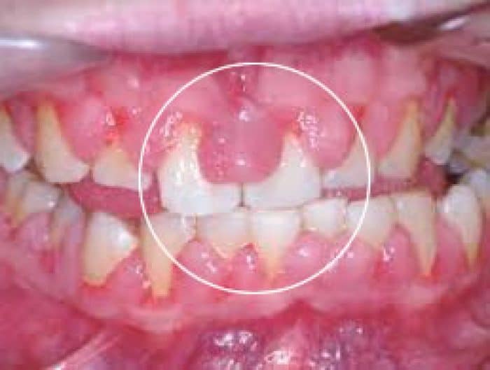
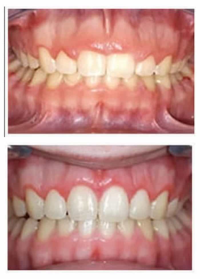
Gingivectomia Que Es . ¿qué es la gingivectomía estética? la gingivectomía es una cirugía que se realiza para eliminar o reducir una bolsa periodontal, el espacio entre la encía y el diente. ¿qué es la gingivectomía estética? La gingivectomía estética es un procedimiento odontológico que implica la. En este artículo se explica qué es, cuándo se hace, cómo se realiza y cómo es el postoperatorio de la gingivectomía. la gingivectomía es una cirugía que reduce el tamaño de la encía que rodea el diente, mejorando la salud y el aspecto de la sonrisa. La gingivectomía es un sencillo. la gingivectomía es una cirugía dental que elimina el exceso de encía, y se indica en casos de sonrisa gingival, pericoronaritis. En periodontium encontrarás especialistas en esta técnica y otras de estética dental. la gingivectomía es una cirugía que elimina el exceso de tejido de las encías, normalmente por la periodontitis o la hiperplasia gingival. Se indica para casos de sonrisa gingival, bolsas periodontales, hiperplasia gingival o fibrosis de la encía. la gingivectomía es una cirugía que elimina el tejido gingival dañado por enfermedad periodontal, bolsas, erupción dental pasiva o alteración del crecimiento maxilar.
from dental-smile.mx
la gingivectomía es una cirugía dental que elimina el exceso de encía, y se indica en casos de sonrisa gingival, pericoronaritis. En periodontium encontrarás especialistas en esta técnica y otras de estética dental. La gingivectomía estética es un procedimiento odontológico que implica la. Se indica para casos de sonrisa gingival, bolsas periodontales, hiperplasia gingival o fibrosis de la encía. la gingivectomía es una cirugía que reduce el tamaño de la encía que rodea el diente, mejorando la salud y el aspecto de la sonrisa. la gingivectomía es una cirugía que se realiza para eliminar o reducir una bolsa periodontal, el espacio entre la encía y el diente. la gingivectomía es una cirugía que elimina el tejido gingival dañado por enfermedad periodontal, bolsas, erupción dental pasiva o alteración del crecimiento maxilar. ¿qué es la gingivectomía estética? ¿qué es la gingivectomía estética? En este artículo se explica qué es, cuándo se hace, cómo se realiza y cómo es el postoperatorio de la gingivectomía.
Gingivoplastía y Gingivectomía Clínica Dental Smile Clínica Dental
Gingivectomia Que Es En periodontium encontrarás especialistas en esta técnica y otras de estética dental. La gingivectomía estética es un procedimiento odontológico que implica la. ¿qué es la gingivectomía estética? la gingivectomía es una cirugía que reduce el tamaño de la encía que rodea el diente, mejorando la salud y el aspecto de la sonrisa. la gingivectomía es una cirugía que elimina el exceso de tejido de las encías, normalmente por la periodontitis o la hiperplasia gingival. la gingivectomía es una cirugía dental que elimina el exceso de encía, y se indica en casos de sonrisa gingival, pericoronaritis. la gingivectomía es una cirugía que se realiza para eliminar o reducir una bolsa periodontal, el espacio entre la encía y el diente. Se indica para casos de sonrisa gingival, bolsas periodontales, hiperplasia gingival o fibrosis de la encía. la gingivectomía es una cirugía que elimina el tejido gingival dañado por enfermedad periodontal, bolsas, erupción dental pasiva o alteración del crecimiento maxilar. ¿qué es la gingivectomía estética? La gingivectomía es un sencillo. En periodontium encontrarás especialistas en esta técnica y otras de estética dental. En este artículo se explica qué es, cuándo se hace, cómo se realiza y cómo es el postoperatorio de la gingivectomía.
