Swiss Cheese Infection . Lately, in the ongoing conversation about how to defeat the coronavirus, experts have made reference to the “swiss cheese model” of. One layer might be a lack of physical distancing, another not doing. In essence, infection prevention and control isn’t just one measure, but many practices and strategies used in conjunction. Fresh air cuts the risk of infection and the ultraviolet radiation from sunlight can destroy virus left on surfaces. Merlino’s team finds it helpful to refer to the swiss cheese model posited by james reason, phd, in the. It was possible to lower the infection rate in hcp by reducing the workload through the efficient distribution of medical.
from slideplayer.com
Merlino’s team finds it helpful to refer to the swiss cheese model posited by james reason, phd, in the. It was possible to lower the infection rate in hcp by reducing the workload through the efficient distribution of medical. In essence, infection prevention and control isn’t just one measure, but many practices and strategies used in conjunction. Lately, in the ongoing conversation about how to defeat the coronavirus, experts have made reference to the “swiss cheese model” of. Fresh air cuts the risk of infection and the ultraviolet radiation from sunlight can destroy virus left on surfaces. One layer might be a lack of physical distancing, another not doing.
Malware and Social Engineering ppt download
Swiss Cheese Infection Lately, in the ongoing conversation about how to defeat the coronavirus, experts have made reference to the “swiss cheese model” of. Merlino’s team finds it helpful to refer to the swiss cheese model posited by james reason, phd, in the. It was possible to lower the infection rate in hcp by reducing the workload through the efficient distribution of medical. One layer might be a lack of physical distancing, another not doing. Lately, in the ongoing conversation about how to defeat the coronavirus, experts have made reference to the “swiss cheese model” of. Fresh air cuts the risk of infection and the ultraviolet radiation from sunlight can destroy virus left on surfaces. In essence, infection prevention and control isn’t just one measure, but many practices and strategies used in conjunction.
From bioone.org
Special Collection Highlights of Medical, Urban and Veterinary Swiss Cheese Infection Fresh air cuts the risk of infection and the ultraviolet radiation from sunlight can destroy virus left on surfaces. Merlino’s team finds it helpful to refer to the swiss cheese model posited by james reason, phd, in the. In essence, infection prevention and control isn’t just one measure, but many practices and strategies used in conjunction. One layer might be. Swiss Cheese Infection.
From slideplayer.com
Malware and Social Engineering ppt download Swiss Cheese Infection Fresh air cuts the risk of infection and the ultraviolet radiation from sunlight can destroy virus left on surfaces. It was possible to lower the infection rate in hcp by reducing the workload through the efficient distribution of medical. One layer might be a lack of physical distancing, another not doing. Merlino’s team finds it helpful to refer to the. Swiss Cheese Infection.
From pxhere.com
Free Images white, old, isolated, food, produce, macro, biology Swiss Cheese Infection In essence, infection prevention and control isn’t just one measure, but many practices and strategies used in conjunction. Lately, in the ongoing conversation about how to defeat the coronavirus, experts have made reference to the “swiss cheese model” of. Merlino’s team finds it helpful to refer to the swiss cheese model posited by james reason, phd, in the. Fresh air. Swiss Cheese Infection.
From www.infectioncontroltoday.com
Swiss Cheese Model—How Infection Prevention Really Works Swiss Cheese Infection Fresh air cuts the risk of infection and the ultraviolet radiation from sunlight can destroy virus left on surfaces. One layer might be a lack of physical distancing, another not doing. It was possible to lower the infection rate in hcp by reducing the workload through the efficient distribution of medical. In essence, infection prevention and control isn’t just one. Swiss Cheese Infection.
From ctfo.ca
Sliced Swiss Cheese • Marché CTFO Swiss Cheese Infection In essence, infection prevention and control isn’t just one measure, but many practices and strategies used in conjunction. Lately, in the ongoing conversation about how to defeat the coronavirus, experts have made reference to the “swiss cheese model” of. Fresh air cuts the risk of infection and the ultraviolet radiation from sunlight can destroy virus left on surfaces. One layer. Swiss Cheese Infection.
From uxdesign.cc
A swiss cheese model for reducing biases in user research by Swiss Cheese Infection Lately, in the ongoing conversation about how to defeat the coronavirus, experts have made reference to the “swiss cheese model” of. One layer might be a lack of physical distancing, another not doing. It was possible to lower the infection rate in hcp by reducing the workload through the efficient distribution of medical. Merlino’s team finds it helpful to refer. Swiss Cheese Infection.
