What Is A Class 3 Dental Restoration . This classification is based on the american This pdf download by dr. It is generally formed with. — in this video, we look at preparation, wedge placement, matrix placement, as well as contouring, finishing, and polishing a class iii. Preparation outline is determined by the extent of the carious lesion, defects, or old restorative material. Buddy mopper provides the pictorial steps. At first glance, a class iii direct composite restoration can appear to be a fairly routine procedure. Almost all class iii and iv restorations are appropriately restored with composite. class iii fillings are restorations used to treat carious lesions or cavities that form on the interproximal surfaces (the sides that face. A class 3 dental restoration refers to a type of dental filling that is used to restore a cavity on the interproximal surface (the area between adjacent teeth) of the incisors or canines.
from www.dentaltown.com
It is generally formed with. Almost all class iii and iv restorations are appropriately restored with composite. A class 3 dental restoration refers to a type of dental filling that is used to restore a cavity on the interproximal surface (the area between adjacent teeth) of the incisors or canines. Buddy mopper provides the pictorial steps. class iii fillings are restorations used to treat carious lesions or cavities that form on the interproximal surfaces (the sides that face. Preparation outline is determined by the extent of the carious lesion, defects, or old restorative material. — in this video, we look at preparation, wedge placement, matrix placement, as well as contouring, finishing, and polishing a class iii. This pdf download by dr. At first glance, a class iii direct composite restoration can appear to be a fairly routine procedure. This classification is based on the american
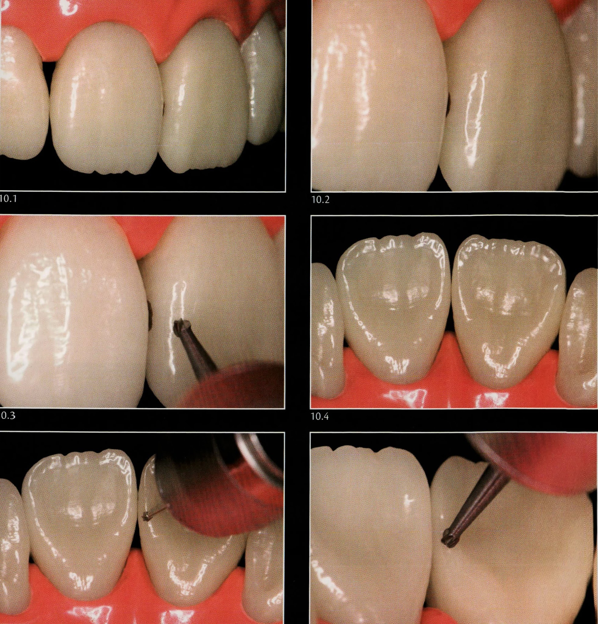
Show Your Work Restoring Large Class III Cavities with a OneShade
What Is A Class 3 Dental Restoration Buddy mopper provides the pictorial steps. A class 3 dental restoration refers to a type of dental filling that is used to restore a cavity on the interproximal surface (the area between adjacent teeth) of the incisors or canines. — in this video, we look at preparation, wedge placement, matrix placement, as well as contouring, finishing, and polishing a class iii. This pdf download by dr. class iii fillings are restorations used to treat carious lesions or cavities that form on the interproximal surfaces (the sides that face. Preparation outline is determined by the extent of the carious lesion, defects, or old restorative material. Buddy mopper provides the pictorial steps. This classification is based on the american At first glance, a class iii direct composite restoration can appear to be a fairly routine procedure. It is generally formed with. Almost all class iii and iv restorations are appropriately restored with composite.
From www.dentalestheticszak.com
Class III composite restoration " Palatal access " Dental Esthetics What Is A Class 3 Dental Restoration Preparation outline is determined by the extent of the carious lesion, defects, or old restorative material. It is generally formed with. — in this video, we look at preparation, wedge placement, matrix placement, as well as contouring, finishing, and polishing a class iii. This classification is based on the american Buddy mopper provides the pictorial steps. class iii. What Is A Class 3 Dental Restoration.