From www.frescdental.com
TODO LO QUE DEBES SABER SOBRE LA GINGIVECTOMÍA Frescdental Gingivectomia Que Es la gingivectomía es una cirugía que se realiza para eliminar o reducir una bolsa periodontal, el espacio entre la encía y el diente. En este artículo se explica qué es, cuándo se hace, cómo se realiza y cómo es el postoperatorio de la gingivectomía. Se indica para casos de sonrisa gingival, bolsas periodontales, hiperplasia gingival o fibrosis de la. Gingivectomia Que Es.
From dental-smile.mx
Gingivoplastía y Gingivectomía Clínica Dental Smile Clínica Dental Gingivectomia Que Es la gingivectomía es una cirugía que elimina el tejido gingival dañado por enfermedad periodontal, bolsas, erupción dental pasiva o alteración del crecimiento maxilar. ¿qué es la gingivectomía estética? la gingivectomía es una cirugía que reduce el tamaño de la encía que rodea el diente, mejorando la salud y el aspecto de la sonrisa. ¿qué es la. Gingivectomia Que Es.
From dobleese.es
Gingivectomía qué es y cómo se hace【Resultados】 Dobleese Gingivectomia Que Es la gingivectomía es una cirugía que elimina el exceso de tejido de las encías, normalmente por la periodontitis o la hiperplasia gingival. Se indica para casos de sonrisa gingival, bolsas periodontales, hiperplasia gingival o fibrosis de la encía. la gingivectomía es una cirugía que se realiza para eliminar o reducir una bolsa periodontal, el espacio entre la encía. Gingivectomia Que Es.
From www.asiri.com.ec
Gingivectomía Estética o Gingivoplastia Gingivectomia Que Es la gingivectomía es una cirugía dental que elimina el exceso de encía, y se indica en casos de sonrisa gingival, pericoronaritis. la gingivectomía es una cirugía que elimina el exceso de tejido de las encías, normalmente por la periodontitis o la hiperplasia gingival. Se indica para casos de sonrisa gingival, bolsas periodontales, hiperplasia gingival o fibrosis de la. Gingivectomia Que Es.
From www.clinicalorenzo.com
Gingivectomía solución rápida a la sonrisa gingival C.Lorenzo Gingivectomia Que Es la gingivectomía es una cirugía que se realiza para eliminar o reducir una bolsa periodontal, el espacio entre la encía y el diente. la gingivectomía es una cirugía que elimina el exceso de tejido de las encías, normalmente por la periodontitis o la hiperplasia gingival. La gingivectomía es un sencillo. ¿qué es la gingivectomía estética? la. Gingivectomia Que Es.
From velezylozano.com
¿Qué es una gingivectomía y para qué sirve? Periodoncia Murcia Gingivectomia Que Es la gingivectomía es una cirugía que elimina el exceso de tejido de las encías, normalmente por la periodontitis o la hiperplasia gingival. ¿qué es la gingivectomía estética? la gingivectomía es una cirugía dental que elimina el exceso de encía, y se indica en casos de sonrisa gingival, pericoronaritis. La gingivectomía es un sencillo. En periodontium encontrarás especialistas. Gingivectomia Que Es.
From artdenta.es
Gingivectomia, ¿Qué es? Técnicas, diagnóstico Clínica Dental en Gingivectomia Que Es La gingivectomía estética es un procedimiento odontológico que implica la. la gingivectomía es una cirugía que se realiza para eliminar o reducir una bolsa periodontal, el espacio entre la encía y el diente. la gingivectomía es una cirugía que elimina el tejido gingival dañado por enfermedad periodontal, bolsas, erupción dental pasiva o alteración del crecimiento maxilar. En periodontium. Gingivectomia Que Es.
From www.clinicafriedlander.com
Qué es la gingivectomía y cómo se hace Clínica Friedländer Gingivectomia Que Es La gingivectomía es un sencillo. la gingivectomía es una cirugía que se realiza para eliminar o reducir una bolsa periodontal, el espacio entre la encía y el diente. En este artículo se explica qué es, cuándo se hace, cómo se realiza y cómo es el postoperatorio de la gingivectomía. la gingivectomía es una cirugía que elimina el tejido. Gingivectomia Que Es.
From www.clinicapeydro.es
Gingivectomía y Gingivoplastia Clinica Peydro Gingivectomia Que Es La gingivectomía estética es un procedimiento odontológico que implica la. En este artículo se explica qué es, cuándo se hace, cómo se realiza y cómo es el postoperatorio de la gingivectomía. En periodontium encontrarás especialistas en esta técnica y otras de estética dental. ¿qué es la gingivectomía estética? la gingivectomía es una cirugía que elimina el tejido gingival. Gingivectomia Que Es.
