What Type Of Connective Tissue Is Lamina Propria . It serves as a protective. the lamina propria is a layer of loose connective tissue directly localized underneath the epithelium and populated. what is lamina propria? lamina propria is an areolar connective tissue layer present in all mucous membranes found in the body. the lamina propria is a loose connective areolar tissue layer forming a deeper part of the mucosal layer of the oral mucosa. It is found underneath the epithelium attaching to the basal surface of the basal membrane, and depending on the location of the mucosa, it may be sitting on top of a deeper third muscular layer ( muscularis mucosae ), for example. the lamina propria is made of loose connective tissue and normally contains a few lymphocytes, plasma cells and. Lamina propria is a thin layer of connective tissue found just under the surface of most types. the lamina propria is a layer of loose connective tissue found beneath the epithelium in mucous membranes, providing structural support, facilitating nutrient passage, and serving as a protective barrier against foreign substances and organisms.
from pocketdentistry.com
what is lamina propria? the lamina propria is a loose connective areolar tissue layer forming a deeper part of the mucosal layer of the oral mucosa. lamina propria is an areolar connective tissue layer present in all mucous membranes found in the body. the lamina propria is made of loose connective tissue and normally contains a few lymphocytes, plasma cells and. It is found underneath the epithelium attaching to the basal surface of the basal membrane, and depending on the location of the mucosa, it may be sitting on top of a deeper third muscular layer ( muscularis mucosae ), for example. the lamina propria is a layer of loose connective tissue directly localized underneath the epithelium and populated. It serves as a protective. the lamina propria is a layer of loose connective tissue found beneath the epithelium in mucous membranes, providing structural support, facilitating nutrient passage, and serving as a protective barrier against foreign substances and organisms. Lamina propria is a thin layer of connective tissue found just under the surface of most types.
1 Oral Structures and Tissues Pocket Dentistry
What Type Of Connective Tissue Is Lamina Propria the lamina propria is a layer of loose connective tissue found beneath the epithelium in mucous membranes, providing structural support, facilitating nutrient passage, and serving as a protective barrier against foreign substances and organisms. the lamina propria is a loose connective areolar tissue layer forming a deeper part of the mucosal layer of the oral mucosa. Lamina propria is a thin layer of connective tissue found just under the surface of most types. the lamina propria is a layer of loose connective tissue found beneath the epithelium in mucous membranes, providing structural support, facilitating nutrient passage, and serving as a protective barrier against foreign substances and organisms. what is lamina propria? It serves as a protective. lamina propria is an areolar connective tissue layer present in all mucous membranes found in the body. the lamina propria is a layer of loose connective tissue directly localized underneath the epithelium and populated. It is found underneath the epithelium attaching to the basal surface of the basal membrane, and depending on the location of the mucosa, it may be sitting on top of a deeper third muscular layer ( muscularis mucosae ), for example. the lamina propria is made of loose connective tissue and normally contains a few lymphocytes, plasma cells and.
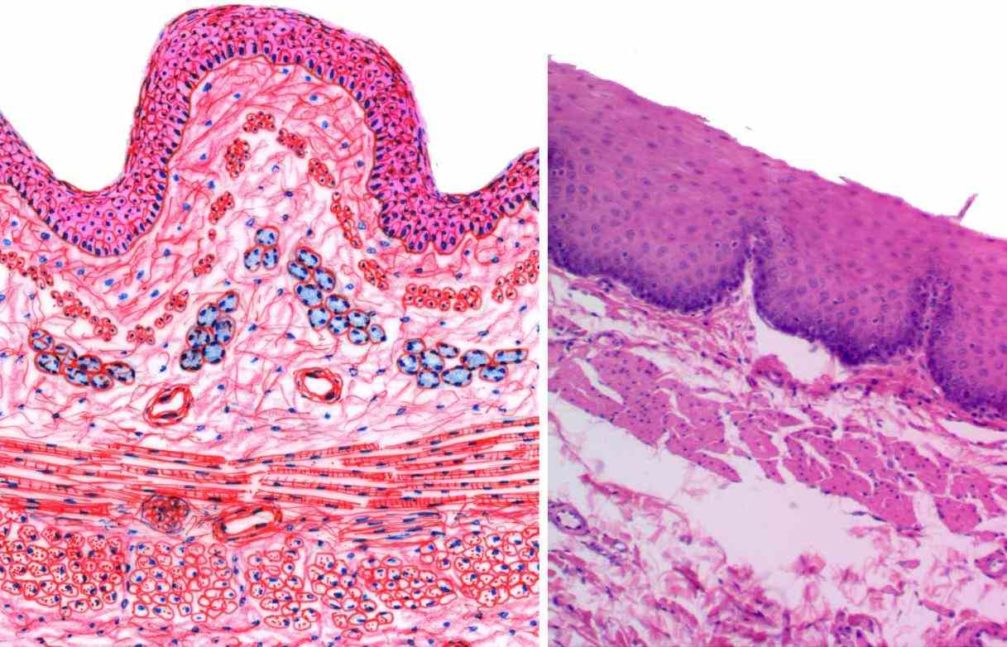
From medcell.org
Structure And Function Of Connective Tissue And Bone Lab What Type Of Connective Tissue Is Lamina Propria the lamina propria is a layer of loose connective tissue directly localized underneath the epithelium and populated. lamina propria is an areolar connective tissue layer present in all mucous membranes found in the body. Lamina propria is a thin layer of connective tissue found just under the surface of most types. the lamina propria is made of. What Type Of Connective Tissue Is Lamina Propria.
