Ct Scan Drainage . In percutaneous abscess drainage, an interventional radiologist uses imaging guidance (ct, ultrasound or fluoroscopy) to place a thin. In cases in which fistula is suspected the injection of diluted contrast media in the drainage and an additional post. Ct and less commonly mri and us are used to diagnose suspected mesh complications. Deep pelvic abscesses may present a unique challenge for percutaneous drainage because of numerous overlying structures, which preclude safe percutaneous.
from www.researchgate.net
In percutaneous abscess drainage, an interventional radiologist uses imaging guidance (ct, ultrasound or fluoroscopy) to place a thin. Deep pelvic abscesses may present a unique challenge for percutaneous drainage because of numerous overlying structures, which preclude safe percutaneous. In cases in which fistula is suspected the injection of diluted contrast media in the drainage and an additional post. Ct and less commonly mri and us are used to diagnose suspected mesh complications.
Chest CT scan after pericardial drainage arrow mass. Download
Ct Scan Drainage In percutaneous abscess drainage, an interventional radiologist uses imaging guidance (ct, ultrasound or fluoroscopy) to place a thin. In cases in which fistula is suspected the injection of diluted contrast media in the drainage and an additional post. Deep pelvic abscesses may present a unique challenge for percutaneous drainage because of numerous overlying structures, which preclude safe percutaneous. Ct and less commonly mri and us are used to diagnose suspected mesh complications. In percutaneous abscess drainage, an interventional radiologist uses imaging guidance (ct, ultrasound or fluoroscopy) to place a thin.
From www.researchgate.net
Chest CT scan showing placement of a percutaneous drain for the Ct Scan Drainage In percutaneous abscess drainage, an interventional radiologist uses imaging guidance (ct, ultrasound or fluoroscopy) to place a thin. In cases in which fistula is suspected the injection of diluted contrast media in the drainage and an additional post. Ct and less commonly mri and us are used to diagnose suspected mesh complications. Deep pelvic abscesses may present a unique challenge. Ct Scan Drainage.
From www.cureus.com
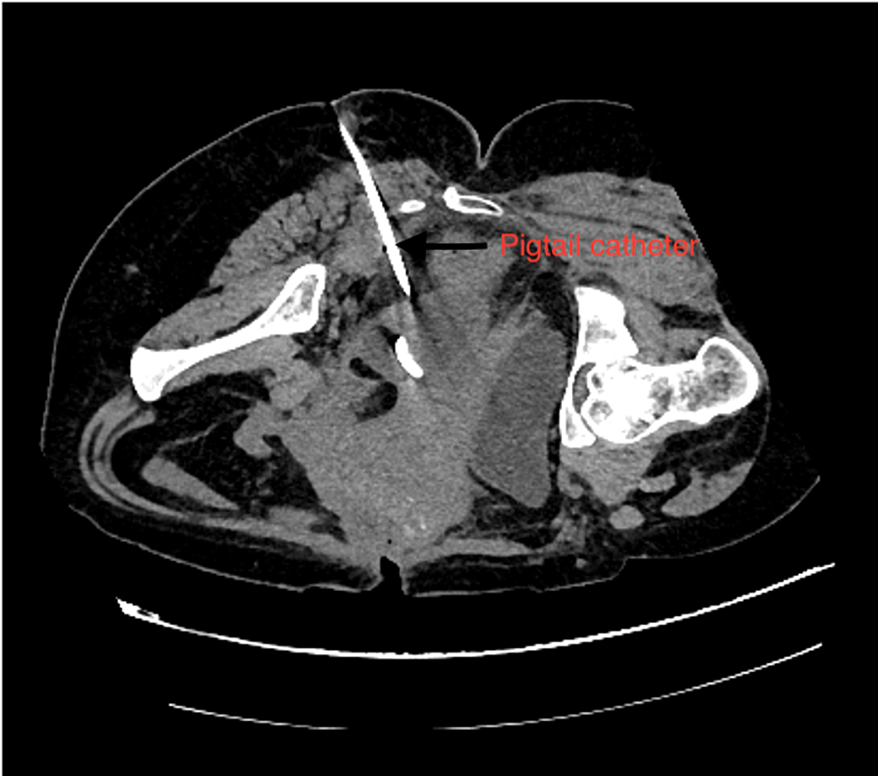
Cureus Post Caesarean Section Deep Pelvic Abscess CT Guided Ct Scan Drainage Deep pelvic abscesses may present a unique challenge for percutaneous drainage because of numerous overlying structures, which preclude safe percutaneous. In percutaneous abscess drainage, an interventional radiologist uses imaging guidance (ct, ultrasound or fluoroscopy) to place a thin. In cases in which fistula is suspected the injection of diluted contrast media in the drainage and an additional post. Ct and. Ct Scan Drainage.
