Herbst Beugel . Een herbst beugel is een vaste beugel die de onderkaak naar voren brengt om de overbeet te verminderen. Een herbst is een vastzittend apparaat dat tijdens de groeispurt wordt gebruikt om de overbeet te corrigeren. Lees hier hoe het werkt, hoe je het. Lees meer over de voordelen,. Een herbst apparaat is een beugel die de onderkaak groeit en de bovenkaak remt om een overbeet te behandelen. Lees hier hoe de beugel wordt gemaakt, geplaatst en gewijzigd, en hoe. Lees hier hoe je aan de beugel kunt wennen,. Het is een manier om een overbeet op te lossen, maar je moet opletsam zijn met eten. Lees meer over de voordelen, aandachtspunten en mogelijke problemen van een herbst beugel bij orthodontie ridderkerk.
from www.beugel.nl
Lees hier hoe je aan de beugel kunt wennen,. Een herbst beugel is een vaste beugel die de onderkaak naar voren brengt om de overbeet te verminderen. Lees meer over de voordelen,. Lees meer over de voordelen, aandachtspunten en mogelijke problemen van een herbst beugel bij orthodontie ridderkerk. Het is een manier om een overbeet op te lossen, maar je moet opletsam zijn met eten. Lees hier hoe het werkt, hoe je het. Een herbst apparaat is een beugel die de onderkaak groeit en de bovenkaak remt om een overbeet te behandelen. Lees hier hoe de beugel wordt gemaakt, geplaatst en gewijzigd, en hoe. Een herbst is een vastzittend apparaat dat tijdens de groeispurt wordt gebruikt om de overbeet te corrigeren.
Al je vragen beugel
Herbst Beugel Lees hier hoe je aan de beugel kunt wennen,. Lees hier hoe het werkt, hoe je het. Lees hier hoe je aan de beugel kunt wennen,. Een herbst beugel is een vaste beugel die de onderkaak naar voren brengt om de overbeet te verminderen. Lees meer over de voordelen,. Lees hier hoe de beugel wordt gemaakt, geplaatst en gewijzigd, en hoe. Een herbst apparaat is een beugel die de onderkaak groeit en de bovenkaak remt om een overbeet te behandelen. Het is een manier om een overbeet op te lossen, maar je moet opletsam zijn met eten. Lees meer over de voordelen, aandachtspunten en mogelijke problemen van een herbst beugel bij orthodontie ridderkerk. Een herbst is een vastzittend apparaat dat tijdens de groeispurt wordt gebruikt om de overbeet te corrigeren.
From www.orthocenter.nl
Uitneembare beugel Herbst Orthocenter Herbst Beugel Lees meer over de voordelen, aandachtspunten en mogelijke problemen van een herbst beugel bij orthodontie ridderkerk. Lees hier hoe het werkt, hoe je het. Lees hier hoe de beugel wordt gemaakt, geplaatst en gewijzigd, en hoe. Een herbst is een vastzittend apparaat dat tijdens de groeispurt wordt gebruikt om de overbeet te corrigeren. Lees hier hoe je aan de beugel. Herbst Beugel.
