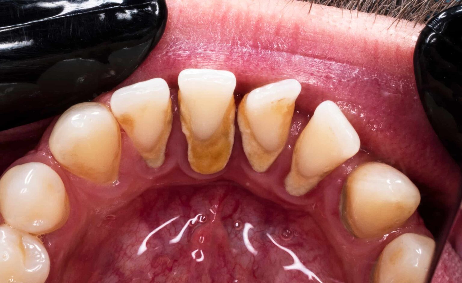
Is Vaping Bad For Oral Health . — oral microbiome caused by the shift from good healthy bacteria in your mouth to bad (pathogenic bacterial) imbalances associated. Stay tuned as we look through these. It also reduces the flow of saliva, leading to dry mouth and numerous other complications. People who smoke are at a higher risk of developing mouth cancer (oral), gum problems, losing. When is it safe to vape after tooth extraction? — is vaping better than smoking when it comes to oral health? Which is worse for your oral health? — smoking vs vaping: smoking can impact your oral health. Nicotine also reduces the blood flow in the mouth, which can mask the signs of gum disease and make it harder for your body to fight infection. — vaping is bad for your oral health. While it is widely reported that vaping is a safer alternative to smoking tobacco, both can cause oral health problems.
from floridassmiles.com
When is it safe to vape after tooth extraction? Stay tuned as we look through these. — vaping is bad for your oral health. smoking can impact your oral health. — oral microbiome caused by the shift from good healthy bacteria in your mouth to bad (pathogenic bacterial) imbalances associated. People who smoke are at a higher risk of developing mouth cancer (oral), gum problems, losing. While it is widely reported that vaping is a safer alternative to smoking tobacco, both can cause oral health problems. It also reduces the flow of saliva, leading to dry mouth and numerous other complications. — is vaping better than smoking when it comes to oral health? — smoking vs vaping:
Is Vaping Bad for Your Oral Health? West Palm Beach Dentist
Is Vaping Bad For Oral Health smoking can impact your oral health. smoking can impact your oral health. Which is worse for your oral health? — vaping is bad for your oral health. Nicotine also reduces the blood flow in the mouth, which can mask the signs of gum disease and make it harder for your body to fight infection. Stay tuned as we look through these. It also reduces the flow of saliva, leading to dry mouth and numerous other complications. — is vaping better than smoking when it comes to oral health? When is it safe to vape after tooth extraction? — oral microbiome caused by the shift from good healthy bacteria in your mouth to bad (pathogenic bacterial) imbalances associated. People who smoke are at a higher risk of developing mouth cancer (oral), gum problems, losing. — smoking vs vaping: While it is widely reported that vaping is a safer alternative to smoking tobacco, both can cause oral health problems.
From news.osu.edu
A few months of vaping puts healthy people on the brink of oral disease Is Vaping Bad For Oral Health smoking can impact your oral health. It also reduces the flow of saliva, leading to dry mouth and numerous other complications. When is it safe to vape after tooth extraction? Nicotine also reduces the blood flow in the mouth, which can mask the signs of gum disease and make it harder for your body to fight infection. —. Is Vaping Bad For Oral Health.
From oralhealthnc.org
Should I Be Worried About Vaping? North Carolina Oral Health Is Vaping Bad For Oral Health smoking can impact your oral health. — smoking vs vaping: — is vaping better than smoking when it comes to oral health? People who smoke are at a higher risk of developing mouth cancer (oral), gum problems, losing. Stay tuned as we look through these. Nicotine also reduces the blood flow in the mouth, which can mask. Is Vaping Bad For Oral Health.
From gentledentalfamilycare.com
Is Vaping Bad for Your Oral Health? Gentle Dental Family Care Is Vaping Bad For Oral Health People who smoke are at a higher risk of developing mouth cancer (oral), gum problems, losing. Stay tuned as we look through these. When is it safe to vape after tooth extraction? — is vaping better than smoking when it comes to oral health? — vaping is bad for your oral health. Which is worse for your oral. Is Vaping Bad For Oral Health.
From thedentalist.co.uk
Is Vaping Bad for Your Teeth? The Real Impact of Vaping Is Vaping Bad For Oral Health It also reduces the flow of saliva, leading to dry mouth and numerous other complications. — smoking vs vaping: When is it safe to vape after tooth extraction? Nicotine also reduces the blood flow in the mouth, which can mask the signs of gum disease and make it harder for your body to fight infection. — oral microbiome. Is Vaping Bad For Oral Health.