From exoodigzh.blob.core.windows.net
What Is Dental Adhesive Restoration at Nancy Barger blog What Is A Class 3 Dental Restoration — in this video, we look at preparation, wedge placement, matrix placement, as well as contouring, finishing, and polishing a class iii. It is generally formed with. class iii fillings are restorations used to treat carious lesions or cavities that form on the interproximal surfaces (the sides that face. A class 3 dental restoration refers to a type. What Is A Class 3 Dental Restoration.
From www.fitzgeralddentistry.com
Tooth Restoration & Restorative Dentistry in Murfreesboro TN What Is A Class 3 Dental Restoration It is generally formed with. — in this video, we look at preparation, wedge placement, matrix placement, as well as contouring, finishing, and polishing a class iii. This classification is based on the american Preparation outline is determined by the extent of the carious lesion, defects, or old restorative material. A class 3 dental restoration refers to a type. What Is A Class 3 Dental Restoration.
From pocketdentistry.com
9 Class III, IV, and V Direct Composite and Glass Ionomer Restorations What Is A Class 3 Dental Restoration — in this video, we look at preparation, wedge placement, matrix placement, as well as contouring, finishing, and polishing a class iii. Buddy mopper provides the pictorial steps. Preparation outline is determined by the extent of the carious lesion, defects, or old restorative material. This pdf download by dr. class iii fillings are restorations used to treat carious. What Is A Class 3 Dental Restoration.
From polydentia.ch
Dr. Lazar Class III restoration Unica anterior Polydentia Swiss What Is A Class 3 Dental Restoration Buddy mopper provides the pictorial steps. class iii fillings are restorations used to treat carious lesions or cavities that form on the interproximal surfaces (the sides that face. Almost all class iii and iv restorations are appropriately restored with composite. It is generally formed with. — in this video, we look at preparation, wedge placement, matrix placement, as. What Is A Class 3 Dental Restoration.
From pocketdentistry.com
1 Overview rehabilitation of natural teeth Pocket Dentistry What Is A Class 3 Dental Restoration This pdf download by dr. — in this video, we look at preparation, wedge placement, matrix placement, as well as contouring, finishing, and polishing a class iii. Almost all class iii and iv restorations are appropriately restored with composite. This classification is based on the american class iii fillings are restorations used to treat carious lesions or cavities. What Is A Class 3 Dental Restoration.
From americandentalclinic.com
6 Different Types of Dental Restorations ADC What Is A Class 3 Dental Restoration A class 3 dental restoration refers to a type of dental filling that is used to restore a cavity on the interproximal surface (the area between adjacent teeth) of the incisors or canines. Almost all class iii and iv restorations are appropriately restored with composite. This classification is based on the american This pdf download by dr. At first glance,. What Is A Class 3 Dental Restoration.
From exojnwztn.blob.core.windows.net
Top Class Restorations Llc at Carr blog What Is A Class 3 Dental Restoration Buddy mopper provides the pictorial steps. This classification is based on the american Almost all class iii and iv restorations are appropriately restored with composite. At first glance, a class iii direct composite restoration can appear to be a fairly routine procedure. class iii fillings are restorations used to treat carious lesions or cavities that form on the interproximal. What Is A Class 3 Dental Restoration.
From dxoozpleb.blob.core.windows.net
High Points In Dental Restoration at Katie Sullivan blog What Is A Class 3 Dental Restoration Almost all class iii and iv restorations are appropriately restored with composite. Preparation outline is determined by the extent of the carious lesion, defects, or old restorative material. At first glance, a class iii direct composite restoration can appear to be a fairly routine procedure. It is generally formed with. This pdf download by dr. Buddy mopper provides the pictorial. What Is A Class 3 Dental Restoration.
