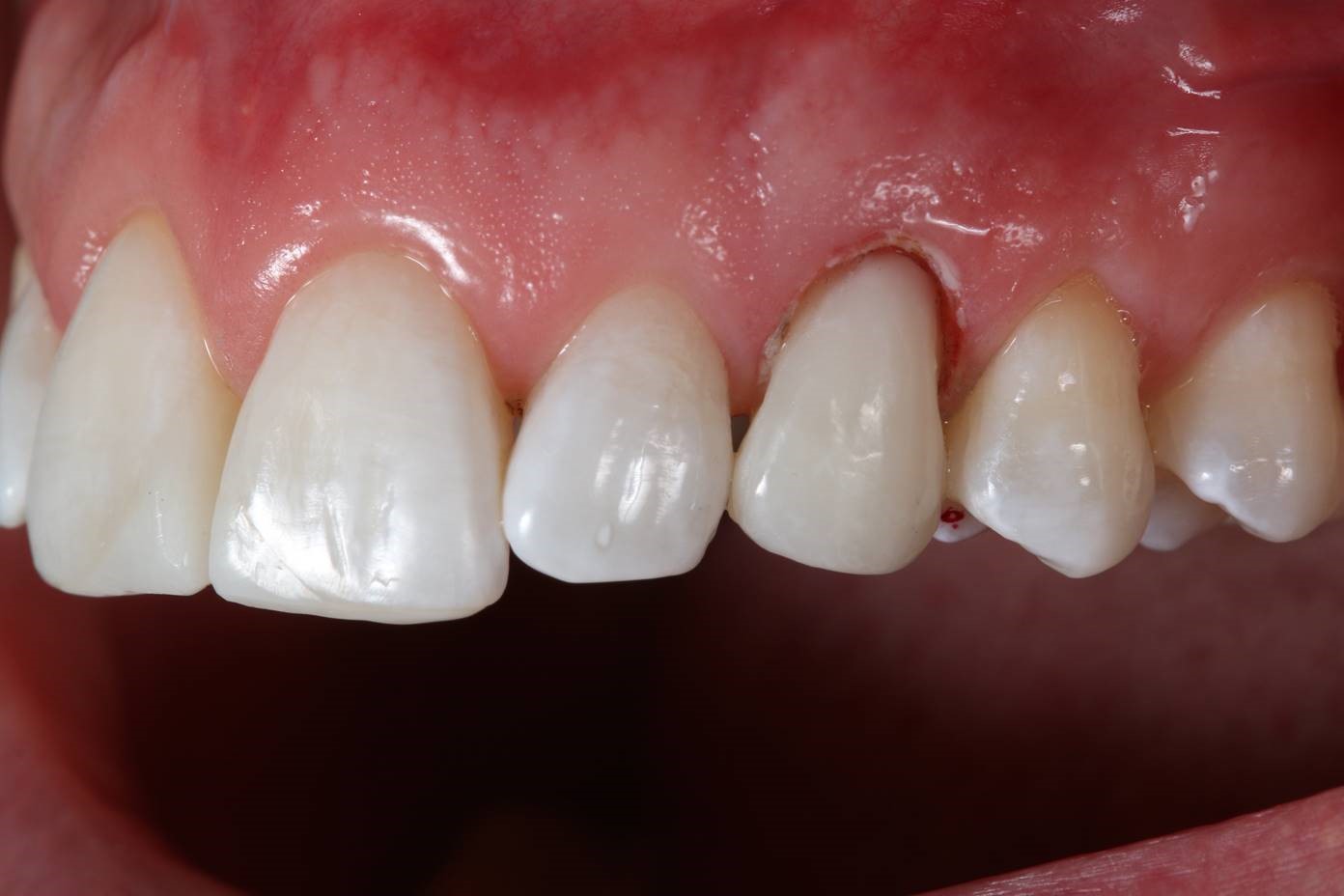
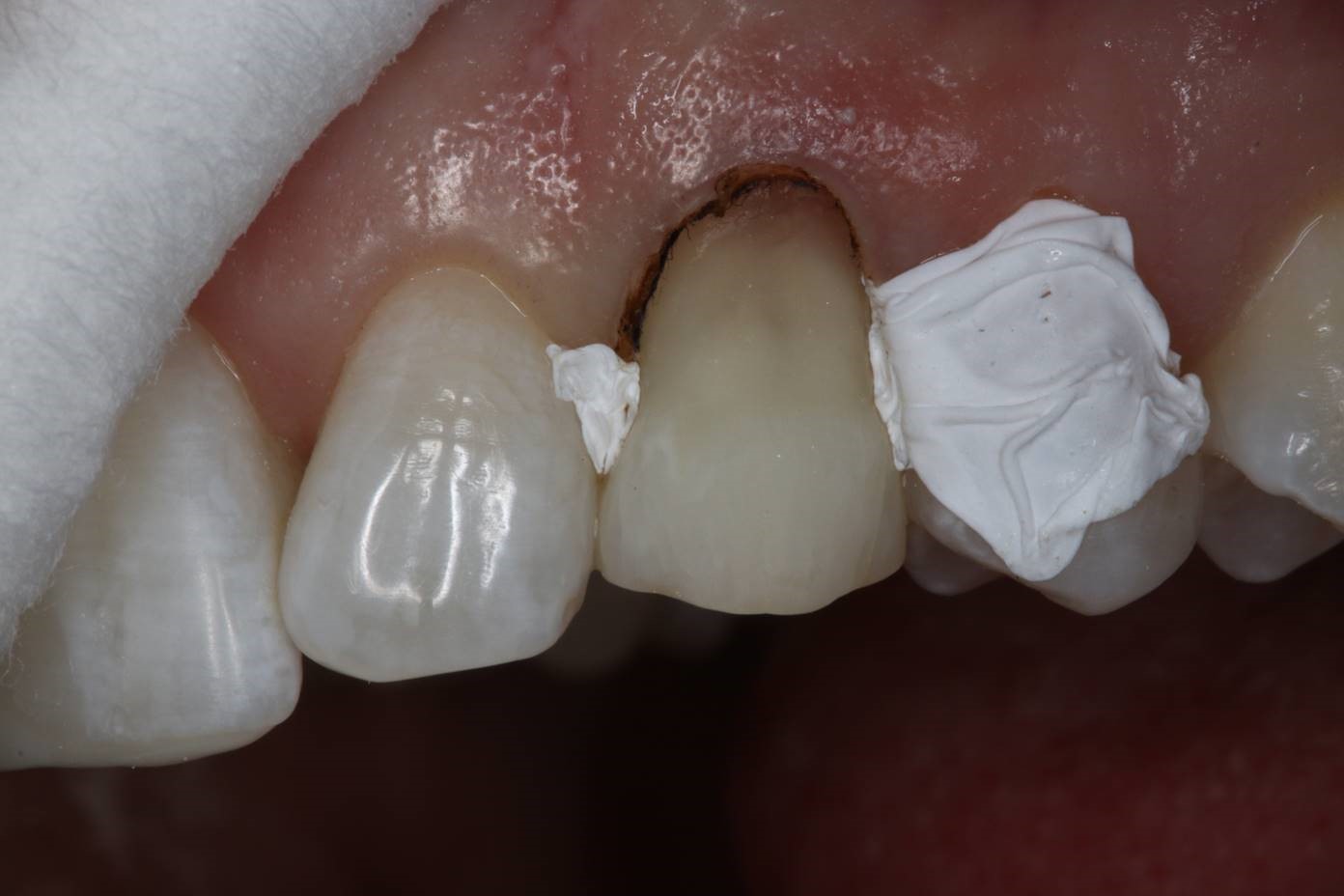
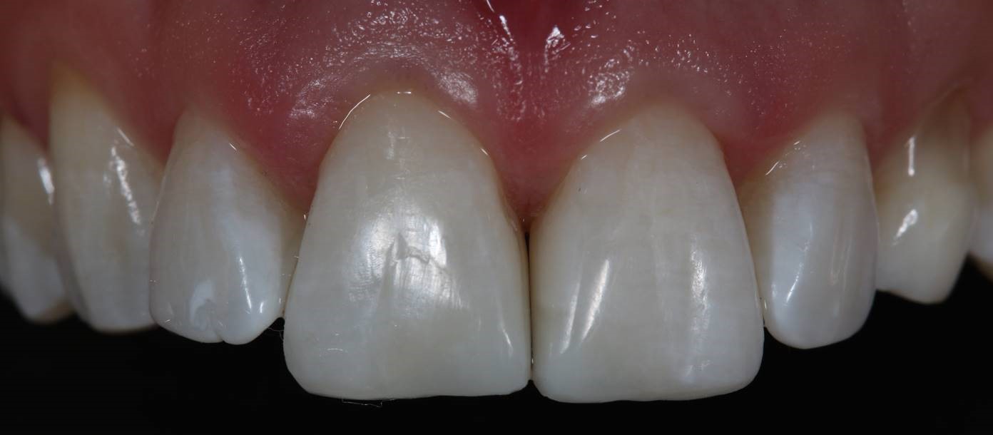
Diode Laser Settings For Gingivectomy . 14 diode laser gingivectomy (0.8 w; Immediate postoperative appearance ( b ). Soft tissue diode laser contouring of gingiva is a common procedure that can be undertaken in a routine dental setting with. Erbium:yag laser at 2940 nm) were used, both for soft tissue surgery and enamel etching, and for. Different laser systems (diode laser at 810 nm; Cw) to improve smile line at the anterior mandible region for prosthetic purposes (a). The diode laser separates and coagulates at the same time, facilitating immediate haemostasis and resulting in minimal bleeding. The main use of the laser in this case was to scallop the gingival. Er,cr:ysgg laser at 2780 nm; A diode laser is a fairly recent dental technology which allows simple removal of gingival tissues for various treatment situations. The laser used in this case is the gemini 810 + 980 diode laser (ultradent).
from www.youtube.com
A diode laser is a fairly recent dental technology which allows simple removal of gingival tissues for various treatment situations. Soft tissue diode laser contouring of gingiva is a common procedure