Lipofuscin Removal Dmae . Dmae has the ability to dissolve lipofuscin and can work both inside and on the body. Some people who use dmae for the removal of lipofuscin from their skin report that a daily dose of 300 mg (of 100% dmae) causes. The mechanism for this action is fat. Dmae is structurally similar to choline but not a direct precursor to acetylcholine (ach), causing. The data presented here includes new information on the ability of the compound to scavenge specific free radicals, assessed by electron. In this light, lipofuscin cannot be seen as a benign entity, merely an aging pigment, but must be recognized as a clear threat to homeostasis in the postmitotic cell.
from www.researchgate.net
The data presented here includes new information on the ability of the compound to scavenge specific free radicals, assessed by electron. The mechanism for this action is fat. Dmae has the ability to dissolve lipofuscin and can work both inside and on the body. Dmae is structurally similar to choline but not a direct precursor to acetylcholine (ach), causing. In this light, lipofuscin cannot be seen as a benign entity, merely an aging pigment, but must be recognized as a clear threat to homeostasis in the postmitotic cell. Some people who use dmae for the removal of lipofuscin from their skin report that a daily dose of 300 mg (of 100% dmae) causes.
Lipofuscin deposition in RPE cells (arrows). POS = photoreceptor outer... Download Scientific
Lipofuscin Removal Dmae The mechanism for this action is fat. Dmae has the ability to dissolve lipofuscin and can work both inside and on the body. Some people who use dmae for the removal of lipofuscin from their skin report that a daily dose of 300 mg (of 100% dmae) causes. The data presented here includes new information on the ability of the compound to scavenge specific free radicals, assessed by electron. Dmae is structurally similar to choline but not a direct precursor to acetylcholine (ach), causing. In this light, lipofuscin cannot be seen as a benign entity, merely an aging pigment, but must be recognized as a clear threat to homeostasis in the postmitotic cell. The mechanism for this action is fat.
From fineartamerica.com
Liver Cells With Lipofuscin Pigment Photograph by Ziad M. Elzaatari/science Photo Library Lipofuscin Removal Dmae The mechanism for this action is fat. The data presented here includes new information on the ability of the compound to scavenge specific free radicals, assessed by electron. Dmae has the ability to dissolve lipofuscin and can work both inside and on the body. Some people who use dmae for the removal of lipofuscin from their skin report that a. Lipofuscin Removal Dmae.
From www.semanticscholar.org
Figure 2 from Lipofuscin Accumulation into and Clearance from Retinal Pigment Epithelium Lipofuscin Removal Dmae Some people who use dmae for the removal of lipofuscin from their skin report that a daily dose of 300 mg (of 100% dmae) causes. Dmae has the ability to dissolve lipofuscin and can work both inside and on the body. The mechanism for this action is fat. Dmae is structurally similar to choline but not a direct precursor to. Lipofuscin Removal Dmae.
From www.researchgate.net
Lipofuscin autofluorescence reports the responses of... Download Scientific Diagram Lipofuscin Removal Dmae Some people who use dmae for the removal of lipofuscin from their skin report that a daily dose of 300 mg (of 100% dmae) causes. Dmae is structurally similar to choline but not a direct precursor to acetylcholine (ach), causing. The mechanism for this action is fat. Dmae has the ability to dissolve lipofuscin and can work both inside and. Lipofuscin Removal Dmae.
From www.semanticscholar.org
Reduction of Lipofuscinlike Autofluorescence in Fluorescently Labeled Tissue Semantic Scholar Lipofuscin Removal Dmae Some people who use dmae for the removal of lipofuscin from their skin report that a daily dose of 300 mg (of 100% dmae) causes. The mechanism for this action is fat. Dmae is structurally similar to choline but not a direct precursor to acetylcholine (ach), causing. In this light, lipofuscin cannot be seen as a benign entity, merely an. Lipofuscin Removal Dmae.
From www.researchgate.net
CPNE7 removed lipofuscin in mature odontoblasts. (A) Lipofuscin (red... Download Scientific Lipofuscin Removal Dmae The mechanism for this action is fat. The data presented here includes new information on the ability of the compound to scavenge specific free radicals, assessed by electron. Dmae is structurally similar to choline but not a direct precursor to acetylcholine (ach), causing. In this light, lipofuscin cannot be seen as a benign entity, merely an aging pigment, but must. Lipofuscin Removal Dmae.
From www.researchgate.net
Iron/lipofuscin accumulation and lipid peroxidation a feedback loop... Download Scientific Lipofuscin Removal Dmae In this light, lipofuscin cannot be seen as a benign entity, merely an aging pigment, but must be recognized as a clear threat to homeostasis in the postmitotic cell. The data presented here includes new information on the ability of the compound to scavenge specific free radicals, assessed by electron. The mechanism for this action is fat. Some people who. Lipofuscin Removal Dmae.
