Maceration Of Lateral Meniscus . A lateral meniscus tear (torn meniscus) is a tear of the semicircular fibrous cartilage discs in the knee. There are two menisci, which are. We name the special meniscal tear morphology as macerated tear, which refers to the loose separation between circumferential fiber. These lie on the inside (medial) and outside (lateral) edges of the top of your tibia (shin bone). When evaluating a knee mr examination, i study the medial and lateral menisci first on the sagittal images and then on the coronal images because sagittal images are the most useful in diagnosing meniscal tears. We describe a special, interesting phenomenon found in the anterior horn of the lateral meniscus (ahlm): In one study, 97% of medial and 96% of lateral meniscal tears could be identified on sagittal mr images [1]. Such lateral meniscus posterior horn lesions have been termed zip lesions. Lateral meniscus tears at the junction of the wrisberg ligament and posterior horn are meniscocapsular injuries often seen with injury to the anterior cruciate ligament. The lateral meniscus is a unique structure of the knee joint, and its anatomy, function, pathological process, and. The lateral meniscus posterior horn is the major restraint for the pivot shift maneuver.
from kineticlabs.ca
Lateral meniscus tears at the junction of the wrisberg ligament and posterior horn are meniscocapsular injuries often seen with injury to the anterior cruciate ligament. In one study, 97% of medial and 96% of lateral meniscal tears could be identified on sagittal mr images [1]. These lie on the inside (medial) and outside (lateral) edges of the top of your tibia (shin bone). Such lateral meniscus posterior horn lesions have been termed zip lesions. When evaluating a knee mr examination, i study the medial and lateral menisci first on the sagittal images and then on the coronal images because sagittal images are the most useful in diagnosing meniscal tears. We name the special meniscal tear morphology as macerated tear, which refers to the loose separation between circumferential fiber. The lateral meniscus is a unique structure of the knee joint, and its anatomy, function, pathological process, and. The lateral meniscus posterior horn is the major restraint for the pivot shift maneuver. We describe a special, interesting phenomenon found in the anterior horn of the lateral meniscus (ahlm): There are two menisci, which are.
The Complete Guide to a Meniscus Tear Labs
Maceration Of Lateral Meniscus A lateral meniscus tear (torn meniscus) is a tear of the semicircular fibrous cartilage discs in the knee. The lateral meniscus is a unique structure of the knee joint, and its anatomy, function, pathological process, and. In one study, 97% of medial and 96% of lateral meniscal tears could be identified on sagittal mr images [1]. We name the special meniscal tear morphology as macerated tear, which refers to the loose separation between circumferential fiber. Lateral meniscus tears at the junction of the wrisberg ligament and posterior horn are meniscocapsular injuries often seen with injury to the anterior cruciate ligament. There are two menisci, which are. Such lateral meniscus posterior horn lesions have been termed zip lesions. The lateral meniscus posterior horn is the major restraint for the pivot shift maneuver. When evaluating a knee mr examination, i study the medial and lateral menisci first on the sagittal images and then on the coronal images because sagittal images are the most useful in diagnosing meniscal tears. We describe a special, interesting phenomenon found in the anterior horn of the lateral meniscus (ahlm): These lie on the inside (medial) and outside (lateral) edges of the top of your tibia (shin bone). A lateral meniscus tear (torn meniscus) is a tear of the semicircular fibrous cartilage discs in the knee.
From drdavidgeier.com
Answers to your questions about surgery to trim out a meniscus tear Maceration Of Lateral Meniscus When evaluating a knee mr examination, i study the medial and lateral menisci first on the sagittal images and then on the coronal images because sagittal images are the most useful in diagnosing meniscal tears. In one study, 97% of medial and 96% of lateral meniscal tears could be identified on sagittal mr images [1]. Such lateral meniscus posterior horn. Maceration Of Lateral Meniscus.
From www.researchgate.net
Phenotypic characterization. (a) The cartilage/meniscus phenotype is Maceration Of Lateral Meniscus There are two menisci, which are. The lateral meniscus posterior horn is the major restraint for the pivot shift maneuver. Such lateral meniscus posterior horn lesions have been termed zip lesions. The lateral meniscus is a unique structure of the knee joint, and its anatomy, function, pathological process, and. We describe a special, interesting phenomenon found in the anterior horn. Maceration Of Lateral Meniscus.