From nhpelectrical.blogspot.com
Official Safety Blog from NHP Electrical Engineering Swiss Cheese Infection One layer might be a lack of physical distancing, another not doing. Lately, in the ongoing conversation about how to defeat the coronavirus, experts have made reference to the “swiss cheese model” of. Merlino’s team finds it helpful to refer to the swiss cheese model posited by james reason, phd, in the. In essence, infection prevention and control isn’t just. Swiss Cheese Infection.
From www.mtu.edu
Swiss Cheese and Safety Michigan Tech Research Blog Swiss Cheese Infection One layer might be a lack of physical distancing, another not doing. It was possible to lower the infection rate in hcp by reducing the workload through the efficient distribution of medical. Lately, in the ongoing conversation about how to defeat the coronavirus, experts have made reference to the “swiss cheese model” of. Merlino’s team finds it helpful to refer. Swiss Cheese Infection.
From pdihc.com
COVID19’s Impact on Infection Prevention Insights from PDI’s Clinical Swiss Cheese Infection One layer might be a lack of physical distancing, another not doing. In essence, infection prevention and control isn’t just one measure, but many practices and strategies used in conjunction. It was possible to lower the infection rate in hcp by reducing the workload through the efficient distribution of medical. Fresh air cuts the risk of infection and the ultraviolet. Swiss Cheese Infection.
From www.infectioncontroltoday.com
Swiss Cheese Model—How Infection Prevention Really Works Swiss Cheese Infection Lately, in the ongoing conversation about how to defeat the coronavirus, experts have made reference to the “swiss cheese model” of. One layer might be a lack of physical distancing, another not doing. In essence, infection prevention and control isn’t just one measure, but many practices and strategies used in conjunction. It was possible to lower the infection rate in. Swiss Cheese Infection.
From coverage.bluecrossma.com
How we can help keep each other safe Coverage Swiss Cheese Infection One layer might be a lack of physical distancing, another not doing. Fresh air cuts the risk of infection and the ultraviolet radiation from sunlight can destroy virus left on surfaces. In essence, infection prevention and control isn’t just one measure, but many practices and strategies used in conjunction. Merlino’s team finds it helpful to refer to the swiss cheese. Swiss Cheese Infection.
From intracare.nl
How the Swiss cheese model prevents reaching critical bifurcation point Swiss Cheese Infection It was possible to lower the infection rate in hcp by reducing the workload through the efficient distribution of medical. Lately, in the ongoing conversation about how to defeat the coronavirus, experts have made reference to the “swiss cheese model” of. In essence, infection prevention and control isn’t just one measure, but many practices and strategies used in conjunction. One. Swiss Cheese Infection.
From www.opus-group.com
Creative Interior Design During & Post COVID19 The Opus Group Swiss Cheese Infection Fresh air cuts the risk of infection and the ultraviolet radiation from sunlight can destroy virus left on surfaces. It was possible to lower the infection rate in hcp by reducing the workload through the efficient distribution of medical. In essence, infection prevention and control isn’t just one measure, but many practices and strategies used in conjunction. Lately, in the. Swiss Cheese Infection.
From www.tiktok.com
total domination paranoia cs counterstrike cs2 cs2moments рек Swiss Cheese Infection Fresh air cuts the risk of infection and the ultraviolet radiation from sunlight can destroy virus left on surfaces. Merlino’s team finds it helpful to refer to the swiss cheese model posited by james reason, phd, in the. In essence, infection prevention and control isn’t just one measure, but many practices and strategies used in conjunction. It was possible to. Swiss Cheese Infection.
From pxhere.com
Free Images white, old, isolated, steel, food, produce, macro Swiss Cheese Infection One layer might be a lack of physical distancing, another not doing. Merlino’s team finds it helpful to refer to the swiss cheese model posited by james reason, phd, in the. Fresh air cuts the risk of infection and the ultraviolet radiation from sunlight can destroy virus left on surfaces. It was possible to lower the infection rate in hcp. Swiss Cheese Infection.
From blog.emsisoft.com
How we use the Swiss cheese model to prevent malware infections Swiss Cheese Infection Merlino’s team finds it helpful to refer to the swiss cheese model posited by james reason, phd, in the. Fresh air cuts the risk of infection and the ultraviolet radiation from sunlight can destroy virus left on surfaces. It was possible to lower the infection rate in hcp by reducing the workload through the efficient distribution of medical. One layer. Swiss Cheese Infection.
