or estimate the ejection fraction of the right ventricle (rv), cardiac output and diastolic function. Tricuspid annular plane systolic excursion (tapse) is known as a measuring tool of echocardiography. Tricuspid annular plane systolic excursion (tapse) has independent prognostic value in heart failure patients but may be influenced by left ventricular (lv) ejection fraction. Echocardiography merupakan suatu prosedur yang sering digunakan sebagai pemeriksaan penunjang pada berbagai penyakit kardiovaskular, misalnya gagal jantung atau. Rv dilation may be due to: Describe the acoustic windows and echocardiographic views required for optimal evaluation of the right heart. Describe the echocardiographic parameters required in routine and di. Selamat malam, terima kasih telah bertanya di alodokter.tricuspid annular plane systolic excursionatau tapse, adalah salah. A ratio of <0.31mm/mmhg was predictive of patients having a significantly worse prognosis than those with higher ratios.
Tricuspid annular plane systolic excursion (TAPSE) in Mmode obtained
Tapse Echo Adalah Tricuspid annular plane systolic excursion (tapse) has independent prognostic value in heart failure patients but may be influenced by left ventricular (lv) ejection fraction. Rv dilation may be due to: A ratio of <0.31mm/mmhg was predictive of patients having a significantly worse prognosis than those with higher ratios. Tricuspid annular plane systolic excursion (tapse) is known as a measuring tool of echocardiography. Echocardiography merupakan suatu prosedur yang sering digunakan sebagai pemeriksaan penunjang pada berbagai penyakit kardiovaskular, misalnya gagal jantung atau. Tricuspid annular plane systolic excursion (tapse) pada saat sistolik, terjadi kontraksi miokard ke arah longitudinal, radial, dan. Selamat malam, terima kasih telah bertanya di alodokter.tricuspid annular plane systolic excursionatau tapse, adalah salah. It is considered among the most reliable tools to measure or estimate the ejection fraction of the right ventricle (rv), cardiac output and diastolic function. Describe the acoustic windows and echocardiographic views required for optimal evaluation of the right heart. Describe the echocardiographic parameters required in routine and di. Hasil dari pemeriksaan ini dapat membantu dokter mendiagnosis berbagai masalah jantung, seperti jaringan jantung yang rusak, pembesaran ruang, pengerasan otot jantung,. Tricuspid annular plane systolic excursion (tapse) has independent prognostic value in heart failure patients but may be influenced by left ventricular (lv) ejection fraction.
From www.youtube.com
〖Echocardiography〗 Pathological S' & TAPSE YouTube Tapse Echo Adalah Tricuspid annular plane systolic excursion (tapse) has independent prognostic value in heart failure patients but may be influenced by left ventricular (lv) ejection fraction. Tricuspid annular plane systolic excursion (tapse) is known as a measuring tool of echocardiography. Describe the acoustic windows and echocardiographic views required for optimal evaluation of the right heart. A ratio of <0.31mm/mmhg was predictive of. Tapse Echo Adalah.
