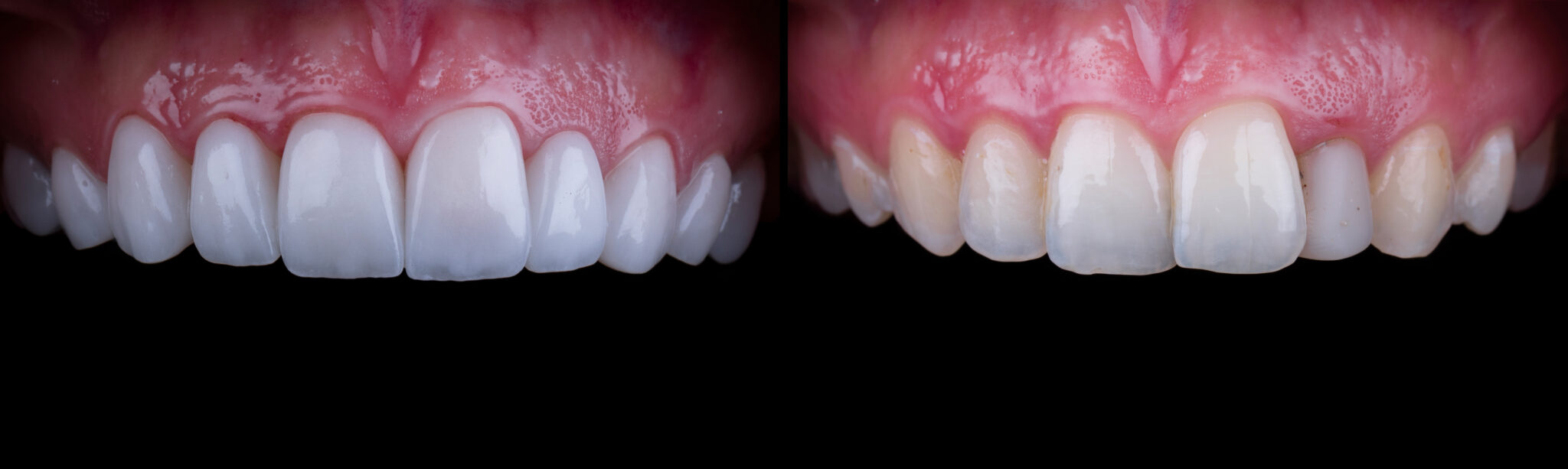
Can Emax Veneers Be Whitened . Emax veneers are highly resistant to staining from foods, drinks, and smoking, helping you maintain a bright, white. But there’s still lots you can do. Hello all, i recently got my top 8 teeth done with emax veneers. Porcelain veneers will not change color and can't be bleached. Whitening veneers is not possible. I asked the dentist to do the whitest shade possible. Whitening procedures can help to remove these stains and restore the bright white color of your veneers and crowns. If you feel that they have. Yes, it is possible to whiten porcelain veneers, but not composite resin veneers. Unfortunately, whitening gel doesn’t work on veneers. Veneers and crowns are often made from porcelain, which can become stained over time. Professional dental cleanings can help remove surface stains. They are an ideal treatment to. In order to get your veneers to match the rest of your teeth, they’ll need to be replaced. Professionally whitening veneers and crowns can help improve your smile’s overall aesthetic.
from dentmexclinic.com
Even though you can't whiten composite bonding, that doesn't mean you can't improve the way they look. Veneers and crowns are often made from porcelain, which can become stained over time. Hello all, i recently got my top 8 teeth done with emax veneers. Whitening procedures can help to remove these stains and restore the bright white color of your veneers and crowns. Professional dental cleanings can help remove surface stains. Yes, it is possible to whiten porcelain veneers, but not composite resin veneers. Emax veneers are highly resistant to staining from foods, drinks, and smoking, helping you maintain a bright, white. Whitening veneers is not possible. Unfortunately, whitening gel doesn’t work on veneers. If you feel that they have.
