How Are Bezoars Removed . During endoscopy, doctors sometimes use forceps, a laser, or other instruments to break bezoars into pieces so that they can pass through or be. A bezoar is an undigested mass of material in the digestive tract that may produce symptoms. A bezoar forms when certain substances or materials accumulate and clump together in the gi tract, creating a solid mass. There are medical therapies to help dissolve some bezoars, though many require endoscopic or surgical management for. Endoscopic removal is indicated for patients who have bezoars that fail to dissolve, moderate to severe symptoms due to large bezoars, or both. In some cases, small bezoars may be removed through a scope. The exact process of bezoar formation can vary depending on the. The bezoar may need to be surgically removed, especially if it is large. The bezoar may need to be surgically removed, especially if it is large. Learn how they can be dissolved or. In some cases, small bezoars may be removed through a scope placed.
from www.researchgate.net
There are medical therapies to help dissolve some bezoars, though many require endoscopic or surgical management for. Learn how they can be dissolved or. A bezoar is an undigested mass of material in the digestive tract that may produce symptoms. The bezoar may need to be surgically removed, especially if it is large. Endoscopic removal is indicated for patients who have bezoars that fail to dissolve, moderate to severe symptoms due to large bezoars, or both. In some cases, small bezoars may be removed through a scope. In some cases, small bezoars may be removed through a scope placed. A bezoar forms when certain substances or materials accumulate and clump together in the gi tract, creating a solid mass. The bezoar may need to be surgically removed, especially if it is large. The exact process of bezoar formation can vary depending on the.
Flowchart of the treatment results for bezoars. Download Scientific
How Are Bezoars Removed In some cases, small bezoars may be removed through a scope placed. A bezoar forms when certain substances or materials accumulate and clump together in the gi tract, creating a solid mass. In some cases, small bezoars may be removed through a scope. The bezoar may need to be surgically removed, especially if it is large. A bezoar is an undigested mass of material in the digestive tract that may produce symptoms. During endoscopy, doctors sometimes use forceps, a laser, or other instruments to break bezoars into pieces so that they can pass through or be. The bezoar may need to be surgically removed, especially if it is large. Endoscopic removal is indicated for patients who have bezoars that fail to dissolve, moderate to severe symptoms due to large bezoars, or both. In some cases, small bezoars may be removed through a scope placed. Learn how they can be dissolved or. There are medical therapies to help dissolve some bezoars, though many require endoscopic or surgical management for. The exact process of bezoar formation can vary depending on the.
From www.dailymail.co.uk
Doctors removed 100 pieces of metal from a man's stomach Daily Mail How Are Bezoars Removed The exact process of bezoar formation can vary depending on the. During endoscopy, doctors sometimes use forceps, a laser, or other instruments to break bezoars into pieces so that they can pass through or be. In some cases, small bezoars may be removed through a scope placed. Endoscopic removal is indicated for patients who have bezoars that fail to dissolve,. How Are Bezoars Removed.
From www.researchgate.net
Photograph of two trichobezoars removed intraoperatively from the How Are Bezoars Removed In some cases, small bezoars may be removed through a scope placed. During endoscopy, doctors sometimes use forceps, a laser, or other instruments to break bezoars into pieces so that they can pass through or be. Learn how they can be dissolved or. There are medical therapies to help dissolve some bezoars, though many require endoscopic or surgical management for.. How Are Bezoars Removed.
From www.researchgate.net
Figure2.Photographs of the retrieved bezoars. The surface is brown (A How Are Bezoars Removed There are medical therapies to help dissolve some bezoars, though many require endoscopic or surgical management for. During endoscopy, doctors sometimes use forceps, a laser, or other instruments to break bezoars into pieces so that they can pass through or be. The bezoar may need to be surgically removed, especially if it is large. Learn how they can be dissolved. How Are Bezoars Removed.