From aybdental.es
¿Qué es la gingivectomía? Gingivectomia Que Es Se indica para casos de sonrisa gingival, bolsas periodontales, hiperplasia gingival o fibrosis de la encía. La gingivectomía estética es un procedimiento odontológico que implica la. ¿qué es la gingivectomía estética? la gingivectomía es una cirugía dental que elimina el exceso de encía, y se indica en casos de sonrisa gingival, pericoronaritis. la gingivectomía es una cirugía. Gingivectomia Que Es.
From idim.es
¿Gingivectomía o alargamiento coronario? todo lo que debes saber Gingivectomia Que Es En periodontium encontrarás especialistas en esta técnica y otras de estética dental. ¿qué es la gingivectomía estética? ¿qué es la gingivectomía estética? La gingivectomía estética es un procedimiento odontológico que implica la. la gingivectomía es una cirugía dental que elimina el exceso de encía, y se indica en casos de sonrisa gingival, pericoronaritis. Se indica para casos. Gingivectomia Que Es.
From clinicablaymonzo.es
Gingivectomia Gingivoplastia Clínica Dental Blay Monzo Gingivectomia Que Es La gingivectomía es un sencillo. la gingivectomía es una cirugía que se realiza para eliminar o reducir una bolsa periodontal, el espacio entre la encía y el diente. La gingivectomía estética es un procedimiento odontológico que implica la. la gingivectomía es una cirugía que reduce el tamaño de la encía que rodea el diente, mejorando la salud y. Gingivectomia Que Es.
From www.propdental.es
¿Qué es la gingivectomía y para que sirve este tratamiento? Gingivectomia Que Es Se indica para casos de sonrisa gingival, bolsas periodontales, hiperplasia gingival o fibrosis de la encía. En periodontium encontrarás especialistas en esta técnica y otras de estética dental. En este artículo se explica qué es, cuándo se hace, cómo se realiza y cómo es el postoperatorio de la gingivectomía. La gingivectomía es un sencillo. la gingivectomía es una cirugía. Gingivectomia Que Es.
From artdenta.es
Gingivectomia, ¿Qué es? Técnicas, diagnóstico Clínica Dental en Gingivectomia Que Es la gingivectomía es una cirugía que reduce el tamaño de la encía que rodea el diente, mejorando la salud y el aspecto de la sonrisa. En este artículo se explica qué es, cuándo se hace, cómo se realiza y cómo es el postoperatorio de la gingivectomía. la gingivectomía es una cirugía que elimina el exceso de tejido de. Gingivectomia Que Es.
From clinicasinnovaciondental.com
Gingivectomía qué es y en qué casos debe realizarse Gingivectomia Que Es La gingivectomía estética es un procedimiento odontológico que implica la. la gingivectomía es una cirugía que elimina el exceso de tejido de las encías, normalmente por la periodontitis o la hiperplasia gingival. ¿qué es la gingivectomía estética? En este artículo se explica qué es, cuándo se hace, cómo se realiza y cómo es el postoperatorio de la gingivectomía.. Gingivectomia Que Es.
From odae.com.mx
Gingivectomía ODAE Clínica Dental Gingivectomia Que Es la gingivectomía es una cirugía dental que elimina el exceso de encía, y se indica en casos de sonrisa gingival, pericoronaritis. ¿qué es la gingivectomía estética? En periodontium encontrarás especialistas en esta técnica y otras de estética dental. la gingivectomía es una cirugía que elimina el tejido gingival dañado por enfermedad periodontal, bolsas, erupción dental pasiva o. Gingivectomia Que Es.
From nartclinicadental.com
¿Qué es la gingivectomía? Nart Clínica Dental Gingivectomia Que Es ¿qué es la gingivectomía estética? la gingivectomía es una cirugía que se realiza para eliminar o reducir una bolsa periodontal, el espacio entre la encía y el diente. Se indica para casos de sonrisa gingival, bolsas periodontales, hiperplasia gingival o fibrosis de la encía. la gingivectomía es una cirugía que elimina el exceso de tejido de las. Gingivectomia Que Es.
From www.clinicapuyuelo.es
Gingivectomía ¿En Qué Casos Debe Aplicarse? Clínica Puyuelo Gingivectomia Que Es la gingivectomía es una cirugía dental que elimina el exceso de encía, y se indica en casos de sonrisa gingival, pericoronaritis. Se indica para casos de sonrisa gingival, bolsas periodontales, hiperplasia gingival o fibrosis de la encía. la gingivectomía es una cirugía que elimina el tejido gingival dañado por enfermedad periodontal, bolsas, erupción dental pasiva o alteración del. Gingivectomia Que Es.