Dent Mex IPS Emax Veneers Kurora Dent MEX
Can Emax Veneers Be Whitened I asked the dentist to do the whitest shade possible. Hello all, i recently got my top 8 teeth done with emax veneers. Porcelain veneers will not change color and can't be bleached. I asked the dentist to do the whitest shade possible. Professional dental cleanings can help remove surface stains. But there’s still lots you can do. Whitening procedures can help to remove these stains and restore the bright white color of your veneers and crowns. Professionally whitening veneers and crowns can help improve your smile’s overall aesthetic. They are an ideal treatment to. Veneers and crowns are often made from porcelain, which can become stained over time. In order to get your veneers to match the rest of your teeth, they’ll need to be replaced. Unfortunately, whitening gel doesn’t work on veneers. Yes, it is possible to whiten porcelain veneers, but not composite resin veneers. Even though you can't whiten composite bonding, that doesn't mean you can't improve the way they look. Emax veneers are highly resistant to staining from foods, drinks, and smoking, helping you maintain a bright, white. If you feel that they have.
From doctorwisdom.com
eMax Veneers in Montreal What is eMax eMax Veneers Cost Can Emax Veneers Be Whitened Yes, it is possible to whiten porcelain veneers, but not composite resin veneers. Professionally whitening veneers and crowns can help improve your smile’s overall aesthetic. Hello all, i recently got my top 8 teeth done with emax veneers. Veneers and crowns are often made from porcelain, which can become stained over time. Whitening veneers is not possible. If you feel. Can Emax Veneers Be Whitened.
From eternalsmiles.co.uk
Emax Veneers Beautiful Smiles in Birmingham Can Emax Veneers Be Whitened Veneers and crowns are often made from porcelain, which can become stained over time. Whitening procedures can help to remove these stains and restore the bright white color of your veneers and crowns. They are an ideal treatment to. Professionally whitening veneers and crowns can help improve your smile’s overall aesthetic. I asked the dentist to do the whitest shade. Can Emax Veneers Be Whitened.
From www.palatinedentalassociates.com
Can Veneers Be Whitened? Palatine Dental Associates Can Emax Veneers Be Whitened Porcelain veneers will not change color and can't be bleached. Even though you can't whiten composite bonding, that doesn't mean you can't improve the way they look. Emax veneers are highly resistant to staining from foods, drinks, and smoking, helping you maintain a bright, white. Hello all, i recently got my top 8 teeth done with emax veneers. Whitening veneers. Can Emax Veneers Be Whitened.
From www.drbowyer.com
Can Porcelain Veneers Be Whitened? Dr. Bowyer DDS Can Emax Veneers Be Whitened They are an ideal treatment to. Unfortunately, whitening gel doesn’t work on veneers. Professionally whitening veneers and crowns can help improve your smile’s overall aesthetic. Yes, it is possible to whiten porcelain veneers, but not composite resin veneers. Whitening procedures can help to remove these stains and restore the bright white color of your veneers and crowns. In order to. Can Emax Veneers Be Whitened.
From dentmexclinic.com
Dent Mex IPS Emax Veneers Kurora Dent MEX Can Emax Veneers Be Whitened Whitening veneers is not possible. Professionally whitening veneers and crowns can help improve your smile’s overall aesthetic. Veneers and crowns are often made from porcelain, which can become stained over time. Even though you can't whiten composite bonding, that doesn't mean you can't improve the way they look. They are an ideal treatment to. I asked the dentist to do. Can Emax Veneers Be Whitened.
From bespokesmile.co.uk
What Are Emax Veneers? Can Emax Veneers Be Whitened Professional dental cleanings can help remove surface stains. Emax veneers are highly resistant to staining from foods, drinks, and smoking, helping you maintain a bright, white. I asked the dentist to do the whitest shade possible. Whitening procedures can help to remove these stains and restore the bright white color of your veneers and crowns. Hello all, i recently got. Can Emax Veneers Be Whitened.
From bilskidental.com
Can Veneers Be Whitened? Can Emax Veneers Be Whitened Porcelain veneers will not change color and can't be bleached. In order to get your veneers to match the rest of your teeth, they’ll need to be replaced. Hello all, i recently got my top 8 teeth done with emax veneers. They are an ideal treatment to. If you feel that they have. Emax veneers are highly resistant to staining. Can Emax Veneers Be Whitened.
From www.pinterest.com
Closing teeth spaces with emax veneers Natural teeth whitening, Loose tooth, Teeth whitening Can Emax Veneers Be Whitened Porcelain veneers will not change color and can't be bleached. Emax veneers are highly resistant to staining from foods, drinks, and smoking, helping you maintain a bright, white. Professionally whitening veneers and crowns can help improve your smile’s overall aesthetic. But there’s still lots you can do. In order to get your veneers to match the rest of your teeth,. Can Emax Veneers Be Whitened.