From healthjade.com
Bezoar, gastric bezoar causes, symptoms, diagnosis and bezoar treatment How Are Bezoars Removed There are medical therapies to help dissolve some bezoars, though many require endoscopic or surgical management for. A bezoar is an undigested mass of material in the digestive tract that may produce symptoms. The bezoar may need to be surgically removed, especially if it is large. In some cases, small bezoars may be removed through a scope placed. During endoscopy,. How Are Bezoars Removed.
From jmedicalcasereports.biomedcentral.com
Bezoar in gastrojejunostomy presenting with symptoms of gastric outlet How Are Bezoars Removed The bezoar may need to be surgically removed, especially if it is large. The bezoar may need to be surgically removed, especially if it is large. A bezoar is an undigested mass of material in the digestive tract that may produce symptoms. During endoscopy, doctors sometimes use forceps, a laser, or other instruments to break bezoars into pieces so that. How Are Bezoars Removed.
From www.youtube.com
What Is A Bezoar? Object of Intrigue Atlas Obscura YouTube How Are Bezoars Removed In some cases, small bezoars may be removed through a scope. A bezoar is an undigested mass of material in the digestive tract that may produce symptoms. Endoscopic removal is indicated for patients who have bezoars that fail to dissolve, moderate to severe symptoms due to large bezoars, or both. The bezoar may need to be surgically removed, especially if. How Are Bezoars Removed.
From science.howstuffworks.com
The Magical Medicine of Bezoars HowStuffWorks How Are Bezoars Removed A bezoar forms when certain substances or materials accumulate and clump together in the gi tract, creating a solid mass. In some cases, small bezoars may be removed through a scope. During endoscopy, doctors sometimes use forceps, a laser, or other instruments to break bezoars into pieces so that they can pass through or be. Endoscopic removal is indicated for. How Are Bezoars Removed.
From radiopaedia.org
Image How Are Bezoars Removed A bezoar forms when certain substances or materials accumulate and clump together in the gi tract, creating a solid mass. During endoscopy, doctors sometimes use forceps, a laser, or other instruments to break bezoars into pieces so that they can pass through or be. Endoscopic removal is indicated for patients who have bezoars that fail to dissolve, moderate to severe. How Are Bezoars Removed.
From oladoc.com
How to Treat and Prevent Bezoars? Digestive Health How Are Bezoars Removed A bezoar forms when certain substances or materials accumulate and clump together in the gi tract, creating a solid mass. The exact process of bezoar formation can vary depending on the. In some cases, small bezoars may be removed through a scope. In some cases, small bezoars may be removed through a scope placed. During endoscopy, doctors sometimes use forceps,. How Are Bezoars Removed.
From www.cambridge.org
Discovery of an intercontinental trade in porcupine bezoars from the How Are Bezoars Removed In some cases, small bezoars may be removed through a scope placed. Endoscopic removal is indicated for patients who have bezoars that fail to dissolve, moderate to severe symptoms due to large bezoars, or both. The bezoar may need to be surgically removed, especially if it is large. Learn how they can be dissolved or. There are medical therapies to. How Are Bezoars Removed.
From www.verywellhealth.com
What Are Bezoars and How Are They Dissolved or Removed? How Are Bezoars Removed The bezoar may need to be surgically removed, especially if it is large. Learn how they can be dissolved or. During endoscopy, doctors sometimes use forceps, a laser, or other instruments to break bezoars into pieces so that they can pass through or be. A bezoar is an undigested mass of material in the digestive tract that may produce symptoms.. How Are Bezoars Removed.
From www.antiquestradegazette.com
Bezoars made much easier to stomach Antiques Trade Gazette How Are Bezoars Removed The exact process of bezoar formation can vary depending on the. There are medical therapies to help dissolve some bezoars, though many require endoscopic or surgical management for. Endoscopic removal is indicated for patients who have bezoars that fail to dissolve, moderate to severe symptoms due to large bezoars, or both. The bezoar may need to be surgically removed, especially. How Are Bezoars Removed.
