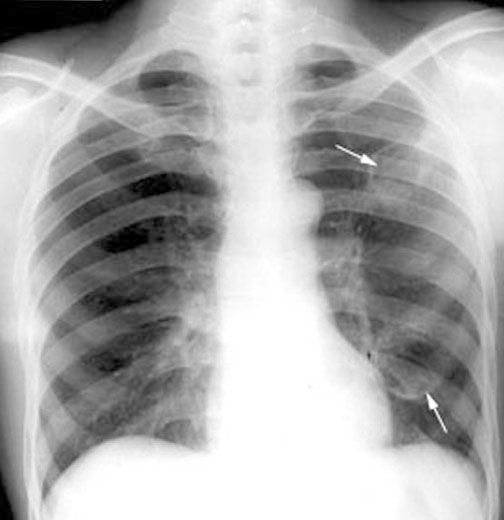
Fungal Ball Cxr . multiple fungus balls can develop, particularly in patients with chronic cystic bronchiectasis or multicystic bullous. multiple imaging techniques are useful to support the diagnosis and evaluation of diseases of the chest,. aspergilloma is the most common manifestation of aspergillosis and is seen in patients with normal humoral immunity. Fungal disease caused by the mold aspergillus, ranging from hypersensitivity to invasive infection. aspergillosis is a mycotic infection caused by aspergillus species, mostly aspergillus fumigatus.
from www.learningradiology.com
aspergillosis is a mycotic infection caused by aspergillus species, mostly aspergillus fumigatus. Fungal disease caused by the mold aspergillus, ranging from hypersensitivity to invasive infection. aspergilloma is the most common manifestation of aspergillosis and is seen in patients with normal humoral immunity. multiple imaging techniques are useful to support the diagnosis and evaluation of diseases of the chest,. multiple fungus balls can develop, particularly in patients with chronic cystic bronchiectasis or multicystic bullous.
LearningRadiology aspergilloma, aspergillosis, fungus, ball
Fungal Ball Cxr aspergilloma is the most common manifestation of aspergillosis and is seen in patients with normal humoral immunity. Fungal disease caused by the mold aspergillus, ranging from hypersensitivity to invasive infection. aspergilloma is the most common manifestation of aspergillosis and is seen in patients with normal humoral immunity. multiple fungus balls can develop, particularly in patients with chronic cystic bronchiectasis or multicystic bullous. multiple imaging techniques are useful to support the diagnosis and evaluation of diseases of the chest,. aspergillosis is a mycotic infection caused by aspergillus species, mostly aspergillus fumigatus.
From www.researchgate.net
Chest Xray showed a fungus ball (yellow arrow), an air crescent with... Download Scientific Fungal Ball Cxr multiple fungus balls can develop, particularly in patients with chronic cystic bronchiectasis or multicystic bullous. aspergilloma is the most common manifestation of aspergillosis and is seen in patients with normal humoral immunity. Fungal disease caused by the mold aspergillus, ranging from hypersensitivity to invasive infection. aspergillosis is a mycotic infection caused by aspergillus species, mostly aspergillus fumigatus.. Fungal Ball Cxr.
From www.alamy.com
Aspergilloma of the lung and a closeup view of Aspergillus fungi, computer illustration. Also Fungal Ball Cxr multiple fungus balls can develop, particularly in patients with chronic cystic bronchiectasis or multicystic bullous. multiple imaging techniques are useful to support the diagnosis and evaluation of diseases of the chest,. aspergilloma is the most common manifestation of aspergillosis and is seen in patients with normal humoral immunity. Fungal disease caused by the mold aspergillus, ranging from. Fungal Ball Cxr.
From www.researchgate.net
a An example of a left upper lobe cavity containing a fungal ball... Download Scientific Diagram Fungal Ball Cxr multiple fungus balls can develop, particularly in patients with chronic cystic bronchiectasis or multicystic bullous. multiple imaging techniques are useful to support the diagnosis and evaluation of diseases of the chest,. Fungal disease caused by the mold aspergillus, ranging from hypersensitivity to invasive infection. aspergilloma is the most common manifestation of aspergillosis and is seen in patients. Fungal Ball Cxr.