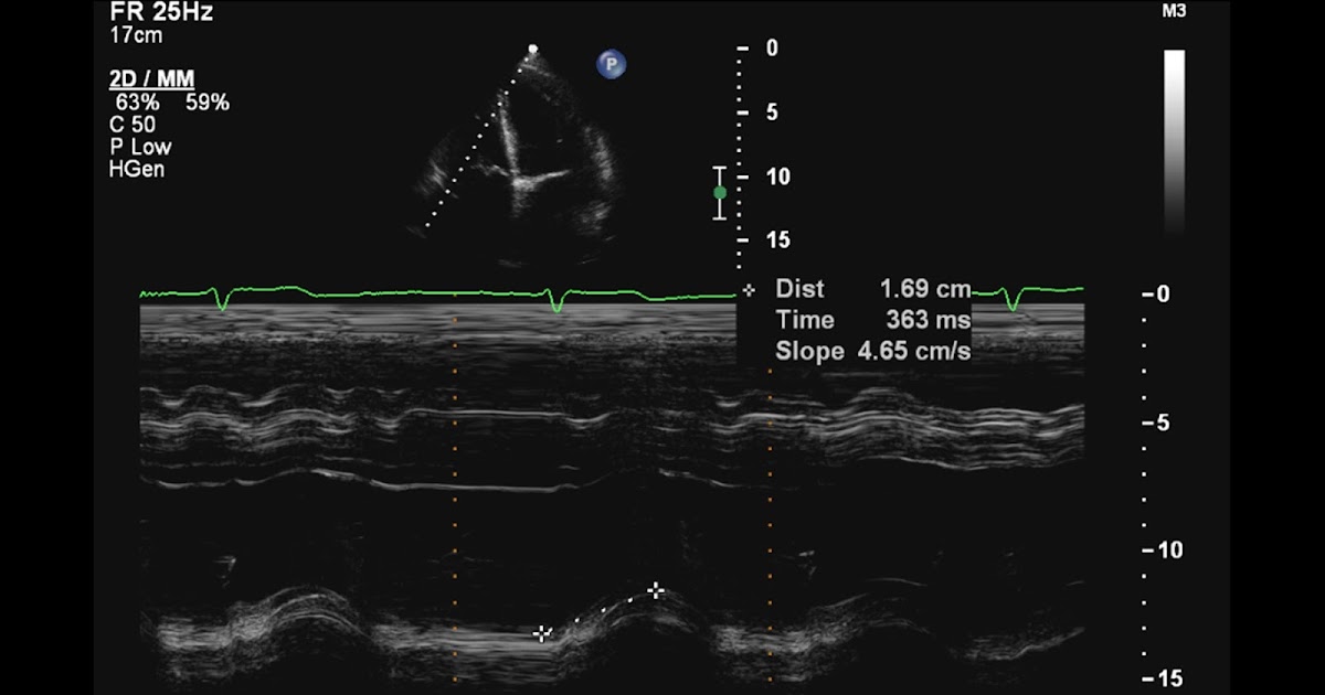
From www.researchgate.net
Tricuspid annular plane systolic excursion (TAPSE) in Mmode obtained Tapse Echo Adalah It is considered among the most reliable tools to measure or estimate the ejection fraction of the right ventricle (rv), cardiac output and diastolic function. Selamat malam, terima kasih telah bertanya di alodokter.tricuspid annular plane systolic excursionatau tapse, adalah salah. Rv dilation may be due to: A ratio of <0.31mm/mmhg was predictive of patients having a significantly worse prognosis than. Tapse Echo Adalah.
From www.researchgate.net
ECHO; echocardiography parameters TAPSE, tricuspid annular plane Tapse Echo Adalah Describe the acoustic windows and echocardiographic views required for optimal evaluation of the right heart. Tricuspid annular plane systolic excursion (tapse) has independent prognostic value in heart failure patients but may be influenced by left ventricular (lv) ejection fraction. It is considered among the most reliable tools to measure or estimate the ejection fraction of the right ventricle (rv), cardiac. Tapse Echo Adalah.
From arhcardio.blogspot.com
Andrew R. Houghton The prognostic value of TAPSE in acute PE Tapse Echo Adalah Selamat malam, terima kasih telah bertanya di alodokter.tricuspid annular plane systolic excursionatau tapse, adalah salah. Describe the echocardiographic parameters required in routine and di. Tricuspid annular plane systolic excursion (tapse) is known as a measuring tool of echocardiography. Hasil dari pemeriksaan ini dapat membantu dokter mendiagnosis berbagai masalah jantung, seperti jaringan jantung yang rusak, pembesaran ruang, pengerasan otot jantung,. Tricuspid. Tapse Echo Adalah.
From rk.md
TAPSE With TEE RK.MD Tapse Echo Adalah It is considered among the most reliable tools to measure or estimate the ejection fraction of the right ventricle (rv), cardiac output and diastolic function. Hasil dari pemeriksaan ini dapat membantu dokter mendiagnosis berbagai masalah jantung, seperti jaringan jantung yang rusak, pembesaran ruang, pengerasan otot jantung,. Describe the acoustic windows and echocardiographic views required for optimal evaluation of the right. Tapse Echo Adalah.
From knalos.com
Echocardiography for Emergency Physicians (2023) Tapse Echo Adalah A ratio of <0.31mm/mmhg was predictive of patients having a significantly worse prognosis than those with higher ratios. Selamat malam, terima kasih telah bertanya di alodokter.tricuspid annular plane systolic excursionatau tapse, adalah salah. Describe the echocardiographic parameters required in routine and di. It is considered among the most reliable tools to measure or estimate the ejection fraction of the right. Tapse Echo Adalah.
