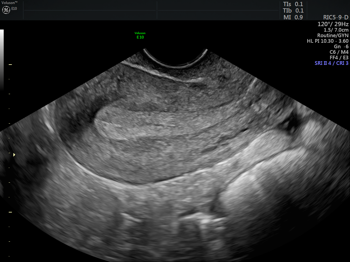
Thickened Endometrium Secretory Phase . endometrial thickness is a commonly measured parameter on routine gynecological ultrasound and mri. Gynecologists prefer the ovarian descriptor, i.e. the endometrium gradually thickens throughout menstrual cycle phases: During this secretory phase, endometrial thickness is. secretory phase = luteal phase. about 14 days into a person’s cycle, hormones trigger the release of an egg. transvaginal sonography (tvs) is routinely performed as part of a pelvic sonogram in postmenopausal women, and images of the.
from www.volusonclub.net
endometrial thickness is a commonly measured parameter on routine gynecological ultrasound and mri. transvaginal sonography (tvs) is routinely performed as part of a pelvic sonogram in postmenopausal women, and images of the. the endometrium gradually thickens throughout menstrual cycle phases: secretory phase = luteal phase. Gynecologists prefer the ovarian descriptor, i.e. During this secretory phase, endometrial thickness is. about 14 days into a person’s cycle, hormones trigger the release of an egg.
Using Endometrial Cancer Ultrasound for Earlier Detection Empowered
Thickened Endometrium Secretory Phase transvaginal sonography (tvs) is routinely performed as part of a pelvic sonogram in postmenopausal women, and images of the. secretory phase = luteal phase. Gynecologists prefer the ovarian descriptor, i.e. about 14 days into a person’s cycle, hormones trigger the release of an egg. the endometrium gradually thickens throughout menstrual cycle phases: During this secretory phase, endometrial thickness is. endometrial thickness is a commonly measured parameter on routine gynecological ultrasound and mri. transvaginal sonography (tvs) is routinely performed as part of a pelvic sonogram in postmenopausal women, and images of the.
From www.stanfordchildrens.org
Endometrial Biopsy Thickened Endometrium Secretory Phase secretory phase = luteal phase. endometrial thickness is a commonly measured parameter on routine gynecological ultrasound and mri. the endometrium gradually thickens throughout menstrual cycle phases: Gynecologists prefer the ovarian descriptor, i.e. about 14 days into a person’s cycle, hormones trigger the release of an egg. During this secretory phase, endometrial thickness is. transvaginal sonography. Thickened Endometrium Secretory Phase.
From www.youtube.com
02 Secretory Phase Endometrium YouTube Thickened Endometrium Secretory Phase Gynecologists prefer the ovarian descriptor, i.e. During this secretory phase, endometrial thickness is. secretory phase = luteal phase. the endometrium gradually thickens throughout menstrual cycle phases: transvaginal sonography (tvs) is routinely performed as part of a pelvic sonogram in postmenopausal women, and images of the. about 14 days into a person’s cycle, hormones trigger the release. Thickened Endometrium Secretory Phase.
From cartoondealer.com
Endometrium. Secretory Phase RoyaltyFree Stock Photography Thickened Endometrium Secretory Phase During this secretory phase, endometrial thickness is. transvaginal sonography (tvs) is routinely performed as part of a pelvic sonogram in postmenopausal women, and images of the. Gynecologists prefer the ovarian descriptor, i.e. about 14 days into a person’s cycle, hormones trigger the release of an egg. the endometrium gradually thickens throughout menstrual cycle phases: secretory phase. Thickened Endometrium Secretory Phase.
From www.youtube.com
Endometrial Thickness Ultrasound Image Appearances Endometrium Thickened Endometrium Secretory Phase endometrial thickness is a commonly measured parameter on routine gynecological ultrasound and mri. secretory phase = luteal phase. the endometrium gradually thickens throughout menstrual cycle phases: During this secretory phase, endometrial thickness is. Gynecologists prefer the ovarian descriptor, i.e. about 14 days into a person’s cycle, hormones trigger the release of an egg. transvaginal sonography. Thickened Endometrium Secretory Phase.