From www.researchgate.net
Fungal ball. Computed tomography (CT) scan shows hyperattenuated focus... Download Scientific Fungal Ball Cxr Fungal disease caused by the mold aspergillus, ranging from hypersensitivity to invasive infection. multiple fungus balls can develop, particularly in patients with chronic cystic bronchiectasis or multicystic bullous. aspergilloma is the most common manifestation of aspergillosis and is seen in patients with normal humoral immunity. multiple imaging techniques are useful to support the diagnosis and evaluation of. Fungal Ball Cxr.
From miphidic.wordpress.com
Clinical 19 MIPHIDIC Fungal Ball Cxr multiple fungus balls can develop, particularly in patients with chronic cystic bronchiectasis or multicystic bullous. Fungal disease caused by the mold aspergillus, ranging from hypersensitivity to invasive infection. aspergilloma is the most common manifestation of aspergillosis and is seen in patients with normal humoral immunity. aspergillosis is a mycotic infection caused by aspergillus species, mostly aspergillus fumigatus.. Fungal Ball Cxr.
From www.alamy.com
Fungus aspergillus Black and White Stock Photos & Images Alamy Fungal Ball Cxr multiple fungus balls can develop, particularly in patients with chronic cystic bronchiectasis or multicystic bullous. aspergilloma is the most common manifestation of aspergillosis and is seen in patients with normal humoral immunity. Fungal disease caused by the mold aspergillus, ranging from hypersensitivity to invasive infection. multiple imaging techniques are useful to support the diagnosis and evaluation of. Fungal Ball Cxr.
From epos.myesr.org
EPOS™ Fungal Ball Cxr aspergillosis is a mycotic infection caused by aspergillus species, mostly aspergillus fumigatus. aspergilloma is the most common manifestation of aspergillosis and is seen in patients with normal humoral immunity. multiple fungus balls can develop, particularly in patients with chronic cystic bronchiectasis or multicystic bullous. Fungal disease caused by the mold aspergillus, ranging from hypersensitivity to invasive infection.. Fungal Ball Cxr.
From onlinelibrary.wiley.com
Multiple fungus balls in a patient with chronic pulmonary aspergillosis Nakamoto 2019 Fungal Ball Cxr multiple fungus balls can develop, particularly in patients with chronic cystic bronchiectasis or multicystic bullous. aspergillosis is a mycotic infection caused by aspergillus species, mostly aspergillus fumigatus. multiple imaging techniques are useful to support the diagnosis and evaluation of diseases of the chest,. aspergilloma is the most common manifestation of aspergillosis and is seen in patients. Fungal Ball Cxr.
From www.researchgate.net
Chest CT is showing fungal ball in previous lung cyst Download Scientific Diagram Fungal Ball Cxr Fungal disease caused by the mold aspergillus, ranging from hypersensitivity to invasive infection. aspergilloma is the most common manifestation of aspergillosis and is seen in patients with normal humoral immunity. multiple imaging techniques are useful to support the diagnosis and evaluation of diseases of the chest,. multiple fungus balls can develop, particularly in patients with chronic cystic. Fungal Ball Cxr.
From journals.sagepub.com
Subacute Aspergillosis “Fungal Balls” Complicating COVID19 Ravi Karan Patti, Nishil R Fungal Ball Cxr aspergilloma is the most common manifestation of aspergillosis and is seen in patients with normal humoral immunity. multiple fungus balls can develop, particularly in patients with chronic cystic bronchiectasis or multicystic bullous. multiple imaging techniques are useful to support the diagnosis and evaluation of diseases of the chest,. aspergillosis is a mycotic infection caused by aspergillus. Fungal Ball Cxr.
From www.researchgate.net
Chest radiography in supine position showing a change of position of... Download Scientific Fungal Ball Cxr multiple fungus balls can develop, particularly in patients with chronic cystic bronchiectasis or multicystic bullous. aspergillosis is a mycotic infection caused by aspergillus species, mostly aspergillus fumigatus. multiple imaging techniques are useful to support the diagnosis and evaluation of diseases of the chest,. aspergilloma is the most common manifestation of aspergillosis and is seen in patients. Fungal Ball Cxr.
