Onion Cell Lab . having observed the onion cell under the microscope, students will be able to learn the differences between animal and plant cells in addition to the function of the different parts of the cell. an onion is made of layers, each separated by a thin skin or membrane. with the microscope set to the appropriate magnification, students can now observe the onion peel cells in detail. learn how to prepare an onion for observation in order to observe the individual cells under a microscope. To look at a cell close up a microscope needs to. They can identify and study the cell wall, cell membrane, cytoplasm, and nucleus, gaining insights into the structural organization of a plant cell. Studying cell tissues from an onion peel is a great exercise in using light microscopes and learning about plant cells, since onion cells are highly visible under a microscope, especially when stained correctly. In this exercise, you will make a wet. All living organisms are made up of cells. what do onion cells look like under the microscope? learn how to observe and draw the structure of onion and cheek cells using microscopes and stains.
from swiftyscience.blogspot.com
To look at a cell close up a microscope needs to. an onion is made of layers, each separated by a thin skin or membrane. They can identify and study the cell wall, cell membrane, cytoplasm, and nucleus, gaining insights into the structural organization of a plant cell. having observed the onion cell under the microscope, students will be able to learn the differences between animal and plant cells in addition to the function of the different parts of the cell. learn how to observe and draw the structure of onion and cheek cells using microscopes and stains. In this exercise, you will make a wet. Studying cell tissues from an onion peel is a great exercise in using light microscopes and learning about plant cells, since onion cells are highly visible under a microscope, especially when stained correctly. All living organisms are made up of cells. learn how to prepare an onion for observation in order to observe the individual cells under a microscope. what do onion cells look like under the microscope?
swifty science onion cell lab
Onion Cell Lab They can identify and study the cell wall, cell membrane, cytoplasm, and nucleus, gaining insights into the structural organization of a plant cell. learn how to prepare an onion for observation in order to observe the individual cells under a microscope. They can identify and study the cell wall, cell membrane, cytoplasm, and nucleus, gaining insights into the structural organization of a plant cell. All living organisms are made up of cells. with the microscope set to the appropriate magnification, students can now observe the onion peel cells in detail. To look at a cell close up a microscope needs to. what do onion cells look like under the microscope? learn how to observe and draw the structure of onion and cheek cells using microscopes and stains. Studying cell tissues from an onion peel is a great exercise in using light microscopes and learning about plant cells, since onion cells are highly visible under a microscope, especially when stained correctly. In this exercise, you will make a wet. having observed the onion cell under the microscope, students will be able to learn the differences between animal and plant cells in addition to the function of the different parts of the cell. an onion is made of layers, each separated by a thin skin or membrane.
From studylib.net
The Onion Cell Lab Onion Cell Lab what do onion cells look like under the microscope? with the microscope set to the appropriate magnification, students can now observe the onion peel cells in detail. having observed the onion cell under the microscope, students will be able to learn the differences between animal and plant cells in addition to the function of the different parts. Onion Cell Lab.