From www.researchgate.net
CT scan showing percutaneous drain successfully draining the primary Ct Scan Drainage In percutaneous abscess drainage, an interventional radiologist uses imaging guidance (ct, ultrasound or fluoroscopy) to place a thin. In cases in which fistula is suspected the injection of diluted contrast media in the drainage and an additional post. Ct and less commonly mri and us are used to diagnose suspected mesh complications. Deep pelvic abscesses may present a unique challenge. Ct Scan Drainage.
From www.researchgate.net
Abdominal CT scan showing the percutaneous drainage of peripancreatic Ct Scan Drainage Ct and less commonly mri and us are used to diagnose suspected mesh complications. In percutaneous abscess drainage, an interventional radiologist uses imaging guidance (ct, ultrasound or fluoroscopy) to place a thin. Deep pelvic abscesses may present a unique challenge for percutaneous drainage because of numerous overlying structures, which preclude safe percutaneous. In cases in which fistula is suspected the. Ct Scan Drainage.
From www.researchgate.net
CT scans showing we performed CT‐scan guided drainage at the site of Ct Scan Drainage In percutaneous abscess drainage, an interventional radiologist uses imaging guidance (ct, ultrasound or fluoroscopy) to place a thin. Deep pelvic abscesses may present a unique challenge for percutaneous drainage because of numerous overlying structures, which preclude safe percutaneous. In cases in which fistula is suspected the injection of diluted contrast media in the drainage and an additional post. Ct and. Ct Scan Drainage.
From www.ajronline.org
Impact of CTGuided Drainage in the Treatment of Diverticular Abscesses Ct Scan Drainage Ct and less commonly mri and us are used to diagnose suspected mesh complications. In percutaneous abscess drainage, an interventional radiologist uses imaging guidance (ct, ultrasound or fluoroscopy) to place a thin. Deep pelvic abscesses may present a unique challenge for percutaneous drainage because of numerous overlying structures, which preclude safe percutaneous. In cases in which fistula is suspected the. Ct Scan Drainage.
From www.researchgate.net
Chest CTscan following pericardial drainage demonstrating a calcified Ct Scan Drainage Deep pelvic abscesses may present a unique challenge for percutaneous drainage because of numerous overlying structures, which preclude safe percutaneous. Ct and less commonly mri and us are used to diagnose suspected mesh complications. In percutaneous abscess drainage, an interventional radiologist uses imaging guidance (ct, ultrasound or fluoroscopy) to place a thin. In cases in which fistula is suspected the. Ct Scan Drainage.
From www.researchgate.net
Abdominal CT scan seven days after surgical drainage. An ongoing Ct Scan Drainage In cases in which fistula is suspected the injection of diluted contrast media in the drainage and an additional post. Deep pelvic abscesses may present a unique challenge for percutaneous drainage because of numerous overlying structures, which preclude safe percutaneous. In percutaneous abscess drainage, an interventional radiologist uses imaging guidance (ct, ultrasound or fluoroscopy) to place a thin. Ct and. Ct Scan Drainage.
From www.researchgate.net
CT scan of head showing over drainage with ventricular collapse Ct Scan Drainage In cases in which fistula is suspected the injection of diluted contrast media in the drainage and an additional post. Ct and less commonly mri and us are used to diagnose suspected mesh complications. Deep pelvic abscesses may present a unique challenge for percutaneous drainage because of numerous overlying structures, which preclude safe percutaneous. In percutaneous abscess drainage, an interventional. Ct Scan Drainage.
From www.researchgate.net
CT scan after the percutaneous drainage of the collection. The drain is Ct Scan Drainage Ct and less commonly mri and us are used to diagnose suspected mesh complications. In cases in which fistula is suspected the injection of diluted contrast media in the drainage and an additional post. Deep pelvic abscesses may present a unique challenge for percutaneous drainage because of numerous overlying structures, which preclude safe percutaneous. In percutaneous abscess drainage, an interventional. Ct Scan Drainage.