From dentistryonelgin.com
Types of Dental Restoration Cambridge Dentist & Dental Office What Is A Class 3 Dental Restoration class iii fillings are restorations used to treat carious lesions or cavities that form on the interproximal surfaces (the sides that face. It is generally formed with. This pdf download by dr. Buddy mopper provides the pictorial steps. — in this video, we look at preparation, wedge placement, matrix placement, as well as contouring, finishing, and polishing a. What Is A Class 3 Dental Restoration.
From www.youtube.com
CLASS III Preparation for Composite 8 ML YouTube What Is A Class 3 Dental Restoration — in this video, we look at preparation, wedge placement, matrix placement, as well as contouring, finishing, and polishing a class iii. It is generally formed with. At first glance, a class iii direct composite restoration can appear to be a fairly routine procedure. Buddy mopper provides the pictorial steps. Preparation outline is determined by the extent of the. What Is A Class 3 Dental Restoration.
From www.youtube.com
Class 3 Restoration YouTube What Is A Class 3 Dental Restoration Preparation outline is determined by the extent of the carious lesion, defects, or old restorative material. — in this video, we look at preparation, wedge placement, matrix placement, as well as contouring, finishing, and polishing a class iii. A class 3 dental restoration refers to a type of dental filling that is used to restore a cavity on the. What Is A Class 3 Dental Restoration.
From www.dentalestheticszak.com
Class III Composite restoration " Labial access " Dental Esthetics What Is A Class 3 Dental Restoration This pdf download by dr. — in this video, we look at preparation, wedge placement, matrix placement, as well as contouring, finishing, and polishing a class iii. A class 3 dental restoration refers to a type of dental filling that is used to restore a cavity on the interproximal surface (the area between adjacent teeth) of the incisors or. What Is A Class 3 Dental Restoration.
From www.youtube.com
[4] Class 3 Dental Restoration YouTube What Is A Class 3 Dental Restoration class iii fillings are restorations used to treat carious lesions or cavities that form on the interproximal surfaces (the sides that face. At first glance, a class iii direct composite restoration can appear to be a fairly routine procedure. It is generally formed with. — in this video, we look at preparation, wedge placement, matrix placement, as well. What Is A Class 3 Dental Restoration.
From www.kanehldental.com
8 Most Common Types of Dental Restoration Kanehl Dental What Is A Class 3 Dental Restoration At first glance, a class iii direct composite restoration can appear to be a fairly routine procedure. This pdf download by dr. class iii fillings are restorations used to treat carious lesions or cavities that form on the interproximal surfaces (the sides that face. — in this video, we look at preparation, wedge placement, matrix placement, as well. What Is A Class 3 Dental Restoration.
From www.youtube.com
Class 3 composite restoration YouTube What Is A Class 3 Dental Restoration At first glance, a class iii direct composite restoration can appear to be a fairly routine procedure. — in this video, we look at preparation, wedge placement, matrix placement, as well as contouring, finishing, and polishing a class iii. Almost all class iii and iv restorations are appropriately restored with composite. Preparation outline is determined by the extent of. What Is A Class 3 Dental Restoration.
From www.dentaltown.com
Show Your Work Restoring Large Class III Cavities with a OneShade What Is A Class 3 Dental Restoration — in this video, we look at preparation, wedge placement, matrix placement, as well as contouring, finishing, and polishing a class iii. class iii fillings are restorations used to treat carious lesions or cavities that form on the interproximal surfaces (the sides that face. Buddy mopper provides the pictorial steps. A class 3 dental restoration refers to a. What Is A Class 3 Dental Restoration.
From www.youtube.com
Amazing Class III Correction!! Orthodontics!!!! YouTube What Is A Class 3 Dental Restoration class iii fillings are restorations used to treat carious lesions or cavities that form on the interproximal surfaces (the sides that face. — in this video, we look at preparation, wedge placement, matrix placement, as well as contouring, finishing, and polishing a class iii. Buddy mopper provides the pictorial steps. A class 3 dental restoration refers to a. What Is A Class 3 Dental Restoration.
