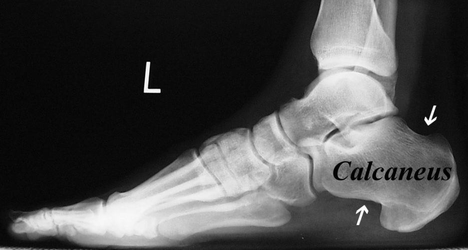
Pain On The Calcaneus Bone . If the pain persists longer than three weeks, it is best to seek professional advice. You might experience pain, soreness or tenderness anywhere in your heel,. Though most heel pain results from inflammation of tissues surrounding the calcaneus (e.g., tendons, bursae, and fasciae), injuries causing calcaneal fracture can occur. It is one of the tarsals, the bones that make up part of the foot and ankle. The calcaneus is the bone that forms the heel of the foot. This type of pain is a common complaint for people of all ages and activity. Heel pain is a very common foot and ankle problem. Learn about side heel pain causes, symptoms, and treatment options. Heel pain causes a throbbing, aching, burning, or stabbing sensation in the back or bottom of the foot. Discover how stress fractures, arthritis, tendon inflammation,. The calcaneus is the largest bone of the foot and provides the foundation for all of the other tarsals
from www.vrogue.co
Though most heel pain results from inflammation of tissues surrounding the calcaneus (e.g., tendons, bursae, and fasciae), injuries causing calcaneal fracture can occur. Heel pain causes a throbbing, aching, burning, or stabbing sensation in the back or bottom of the foot. Heel pain is a very common foot and ankle problem. This type of pain is a common complaint for people of all ages and activity. It is one of the tarsals, the bones that make up part of the foot and ankle. The calcaneus is the bone that forms the heel of the foot. Learn about side heel pain causes, symptoms, and treatment options. You might experience pain, soreness or tenderness anywhere in your heel,. Discover how stress fractures, arthritis, tendon inflammation,. If the pain persists longer than three weeks, it is best to seek professional advice.
Calcaneus Bone Anatomy Function Calcaneus Pain Calcan vrogue.co
Pain On The Calcaneus Bone Learn about side heel pain causes, symptoms, and treatment options. It is one of the tarsals, the bones that make up part of the foot and ankle. Discover how stress fractures, arthritis, tendon inflammation,. Heel pain causes a throbbing, aching, burning, or stabbing sensation in the back or bottom of the foot. The calcaneus is the bone that forms the heel of the foot. You might experience pain, soreness or tenderness anywhere in your heel,. This type of pain is a common complaint for people of all ages and activity. Learn about side heel pain causes, symptoms, and treatment options. Heel pain is a very common foot and ankle problem. Though most heel pain results from inflammation of tissues surrounding the calcaneus (e.g., tendons, bursae, and fasciae), injuries causing calcaneal fracture can occur. The calcaneus is the largest bone of the foot and provides the foundation for all of the other tarsals If the pain persists longer than three weeks, it is best to seek professional advice.
From www.floridaortho.com
Intraarticular Calcaneal Florida Orthopaedic Institute Pain On The Calcaneus Bone If the pain persists longer than three weeks, it is best to seek professional advice. Learn about side heel pain causes, symptoms, and treatment options. This type of pain is a common complaint for people of all ages and activity. The calcaneus is the bone that forms the heel of the foot. Discover how stress fractures, arthritis, tendon inflammation,. It. Pain On The Calcaneus Bone.
From healthjade.net
Calcaneus bone anatomy, function, calcaneus pain & calcaneus fracture Pain On The Calcaneus Bone The calcaneus is the largest bone of the foot and provides the foundation for all of the other tarsals Discover how stress fractures, arthritis, tendon inflammation,. If the pain persists longer than three weeks, it is best to seek professional advice. It is one of the tarsals, the bones that make up part of the foot and ankle. Heel pain. Pain On The Calcaneus Bone.