From www.researchgate.net
CT scans showing we performed CT‐scan guided drainage at the site of Ct Scan Drainage Ct and less commonly mri and us are used to diagnose suspected mesh complications. Deep pelvic abscesses may present a unique challenge for percutaneous drainage because of numerous overlying structures, which preclude safe percutaneous. In cases in which fistula is suspected the injection of diluted contrast media in the drainage and an additional post. In percutaneous abscess drainage, an interventional. Ct Scan Drainage.
From www.researchgate.net
CT scan after subxifoid pericardial drainage. Download Scientific Diagram Ct Scan Drainage In cases in which fistula is suspected the injection of diluted contrast media in the drainage and an additional post. In percutaneous abscess drainage, an interventional radiologist uses imaging guidance (ct, ultrasound or fluoroscopy) to place a thin. Ct and less commonly mri and us are used to diagnose suspected mesh complications. Deep pelvic abscesses may present a unique challenge. Ct Scan Drainage.
From www.researchgate.net
CT scan, which was performed after retaining the drainage tube for 34 Ct Scan Drainage In percutaneous abscess drainage, an interventional radiologist uses imaging guidance (ct, ultrasound or fluoroscopy) to place a thin. Deep pelvic abscesses may present a unique challenge for percutaneous drainage because of numerous overlying structures, which preclude safe percutaneous. In cases in which fistula is suspected the injection of diluted contrast media in the drainage and an additional post. Ct and. Ct Scan Drainage.
From www.researchgate.net
A CT tomography) scan obtained after chest tube drainage Ct Scan Drainage In percutaneous abscess drainage, an interventional radiologist uses imaging guidance (ct, ultrasound or fluoroscopy) to place a thin. Ct and less commonly mri and us are used to diagnose suspected mesh complications. Deep pelvic abscesses may present a unique challenge for percutaneous drainage because of numerous overlying structures, which preclude safe percutaneous. In cases in which fistula is suspected the. Ct Scan Drainage.
From www.researchgate.net
CT scan of our patient with transversal slides. (A) Drainage level of Ct Scan Drainage Ct and less commonly mri and us are used to diagnose suspected mesh complications. Deep pelvic abscesses may present a unique challenge for percutaneous drainage because of numerous overlying structures, which preclude safe percutaneous. In percutaneous abscess drainage, an interventional radiologist uses imaging guidance (ct, ultrasound or fluoroscopy) to place a thin. In cases in which fistula is suspected the. Ct Scan Drainage.
From pressbooks.pub
Percutaneous Fluid Drainage Undergraduate Diagnostic Imaging Fundamentals Ct Scan Drainage In percutaneous abscess drainage, an interventional radiologist uses imaging guidance (ct, ultrasound or fluoroscopy) to place a thin. In cases in which fistula is suspected the injection of diluted contrast media in the drainage and an additional post. Deep pelvic abscesses may present a unique challenge for percutaneous drainage because of numerous overlying structures, which preclude safe percutaneous. Ct and. Ct Scan Drainage.
From www.researchgate.net
(a) Immediate postoperative CT scan after bilateral burr hole drainage Ct Scan Drainage In cases in which fistula is suspected the injection of diluted contrast media in the drainage and an additional post. Deep pelvic abscesses may present a unique challenge for percutaneous drainage because of numerous overlying structures, which preclude safe percutaneous. In percutaneous abscess drainage, an interventional radiologist uses imaging guidance (ct, ultrasound or fluoroscopy) to place a thin. Ct and. Ct Scan Drainage.
From www.researchgate.net
Two dimensional CTscan. Splenic drain in situ. After two weeks of Ct Scan Drainage Deep pelvic abscesses may present a unique challenge for percutaneous drainage because of numerous overlying structures, which preclude safe percutaneous. In cases in which fistula is suspected the injection of diluted contrast media in the drainage and an additional post. Ct and less commonly mri and us are used to diagnose suspected mesh complications. In percutaneous abscess drainage, an interventional. Ct Scan Drainage.