From www.slideserve.com
PPT Histology of the Female Reproductive System PowerPoint What Type Of Connective Tissue Is Lamina Propria Lamina propria is a thin layer of connective tissue found just under the surface of most types. the lamina propria is a layer of loose connective tissue found beneath the epithelium in mucous membranes, providing structural support, facilitating nutrient passage, and serving as a protective barrier against foreign substances and organisms. the lamina propria is a layer of. What Type Of Connective Tissue Is Lamina Propria.
From slidetodoc.com
Connective Tissues Fibers and Ground Substance By Dr What Type Of Connective Tissue Is Lamina Propria the lamina propria is a layer of loose connective tissue directly localized underneath the epithelium and populated. It is found underneath the epithelium attaching to the basal surface of the basal membrane, and depending on the location of the mucosa, it may be sitting on top of a deeper third muscular layer ( muscularis mucosae ), for example. . What Type Of Connective Tissue Is Lamina Propria.
From www.vrogue.co
Lamina Propria Histology Loose Connective Tissue Hist vrogue.co What Type Of Connective Tissue Is Lamina Propria lamina propria is an areolar connective tissue layer present in all mucous membranes found in the body. what is lamina propria? the lamina propria is made of loose connective tissue and normally contains a few lymphocytes, plasma cells and. Lamina propria is a thin layer of connective tissue found just under the surface of most types. . What Type Of Connective Tissue Is Lamina Propria.
From biologydictionary.net
Lamina Propria Definition, Function and Structure Biology Dictionary What Type Of Connective Tissue Is Lamina Propria the lamina propria is a layer of loose connective tissue directly localized underneath the epithelium and populated. It is found underneath the epithelium attaching to the basal surface of the basal membrane, and depending on the location of the mucosa, it may be sitting on top of a deeper third muscular layer ( muscularis mucosae ), for example. . What Type Of Connective Tissue Is Lamina Propria.
From www.slideserve.com
PPT Chapter 19 Cell junctions and the extracellular matrix What Type Of Connective Tissue Is Lamina Propria It is found underneath the epithelium attaching to the basal surface of the basal membrane, and depending on the location of the mucosa, it may be sitting on top of a deeper third muscular layer ( muscularis mucosae ), for example. the lamina propria is a layer of loose connective tissue directly localized underneath the epithelium and populated. . What Type Of Connective Tissue Is Lamina Propria.
From www.pinterest.dk
Lamina Propria Histology Loose connective tissue, Histology slides What Type Of Connective Tissue Is Lamina Propria It serves as a protective. the lamina propria is made of loose connective tissue and normally contains a few lymphocytes, plasma cells and. the lamina propria is a loose connective areolar tissue layer forming a deeper part of the mucosal layer of the oral mucosa. what is lamina propria? lamina propria is an areolar connective tissue. What Type Of Connective Tissue Is Lamina Propria.
From fr.slideserve.com
PPT Tissues PowerPoint Presentation, free download ID9439262 What Type Of Connective Tissue Is Lamina Propria what is lamina propria? the lamina propria is a layer of loose connective tissue directly localized underneath the epithelium and populated. It is found underneath the epithelium attaching to the basal surface of the basal membrane, and depending on the location of the mucosa, it may be sitting on top of a deeper third muscular layer ( muscularis. What Type Of Connective Tissue Is Lamina Propria.