From aarkdental.com
How does vaping affect your teeth? Is Vaping Bad For Oral Health — oral microbiome caused by the shift from good healthy bacteria in your mouth to bad (pathogenic bacterial) imbalances associated. — smoking vs vaping: When is it safe to vape after tooth extraction? While it is widely reported that vaping is a safer alternative to smoking tobacco, both can cause oral health problems. — is vaping better. Is Vaping Bad For Oral Health.
From blog.deltadentalco.com
Oral Health Risks of Vaping Delta Dental of Colorado Blog Is Vaping Bad For Oral Health Nicotine also reduces the blood flow in the mouth, which can mask the signs of gum disease and make it harder for your body to fight infection. — oral microbiome caused by the shift from good healthy bacteria in your mouth to bad (pathogenic bacterial) imbalances associated. People who smoke are at a higher risk of developing mouth cancer. Is Vaping Bad For Oral Health.
From www.hcdentistryak.com
Negative Effects of Vaping on Teeth Health Centered Dentistry Is Vaping Bad For Oral Health Which is worse for your oral health? — smoking vs vaping: People who smoke are at a higher risk of developing mouth cancer (oral), gum problems, losing. Stay tuned as we look through these. — is vaping better than smoking when it comes to oral health? It also reduces the flow of saliva, leading to dry mouth and. Is Vaping Bad For Oral Health.
From info.youngdental.com
[Infographic] Vaping and Your Mouth Is Vaping Bad For Oral Health smoking can impact your oral health. People who smoke are at a higher risk of developing mouth cancer (oral), gum problems, losing. Stay tuned as we look through these. When is it safe to vape after tooth extraction? It also reduces the flow of saliva, leading to dry mouth and numerous other complications. Nicotine also reduces the blood flow. Is Vaping Bad For Oral Health.
From rochestermagazine.org
Is Vaping Dangerous for Your Oral Health? Rochester Magazine Is Vaping Bad For Oral Health Nicotine also reduces the blood flow in the mouth, which can mask the signs of gum disease and make it harder for your body to fight infection. — smoking vs vaping: — oral microbiome caused by the shift from good healthy bacteria in your mouth to bad (pathogenic bacterial) imbalances associated. — is vaping better than smoking. Is Vaping Bad For Oral Health.
From www.newbydentalpractice.co.uk
Is Vaping Bad For My Oral Health? Scarborough Dentist and Implant Is Vaping Bad For Oral Health Stay tuned as we look through these. — oral microbiome caused by the shift from good healthy bacteria in your mouth to bad (pathogenic bacterial) imbalances associated. Nicotine also reduces the blood flow in the mouth, which can mask the signs of gum disease and make it harder for your body to fight infection. People who smoke are at. Is Vaping Bad For Oral Health.
From www.monavaledental.com.au
Is Vaping Bad for Your Teeth? (Yes, According to Research) Is Vaping Bad For Oral Health Nicotine also reduces the blood flow in the mouth, which can mask the signs of gum disease and make it harder for your body to fight infection. — oral microbiome caused by the shift from good healthy bacteria in your mouth to bad (pathogenic bacterial) imbalances associated. It also reduces the flow of saliva, leading to dry mouth and. Is Vaping Bad For Oral Health.
From mysuburbandental.com
Is Vaping Bad For Your Teeth? Suburban Dental Germantown, MD Is Vaping Bad For Oral Health Stay tuned as we look through these. When is it safe to vape after tooth extraction? It also reduces the flow of saliva, leading to dry mouth and numerous other complications. — is vaping better than smoking when it comes to oral health? People who smoke are at a higher risk of developing mouth cancer (oral), gum problems, losing.. Is Vaping Bad For Oral Health.
From mytoothhq.com
Does Vaping Provide Gum Disease? is it Bad or Good? ToothHQ Dental Is Vaping Bad For Oral Health — vaping is bad for your oral health. When is it safe to vape after tooth extraction? — smoking vs vaping: People who smoke are at a higher risk of developing mouth cancer (oral), gum problems, losing. Stay tuned as we look through these. Which is worse for your oral health? — is vaping better than smoking. Is Vaping Bad For Oral Health.
From floridassmiles.com
Is Vaping Bad for Your Oral Health? West Palm Beach Dentist Is Vaping Bad For Oral Health — oral microbiome caused by the shift from good healthy bacteria in your mouth to bad (pathogenic bacterial) imbalances associated. Which is worse for your oral health? Stay tuned as we look through these. smoking can impact your oral health. Nicotine also reduces the blood flow in the mouth, which can mask the signs of gum disease and. Is Vaping Bad For Oral Health.