From www.researchgate.net
Chest CT scan after pericardial drainage arrow mass. Download Ct Scan Drainage In percutaneous abscess drainage, an interventional radiologist uses imaging guidance (ct, ultrasound or fluoroscopy) to place a thin. Ct and less commonly mri and us are used to diagnose suspected mesh complications. Deep pelvic abscesses may present a unique challenge for percutaneous drainage because of numerous overlying structures, which preclude safe percutaneous. In cases in which fistula is suspected the. Ct Scan Drainage.
From www.researchgate.net
CT scan demonstrating coiling of the percutaneous drain within the Ct Scan Drainage Deep pelvic abscesses may present a unique challenge for percutaneous drainage because of numerous overlying structures, which preclude safe percutaneous. In percutaneous abscess drainage, an interventional radiologist uses imaging guidance (ct, ultrasound or fluoroscopy) to place a thin. Ct and less commonly mri and us are used to diagnose suspected mesh complications. In cases in which fistula is suspected the. Ct Scan Drainage.
From www.researchgate.net
CT scan with contrast showing pericardial drainage catheter in situ in Ct Scan Drainage In percutaneous abscess drainage, an interventional radiologist uses imaging guidance (ct, ultrasound or fluoroscopy) to place a thin. In cases in which fistula is suspected the injection of diluted contrast media in the drainage and an additional post. Deep pelvic abscesses may present a unique challenge for percutaneous drainage because of numerous overlying structures, which preclude safe percutaneous. Ct and. Ct Scan Drainage.
From pubs.rsna.org
CTguided Transgluteal Drainage of Deep Pelvic Abscesses Indications Ct Scan Drainage Deep pelvic abscesses may present a unique challenge for percutaneous drainage because of numerous overlying structures, which preclude safe percutaneous. In cases in which fistula is suspected the injection of diluted contrast media in the drainage and an additional post. Ct and less commonly mri and us are used to diagnose suspected mesh complications. In percutaneous abscess drainage, an interventional. Ct Scan Drainage.
From pubs.rsna.org
CTguided Transgluteal Drainage of Deep Pelvic Abscesses Indications Ct Scan Drainage Ct and less commonly mri and us are used to diagnose suspected mesh complications. In percutaneous abscess drainage, an interventional radiologist uses imaging guidance (ct, ultrasound or fluoroscopy) to place a thin. Deep pelvic abscesses may present a unique challenge for percutaneous drainage because of numerous overlying structures, which preclude safe percutaneous. In cases in which fistula is suspected the. Ct Scan Drainage.
From www.researchgate.net
Abdominal CT scan with contrast agent after percutaneous drainage Ct Scan Drainage Ct and less commonly mri and us are used to diagnose suspected mesh complications. In percutaneous abscess drainage, an interventional radiologist uses imaging guidance (ct, ultrasound or fluoroscopy) to place a thin. Deep pelvic abscesses may present a unique challenge for percutaneous drainage because of numerous overlying structures, which preclude safe percutaneous. In cases in which fistula is suspected the. Ct Scan Drainage.
From pubs.rsna.org
Radiologic Assessment for Endoscopic USguided Biliary Drainage Ct Scan Drainage In percutaneous abscess drainage, an interventional radiologist uses imaging guidance (ct, ultrasound or fluoroscopy) to place a thin. In cases in which fistula is suspected the injection of diluted contrast media in the drainage and an additional post. Deep pelvic abscesses may present a unique challenge for percutaneous drainage because of numerous overlying structures, which preclude safe percutaneous. Ct and. Ct Scan Drainage.
From www.dreamstime.com
Ct Scan Right Renal Cyst Guided Drainage Imaging Stock Photo Image of Ct Scan Drainage Ct and less commonly mri and us are used to diagnose suspected mesh complications. Deep pelvic abscesses may present a unique challenge for percutaneous drainage because of numerous overlying structures, which preclude safe percutaneous. In percutaneous abscess drainage, an interventional radiologist uses imaging guidance (ct, ultrasound or fluoroscopy) to place a thin. In cases in which fistula is suspected the. Ct Scan Drainage.