From nartclinicadental.com
¿Qué es la gingivectomía? Nart Clínica Dental Gingivectomia Que Es La gingivectomía estética es un procedimiento odontológico que implica la. En este artículo se explica qué es, cuándo se hace, cómo se realiza y cómo es el postoperatorio de la gingivectomía. la gingivectomía es una cirugía que elimina el exceso de tejido de las encías, normalmente por la periodontitis o la hiperplasia gingival. La gingivectomía es un sencillo. . Gingivectomia Que Es.
From dobleese.es
Gingivectomía qué es y cómo se hace【Resultados】 Dobleese Gingivectomia Que Es la gingivectomía es una cirugía que reduce el tamaño de la encía que rodea el diente, mejorando la salud y el aspecto de la sonrisa. Se indica para casos de sonrisa gingival, bolsas periodontales, hiperplasia gingival o fibrosis de la encía. la gingivectomía es una cirugía dental que elimina el exceso de encía, y se indica en casos. Gingivectomia Que Es.
From tiiz.es
Gingivectomía estética recupera la armonía de tu sonrisa Clínica Tiiz Gingivectomia Que Es la gingivectomía es una cirugía que elimina el tejido gingival dañado por enfermedad periodontal, bolsas, erupción dental pasiva o alteración del crecimiento maxilar. ¿qué es la gingivectomía estética? la gingivectomía es una cirugía dental que elimina el exceso de encía, y se indica en casos de sonrisa gingival, pericoronaritis. La gingivectomía estética es un procedimiento odontológico que. Gingivectomia Que Es.
From artdenta.es
Gingivectomia, ¿Qué es? Técnicas, diagnóstico Clínica Dental en Gingivectomia Que Es la gingivectomía es una cirugía que elimina el exceso de tejido de las encías, normalmente por la periodontitis o la hiperplasia gingival. Se indica para casos de sonrisa gingival, bolsas periodontales, hiperplasia gingival o fibrosis de la encía. La gingivectomía estética es un procedimiento odontológico que implica la. la gingivectomía es una cirugía dental que elimina el exceso. Gingivectomia Que Es.
From www.fojoypierini.es
¿Conoces las ventajas de la gingivectomía? Fojo y Pierini Gingivectomia Que Es ¿qué es la gingivectomía estética? la gingivectomía es una cirugía dental que elimina el exceso de encía, y se indica en casos de sonrisa gingival, pericoronaritis. La gingivectomía estética es un procedimiento odontológico que implica la. la gingivectomía es una cirugía que reduce el tamaño de la encía que rodea el diente, mejorando la salud y el. Gingivectomia Que Es.
From mejorconsalud.as.com
¿Qué es una gingivectomía estética? Mejor con Salud Gingivectomia Que Es la gingivectomía es una cirugía dental que elimina el exceso de encía, y se indica en casos de sonrisa gingival, pericoronaritis. La gingivectomía estética es un procedimiento odontológico que implica la. la gingivectomía es una cirugía que reduce el tamaño de la encía que rodea el diente, mejorando la salud y el aspecto de la sonrisa. la. Gingivectomia Que Es.
From clinicadentalacacias.com
Gingivectomía Qué es y cuáles son sus beneficios Gingivectomia Que Es la gingivectomía es una cirugía que elimina el tejido gingival dañado por enfermedad periodontal, bolsas, erupción dental pasiva o alteración del crecimiento maxilar. ¿qué es la gingivectomía estética? Se indica para casos de sonrisa gingival, bolsas periodontales, hiperplasia gingival o fibrosis de la encía. La gingivectomía es un sencillo. la gingivectomía es una cirugía que reduce el. Gingivectomia Que Es.
From velezylozano.com
¿Qué es una gingivectomía y para qué sirve? Periodoncia Murcia Gingivectomia Que Es la gingivectomía es una cirugía que elimina el exceso de tejido de las encías, normalmente por la periodontitis o la hiperplasia gingival. la gingivectomía es una cirugía que reduce el tamaño de la encía que rodea el diente, mejorando la salud y el aspecto de la sonrisa. la gingivectomía es una cirugía que se realiza para eliminar. Gingivectomia Que Es.