From www.researchgate.net
CT thorax lung window axial sections showing fungal ball with air... Download Scientific Diagram Fungal Ball Cxr multiple imaging techniques are useful to support the diagnosis and evaluation of diseases of the chest,. aspergilloma is the most common manifestation of aspergillosis and is seen in patients with normal humoral immunity. Fungal disease caused by the mold aspergillus, ranging from hypersensitivity to invasive infection. multiple fungus balls can develop, particularly in patients with chronic cystic. Fungal Ball Cxr.
From www.medicalimages.com
STOCK IMAGE, xray of the chest frontal view showing pulmonary aspergillosis with an Fungal Ball Cxr aspergillosis is a mycotic infection caused by aspergillus species, mostly aspergillus fumigatus. multiple imaging techniques are useful to support the diagnosis and evaluation of diseases of the chest,. aspergilloma is the most common manifestation of aspergillosis and is seen in patients with normal humoral immunity. Fungal disease caused by the mold aspergillus, ranging from hypersensitivity to invasive. Fungal Ball Cxr.
From www.slideshare.net
CXR Cavity in Lung Fungal Ball Cxr aspergilloma is the most common manifestation of aspergillosis and is seen in patients with normal humoral immunity. Fungal disease caused by the mold aspergillus, ranging from hypersensitivity to invasive infection. multiple fungus balls can develop, particularly in patients with chronic cystic bronchiectasis or multicystic bullous. aspergillosis is a mycotic infection caused by aspergillus species, mostly aspergillus fumigatus.. Fungal Ball Cxr.
From www.learningradiology.com
LearningRadiology aspergilloma, aspergillosis, fungus, ball Fungal Ball Cxr multiple imaging techniques are useful to support the diagnosis and evaluation of diseases of the chest,. multiple fungus balls can develop, particularly in patients with chronic cystic bronchiectasis or multicystic bullous. aspergillosis is a mycotic infection caused by aspergillus species, mostly aspergillus fumigatus. Fungal disease caused by the mold aspergillus, ranging from hypersensitivity to invasive infection. . Fungal Ball Cxr.
From journals.sagepub.com
Pulmonary fungal ball due to Trichophyton successfully managed with oral itraconazole a case Fungal Ball Cxr Fungal disease caused by the mold aspergillus, ranging from hypersensitivity to invasive infection. aspergillosis is a mycotic infection caused by aspergillus species, mostly aspergillus fumigatus. multiple imaging techniques are useful to support the diagnosis and evaluation of diseases of the chest,. aspergilloma is the most common manifestation of aspergillosis and is seen in patients with normal humoral. Fungal Ball Cxr.
From www.pinterest.ph
Fungal ball Medical ultrasound, X ray, Medical Fungal Ball Cxr aspergilloma is the most common manifestation of aspergillosis and is seen in patients with normal humoral immunity. multiple imaging techniques are useful to support the diagnosis and evaluation of diseases of the chest,. multiple fungus balls can develop, particularly in patients with chronic cystic bronchiectasis or multicystic bullous. aspergillosis is a mycotic infection caused by aspergillus. Fungal Ball Cxr.
From www.youtube.com
Aspergilloma (Fungus Ball) Radiology Details YouTube Fungal Ball Cxr multiple fungus balls can develop, particularly in patients with chronic cystic bronchiectasis or multicystic bullous. Fungal disease caused by the mold aspergillus, ranging from hypersensitivity to invasive infection. aspergillosis is a mycotic infection caused by aspergillus species, mostly aspergillus fumigatus. aspergilloma is the most common manifestation of aspergillosis and is seen in patients with normal humoral immunity.. Fungal Ball Cxr.
From tropicalcyclocross.com
Aspergillus Cxr Fungal Ball Cxr aspergilloma is the most common manifestation of aspergillosis and is seen in patients with normal humoral immunity. aspergillosis is a mycotic infection caused by aspergillus species, mostly aspergillus fumigatus. multiple imaging techniques are useful to support the diagnosis and evaluation of diseases of the chest,. Fungal disease caused by the mold aspergillus, ranging from hypersensitivity to invasive. Fungal Ball Cxr.
