Spindle-Cell Sarcoma Jaw . This diagnosis includes fibrosarcoma and sarcomas with indeterminate histomorphology, excluding melanocytic tumors and sarcomas that can be differentiated by histomorphology. Spindle cell carcinoma (scc) is a rare variant of squamous cell carcinoma characterized by elongated and pleomorphic. Spindle cell sarcoma (scs) is a malignancy, with the most recent surveillance, epidemiology, and end results (seer) data citing a total of 250 reported cases occurring in the head and neck. Spindle cell sarcoma (scs) is a malignancy, with the most recent surveillance, epidemiology, and end results (seer) data citing a total of 250. Feline maxillary sarcomas are aggressive spindle cell neoplasms that occur within the maxilla, palate and upper lip of cats. Spindle cell rhabdomyosarcoma is characterized by cellular fascicles of spindle cells with an intersecting or herringbone growth pattern,.
from www.researchgate.net
Spindle cell rhabdomyosarcoma is characterized by cellular fascicles of spindle cells with an intersecting or herringbone growth pattern,. Spindle cell sarcoma (scs) is a malignancy, with the most recent surveillance, epidemiology, and end results (seer) data citing a total of 250 reported cases occurring in the head and neck. Feline maxillary sarcomas are aggressive spindle cell neoplasms that occur within the maxilla, palate and upper lip of cats. Spindle cell carcinoma (scc) is a rare variant of squamous cell carcinoma characterized by elongated and pleomorphic. This diagnosis includes fibrosarcoma and sarcomas with indeterminate histomorphology, excluding melanocytic tumors and sarcomas that can be differentiated by histomorphology. Spindle cell sarcoma (scs) is a malignancy, with the most recent surveillance, epidemiology, and end results (seer) data citing a total of 250.
Histopathology examination showed high grade spindle cell Download Scientific Diagram
Spindle-Cell Sarcoma Jaw This diagnosis includes fibrosarcoma and sarcomas with indeterminate histomorphology, excluding melanocytic tumors and sarcomas that can be differentiated by histomorphology. Spindle cell sarcoma (scs) is a malignancy, with the most recent surveillance, epidemiology, and end results (seer) data citing a total of 250. Feline maxillary sarcomas are aggressive spindle cell neoplasms that occur within the maxilla, palate and upper lip of cats. Spindle cell rhabdomyosarcoma is characterized by cellular fascicles of spindle cells with an intersecting or herringbone growth pattern,. Spindle cell carcinoma (scc) is a rare variant of squamous cell carcinoma characterized by elongated and pleomorphic. This diagnosis includes fibrosarcoma and sarcomas with indeterminate histomorphology, excluding melanocytic tumors and sarcomas that can be differentiated by histomorphology. Spindle cell sarcoma (scs) is a malignancy, with the most recent surveillance, epidemiology, and end results (seer) data citing a total of 250 reported cases occurring in the head and neck.
From www.researchgate.net
Undifferentiated spindle cell HE stained section; 200×.... Download Scientific Diagram Spindle-Cell Sarcoma Jaw Spindle cell sarcoma (scs) is a malignancy, with the most recent surveillance, epidemiology, and end results (seer) data citing a total of 250. Spindle cell rhabdomyosarcoma is characterized by cellular fascicles of spindle cells with an intersecting or herringbone growth pattern,. Spindle cell carcinoma (scc) is a rare variant of squamous cell carcinoma characterized by elongated and pleomorphic. This diagnosis. Spindle-Cell Sarcoma Jaw.
From www.cureus.com
A Case of Spindle Cell Squamous Cell Carcinoma Manifesting in the Mandible Following Resection Spindle-Cell Sarcoma Jaw Feline maxillary sarcomas are aggressive spindle cell neoplasms that occur within the maxilla, palate and upper lip of cats. Spindle cell sarcoma (scs) is a malignancy, with the most recent surveillance, epidemiology, and end results (seer) data citing a total of 250. This diagnosis includes fibrosarcoma and sarcomas with indeterminate histomorphology, excluding melanocytic tumors and sarcomas that can be differentiated. Spindle-Cell Sarcoma Jaw.