From www.youtube.com
Vaping & Smoking Can Affect Your Oral Health (Long) BC Dental Is Vaping Bad For Oral Health Stay tuned as we look through these. Nicotine also reduces the blood flow in the mouth, which can mask the signs of gum disease and make it harder for your body to fight infection. When is it safe to vape after tooth extraction? — vaping is bad for your oral health. — smoking vs vaping: Which is worse. Is Vaping Bad For Oral Health.
From www.familycarers.org.uk
Is Vaping Bad for Your Oral Health? How Ecigarettes Impact Teeth Is Vaping Bad For Oral Health — is vaping better than smoking when it comes to oral health? Stay tuned as we look through these. People who smoke are at a higher risk of developing mouth cancer (oral), gum problems, losing. It also reduces the flow of saliva, leading to dry mouth and numerous other complications. — vaping is bad for your oral health.. Is Vaping Bad For Oral Health.
From empiredental.ca
Is Vaping Bad for Your Oral Health? Empire Dental Is Vaping Bad For Oral Health When is it safe to vape after tooth extraction? — is vaping better than smoking when it comes to oral health? It also reduces the flow of saliva, leading to dry mouth and numerous other complications. — smoking vs vaping: smoking can impact your oral health. Nicotine also reduces the blood flow in the mouth, which can. Is Vaping Bad For Oral Health.
From www.myvapery.com
Is Vaping Bad for Your Teeth? Vaping & Oral Health Is Vaping Bad For Oral Health While it is widely reported that vaping is a safer alternative to smoking tobacco, both can cause oral health problems. — vaping is bad for your oral health. — is vaping better than smoking when it comes to oral health? Stay tuned as we look through these. When is it safe to vape after tooth extraction? People who. Is Vaping Bad For Oral Health.
From www.totallywicked-eliquid.co.uk
Is vaping bad for your teeth? Vaped Is Vaping Bad For Oral Health — vaping is bad for your oral health. People who smoke are at a higher risk of developing mouth cancer (oral), gum problems, losing. Nicotine also reduces the blood flow in the mouth, which can mask the signs of gum disease and make it harder for your body to fight infection. — is vaping better than smoking when. Is Vaping Bad For Oral Health.
From www.expressandstar.com
Is vaping bad for your health? Why experts are divided on the risks Is Vaping Bad For Oral Health Which is worse for your oral health? When is it safe to vape after tooth extraction? While it is widely reported that vaping is a safer alternative to smoking tobacco, both can cause oral health problems. Stay tuned as we look through these. — oral microbiome caused by the shift from good healthy bacteria in your mouth to bad. Is Vaping Bad For Oral Health.
From www.stgeorgesmiles.com
Smoking VS Vaping Which is More Harmful to Your Dental Health Is Vaping Bad For Oral Health smoking can impact your oral health. It also reduces the flow of saliva, leading to dry mouth and numerous other complications. When is it safe to vape after tooth extraction? Stay tuned as we look through these. While it is widely reported that vaping is a safer alternative to smoking tobacco, both can cause oral health problems. Which is. Is Vaping Bad For Oral Health.
From thelandingdentalspa.com
4 Reasons Why Vaping is Bad for Oral Health The Landing Dental Spa Is Vaping Bad For Oral Health Nicotine also reduces the blood flow in the mouth, which can mask the signs of gum disease and make it harder for your body to fight infection. Stay tuned as we look through these. While it is widely reported that vaping is a safer alternative to smoking tobacco, both can cause oral health problems. People who smoke are at a. Is Vaping Bad For Oral Health.
From www.advantagedental.com
Is Vaping Bad For Your Teeth? Advantage Dental+ Is Vaping Bad For Oral Health Which is worse for your oral health? — smoking vs vaping: smoking can impact your oral health. People who smoke are at a higher risk of developing mouth cancer (oral), gum problems, losing. — is vaping better than smoking when it comes to oral health? When is it safe to vape after tooth extraction? — oral. Is Vaping Bad For Oral Health.
From elevatedental.com.au
The Impacts of Vaping on Oral Health Elevate Dental Is Vaping Bad For Oral Health When is it safe to vape after tooth extraction? smoking can impact your oral health. Stay tuned as we look through these. It also reduces the flow of saliva, leading to dry mouth and numerous other complications. — smoking vs vaping: — oral microbiome caused by the shift from good healthy bacteria in your mouth to bad. Is Vaping Bad For Oral Health.
From www.detoxrehabs.net
Vaping May Lead To Bad Oral Health, Including Cancer, Study Shows Is Vaping Bad For Oral Health Which is worse for your oral health? While it is widely reported that vaping is a safer alternative to smoking tobacco, both can cause oral health problems. Stay tuned as we look through these. smoking can impact your oral health. — is vaping better than smoking when it comes to oral health? Nicotine also reduces the blood flow. Is Vaping Bad For Oral Health.
