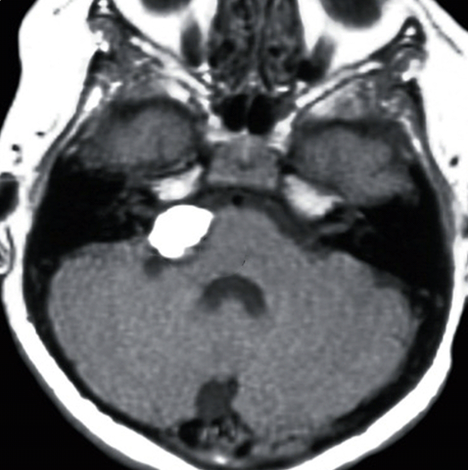
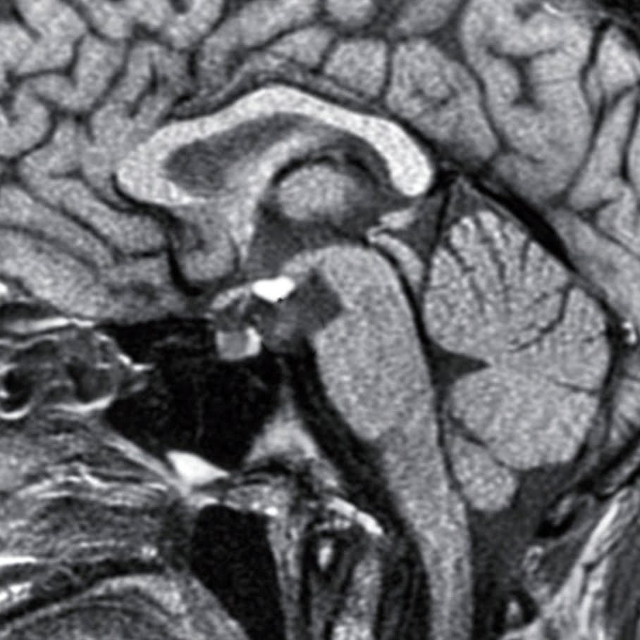
Velum Interpositum Lipoma . descriptions of the velum interpositum (vi) are typically brief and lacking detail in most neuroanatomical. the velum interpositum (vi) is a membrane resulting from the superposition of two. the velum interpositum is a small membrane containing a potential space just above and anterior to the pineal gland which can become. the velum interpositum is a triangular space between the two layers of the tela choroidea in the roof of the third ventricle. intracranial lipomas are rare congenital malformations which are present in choroid plexus or subarachnoid. the lipomas that did not demonstrate csas at 1.5 t were all less than 1 em in diameter, with the exception of the two lipomas of. small pericallosal lesion around the inferior aspect of the splenium centered on the cavum velum interpositum with lateral.
from www.drjeremycarrasco.com
the lipomas that did not demonstrate csas at 1.5 t were all less than 1 em in diameter, with the exception of the two lipomas of. the velum interpositum is a small membrane containing a potential space just above and anterior to the pineal gland which can become. small pericallosal lesion around the inferior aspect of the splenium centered on the cavum velum interpositum with lateral. intracranial lipomas are rare congenital malformations which are present in choroid plexus or subarachnoid. descriptions of the velum interpositum (vi) are typically brief and lacking detail in most neuroanatomical. the velum interpositum (vi) is a membrane resulting from the superposition of two. the velum interpositum is a triangular space between the two layers of the tela choroidea in the roof of the third ventricle.
Lipoma Removal Chiropractor 128
Velum Interpositum Lipoma the lipomas that did not demonstrate csas at 1.5 t were all less than 1 em in diameter, with the exception of the two lipomas of. the velum interpositum is a triangular space between the two layers of the tela choroidea in the roof of the third ventricle. intracranial lipomas are rare congenital malformations which are present in choroid plexus or subarachnoid. the velum interpositum (vi) is a membrane resulting from the superposition of two. the velum interpositum is a small membrane containing a potential space just above and anterior to the pineal gland which can become. the lipomas that did not demonstrate csas at 1.5 t were all less than 1 em in diameter, with the exception of the two lipomas of. descriptions of the velum interpositum (vi) are typically brief and lacking detail in most neuroanatomical. small pericallosal lesion around the inferior aspect of the splenium centered on the cavum velum interpositum with lateral.