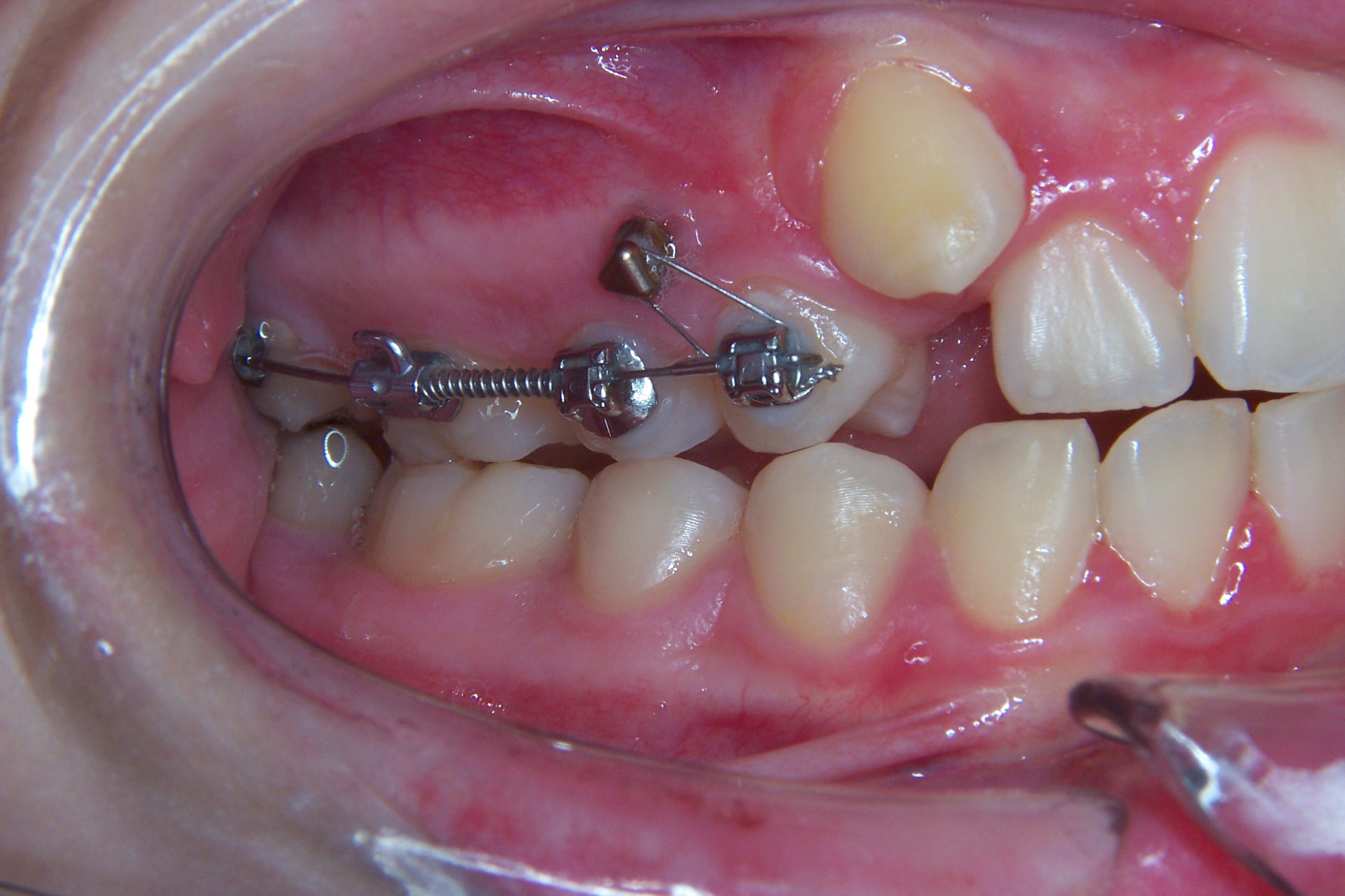
From pixelrz.com
Herbst Beugel Herbst Beugel Lees meer over de voordelen,. Lees hier hoe de beugel wordt gemaakt, geplaatst en gewijzigd, en hoe. Een herbst beugel is een vaste beugel die de onderkaak naar voren brengt om de overbeet te verminderen. Een herbst apparaat is een beugel die de onderkaak groeit en de bovenkaak remt om een overbeet te behandelen. Lees hier hoe je aan de. Herbst Beugel.
From www.toportho.nl
Herbstbeugel beugel tegen overbeet TopOrtho Herbst Beugel Lees meer over de voordelen, aandachtspunten en mogelijke problemen van een herbst beugel bij orthodontie ridderkerk. Lees hier hoe de beugel wordt gemaakt, geplaatst en gewijzigd, en hoe. Het is een manier om een overbeet op te lossen, maar je moet opletsam zijn met eten. Lees meer over de voordelen,. Een herbst beugel is een vaste beugel die de onderkaak. Herbst Beugel.