From www.muhadharaty.com
Histology powerpoint files pptx Dr.Enaam Muhadharaty What Type Of Connective Tissue Is Lamina Propria lamina propria is an areolar connective tissue layer present in all mucous membranes found in the body. what is lamina propria? Lamina propria is a thin layer of connective tissue found just under the surface of most types. the lamina propria is a layer of loose connective tissue directly localized underneath the epithelium and populated. It serves. What Type Of Connective Tissue Is Lamina Propria.
From slidetodoc.com
EPITHELIAL TISSUE TISSUE A collection of cells together What Type Of Connective Tissue Is Lamina Propria lamina propria is an areolar connective tissue layer present in all mucous membranes found in the body. Lamina propria is a thin layer of connective tissue found just under the surface of most types. the lamina propria is a layer of loose connective tissue directly localized underneath the epithelium and populated. It is found underneath the epithelium attaching. What Type Of Connective Tissue Is Lamina Propria.
From www.thoughtco.com
Connective Tissue Types and Examples What Type Of Connective Tissue Is Lamina Propria lamina propria is an areolar connective tissue layer present in all mucous membranes found in the body. Lamina propria is a thin layer of connective tissue found just under the surface of most types. the lamina propria is a layer of loose connective tissue found beneath the epithelium in mucous membranes, providing structural support, facilitating nutrient passage, and. What Type Of Connective Tissue Is Lamina Propria.
From www.vrogue.co
Lamina Propria Histology Loose Connective Tissue Hist vrogue.co What Type Of Connective Tissue Is Lamina Propria It serves as a protective. the lamina propria is a loose connective areolar tissue layer forming a deeper part of the mucosal layer of the oral mucosa. what is lamina propria? the lamina propria is a layer of loose connective tissue directly localized underneath the epithelium and populated. the lamina propria is made of loose connective. What Type Of Connective Tissue Is Lamina Propria.
From en.wikipedia.org
Lamina propria Wikipedia What Type Of Connective Tissue Is Lamina Propria the lamina propria is a loose connective areolar tissue layer forming a deeper part of the mucosal layer of the oral mucosa. It serves as a protective. lamina propria is an areolar connective tissue layer present in all mucous membranes found in the body. what is lamina propria? Lamina propria is a thin layer of connective tissue. What Type Of Connective Tissue Is Lamina Propria.
From ar.inspiredpencil.com
Lamina Propria Basement Membrane What Type Of Connective Tissue Is Lamina Propria the lamina propria is made of loose connective tissue and normally contains a few lymphocytes, plasma cells and. lamina propria is an areolar connective tissue layer present in all mucous membranes found in the body. the lamina propria is a layer of loose connective tissue found beneath the epithelium in mucous membranes, providing structural support, facilitating nutrient. What Type Of Connective Tissue Is Lamina Propria.
From www.kenhub.com
Epithelial tissue definition, functions & examples Kenhub What Type Of Connective Tissue Is Lamina Propria the lamina propria is a loose connective areolar tissue layer forming a deeper part of the mucosal layer of the oral mucosa. Lamina propria is a thin layer of connective tissue found just under the surface of most types. the lamina propria is a layer of loose connective tissue directly localized underneath the epithelium and populated. It serves. What Type Of Connective Tissue Is Lamina Propria.
From antranik.org
Detailed Features of Epithelia What Type Of Connective Tissue Is Lamina Propria It serves as a protective. what is lamina propria? the lamina propria is a layer of loose connective tissue directly localized underneath the epithelium and populated. the lamina propria is a layer of loose connective tissue found beneath the epithelium in mucous membranes, providing structural support, facilitating nutrient passage, and serving as a protective barrier against foreign. What Type Of Connective Tissue Is Lamina Propria.
From www.auanet.org
American Urological Association Urinary Bladder Lamina Propria What Type Of Connective Tissue Is Lamina Propria the lamina propria is made of loose connective tissue and normally contains a few lymphocytes, plasma cells and. the lamina propria is a loose connective areolar tissue layer forming a deeper part of the mucosal layer of the oral mucosa. lamina propria is an areolar connective tissue layer present in all mucous membranes found in the body.. What Type Of Connective Tissue Is Lamina Propria.