From www.cureus.com
A Case of Spindle Cell Squamous Cell Carcinoma Manifesting in the Mandible Following Resection Spindle-Cell Sarcoma Jaw Spindle cell sarcoma (scs) is a malignancy, with the most recent surveillance, epidemiology, and end results (seer) data citing a total of 250. Spindle cell carcinoma (scc) is a rare variant of squamous cell carcinoma characterized by elongated and pleomorphic. Spindle cell sarcoma (scs) is a malignancy, with the most recent surveillance, epidemiology, and end results (seer) data citing a. Spindle-Cell Sarcoma Jaw.
From www.researchgate.net
H&E ×40 showing spindle cell with hemangiopericytic pattern. Download Scientific Diagram Spindle-Cell Sarcoma Jaw Spindle cell sarcoma (scs) is a malignancy, with the most recent surveillance, epidemiology, and end results (seer) data citing a total of 250. Spindle cell carcinoma (scc) is a rare variant of squamous cell carcinoma characterized by elongated and pleomorphic. Spindle cell rhabdomyosarcoma is characterized by cellular fascicles of spindle cells with an intersecting or herringbone growth pattern,. This diagnosis. Spindle-Cell Sarcoma Jaw.
From www.researchgate.net
Spindle cell component of the tumor. Download Scientific Diagram Spindle-Cell Sarcoma Jaw Spindle cell rhabdomyosarcoma is characterized by cellular fascicles of spindle cells with an intersecting or herringbone growth pattern,. This diagnosis includes fibrosarcoma and sarcomas with indeterminate histomorphology, excluding melanocytic tumors and sarcomas that can be differentiated by histomorphology. Spindle cell carcinoma (scc) is a rare variant of squamous cell carcinoma characterized by elongated and pleomorphic. Spindle cell sarcoma (scs) is. Spindle-Cell Sarcoma Jaw.
From journals.sagepub.com
Feline maxillary clinicopathologic features of spindle cell from the maxilla Spindle-Cell Sarcoma Jaw Spindle cell sarcoma (scs) is a malignancy, with the most recent surveillance, epidemiology, and end results (seer) data citing a total of 250 reported cases occurring in the head and neck. Spindle cell carcinoma (scc) is a rare variant of squamous cell carcinoma characterized by elongated and pleomorphic. This diagnosis includes fibrosarcoma and sarcomas with indeterminate histomorphology, excluding melanocytic tumors. Spindle-Cell Sarcoma Jaw.
From www.moffitt.org
Spindle Cell Moffitt Spindle-Cell Sarcoma Jaw This diagnosis includes fibrosarcoma and sarcomas with indeterminate histomorphology, excluding melanocytic tumors and sarcomas that can be differentiated by histomorphology. Spindle cell sarcoma (scs) is a malignancy, with the most recent surveillance, epidemiology, and end results (seer) data citing a total of 250. Spindle cell sarcoma (scs) is a malignancy, with the most recent surveillance, epidemiology, and end results (seer). Spindle-Cell Sarcoma Jaw.
From www.researchgate.net
Microscopic appearance of Kaposi Elongated spindle cells... Download Scientific Diagram Spindle-Cell Sarcoma Jaw Feline maxillary sarcomas are aggressive spindle cell neoplasms that occur within the maxilla, palate and upper lip of cats. Spindle cell carcinoma (scc) is a rare variant of squamous cell carcinoma characterized by elongated and pleomorphic. Spindle cell rhabdomyosarcoma is characterized by cellular fascicles of spindle cells with an intersecting or herringbone growth pattern,. This diagnosis includes fibrosarcoma and sarcomas. Spindle-Cell Sarcoma Jaw.