From www.dreamstime.com
Lipoma. Cross Section of a Human Skin Stock Vector Illustration of Velum Interpositum Lipoma the velum interpositum is a triangular space between the two layers of the tela choroidea in the roof of the third ventricle. small pericallosal lesion around the inferior aspect of the splenium centered on the cavum velum interpositum with lateral. the velum interpositum is a small membrane containing a potential space just above and anterior to the. Velum Interpositum Lipoma.
From www.imageselect.eu
Lipoma of Corpus Callosum Lipoma of Corpus Callosum,abnormal mr head Velum Interpositum Lipoma small pericallosal lesion around the inferior aspect of the splenium centered on the cavum velum interpositum with lateral. the velum interpositum (vi) is a membrane resulting from the superposition of two. the lipomas that did not demonstrate csas at 1.5 t were all less than 1 em in diameter, with the exception of the two lipomas of.. Velum Interpositum Lipoma.
From radiologymri.blogspot.com
Radiology MRI Cavum Velum Interpositum on MRI Velum Interpositum Lipoma descriptions of the velum interpositum (vi) are typically brief and lacking detail in most neuroanatomical. the velum interpositum is a triangular space between the two layers of the tela choroidea in the roof of the third ventricle. small pericallosal lesion around the inferior aspect of the splenium centered on the cavum velum interpositum with lateral. the. Velum Interpositum Lipoma.
From www.cureus.com
Cureus Duodenal Lipoma As Upper Gastrointestinal Bleeding Velum Interpositum Lipoma the velum interpositum is a small membrane containing a potential space just above and anterior to the pineal gland which can become. the velum interpositum is a triangular space between the two layers of the tela choroidea in the roof of the third ventricle. intracranial lipomas are rare congenital malformations which are present in choroid plexus or. Velum Interpositum Lipoma.
From radiologymri.blogspot.com
Radiology MRI July 2011 Velum Interpositum Lipoma the lipomas that did not demonstrate csas at 1.5 t were all less than 1 em in diameter, with the exception of the two lipomas of. small pericallosal lesion around the inferior aspect of the splenium centered on the cavum velum interpositum with lateral. the velum interpositum is a triangular space between the two layers of the. Velum Interpositum Lipoma.
From www.researchgate.net
Aspects of nonfatty components in lipoblastomas and lipomas. Sagittal Velum Interpositum Lipoma small pericallosal lesion around the inferior aspect of the splenium centered on the cavum velum interpositum with lateral. the velum interpositum is a small membrane containing a potential space just above and anterior to the pineal gland which can become. intracranial lipomas are rare congenital malformations which are present in choroid plexus or subarachnoid. the velum. Velum Interpositum Lipoma.
From www.radiomind.org
Intracranial lipoma Velum Interpositum Lipoma small pericallosal lesion around the inferior aspect of the splenium centered on the cavum velum interpositum with lateral. the velum interpositum is a small membrane containing a potential space just above and anterior to the pineal gland which can become. the lipomas that did not demonstrate csas at 1.5 t were all less than 1 em in. Velum Interpositum Lipoma.
From proper-cooking.info
Cavum Septum Pellucidum Velum Interpositum Lipoma small pericallosal lesion around the inferior aspect of the splenium centered on the cavum velum interpositum with lateral. the velum interpositum is a triangular space between the two layers of the tela choroidea in the roof of the third ventricle. descriptions of the velum interpositum (vi) are typically brief and lacking detail in most neuroanatomical. the. Velum Interpositum Lipoma.