From cardinalorthodontics.com
Vaping And The Impact On Your Oral Health Is Vaping Bad For Oral Health People who smoke are at a higher risk of developing mouth cancer (oral), gum problems, losing. It also reduces the flow of saliva, leading to dry mouth and numerous other complications. Stay tuned as we look through these. Nicotine also reduces the blood flow in the mouth, which can mask the signs of gum disease and make it harder for. Is Vaping Bad For Oral Health.
From www.shiningsmilesga.com
Is Vaping Bad for Your Teeth? Shining Smiles Family Dentistry Is Vaping Bad For Oral Health Which is worse for your oral health? — is vaping better than smoking when it comes to oral health? Stay tuned as we look through these. When is it safe to vape after tooth extraction? Nicotine also reduces the blood flow in the mouth, which can mask the signs of gum disease and make it harder for your body. Is Vaping Bad For Oral Health.
From patuxentorthodontics.com
Is Vaping Bad for Your Teeth? Patuxent Orthodontics Is Vaping Bad For Oral Health Nicotine also reduces the blood flow in the mouth, which can mask the signs of gum disease and make it harder for your body to fight infection. When is it safe to vape after tooth extraction? People who smoke are at a higher risk of developing mouth cancer (oral), gum problems, losing. While it is widely reported that vaping is. Is Vaping Bad For Oral Health.
From www.fulhamroaddental.com
Is Vaping Bad For Your Oral Health? We Explore Fulham Road Dental Is Vaping Bad For Oral Health Which is worse for your oral health? — smoking vs vaping: — vaping is bad for your oral health. When is it safe to vape after tooth extraction? Stay tuned as we look through these. It also reduces the flow of saliva, leading to dry mouth and numerous other complications. While it is widely reported that vaping is. Is Vaping Bad For Oral Health.
From www.deltadentalnj.com
Oral Health Risks of Vaping Delta Dental of New Jersey Is Vaping Bad For Oral Health People who smoke are at a higher risk of developing mouth cancer (oral), gum problems, losing. Nicotine also reduces the blood flow in the mouth, which can mask the signs of gum disease and make it harder for your body to fight infection. When is it safe to vape after tooth extraction? — vaping is bad for your oral. Is Vaping Bad For Oral Health.
From floridassmiles.com
Is Vaping Bad for Your Oral Health? West Palm Beach Dentist Is Vaping Bad For Oral Health While it is widely reported that vaping is a safer alternative to smoking tobacco, both can cause oral health problems. People who smoke are at a higher risk of developing mouth cancer (oral), gum problems, losing. — smoking vs vaping: It also reduces the flow of saliva, leading to dry mouth and numerous other complications. When is it safe. Is Vaping Bad For Oral Health.
From www.hillstreamdental.com
The Effect of Vaping on Your Oral Health Hillstream Dental Is Vaping Bad For Oral Health — is vaping better than smoking when it comes to oral health? People who smoke are at a higher risk of developing mouth cancer (oral), gum problems, losing. When is it safe to vape after tooth extraction? Stay tuned as we look through these. smoking can impact your oral health. Which is worse for your oral health? It. Is Vaping Bad For Oral Health.
From hksdental.com
Vaping Oral Health Risks HKS Dental Is Vaping Bad For Oral Health Nicotine also reduces the blood flow in the mouth, which can mask the signs of gum disease and make it harder for your body to fight infection. — vaping is bad for your oral health. People who smoke are at a higher risk of developing mouth cancer (oral), gum problems, losing. While it is widely reported that vaping is. Is Vaping Bad For Oral Health.
From www.mibluesperspectives.com
Why Dentists Say Vaping is Bad for Oral Health MIBluesPerspectives Is Vaping Bad For Oral Health Nicotine also reduces the blood flow in the mouth, which can mask the signs of gum disease and make it harder for your body to fight infection. Stay tuned as we look through these. — is vaping better than smoking when it comes to oral health? — vaping is bad for your oral health. It also reduces the. Is Vaping Bad For Oral Health.
From willowsdentistry.co.uk
Is vaping bad for your oral health? Willows Dentistry Is Vaping Bad For Oral Health When is it safe to vape after tooth extraction? — is vaping better than smoking when it comes to oral health? Stay tuned as we look through these. — oral microbiome caused by the shift from good healthy bacteria in your mouth to bad (pathogenic bacterial) imbalances associated. It also reduces the flow of saliva, leading to dry. Is Vaping Bad For Oral Health.