From sante.vip
Douleurs au talon causes, traitement et quand consulter un médecin Pain On The Calcaneus Bone If the pain persists longer than three weeks, it is best to seek professional advice. This type of pain is a common complaint for people of all ages and activity. It is one of the tarsals, the bones that make up part of the foot and ankle. Learn about side heel pain causes, symptoms, and treatment options. The calcaneus is. Pain On The Calcaneus Bone.
From astepahead.com.au
Extreme Heel Pain case study A Step Ahead Foot + Ankle Care Pain On The Calcaneus Bone Discover how stress fractures, arthritis, tendon inflammation,. If the pain persists longer than three weeks, it is best to seek professional advice. The calcaneus is the largest bone of the foot and provides the foundation for all of the other tarsals You might experience pain, soreness or tenderness anywhere in your heel,. Heel pain is a very common foot and. Pain On The Calcaneus Bone.
From www.motionspecificrelease.com
Lateral Foot Pain Cuboid Syndrome Pain On The Calcaneus Bone Though most heel pain results from inflammation of tissues surrounding the calcaneus (e.g., tendons, bursae, and fasciae), injuries causing calcaneal fracture can occur. The calcaneus is the bone that forms the heel of the foot. If the pain persists longer than three weeks, it is best to seek professional advice. The calcaneus is the largest bone of the foot and. Pain On The Calcaneus Bone.
From mavink.com
Plantar Calcaneal Spur Treatment Pain On The Calcaneus Bone Discover how stress fractures, arthritis, tendon inflammation,. Heel pain causes a throbbing, aching, burning, or stabbing sensation in the back or bottom of the foot. You might experience pain, soreness or tenderness anywhere in your heel,. The calcaneus is the bone that forms the heel of the foot. This type of pain is a common complaint for people of all. Pain On The Calcaneus Bone.
From footeducation.com
Anterior Process Fracture of the Calcaneus FootEducation Pain On The Calcaneus Bone Though most heel pain results from inflammation of tissues surrounding the calcaneus (e.g., tendons, bursae, and fasciae), injuries causing calcaneal fracture can occur. Learn about side heel pain causes, symptoms, and treatment options. Heel pain causes a throbbing, aching, burning, or stabbing sensation in the back or bottom of the foot. Discover how stress fractures, arthritis, tendon inflammation,. The calcaneus. Pain On The Calcaneus Bone.
From www.vrogue.co
Calcaneal Heel Bone Anatomy And Physiology Anatomy Pa vrogue.co Pain On The Calcaneus Bone You might experience pain, soreness or tenderness anywhere in your heel,. Though most heel pain results from inflammation of tissues surrounding the calcaneus (e.g., tendons, bursae, and fasciae), injuries causing calcaneal fracture can occur. Discover how stress fractures, arthritis, tendon inflammation,. This type of pain is a common complaint for people of all ages and activity. Heel pain causes a. Pain On The Calcaneus Bone.
From upswinghealth.com
What is a Calcaneal Stress Fracture & How to Recover? Upswing Health Pain On The Calcaneus Bone The calcaneus is the bone that forms the heel of the foot. Heel pain is a very common foot and ankle problem. You might experience pain, soreness or tenderness anywhere in your heel,. The calcaneus is the largest bone of the foot and provides the foundation for all of the other tarsals This type of pain is a common complaint. Pain On The Calcaneus Bone.
From www.pinterest.com
Comminuted Fracture of the Calcaneus or Heel Bone Calcaneus fracture Pain On The Calcaneus Bone The calcaneus is the bone that forms the heel of the foot. You might experience pain, soreness or tenderness anywhere in your heel,. Though most heel pain results from inflammation of tissues surrounding the calcaneus (e.g., tendons, bursae, and fasciae), injuries causing calcaneal fracture can occur. Heel pain is a very common foot and ankle problem. Discover how stress fractures,. Pain On The Calcaneus Bone.