From www.youtube.com
How to Read a Knee MRI for Meniscus Tears YouTube Maceration Of Lateral Meniscus We describe a special, interesting phenomenon found in the anterior horn of the lateral meniscus (ahlm): There are two menisci, which are. Such lateral meniscus posterior horn lesions have been termed zip lesions. Lateral meniscus tears at the junction of the wrisberg ligament and posterior horn are meniscocapsular injuries often seen with injury to the anterior cruciate ligament. These lie. Maceration Of Lateral Meniscus.
From www.researchgate.net
Discoid lateral meniscus width classification. width (A Maceration Of Lateral Meniscus We name the special meniscal tear morphology as macerated tear, which refers to the loose separation between circumferential fiber. When evaluating a knee mr examination, i study the medial and lateral menisci first on the sagittal images and then on the coronal images because sagittal images are the most useful in diagnosing meniscal tears. The lateral meniscus posterior horn is. Maceration Of Lateral Meniscus.
From www.researchgate.net
A schematic illustration of the double layered lateral meniscus, which Maceration Of Lateral Meniscus In one study, 97% of medial and 96% of lateral meniscal tears could be identified on sagittal mr images [1]. Such lateral meniscus posterior horn lesions have been termed zip lesions. The lateral meniscus posterior horn is the major restraint for the pivot shift maneuver. We name the special meniscal tear morphology as macerated tear, which refers to the loose. Maceration Of Lateral Meniscus.
From epos.myesr.org
EPOS™ Maceration Of Lateral Meniscus In one study, 97% of medial and 96% of lateral meniscal tears could be identified on sagittal mr images [1]. When evaluating a knee mr examination, i study the medial and lateral menisci first on the sagittal images and then on the coronal images because sagittal images are the most useful in diagnosing meniscal tears. Lateral meniscus tears at the. Maceration Of Lateral Meniscus.
From thekneespecialist.com.au
Meniscus Tears The Knee Specialist Adult & Paediatric Knee Surgery Maceration Of Lateral Meniscus There are two menisci, which are. We describe a special, interesting phenomenon found in the anterior horn of the lateral meniscus (ahlm): In one study, 97% of medial and 96% of lateral meniscal tears could be identified on sagittal mr images [1]. The lateral meniscus posterior horn is the major restraint for the pivot shift maneuver. The lateral meniscus is. Maceration Of Lateral Meniscus.
From www.ajronline.org
How I Diagnose Meniscal Tears on Knee MRI AJR Maceration Of Lateral Meniscus A lateral meniscus tear (torn meniscus) is a tear of the semicircular fibrous cartilage discs in the knee. These lie on the inside (medial) and outside (lateral) edges of the top of your tibia (shin bone). There are two menisci, which are. We name the special meniscal tear morphology as macerated tear, which refers to the loose separation between circumferential. Maceration Of Lateral Meniscus.
From radedasia.com
MENISCUS FIBRILLATION MRI LATERAL MENISCUS Radedasia Maceration Of Lateral Meniscus These lie on the inside (medial) and outside (lateral) edges of the top of your tibia (shin bone). When evaluating a knee mr examination, i study the medial and lateral menisci first on the sagittal images and then on the coronal images because sagittal images are the most useful in diagnosing meniscal tears. The lateral meniscus is a unique structure. Maceration Of Lateral Meniscus.
From www.cureus.com
Cureus Clinical and Radiological After Isolated Anterior Maceration Of Lateral Meniscus In one study, 97% of medial and 96% of lateral meniscal tears could be identified on sagittal mr images [1]. We name the special meniscal tear morphology as macerated tear, which refers to the loose separation between circumferential fiber. A lateral meniscus tear (torn meniscus) is a tear of the semicircular fibrous cartilage discs in the knee. Such lateral meniscus. Maceration Of Lateral Meniscus.
From www.aranahillsphysiotherapy.com.au
Meniscus tears of the knee and what it means for you. Arana Hills Maceration Of Lateral Meniscus Lateral meniscus tears at the junction of the wrisberg ligament and posterior horn are meniscocapsular injuries often seen with injury to the anterior cruciate ligament. There are two menisci, which are. In one study, 97% of medial and 96% of lateral meniscal tears could be identified on sagittal mr images [1]. We name the special meniscal tear morphology as macerated. Maceration Of Lateral Meniscus.