From pediatricimaging.org
Pediatric Lipoma Pediatric Radiology Reference Article Pediatric Velum Interpositum Lipoma the velum interpositum (vi) is a membrane resulting from the superposition of two. the velum interpositum is a small membrane containing a potential space just above and anterior to the pineal gland which can become. the lipomas that did not demonstrate csas at 1.5 t were all less than 1 em in diameter, with the exception of. Velum Interpositum Lipoma.
From www.radiomind.org
Intracranial lipoma Velum Interpositum Lipoma the velum interpositum (vi) is a membrane resulting from the superposition of two. small pericallosal lesion around the inferior aspect of the splenium centered on the cavum velum interpositum with lateral. intracranial lipomas are rare congenital malformations which are present in choroid plexus or subarachnoid. the velum interpositum is a triangular space between the two layers. Velum Interpositum Lipoma.
From www.facebook.com
Lipoma Benign dermal or... Elsevier for Medical Students Velum Interpositum Lipoma descriptions of the velum interpositum (vi) are typically brief and lacking detail in most neuroanatomical. the velum interpositum is a small membrane containing a potential space just above and anterior to the pineal gland which can become. the velum interpositum (vi) is a membrane resulting from the superposition of two. the velum interpositum is a triangular. Velum Interpositum Lipoma.
From exycpvolo.blob.core.windows.net
Velum Interpositum Meaning at Ivory Vincent blog Velum Interpositum Lipoma small pericallosal lesion around the inferior aspect of the splenium centered on the cavum velum interpositum with lateral. descriptions of the velum interpositum (vi) are typically brief and lacking detail in most neuroanatomical. the velum interpositum is a small membrane containing a potential space just above and anterior to the pineal gland which can become. the. Velum Interpositum Lipoma.
From www.radiomind.org
Intracranial lipoma Velum Interpositum Lipoma the velum interpositum is a small membrane containing a potential space just above and anterior to the pineal gland which can become. the lipomas that did not demonstrate csas at 1.5 t were all less than 1 em in diameter, with the exception of the two lipomas of. small pericallosal lesion around the inferior aspect of the. Velum Interpositum Lipoma.
From proper-cooking.info
Cavum Septum Pellucidum Velum Interpositum Lipoma the velum interpositum is a triangular space between the two layers of the tela choroidea in the roof of the third ventricle. intracranial lipomas are rare congenital malformations which are present in choroid plexus or subarachnoid. descriptions of the velum interpositum (vi) are typically brief and lacking detail in most neuroanatomical. small pericallosal lesion around the. Velum Interpositum Lipoma.
From www.dreamstime.com
Lipoma a Benign Tumor Composed of Adipose Tissue Cells Adipocytes Velum Interpositum Lipoma intracranial lipomas are rare congenital malformations which are present in choroid plexus or subarachnoid. the velum interpositum is a triangular space between the two layers of the tela choroidea in the roof of the third ventricle. small pericallosal lesion around the inferior aspect of the splenium centered on the cavum velum interpositum with lateral. descriptions of. Velum Interpositum Lipoma.
From www.osmosis.org
Lipoma Clinical sciences Osmosis Video Library Velum Interpositum Lipoma descriptions of the velum interpositum (vi) are typically brief and lacking detail in most neuroanatomical. the velum interpositum (vi) is a membrane resulting from the superposition of two. intracranial lipomas are rare congenital malformations which are present in choroid plexus or subarachnoid. the velum interpositum is a small membrane containing a potential space just above and. Velum Interpositum Lipoma.
From www.mdpi.com
Diagnostics Free FullText The Neoplastic Side of the Abdominal Velum Interpositum Lipoma the velum interpositum is a small membrane containing a potential space just above and anterior to the pineal gland which can become. small pericallosal lesion around the inferior aspect of the splenium centered on the cavum velum interpositum with lateral. the lipomas that did not demonstrate csas at 1.5 t were all less than 1 em in. Velum Interpositum Lipoma.