From www.vrogue.co
Calcaneus Bone Anatomy Function Calcaneus Pain Calcan vrogue.co Pain On The Calcaneus Bone It is one of the tarsals, the bones that make up part of the foot and ankle. If the pain persists longer than three weeks, it is best to seek professional advice. Heel pain is a very common foot and ankle problem. Discover how stress fractures, arthritis, tendon inflammation,. The calcaneus is the largest bone of the foot and provides. Pain On The Calcaneus Bone.
From healthjade.com
Calcaneus bone anatomy, function, calcaneus pain & calcaneus fracture Pain On The Calcaneus Bone The calcaneus is the largest bone of the foot and provides the foundation for all of the other tarsals It is one of the tarsals, the bones that make up part of the foot and ankle. You might experience pain, soreness or tenderness anywhere in your heel,. Learn about side heel pain causes, symptoms, and treatment options. Discover how stress. Pain On The Calcaneus Bone.
From www.lybrate.com
Achilles Tendon (Human Anatomy) Picture, Function, Diseases, Tests Pain On The Calcaneus Bone You might experience pain, soreness or tenderness anywhere in your heel,. Heel pain is a very common foot and ankle problem. The calcaneus is the bone that forms the heel of the foot. The calcaneus is the largest bone of the foot and provides the foundation for all of the other tarsals Though most heel pain results from inflammation of. Pain On The Calcaneus Bone.
From casereports.bmj.com
Bilateral broken calcaneal spurs BMJ Case Reports Pain On The Calcaneus Bone Heel pain is a very common foot and ankle problem. You might experience pain, soreness or tenderness anywhere in your heel,. The calcaneus is the largest bone of the foot and provides the foundation for all of the other tarsals Heel pain causes a throbbing, aching, burning, or stabbing sensation in the back or bottom of the foot. This type. Pain On The Calcaneus Bone.
From www.dreamstime.com
Medical Animation of the Calcaneus Bone Pain Stock Image Image of Pain On The Calcaneus Bone Learn about side heel pain causes, symptoms, and treatment options. It is one of the tarsals, the bones that make up part of the foot and ankle. This type of pain is a common complaint for people of all ages and activity. Heel pain causes a throbbing, aching, burning, or stabbing sensation in the back or bottom of the foot.. Pain On The Calcaneus Bone.
From healthjade.net
Calcaneus bone anatomy, function, calcaneus pain & calcaneus fracture Pain On The Calcaneus Bone Though most heel pain results from inflammation of tissues surrounding the calcaneus (e.g., tendons, bursae, and fasciae), injuries causing calcaneal fracture can occur. Discover how stress fractures, arthritis, tendon inflammation,. The calcaneus is the bone that forms the heel of the foot. This type of pain is a common complaint for people of all ages and activity. You might experience. Pain On The Calcaneus Bone.
From orthoinfo.org
Sever's Disease (Heel Pain) OrthoInfo AAOS Pain On The Calcaneus Bone It is one of the tarsals, the bones that make up part of the foot and ankle. Though most heel pain results from inflammation of tissues surrounding the calcaneus (e.g., tendons, bursae, and fasciae), injuries causing calcaneal fracture can occur. Heel pain causes a throbbing, aching, burning, or stabbing sensation in the back or bottom of the foot. The calcaneus. Pain On The Calcaneus Bone.
From www.researchgate.net
Lateral heel radiograph showing the spur length. (a) Oblique line Pain On The Calcaneus Bone The calcaneus is the bone that forms the heel of the foot. If the pain persists longer than three weeks, it is best to seek professional advice. The calcaneus is the largest bone of the foot and provides the foundation for all of the other tarsals You might experience pain, soreness or tenderness anywhere in your heel,. Discover how stress. Pain On The Calcaneus Bone.