From www.clinicadentalbarcelona.com
Gingivectomía qué es y en qué casos se recurre a ella Clínica Dental Gingivectomia Que Es la gingivectomía es una cirugía que reduce el tamaño de la encía que rodea el diente, mejorando la salud y el aspecto de la sonrisa. la gingivectomía es una cirugía que se realiza para eliminar o reducir una bolsa periodontal, el espacio entre la encía y el diente. la gingivectomía es una cirugía dental que elimina el. Gingivectomia Que Es.
From www.abadendentistas.com
Gingivectomía ¿qué es y cuándo se hace? Abaden Dentistas Gingivectomia Que Es la gingivectomía es una cirugía que se realiza para eliminar o reducir una bolsa periodontal, el espacio entre la encía y el diente. ¿qué es la gingivectomía estética? La gingivectomía estética es un procedimiento odontológico que implica la. la gingivectomía es una cirugía que elimina el tejido gingival dañado por enfermedad periodontal, bolsas, erupción dental pasiva o. Gingivectomia Que Es.
From www.clinicaferrusbratos.com
Gingivectomía qué es, en qué consiste, beneficios y tratamiento Gingivectomia Que Es La gingivectomía es un sencillo. En periodontium encontrarás especialistas en esta técnica y otras de estética dental. la gingivectomía es una cirugía que se realiza para eliminar o reducir una bolsa periodontal, el espacio entre la encía y el diente. la gingivectomía es una cirugía que reduce el tamaño de la encía que rodea el diente, mejorando la. Gingivectomia Que Es.
From es.slideshare.net
Gingivectomia bisel interno Gingivectomia Que Es la gingivectomía es una cirugía dental que elimina el exceso de encía, y se indica en casos de sonrisa gingival, pericoronaritis. ¿qué es la gingivectomía estética? la gingivectomía es una cirugía que elimina el exceso de tejido de las encías, normalmente por la periodontitis o la hiperplasia gingival. En periodontium encontrarás especialistas en esta técnica y otras. Gingivectomia Que Es.
From odontofamily.es
Qué es la gingivectomía Causas, tramatiento y posttratamiento Gingivectomia Que Es En periodontium encontrarás especialistas en esta técnica y otras de estética dental. la gingivectomía es una cirugía que elimina el exceso de tejido de las encías, normalmente por la periodontitis o la hiperplasia gingival. ¿qué es la gingivectomía estética? la gingivectomía es una cirugía dental que elimina el exceso de encía, y se indica en casos de. Gingivectomia Que Es.
From dental-smile.mx
Gingivoplastía y Gingivectomía Clínica Dental Smile Clínica Dental Gingivectomia Que Es En este artículo se explica qué es, cuándo se hace, cómo se realiza y cómo es el postoperatorio de la gingivectomía. la gingivectomía es una cirugía que elimina el tejido gingival dañado por enfermedad periodontal, bolsas, erupción dental pasiva o alteración del crecimiento maxilar. Se indica para casos de sonrisa gingival, bolsas periodontales, hiperplasia gingival o fibrosis de la. Gingivectomia Que Es.
From dobleese.es
Gingivectomía qué es y cómo se hace【Resultados】 Dobleese Gingivectomia Que Es ¿qué es la gingivectomía estética? La gingivectomía estética es un procedimiento odontológico que implica la. la gingivectomía es una cirugía que se realiza para eliminar o reducir una bolsa periodontal, el espacio entre la encía y el diente. la gingivectomía es una cirugía que elimina el exceso de tejido de las encías, normalmente por la periodontitis o. Gingivectomia Que Es.
From www.ceidclinicasdentales.es
¿En qué consiste la gingivectomía? ¿Cómo es el procedimiento? CEID Gingivectomia Que Es Se indica para casos de sonrisa gingival, bolsas periodontales, hiperplasia gingival o fibrosis de la encía. la gingivectomía es una cirugía que reduce el tamaño de la encía que rodea el diente, mejorando la salud y el aspecto de la sonrisa. En este artículo se explica qué es, cuándo se hace, cómo se realiza y cómo es el postoperatorio. Gingivectomia Que Es.
From clinicaobrador.com
Gingivectomía ¿qué es y para qué se utiliza? Clínica Obrador Gingivectomia Que Es Se indica para casos de sonrisa gingival, bolsas periodontales, hiperplasia gingival o fibrosis de la encía. la gingivectomía es una cirugía que se realiza para eliminar o reducir una bolsa periodontal, el espacio entre la encía y el diente. ¿qué es la gingivectomía estética? la gingivectomía es una cirugía que reduce el tamaño de la encía que. Gingivectomia Que Es.