Lighter Fluid Leaking . Keeping it away from body heat and not letting it heat up a lot from flame will. If your lighter isn’t working, check to see if the fuel tank is empty or the flint is gone, as these are simple to fix. Leaking butane is dangerous as it could ignite, so it’s important to act quickly. Before you refuel your lighter, purchase a butane can, which can usually be found at a local hardware store. But what do you do with a leaking lighter? Higher temperature definitely increases evaporation rate. Torch lighters have two valves (the burner valve and. For butane lighters, press the refill valve with a small screwdriver or a similar tool. A temporary hissing sound is common when you refill a butane lighter as fuel and air escapes in the process. Your lighter may have a leaky gasket around the fuel tank if you hear a continual hissing noise from the fuel valve or from the jets. Purge any remaining gas or air: If the fluid is leaking from the valve, you may need to replace the valve. Once the lighter is empty, the next step is to release any residual pressure. But, if the noise persists, butane is leaking out, which is dangerous because it can ignite. To refuel, turn your lighter upside down and put pressure on the fill valve with the butane can nozzle.
from techiescientist.com
To refuel, turn your lighter upside down and put pressure on the fill valve with the butane can nozzle. If your lighter isn’t working, check to see if the fuel tank is empty or the flint is gone, as these are simple to fix. But, if the noise persists, butane is leaking out, which is dangerous because it can ignite. Leaking butane is dangerous as it could ignite, so it’s important to act quickly. Before you refuel your lighter, purchase a butane can, which can usually be found at a local hardware store. But what do you do with a leaking lighter? Once the lighter is empty, the next step is to release any residual pressure. Purge any remaining gas or air: For butane lighters, press the refill valve with a small screwdriver or a similar tool. Your lighter may have a leaky gasket around the fuel tank if you hear a continual hissing noise from the fuel valve or from the jets.
Does Lighter Fluid Expire? (Shelf Life, Evaporation) Techiescientist
Lighter Fluid Leaking Keeping it away from body heat and not letting it heat up a lot from flame will. Once the lighter is empty, the next step is to release any residual pressure. To refuel, turn your lighter upside down and put pressure on the fill valve with the butane can nozzle. Before you refuel your lighter, purchase a butane can, which can usually be found at a local hardware store. Leaking butane is dangerous as it could ignite, so it’s important to act quickly. But, if the noise persists, butane is leaking out, which is dangerous because it can ignite. Higher temperature definitely increases evaporation rate. Purge any remaining gas or air: Keeping it away from body heat and not letting it heat up a lot from flame will. Your lighter may have a leaky gasket around the fuel tank if you hear a continual hissing noise from the fuel valve or from the jets. But what do you do with a leaking lighter? If your lighter isn’t working, check to see if the fuel tank is empty or the flint is gone, as these are simple to fix. For butane lighters, press the refill valve with a small screwdriver or a similar tool. A temporary hissing sound is common when you refill a butane lighter as fuel and air escapes in the process. Torch lighters have two valves (the burner valve and. If the fluid is leaking from the valve, you may need to replace the valve.
From cleanstuffeasy.com
How To Clean Up Lighter Fluid? Lighter Fluid Leaking Purge any remaining gas or air: Higher temperature definitely increases evaporation rate. If your lighter isn’t working, check to see if the fuel tank is empty or the flint is gone, as these are simple to fix. Torch lighters have two valves (the burner valve and. If the fluid is leaking from the valve, you may need to replace the. Lighter Fluid Leaking.
From www.youtube.com
How to refill a lighter with fluid gas. YouTube Lighter Fluid Leaking Before you refuel your lighter, purchase a butane can, which can usually be found at a local hardware store. To refuel, turn your lighter upside down and put pressure on the fill valve with the butane can nozzle. For butane lighters, press the refill valve with a small screwdriver or a similar tool. Keeping it away from body heat and. Lighter Fluid Leaking.
From www.pinterest.co.uk
How to Dispose of Lighter Fluid Lighter fluid, Lighter, Household Lighter Fluid Leaking If the fluid is leaking from the valve, you may need to replace the valve. If your lighter isn’t working, check to see if the fuel tank is empty or the flint is gone, as these are simple to fix. Once the lighter is empty, the next step is to release any residual pressure. Before you refuel your lighter, purchase. Lighter Fluid Leaking.
From www.vrogue.co
Infographic A Quick Guide To Identifying The Source Of Fluid Leaks Vrogue Lighter Fluid Leaking If the fluid is leaking from the valve, you may need to replace the valve. Torch lighters have two valves (the burner valve and. But, if the noise persists, butane is leaking out, which is dangerous because it can ignite. Before you refuel your lighter, purchase a butane can, which can usually be found at a local hardware store. Purge. Lighter Fluid Leaking.