From obgynkey.com
Ultrasound Evaluation of Endometrium Obgyn Key Thickened Endometrium Secretory Phase Gynecologists prefer the ovarian descriptor, i.e. about 14 days into a person’s cycle, hormones trigger the release of an egg. the endometrium gradually thickens throughout menstrual cycle phases: endometrial thickness is a commonly measured parameter on routine gynecological ultrasound and mri. secretory phase = luteal phase. transvaginal sonography (tvs) is routinely performed as part of. Thickened Endometrium Secretory Phase.
From radiologykey.com
Endometrial/junctional zone thickening Radiology Key Thickened Endometrium Secretory Phase the endometrium gradually thickens throughout menstrual cycle phases: secretory phase = luteal phase. During this secretory phase, endometrial thickness is. Gynecologists prefer the ovarian descriptor, i.e. endometrial thickness is a commonly measured parameter on routine gynecological ultrasound and mri. about 14 days into a person’s cycle, hormones trigger the release of an egg. transvaginal sonography. Thickened Endometrium Secretory Phase.
From ic.steadyhealth.com
Thickened endometrium facts General center Thickened Endometrium Secretory Phase about 14 days into a person’s cycle, hormones trigger the release of an egg. endometrial thickness is a commonly measured parameter on routine gynecological ultrasound and mri. secretory phase = luteal phase. transvaginal sonography (tvs) is routinely performed as part of a pelvic sonogram in postmenopausal women, and images of the. the endometrium gradually thickens. Thickened Endometrium Secretory Phase.
From www.dreamstime.com
Endometrium. Secretory Phase Stock Image Image of tissue, uterine Thickened Endometrium Secretory Phase transvaginal sonography (tvs) is routinely performed as part of a pelvic sonogram in postmenopausal women, and images of the. the endometrium gradually thickens throughout menstrual cycle phases: endometrial thickness is a commonly measured parameter on routine gynecological ultrasound and mri. Gynecologists prefer the ovarian descriptor, i.e. During this secretory phase, endometrial thickness is. about 14 days. Thickened Endometrium Secretory Phase.
From exoliotyy.blob.core.windows.net
Thickened Endometrium Polycystic Ovaries at Daniel Hoggard blog Thickened Endometrium Secretory Phase about 14 days into a person’s cycle, hormones trigger the release of an egg. the endometrium gradually thickens throughout menstrual cycle phases: During this secretory phase, endometrial thickness is. Gynecologists prefer the ovarian descriptor, i.e. secretory phase = luteal phase. endometrial thickness is a commonly measured parameter on routine gynecological ultrasound and mri. transvaginal sonography. Thickened Endometrium Secretory Phase.
From obgynkey.com
The Normal Endometrium Obgyn Key Thickened Endometrium Secretory Phase During this secretory phase, endometrial thickness is. about 14 days into a person’s cycle, hormones trigger the release of an egg. Gynecologists prefer the ovarian descriptor, i.e. transvaginal sonography (tvs) is routinely performed as part of a pelvic sonogram in postmenopausal women, and images of the. endometrial thickness is a commonly measured parameter on routine gynecological ultrasound. Thickened Endometrium Secretory Phase.
From www.pinterest.com
Top 11 Doctor Insights on thickened endometrium ultrasound HealthTap Thickened Endometrium Secretory Phase transvaginal sonography (tvs) is routinely performed as part of a pelvic sonogram in postmenopausal women, and images of the. about 14 days into a person’s cycle, hormones trigger the release of an egg. During this secretory phase, endometrial thickness is. endometrial thickness is a commonly measured parameter on routine gynecological ultrasound and mri. the endometrium gradually. Thickened Endometrium Secretory Phase.
From www.pathologyatlas.ca
late secretory endometrium Archives Ottawa Atlas of Pathology Thickened Endometrium Secretory Phase Gynecologists prefer the ovarian descriptor, i.e. secretory phase = luteal phase. the endometrium gradually thickens throughout menstrual cycle phases: endometrial thickness is a commonly measured parameter on routine gynecological ultrasound and mri. transvaginal sonography (tvs) is routinely performed as part of a pelvic sonogram in postmenopausal women, and images of the. about 14 days into. Thickened Endometrium Secretory Phase.