From www.askdrmakkar.com
Calcaneal spur Homeopathic Treatment Heel pain Progressive damage Pain On The Calcaneus Bone If the pain persists longer than three weeks, it is best to seek professional advice. Discover how stress fractures, arthritis, tendon inflammation,. The calcaneus is the bone that forms the heel of the foot. Heel pain is a very common foot and ankle problem. You might experience pain, soreness or tenderness anywhere in your heel,. This type of pain is. Pain On The Calcaneus Bone.
From healthjade.net
Calcaneus bone anatomy, function, calcaneus pain & calcaneus fracture Pain On The Calcaneus Bone You might experience pain, soreness or tenderness anywhere in your heel,. The calcaneus is the bone that forms the heel of the foot. It is one of the tarsals, the bones that make up part of the foot and ankle. This type of pain is a common complaint for people of all ages and activity. If the pain persists longer. Pain On The Calcaneus Bone.
From stock.adobe.com
Film Xray left lateral ankle radiograph showing spur at heel bone Pain On The Calcaneus Bone Learn about side heel pain causes, symptoms, and treatment options. You might experience pain, soreness or tenderness anywhere in your heel,. Heel pain is a very common foot and ankle problem. If the pain persists longer than three weeks, it is best to seek professional advice. This type of pain is a common complaint for people of all ages and. Pain On The Calcaneus Bone.
From ar.inspiredpencil.com
Calcaneus Bone Pain On The Calcaneus Bone Learn about side heel pain causes, symptoms, and treatment options. Heel pain is a very common foot and ankle problem. This type of pain is a common complaint for people of all ages and activity. Discover how stress fractures, arthritis, tendon inflammation,. If the pain persists longer than three weeks, it is best to seek professional advice. Though most heel. Pain On The Calcaneus Bone.
From footeducation.com
Anterior Process Fracture of the Calcaneus FootEducation Pain On The Calcaneus Bone You might experience pain, soreness or tenderness anywhere in your heel,. Heel pain causes a throbbing, aching, burning, or stabbing sensation in the back or bottom of the foot. If the pain persists longer than three weeks, it is best to seek professional advice. Though most heel pain results from inflammation of tissues surrounding the calcaneus (e.g., tendons, bursae, and. Pain On The Calcaneus Bone.
From healthjade.net
Calcaneus bone anatomy, function, calcaneus pain & calcaneus fracture Pain On The Calcaneus Bone This type of pain is a common complaint for people of all ages and activity. Heel pain causes a throbbing, aching, burning, or stabbing sensation in the back or bottom of the foot. Heel pain is a very common foot and ankle problem. Discover how stress fractures, arthritis, tendon inflammation,. Though most heel pain results from inflammation of tissues surrounding. Pain On The Calcaneus Bone.
From cbphysicaltherapy.com
Common Heel Injury in Children What is Sever’s Disease? Coury Pain On The Calcaneus Bone The calcaneus is the largest bone of the foot and provides the foundation for all of the other tarsals This type of pain is a common complaint for people of all ages and activity. If the pain persists longer than three weeks, it is best to seek professional advice. The calcaneus is the bone that forms the heel of the. Pain On The Calcaneus Bone.
From footeducation.com
Calcaneal Fractures FootEducation Pain On The Calcaneus Bone Though most heel pain results from inflammation of tissues surrounding the calcaneus (e.g., tendons, bursae, and fasciae), injuries causing calcaneal fracture can occur. The calcaneus is the largest bone of the foot and provides the foundation for all of the other tarsals Discover how stress fractures, arthritis, tendon inflammation,. This type of pain is a common complaint for people of. Pain On The Calcaneus Bone.
From www.alamy.com
Calcaneus fracture hires stock photography and images Alamy Pain On The Calcaneus Bone Though most heel pain results from inflammation of tissues surrounding the calcaneus (e.g., tendons, bursae, and fasciae), injuries causing calcaneal fracture can occur. This type of pain is a common complaint for people of all ages and activity. Discover how stress fractures, arthritis, tendon inflammation,. Learn about side heel pain causes, symptoms, and treatment options. You might experience pain, soreness. Pain On The Calcaneus Bone.