From www.dentalestheticszak.com
Class III Composite restoration " Labial access " Dental Esthetics What Is A Class 3 Dental Restoration A class 3 dental restoration refers to a type of dental filling that is used to restore a cavity on the interproximal surface (the area between adjacent teeth) of the incisors or canines. This classification is based on the american class iii fillings are restorations used to treat carious lesions or cavities that form on the interproximal surfaces (the. What Is A Class 3 Dental Restoration.
From www.youtube.com
Class III cavity preparation step by step with explanation (upper What Is A Class 3 Dental Restoration class iii fillings are restorations used to treat carious lesions or cavities that form on the interproximal surfaces (the sides that face. At first glance, a class iii direct composite restoration can appear to be a fairly routine procedure. It is generally formed with. A class 3 dental restoration refers to a type of dental filling that is used. What Is A Class 3 Dental Restoration.
From www.tv.odontologiavirtual.com
OPERATIVE DENTISTRY Class III anterior direct composite restoration What Is A Class 3 Dental Restoration At first glance, a class iii direct composite restoration can appear to be a fairly routine procedure. Preparation outline is determined by the extent of the carious lesion, defects, or old restorative material. class iii fillings are restorations used to treat carious lesions or cavities that form on the interproximal surfaces (the sides that face. It is generally formed. What Is A Class 3 Dental Restoration.
From pocketdentistry.com
9 Class III, IV, and V Direct Composite and Glass Ionomer Restorations What Is A Class 3 Dental Restoration This pdf download by dr. Buddy mopper provides the pictorial steps. This classification is based on the american class iii fillings are restorations used to treat carious lesions or cavities that form on the interproximal surfaces (the sides that face. It is generally formed with. At first glance, a class iii direct composite restoration can appear to be a. What Is A Class 3 Dental Restoration.
From www.dentalestheticszak.com
Class III composite restoration " Palatal access " Dental Esthetics What Is A Class 3 Dental Restoration A class 3 dental restoration refers to a type of dental filling that is used to restore a cavity on the interproximal surface (the area between adjacent teeth) of the incisors or canines. At first glance, a class iii direct composite restoration can appear to be a fairly routine procedure. This classification is based on the american It is generally. What Is A Class 3 Dental Restoration.
From www.learnmoredental.com
Class III What Is A Class 3 Dental Restoration At first glance, a class iii direct composite restoration can appear to be a fairly routine procedure. A class 3 dental restoration refers to a type of dental filling that is used to restore a cavity on the interproximal surface (the area between adjacent teeth) of the incisors or canines. This pdf download by dr. Buddy mopper provides the pictorial. What Is A Class 3 Dental Restoration.
From www.dentalestheticszak.com
Class III composite restoration “ strictly proximal access “ Dental What Is A Class 3 Dental Restoration Almost all class iii and iv restorations are appropriately restored with composite. It is generally formed with. This pdf download by dr. Buddy mopper provides the pictorial steps. This classification is based on the american — in this video, we look at preparation, wedge placement, matrix placement, as well as contouring, finishing, and polishing a class iii. Preparation outline. What Is A Class 3 Dental Restoration.
From dxobbuysq.blob.core.windows.net
Restoration Classes Dental at Scott Prince blog What Is A Class 3 Dental Restoration It is generally formed with. This classification is based on the american This pdf download by dr. Buddy mopper provides the pictorial steps. — in this video, we look at preparation, wedge placement, matrix placement, as well as contouring, finishing, and polishing a class iii. A class 3 dental restoration refers to a type of dental filling that is. What Is A Class 3 Dental Restoration.
From www.clarencetam.co.nz
Class III caries Restorative Dentistry Auckland What Is A Class 3 Dental Restoration Almost all class iii and iv restorations are appropriately restored with composite. A class 3 dental restoration refers to a type of dental filling that is used to restore a cavity on the interproximal surface (the area between adjacent teeth) of the incisors or canines. Preparation outline is determined by the extent of the carious lesion, defects, or old restorative. What Is A Class 3 Dental Restoration.