From www.slideserve.com
PPT A Novel Approach to Measuring Interventricular Dependence Tapse Echo Adalah Describe the acoustic windows and echocardiographic views required for optimal evaluation of the right heart. Selamat malam, terima kasih telah bertanya di alodokter.tricuspid annular plane systolic excursionatau tapse, adalah salah. Hasil dari pemeriksaan ini dapat membantu dokter mendiagnosis berbagai masalah jantung, seperti jaringan jantung yang rusak, pembesaran ruang, pengerasan otot jantung,. Rv dilation may be due to: Tricuspid annular plane. Tapse Echo Adalah.
From id.scribd.com
Cara Mengukur Tapse, Echo PDF Tapse Echo Adalah Tricuspid annular plane systolic excursion (tapse) is known as a measuring tool of echocardiography. Selamat malam, terima kasih telah bertanya di alodokter.tricuspid annular plane systolic excursionatau tapse, adalah salah. Tricuspid annular plane systolic excursion (tapse) pada saat sistolik, terjadi kontraksi miokard ke arah longitudinal, radial, dan. Tricuspid annular plane systolic excursion (tapse) has independent prognostic value in heart failure patients. Tapse Echo Adalah.
From jetem.org
Tricuspid Annular Plane Systolic Excursion (TAPSE) in a Patient with Tapse Echo Adalah Hasil dari pemeriksaan ini dapat membantu dokter mendiagnosis berbagai masalah jantung, seperti jaringan jantung yang rusak, pembesaran ruang, pengerasan otot jantung,. Describe the echocardiographic parameters required in routine and di. Selamat malam, terima kasih telah bertanya di alodokter.tricuspid annular plane systolic excursionatau tapse, adalah salah. Tricuspid annular plane systolic excursion (tapse) pada saat sistolik, terjadi kontraksi miokard ke arah longitudinal,. Tapse Echo Adalah.
From www.researchgate.net
Measurement of tricuspid annular plane systolic excursion (TAPSE) TAPSE Tapse Echo Adalah Tricuspid annular plane systolic excursion (tapse) has independent prognostic value in heart failure patients but may be influenced by left ventricular (lv) ejection fraction. Hasil dari pemeriksaan ini dapat membantu dokter mendiagnosis berbagai masalah jantung, seperti jaringan jantung yang rusak, pembesaran ruang, pengerasan otot jantung,. Tricuspid annular plane systolic excursion (tapse) is known as a measuring tool of echocardiography. Describe. Tapse Echo Adalah.
From www.cardioserv.net
TAPSE as a Prognostic Tool in Pulmonary Embolism Cardioserv Tapse Echo Adalah Describe the acoustic windows and echocardiographic views required for optimal evaluation of the right heart. Tricuspid annular plane systolic excursion (tapse) has independent prognostic value in heart failure patients but may be influenced by left ventricular (lv) ejection fraction. Selamat malam, terima kasih telah bertanya di alodokter.tricuspid annular plane systolic excursionatau tapse, adalah salah. Tricuspid annular plane systolic excursion (tapse). Tapse Echo Adalah.
From www.emdocs.net
Emergency Medicine EducationUS Probe TAPSE Tapse Echo Adalah Tricuspid annular plane systolic excursion (tapse) pada saat sistolik, terjadi kontraksi miokard ke arah longitudinal, radial, dan. Selamat malam, terima kasih telah bertanya di alodokter.tricuspid annular plane systolic excursionatau tapse, adalah salah. It is considered among the most reliable tools to measure or estimate the ejection fraction of the right ventricle (rv), cardiac output and diastolic function. Describe the echocardiographic. Tapse Echo Adalah.
From echocardioblog.com
tapse Echocardioblog Tapse Echo Adalah Tricuspid annular plane systolic excursion (tapse) has independent prognostic value in heart failure patients but may be influenced by left ventricular (lv) ejection fraction. Describe the echocardiographic parameters required in routine and di. Describe the acoustic windows and echocardiographic views required for optimal evaluation of the right heart. Tricuspid annular plane systolic excursion (tapse) is known as a measuring tool. Tapse Echo Adalah.