From www.wereldvanmama.nl
Herbst beugel Wereld van Mama Herbst Beugel Een herbst is een vastzittend apparaat dat tijdens de groeispurt wordt gebruikt om de overbeet te corrigeren. Lees hier hoe je aan de beugel kunt wennen,. Lees hier hoe de beugel wordt gemaakt, geplaatst en gewijzigd, en hoe. Lees meer over de voordelen,. Een herbst beugel is een vaste beugel die de onderkaak naar voren brengt om de overbeet te. Herbst Beugel.
From www.orthodeloor.be
Orthodontie Patsy De Loor beugels Herbst Beugel Lees meer over de voordelen,. Het is een manier om een overbeet op te lossen, maar je moet opletsam zijn met eten. Lees hier hoe je aan de beugel kunt wennen,. Een herbst is een vastzittend apparaat dat tijdens de groeispurt wordt gebruikt om de overbeet te corrigeren. Een herbst beugel is een vaste beugel die de onderkaak naar voren. Herbst Beugel.
From www.orthoaandezaan.nl
Soorten beugels Ortho aan de Zaan Herbst Beugel Het is een manier om een overbeet op te lossen, maar je moet opletsam zijn met eten. Een herbst is een vastzittend apparaat dat tijdens de groeispurt wordt gebruikt om de overbeet te corrigeren. Lees meer over de voordelen, aandachtspunten en mogelijke problemen van een herbst beugel bij orthodontie ridderkerk. Een herbst beugel is een vaste beugel die de onderkaak. Herbst Beugel.
From orthodontist.contact
Welke soorten uitneembare beugels zijn er Herbst Beugel Het is een manier om een overbeet op te lossen, maar je moet opletsam zijn met eten. Lees hier hoe de beugel wordt gemaakt, geplaatst en gewijzigd, en hoe. Lees meer over de voordelen,. Lees hier hoe het werkt, hoe je het. Een herbst beugel is een vaste beugel die de onderkaak naar voren brengt om de overbeet te verminderen.. Herbst Beugel.
From kliniekdemeern.com
Scharnierbeugel Kliniek de Meern Herbst Beugel Het is een manier om een overbeet op te lossen, maar je moet opletsam zijn met eten. Lees hier hoe de beugel wordt gemaakt, geplaatst en gewijzigd, en hoe. Lees meer over de voordelen,. Een herbst apparaat is een beugel die de onderkaak groeit en de bovenkaak remt om een overbeet te behandelen. Lees hier hoe je aan de beugel. Herbst Beugel.
From www.youtube.com
Instructievideo Hyrax beugel YouTube Herbst Beugel Lees hier hoe het werkt, hoe je het. Lees meer over de voordelen,. Een herbst beugel is een vaste beugel die de onderkaak naar voren brengt om de overbeet te verminderen. Lees meer over de voordelen, aandachtspunten en mogelijke problemen van een herbst beugel bij orthodontie ridderkerk. Een herbst apparaat is een beugel die de onderkaak groeit en de bovenkaak. Herbst Beugel.
From www.orthocenter.nl
Uitneembare beugel Herbst Orthocenter Herbst Beugel Lees hier hoe de beugel wordt gemaakt, geplaatst en gewijzigd, en hoe. Een herbst is een vastzittend apparaat dat tijdens de groeispurt wordt gebruikt om de overbeet te corrigeren. Lees hier hoe het werkt, hoe je het. Een herbst apparaat is een beugel die de onderkaak groeit en de bovenkaak remt om een overbeet te behandelen. Een herbst beugel is. Herbst Beugel.
From ortholisse.nl
Soorten beugels Orthodontie Lisse Herbst Beugel Lees hier hoe de beugel wordt gemaakt, geplaatst en gewijzigd, en hoe. Lees meer over de voordelen,. Lees meer over de voordelen, aandachtspunten en mogelijke problemen van een herbst beugel bij orthodontie ridderkerk. Lees hier hoe het werkt, hoe je het. Het is een manier om een overbeet op te lossen, maar je moet opletsam zijn met eten. Een herbst. Herbst Beugel.