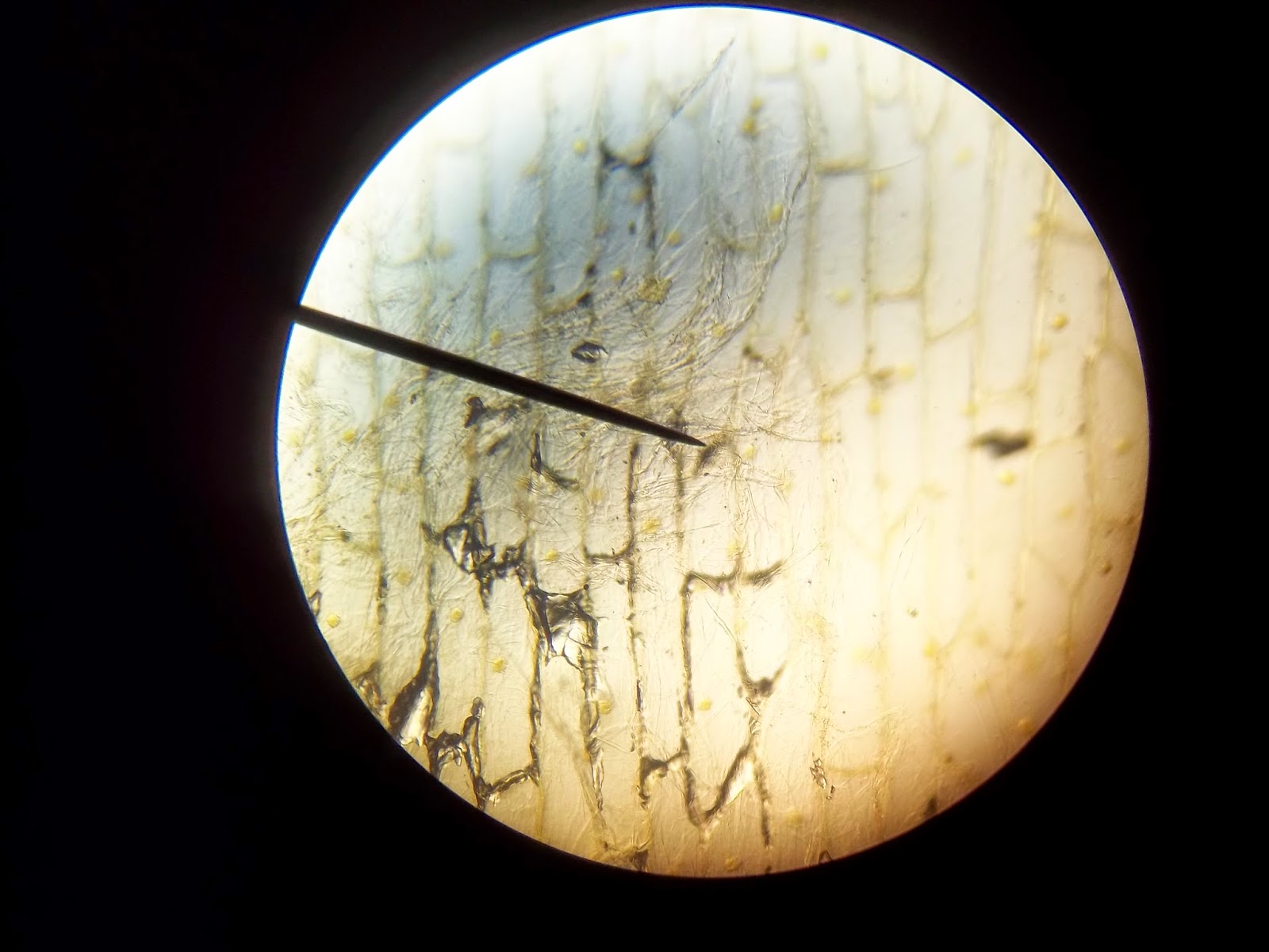
From mavink.com
Labelled Diagram Of Onion Cell Onion Cell Lab They can identify and study the cell wall, cell membrane, cytoplasm, and nucleus, gaining insights into the structural organization of a plant cell. having observed the onion cell under the microscope, students will be able to learn the differences between animal and plant cells in addition to the function of the different parts of the cell. In this exercise,. Onion Cell Lab.
From www.scribd.com
The Onion Cell Lab PDF Cell (Biology) Cell Nucleus Onion Cell Lab In this exercise, you will make a wet. learn how to prepare an onion for observation in order to observe the individual cells under a microscope. with the microscope set to the appropriate magnification, students can now observe the onion peel cells in detail. an onion is made of layers, each separated by a thin skin or. Onion Cell Lab.
From ar.inspiredpencil.com
Onion Cell Lab Procedure Onion Cell Lab learn how to observe and draw the structure of onion and cheek cells using microscopes and stains. They can identify and study the cell wall, cell membrane, cytoplasm, and nucleus, gaining insights into the structural organization of a plant cell. what do onion cells look like under the microscope? All living organisms are made up of cells. In. Onion Cell Lab.