From www.vlr.eng.br
Calcaneus Fracture Symptoms Treatment By A Foot Specialist vlr.eng.br Pain On The Calcaneus Bone The calcaneus is the bone that forms the heel of the foot. Heel pain is a very common foot and ankle problem. If the pain persists longer than three weeks, it is best to seek professional advice. Heel pain causes a throbbing, aching, burning, or stabbing sensation in the back or bottom of the foot. Learn about side heel pain. Pain On The Calcaneus Bone.
From www.dreamstime.com
Calcaneus Bone Anatomy with Ciculatory System Stock Illustration Pain On The Calcaneus Bone Learn about side heel pain causes, symptoms, and treatment options. Heel pain causes a throbbing, aching, burning, or stabbing sensation in the back or bottom of the foot. The calcaneus is the bone that forms the heel of the foot. It is one of the tarsals, the bones that make up part of the foot and ankle. If the pain. Pain On The Calcaneus Bone.
From www.spandidos-publications.com
Primary tumours of the calcaneus (Review) Pain On The Calcaneus Bone Heel pain is a very common foot and ankle problem. It is one of the tarsals, the bones that make up part of the foot and ankle. You might experience pain, soreness or tenderness anywhere in your heel,. The calcaneus is the bone that forms the heel of the foot. Discover how stress fractures, arthritis, tendon inflammation,. This type of. Pain On The Calcaneus Bone.
From www.verywellhealth.com
Calcaneus Fracture A Broken Heel Bone Pain On The Calcaneus Bone Discover how stress fractures, arthritis, tendon inflammation,. Though most heel pain results from inflammation of tissues surrounding the calcaneus (e.g., tendons, bursae, and fasciae), injuries causing calcaneal fracture can occur. The calcaneus is the largest bone of the foot and provides the foundation for all of the other tarsals Learn about side heel pain causes, symptoms, and treatment options. This. Pain On The Calcaneus Bone.
From www.verywellhealth.com
Calcaneus Fracture Is a Broken Heel Bone Pain On The Calcaneus Bone It is one of the tarsals, the bones that make up part of the foot and ankle. Learn about side heel pain causes, symptoms, and treatment options. Discover how stress fractures, arthritis, tendon inflammation,. This type of pain is a common complaint for people of all ages and activity. The calcaneus is the bone that forms the heel of the. Pain On The Calcaneus Bone.
From www.podiatrypractice.com.au
Plantar fasciitis and heel pain Podiatrist Brisbane Podiatrist Pain On The Calcaneus Bone If the pain persists longer than three weeks, it is best to seek professional advice. The calcaneus is the largest bone of the foot and provides the foundation for all of the other tarsals Heel pain is a very common foot and ankle problem. It is one of the tarsals, the bones that make up part of the foot and. Pain On The Calcaneus Bone.
From www.orthobullets.com
Calcaneus Fractures Trauma Orthobullets Pain On The Calcaneus Bone This type of pain is a common complaint for people of all ages and activity. If the pain persists longer than three weeks, it is best to seek professional advice. Though most heel pain results from inflammation of tissues surrounding the calcaneus (e.g., tendons, bursae, and fasciae), injuries causing calcaneal fracture can occur. It is one of the tarsals, the. Pain On The Calcaneus Bone.
From www.rehabmypatient.com
Calcaneal Spur Rehab My Patient Pain On The Calcaneus Bone Learn about side heel pain causes, symptoms, and treatment options. The calcaneus is the bone that forms the heel of the foot. Heel pain causes a throbbing, aching, burning, or stabbing sensation in the back or bottom of the foot. Discover how stress fractures, arthritis, tendon inflammation,. Though most heel pain results from inflammation of tissues surrounding the calcaneus (e.g.,. Pain On The Calcaneus Bone.