From www.marksautoil.com
How to Know What's Leaking Based on Fluid Color Illinois Auto Repair Lighter Fluid Leaking For butane lighters, press the refill valve with a small screwdriver or a similar tool. But what do you do with a leaking lighter? Torch lighters have two valves (the burner valve and. Once the lighter is empty, the next step is to release any residual pressure. Leaking butane is dangerous as it could ignite, so it’s important to act. Lighter Fluid Leaking.
From trashwizard.com
How to Dispose of Lighters with Fluid? Ultimate Guide Trash Wizard Lighter Fluid Leaking But what do you do with a leaking lighter? Once the lighter is empty, the next step is to release any residual pressure. If your lighter isn’t working, check to see if the fuel tank is empty or the flint is gone, as these are simple to fix. Torch lighters have two valves (the burner valve and. But, if the. Lighter Fluid Leaking.
From www.reddit.com
Swank Lighter Leaking at Flame Adjuster r/lighters Lighter Fluid Leaking A temporary hissing sound is common when you refill a butane lighter as fuel and air escapes in the process. But what do you do with a leaking lighter? Higher temperature definitely increases evaporation rate. Leaking butane is dangerous as it could ignite, so it’s important to act quickly. Keeping it away from body heat and not letting it heat. Lighter Fluid Leaking.
From disposalxt.com
Properly Disposing of Lighter Fluid DisposalXT Lighter Fluid Leaking Before you refuel your lighter, purchase a butane can, which can usually be found at a local hardware store. To refuel, turn your lighter upside down and put pressure on the fill valve with the butane can nozzle. Purge any remaining gas or air: For butane lighters, press the refill valve with a small screwdriver or a similar tool. But. Lighter Fluid Leaking.
From trashwizard.com
How to Dispose of Lighters with Fluid? Ultimate Guide Trash Wizard Lighter Fluid Leaking Before you refuel your lighter, purchase a butane can, which can usually be found at a local hardware store. But, if the noise persists, butane is leaking out, which is dangerous because it can ignite. Your lighter may have a leaky gasket around the fuel tank if you hear a continual hissing noise from the fuel valve or from the. Lighter Fluid Leaking.
From www.survivalsullivan.com
How To Refill a Bic Lighter (with step by step photos) Lighter Fluid Leaking A temporary hissing sound is common when you refill a butane lighter as fuel and air escapes in the process. To refuel, turn your lighter upside down and put pressure on the fill valve with the butane can nozzle. If the fluid is leaking from the valve, you may need to replace the valve. Keeping it away from body heat. Lighter Fluid Leaking.
From www.reddit.com
Is this lighter fluid better or worse than one in a black can? Because Lighter Fluid Leaking A temporary hissing sound is common when you refill a butane lighter as fuel and air escapes in the process. Once the lighter is empty, the next step is to release any residual pressure. If your lighter isn’t working, check to see if the fuel tank is empty or the flint is gone, as these are simple to fix. For. Lighter Fluid Leaking.
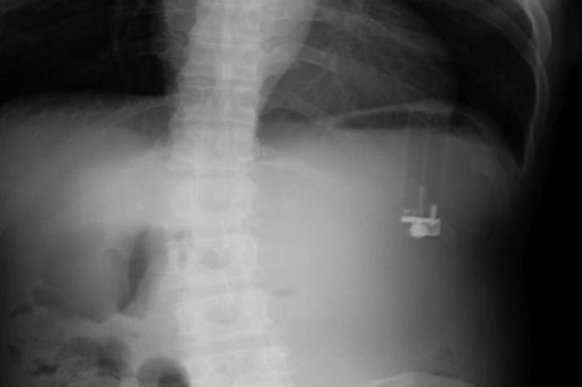
From www.independent.co.uk
Man's constant stomach ache turns out to be a cigarette lighter leaking Lighter Fluid Leaking Leaking butane is dangerous as it could ignite, so it’s important to act quickly. But what do you do with a leaking lighter? Torch lighters have two valves (the burner valve and. If your lighter isn’t working, check to see if the fuel tank is empty or the flint is gone, as these are simple to fix. Keeping it away. Lighter Fluid Leaking.
From www.livescience.com
Man Sees Doctor for Stomachache, Has Leaking Lighter Removed from Gut Lighter Fluid Leaking To refuel, turn your lighter upside down and put pressure on the fill valve with the butane can nozzle. Purge any remaining gas or air: Your lighter may have a leaky gasket around the fuel tank if you hear a continual hissing noise from the fuel valve or from the jets. If the fluid is leaking from the valve, you. Lighter Fluid Leaking.