From lemaclinic.com
Emax Dental Veneers Overwiev 2024 Lema Dental Clinic Can Emax Veneers Be Whitened Emax veneers are highly resistant to staining from foods, drinks, and smoking, helping you maintain a bright, white. Professionally whitening veneers and crowns can help improve your smile’s overall aesthetic. Professional dental cleanings can help remove surface stains. Whitening procedures can help to remove these stains and restore the bright white color of your veneers and crowns. Unfortunately, whitening gel. Can Emax Veneers Be Whitened.
From turkiyeimplant.com
EMAX Laminate Veneers Implant Treatment in Turkey Implant Prices, Treatment Packages Can Emax Veneers Be Whitened Porcelain veneers will not change color and can't be bleached. Unfortunately, whitening gel doesn’t work on veneers. Professionally whitening veneers and crowns can help improve your smile’s overall aesthetic. They are an ideal treatment to. In order to get your veneers to match the rest of your teeth, they’ll need to be replaced. Whitening veneers is not possible. If you. Can Emax Veneers Be Whitened.
From avedentturkey.com
Emax veneers Turkey costs Emax porcelain crown Istanbul review Can Emax Veneers Be Whitened In order to get your veneers to match the rest of your teeth, they’ll need to be replaced. Professional dental cleanings can help remove surface stains. Porcelain veneers will not change color and can't be bleached. They are an ideal treatment to. Whitening procedures can help to remove these stains and restore the bright white color of your veneers and. Can Emax Veneers Be Whitened.
From www.pearldentalclinic.co.uk
Emax Veneers & Porcelain Dental Veneers in Kingston, London. Can Emax Veneers Be Whitened In order to get your veneers to match the rest of your teeth, they’ll need to be replaced. Whitening procedures can help to remove these stains and restore the bright white color of your veneers and crowns. Hello all, i recently got my top 8 teeth done with emax veneers. Unfortunately, whitening gel doesn’t work on veneers. Emax veneers are. Can Emax Veneers Be Whitened.
From smileantalya.com
Emax Veneers Smileantalya Can Emax Veneers Be Whitened Veneers and crowns are often made from porcelain, which can become stained over time. Whitening veneers is not possible. They are an ideal treatment to. Whitening procedures can help to remove these stains and restore the bright white color of your veneers and crowns. If you feel that they have. Hello all, i recently got my top 8 teeth done. Can Emax Veneers Be Whitened.
From www.mysmiledentistry.com.au
Emax BL3LT veneers 1323 MySmile Dentistry Can Emax Veneers Be Whitened Professionally whitening veneers and crowns can help improve your smile’s overall aesthetic. Even though you can't whiten composite bonding, that doesn't mean you can't improve the way they look. Porcelain veneers will not change color and can't be bleached. Whitening veneers is not possible. If you feel that they have. Unfortunately, whitening gel doesn’t work on veneers. But there’s still. Can Emax Veneers Be Whitened.
From www.londoncosmeticdentistry.co.uk
Can veneers be whitened? London Cosmetic Dentistry Can Emax Veneers Be Whitened Whitening veneers is not possible. But there’s still lots you can do. They are an ideal treatment to. Whitening procedures can help to remove these stains and restore the bright white color of your veneers and crowns. Hello all, i recently got my top 8 teeth done with emax veneers. Emax veneers are highly resistant to staining from foods, drinks,. Can Emax Veneers Be Whitened.
From en.dentavrasya.com
Emax Veneers in Turkey can be completed in 5 days Can Emax Veneers Be Whitened Professional dental cleanings can help remove surface stains. In order to get your veneers to match the rest of your teeth, they’ll need to be replaced. If you feel that they have. Yes, it is possible to whiten porcelain veneers, but not composite resin veneers. But there’s still lots you can do. Hello all, i recently got my top 8. Can Emax Veneers Be Whitened.
From westmodernclinic.com
Emax Veneer WestModern Clinic Can Emax Veneers Be Whitened But there’s still lots you can do. Even though you can't whiten composite bonding, that doesn't mean you can't improve the way they look. Whitening procedures can help to remove these stains and restore the bright white color of your veneers and crowns. Porcelain veneers will not change color and can't be bleached. I asked the dentist to do the. Can Emax Veneers Be Whitened.