From www.semanticscholar.org
Figure 1 from Migration of gastric bezoars leading to secondary ileus How Are Bezoars Removed Learn how they can be dissolved or. During endoscopy, doctors sometimes use forceps, a laser, or other instruments to break bezoars into pieces so that they can pass through or be. A bezoar forms when certain substances or materials accumulate and clump together in the gi tract, creating a solid mass. The bezoar may need to be surgically removed, especially. How Are Bezoars Removed.
From www.researchgate.net
Colonoscopy image of pumpkin seed bezoar in the rectum. Download How Are Bezoars Removed The bezoar may need to be surgically removed, especially if it is large. There are medical therapies to help dissolve some bezoars, though many require endoscopic or surgical management for. In some cases, small bezoars may be removed through a scope. The exact process of bezoar formation can vary depending on the. A bezoar forms when certain substances or materials. How Are Bezoars Removed.
From www.researchgate.net
Complete trichobezoars removed, consisted of (1) a huge stomach How Are Bezoars Removed The exact process of bezoar formation can vary depending on the. The bezoar may need to be surgically removed, especially if it is large. A bezoar forms when certain substances or materials accumulate and clump together in the gi tract, creating a solid mass. Endoscopic removal is indicated for patients who have bezoars that fail to dissolve, moderate to severe. How Are Bezoars Removed.
From www.cureus.com
Gastric Outlet Obstruction and Iron Deficiency Anemia Secondary to How Are Bezoars Removed There are medical therapies to help dissolve some bezoars, though many require endoscopic or surgical management for. The exact process of bezoar formation can vary depending on the. The bezoar may need to be surgically removed, especially if it is large. A bezoar is an undigested mass of material in the digestive tract that may produce symptoms. A bezoar forms. How Are Bezoars Removed.
From www.priscillawoolworth.com
Bezoar Stone How Are Bezoars Removed Endoscopic removal is indicated for patients who have bezoars that fail to dissolve, moderate to severe symptoms due to large bezoars, or both. A bezoar forms when certain substances or materials accumulate and clump together in the gi tract, creating a solid mass. In some cases, small bezoars may be removed through a scope. The exact process of bezoar formation. How Are Bezoars Removed.
From www.researchgate.net
Stomach and ileum bezoars (extracted after gastro entrotomy) The gross How Are Bezoars Removed In some cases, small bezoars may be removed through a scope. During endoscopy, doctors sometimes use forceps, a laser, or other instruments to break bezoars into pieces so that they can pass through or be. There are medical therapies to help dissolve some bezoars, though many require endoscopic or surgical management for. The exact process of bezoar formation can vary. How Are Bezoars Removed.
From www.radtechonduty.com
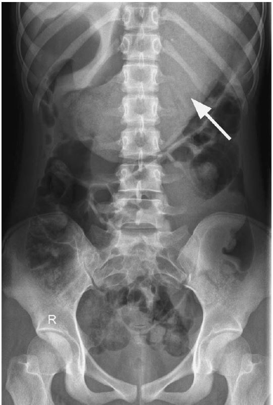
Bezoar Xray, Barium Studies, and CT Scan Examination RadTechOnDuty How Are Bezoars Removed In some cases, small bezoars may be removed through a scope placed. In some cases, small bezoars may be removed through a scope. Endoscopic removal is indicated for patients who have bezoars that fail to dissolve, moderate to severe symptoms due to large bezoars, or both. Learn how they can be dissolved or. The exact process of bezoar formation can. How Are Bezoars Removed.
From www.giejournal.org
Intraoperative endoscopic removal of a duodenal bezoar in a patient How Are Bezoars Removed Endoscopic removal is indicated for patients who have bezoars that fail to dissolve, moderate to severe symptoms due to large bezoars, or both. The exact process of bezoar formation can vary depending on the. The bezoar may need to be surgically removed, especially if it is large. There are medical therapies to help dissolve some bezoars, though many require endoscopic. How Are Bezoars Removed.