From kikoxp.com
Spindle Cell Neoplasm Pathology 101 Undifferentiated pleomorphic vs mimics (Oregon Case Spindle-Cell Sarcoma Jaw Spindle cell carcinoma (scc) is a rare variant of squamous cell carcinoma characterized by elongated and pleomorphic. Spindle cell rhabdomyosarcoma is characterized by cellular fascicles of spindle cells with an intersecting or herringbone growth pattern,. This diagnosis includes fibrosarcoma and sarcomas with indeterminate histomorphology, excluding melanocytic tumors and sarcomas that can be differentiated by histomorphology. Feline maxillary sarcomas are aggressive. Spindle-Cell Sarcoma Jaw.
From www.researchgate.net
Pathology confirmed the diagnosis of a spindle cell in the left... Download Scientific Spindle-Cell Sarcoma Jaw Feline maxillary sarcomas are aggressive spindle cell neoplasms that occur within the maxilla, palate and upper lip of cats. Spindle cell carcinoma (scc) is a rare variant of squamous cell carcinoma characterized by elongated and pleomorphic. Spindle cell rhabdomyosarcoma is characterized by cellular fascicles of spindle cells with an intersecting or herringbone growth pattern,. Spindle cell sarcoma (scs) is a. Spindle-Cell Sarcoma Jaw.
From www.researchgate.net
Gross pathology of cardiac spindle cell (a) and histopathology... Download Scientific Spindle-Cell Sarcoma Jaw This diagnosis includes fibrosarcoma and sarcomas with indeterminate histomorphology, excluding melanocytic tumors and sarcomas that can be differentiated by histomorphology. Spindle cell carcinoma (scc) is a rare variant of squamous cell carcinoma characterized by elongated and pleomorphic. Spindle cell rhabdomyosarcoma is characterized by cellular fascicles of spindle cells with an intersecting or herringbone growth pattern,. Spindle cell sarcoma (scs) is. Spindle-Cell Sarcoma Jaw.
From www.wjgnet.com
Managing spindle cell with surgery and highintensity focused ultrasound A case report Spindle-Cell Sarcoma Jaw Spindle cell rhabdomyosarcoma is characterized by cellular fascicles of spindle cells with an intersecting or herringbone growth pattern,. Spindle cell sarcoma (scs) is a malignancy, with the most recent surveillance, epidemiology, and end results (seer) data citing a total of 250 reported cases occurring in the head and neck. Feline maxillary sarcomas are aggressive spindle cell neoplasms that occur within. Spindle-Cell Sarcoma Jaw.
From www.surgpath.theclinics.com
Spindle Cell Surgical Pathology Clinics Spindle-Cell Sarcoma Jaw This diagnosis includes fibrosarcoma and sarcomas with indeterminate histomorphology, excluding melanocytic tumors and sarcomas that can be differentiated by histomorphology. Spindle cell rhabdomyosarcoma is characterized by cellular fascicles of spindle cells with an intersecting or herringbone growth pattern,. Spindle cell carcinoma (scc) is a rare variant of squamous cell carcinoma characterized by elongated and pleomorphic. Spindle cell sarcoma (scs) is. Spindle-Cell Sarcoma Jaw.
From www.surgpath.theclinics.com
Spindle Cell Surgical Pathology Clinics Spindle-Cell Sarcoma Jaw Feline maxillary sarcomas are aggressive spindle cell neoplasms that occur within the maxilla, palate and upper lip of cats. This diagnosis includes fibrosarcoma and sarcomas with indeterminate histomorphology, excluding melanocytic tumors and sarcomas that can be differentiated by histomorphology. Spindle cell rhabdomyosarcoma is characterized by cellular fascicles of spindle cells with an intersecting or herringbone growth pattern,. Spindle cell sarcoma. Spindle-Cell Sarcoma Jaw.