From martindaledental.com
Can Dental Veneers Be Reshaped? Must Know Advice Can Emax Veneers Be Whitened If you feel that they have. Even though you can't whiten composite bonding, that doesn't mean you can't improve the way they look. But there’s still lots you can do. Unfortunately, whitening gel doesn’t work on veneers. Professional dental cleanings can help remove surface stains. Professionally whitening veneers and crowns can help improve your smile’s overall aesthetic. Whitening veneers is. Can Emax Veneers Be Whitened.
From www.piazzadental.com.au
Can Veneers Be Whitened? Learn from Piazza Dental Can Emax Veneers Be Whitened Professional dental cleanings can help remove surface stains. In order to get your veneers to match the rest of your teeth, they’ll need to be replaced. Emax veneers are highly resistant to staining from foods, drinks, and smoking, helping you maintain a bright, white. Even though you can't whiten composite bonding, that doesn't mean you can't improve the way they. Can Emax Veneers Be Whitened.
From eternalsmiles.co.uk
Emax Veneers Beautiful Smiles in Birmingham Can Emax Veneers Be Whitened Professionally whitening veneers and crowns can help improve your smile’s overall aesthetic. If you feel that they have. Porcelain veneers will not change color and can't be bleached. Veneers and crowns are often made from porcelain, which can become stained over time. Whitening veneers is not possible. Unfortunately, whitening gel doesn’t work on veneers. Emax veneers are highly resistant to. Can Emax Veneers Be Whitened.
From doctorwisdom.com
eMax Veneers in Montreal What is eMax eMax Veneers Cost Can Emax Veneers Be Whitened But there’s still lots you can do. Professionally whitening veneers and crowns can help improve your smile’s overall aesthetic. They are an ideal treatment to. I asked the dentist to do the whitest shade possible. In order to get your veneers to match the rest of your teeth, they’ll need to be replaced. Unfortunately, whitening gel doesn’t work on veneers.. Can Emax Veneers Be Whitened.
From www.londoncosmeticdentistry.co.uk
Can veneers be whitened? London Cosmetic Dentistry Can Emax Veneers Be Whitened Emax veneers are highly resistant to staining from foods, drinks, and smoking, helping you maintain a bright, white. Unfortunately, whitening gel doesn’t work on veneers. Porcelain veneers will not change color and can't be bleached. They are an ideal treatment to. I asked the dentist to do the whitest shade possible. Professionally whitening veneers and crowns can help improve your. Can Emax Veneers Be Whitened.
From www.visiondental.com
Emax Veneers Before & After Photos Los Angeles CA Can Emax Veneers Be Whitened Professional dental cleanings can help remove surface stains. They are an ideal treatment to. But there’s still lots you can do. Professionally whitening veneers and crowns can help improve your smile’s overall aesthetic. I asked the dentist to do the whitest shade possible. Hello all, i recently got my top 8 teeth done with emax veneers. Unfortunately, whitening gel doesn’t. Can Emax Veneers Be Whitened.
From www.maltepedentalclinic.com
Emax Veneers & Zirconia Experience in Istanbul Can Emax Veneers Be Whitened Professionally whitening veneers and crowns can help improve your smile’s overall aesthetic. In order to get your veneers to match the rest of your teeth, they’ll need to be replaced. But there’s still lots you can do. Emax veneers are highly resistant to staining from foods, drinks, and smoking, helping you maintain a bright, white. Unfortunately, whitening gel doesn’t work. Can Emax Veneers Be Whitened.
From www.youtube.com
Can Veneers Be Whitened? YouTube Can Emax Veneers Be Whitened In order to get your veneers to match the rest of your teeth, they’ll need to be replaced. Yes, it is possible to whiten porcelain veneers, but not composite resin veneers. Whitening veneers is not possible. They are an ideal treatment to. Even though you can't whiten composite bonding, that doesn't mean you can't improve the way they look. If. Can Emax Veneers Be Whitened.
From bespokesmile.co.uk
What Are Emax Veneers? Can Emax Veneers Be Whitened If you feel that they have. Veneers and crowns are often made from porcelain, which can become stained over time. Yes, it is possible to whiten porcelain veneers, but not composite resin veneers. Hello all, i recently got my top 8 teeth done with emax veneers. Whitening veneers is not possible. Emax veneers are highly resistant to staining from foods,. Can Emax Veneers Be Whitened.