that can be undertaken in a routine dental setting with. Different laser systems (diode laser at 810 nm; The diode laser separates and coagulates at the same time, facilitating immediate haemostasis and resulting in minimal bleeding. Er,cr:ysgg laser at 2780 nm; The main use of the laser in this case was to scallop the gingival. 14 diode laser gingivectomy (0.8 w; The laser used in this case is the gemini 810 + 980 diode laser (ultradent). Cw) to improve smile line at the anterior mandible region for prosthetic purposes (a). Immediate postoperative appearance ( b ).
Diode Laser gingivectomy YouTube
Diode Laser Settings For Gingivectomy 14 diode laser gingivectomy (0.8 w; Erbium:yag laser at 2940 nm) were used, both for soft tissue surgery and enamel etching, and for. 14 diode laser gingivectomy (0.8 w; The laser used in this case is the gemini 810 + 980 diode laser (ultradent). Soft tissue diode laser contouring of gingiva is a common procedure that can be undertaken in a routine dental setting with. A diode laser is a fairly recent dental technology which allows simple removal of gingival tissues for various treatment situations. The main use of the laser in this case was to scallop the gingival. Cw) to improve smile line at the anterior mandible region for prosthetic purposes (a). Immediate postoperative appearance ( b ). Different laser systems (diode laser at 810 nm; The diode laser separates and coagulates at the same time, facilitating immediate haemostasis and resulting in minimal bleeding. Er,cr:ysgg laser at 2780 nm;
From www.youtube.com
Diode Laser gingivectomy YouTube Diode Laser Settings For Gingivectomy Er,cr:ysgg laser at 2780 nm; Different laser systems (diode laser at 810 nm; A diode laser is a fairly recent dental technology which allows simple removal of gingival tissues for various treatment situations. The laser used in this case is the gemini 810 + 980 diode laser (ultradent). Soft tissue diode laser contouring of gingiva is a common procedure that. Diode Laser Settings For Gingivectomy.
From www.youtube.com
gingivectomy by LASER Animation Biolase YouTube Diode Laser Settings For Gingivectomy Erbium:yag laser at 2940 nm) were used, both for soft tissue surgery and enamel etching, and for. Soft tissue diode laser contouring of gingiva is a common procedure that can be undertaken in a routine dental setting with. The laser used in this case is the gemini 810 + 980 diode laser (ultradent). The main use of the laser in. Diode Laser Settings For Gingivectomy.