From ar.inspiredpencil.com
Cavum Velum Interpositum Ultrasound Velum Interpositum Lipoma the lipomas that did not demonstrate csas at 1.5 t were all less than 1 em in diameter, with the exception of the two lipomas of. the velum interpositum (vi) is a membrane resulting from the superposition of two. small pericallosal lesion around the inferior aspect of the splenium centered on the cavum velum interpositum with lateral.. Velum Interpositum Lipoma.
From skintel.co.nz
Expert Lipoma Removal in New Zealand Skintel Auckland Velum Interpositum Lipoma the velum interpositum is a small membrane containing a potential space just above and anterior to the pineal gland which can become. the velum interpositum (vi) is a membrane resulting from the superposition of two. descriptions of the velum interpositum (vi) are typically brief and lacking detail in most neuroanatomical. intracranial lipomas are rare congenital malformations. Velum Interpositum Lipoma.
From mojalife.com
Lipoma Removal Surgery What You Need To Know Velum Interpositum Lipoma the lipomas that did not demonstrate csas at 1.5 t were all less than 1 em in diameter, with the exception of the two lipomas of. the velum interpositum (vi) is a membrane resulting from the superposition of two. the velum interpositum is a small membrane containing a potential space just above and anterior to the pineal. Velum Interpositum Lipoma.
From www.radiomind.org
Intracranial lipoma Velum Interpositum Lipoma the velum interpositum is a triangular space between the two layers of the tela choroidea in the roof of the third ventricle. the lipomas that did not demonstrate csas at 1.5 t were all less than 1 em in diameter, with the exception of the two lipomas of. the velum interpositum is a small membrane containing a. Velum Interpositum Lipoma.
From www.drjeremycarrasco.com
Lipoma Removal Chiropractor 128 Velum Interpositum Lipoma the velum interpositum is a small membrane containing a potential space just above and anterior to the pineal gland which can become. small pericallosal lesion around the inferior aspect of the splenium centered on the cavum velum interpositum with lateral. the lipomas that did not demonstrate csas at 1.5 t were all less than 1 em in. Velum Interpositum Lipoma.
From www.researchgate.net
MRI of the lumbosacral spine showed epidural lipomatosis and spinal Velum Interpositum Lipoma the velum interpositum is a triangular space between the two layers of the tela choroidea in the roof of the third ventricle. the velum interpositum is a small membrane containing a potential space just above and anterior to the pineal gland which can become. the velum interpositum (vi) is a membrane resulting from the superposition of two.. Velum Interpositum Lipoma.
From ar.inspiredpencil.com
Cavum Velum Interpositum Ultrasound Velum Interpositum Lipoma the velum interpositum is a small membrane containing a potential space just above and anterior to the pineal gland which can become. the velum interpositum is a triangular space between the two layers of the tela choroidea in the roof of the third ventricle. the lipomas that did not demonstrate csas at 1.5 t were all less. Velum Interpositum Lipoma.
From manju-imagingxpert.blogspot.com
Radiodiagnosis Imaging is AmazingInteresting cases Lipoma Velum Interpositum Lipoma the velum interpositum (vi) is a membrane resulting from the superposition of two. intracranial lipomas are rare congenital malformations which are present in choroid plexus or subarachnoid. the lipomas that did not demonstrate csas at 1.5 t were all less than 1 em in diameter, with the exception of the two lipomas of. small pericallosal lesion. Velum Interpositum Lipoma.
From ar.inspiredpencil.com
Cavum Velum Interpositum Ultrasound Velum Interpositum Lipoma descriptions of the velum interpositum (vi) are typically brief and lacking detail in most neuroanatomical. the velum interpositum is a small membrane containing a potential space just above and anterior to the pineal gland which can become. the velum interpositum (vi) is a membrane resulting from the superposition of two. small pericallosal lesion around the inferior. Velum Interpositum Lipoma.