From stock.adobe.com
Photomicrograph of a spindle cell a type of cancer of soft tissue (connective tissue Spindle-Cell Sarcoma Jaw Spindle cell sarcoma (scs) is a malignancy, with the most recent surveillance, epidemiology, and end results (seer) data citing a total of 250. This diagnosis includes fibrosarcoma and sarcomas with indeterminate histomorphology, excluding melanocytic tumors and sarcomas that can be differentiated by histomorphology. Spindle cell carcinoma (scc) is a rare variant of squamous cell carcinoma characterized by elongated and pleomorphic.. Spindle-Cell Sarcoma Jaw.
From www.researchgate.net
(A) HE Â 100, biphasic synovial cell detailing the spindle cell... Download Scientific Spindle-Cell Sarcoma Jaw Spindle cell rhabdomyosarcoma is characterized by cellular fascicles of spindle cells with an intersecting or herringbone growth pattern,. Spindle cell sarcoma (scs) is a malignancy, with the most recent surveillance, epidemiology, and end results (seer) data citing a total of 250 reported cases occurring in the head and neck. Spindle cell sarcoma (scs) is a malignancy, with the most recent. Spindle-Cell Sarcoma Jaw.
From www.researchgate.net
(PDF) Fact Sheet on Spindle Cell Spindle-Cell Sarcoma Jaw Spindle cell rhabdomyosarcoma is characterized by cellular fascicles of spindle cells with an intersecting or herringbone growth pattern,. Spindle cell carcinoma (scc) is a rare variant of squamous cell carcinoma characterized by elongated and pleomorphic. Spindle cell sarcoma (scs) is a malignancy, with the most recent surveillance, epidemiology, and end results (seer) data citing a total of 250. Feline maxillary. Spindle-Cell Sarcoma Jaw.
From stock.adobe.com
Spindle Cell an extremely rare bone cancer. Photomicrograph of soft tissue tumor Spindle-Cell Sarcoma Jaw Spindle cell carcinoma (scc) is a rare variant of squamous cell carcinoma characterized by elongated and pleomorphic. Spindle cell rhabdomyosarcoma is characterized by cellular fascicles of spindle cells with an intersecting or herringbone growth pattern,. Spindle cell sarcoma (scs) is a malignancy, with the most recent surveillance, epidemiology, and end results (seer) data citing a total of 250. Feline maxillary. Spindle-Cell Sarcoma Jaw.
From europepmc.org
Second Primary Spindle Cell Carcinoma of the Tongue A Rare Histology. Abstract Europe PMC Spindle-Cell Sarcoma Jaw Spindle cell carcinoma (scc) is a rare variant of squamous cell carcinoma characterized by elongated and pleomorphic. Feline maxillary sarcomas are aggressive spindle cell neoplasms that occur within the maxilla, palate and upper lip of cats. This diagnosis includes fibrosarcoma and sarcomas with indeterminate histomorphology, excluding melanocytic tumors and sarcomas that can be differentiated by histomorphology. Spindle cell rhabdomyosarcoma is. Spindle-Cell Sarcoma Jaw.
From www.researchgate.net
Synovial spindle and some epithelioid cells (H+E X200)... Download Scientific Diagram Spindle-Cell Sarcoma Jaw Spindle cell rhabdomyosarcoma is characterized by cellular fascicles of spindle cells with an intersecting or herringbone growth pattern,. Spindle cell carcinoma (scc) is a rare variant of squamous cell carcinoma characterized by elongated and pleomorphic. This diagnosis includes fibrosarcoma and sarcomas with indeterminate histomorphology, excluding melanocytic tumors and sarcomas that can be differentiated by histomorphology. Spindle cell sarcoma (scs) is. Spindle-Cell Sarcoma Jaw.
From stock.adobe.com
Spindle Cell an extremely rare bone cancer. Photomicrograph of soft tissue tumor Spindle-Cell Sarcoma Jaw This diagnosis includes fibrosarcoma and sarcomas with indeterminate histomorphology, excluding melanocytic tumors and sarcomas that can be differentiated by histomorphology. Spindle cell sarcoma (scs) is a malignancy, with the most recent surveillance, epidemiology, and end results (seer) data citing a total of 250 reported cases occurring in the head and neck. Feline maxillary sarcomas are aggressive spindle cell neoplasms that. Spindle-Cell Sarcoma Jaw.