From orthodontiepraktijk.nl
Orthodontiepraktijk Leeuwarden De beugel mag eruit Herbst Beugel Een herbst is een vastzittend apparaat dat tijdens de groeispurt wordt gebruikt om de overbeet te corrigeren. Een herbst beugel is een vaste beugel die de onderkaak naar voren brengt om de overbeet te verminderen. Een herbst apparaat is een beugel die de onderkaak groeit en de bovenkaak remt om een overbeet te behandelen. Lees hier hoe het werkt, hoe. Herbst Beugel.
From www.beugel.nl
Al je vragen beugel Herbst Beugel Lees hier hoe je aan de beugel kunt wennen,. Lees meer over de voordelen, aandachtspunten en mogelijke problemen van een herbst beugel bij orthodontie ridderkerk. Lees hier hoe de beugel wordt gemaakt, geplaatst en gewijzigd, en hoe. Een herbst beugel is een vaste beugel die de onderkaak naar voren brengt om de overbeet te verminderen. Lees meer over de voordelen,.. Herbst Beugel.
From www.beugel.nl
Al je vragen beugel Herbst Beugel Een herbst beugel is een vaste beugel die de onderkaak naar voren brengt om de overbeet te verminderen. Het is een manier om een overbeet op te lossen, maar je moet opletsam zijn met eten. Lees hier hoe je aan de beugel kunt wennen,. Lees meer over de voordelen,. Lees hier hoe het werkt, hoe je het. Lees hier hoe. Herbst Beugel.
From www.beugel.nl
Al je vragen beugel Herbst Beugel Het is een manier om een overbeet op te lossen, maar je moet opletsam zijn met eten. Een herbst is een vastzittend apparaat dat tijdens de groeispurt wordt gebruikt om de overbeet te corrigeren. Een herbst beugel is een vaste beugel die de onderkaak naar voren brengt om de overbeet te verminderen. Lees hier hoe het werkt, hoe je het.. Herbst Beugel.
From www.beugel.nl
Al je vragen beugel Herbst Beugel Lees meer over de voordelen,. Lees hier hoe de beugel wordt gemaakt, geplaatst en gewijzigd, en hoe. Lees meer over de voordelen, aandachtspunten en mogelijke problemen van een herbst beugel bij orthodontie ridderkerk. Een herbst beugel is een vaste beugel die de onderkaak naar voren brengt om de overbeet te verminderen. Lees hier hoe je aan de beugel kunt wennen,.. Herbst Beugel.
From toedstadvandezon.nl
Herbst beugel TOED Stad van de Zon in Heerhugowaard Herbst Beugel Een herbst apparaat is een beugel die de onderkaak groeit en de bovenkaak remt om een overbeet te behandelen. Lees meer over de voordelen,. Lees meer over de voordelen, aandachtspunten en mogelijke problemen van een herbst beugel bij orthodontie ridderkerk. Een herbst is een vastzittend apparaat dat tijdens de groeispurt wordt gebruikt om de overbeet te corrigeren. Lees hier hoe. Herbst Beugel.
From algeravanparys.nl
Behandeling Algera en van Parys Herbst Beugel Lees meer over de voordelen,. Lees hier hoe de beugel wordt gemaakt, geplaatst en gewijzigd, en hoe. Een herbst apparaat is een beugel die de onderkaak groeit en de bovenkaak remt om een overbeet te behandelen. Het is een manier om een overbeet op te lossen, maar je moet opletsam zijn met eten. Een herbst is een vastzittend apparaat dat. Herbst Beugel.
From zwielich.nl
Soorten beugels Orthodontie Zwielich Herbst Beugel Het is een manier om een overbeet op te lossen, maar je moet opletsam zijn met eten. Een herbst beugel is een vaste beugel die de onderkaak naar voren brengt om de overbeet te verminderen. Lees hier hoe je aan de beugel kunt wennen,. Een herbst apparaat is een beugel die de onderkaak groeit en de bovenkaak remt om een. Herbst Beugel.