From greenboog.com
How to Care for Your Swiss Cheese Plant Tips for Trimming Brown Leaves Swiss Cheese Infection In essence, infection prevention and control isn’t just one measure, but many practices and strategies used in conjunction. Fresh air cuts the risk of infection and the ultraviolet radiation from sunlight can destroy virus left on surfaces. One layer might be a lack of physical distancing, another not doing. It was possible to lower the infection rate in hcp by. Swiss Cheese Infection.
From www.youtube.com
Armored virus infection appender, split, & Swiss cheese YouTube Swiss Cheese Infection It was possible to lower the infection rate in hcp by reducing the workload through the efficient distribution of medical. Lately, in the ongoing conversation about how to defeat the coronavirus, experts have made reference to the “swiss cheese model” of. One layer might be a lack of physical distancing, another not doing. Merlino’s team finds it helpful to refer. Swiss Cheese Infection.
From www.coxhealth.com
Preventing COVID19 using the Swiss Cheese Model CoxHealth Swiss Cheese Infection Fresh air cuts the risk of infection and the ultraviolet radiation from sunlight can destroy virus left on surfaces. Merlino’s team finds it helpful to refer to the swiss cheese model posited by james reason, phd, in the. Lately, in the ongoing conversation about how to defeat the coronavirus, experts have made reference to the “swiss cheese model” of. In. Swiss Cheese Infection.
From www.saskatooncommunityclinic.ca
Preventing the Spread the Swiss Cheese Effect Saskatoon Community Clinic Swiss Cheese Infection Fresh air cuts the risk of infection and the ultraviolet radiation from sunlight can destroy virus left on surfaces. It was possible to lower the infection rate in hcp by reducing the workload through the efficient distribution of medical. Merlino’s team finds it helpful to refer to the swiss cheese model posited by james reason, phd, in the. Lately, in. Swiss Cheese Infection.
From vesseldynamics.com
Swiss Cheese Model Covid 19 Leigh McCue Swiss Cheese Infection Fresh air cuts the risk of infection and the ultraviolet radiation from sunlight can destroy virus left on surfaces. Lately, in the ongoing conversation about how to defeat the coronavirus, experts have made reference to the “swiss cheese model” of. One layer might be a lack of physical distancing, another not doing. Merlino’s team finds it helpful to refer to. Swiss Cheese Infection.
From www.facebook.com
MLE NOVEMBER 2024 ICF RECAP Student Midwives Nook was live. By Swiss Cheese Infection It was possible to lower the infection rate in hcp by reducing the workload through the efficient distribution of medical. Lately, in the ongoing conversation about how to defeat the coronavirus, experts have made reference to the “swiss cheese model” of. One layer might be a lack of physical distancing, another not doing. Merlino’s team finds it helpful to refer. Swiss Cheese Infection.
From eframofficefurniture.com
Infectious Disease Types, Causes & Treatments (2023) Swiss Cheese Infection One layer might be a lack of physical distancing, another not doing. Merlino’s team finds it helpful to refer to the swiss cheese model posited by james reason, phd, in the. Fresh air cuts the risk of infection and the ultraviolet radiation from sunlight can destroy virus left on surfaces. In essence, infection prevention and control isn’t just one measure,. Swiss Cheese Infection.
From www.nytimes.com
The Swiss Cheese Model of Pandemic Defense The New York Times Swiss Cheese Infection Merlino’s team finds it helpful to refer to the swiss cheese model posited by james reason, phd, in the. Fresh air cuts the risk of infection and the ultraviolet radiation from sunlight can destroy virus left on surfaces. In essence, infection prevention and control isn’t just one measure, but many practices and strategies used in conjunction. Lately, in the ongoing. Swiss Cheese Infection.
From www.msn.com
Chef dies after catching fungal infection spreading across America Swiss Cheese Infection It was possible to lower the infection rate in hcp by reducing the workload through the efficient distribution of medical. Fresh air cuts the risk of infection and the ultraviolet radiation from sunlight can destroy virus left on surfaces. Lately, in the ongoing conversation about how to defeat the coronavirus, experts have made reference to the “swiss cheese model” of.. Swiss Cheese Infection.