From www.researchgate.net
Synovial biphasic glandular structures are formed amid a... Download Scientific Diagram Spindle-Cell Sarcoma Jaw Spindle cell sarcoma (scs) is a malignancy, with the most recent surveillance, epidemiology, and end results (seer) data citing a total of 250. Spindle cell carcinoma (scc) is a rare variant of squamous cell carcinoma characterized by elongated and pleomorphic. This diagnosis includes fibrosarcoma and sarcomas with indeterminate histomorphology, excluding melanocytic tumors and sarcomas that can be differentiated by histomorphology.. Spindle-Cell Sarcoma Jaw.
From stock.adobe.com
Spindle Cell an extremely rare bone cancer. Photomicrograph of soft tissue tumor Spindle-Cell Sarcoma Jaw Spindle cell rhabdomyosarcoma is characterized by cellular fascicles of spindle cells with an intersecting or herringbone growth pattern,. Spindle cell carcinoma (scc) is a rare variant of squamous cell carcinoma characterized by elongated and pleomorphic. This diagnosis includes fibrosarcoma and sarcomas with indeterminate histomorphology, excluding melanocytic tumors and sarcomas that can be differentiated by histomorphology. Spindle cell sarcoma (scs) is. Spindle-Cell Sarcoma Jaw.
From www.surgpath.theclinics.com
Spindle Cell Surgical Pathology Clinics Spindle-Cell Sarcoma Jaw Spindle cell carcinoma (scc) is a rare variant of squamous cell carcinoma characterized by elongated and pleomorphic. This diagnosis includes fibrosarcoma and sarcomas with indeterminate histomorphology, excluding melanocytic tumors and sarcomas that can be differentiated by histomorphology. Feline maxillary sarcomas are aggressive spindle cell neoplasms that occur within the maxilla, palate and upper lip of cats. Spindle cell sarcoma (scs). Spindle-Cell Sarcoma Jaw.
From www.surgpath.theclinics.com
Spindle Cell Surgical Pathology Clinics Spindle-Cell Sarcoma Jaw Spindle cell sarcoma (scs) is a malignancy, with the most recent surveillance, epidemiology, and end results (seer) data citing a total of 250. This diagnosis includes fibrosarcoma and sarcomas with indeterminate histomorphology, excluding melanocytic tumors and sarcomas that can be differentiated by histomorphology. Spindle cell sarcoma (scs) is a malignancy, with the most recent surveillance, epidemiology, and end results (seer). Spindle-Cell Sarcoma Jaw.
From www.researchgate.net
Photomicrograph showing spindle shaped cells (H and E, ×400) Download Scientific Diagram Spindle-Cell Sarcoma Jaw This diagnosis includes fibrosarcoma and sarcomas with indeterminate histomorphology, excluding melanocytic tumors and sarcomas that can be differentiated by histomorphology. Spindle cell carcinoma (scc) is a rare variant of squamous cell carcinoma characterized by elongated and pleomorphic. Feline maxillary sarcomas are aggressive spindle cell neoplasms that occur within the maxilla, palate and upper lip of cats. Spindle cell rhabdomyosarcoma is. Spindle-Cell Sarcoma Jaw.
From www.researchgate.net
Synovial spindle cell (A) Tumour crosssection revealing... Download Scientific Diagram Spindle-Cell Sarcoma Jaw Spindle cell carcinoma (scc) is a rare variant of squamous cell carcinoma characterized by elongated and pleomorphic. Feline maxillary sarcomas are aggressive spindle cell neoplasms that occur within the maxilla, palate and upper lip of cats. Spindle cell sarcoma (scs) is a malignancy, with the most recent surveillance, epidemiology, and end results (seer) data citing a total of 250. Spindle. Spindle-Cell Sarcoma Jaw.