From slidetodoc.com
CONNECTIVE TISSUE OVERVIEW of Connective Tissue Connective tissue What Type Of Connective Tissue Is Lamina Propria the lamina propria is a layer of loose connective tissue directly localized underneath the epithelium and populated. Lamina propria is a thin layer of connective tissue found just under the surface of most types. the lamina propria is a loose connective areolar tissue layer forming a deeper part of the mucosal layer of the oral mucosa. what. What Type Of Connective Tissue Is Lamina Propria.
From www.vrogue.co
Lamina Propria Histology Loose Connective Tissue Hist vrogue.co What Type Of Connective Tissue Is Lamina Propria what is lamina propria? the lamina propria is a loose connective areolar tissue layer forming a deeper part of the mucosal layer of the oral mucosa. It is found underneath the epithelium attaching to the basal surface of the basal membrane, and depending on the location of the mucosa, it may be sitting on top of a deeper. What Type Of Connective Tissue Is Lamina Propria.
From medicinebtg.com
epithelium [example] link is external nonkeratinized stratified What Type Of Connective Tissue Is Lamina Propria lamina propria is an areolar connective tissue layer present in all mucous membranes found in the body. the lamina propria is a layer of loose connective tissue directly localized underneath the epithelium and populated. It serves as a protective. It is found underneath the epithelium attaching to the basal surface of the basal membrane, and depending on the. What Type Of Connective Tissue Is Lamina Propria.
From www.vrogue.co
Lamina Propria Histology Loose Connective Tissue Medi vrogue.co What Type Of Connective Tissue Is Lamina Propria the lamina propria is a loose connective areolar tissue layer forming a deeper part of the mucosal layer of the oral mucosa. what is lamina propria? the lamina propria is made of loose connective tissue and normally contains a few lymphocytes, plasma cells and. It is found underneath the epithelium attaching to the basal surface of the. What Type Of Connective Tissue Is Lamina Propria.
From www.vrogue.co
Lamina Propria Histology Loose Connective Tissue Medi vrogue.co What Type Of Connective Tissue Is Lamina Propria the lamina propria is a layer of loose connective tissue found beneath the epithelium in mucous membranes, providing structural support, facilitating nutrient passage, and serving as a protective barrier against foreign substances and organisms. It is found underneath the epithelium attaching to the basal surface of the basal membrane, and depending on the location of the mucosa, it may. What Type Of Connective Tissue Is Lamina Propria.
From ar.inspiredpencil.com
Lamina Propria Diagram What Type Of Connective Tissue Is Lamina Propria the lamina propria is made of loose connective tissue and normally contains a few lymphocytes, plasma cells and. what is lamina propria? the lamina propria is a loose connective areolar tissue layer forming a deeper part of the mucosal layer of the oral mucosa. It serves as a protective. lamina propria is an areolar connective tissue. What Type Of Connective Tissue Is Lamina Propria.
From www.researchgate.net
The esophagus of the rabbit showing lamina propria consist of loose What Type Of Connective Tissue Is Lamina Propria It is found underneath the epithelium attaching to the basal surface of the basal membrane, and depending on the location of the mucosa, it may be sitting on top of a deeper third muscular layer ( muscularis mucosae ), for example. the lamina propria is made of loose connective tissue and normally contains a few lymphocytes, plasma cells and.. What Type Of Connective Tissue Is Lamina Propria.
From slidetodoc.com
CONNECTIVE TISSUE OVERVIEW of Connective Tissue Connective tissue What Type Of Connective Tissue Is Lamina Propria lamina propria is an areolar connective tissue layer present in all mucous membranes found in the body. what is lamina propria? the lamina propria is a loose connective areolar tissue layer forming a deeper part of the mucosal layer of the oral mucosa. the lamina propria is a layer of loose connective tissue found beneath the. What Type Of Connective Tissue Is Lamina Propria.
From pressbooks.pub
Chapter 3 Connective Tissue Proper Histology An Identification Manual What Type Of Connective Tissue Is Lamina Propria the lamina propria is a layer of loose connective tissue found beneath the epithelium in mucous membranes, providing structural support, facilitating nutrient passage, and serving as a protective barrier against foreign substances and organisms. It serves as a protective. the lamina propria is a loose connective areolar tissue layer forming a deeper part of the mucosal layer of. What Type Of Connective Tissue Is Lamina Propria.