From www.biolase.com
Dental Surgery with Soft Tissue Dental Lasers BIOLASE Diode Laser Settings For Gingivectomy The main use of the laser in this case was to scallop the gingival. Cw) to improve smile line at the anterior mandible region for prosthetic purposes (a). Soft tissue diode laser contouring of gingiva is a common procedure that can be undertaken in a routine dental setting with. The diode laser separates and coagulates at the same time, facilitating. Diode Laser Settings For Gingivectomy.
From www.researchgate.net
(PDF) COMBINATION OF FRENOTOMY AND GINGIVECTOMY TREATMENT WITH LASER Diode Laser Settings For Gingivectomy Cw) to improve smile line at the anterior mandible region for prosthetic purposes (a). Soft tissue diode laser contouring of gingiva is a common procedure that can be undertaken in a routine dental setting with. Erbium:yag laser at 2940 nm) were used, both for soft tissue surgery and enamel etching, and for. Er,cr:ysgg laser at 2780 nm; Immediate postoperative appearance. Diode Laser Settings For Gingivectomy.
From www.semanticscholar.org
Figure 3 from Esthetic Correction of Gummy Smile by Gingivectomy using Diode Laser Settings For Gingivectomy 14 diode laser gingivectomy (0.8 w; The laser used in this case is the gemini 810 + 980 diode laser (ultradent). The diode laser separates and coagulates at the same time, facilitating immediate haemostasis and resulting in minimal bleeding. Different laser systems (diode laser at 810 nm; A diode laser is a fairly recent dental technology which allows simple removal. Diode Laser Settings For Gingivectomy.
From www.researchgate.net
Intraoperative view of laser gingivectomy. Download Scientific Diagram Diode Laser Settings For Gingivectomy Different laser systems (diode laser at 810 nm; Erbium:yag laser at 2940 nm) were used, both for soft tissue surgery and enamel etching, and for. Soft tissue diode laser contouring of gingiva is a common procedure that can be undertaken in a routine dental setting with. The laser used in this case is the gemini 810 + 980 diode laser. Diode Laser Settings For Gingivectomy.
From www.researchgate.net
(PDF) Esthetic Correction of Gummy Smile by Gingivectomy using Diode Laser Diode Laser Settings For Gingivectomy The main use of the laser in this case was to scallop the gingival. The diode laser separates and coagulates at the same time, facilitating immediate haemostasis and resulting in minimal bleeding. 14 diode laser gingivectomy (0.8 w; The laser used in this case is the gemini 810 + 980 diode laser (ultradent). Cw) to improve smile line at the. Diode Laser Settings For Gingivectomy.
From dentalsolutionsaruba.com
GINGIVECTOMY WITH DIODE LASER Diode Laser Settings For Gingivectomy Cw) to improve smile line at the anterior mandible region for prosthetic purposes (a). Different laser systems (diode laser at 810 nm; A diode laser is a fairly recent dental technology which allows simple removal of gingival tissues for various treatment situations. 14 diode laser gingivectomy (0.8 w; The main use of the laser in this case was to scallop. Diode Laser Settings For Gingivectomy.
From www.mdpi.com
Applied Sciences Free FullText Assessment of Healing after Diode Diode Laser Settings For Gingivectomy The diode laser separates and coagulates at the same time, facilitating immediate haemostasis and resulting in minimal bleeding. A diode laser is a fairly recent dental technology which allows simple removal of gingival tissues for various treatment situations. Different laser systems (diode laser at 810 nm; 14 diode laser gingivectomy (0.8 w; The main use of the laser in this. Diode Laser Settings For Gingivectomy.
From decisionsindentistry.com
A Gingivectomy Procedure Using a Diode Laser Decisions in Dentistry Diode Laser Settings For Gingivectomy A diode laser is a fairly recent dental technology which allows simple removal of gingival tissues for various treatment situations. The laser used in this case is the gemini 810 + 980 diode laser (ultradent). The diode laser separates and coagulates at the same time, facilitating immediate haemostasis and resulting in minimal bleeding. Erbium:yag laser at 2940 nm) were used,. Diode Laser Settings For Gingivectomy.