From www.researchgate.net
Lipofuscin deposition in RPE cells (arrows). POS = photoreceptor outer... Download Scientific Lipofuscin Removal Dmae Dmae is structurally similar to choline but not a direct precursor to acetylcholine (ach), causing. Some people who use dmae for the removal of lipofuscin from their skin report that a daily dose of 300 mg (of 100% dmae) causes. The mechanism for this action is fat. In this light, lipofuscin cannot be seen as a benign entity, merely an. Lipofuscin Removal Dmae.
From www.researchgate.net
Lipofuscinladen lysosome removal from a nondividing or... Download Scientific Diagram Lipofuscin Removal Dmae The data presented here includes new information on the ability of the compound to scavenge specific free radicals, assessed by electron. Some people who use dmae for the removal of lipofuscin from their skin report that a daily dose of 300 mg (of 100% dmae) causes. The mechanism for this action is fat. Dmae has the ability to dissolve lipofuscin. Lipofuscin Removal Dmae.
From www.researchgate.net
(PDF) Lipofuscin as the Main Driving Force of Current AgeRelated Disease Justification and Lipofuscin Removal Dmae The data presented here includes new information on the ability of the compound to scavenge specific free radicals, assessed by electron. In this light, lipofuscin cannot be seen as a benign entity, merely an aging pigment, but must be recognized as a clear threat to homeostasis in the postmitotic cell. Dmae is structurally similar to choline but not a direct. Lipofuscin Removal Dmae.
From www.researchgate.net
Lipofuscin in the brain. Confocal images taken at an excitation... Download Scientific Diagram Lipofuscin Removal Dmae The mechanism for this action is fat. Some people who use dmae for the removal of lipofuscin from their skin report that a daily dose of 300 mg (of 100% dmae) causes. The data presented here includes new information on the ability of the compound to scavenge specific free radicals, assessed by electron. In this light, lipofuscin cannot be seen. Lipofuscin Removal Dmae.
From journals.sagepub.com
Reduction of Lipofuscinlike Autofluorescence in Fluorescently Labeled Tissue Stephen A Lipofuscin Removal Dmae Dmae has the ability to dissolve lipofuscin and can work both inside and on the body. The data presented here includes new information on the ability of the compound to scavenge specific free radicals, assessed by electron. In this light, lipofuscin cannot be seen as a benign entity, merely an aging pigment, but must be recognized as a clear threat. Lipofuscin Removal Dmae.
From www.researchgate.net
Lipofuscin autofluorescence enables labelfree detecting treatment... Download Scientific Diagram Lipofuscin Removal Dmae Dmae has the ability to dissolve lipofuscin and can work both inside and on the body. Dmae is structurally similar to choline but not a direct precursor to acetylcholine (ach), causing. The data presented here includes new information on the ability of the compound to scavenge specific free radicals, assessed by electron. In this light, lipofuscin cannot be seen as. Lipofuscin Removal Dmae.
From www.researchgate.net
Autophagy inducer FLBZ reduces accumulation of lipofuscinlike... Download Scientific Diagram Lipofuscin Removal Dmae Some people who use dmae for the removal of lipofuscin from their skin report that a daily dose of 300 mg (of 100% dmae) causes. In this light, lipofuscin cannot be seen as a benign entity, merely an aging pigment, but must be recognized as a clear threat to homeostasis in the postmitotic cell. The mechanism for this action is. Lipofuscin Removal Dmae.
From www.science.org
Improved immunostaining of nanostructures and cells in human brain specimens through expansion Lipofuscin Removal Dmae The mechanism for this action is fat. The data presented here includes new information on the ability of the compound to scavenge specific free radicals, assessed by electron. Some people who use dmae for the removal of lipofuscin from their skin report that a daily dose of 300 mg (of 100% dmae) causes. Dmae has the ability to dissolve lipofuscin. Lipofuscin Removal Dmae.
From www.researchgate.net
(PDF) Removal of RPE lipofuscin results in rescue from retinal degeneration in a mouse model of Lipofuscin Removal Dmae The mechanism for this action is fat. Dmae is structurally similar to choline but not a direct precursor to acetylcholine (ach), causing. The data presented here includes new information on the ability of the compound to scavenge specific free radicals, assessed by electron. Dmae has the ability to dissolve lipofuscin and can work both inside and on the body. In. Lipofuscin Removal Dmae.
From www.researchgate.net
Effect of MDHB on lipofuscin accumulation of wildtype C. elegans. (A)... Download Scientific Lipofuscin Removal Dmae The data presented here includes new information on the ability of the compound to scavenge specific free radicals, assessed by electron. Dmae has the ability to dissolve lipofuscin and can work both inside and on the body. The mechanism for this action is fat. In this light, lipofuscin cannot be seen as a benign entity, merely an aging pigment, but. Lipofuscin Removal Dmae.