From www.clarencetam.co.nz
Class III composite restorations Class III composite restorations What Is A Class 3 Dental Restoration A class 3 dental restoration refers to a type of dental filling that is used to restore a cavity on the interproximal surface (the area between adjacent teeth) of the incisors or canines. It is generally formed with. Buddy mopper provides the pictorial steps. Preparation outline is determined by the extent of the carious lesion, defects, or old restorative material.. What Is A Class 3 Dental Restoration.
From www.smiledesigndentistry.com
Fixing A Class 3 full anterior crossbite Smile Design Dentistry What Is A Class 3 Dental Restoration At first glance, a class iii direct composite restoration can appear to be a fairly routine procedure. This pdf download by dr. — in this video, we look at preparation, wedge placement, matrix placement, as well as contouring, finishing, and polishing a class iii. This classification is based on the american Buddy mopper provides the pictorial steps. Almost all. What Is A Class 3 Dental Restoration.
From www.dentaltown.com
Show Your Work Restoring Large Class III Cavities with a OneShade What Is A Class 3 Dental Restoration Buddy mopper provides the pictorial steps. At first glance, a class iii direct composite restoration can appear to be a fairly routine procedure. It is generally formed with. class iii fillings are restorations used to treat carious lesions or cavities that form on the interproximal surfaces (the sides that face. — in this video, we look at preparation,. What Is A Class 3 Dental Restoration.
From www.youtube.com
How to Complete an Anterior Dental Restoration with Kerr's Nexus RMGI What Is A Class 3 Dental Restoration At first glance, a class iii direct composite restoration can appear to be a fairly routine procedure. Buddy mopper provides the pictorial steps. class iii fillings are restorations used to treat carious lesions or cavities that form on the interproximal surfaces (the sides that face. This classification is based on the american Almost all class iii and iv restorations. What Is A Class 3 Dental Restoration.
From www.dentalestheticszak.com
Class III Composite restoration " Labial access " Dental Esthetics What Is A Class 3 Dental Restoration This pdf download by dr. It is generally formed with. Buddy mopper provides the pictorial steps. — in this video, we look at preparation, wedge placement, matrix placement, as well as contouring, finishing, and polishing a class iii. Almost all class iii and iv restorations are appropriately restored with composite. class iii fillings are restorations used to treat. What Is A Class 3 Dental Restoration.
From www.youtube.com
PROSTHODONTICS Class Three Teeth Arrangement Made Easy YouTube What Is A Class 3 Dental Restoration Buddy mopper provides the pictorial steps. Preparation outline is determined by the extent of the carious lesion, defects, or old restorative material. Almost all class iii and iv restorations are appropriately restored with composite. At first glance, a class iii direct composite restoration can appear to be a fairly routine procedure. class iii fillings are restorations used to treat. What Is A Class 3 Dental Restoration.
From www.dentalestheticszak.com
Class III composite restoration " Palatal access " Dental Esthetics What Is A Class 3 Dental Restoration This pdf download by dr. Preparation outline is determined by the extent of the carious lesion, defects, or old restorative material. It is generally formed with. This classification is based on the american Buddy mopper provides the pictorial steps. — in this video, we look at preparation, wedge placement, matrix placement, as well as contouring, finishing, and polishing a. What Is A Class 3 Dental Restoration.
From www.clarencetam.co.nz
Class III composite restorations Class III composite restorations What Is A Class 3 Dental Restoration Buddy mopper provides the pictorial steps. Preparation outline is determined by the extent of the carious lesion, defects, or old restorative material. This pdf download by dr. Almost all class iii and iv restorations are appropriately restored with composite. A class 3 dental restoration refers to a type of dental filling that is used to restore a cavity on the. What Is A Class 3 Dental Restoration.