From www.researchgate.net
(PDF) Esthetic Correction of Gummy Smile by Gingivectomy using Diode Laser Diode Laser Settings For Gingivectomy The main use of the laser in this case was to scallop the gingival. Erbium:yag laser at 2940 nm) were used, both for soft tissue surgery and enamel etching, and for. Soft tissue diode laser contouring of gingiva is a common procedure that can be undertaken in a routine dental setting with. A diode laser is a fairly recent dental. Diode Laser Settings For Gingivectomy.
From www.researchgate.net
a Intraoral view of the gingivectomy guide in place. b Halfway of the Diode Laser Settings For Gingivectomy Cw) to improve smile line at the anterior mandible region for prosthetic purposes (a). Soft tissue diode laser contouring of gingiva is a common procedure that can be undertaken in a routine dental setting with. The diode laser separates and coagulates at the same time, facilitating immediate haemostasis and resulting in minimal bleeding. Er,cr:ysgg laser at 2780 nm; The main. Diode Laser Settings For Gingivectomy.
From www.youtube.com
Gingivectomy and Frenectomy for Orthodontics How to Use the Gemini Diode Laser Settings For Gingivectomy A diode laser is a fairly recent dental technology which allows simple removal of gingival tissues for various treatment situations. Immediate postoperative appearance ( b ). The main use of the laser in this case was to scallop the gingival. Different laser systems (diode laser at 810 nm; The diode laser separates and coagulates at the same time, facilitating immediate. Diode Laser Settings For Gingivectomy.
From www.researchgate.net
(PDF) Gingivectomy by Diode Laser and Conventional Method (A Diode Laser Settings For Gingivectomy Immediate postoperative appearance ( b ). Soft tissue diode laser contouring of gingiva is a common procedure that can be undertaken in a routine dental setting with. Different laser systems (diode laser at 810 nm; The laser used in this case is the gemini 810 + 980 diode laser (ultradent). Erbium:yag laser at 2940 nm) were used, both for soft. Diode Laser Settings For Gingivectomy.
From www.researchgate.net
Laser gingivectomy, A, Before treatment. B, Immediately after Laser Diode Laser Settings For Gingivectomy Cw) to improve smile line at the anterior mandible region for prosthetic purposes (a). Different laser systems (diode laser at 810 nm; The main use of the laser in this case was to scallop the gingival. A diode laser is a fairly recent dental technology which allows simple removal of gingival tissues for various treatment situations. Soft tissue diode laser. Diode Laser Settings For Gingivectomy.
From www.youtube.com
laser gingivectomy by diode laser ( zolar photon plus ) YouTube Diode Laser Settings For Gingivectomy Erbium:yag laser at 2940 nm) were used, both for soft tissue surgery and enamel etching, and for. The laser used in this case is the gemini 810 + 980 diode laser (ultradent). 14 diode laser gingivectomy (0.8 w; The main use of the laser in this case was to scallop the gingival. A diode laser is a fairly recent dental. Diode Laser Settings For Gingivectomy.
From blog.optident.co.uk
The Use Of Lasers In Dentistry Gingivectomy By Diode Laser Optident Diode Laser Settings For Gingivectomy Different laser systems (diode laser at 810 nm; Er,cr:ysgg laser at 2780 nm; Erbium:yag laser at 2940 nm) were used, both for soft tissue surgery and enamel etching, and for. The diode laser separates and coagulates at the same time, facilitating immediate haemostasis and resulting in minimal bleeding. Immediate postoperative appearance ( b ). Soft tissue diode laser contouring of. Diode Laser Settings For Gingivectomy.
From www.lazonlaser.com
Laser Gingivectomy Diode Laser Settings For Gingivectomy The main use of the laser in this case was to scallop the gingival. Erbium:yag laser at 2940 nm) were used, both for soft tissue surgery and enamel etching, and for. Cw) to improve smile line at the anterior mandible region for prosthetic purposes (a). The diode laser separates and coagulates at the same time, facilitating immediate haemostasis and resulting. Diode Laser Settings For Gingivectomy.
From www.dreamstime.com
Gingivectomy Surgery with Laser Using. Medically Accurate Tooth 3D Diode Laser Settings For Gingivectomy The main use of the laser in this case was to scallop the gingival. Erbium:yag laser at 2940 nm) were used, both for soft tissue surgery and enamel etching, and for. A diode laser is a fairly recent dental technology which allows simple removal of gingival tissues for various treatment situations. Cw) to improve smile line at the anterior mandible. Diode Laser Settings For Gingivectomy.