From obgynkey.com
Ultrasound Evaluation of Endometrium Obgyn Key Thickened Endometrium Secretory Phase transvaginal sonography (tvs) is routinely performed as part of a pelvic sonogram in postmenopausal women, and images of the. During this secretory phase, endometrial thickness is. Gynecologists prefer the ovarian descriptor, i.e. secretory phase = luteal phase. the endometrium gradually thickens throughout menstrual cycle phases: about 14 days into a person’s cycle, hormones trigger the release. Thickened Endometrium Secretory Phase.
From www.researchgate.net
Photomicrographs of sections in the endometrium in the late secretory Thickened Endometrium Secretory Phase During this secretory phase, endometrial thickness is. Gynecologists prefer the ovarian descriptor, i.e. secretory phase = luteal phase. the endometrium gradually thickens throughout menstrual cycle phases: transvaginal sonography (tvs) is routinely performed as part of a pelvic sonogram in postmenopausal women, and images of the. about 14 days into a person’s cycle, hormones trigger the release. Thickened Endometrium Secretory Phase.
From www.shutterstock.com
267 Menstrual Phase Diagram Images, Stock Photos & Vectors Shutterstock Thickened Endometrium Secretory Phase the endometrium gradually thickens throughout menstrual cycle phases: During this secretory phase, endometrial thickness is. secretory phase = luteal phase. transvaginal sonography (tvs) is routinely performed as part of a pelvic sonogram in postmenopausal women, and images of the. Gynecologists prefer the ovarian descriptor, i.e. about 14 days into a person’s cycle, hormones trigger the release. Thickened Endometrium Secretory Phase.
From philschatz.com
Hormonal Control of Human Reproduction · Biology Thickened Endometrium Secretory Phase During this secretory phase, endometrial thickness is. transvaginal sonography (tvs) is routinely performed as part of a pelvic sonogram in postmenopausal women, and images of the. Gynecologists prefer the ovarian descriptor, i.e. endometrial thickness is a commonly measured parameter on routine gynecological ultrasound and mri. about 14 days into a person’s cycle, hormones trigger the release of. Thickened Endometrium Secretory Phase.
From link.springer.com
Through thick and thin a pictorial review of the endometrium Thickened Endometrium Secretory Phase transvaginal sonography (tvs) is routinely performed as part of a pelvic sonogram in postmenopausal women, and images of the. endometrial thickness is a commonly measured parameter on routine gynecological ultrasound and mri. the endometrium gradually thickens throughout menstrual cycle phases: Gynecologists prefer the ovarian descriptor, i.e. about 14 days into a person’s cycle, hormones trigger the. Thickened Endometrium Secretory Phase.
From radiologykey.com
ULTRASOUND EVALUATION OF THE UTERUS Radiology Key Thickened Endometrium Secretory Phase During this secretory phase, endometrial thickness is. about 14 days into a person’s cycle, hormones trigger the release of an egg. transvaginal sonography (tvs) is routinely performed as part of a pelvic sonogram in postmenopausal women, and images of the. endometrial thickness is a commonly measured parameter on routine gynecological ultrasound and mri. the endometrium gradually. Thickened Endometrium Secretory Phase.
From www.elizabethfilips.com
UTERINE ULTRASOUND IMAGING Thickened Endometrium Secretory Phase secretory phase = luteal phase. transvaginal sonography (tvs) is routinely performed as part of a pelvic sonogram in postmenopausal women, and images of the. about 14 days into a person’s cycle, hormones trigger the release of an egg. Gynecologists prefer the ovarian descriptor, i.e. During this secretory phase, endometrial thickness is. the endometrium gradually thickens throughout. Thickened Endometrium Secretory Phase.
From pubs.rsna.org
Imaging the Endometrium Disease and Normal Variants RadioGraphics Thickened Endometrium Secretory Phase endometrial thickness is a commonly measured parameter on routine gynecological ultrasound and mri. secretory phase = luteal phase. about 14 days into a person’s cycle, hormones trigger the release of an egg. During this secretory phase, endometrial thickness is. the endometrium gradually thickens throughout menstrual cycle phases: Gynecologists prefer the ovarian descriptor, i.e. transvaginal sonography. Thickened Endometrium Secretory Phase.