From www.vrogue.co
Lamina Propria Histology Loose Connective Tissue Medi vrogue.co What Type Of Connective Tissue Is Lamina Propria lamina propria is an areolar connective tissue layer present in all mucous membranes found in the body. the lamina propria is a layer of loose connective tissue directly localized underneath the epithelium and populated. what is lamina propria? It is found underneath the epithelium attaching to the basal surface of the basal membrane, and depending on the. What Type Of Connective Tissue Is Lamina Propria.
From pocketdentistry.com
1 Oral Structures and Tissues Pocket Dentistry What Type Of Connective Tissue Is Lamina Propria Lamina propria is a thin layer of connective tissue found just under the surface of most types. the lamina propria is a loose connective areolar tissue layer forming a deeper part of the mucosal layer of the oral mucosa. It serves as a protective. It is found underneath the epithelium attaching to the basal surface of the basal membrane,. What Type Of Connective Tissue Is Lamina Propria.
From xadreizinho.blogspot.com
Lamina Propria Basement Membrane / Https Www Atsjournals Org Doi Pdf 10 What Type Of Connective Tissue Is Lamina Propria the lamina propria is a loose connective areolar tissue layer forming a deeper part of the mucosal layer of the oral mucosa. Lamina propria is a thin layer of connective tissue found just under the surface of most types. It serves as a protective. It is found underneath the epithelium attaching to the basal surface of the basal membrane,. What Type Of Connective Tissue Is Lamina Propria.
From www.alamy.com
Mucosa of the urinary bladder formed by a transitional epithelium and a What Type Of Connective Tissue Is Lamina Propria what is lamina propria? the lamina propria is a layer of loose connective tissue found beneath the epithelium in mucous membranes, providing structural support, facilitating nutrient passage, and serving as a protective barrier against foreign substances and organisms. lamina propria is an areolar connective tissue layer present in all mucous membranes found in the body. It serves. What Type Of Connective Tissue Is Lamina Propria.
From www.alamy.com
Human gallbladder wall section showing from up to down simple columnar What Type Of Connective Tissue Is Lamina Propria the lamina propria is a layer of loose connective tissue found beneath the epithelium in mucous membranes, providing structural support, facilitating nutrient passage, and serving as a protective barrier against foreign substances and organisms. the lamina propria is a loose connective areolar tissue layer forming a deeper part of the mucosal layer of the oral mucosa. what. What Type Of Connective Tissue Is Lamina Propria.
From www.slideshare.net
Tissues What Type Of Connective Tissue Is Lamina Propria the lamina propria is a layer of loose connective tissue found beneath the epithelium in mucous membranes, providing structural support, facilitating nutrient passage, and serving as a protective barrier against foreign substances and organisms. lamina propria is an areolar connective tissue layer present in all mucous membranes found in the body. the lamina propria is a layer. What Type Of Connective Tissue Is Lamina Propria.
From philschatz.com
Connective Tissue Supports and Protects · Anatomy and Physiology What Type Of Connective Tissue Is Lamina Propria the lamina propria is a layer of loose connective tissue found beneath the epithelium in mucous membranes, providing structural support, facilitating nutrient passage, and serving as a protective barrier against foreign substances and organisms. what is lamina propria? the lamina propria is a loose connective areolar tissue layer forming a deeper part of the mucosal layer of. What Type Of Connective Tissue Is Lamina Propria.
From www.animalia-life.club
Lamina Propria Vocal Folds What Type Of Connective Tissue Is Lamina Propria It serves as a protective. what is lamina propria? the lamina propria is a layer of loose connective tissue found beneath the epithelium in mucous membranes, providing structural support, facilitating nutrient passage, and serving as a protective barrier against foreign substances and organisms. the lamina propria is made of loose connective tissue and normally contains a few. What Type Of Connective Tissue Is Lamina Propria.
From www.mypathologyreport.ca
Lamina propria MyPathologyReport.ca What Type Of Connective Tissue Is Lamina Propria It is found underneath the epithelium attaching to the basal surface of the basal membrane, and depending on the location of the mucosa, it may be sitting on top of a deeper third muscular layer ( muscularis mucosae ), for example. It serves as a protective. lamina propria is an areolar connective tissue layer present in all mucous membranes. What Type Of Connective Tissue Is Lamina Propria.