From www.flickr.com
Best Lipoma treatment At Home Lipoma Wand Lipoma wand is… Flickr Velum Interpositum Lipoma small pericallosal lesion around the inferior aspect of the splenium centered on the cavum velum interpositum with lateral. the velum interpositum (vi) is a membrane resulting from the superposition of two. descriptions of the velum interpositum (vi) are typically brief and lacking detail in most neuroanatomical. the velum interpositum is a small membrane containing a potential. Velum Interpositum Lipoma.
From www.radiomind.org
Intracranial lipoma Velum Interpositum Lipoma the velum interpositum is a triangular space between the two layers of the tela choroidea in the roof of the third ventricle. the velum interpositum (vi) is a membrane resulting from the superposition of two. intracranial lipomas are rare congenital malformations which are present in choroid plexus or subarachnoid. the lipomas that did not demonstrate csas. Velum Interpositum Lipoma.
From www.medicvision.com
iQMR LargeScale Deployment Technology Medic Vision Velum Interpositum Lipoma small pericallosal lesion around the inferior aspect of the splenium centered on the cavum velum interpositum with lateral. the velum interpositum is a small membrane containing a potential space just above and anterior to the pineal gland which can become. the velum interpositum is a triangular space between the two layers of the tela choroidea in the. Velum Interpositum Lipoma.
From www.mdpi.com
Cancers Free FullText Development and Evaluation of MRBased Velum Interpositum Lipoma descriptions of the velum interpositum (vi) are typically brief and lacking detail in most neuroanatomical. the velum interpositum is a small membrane containing a potential space just above and anterior to the pineal gland which can become. the lipomas that did not demonstrate csas at 1.5 t were all less than 1 em in diameter, with the. Velum Interpositum Lipoma.
From www.radiomind.org
Intracranial lipoma Velum Interpositum Lipoma the velum interpositum (vi) is a membrane resulting from the superposition of two. the velum interpositum is a small membrane containing a potential space just above and anterior to the pineal gland which can become. the velum interpositum is a triangular space between the two layers of the tela choroidea in the roof of the third ventricle.. Velum Interpositum Lipoma.
From www.realityfade.com
Lipoma '15KG Tumor' Long Sleeve Reality Fade Merch Velum Interpositum Lipoma the velum interpositum is a small membrane containing a potential space just above and anterior to the pineal gland which can become. small pericallosal lesion around the inferior aspect of the splenium centered on the cavum velum interpositum with lateral. the velum interpositum is a triangular space between the two layers of the tela choroidea in the. Velum Interpositum Lipoma.
From www.radiomind.org
Intracranial lipoma Velum Interpositum Lipoma intracranial lipomas are rare congenital malformations which are present in choroid plexus or subarachnoid. the lipomas that did not demonstrate csas at 1.5 t were all less than 1 em in diameter, with the exception of the two lipomas of. the velum interpositum is a small membrane containing a potential space just above and anterior to the. Velum Interpositum Lipoma.
From www.mdpi.com
Diagnostics Free FullText Atypical Sites of the Lipoma on the Hand Velum Interpositum Lipoma small pericallosal lesion around the inferior aspect of the splenium centered on the cavum velum interpositum with lateral. the velum interpositum is a triangular space between the two layers of the tela choroidea in the roof of the third ventricle. descriptions of the velum interpositum (vi) are typically brief and lacking detail in most neuroanatomical. the. Velum Interpositum Lipoma.
From www.cureus.com
Ileocecal Intussusception With Lipoma as a Lead Point Leading to Small Velum Interpositum Lipoma descriptions of the velum interpositum (vi) are typically brief and lacking detail in most neuroanatomical. intracranial lipomas are rare congenital malformations which are present in choroid plexus or subarachnoid. the velum interpositum is a small membrane containing a potential space just above and anterior to the pineal gland which can become. small pericallosal lesion around the. Velum Interpositum Lipoma.