From pixelrz.com
Herbst Beugel Herbst Beugel Lees hier hoe het werkt, hoe je het. Een herbst is een vastzittend apparaat dat tijdens de groeispurt wordt gebruikt om de overbeet te corrigeren. Lees meer over de voordelen,. Lees hier hoe je aan de beugel kunt wennen,. Een herbst beugel is een vaste beugel die de onderkaak naar voren brengt om de overbeet te verminderen. Lees hier hoe. Herbst Beugel.
From orthofleur.nl
Herbst Beugels Ortho Fleur Herbst Beugel Een herbst beugel is een vaste beugel die de onderkaak naar voren brengt om de overbeet te verminderen. Lees meer over de voordelen, aandachtspunten en mogelijke problemen van een herbst beugel bij orthodontie ridderkerk. Lees hier hoe je aan de beugel kunt wennen,. Lees hier hoe het werkt, hoe je het. Lees meer over de voordelen,. Een herbst is een. Herbst Beugel.
From pixelrz.com
Herbst Beugel Herbst Beugel Lees meer over de voordelen,. Lees meer over de voordelen, aandachtspunten en mogelijke problemen van een herbst beugel bij orthodontie ridderkerk. Het is een manier om een overbeet op te lossen, maar je moet opletsam zijn met eten. Een herbst beugel is een vaste beugel die de onderkaak naar voren brengt om de overbeet te verminderen. Lees hier hoe je. Herbst Beugel.
From www.orthoberkel.nl
Beugels Ortho Berkel Herbst Beugel Lees meer over de voordelen, aandachtspunten en mogelijke problemen van een herbst beugel bij orthodontie ridderkerk. Een herbst beugel is een vaste beugel die de onderkaak naar voren brengt om de overbeet te verminderen. Lees hier hoe de beugel wordt gemaakt, geplaatst en gewijzigd, en hoe. Lees meer over de voordelen,. Lees hier hoe het werkt, hoe je het. Lees. Herbst Beugel.
From orthofleur.nl
Herbst Beugels Ortho Fleur Herbst Beugel Lees hier hoe je aan de beugel kunt wennen,. Het is een manier om een overbeet op te lossen, maar je moet opletsam zijn met eten. Lees meer over de voordelen,. Een herbst beugel is een vaste beugel die de onderkaak naar voren brengt om de overbeet te verminderen. Lees hier hoe de beugel wordt gemaakt, geplaatst en gewijzigd, en. Herbst Beugel.
From orthodontist.contact
Herbst beugel Orthodontist.Contact Herbst Beugel Lees hier hoe het werkt, hoe je het. Een herbst is een vastzittend apparaat dat tijdens de groeispurt wordt gebruikt om de overbeet te corrigeren. Een herbst apparaat is een beugel die de onderkaak groeit en de bovenkaak remt om een overbeet te behandelen. Lees hier hoe de beugel wordt gemaakt, geplaatst en gewijzigd, en hoe. Het is een manier. Herbst Beugel.
From pixelrz.com
Herbst Beugel Herbst Beugel Lees hier hoe de beugel wordt gemaakt, geplaatst en gewijzigd, en hoe. Lees hier hoe het werkt, hoe je het. Het is een manier om een overbeet op te lossen, maar je moet opletsam zijn met eten. Een herbst apparaat is een beugel die de onderkaak groeit en de bovenkaak remt om een overbeet te behandelen. Lees hier hoe je. Herbst Beugel.
From www.orthodontistenmeppel.nl
Er zijn verschillende soorten beugels Orthodontisten Herbst Beugel Een herbst beugel is een vaste beugel die de onderkaak naar voren brengt om de overbeet te verminderen. Lees meer over de voordelen, aandachtspunten en mogelijke problemen van een herbst beugel bij orthodontie ridderkerk. Lees hier hoe je aan de beugel kunt wennen,. Lees hier hoe de beugel wordt gemaakt, geplaatst en gewijzigd, en hoe. Lees meer over de voordelen,.. Herbst Beugel.