From casereports.bmj.com
Behind the fungus ball pulmonary aspergillosis! BMJ Case Reports Fungal Ball Cxr multiple fungus balls can develop, particularly in patients with chronic cystic bronchiectasis or multicystic bullous. aspergilloma is the most common manifestation of aspergillosis and is seen in patients with normal humoral immunity. multiple imaging techniques are useful to support the diagnosis and evaluation of diseases of the chest,. aspergillosis is a mycotic infection caused by aspergillus. Fungal Ball Cxr.
From casereports.bmj.com
Unusual case of bilateral maxillary fungus ball BMJ Case Reports Fungal Ball Cxr multiple imaging techniques are useful to support the diagnosis and evaluation of diseases of the chest,. Fungal disease caused by the mold aspergillus, ranging from hypersensitivity to invasive infection. aspergillosis is a mycotic infection caused by aspergillus species, mostly aspergillus fumigatus. multiple fungus balls can develop, particularly in patients with chronic cystic bronchiectasis or multicystic bullous. . Fungal Ball Cxr.
From casereports.bmj.com
Behind the fungus ball pulmonary aspergillosis! BMJ Case Reports Fungal Ball Cxr aspergillosis is a mycotic infection caused by aspergillus species, mostly aspergillus fumigatus. Fungal disease caused by the mold aspergillus, ranging from hypersensitivity to invasive infection. multiple imaging techniques are useful to support the diagnosis and evaluation of diseases of the chest,. multiple fungus balls can develop, particularly in patients with chronic cystic bronchiectasis or multicystic bullous. . Fungal Ball Cxr.
From www.spandidos-publications.com
Lung metastasis of transitional cell cancer of the urothelium, with fungus ball‑like shadows Fungal Ball Cxr aspergillosis is a mycotic infection caused by aspergillus species, mostly aspergillus fumigatus. aspergilloma is the most common manifestation of aspergillosis and is seen in patients with normal humoral immunity. Fungal disease caused by the mold aspergillus, ranging from hypersensitivity to invasive infection. multiple fungus balls can develop, particularly in patients with chronic cystic bronchiectasis or multicystic bullous.. Fungal Ball Cxr.
From www.thenurseslab.com
Abnormal Chest Xray Interpretation Fungal Ball Cxr multiple fungus balls can develop, particularly in patients with chronic cystic bronchiectasis or multicystic bullous. aspergilloma is the most common manifestation of aspergillosis and is seen in patients with normal humoral immunity. aspergillosis is a mycotic infection caused by aspergillus species, mostly aspergillus fumigatus. multiple imaging techniques are useful to support the diagnosis and evaluation of. Fungal Ball Cxr.
From ar.inspiredpencil.com
Balls Bleeding X Ray Fungal Ball Cxr aspergilloma is the most common manifestation of aspergillosis and is seen in patients with normal humoral immunity. Fungal disease caused by the mold aspergillus, ranging from hypersensitivity to invasive infection. multiple imaging techniques are useful to support the diagnosis and evaluation of diseases of the chest,. multiple fungus balls can develop, particularly in patients with chronic cystic. Fungal Ball Cxr.
From www.pathologyoutlines.com
Pathology Outlines Fungal ball Fungal Ball Cxr multiple imaging techniques are useful to support the diagnosis and evaluation of diseases of the chest,. aspergilloma is the most common manifestation of aspergillosis and is seen in patients with normal humoral immunity. multiple fungus balls can develop, particularly in patients with chronic cystic bronchiectasis or multicystic bullous. Fungal disease caused by the mold aspergillus, ranging from. Fungal Ball Cxr.
From www.ctisus.com
Aspergilloma X Rays Case Studies CTisus CT Scanning Fungal Ball Cxr aspergilloma is the most common manifestation of aspergillosis and is seen in patients with normal humoral immunity. multiple imaging techniques are useful to support the diagnosis and evaluation of diseases of the chest,. aspergillosis is a mycotic infection caused by aspergillus species, mostly aspergillus fumigatus. Fungal disease caused by the mold aspergillus, ranging from hypersensitivity to invasive. Fungal Ball Cxr.