From www.mdpi.com
Applied Sciences Free FullText Assessment of Healing after Diode Diode Laser Settings For Gingivectomy The diode laser separates and coagulates at the same time, facilitating immediate haemostasis and resulting in minimal bleeding. The laser used in this case is the gemini 810 + 980 diode laser (ultradent). Immediate postoperative appearance ( b ). Soft tissue diode laser contouring of gingiva is a common procedure that can be undertaken in a routine dental setting with.. Diode Laser Settings For Gingivectomy.
From www.youtube.com
LASER Gingivectomy for Obsidian® Veneers Teeth 6 11 1 of 4 YouTube Diode Laser Settings For Gingivectomy Erbium:yag laser at 2940 nm) were used, both for soft tissue surgery and enamel etching, and for. The laser used in this case is the gemini 810 + 980 diode laser (ultradent). Soft tissue diode laser contouring of gingiva is a common procedure that can be undertaken in a routine dental setting with. The main use of the laser in. Diode Laser Settings For Gingivectomy.
From blog.optident.co.uk
The Use Of Lasers In Dentistry Gingivectomy By Diode Laser Optident Diode Laser Settings For Gingivectomy Different laser systems (diode laser at 810 nm; The diode laser separates and coagulates at the same time, facilitating immediate haemostasis and resulting in minimal bleeding. A diode laser is a fairly recent dental technology which allows simple removal of gingival tissues for various treatment situations. Er,cr:ysgg laser at 2780 nm; Erbium:yag laser at 2940 nm) were used, both for. Diode Laser Settings For Gingivectomy.
From www.youtube.com
Gingivectomy with the DStorm™ Diode Laser YouTube Diode Laser Settings For Gingivectomy The laser used in this case is the gemini 810 + 980 diode laser (ultradent). Different laser systems (diode laser at 810 nm; Cw) to improve smile line at the anterior mandible region for prosthetic purposes (a). Soft tissue diode laser contouring of gingiva is a common procedure that can be undertaken in a routine dental setting with. The diode. Diode Laser Settings For Gingivectomy.
From www.researchgate.net
(A) Preoperative photo, (B) Laser assisted gingivectomy performed with Diode Laser Settings For Gingivectomy The diode laser separates and coagulates at the same time, facilitating immediate haemostasis and resulting in minimal bleeding. Immediate postoperative appearance ( b ). Er,cr:ysgg laser at 2780 nm; Soft tissue diode laser contouring of gingiva is a common procedure that can be undertaken in a routine dental setting with. 14 diode laser gingivectomy (0.8 w; The main use of. Diode Laser Settings For Gingivectomy.
From www.youtube.com
Patient Treatment Videos Gingivectomy YouTube Diode Laser Settings For Gingivectomy 14 diode laser gingivectomy (0.8 w; Soft tissue diode laser contouring of gingiva is a common procedure that can be undertaken in a routine dental setting with. Immediate postoperative appearance ( b ). Er,cr:ysgg laser at 2780 nm; Different laser systems (diode laser at 810 nm; The diode laser separates and coagulates at the same time, facilitating immediate haemostasis and. Diode Laser Settings For Gingivectomy.
From www.youtube.com
Gingivectomy by elexxion diode LASER YouTube Diode Laser Settings For Gingivectomy Cw) to improve smile line at the anterior mandible region for prosthetic purposes (a). A diode laser is a fairly recent dental technology which allows simple removal of gingival tissues for various treatment situations. Erbium:yag laser at 2940 nm) were used, both for soft tissue surgery and enamel etching, and for. 14 diode laser gingivectomy (0.8 w; Immediate postoperative appearance. Diode Laser Settings For Gingivectomy.
From www.semanticscholar.org
Figure 1 from Low level diode laser therapy on wound healing post Diode Laser Settings For Gingivectomy A diode laser is a fairly recent dental technology which allows simple removal of gingival tissues for various treatment situations. Erbium:yag laser at 2940 nm) were used, both for soft tissue surgery and enamel etching, and for. The diode laser separates and coagulates at the same time, facilitating immediate haemostasis and resulting in minimal bleeding. The laser used in this. Diode Laser Settings For Gingivectomy.