From www.slideserve.com
PPT Onion Cell PowerPoint Presentation, free download ID1962002 Onion Cell Lab what do onion cells look like under the microscope? In this exercise, you will make a wet. They can identify and study the cell wall, cell membrane, cytoplasm, and nucleus, gaining insights into the structural organization of a plant cell. learn how to prepare an onion for observation in order to observe the individual cells under a microscope.. Onion Cell Lab.
From studylib.net
Onion Cell and Cheek Cell Lab Onion Cell Lab learn how to prepare an onion for observation in order to observe the individual cells under a microscope. They can identify and study the cell wall, cell membrane, cytoplasm, and nucleus, gaining insights into the structural organization of a plant cell. Studying cell tissues from an onion peel is a great exercise in using light microscopes and learning about. Onion Cell Lab.
From swiftyscience.blogspot.com
swifty science onion cell lab Onion Cell Lab an onion is made of layers, each separated by a thin skin or membrane. They can identify and study the cell wall, cell membrane, cytoplasm, and nucleus, gaining insights into the structural organization of a plant cell. To look at a cell close up a microscope needs to. learn how to prepare an onion for observation in order. Onion Cell Lab.
From ar.inspiredpencil.com
Onion Cell Lab Procedure Onion Cell Lab All living organisms are made up of cells. They can identify and study the cell wall, cell membrane, cytoplasm, and nucleus, gaining insights into the structural organization of a plant cell. In this exercise, you will make a wet. learn how to observe and draw the structure of onion and cheek cells using microscopes and stains. with the. Onion Cell Lab.
From www.dreamstime.com
Onion Cell Under Microscope 40X Stock Image Image of cell, onion Onion Cell Lab an onion is made of layers, each separated by a thin skin or membrane. They can identify and study the cell wall, cell membrane, cytoplasm, and nucleus, gaining insights into the structural organization of a plant cell. learn how to prepare an onion for observation in order to observe the individual cells under a microscope. In this exercise,. Onion Cell Lab.
From studylib.net
Onion Cell Plasmolysis Lab Onion Cell Lab All living organisms are made up of cells. To look at a cell close up a microscope needs to. Studying cell tissues from an onion peel is a great exercise in using light microscopes and learning about plant cells, since onion cells are highly visible under a microscope, especially when stained correctly. having observed the onion cell under the. Onion Cell Lab.
From schematiclistboons88.z13.web.core.windows.net
Onion Cell Diagram Labeled Onion Cell Lab learn how to prepare an onion for observation in order to observe the individual cells under a microscope. They can identify and study the cell wall, cell membrane, cytoplasm, and nucleus, gaining insights into the structural organization of a plant cell. having observed the onion cell under the microscope, students will be able to learn the differences between. Onion Cell Lab.
From www.scribd.com
Lab Onion Cells PDF Cell (Biology) Staining Onion Cell Lab They can identify and study the cell wall, cell membrane, cytoplasm, and nucleus, gaining insights into the structural organization of a plant cell. Studying cell tissues from an onion peel is a great exercise in using light microscopes and learning about plant cells, since onion cells are highly visible under a microscope, especially when stained correctly. an onion is. Onion Cell Lab.
From myhandsonscienceblog.blogspot.com
Hands On Science Pictures of our onion cell lab! Onion Cell Lab All living organisms are made up of cells. an onion is made of layers, each separated by a thin skin or membrane. Studying cell tissues from an onion peel is a great exercise in using light microscopes and learning about plant cells, since onion cells are highly visible under a microscope, especially when stained correctly. learn how to. Onion Cell Lab.
From anyboli.com
What are the different parts of onion cell? Onion Cell Lab having observed the onion cell under the microscope, students will be able to learn the differences between animal and plant cells in addition to the function of the different parts of the cell. In this exercise, you will make a wet. They can identify and study the cell wall, cell membrane, cytoplasm, and nucleus, gaining insights into the structural. Onion Cell Lab.