From www.reddit.com
Tank leaking from a Butane lighter r/lighters Lighter Fluid Leaking Torch lighters have two valves (the burner valve and. Purge any remaining gas or air: Once the lighter is empty, the next step is to release any residual pressure. But what do you do with a leaking lighter? Before you refuel your lighter, purchase a butane can, which can usually be found at a local hardware store. But, if the. Lighter Fluid Leaking.
From howtotron.com
How to Fix a Leaking Lighter Troubleshooting and Repairing Common Lighter Fluid Leaking A temporary hissing sound is common when you refill a butane lighter as fuel and air escapes in the process. Once the lighter is empty, the next step is to release any residual pressure. Leaking butane is dangerous as it could ignite, so it’s important to act quickly. Keeping it away from body heat and not letting it heat up. Lighter Fluid Leaking.
From www.housedigest.com
The Right Way To Dispose Of Lighter Fluid Lighter Fluid Leaking Before you refuel your lighter, purchase a butane can, which can usually be found at a local hardware store. A temporary hissing sound is common when you refill a butane lighter as fuel and air escapes in the process. If your lighter isn’t working, check to see if the fuel tank is empty or the flint is gone, as these. Lighter Fluid Leaking.
From www.reddit.com
Thrifted Gucci lighter leaking help nozzle screw? r/lighters Lighter Fluid Leaking Your lighter may have a leaky gasket around the fuel tank if you hear a continual hissing noise from the fuel valve or from the jets. If your lighter isn’t working, check to see if the fuel tank is empty or the flint is gone, as these are simple to fix. Higher temperature definitely increases evaporation rate. Purge any remaining. Lighter Fluid Leaking.
From www.wikihow.com
3 Ways to Put Lighter Fluid in a Lighter wikiHow Lighter Fluid Leaking If the fluid is leaking from the valve, you may need to replace the valve. Your lighter may have a leaky gasket around the fuel tank if you hear a continual hissing noise from the fuel valve or from the jets. Torch lighters have two valves (the burner valve and. A temporary hissing sound is common when you refill a. Lighter Fluid Leaking.
From www.totallysmokin.com
How to Avoid The Lighter Fluid Taste When BBQing Totally Smokin Lighter Fluid Leaking But, if the noise persists, butane is leaking out, which is dangerous because it can ignite. Your lighter may have a leaky gasket around the fuel tank if you hear a continual hissing noise from the fuel valve or from the jets. For butane lighters, press the refill valve with a small screwdriver or a similar tool. But what do. Lighter Fluid Leaking.
From captainpatio.com
Does Lighter Fluid Ever Actually Go Bad? Captain Patio Lighter Fluid Leaking For butane lighters, press the refill valve with a small screwdriver or a similar tool. Torch lighters have two valves (the burner valve and. If your lighter isn’t working, check to see if the fuel tank is empty or the flint is gone, as these are simple to fix. Before you refuel your lighter, purchase a butane can, which can. Lighter Fluid Leaking.
From giowkbjge.blob.core.windows.net
Burning Natural Gas Smells Like Lighter Fluid at Alvin Cockerham blog Lighter Fluid Leaking Higher temperature definitely increases evaporation rate. If your lighter isn’t working, check to see if the fuel tank is empty or the flint is gone, as these are simple to fix. Leaking butane is dangerous as it could ignite, so it’s important to act quickly. For butane lighters, press the refill valve with a small screwdriver or a similar tool.. Lighter Fluid Leaking.
From techiescientist.com
Does Lighter Fluid Expire? (Shelf Life, Evaporation) Techiescientist Lighter Fluid Leaking But, if the noise persists, butane is leaking out, which is dangerous because it can ignite. To refuel, turn your lighter upside down and put pressure on the fill valve with the butane can nozzle. Leaking butane is dangerous as it could ignite, so it’s important to act quickly. Once the lighter is empty, the next step is to release. Lighter Fluid Leaking.
From www.reddit.com
Lighter leaking butane r/lighters Lighter Fluid Leaking But what do you do with a leaking lighter? If your lighter isn’t working, check to see if the fuel tank is empty or the flint is gone, as these are simple to fix. Once the lighter is empty, the next step is to release any residual pressure. Purge any remaining gas or air: If the fluid is leaking from. Lighter Fluid Leaking.
From www.youtube.com
how to deal with a leaking st dupont lighter ligne2 YouTube Lighter Fluid Leaking Leaking butane is dangerous as it could ignite, so it’s important to act quickly. Before you refuel your lighter, purchase a butane can, which can usually be found at a local hardware store. A temporary hissing sound is common when you refill a butane lighter as fuel and air escapes in the process. Keeping it away from body heat and. Lighter Fluid Leaking.