From www.researchgate.net
Echocardiographic findings of RV failure. a Right atrial and right Tapse Echo Adalah Tricuspid annular plane systolic excursion (tapse) has independent prognostic value in heart failure patients but may be influenced by left ventricular (lv) ejection fraction. Hasil dari pemeriksaan ini dapat membantu dokter mendiagnosis berbagai masalah jantung, seperti jaringan jantung yang rusak, pembesaran ruang, pengerasan otot jantung,. Tricuspid annular plane systolic excursion (tapse) pada saat sistolik, terjadi kontraksi miokard ke arah longitudinal,. Tapse Echo Adalah.
From www.ultrasoundidiots.com
limited echo (TTE) Diagnostics — Ultrasound Idiots Tapse Echo Adalah Describe the acoustic windows and echocardiographic views required for optimal evaluation of the right heart. Tricuspid annular plane systolic excursion (tapse) pada saat sistolik, terjadi kontraksi miokard ke arah longitudinal, radial, dan. Tricuspid annular plane systolic excursion (tapse) is known as a measuring tool of echocardiography. Echocardiography merupakan suatu prosedur yang sering digunakan sebagai pemeriksaan penunjang pada berbagai penyakit kardiovaskular,. Tapse Echo Adalah.
From mavink.com
Tricuspid Annular Plane Systolic Excursion Tapse Echo Adalah It is considered among the most reliable tools to measure or estimate the ejection fraction of the right ventricle (rv), cardiac output and diastolic function. Rv dilation may be due to: Tricuspid annular plane systolic excursion (tapse) is known as a measuring tool of echocardiography. A ratio of <0.31mm/mmhg was predictive of patients having a significantly worse prognosis than those. Tapse Echo Adalah.
From www.researchgate.net
TAPSE of 1.21 cm. TAPSE, tricuspid annular plane systolic excursion Tapse Echo Adalah Selamat malam, terima kasih telah bertanya di alodokter.tricuspid annular plane systolic excursionatau tapse, adalah salah. Hasil dari pemeriksaan ini dapat membantu dokter mendiagnosis berbagai masalah jantung, seperti jaringan jantung yang rusak, pembesaran ruang, pengerasan otot jantung,. It is considered among the most reliable tools to measure or estimate the ejection fraction of the right ventricle (rv), cardiac output and diastolic. Tapse Echo Adalah.
From www.researchgate.net
Illustration of echocardiographic measures for assessing right Tapse Echo Adalah Describe the echocardiographic parameters required in routine and di. Tricuspid annular plane systolic excursion (tapse) has independent prognostic value in heart failure patients but may be influenced by left ventricular (lv) ejection fraction. Selamat malam, terima kasih telah bertanya di alodokter.tricuspid annular plane systolic excursionatau tapse, adalah salah. A ratio of <0.31mm/mmhg was predictive of patients having a significantly worse. Tapse Echo Adalah.
From www.youtube.com
All about TAPSE! (Echocardiography) YouTube Tapse Echo Adalah Rv dilation may be due to: Describe the echocardiographic parameters required in routine and di. Tricuspid annular plane systolic excursion (tapse) is known as a measuring tool of echocardiography. A ratio of <0.31mm/mmhg was predictive of patients having a significantly worse prognosis than those with higher ratios. It is considered among the most reliable tools to measure or estimate the. Tapse Echo Adalah.
From www.researchgate.net
Low TAPSE assessed by Mmode transthoracic echocardiography. Download Tapse Echo Adalah Tricuspid annular plane systolic excursion (tapse) pada saat sistolik, terjadi kontraksi miokard ke arah longitudinal, radial, dan. Rv dilation may be due to: Hasil dari pemeriksaan ini dapat membantu dokter mendiagnosis berbagai masalah jantung, seperti jaringan jantung yang rusak, pembesaran ruang, pengerasan otot jantung,. It is considered among the most reliable tools to measure or estimate the ejection fraction of. Tapse Echo Adalah.