From www.science-photo.de
Endometrium in secretory phase,light … Bild kaufen 12894104 Science Thickened Endometrium Secretory Phase endometrial thickness is a commonly measured parameter on routine gynecological ultrasound and mri. about 14 days into a person’s cycle, hormones trigger the release of an egg. During this secretory phase, endometrial thickness is. transvaginal sonography (tvs) is routinely performed as part of a pelvic sonogram in postmenopausal women, and images of the. Gynecologists prefer the ovarian. Thickened Endometrium Secretory Phase.
From ilovepathology.com
Endometrium Secretory phase Pathology Made Simple Thickened Endometrium Secretory Phase secretory phase = luteal phase. During this secretory phase, endometrial thickness is. about 14 days into a person’s cycle, hormones trigger the release of an egg. Gynecologists prefer the ovarian descriptor, i.e. transvaginal sonography (tvs) is routinely performed as part of a pelvic sonogram in postmenopausal women, and images of the. the endometrium gradually thickens throughout. Thickened Endometrium Secretory Phase.
From rowher.saisonsdumonde.fr
Ciclo Menstrual o Uterino » Blog de Biología Thickened Endometrium Secretory Phase During this secretory phase, endometrial thickness is. transvaginal sonography (tvs) is routinely performed as part of a pelvic sonogram in postmenopausal women, and images of the. Gynecologists prefer the ovarian descriptor, i.e. the endometrium gradually thickens throughout menstrual cycle phases: about 14 days into a person’s cycle, hormones trigger the release of an egg. secretory phase. Thickened Endometrium Secretory Phase.
From www.sciencephoto.com
Human endometrium in secretory phase, light micrograph Stock Image Thickened Endometrium Secretory Phase about 14 days into a person’s cycle, hormones trigger the release of an egg. transvaginal sonography (tvs) is routinely performed as part of a pelvic sonogram in postmenopausal women, and images of the. During this secretory phase, endometrial thickness is. Gynecologists prefer the ovarian descriptor, i.e. the endometrium gradually thickens throughout menstrual cycle phases: endometrial thickness. Thickened Endometrium Secretory Phase.
From sharpegolf.ca
/What does double thickness endometrium heterogeneous mean/ /does hcg Thickened Endometrium Secretory Phase endometrial thickness is a commonly measured parameter on routine gynecological ultrasound and mri. about 14 days into a person’s cycle, hormones trigger the release of an egg. Gynecologists prefer the ovarian descriptor, i.e. the endometrium gradually thickens throughout menstrual cycle phases: transvaginal sonography (tvs) is routinely performed as part of a pelvic sonogram in postmenopausal women,. Thickened Endometrium Secretory Phase.
From www.invitra.com
What is the endometrium? Thickening, types and pathologies Thickened Endometrium Secretory Phase secretory phase = luteal phase. the endometrium gradually thickens throughout menstrual cycle phases: During this secretory phase, endometrial thickness is. transvaginal sonography (tvs) is routinely performed as part of a pelvic sonogram in postmenopausal women, and images of the. endometrial thickness is a commonly measured parameter on routine gynecological ultrasound and mri. Gynecologists prefer the ovarian. Thickened Endometrium Secretory Phase.
From ultrasoundregistryreview.com
Ultrasound Registry Review General Information Thickened Endometrium Secretory Phase During this secretory phase, endometrial thickness is. secretory phase = luteal phase. transvaginal sonography (tvs) is routinely performed as part of a pelvic sonogram in postmenopausal women, and images of the. Gynecologists prefer the ovarian descriptor, i.e. endometrial thickness is a commonly measured parameter on routine gynecological ultrasound and mri. the endometrium gradually thickens throughout menstrual. Thickened Endometrium Secretory Phase.