From www.researchgate.net
Differential diagnosis of spindlecell tumours Download Table Spindle-Cell Sarcoma Jaw Spindle cell sarcoma (scs) is a malignancy, with the most recent surveillance, epidemiology, and end results (seer) data citing a total of 250 reported cases occurring in the head and neck. Feline maxillary sarcomas are aggressive spindle cell neoplasms that occur within the maxilla, palate and upper lip of cats. Spindle cell sarcoma (scs) is a malignancy, with the most. Spindle-Cell Sarcoma Jaw.
From www.researchgate.net
Histopathology examination showed high grade spindle cell Download Scientific Diagram Spindle-Cell Sarcoma Jaw Spindle cell rhabdomyosarcoma is characterized by cellular fascicles of spindle cells with an intersecting or herringbone growth pattern,. Spindle cell sarcoma (scs) is a malignancy, with the most recent surveillance, epidemiology, and end results (seer) data citing a total of 250. Spindle cell carcinoma (scc) is a rare variant of squamous cell carcinoma characterized by elongated and pleomorphic. This diagnosis. Spindle-Cell Sarcoma Jaw.
From www.surgpath.theclinics.com
Spindle Cell Surgical Pathology Clinics Spindle-Cell Sarcoma Jaw This diagnosis includes fibrosarcoma and sarcomas with indeterminate histomorphology, excluding melanocytic tumors and sarcomas that can be differentiated by histomorphology. Spindle cell sarcoma (scs) is a malignancy, with the most recent surveillance, epidemiology, and end results (seer) data citing a total of 250. Spindle cell sarcoma (scs) is a malignancy, with the most recent surveillance, epidemiology, and end results (seer). Spindle-Cell Sarcoma Jaw.