From www.scribd.com
Onion Cell Lab PDF Staining Cell (Biology) Onion Cell Lab In this exercise, you will make a wet. an onion is made of layers, each separated by a thin skin or membrane. learn how to observe and draw the structure of onion and cheek cells using microscopes and stains. Studying cell tissues from an onion peel is a great exercise in using light microscopes and learning about plant. Onion Cell Lab.
From swiftyscience.blogspot.com
swifty science onion cell lab Onion Cell Lab All living organisms are made up of cells. having observed the onion cell under the microscope, students will be able to learn the differences between animal and plant cells in addition to the function of the different parts of the cell. learn how to prepare an onion for observation in order to observe the individual cells under a. Onion Cell Lab.
From myhandsonscienceblog.blogspot.com
Hands On Science Pictures of our onion cell lab! Onion Cell Lab To look at a cell close up a microscope needs to. learn how to prepare an onion for observation in order to observe the individual cells under a microscope. In this exercise, you will make a wet. All living organisms are made up of cells. Studying cell tissues from an onion peel is a great exercise in using light. Onion Cell Lab.
From www.thinkswap.com
Osmosis in Red Onion Cells Biology Year 11 SACE Thinkswap Onion Cell Lab They can identify and study the cell wall, cell membrane, cytoplasm, and nucleus, gaining insights into the structural organization of a plant cell. In this exercise, you will make a wet. All living organisms are made up of cells. what do onion cells look like under the microscope? Studying cell tissues from an onion peel is a great exercise. Onion Cell Lab.
From www.scribd.com
4 Cheek and Onion Cell Lab PDF Onion Cell Lab All living organisms are made up of cells. with the microscope set to the appropriate magnification, students can now observe the onion peel cells in detail. an onion is made of layers, each separated by a thin skin or membrane. In this exercise, you will make a wet. Studying cell tissues from an onion peel is a great. Onion Cell Lab.
From circuitdbseriatim.z13.web.core.windows.net
Diagram Of An Onion Cell Onion Cell Lab They can identify and study the cell wall, cell membrane, cytoplasm, and nucleus, gaining insights into the structural organization of a plant cell. learn how to prepare an onion for observation in order to observe the individual cells under a microscope. To look at a cell close up a microscope needs to. having observed the onion cell under. Onion Cell Lab.
From studylib.net
Onion Cell Mitosis Lab Instructions Onion Cell Lab having observed the onion cell under the microscope, students will be able to learn the differences between animal and plant cells in addition to the function of the different parts of the cell. learn how to prepare an onion for observation in order to observe the individual cells under a microscope. with the microscope set to the. Onion Cell Lab.
From ar.inspiredpencil.com
Onion Cell Lab Procedure Onion Cell Lab learn how to observe and draw the structure of onion and cheek cells using microscopes and stains. Studying cell tissues from an onion peel is a great exercise in using light microscopes and learning about plant cells, since onion cells are highly visible under a microscope, especially when stained correctly. what do onion cells look like under the. Onion Cell Lab.
From www.southernbiological.com
Onion Mitosis, l.s. Thin Microscope Slide Southern Biological Onion Cell Lab an onion is made of layers, each separated by a thin skin or membrane. with the microscope set to the appropriate magnification, students can now observe the onion peel cells in detail. having observed the onion cell under the microscope, students will be able to learn the differences between animal and plant cells in addition to the. Onion Cell Lab.
From studylib.net
Cheek and onion cell lab Onion Cell Lab In this exercise, you will make a wet. with the microscope set to the appropriate magnification, students can now observe the onion peel cells in detail. Studying cell tissues from an onion peel is a great exercise in using light microscopes and learning about plant cells, since onion cells are highly visible under a microscope, especially when stained correctly.. Onion Cell Lab.