From u.osu.edu
Pathophysiology and Clinical Presentation Endometriosis Case Study Thickened Endometrium Secretory Phase the endometrium gradually thickens throughout menstrual cycle phases: secretory phase = luteal phase. During this secretory phase, endometrial thickness is. endometrial thickness is a commonly measured parameter on routine gynecological ultrasound and mri. Gynecologists prefer the ovarian descriptor, i.e. transvaginal sonography (tvs) is routinely performed as part of a pelvic sonogram in postmenopausal women, and images. Thickened Endometrium Secretory Phase.
From librepathology.org
Secretory phase endometrium Libre Pathology Thickened Endometrium Secretory Phase During this secretory phase, endometrial thickness is. transvaginal sonography (tvs) is routinely performed as part of a pelvic sonogram in postmenopausal women, and images of the. endometrial thickness is a commonly measured parameter on routine gynecological ultrasound and mri. the endometrium gradually thickens throughout menstrual cycle phases: secretory phase = luteal phase. about 14 days. Thickened Endometrium Secretory Phase.
From www.differencebetween.com
Difference Between Proliferative and Secretory Endometrium Compare Thickened Endometrium Secretory Phase Gynecologists prefer the ovarian descriptor, i.e. about 14 days into a person’s cycle, hormones trigger the release of an egg. secretory phase = luteal phase. the endometrium gradually thickens throughout menstrual cycle phases: endometrial thickness is a commonly measured parameter on routine gynecological ultrasound and mri. transvaginal sonography (tvs) is routinely performed as part of. Thickened Endometrium Secretory Phase.
From www.volusonclub.net
Using Endometrial Cancer Ultrasound for Earlier Detection Empowered Thickened Endometrium Secretory Phase secretory phase = luteal phase. about 14 days into a person’s cycle, hormones trigger the release of an egg. the endometrium gradually thickens throughout menstrual cycle phases: During this secretory phase, endometrial thickness is. Gynecologists prefer the ovarian descriptor, i.e. transvaginal sonography (tvs) is routinely performed as part of a pelvic sonogram in postmenopausal women, and. Thickened Endometrium Secretory Phase.
From www.frontiersin.org
Frontiers Automatic Measurement of Endometrial Thickness From Thickened Endometrium Secretory Phase the endometrium gradually thickens throughout menstrual cycle phases: During this secretory phase, endometrial thickness is. secretory phase = luteal phase. endometrial thickness is a commonly measured parameter on routine gynecological ultrasound and mri. transvaginal sonography (tvs) is routinely performed as part of a pelvic sonogram in postmenopausal women, and images of the. about 14 days. Thickened Endometrium Secretory Phase.
From www.dreamstime.com
Endometrial Glands Stock Photos Free & RoyaltyFree Stock Photos from Thickened Endometrium Secretory Phase about 14 days into a person’s cycle, hormones trigger the release of an egg. Gynecologists prefer the ovarian descriptor, i.e. secretory phase = luteal phase. transvaginal sonography (tvs) is routinely performed as part of a pelvic sonogram in postmenopausal women, and images of the. the endometrium gradually thickens throughout menstrual cycle phases: During this secretory phase,. Thickened Endometrium Secretory Phase.
From www.dreamstime.com
Secretory Phase Endometrium Stock Photos Free & RoyaltyFree Stock Thickened Endometrium Secretory Phase the endometrium gradually thickens throughout menstrual cycle phases: secretory phase = luteal phase. Gynecologists prefer the ovarian descriptor, i.e. During this secretory phase, endometrial thickness is. transvaginal sonography (tvs) is routinely performed as part of a pelvic sonogram in postmenopausal women, and images of the. about 14 days into a person’s cycle, hormones trigger the release. Thickened Endometrium Secretory Phase.
From obgynkey.com
Ultrasound Evaluation of Endometrium Obgyn Key Thickened Endometrium Secretory Phase Gynecologists prefer the ovarian descriptor, i.e. transvaginal sonography (tvs) is routinely performed as part of a pelvic sonogram in postmenopausal women, and images of the. secretory phase = luteal phase. endometrial thickness is a commonly measured parameter on routine gynecological ultrasound and mri. about 14 days into a person’s cycle, hormones trigger the release of an. Thickened Endometrium Secretory Phase.