From lighters.pk
Lighter Fluid Lighter Fluid Leaking Keeping it away from body heat and not letting it heat up a lot from flame will. For butane lighters, press the refill valve with a small screwdriver or a similar tool. A temporary hissing sound is common when you refill a butane lighter as fuel and air escapes in the process. Torch lighters have two valves (the burner valve. Lighter Fluid Leaking.
From www.youtube.com
Lighter Fluid Cleans most Anything YouTube Lighter Fluid Leaking If your lighter isn’t working, check to see if the fuel tank is empty or the flint is gone, as these are simple to fix. Higher temperature definitely increases evaporation rate. Once the lighter is empty, the next step is to release any residual pressure. Purge any remaining gas or air: A temporary hissing sound is common when you refill. Lighter Fluid Leaking.
From hxezxlxiv.blob.core.windows.net
Zippo Lighter Fluid Toxic at Jaime Cobb blog Lighter Fluid Leaking If your lighter isn’t working, check to see if the fuel tank is empty or the flint is gone, as these are simple to fix. To refuel, turn your lighter upside down and put pressure on the fill valve with the butane can nozzle. Keeping it away from body heat and not letting it heat up a lot from flame. Lighter Fluid Leaking.
From www.reddit.com
About a month ago I got this Ronson lighter. It is leaking and I dont Lighter Fluid Leaking A temporary hissing sound is common when you refill a butane lighter as fuel and air escapes in the process. Higher temperature definitely increases evaporation rate. Once the lighter is empty, the next step is to release any residual pressure. To refuel, turn your lighter upside down and put pressure on the fill valve with the butane can nozzle. If. Lighter Fluid Leaking.
From www.reddit.com
Lighter is leaking butane from top. Any suggestions on how to fix? r Lighter Fluid Leaking Purge any remaining gas or air: But, if the noise persists, butane is leaking out, which is dangerous because it can ignite. Once the lighter is empty, the next step is to release any residual pressure. Leaking butane is dangerous as it could ignite, so it’s important to act quickly. Higher temperature definitely increases evaporation rate. To refuel, turn your. Lighter Fluid Leaking.
From www.carparts.com
Fluid Leaks 101 Find Out What’s Leaking From Your Car In the Garage Lighter Fluid Leaking Higher temperature definitely increases evaporation rate. For butane lighters, press the refill valve with a small screwdriver or a similar tool. Leaking butane is dangerous as it could ignite, so it’s important to act quickly. A temporary hissing sound is common when you refill a butane lighter as fuel and air escapes in the process. To refuel, turn your lighter. Lighter Fluid Leaking.
From www.sciencephoto.com
Lighter fluid Stock Image H130/0416 Science Photo Library Lighter Fluid Leaking But what do you do with a leaking lighter? If the fluid is leaking from the valve, you may need to replace the valve. But, if the noise persists, butane is leaking out, which is dangerous because it can ignite. Torch lighters have two valves (the burner valve and. A temporary hissing sound is common when you refill a butane. Lighter Fluid Leaking.
From www.reddit.com
Old lighter leaking gas r/lighters Lighter Fluid Leaking Your lighter may have a leaky gasket around the fuel tank if you hear a continual hissing noise from the fuel valve or from the jets. If your lighter isn’t working, check to see if the fuel tank is empty or the flint is gone, as these are simple to fix. A temporary hissing sound is common when you refill. Lighter Fluid Leaking.
From www.youtube.com
Zippo Fluid Can Lighter YouTube Lighter Fluid Leaking Once the lighter is empty, the next step is to release any residual pressure. To refuel, turn your lighter upside down and put pressure on the fill valve with the butane can nozzle. Your lighter may have a leaky gasket around the fuel tank if you hear a continual hissing noise from the fuel valve or from the jets. Keeping. Lighter Fluid Leaking.
From bryansgarage.com
Green Fluid Leaking From Car Top 5 Causes & Best Solutions! Lighter Fluid Leaking Leaking butane is dangerous as it could ignite, so it’s important to act quickly. To refuel, turn your lighter upside down and put pressure on the fill valve with the butane can nozzle. But what do you do with a leaking lighter? Once the lighter is empty, the next step is to release any residual pressure. Higher temperature definitely increases. Lighter Fluid Leaking.
From www.youtube.com
Putting lighter fluid on a fire. YouTube Lighter Fluid Leaking Higher temperature definitely increases evaporation rate. Your lighter may have a leaky gasket around the fuel tank if you hear a continual hissing noise from the fuel valve or from the jets. Torch lighters have two valves (the burner valve and. Before you refuel your lighter, purchase a butane can, which can usually be found at a local hardware store.. Lighter Fluid Leaking.