From www.sliderbase.com
Lab Slides. Cell Types Presentation Biology Onion Cell Lab what do onion cells look like under the microscope? learn how to observe and draw the structure of onion and cheek cells using microscopes and stains. Studying cell tissues from an onion peel is a great exercise in using light microscopes and learning about plant cells, since onion cells are highly visible under a microscope, especially when stained. Onion Cell Lab.
From www.slideserve.com
PPT Onion Cell PowerPoint Presentation, free download ID2657652 Onion Cell Lab Studying cell tissues from an onion peel is a great exercise in using light microscopes and learning about plant cells, since onion cells are highly visible under a microscope, especially when stained correctly. They can identify and study the cell wall, cell membrane, cytoplasm, and nucleus, gaining insights into the structural organization of a plant cell. learn how to. Onion Cell Lab.
From studylib.net
Onion Mitosis Lab Henriksen Science Onion Cell Lab having observed the onion cell under the microscope, students will be able to learn the differences between animal and plant cells in addition to the function of the different parts of the cell. In this exercise, you will make a wet. with the microscope set to the appropriate magnification, students can now observe the onion peel cells in. Onion Cell Lab.
From saurabhg.com
Onion Cells under Microscope Onion Cell Lab They can identify and study the cell wall, cell membrane, cytoplasm, and nucleus, gaining insights into the structural organization of a plant cell. All living organisms are made up of cells. with the microscope set to the appropriate magnification, students can now observe the onion peel cells in detail. learn how to observe and draw the structure of. Onion Cell Lab.
From biobiznews.net
Onion_Cells Onion Cell Lab learn how to observe and draw the structure of onion and cheek cells using microscopes and stains. with the microscope set to the appropriate magnification, students can now observe the onion peel cells in detail. having observed the onion cell under the microscope, students will be able to learn the differences between animal and plant cells in. Onion Cell Lab.
From www.slideserve.com
PPT Purple Onion Cell Lab PowerPoint Presentation, free download ID Onion Cell Lab They can identify and study the cell wall, cell membrane, cytoplasm, and nucleus, gaining insights into the structural organization of a plant cell. learn how to observe and draw the structure of onion and cheek cells using microscopes and stains. To look at a cell close up a microscope needs to. Studying cell tissues from an onion peel is. Onion Cell Lab.
From www.youtube.com
Onion and cheek cells Lab YouTube Onion Cell Lab Studying cell tissues from an onion peel is a great exercise in using light microscopes and learning about plant cells, since onion cells are highly visible under a microscope, especially when stained correctly. learn how to observe and draw the structure of onion and cheek cells using microscopes and stains. All living organisms are made up of cells. . Onion Cell Lab.
From swiftyscience.blogspot.com
swifty science onion cell lab Onion Cell Lab They can identify and study the cell wall, cell membrane, cytoplasm, and nucleus, gaining insights into the structural organization of a plant cell. To look at a cell close up a microscope needs to. having observed the onion cell under the microscope, students will be able to learn the differences between animal and plant cells in addition to the. Onion Cell Lab.
From studylib.net
Cell Lab 7 Onion Root Mitosis Onion Cell Lab an onion is made of layers, each separated by a thin skin or membrane. In this exercise, you will make a wet. having observed the onion cell under the microscope, students will be able to learn the differences between animal and plant cells in addition to the function of the different parts of the cell. All living organisms. Onion Cell Lab.
From www.slideshare.net
The onion cell_lab Onion Cell Lab learn how to observe and draw the structure of onion and cheek cells using microscopes and stains. To look at a cell close up a microscope needs to. having observed the onion cell under the microscope, students will be able to learn the differences between animal and plant cells in addition to the function of the different parts. Onion Cell Lab.
From www.slideshare.net
The onion cell_lab Onion Cell Lab They can identify and study the cell wall, cell membrane, cytoplasm, and nucleus, gaining insights into the structural organization of a plant cell. learn how to observe and draw the structure of onion and cheek cells using microscopes and stains. with the microscope set to the appropriate magnification, students can now observe the onion peel cells in detail.. Onion Cell Lab.