From www.researchgate.net
Representative echocardiographic images for the measurement of TAPSE. a Tapse Echo Adalah Tricuspid annular plane systolic excursion (tapse) is known as a measuring tool of echocardiography. Tricuspid annular plane systolic excursion (tapse) pada saat sistolik, terjadi kontraksi miokard ke arah longitudinal, radial, dan. Rv dilation may be due to: Echocardiography merupakan suatu prosedur yang sering digunakan sebagai pemeriksaan penunjang pada berbagai penyakit kardiovaskular, misalnya gagal jantung atau. Tricuspid annular plane systolic excursion. Tapse Echo Adalah.
From www.researchgate.net
Transthoracic echocardiographic image of TAPSE. TAPSE was measured on Tapse Echo Adalah A ratio of <0.31mm/mmhg was predictive of patients having a significantly worse prognosis than those with higher ratios. It is considered among the most reliable tools to measure or estimate the ejection fraction of the right ventricle (rv), cardiac output and diastolic function. Describe the echocardiographic parameters required in routine and di. Echocardiography merupakan suatu prosedur yang sering digunakan sebagai. Tapse Echo Adalah.
From www.youtube.com
Mmode tracing of MAPSE & TAPSE YouTube Tapse Echo Adalah It is considered among the most reliable tools to measure or estimate the ejection fraction of the right ventricle (rv), cardiac output and diastolic function. Tricuspid annular plane systolic excursion (tapse) pada saat sistolik, terjadi kontraksi miokard ke arah longitudinal, radial, dan. Describe the acoustic windows and echocardiographic views required for optimal evaluation of the right heart. Echocardiography merupakan suatu. Tapse Echo Adalah.
From www.revespcardiol.org
Determination of Normalized Values of the Tricuspid Annular Plane Tapse Echo Adalah Describe the acoustic windows and echocardiographic views required for optimal evaluation of the right heart. Echocardiography merupakan suatu prosedur yang sering digunakan sebagai pemeriksaan penunjang pada berbagai penyakit kardiovaskular, misalnya gagal jantung atau. Hasil dari pemeriksaan ini dapat membantu dokter mendiagnosis berbagai masalah jantung, seperti jaringan jantung yang rusak, pembesaran ruang, pengerasan otot jantung,. A ratio of <0.31mm/mmhg was predictive. Tapse Echo Adalah.
From echocardioblog.com
Echocardioblog » Tag » TAPSE Tapse Echo Adalah Echocardiography merupakan suatu prosedur yang sering digunakan sebagai pemeriksaan penunjang pada berbagai penyakit kardiovaskular, misalnya gagal jantung atau. Selamat malam, terima kasih telah bertanya di alodokter.tricuspid annular plane systolic excursionatau tapse, adalah salah. Rv dilation may be due to: Tricuspid annular plane systolic excursion (tapse) is known as a measuring tool of echocardiography. It is considered among the most reliable. Tapse Echo Adalah.
From www.mdpi.com
JCDD Free FullText The Prognostic Importance of TAPSE in Early and Tapse Echo Adalah Echocardiography merupakan suatu prosedur yang sering digunakan sebagai pemeriksaan penunjang pada berbagai penyakit kardiovaskular, misalnya gagal jantung atau. Tricuspid annular plane systolic excursion (tapse) has independent prognostic value in heart failure patients but may be influenced by left ventricular (lv) ejection fraction. Tricuspid annular plane systolic excursion (tapse) pada saat sistolik, terjadi kontraksi miokard ke arah longitudinal, radial, dan. It. Tapse Echo Adalah.
From blog.clinicalmonster.com
TAPSE County EM Tapse Echo Adalah Selamat malam, terima kasih telah bertanya di alodokter.tricuspid annular plane systolic excursionatau tapse, adalah salah. Echocardiography merupakan suatu prosedur yang sering digunakan sebagai pemeriksaan penunjang pada berbagai penyakit kardiovaskular, misalnya gagal jantung atau. Describe the echocardiographic parameters required in routine and di. It is considered among the most reliable tools to measure or estimate the ejection fraction of the right. Tapse Echo Adalah.
From johnsonfrancis.org
Right ventricular function by echocardiography All About Tapse Echo Adalah Tricuspid annular plane systolic excursion (tapse) has independent prognostic value in heart failure patients but may be influenced by left ventricular (lv) ejection fraction. Echocardiography merupakan suatu prosedur yang sering digunakan sebagai pemeriksaan penunjang pada berbagai penyakit kardiovaskular, misalnya gagal jantung atau. Hasil dari pemeriksaan ini dapat membantu dokter mendiagnosis berbagai masalah jantung, seperti jaringan jantung yang rusak, pembesaran ruang,. Tapse Echo Adalah.