From www.researchgate.net
The native insertion of the anterior root of the lateral meniscus Maceration Of Lateral Meniscus We describe a special, interesting phenomenon found in the anterior horn of the lateral meniscus (ahlm): We name the special meniscal tear morphology as macerated tear, which refers to the loose separation between circumferential fiber. When evaluating a knee mr examination, i study the medial and lateral menisci first on the sagittal images and then on the coronal images because. Maceration Of Lateral Meniscus.
From drrobertlaprademd.com
Lateral Meniscus Tear Complex Knee Surgeon Minnesota Maceration Of Lateral Meniscus We describe a special, interesting phenomenon found in the anterior horn of the lateral meniscus (ahlm): These lie on the inside (medial) and outside (lateral) edges of the top of your tibia (shin bone). We name the special meniscal tear morphology as macerated tear, which refers to the loose separation between circumferential fiber. When evaluating a knee mr examination, i. Maceration Of Lateral Meniscus.
From radiologycases.blogspot.com
Radiology Cases "Crab Meat" Macerated Anterior Horn Lateral Meniscus Maceration Of Lateral Meniscus There are two menisci, which are. We name the special meniscal tear morphology as macerated tear, which refers to the loose separation between circumferential fiber. When evaluating a knee mr examination, i study the medial and lateral menisci first on the sagittal images and then on the coronal images because sagittal images are the most useful in diagnosing meniscal tears.. Maceration Of Lateral Meniscus.
From www.jeremyburnhammd.com
3 Types of Meniscus Tear Treatment Knee Specialist Baton Rouge, LA Maceration Of Lateral Meniscus We describe a special, interesting phenomenon found in the anterior horn of the lateral meniscus (ahlm): A lateral meniscus tear (torn meniscus) is a tear of the semicircular fibrous cartilage discs in the knee. The lateral meniscus is a unique structure of the knee joint, and its anatomy, function, pathological process, and. Lateral meniscus tears at the junction of the. Maceration Of Lateral Meniscus.
From radiologykey.com
The Knee Radiology Key Maceration Of Lateral Meniscus There are two menisci, which are. Such lateral meniscus posterior horn lesions have been termed zip lesions. A lateral meniscus tear (torn meniscus) is a tear of the semicircular fibrous cartilage discs in the knee. Lateral meniscus tears at the junction of the wrisberg ligament and posterior horn are meniscocapsular injuries often seen with injury to the anterior cruciate ligament.. Maceration Of Lateral Meniscus.
From drrobertlaprademd.com
Lateral Meniscus Tear Complex Knee Surgeon Minnesota Maceration Of Lateral Meniscus The lateral meniscus is a unique structure of the knee joint, and its anatomy, function, pathological process, and. These lie on the inside (medial) and outside (lateral) edges of the top of your tibia (shin bone). Lateral meniscus tears at the junction of the wrisberg ligament and posterior horn are meniscocapsular injuries often seen with injury to the anterior cruciate. Maceration Of Lateral Meniscus.
From kineticlabs.ca
The Complete Guide to a Meniscus Tear Labs Maceration Of Lateral Meniscus We describe a special, interesting phenomenon found in the anterior horn of the lateral meniscus (ahlm): Lateral meniscus tears at the junction of the wrisberg ligament and posterior horn are meniscocapsular injuries often seen with injury to the anterior cruciate ligament. We name the special meniscal tear morphology as macerated tear, which refers to the loose separation between circumferential fiber.. Maceration Of Lateral Meniscus.
From www.clinicalimaging.org
Illustrative review of knee meniscal tear patterns, repair and Maceration Of Lateral Meniscus The lateral meniscus is a unique structure of the knee joint, and its anatomy, function, pathological process, and. Lateral meniscus tears at the junction of the wrisberg ligament and posterior horn are meniscocapsular injuries often seen with injury to the anterior cruciate ligament. In one study, 97% of medial and 96% of lateral meniscal tears could be identified on sagittal. Maceration Of Lateral Meniscus.
From www.researchgate.net
Meniscal maceration is commonly observed in OA knees. (A) Baseline Maceration Of Lateral Meniscus The lateral meniscus is a unique structure of the knee joint, and its anatomy, function, pathological process, and. A lateral meniscus tear (torn meniscus) is a tear of the semicircular fibrous cartilage discs in the knee. In one study, 97% of medial and 96% of lateral meniscal tears could be identified on sagittal mr images [1]. The lateral meniscus posterior. Maceration Of Lateral Meniscus.