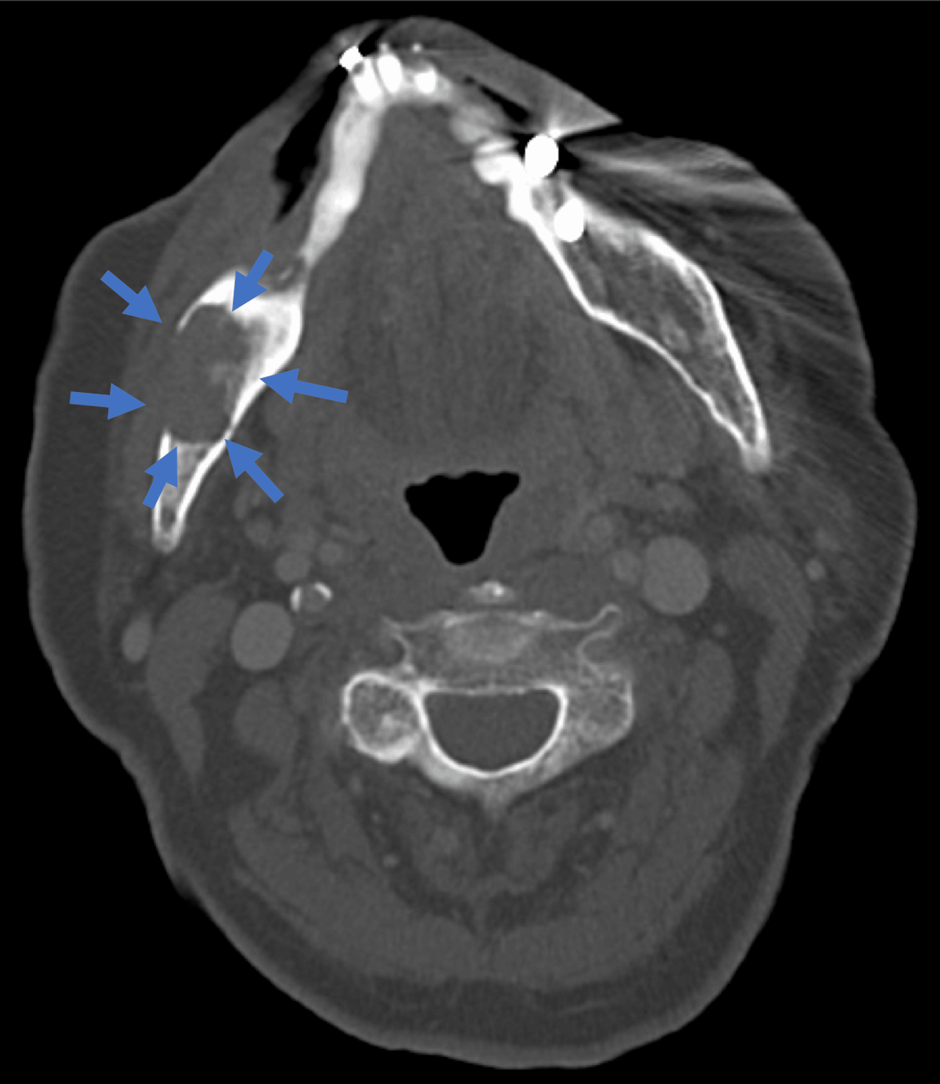
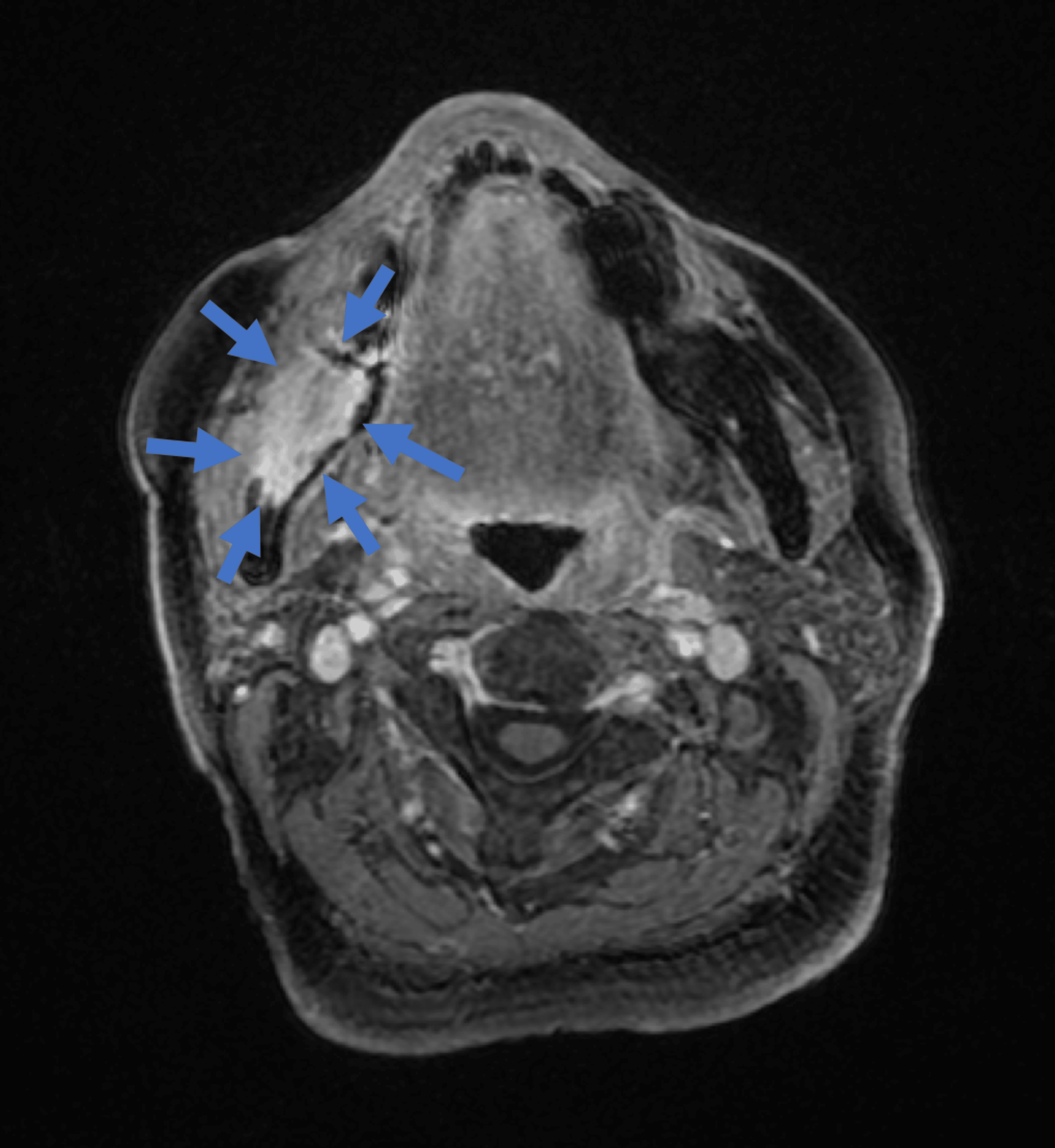
From www.researchgate.net
Spindle cell in a 64 years old male patient. Axial CT images... Download Scientific Spindle-Cell Sarcoma Jaw This diagnosis includes fibrosarcoma and sarcomas with indeterminate histomorphology, excluding melanocytic tumors and sarcomas that can be differentiated by histomorphology. Spindle cell carcinoma (scc) is a rare variant of squamous cell carcinoma characterized by elongated and pleomorphic. Spindle cell sarcoma (scs) is a malignancy, with the most recent surveillance, epidemiology, and end results (seer) data citing a total of 250. Spindle-Cell Sarcoma Jaw.
From www.sciencephoto.com
Spindle cell light micrograph Stock Image C051/7136 Science Photo Library Spindle-Cell Sarcoma Jaw Spindle cell sarcoma (scs) is a malignancy, with the most recent surveillance, epidemiology, and end results (seer) data citing a total of 250. Feline maxillary sarcomas are aggressive spindle cell neoplasms that occur within the maxilla, palate and upper lip of cats. Spindle cell rhabdomyosarcoma is characterized by cellular fascicles of spindle cells with an intersecting or herringbone growth pattern,.. Spindle-Cell Sarcoma Jaw.
From pocketdentistry.com