From medicaldialogues.in
Diode laser gingivectomy for orthodontic treatmentinduced gingival Diode Laser Settings For Gingivectomy Er,cr:ysgg laser at 2780 nm; The laser used in this case is the gemini 810 + 980 diode laser (ultradent). Erbium:yag laser at 2940 nm) were used, both for soft tissue surgery and enamel etching, and for. A diode laser is a fairly recent dental technology which allows simple removal of gingival tissues for various treatment situations. Immediate postoperative appearance. Diode Laser Settings For Gingivectomy.
From www.researchgate.net
Gingivectomy procedures of upper anterior region.A. Utilization of Diode Laser Settings For Gingivectomy Immediate postoperative appearance ( b ). Different laser systems (diode laser at 810 nm; Cw) to improve smile line at the anterior mandible region for prosthetic purposes (a). A diode laser is a fairly recent dental technology which allows simple removal of gingival tissues for various treatment situations. The main use of the laser in this case was to scallop. Diode Laser Settings For Gingivectomy.
From www.youtube.com
Diode Laser 980nmgingivectomy after Orthodontic Treatment YouTube Diode Laser Settings For Gingivectomy Erbium:yag laser at 2940 nm) were used, both for soft tissue surgery and enamel etching, and for. Er,cr:ysgg laser at 2780 nm; Immediate postoperative appearance ( b ). Soft tissue diode laser contouring of gingiva is a common procedure that can be undertaken in a routine dental setting with. The main use of the laser in this case was to. Diode Laser Settings For Gingivectomy.
From www.aegisdentalnetwork.com
Lasers July 2018 Inside Dentistry Diode Laser Settings For Gingivectomy Erbium:yag laser at 2940 nm) were used, both for soft tissue surgery and enamel etching, and for. The main use of the laser in this case was to scallop the gingival. Cw) to improve smile line at the anterior mandible region for prosthetic purposes (a). Soft tissue diode laser contouring of gingiva is a common procedure that can be undertaken. Diode Laser Settings For Gingivectomy.
From www.youtube.com
LASER to remove extra gums Gingivectomy with Diode LASER YouTube Diode Laser Settings For Gingivectomy The diode laser separates and coagulates at the same time, facilitating immediate haemostasis and resulting in minimal bleeding. Soft tissue diode laser contouring of gingiva is a common procedure that can be undertaken in a routine dental setting with. 14 diode laser gingivectomy (0.8 w; Cw) to improve smile line at the anterior mandible region for prosthetic purposes (a). The. Diode Laser Settings For Gingivectomy.
From www.youtube.com
Gingivectomy Laser YouTube Diode Laser Settings For Gingivectomy Soft tissue diode laser contouring of gingiva is a common procedure that can be undertaken in a routine dental setting with. A diode laser is a fairly recent dental technology which allows simple removal of gingival tissues for various treatment situations. The laser used in this case is the gemini 810 + 980 diode laser (ultradent). Immediate postoperative appearance (. Diode Laser Settings For Gingivectomy.
From blog.optident.co.uk
The Use Of Lasers In Dentistry Gingivectomy By Diode Laser Optident Diode Laser Settings For Gingivectomy Erbium:yag laser at 2940 nm) were used, both for soft tissue surgery and enamel etching, and for. Immediate postoperative appearance ( b ). Soft tissue diode laser contouring of gingiva is a common procedure that can be undertaken in a routine dental setting with. The diode laser separates and coagulates at the same time, facilitating immediate haemostasis and resulting in. Diode Laser Settings For Gingivectomy.
From www.researchgate.net
Postoperative photograph of gingivectomy wound shielded with Diode Diode Laser Settings For Gingivectomy Erbium:yag laser at 2940 nm) were used, both for soft tissue surgery and enamel etching, and for. 14 diode laser gingivectomy (0.8 w; The main use of the laser in this case was to scallop the gingival. Immediate postoperative appearance ( b ). A diode laser is a fairly recent dental technology which allows simple removal of gingival tissues for. Diode Laser Settings For Gingivectomy.