From www.learningradiology.com
LearningRadiology aspergilloma, aspergillosis, fungus, ball Fungal Ball Cxr aspergillosis is a mycotic infection caused by aspergillus species, mostly aspergillus fumigatus. multiple fungus balls can develop, particularly in patients with chronic cystic bronchiectasis or multicystic bullous. Fungal disease caused by the mold aspergillus, ranging from hypersensitivity to invasive infection. multiple imaging techniques are useful to support the diagnosis and evaluation of diseases of the chest,. . Fungal Ball Cxr.
From www.researchgate.net
A) Chest radiograph showing aspergilloma (fungal ball) in the left... Download Scientific Diagram Fungal Ball Cxr multiple imaging techniques are useful to support the diagnosis and evaluation of diseases of the chest,. multiple fungus balls can develop, particularly in patients with chronic cystic bronchiectasis or multicystic bullous. aspergilloma is the most common manifestation of aspergillosis and is seen in patients with normal humoral immunity. Fungal disease caused by the mold aspergillus, ranging from. Fungal Ball Cxr.
From www.researchgate.net
A) Chest radiograph showing aspergilloma (fungal ball) in the left... Download Scientific Diagram Fungal Ball Cxr aspergillosis is a mycotic infection caused by aspergillus species, mostly aspergillus fumigatus. multiple imaging techniques are useful to support the diagnosis and evaluation of diseases of the chest,. Fungal disease caused by the mold aspergillus, ranging from hypersensitivity to invasive infection. multiple fungus balls can develop, particularly in patients with chronic cystic bronchiectasis or multicystic bullous. . Fungal Ball Cxr.
From www.svuhradiology.ie
Cannonball metastases colorectal cancer Radiology at St. Vincent's University Hospital Fungal Ball Cxr multiple imaging techniques are useful to support the diagnosis and evaluation of diseases of the chest,. aspergilloma is the most common manifestation of aspergillosis and is seen in patients with normal humoral immunity. aspergillosis is a mycotic infection caused by aspergillus species, mostly aspergillus fumigatus. Fungal disease caused by the mold aspergillus, ranging from hypersensitivity to invasive. Fungal Ball Cxr.
From www.researchgate.net
ac Chest computed tomography scan detecting multiple bilateral... Download Scientific Diagram Fungal Ball Cxr multiple fungus balls can develop, particularly in patients with chronic cystic bronchiectasis or multicystic bullous. multiple imaging techniques are useful to support the diagnosis and evaluation of diseases of the chest,. aspergillosis is a mycotic infection caused by aspergillus species, mostly aspergillus fumigatus. aspergilloma is the most common manifestation of aspergillosis and is seen in patients. Fungal Ball Cxr.
From journals.sagepub.com
Pulmonary fungal ball due to Trichophyton successfully managed with oral itraconazole a case Fungal Ball Cxr aspergilloma is the most common manifestation of aspergillosis and is seen in patients with normal humoral immunity. multiple fungus balls can develop, particularly in patients with chronic cystic bronchiectasis or multicystic bullous. Fungal disease caused by the mold aspergillus, ranging from hypersensitivity to invasive infection. aspergillosis is a mycotic infection caused by aspergillus species, mostly aspergillus fumigatus.. Fungal Ball Cxr.
From err.ersjournals.com
Pulmonary aspergillosis a clinical review European Respiratory Society Fungal Ball Cxr aspergilloma is the most common manifestation of aspergillosis and is seen in patients with normal humoral immunity. multiple imaging techniques are useful to support the diagnosis and evaluation of diseases of the chest,. aspergillosis is a mycotic infection caused by aspergillus species, mostly aspergillus fumigatus. Fungal disease caused by the mold aspergillus, ranging from hypersensitivity to invasive. Fungal Ball Cxr.
From www.learningradiology.com
LearningRadiology Fungal Ball Cxr aspergillosis is a mycotic infection caused by aspergillus species, mostly aspergillus fumigatus. multiple imaging techniques are useful to support the diagnosis and evaluation of diseases of the chest,. multiple fungus balls can develop, particularly in patients with chronic cystic bronchiectasis or multicystic bullous. aspergilloma is the most common manifestation of aspergillosis and is seen in patients. Fungal Ball Cxr.