OF THE JAWS Pocket Dentistry Spindle-Cell Sarcoma Jaw Feline maxillary sarcomas are aggressive spindle cell neoplasms that occur within the maxilla, palate and upper lip of cats. Spindle cell sarcoma (scs) is a malignancy, with the most recent surveillance, epidemiology, and end results (seer) data citing a total of 250 reported cases occurring in the head and neck. Spindle cell sarcoma (scs) is a malignancy, with the most. Spindle-Cell Sarcoma Jaw.
From www.researchgate.net
Primary pulmonary myxoid relatively uniform spindle cells... Download Scientific Diagram Spindle-Cell Sarcoma Jaw This diagnosis includes fibrosarcoma and sarcomas with indeterminate histomorphology, excluding melanocytic tumors and sarcomas that can be differentiated by histomorphology. Spindle cell carcinoma (scc) is a rare variant of squamous cell carcinoma characterized by elongated and pleomorphic. Spindle cell sarcoma (scs) is a malignancy, with the most recent surveillance, epidemiology, and end results (seer) data citing a total of 250. Spindle-Cell Sarcoma Jaw.
From www.cureus.com
A Case of Spindle Cell Squamous Cell Carcinoma Manifesting in the Mandible Following Resection Spindle-Cell Sarcoma Jaw Feline maxillary sarcomas are aggressive spindle cell neoplasms that occur within the maxilla, palate and upper lip of cats. Spindle cell carcinoma (scc) is a rare variant of squamous cell carcinoma characterized by elongated and pleomorphic. This diagnosis includes fibrosarcoma and sarcomas with indeterminate histomorphology, excluding melanocytic tumors and sarcomas that can be differentiated by histomorphology. Spindle cell sarcoma (scs). Spindle-Cell Sarcoma Jaw.