From www.researchgate.net
Huge, intraluminal bezoar lesion removed from the stomach. Download How Are Bezoars Removed Endoscopic removal is indicated for patients who have bezoars that fail to dissolve, moderate to severe symptoms due to large bezoars, or both. A bezoar is an undigested mass of material in the digestive tract that may produce symptoms. In some cases, small bezoars may be removed through a scope placed. In some cases, small bezoars may be removed through. How Are Bezoars Removed.
From www.researchgate.net
Flowchart of the treatment results for bezoars. Download Scientific How Are Bezoars Removed The bezoar may need to be surgically removed, especially if it is large. Learn how they can be dissolved or. Endoscopic removal is indicated for patients who have bezoars that fail to dissolve, moderate to severe symptoms due to large bezoars, or both. In some cases, small bezoars may be removed through a scope placed. A bezoar forms when certain. How Are Bezoars Removed.
From www.youtube.com
Gastric Bezoar /Causes/Symptoms and signs /Diagnosis /Bezoar Removal How Are Bezoars Removed The bezoar may need to be surgically removed, especially if it is large. The bezoar may need to be surgically removed, especially if it is large. Learn how they can be dissolved or. Endoscopic removal is indicated for patients who have bezoars that fail to dissolve, moderate to severe symptoms due to large bezoars, or both. A bezoar forms when. How Are Bezoars Removed.
From radiopaedia.org
Gastric bezoar Image How Are Bezoars Removed The exact process of bezoar formation can vary depending on the. A bezoar is an undigested mass of material in the digestive tract that may produce symptoms. Endoscopic removal is indicated for patients who have bezoars that fail to dissolve, moderate to severe symptoms due to large bezoars, or both. A bezoar forms when certain substances or materials accumulate and. How Are Bezoars Removed.
From www.slideserve.com
PPT BEZOAR PowerPoint Presentation, free download ID9724724 How Are Bezoars Removed A bezoar forms when certain substances or materials accumulate and clump together in the gi tract, creating a solid mass. In some cases, small bezoars may be removed through a scope placed. During endoscopy, doctors sometimes use forceps, a laser, or other instruments to break bezoars into pieces so that they can pass through or be. There are medical therapies. How Are Bezoars Removed.
From www.khm.at
Kunsthistorisches Museum Bezoar in Filigranfassung How Are Bezoars Removed Learn how they can be dissolved or. In some cases, small bezoars may be removed through a scope placed. There are medical therapies to help dissolve some bezoars, though many require endoscopic or surgical management for. A bezoar forms when certain substances or materials accumulate and clump together in the gi tract, creating a solid mass. The bezoar may need. How Are Bezoars Removed.
From oladoc.com
How to Treat and Prevent Bezoars? Digestive Health How Are Bezoars Removed Learn how they can be dissolved or. The bezoar may need to be surgically removed, especially if it is large. A bezoar forms when certain substances or materials accumulate and clump together in the gi tract, creating a solid mass. There are medical therapies to help dissolve some bezoars, though many require endoscopic or surgical management for. The exact process. How Are Bezoars Removed.
From www.researchgate.net
(PDF) Laparoscopic Surgery for Removal of the Multiple Large Gastric How Are Bezoars Removed There are medical therapies to help dissolve some bezoars, though many require endoscopic or surgical management for. Endoscopic removal is indicated for patients who have bezoars that fail to dissolve, moderate to severe symptoms due to large bezoars, or both. The exact process of bezoar formation can vary depending on the. In some cases, small bezoars may be removed through. How Are Bezoars Removed.
From www.reddit.com
A gastrostomy and an ileostomy to remove bezoars, and a phytobezoar in How Are Bezoars Removed Endoscopic removal is indicated for patients who have bezoars that fail to dissolve, moderate to severe symptoms due to large bezoars, or both. The bezoar may need to be surgically removed, especially if it is large. Learn how they can be dissolved or. The exact process of bezoar formation can vary depending on the. During endoscopy, doctors sometimes use forceps,. How Are Bezoars Removed.