From www.dr-meyer-orthopaedics.com
Arthroscopic Meniscal Surgery Doctor Matthieu Meyer Maceration Of Lateral Meniscus Such lateral meniscus posterior horn lesions have been termed zip lesions. A lateral meniscus tear (torn meniscus) is a tear of the semicircular fibrous cartilage discs in the knee. These lie on the inside (medial) and outside (lateral) edges of the top of your tibia (shin bone). There are two menisci, which are. We name the special meniscal tear morphology. Maceration Of Lateral Meniscus.
From www.floridasurgeryconsultants.com
Meniscus Repair Board Certified Orthopedic Surgeons Maceration Of Lateral Meniscus Such lateral meniscus posterior horn lesions have been termed zip lesions. These lie on the inside (medial) and outside (lateral) edges of the top of your tibia (shin bone). There are two menisci, which are. A lateral meniscus tear (torn meniscus) is a tear of the semicircular fibrous cartilage discs in the knee. We name the special meniscal tear morphology. Maceration Of Lateral Meniscus.
From joint-injections.co.uk
Injections for Meniscal (Cartilage) Tear Steroid Injections For Maceration Of Lateral Meniscus In one study, 97% of medial and 96% of lateral meniscal tears could be identified on sagittal mr images [1]. The lateral meniscus is a unique structure of the knee joint, and its anatomy, function, pathological process, and. Such lateral meniscus posterior horn lesions have been termed zip lesions. When evaluating a knee mr examination, i study the medial and. Maceration Of Lateral Meniscus.
From radsource.us
Meniscal Tear Patterns Radsource Maceration Of Lateral Meniscus When evaluating a knee mr examination, i study the medial and lateral menisci first on the sagittal images and then on the coronal images because sagittal images are the most useful in diagnosing meniscal tears. Such lateral meniscus posterior horn lesions have been termed zip lesions. We describe a special, interesting phenomenon found in the anterior horn of the lateral. Maceration Of Lateral Meniscus.
From clinicalcharts.com
Knee Anatomy ModelMeniscus Tears Clinical Charts and Supplies Maceration Of Lateral Meniscus Lateral meniscus tears at the junction of the wrisberg ligament and posterior horn are meniscocapsular injuries often seen with injury to the anterior cruciate ligament. We name the special meniscal tear morphology as macerated tear, which refers to the loose separation between circumferential fiber. We describe a special, interesting phenomenon found in the anterior horn of the lateral meniscus (ahlm):. Maceration Of Lateral Meniscus.
From www.researchgate.net
Meniscal maceration is commonly observed in OA knees. (A) Baseline Maceration Of Lateral Meniscus We describe a special, interesting phenomenon found in the anterior horn of the lateral meniscus (ahlm): When evaluating a knee mr examination, i study the medial and lateral menisci first on the sagittal images and then on the coronal images because sagittal images are the most useful in diagnosing meniscal tears. The lateral meniscus posterior horn is the major restraint. Maceration Of Lateral Meniscus.
From james-mccormack.com
Lateral Meniscus Tear Symptoms, Causes and Diagnosis Maceration Of Lateral Meniscus We describe a special, interesting phenomenon found in the anterior horn of the lateral meniscus (ahlm): These lie on the inside (medial) and outside (lateral) edges of the top of your tibia (shin bone). There are two menisci, which are. A lateral meniscus tear (torn meniscus) is a tear of the semicircular fibrous cartilage discs in the knee. The lateral. Maceration Of Lateral Meniscus.
From www.dreamstime.com
Knee Severe Osteoarthrosis Meniscus Pathology Mri Stock Photo Image Maceration Of Lateral Meniscus When evaluating a knee mr examination, i study the medial and lateral menisci first on the sagittal images and then on the coronal images because sagittal images are the most useful in diagnosing meniscal tears. Such lateral meniscus posterior horn lesions have been termed zip lesions. In one study, 97% of medial and 96% of lateral meniscal tears could be. Maceration Of Lateral Meniscus.