From www.infectioncontroltoday.com
Swiss Cheese Model—How Infection Prevention Really Works Swiss Cheese Infection It was possible to lower the infection rate in hcp by reducing the workload through the efficient distribution of medical. One layer might be a lack of physical distancing, another not doing. Fresh air cuts the risk of infection and the ultraviolet radiation from sunlight can destroy virus left on surfaces. Merlino’s team finds it helpful to refer to the. Swiss Cheese Infection.
From safetec.com
What is the Swiss Cheese Model of Infection Prevention? Safetec Swiss Cheese Infection In essence, infection prevention and control isn’t just one measure, but many practices and strategies used in conjunction. Merlino’s team finds it helpful to refer to the swiss cheese model posited by james reason, phd, in the. Lately, in the ongoing conversation about how to defeat the coronavirus, experts have made reference to the “swiss cheese model” of. It was. Swiss Cheese Infection.
From radiologykey.com
Tropical Infections of the Liver Radiology Key Swiss Cheese Infection One layer might be a lack of physical distancing, another not doing. Merlino’s team finds it helpful to refer to the swiss cheese model posited by james reason, phd, in the. Lately, in the ongoing conversation about how to defeat the coronavirus, experts have made reference to the “swiss cheese model” of. In essence, infection prevention and control isn’t just. Swiss Cheese Infection.
From www.emsisoft.com
How we use the Swiss cheese model to prevent malware infections Swiss Cheese Infection One layer might be a lack of physical distancing, another not doing. Lately, in the ongoing conversation about how to defeat the coronavirus, experts have made reference to the “swiss cheese model” of. Fresh air cuts the risk of infection and the ultraviolet radiation from sunlight can destroy virus left on surfaces. Merlino’s team finds it helpful to refer to. Swiss Cheese Infection.
From www.ibtimes.sg
What Is Blastomycosis? The Fungal Infection That Created 'Swiss Cheese Swiss Cheese Infection Lately, in the ongoing conversation about how to defeat the coronavirus, experts have made reference to the “swiss cheese model” of. Merlino’s team finds it helpful to refer to the swiss cheese model posited by james reason, phd, in the. One layer might be a lack of physical distancing, another not doing. Fresh air cuts the risk of infection and. Swiss Cheese Infection.
From glitterbug.com.au
The Swiss cheese model of virus prevention GlitterBug Swiss Cheese Infection Fresh air cuts the risk of infection and the ultraviolet radiation from sunlight can destroy virus left on surfaces. It was possible to lower the infection rate in hcp by reducing the workload through the efficient distribution of medical. Merlino’s team finds it helpful to refer to the swiss cheese model posited by james reason, phd, in the. One layer. Swiss Cheese Infection.
From www.infectioncontroltoday.com
Swiss Cheese Model—How Infection Prevention Really Works Swiss Cheese Infection Merlino’s team finds it helpful to refer to the swiss cheese model posited by james reason, phd, in the. In essence, infection prevention and control isn’t just one measure, but many practices and strategies used in conjunction. Fresh air cuts the risk of infection and the ultraviolet radiation from sunlight can destroy virus left on surfaces. One layer might be. Swiss Cheese Infection.
From link.springer.com
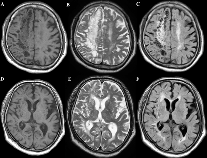
Swiss cheese brain presenting as corticobasal syndrome Neurological Swiss Cheese Infection In essence, infection prevention and control isn’t just one measure, but many practices and strategies used in conjunction. It was possible to lower the infection rate in hcp by reducing the workload through the efficient distribution of medical. Lately, in the ongoing conversation about how to defeat the coronavirus, experts have made reference to the “swiss cheese model” of. One. Swiss Cheese Infection.
From www.researchgate.net
The “Swiss cheese model” of accident causation (more accurately called Swiss Cheese Infection Lately, in the ongoing conversation about how to defeat the coronavirus, experts have made reference to the “swiss cheese model” of. One layer might be a lack of physical distancing, another not doing. It was possible to lower the infection rate in hcp by reducing the workload through the efficient distribution of medical. In essence, infection prevention and control isn’t. Swiss Cheese Infection.
From www.youtube.com
The Swiss Cheese Model of Risk YouTube Swiss Cheese Infection Fresh air cuts the risk of infection and the ultraviolet radiation from sunlight can destroy virus left on surfaces. In essence, infection prevention and control isn’t just one measure, but many practices and strategies used in conjunction. One layer might be a lack of physical distancing, another not doing. Lately, in the ongoing conversation about how to defeat the coronavirus,. Swiss Cheese Infection.