From en.wikipedia.org
Bezoar Wikipedia How Are Bezoars Removed A bezoar is an undigested mass of material in the digestive tract that may produce symptoms. Learn how they can be dissolved or. There are medical therapies to help dissolve some bezoars, though many require endoscopic or surgical management for. In some cases, small bezoars may be removed through a scope placed. The bezoar may need to be surgically removed,. How Are Bezoars Removed.
From www.researchgate.net
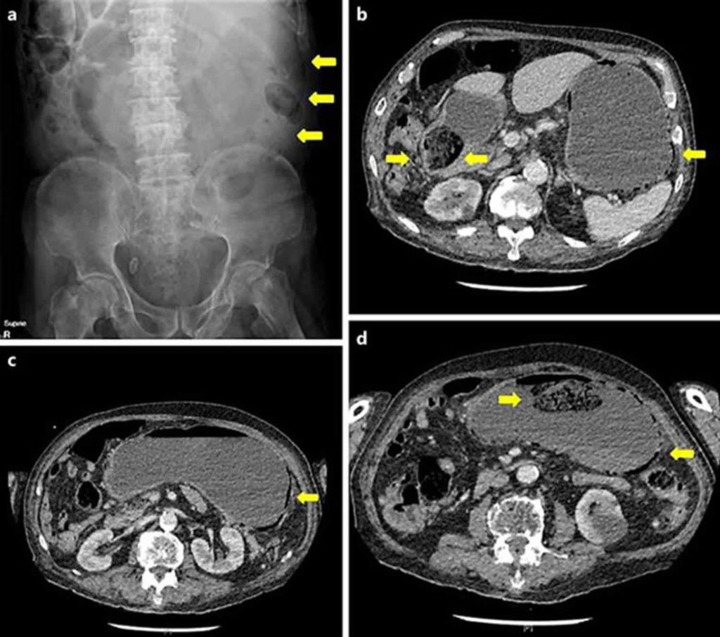
(A) Detection of a gastric bezoar of approximately 6 cm by How Are Bezoars Removed The bezoar may need to be surgically removed, especially if it is large. A bezoar forms when certain substances or materials accumulate and clump together in the gi tract, creating a solid mass. The exact process of bezoar formation can vary depending on the. The bezoar may need to be surgically removed, especially if it is large. In some cases,. How Are Bezoars Removed.
From www.youtube.com
bezoar YouTube How Are Bezoars Removed In some cases, small bezoars may be removed through a scope placed. The bezoar may need to be surgically removed, especially if it is large. There are medical therapies to help dissolve some bezoars, though many require endoscopic or surgical management for. Learn how they can be dissolved or. In some cases, small bezoars may be removed through a scope.. How Are Bezoars Removed.
From www.cureus.com
Cureus Rectal Bezoar A Rare Cause of Intestinal Obstruction How Are Bezoars Removed Endoscopic removal is indicated for patients who have bezoars that fail to dissolve, moderate to severe symptoms due to large bezoars, or both. The exact process of bezoar formation can vary depending on the. There are medical therapies to help dissolve some bezoars, though many require endoscopic or surgical management for. During endoscopy, doctors sometimes use forceps, a laser, or. How Are Bezoars Removed.
From www.ancient-origins.net
Bezoars The Sought After Ancient Jewels Made from Animal Stomach How Are Bezoars Removed A bezoar forms when certain substances or materials accumulate and clump together in the gi tract, creating a solid mass. In some cases, small bezoars may be removed through a scope placed. Learn how they can be dissolved or. In some cases, small bezoars may be removed through a scope. The exact process of bezoar formation can vary depending on. How Are Bezoars Removed.
From casereports.bmj.com
Recurrent gastric metal bezoar a rare cause of gastric outlet How Are Bezoars Removed A bezoar is an undigested mass of material in the digestive tract that may produce symptoms. In some cases, small bezoars may be removed through a scope. The exact process of bezoar formation can vary depending on the. There are medical therapies to help dissolve some bezoars, though many require endoscopic or surgical management for. During endoscopy, doctors sometimes use. How Are Bezoars Removed.