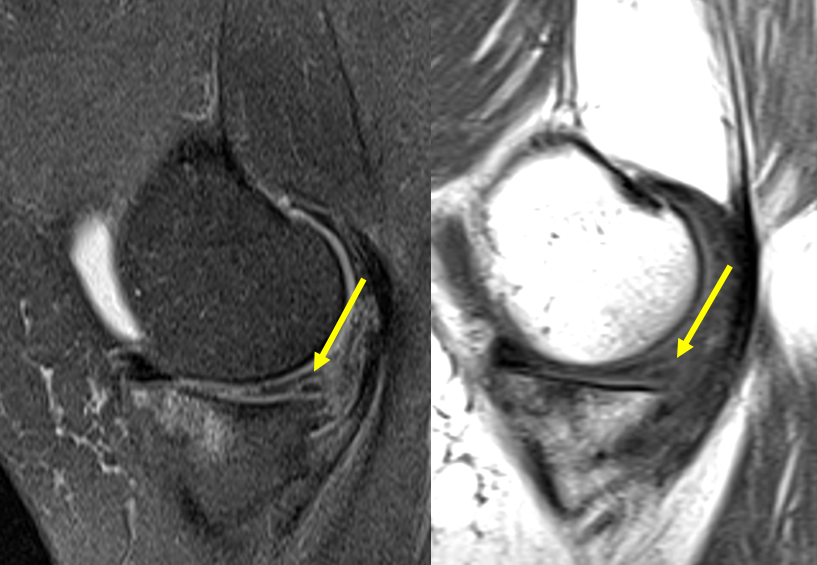
From www.researchgate.net
Coronal T2weighted MR image shows complete maceration of the body of Maceration Of Lateral Meniscus There are two menisci, which are. A lateral meniscus tear (torn meniscus) is a tear of the semicircular fibrous cartilage discs in the knee. Such lateral meniscus posterior horn lesions have been termed zip lesions. In one study, 97% of medial and 96% of lateral meniscal tears could be identified on sagittal mr images [1]. Lateral meniscus tears at the. Maceration Of Lateral Meniscus.
From www.brisbanephysiotherapy.com
What is a Meniscus Injury? Brisbane Physiotherapy Maceration Of Lateral Meniscus We describe a special, interesting phenomenon found in the anterior horn of the lateral meniscus (ahlm): Lateral meniscus tears at the junction of the wrisberg ligament and posterior horn are meniscocapsular injuries often seen with injury to the anterior cruciate ligament. These lie on the inside (medial) and outside (lateral) edges of the top of your tibia (shin bone). The. Maceration Of Lateral Meniscus.
From radedasia.com
MENISCUS TEAR MACERATION DEGENERATION MRI KNEE RADIOLOGY (VIDEO Maceration Of Lateral Meniscus These lie on the inside (medial) and outside (lateral) edges of the top of your tibia (shin bone). A lateral meniscus tear (torn meniscus) is a tear of the semicircular fibrous cartilage discs in the knee. There are two menisci, which are. We describe a special, interesting phenomenon found in the anterior horn of the lateral meniscus (ahlm): In one. Maceration Of Lateral Meniscus.
From www.researchgate.net
Meniscal maceration is commonly observed in OA knees. (A) Baseline Maceration Of Lateral Meniscus Such lateral meniscus posterior horn lesions have been termed zip lesions. We describe a special, interesting phenomenon found in the anterior horn of the lateral meniscus (ahlm): These lie on the inside (medial) and outside (lateral) edges of the top of your tibia (shin bone). The lateral meniscus is a unique structure of the knee joint, and its anatomy, function,. Maceration Of Lateral Meniscus.
From www.researchgate.net
Phenotypic characterization. A The cartilage/meniscus phenotype is Maceration Of Lateral Meniscus When evaluating a knee mr examination, i study the medial and lateral menisci first on the sagittal images and then on the coronal images because sagittal images are the most useful in diagnosing meniscal tears. These lie on the inside (medial) and outside (lateral) edges of the top of your tibia (shin bone). The lateral meniscus posterior horn is the. Maceration Of Lateral Meniscus.
From www.jordanflaherty3.typepad.com
what is meniscal maceration JordanFlaherty3's blog Maceration Of Lateral Meniscus These lie on the inside (medial) and outside (lateral) edges of the top of your tibia (shin bone). Lateral meniscus tears at the junction of the wrisberg ligament and posterior horn are meniscocapsular injuries often seen with injury to the anterior cruciate ligament. We name the special meniscal tear morphology as macerated tear, which refers to the loose separation between. Maceration Of Lateral Meniscus.
From orthofixar.com
Knee Meniscal Transplantation OrthoFixar 2024 Maceration Of Lateral Meniscus When evaluating a knee mr examination, i study the medial and lateral menisci first on the sagittal images and then on the coronal images because sagittal images are the most useful in diagnosing meniscal tears. The lateral meniscus is a unique structure of the knee joint, and its anatomy, function, pathological process, and. The lateral meniscus posterior horn is the. Maceration Of Lateral Meniscus.