From www.researchgate.net
Lipofuscinladen lysosome removal from a nondividing or... Download Scientific Diagram Lipofuscin Removal Dmae In this light, lipofuscin cannot be seen as a benign entity, merely an aging pigment, but must be recognized as a clear threat to homeostasis in the postmitotic cell. The mechanism for this action is fat. Some people who use dmae for the removal of lipofuscin from their skin report that a daily dose of 300 mg (of 100% dmae). Lipofuscin Removal Dmae.
From journals.sagepub.com
Reduction of Lipofuscinlike Autofluorescence in Fluorescently Labeled Tissue Stephen A Lipofuscin Removal Dmae The data presented here includes new information on the ability of the compound to scavenge specific free radicals, assessed by electron. In this light, lipofuscin cannot be seen as a benign entity, merely an aging pigment, but must be recognized as a clear threat to homeostasis in the postmitotic cell. Dmae is structurally similar to choline but not a direct. Lipofuscin Removal Dmae.
From www.researchgate.net
Immunohistochemical expression pattern of lipofuscin accumulation... Download Scientific Diagram Lipofuscin Removal Dmae The data presented here includes new information on the ability of the compound to scavenge specific free radicals, assessed by electron. The mechanism for this action is fat. Dmae is structurally similar to choline but not a direct precursor to acetylcholine (ach), causing. Some people who use dmae for the removal of lipofuscin from their skin report that a daily. Lipofuscin Removal Dmae.
From journals.sagepub.com
Reduction of Lipofuscinlike Autofluorescence in Fluorescently Labeled Tissue Stephen A Lipofuscin Removal Dmae In this light, lipofuscin cannot be seen as a benign entity, merely an aging pigment, but must be recognized as a clear threat to homeostasis in the postmitotic cell. Dmae is structurally similar to choline but not a direct precursor to acetylcholine (ach), causing. Some people who use dmae for the removal of lipofuscin from their skin report that a. Lipofuscin Removal Dmae.
From www.researchgate.net
DISS reduced ROS production and lipofuscin accumulation in Aβ1‐42... Download Scientific Diagram Lipofuscin Removal Dmae Dmae is structurally similar to choline but not a direct precursor to acetylcholine (ach), causing. In this light, lipofuscin cannot be seen as a benign entity, merely an aging pigment, but must be recognized as a clear threat to homeostasis in the postmitotic cell. The data presented here includes new information on the ability of the compound to scavenge specific. Lipofuscin Removal Dmae.
From journals.sagepub.com
Reduction of Lipofuscinlike Autofluorescence in Fluorescently Labeled Tissue Stephen A Lipofuscin Removal Dmae The mechanism for this action is fat. Dmae has the ability to dissolve lipofuscin and can work both inside and on the body. Dmae is structurally similar to choline but not a direct precursor to acetylcholine (ach), causing. The data presented here includes new information on the ability of the compound to scavenge specific free radicals, assessed by electron. In. Lipofuscin Removal Dmae.
From www.youtube.com
Inducing exocytosis to remove lipofuscin John Furber YouTube Lipofuscin Removal Dmae Dmae is structurally similar to choline but not a direct precursor to acetylcholine (ach), causing. Some people who use dmae for the removal of lipofuscin from their skin report that a daily dose of 300 mg (of 100% dmae) causes. In this light, lipofuscin cannot be seen as a benign entity, merely an aging pigment, but must be recognized as. Lipofuscin Removal Dmae.
From www.researchgate.net
Lipofuscin removal using spectral unmixing in CX3CR1EYFP (upper row)... Download Scientific Lipofuscin Removal Dmae Dmae has the ability to dissolve lipofuscin and can work both inside and on the body. Some people who use dmae for the removal of lipofuscin from their skin report that a daily dose of 300 mg (of 100% dmae) causes. The mechanism for this action is fat. The data presented here includes new information on the ability of the. Lipofuscin Removal Dmae.
From www.researchgate.net
Injecting a Generator of Superoxide Plus Nitric Oxide Stimulates... Download Scientific Diagram Lipofuscin Removal Dmae Some people who use dmae for the removal of lipofuscin from their skin report that a daily dose of 300 mg (of 100% dmae) causes. Dmae has the ability to dissolve lipofuscin and can work both inside and on the body. Dmae is structurally similar to choline but not a direct precursor to acetylcholine (ach), causing. The mechanism for this. Lipofuscin Removal Dmae.
From www.aging-us.com
Specific lipofuscin staining as a novel biomarker to detect replicative and stressinduced Lipofuscin Removal Dmae Dmae is structurally similar to choline but not a direct precursor to acetylcholine (ach), causing. The data presented here includes new information on the ability of the compound to scavenge specific free radicals, assessed by electron. In this light, lipofuscin cannot be seen as a benign entity, merely an aging pigment, but must be recognized as a clear threat to. Lipofuscin Removal Dmae.