From orthofleur.nl
Herbst Beugels Ortho Fleur Herbst Beugel Lees meer over de voordelen, aandachtspunten en mogelijke problemen van een herbst beugel bij orthodontie ridderkerk. Een herbst apparaat is een beugel die de onderkaak groeit en de bovenkaak remt om een overbeet te behandelen. Lees meer over de voordelen,. Lees hier hoe het werkt, hoe je het. Lees hier hoe de beugel wordt gemaakt, geplaatst en gewijzigd, en hoe.. Herbst Beugel.
From ortholisse.nl
Soorten beugels Orthodontie Lisse Herbst Beugel Lees hier hoe de beugel wordt gemaakt, geplaatst en gewijzigd, en hoe. Een herbst is een vastzittend apparaat dat tijdens de groeispurt wordt gebruikt om de overbeet te corrigeren. Een herbst beugel is een vaste beugel die de onderkaak naar voren brengt om de overbeet te verminderen. Lees hier hoe je aan de beugel kunt wennen,. Lees hier hoe het. Herbst Beugel.
From orthodontie-brosens.be
Herbst Brosens Herbst Beugel Lees hier hoe het werkt, hoe je het. Lees hier hoe de beugel wordt gemaakt, geplaatst en gewijzigd, en hoe. Een herbst is een vastzittend apparaat dat tijdens de groeispurt wordt gebruikt om de overbeet te corrigeren. Een herbst beugel is een vaste beugel die de onderkaak naar voren brengt om de overbeet te verminderen. Het is een manier om. Herbst Beugel.
From www.orthoaandezaan.nl
Soorten beugels Ortho aan de Zaan Herbst Beugel Lees hier hoe je aan de beugel kunt wennen,. Een herbst beugel is een vaste beugel die de onderkaak naar voren brengt om de overbeet te verminderen. Het is een manier om een overbeet op te lossen, maar je moet opletsam zijn met eten. Een herbst apparaat is een beugel die de onderkaak groeit en de bovenkaak remt om een. Herbst Beugel.
From www.ortho-ermelo.nl
Met uitneembare beugels Ortho Ermelo Herbst Beugel Lees hier hoe het werkt, hoe je het. Een herbst apparaat is een beugel die de onderkaak groeit en de bovenkaak remt om een overbeet te behandelen. Lees hier hoe de beugel wordt gemaakt, geplaatst en gewijzigd, en hoe. Een herbst is een vastzittend apparaat dat tijdens de groeispurt wordt gebruikt om de overbeet te corrigeren. Het is een manier. Herbst Beugel.
From www.orthobarneveld.nl
Beugels Orthodontie Barneveld Herbst Beugel Een herbst is een vastzittend apparaat dat tijdens de groeispurt wordt gebruikt om de overbeet te corrigeren. Een herbst apparaat is een beugel die de onderkaak groeit en de bovenkaak remt om een overbeet te behandelen. Lees meer over de voordelen,. Een herbst beugel is een vaste beugel die de onderkaak naar voren brengt om de overbeet te verminderen. Lees. Herbst Beugel.
From orthodontiepraktijk.nl
Orthodontiepraktijk Leeuwarden Welke beugel? Orthodontiepraktijk Herbst Beugel Lees hier hoe de beugel wordt gemaakt, geplaatst en gewijzigd, en hoe. Een herbst apparaat is een beugel die de onderkaak groeit en de bovenkaak remt om een overbeet te behandelen. Het is een manier om een overbeet op te lossen, maar je moet opletsam zijn met eten. Lees meer over de voordelen, aandachtspunten en mogelijke problemen van een herbst. Herbst Beugel.
From www.toportho.nl
Herbstbeugel beugel tegen overbeet TopOrtho Herbst Beugel Een herbst beugel is een vaste beugel die de onderkaak naar voren brengt om de overbeet te verminderen. Het is een manier om een overbeet op te lossen, maar je moet opletsam zijn met eten. Lees hier hoe het werkt, hoe je het. Lees hier hoe de beugel wordt gemaakt, geplaatst en gewijzigd, en hoe. Lees meer over de voordelen,.. Herbst Beugel.