From www.youtube.com
Percutaneous CTguided drainage of a pelvic collection YouTube Ct Scan Drainage In cases in which fistula is suspected the injection of diluted contrast media in the drainage and an additional post. In percutaneous abscess drainage, an interventional radiologist uses imaging guidance (ct, ultrasound or fluoroscopy) to place a thin. Ct and less commonly mri and us are used to diagnose suspected mesh complications. Deep pelvic abscesses may present a unique challenge. Ct Scan Drainage.
From www.primescholars.com
CT Guided Percutaneous Drainage in Necrotizing Pancreatitis Hig Ct Scan Drainage Deep pelvic abscesses may present a unique challenge for percutaneous drainage because of numerous overlying structures, which preclude safe percutaneous. In percutaneous abscess drainage, an interventional radiologist uses imaging guidance (ct, ultrasound or fluoroscopy) to place a thin. In cases in which fistula is suspected the injection of diluted contrast media in the drainage and an additional post. Ct and. Ct Scan Drainage.
From www.researchgate.net
CT scan was taken 26 days after the CTguided percutaneous drainage was Ct Scan Drainage In percutaneous abscess drainage, an interventional radiologist uses imaging guidance (ct, ultrasound or fluoroscopy) to place a thin. Deep pelvic abscesses may present a unique challenge for percutaneous drainage because of numerous overlying structures, which preclude safe percutaneous. Ct and less commonly mri and us are used to diagnose suspected mesh complications. In cases in which fistula is suspected the. Ct Scan Drainage.
From www.researchgate.net
Abdominal CT scan done 6 weeks after CTguided percutaneous drainage of Ct Scan Drainage In cases in which fistula is suspected the injection of diluted contrast media in the drainage and an additional post. Ct and less commonly mri and us are used to diagnose suspected mesh complications. In percutaneous abscess drainage, an interventional radiologist uses imaging guidance (ct, ultrasound or fluoroscopy) to place a thin. Deep pelvic abscesses may present a unique challenge. Ct Scan Drainage.
From www.researchgate.net
CT scan was taken 26 days after the CTguided percutaneous drainage was Ct Scan Drainage In percutaneous abscess drainage, an interventional radiologist uses imaging guidance (ct, ultrasound or fluoroscopy) to place a thin. In cases in which fistula is suspected the injection of diluted contrast media in the drainage and an additional post. Ct and less commonly mri and us are used to diagnose suspected mesh complications. Deep pelvic abscesses may present a unique challenge. Ct Scan Drainage.
From www.researchgate.net
Abdominal CT scan 10 weeks after the drainage. Download Scientific Ct Scan Drainage In cases in which fistula is suspected the injection of diluted contrast media in the drainage and an additional post. Ct and less commonly mri and us are used to diagnose suspected mesh complications. In percutaneous abscess drainage, an interventional radiologist uses imaging guidance (ct, ultrasound or fluoroscopy) to place a thin. Deep pelvic abscesses may present a unique challenge. Ct Scan Drainage.
From www.researchgate.net
CT scan at 30 postoperative days showed a RXguided drainage in the Ct Scan Drainage In cases in which fistula is suspected the injection of diluted contrast media in the drainage and an additional post. In percutaneous abscess drainage, an interventional radiologist uses imaging guidance (ct, ultrasound or fluoroscopy) to place a thin. Ct and less commonly mri and us are used to diagnose suspected mesh complications. Deep pelvic abscesses may present a unique challenge. Ct Scan Drainage.
From www.researchgate.net
CT scan performed 3 weeks after EUSguided transrectal drainage showing Ct Scan Drainage In percutaneous abscess drainage, an interventional radiologist uses imaging guidance (ct, ultrasound or fluoroscopy) to place a thin. Deep pelvic abscesses may present a unique challenge for percutaneous drainage because of numerous overlying structures, which preclude safe percutaneous. Ct and less commonly mri and us are used to diagnose suspected mesh complications. In cases in which fistula is suspected the. Ct Scan Drainage.
From www.researchgate.net
CT scan after subxifoid pericardial drainage. Download Scientific Diagram Ct Scan Drainage In cases in which fistula is suspected the injection of diluted contrast media in the drainage and an additional post. Deep pelvic abscesses may present a unique challenge for percutaneous drainage because of numerous overlying structures, which preclude safe percutaneous. In percutaneous abscess drainage, an interventional radiologist uses imaging guidance (ct, ultrasound or fluoroscopy) to place a thin. Ct and. Ct Scan Drainage.