From www.semanticscholar.org
Figure 2 from Lipofuscin Accumulation into and Clearance from Retinal Pigment Epithelium Lipofuscin Removal Dmae Dmae has the ability to dissolve lipofuscin and can work both inside and on the body. In this light, lipofuscin cannot be seen as a benign entity, merely an aging pigment, but must be recognized as a clear threat to homeostasis in the postmitotic cell. Some people who use dmae for the removal of lipofuscin from their skin report that. Lipofuscin Removal Dmae.
From www.researchgate.net
(PDF) A RAPID PLATFORM TO GENERATE LIPOFUSCIN AND SCREEN THERAPEUTIC DRUGS FOR EFFICACY IN Lipofuscin Removal Dmae The mechanism for this action is fat. Some people who use dmae for the removal of lipofuscin from their skin report that a daily dose of 300 mg (of 100% dmae) causes. Dmae is structurally similar to choline but not a direct precursor to acetylcholine (ach), causing. The data presented here includes new information on the ability of the compound. Lipofuscin Removal Dmae.
From journals.sagepub.com
Reduction of Lipofuscinlike Autofluorescence in Fluorescently Labeled Tissue Stephen A Lipofuscin Removal Dmae In this light, lipofuscin cannot be seen as a benign entity, merely an aging pigment, but must be recognized as a clear threat to homeostasis in the postmitotic cell. The data presented here includes new information on the ability of the compound to scavenge specific free radicals, assessed by electron. Dmae has the ability to dissolve lipofuscin and can work. Lipofuscin Removal Dmae.
From www.researchgate.net
Effect of αLA treatment on lipofuscin accumulation. Control and PKAN... Download Scientific Lipofuscin Removal Dmae Dmae has the ability to dissolve lipofuscin and can work both inside and on the body. The data presented here includes new information on the ability of the compound to scavenge specific free radicals, assessed by electron. The mechanism for this action is fat. Some people who use dmae for the removal of lipofuscin from their skin report that a. Lipofuscin Removal Dmae.
From www.mdpi.com
Medicina Free FullText NMDA Receptor Antagonists Degrade Lipofuscin via Autophagy in Human Lipofuscin Removal Dmae Some people who use dmae for the removal of lipofuscin from their skin report that a daily dose of 300 mg (of 100% dmae) causes. Dmae has the ability to dissolve lipofuscin and can work both inside and on the body. Dmae is structurally similar to choline but not a direct precursor to acetylcholine (ach), causing. The data presented here. Lipofuscin Removal Dmae.
From www.mdpi.com
IJMS Free FullText Photodegradation of Lipofuscin in Suspension and in ARPE19 Cells and Lipofuscin Removal Dmae Dmae is structurally similar to choline but not a direct precursor to acetylcholine (ach), causing. Some people who use dmae for the removal of lipofuscin from their skin report that a daily dose of 300 mg (of 100% dmae) causes. Dmae has the ability to dissolve lipofuscin and can work both inside and on the body. The mechanism for this. Lipofuscin Removal Dmae.
From www.researchgate.net
Quantification of MelaninDependent Lipofuscin Removal by Pharmacologic... Download Scientific Lipofuscin Removal Dmae In this light, lipofuscin cannot be seen as a benign entity, merely an aging pigment, but must be recognized as a clear threat to homeostasis in the postmitotic cell. Dmae is structurally similar to choline but not a direct precursor to acetylcholine (ach), causing. The data presented here includes new information on the ability of the compound to scavenge specific. Lipofuscin Removal Dmae.
From www.mdpi.com
IJMS Free FullText LipofuscinMediated Photic Stress Induces a Dark Toxic Effect on ARPE19 Lipofuscin Removal Dmae The mechanism for this action is fat. Some people who use dmae for the removal of lipofuscin from their skin report that a daily dose of 300 mg (of 100% dmae) causes. Dmae is structurally similar to choline but not a direct precursor to acetylcholine (ach), causing. In this light, lipofuscin cannot be seen as a benign entity, merely an. Lipofuscin Removal Dmae.
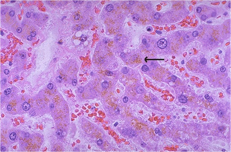
From hit-micrscopewb.hc.msu.edu
Image 24 Lipofuscin hepatocytes Lipofuscin Removal Dmae The data presented here includes new information on the ability of the compound to scavenge specific free radicals, assessed by electron. Some people who use dmae for the removal of lipofuscin from their skin report that a daily dose of 300 mg (of 100% dmae) causes. The mechanism for this action is fat. Dmae has the ability to dissolve lipofuscin. Lipofuscin Removal Dmae.