From www.inhousedentalstudio.com
Case 13, e.max veneers 710 InHouse Dental Studio Can Emax Veneers Be Whitened In order to get your veneers to match the rest of your teeth, they’ll need to be replaced. Emax veneers are highly resistant to staining from foods, drinks, and smoking, helping you maintain a bright, white. Professionally whitening veneers and crowns can help improve your smile’s overall aesthetic. Hello all, i recently got my top 8 teeth done with emax. Can Emax Veneers Be Whitened.
From www.bhdentists.com
Can Veneers Be Whitened? Bedford Dental Group Blog Can Emax Veneers Be Whitened Whitening procedures can help to remove these stains and restore the bright white color of your veneers and crowns. Hello all, i recently got my top 8 teeth done with emax veneers. Yes, it is possible to whiten porcelain veneers, but not composite resin veneers. Unfortunately, whitening gel doesn’t work on veneers. Even though you can't whiten composite bonding, that. Can Emax Veneers Be Whitened.
From prodentalclinic.london
Veneers Pro Dental Porcelain Emax Veneers in London Can Emax Veneers Be Whitened Professionally whitening veneers and crowns can help improve your smile’s overall aesthetic. I asked the dentist to do the whitest shade possible. If you feel that they have. Even though you can't whiten composite bonding, that doesn't mean you can't improve the way they look. Unfortunately, whitening gel doesn’t work on veneers. Hello all, i recently got my top 8. Can Emax Veneers Be Whitened.
From www.acefamilydental.com
Can Dental Veneers Be Whitened? Dentist Norcross & Alpharetta, GA Can Emax Veneers Be Whitened Veneers and crowns are often made from porcelain, which can become stained over time. Even though you can't whiten composite bonding, that doesn't mean you can't improve the way they look. They are an ideal treatment to. Professional dental cleanings can help remove surface stains. Porcelain veneers will not change color and can't be bleached. Unfortunately, whitening gel doesn’t work. Can Emax Veneers Be Whitened.
From www.theperfectsmile.co.uk
lowcost Emax veneers lowest prices The Perfect Smile Studios 01992 552115 Can Emax Veneers Be Whitened Whitening procedures can help to remove these stains and restore the bright white color of your veneers and crowns. Unfortunately, whitening gel doesn’t work on veneers. Whitening veneers is not possible. Hello all, i recently got my top 8 teeth done with emax veneers. Emax veneers are highly resistant to staining from foods, drinks, and smoking, helping you maintain a. Can Emax Veneers Be Whitened.
From bespokesmile.co.uk
What Are Emax Veneers? Can Emax Veneers Be Whitened Porcelain veneers will not change color and can't be bleached. If you feel that they have. Whitening procedures can help to remove these stains and restore the bright white color of your veneers and crowns. Emax veneers are highly resistant to staining from foods, drinks, and smoking, helping you maintain a bright, white. Veneers and crowns are often made from. Can Emax Veneers Be Whitened.
From larasmile.com
EMax Veneers Turkey Procedure Benefits Costs Can Emax Veneers Be Whitened Professionally whitening veneers and crowns can help improve your smile’s overall aesthetic. Even though you can't whiten composite bonding, that doesn't mean you can't improve the way they look. Whitening veneers is not possible. Veneers and crowns are often made from porcelain, which can become stained over time. Professional dental cleanings can help remove surface stains. Hello all, i recently. Can Emax Veneers Be Whitened.
From bespokesmile.co.uk
Emax Veneers Bespoke Smile Can Emax Veneers Be Whitened Whitening procedures can help to remove these stains and restore the bright white color of your veneers and crowns. Veneers and crowns are often made from porcelain, which can become stained over time. Unfortunately, whitening gel doesn’t work on veneers. Porcelain veneers will not change color and can't be bleached. They are an ideal treatment to. Even though you can't. Can Emax Veneers Be Whitened.
From sandiegoinvisaligndentist.org
How many times can you redo veneers? Dental News Network Can Emax Veneers Be Whitened Whitening procedures can help to remove these stains and restore the bright white color of your veneers and crowns. Porcelain veneers will not change color and can't be bleached. Veneers and crowns are often made from porcelain, which can become stained over time. Professional dental cleanings can help remove surface stains. Hello all, i recently got my top 8 teeth. Can Emax Veneers Be Whitened.