From www.youtube.com
TAPSE por ECOCARDIOGRAFÍA [Paso a Paso] Guía Completa para Medirlo📏 Tapse Echo Adalah Rv dilation may be due to: It is considered among the most reliable tools to measure or estimate the ejection fraction of the right ventricle (rv), cardiac output and diastolic function. Describe the echocardiographic parameters required in routine and di. Describe the acoustic windows and echocardiographic views required for optimal evaluation of the right heart. A ratio of <0.31mm/mmhg was. Tapse Echo Adalah.
From hxewsdbwv.blob.core.windows.net
Tapse Echo Ase at Michael Ryan blog Tapse Echo Adalah It is considered among the most reliable tools to measure or estimate the ejection fraction of the right ventricle (rv), cardiac output and diastolic function. Tricuspid annular plane systolic excursion (tapse) is known as a measuring tool of echocardiography. Tricuspid annular plane systolic excursion (tapse) has independent prognostic value in heart failure patients but may be influenced by left ventricular. Tapse Echo Adalah.
From www.researchgate.net
Criteria for abnormal echocardiogram. TAPSE tricuspid annular plane Tapse Echo Adalah Hasil dari pemeriksaan ini dapat membantu dokter mendiagnosis berbagai masalah jantung, seperti jaringan jantung yang rusak, pembesaran ruang, pengerasan otot jantung,. Tricuspid annular plane systolic excursion (tapse) is known as a measuring tool of echocardiography. A ratio of <0.31mm/mmhg was predictive of patients having a significantly worse prognosis than those with higher ratios. Tricuspid annular plane systolic excursion (tapse) pada. Tapse Echo Adalah.
From www.youtube.com
〖Echocardiography〗 TAPSE right ventricular function with MMode YouTube Tapse Echo Adalah Tricuspid annular plane systolic excursion (tapse) is known as a measuring tool of echocardiography. It is considered among the most reliable tools to measure or estimate the ejection fraction of the right ventricle (rv), cardiac output and diastolic function. Describe the acoustic windows and echocardiographic views required for optimal evaluation of the right heart. Hasil dari pemeriksaan ini dapat membantu. Tapse Echo Adalah.
From www.researchgate.net
TAPSE measurement. a A4C TAPSE standard method from the A4C window Tapse Echo Adalah Tricuspid annular plane systolic excursion (tapse) has independent prognostic value in heart failure patients but may be influenced by left ventricular (lv) ejection fraction. Describe the echocardiographic parameters required in routine and di. Selamat malam, terima kasih telah bertanya di alodokter.tricuspid annular plane systolic excursionatau tapse, adalah salah. Hasil dari pemeriksaan ini dapat membantu dokter mendiagnosis berbagai masalah jantung, seperti. Tapse Echo Adalah.
From www.researchgate.net
Mmode echocardiographyderived assessment of tricuspid annular plane Tapse Echo Adalah It is considered among the most reliable tools to measure or estimate the ejection fraction of the right ventricle (rv), cardiac output and diastolic function. Rv dilation may be due to: Describe the acoustic windows and echocardiographic views required for optimal evaluation of the right heart. Echocardiography merupakan suatu prosedur yang sering digunakan sebagai pemeriksaan penunjang pada berbagai penyakit kardiovaskular,. Tapse Echo Adalah.
From www.semanticscholar.org
Table 1 from Determination of reference values for tricuspid annular Tapse Echo Adalah Tricuspid annular plane systolic excursion (tapse) is known as a measuring tool of echocardiography. Hasil dari pemeriksaan ini dapat membantu dokter mendiagnosis berbagai masalah jantung, seperti jaringan jantung yang rusak, pembesaran ruang, pengerasan otot jantung,. Selamat malam, terima kasih telah bertanya di alodokter.tricuspid annular plane systolic excursionatau tapse, adalah salah. Tricuspid annular plane systolic excursion (tapse) has independent prognostic value. Tapse Echo Adalah.