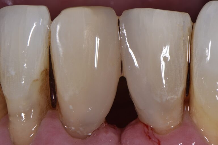
Closing Gaps With Composite . Using a minimally invasive procedure called composite bonding, we were able to close the gap and give him a smile he’s proud to share. In this article, we’ll explore the. It's used for many dental issues,. Composite bonding or tooth bonding is a cosmetic dental procedure used to repair chips, cracks, gaps, and other minor imperfections in your teeth. Composite material can be used to cover the original tooth completely, in which case it's called a composite veneer. It's also a common treatment for chipped tooth repair. That’s where composite bonding comes into play, offering a minimally invasive and effective solution for closing those unwanted. In the case of filling gaps in teeth, the composite is used to extend the tooth slightly to close the diastema.
from hosnerdental.com
Using a minimally invasive procedure called composite bonding, we were able to close the gap and give him a smile he’s proud to share. It's also a common treatment for chipped tooth repair. In the case of filling gaps in teeth, the composite is used to extend the tooth slightly to close the diastema. That’s where composite bonding comes into play, offering a minimally invasive and effective solution for closing those unwanted. In this article, we’ll explore the. Composite material can be used to cover the original tooth completely, in which case it's called a composite veneer. It's used for many dental issues,. Composite bonding or tooth bonding is a cosmetic dental procedure used to repair chips, cracks, gaps, and other minor imperfections in your teeth.
Closing Gaps Gallery Hosner Family Dentistry
Closing Gaps With Composite Using a minimally invasive procedure called composite bonding, we were able to close the gap and give him a smile he’s proud to share. In the case of filling gaps in teeth, the composite is used to extend the tooth slightly to close the diastema. Using a minimally invasive procedure called composite bonding, we were able to close the gap and give him a smile he’s proud to share. That’s where composite bonding comes into play, offering a minimally invasive and effective solution for closing those unwanted. It's also a common treatment for chipped tooth repair. It's used for many dental issues,. Composite bonding or tooth bonding is a cosmetic dental procedure used to repair chips, cracks, gaps, and other minor imperfections in your teeth. In this article, we’ll explore the. Composite material can be used to cover the original tooth completely, in which case it's called a composite veneer.
From loelphogz.blob.core.windows.net
Can Composite Bonding Close Gaps at Robert Swanson blog Closing Gaps With Composite Composite bonding or tooth bonding is a cosmetic dental procedure used to repair chips, cracks, gaps, and other minor imperfections in your teeth. Composite material can be used to cover the original tooth completely, in which case it's called a composite veneer. It's also a common treatment for chipped tooth repair. In the case of filling gaps in teeth, the. Closing Gaps With Composite.
From newsmilebyg.com
Composite Bonding to Close Gaps Closing Gaps With Composite It's used for many dental issues,. In the case of filling gaps in teeth, the composite is used to extend the tooth slightly to close the diastema. That’s where composite bonding comes into play, offering a minimally invasive and effective solution for closing those unwanted. It's also a common treatment for chipped tooth repair. Using a minimally invasive procedure called. Closing Gaps With Composite.
From www.coatbridgedentist.co.uk
Composite Bonding Everything You Need to Know Coatbridge Family Closing Gaps With Composite That’s where composite bonding comes into play, offering a minimally invasive and effective solution for closing those unwanted. In the case of filling gaps in teeth, the composite is used to extend the tooth slightly to close the diastema. Using a minimally invasive procedure called composite bonding, we were able to close the gap and give him a smile he’s. Closing Gaps With Composite.
From www.coatbridgedentist.co.uk
Composite Bonding Everything You Need to Know Coatbridge Family Closing Gaps With Composite Composite bonding or tooth bonding is a cosmetic dental procedure used to repair chips, cracks, gaps, and other minor imperfections in your teeth. It's also a common treatment for chipped tooth repair. Using a minimally invasive procedure called composite bonding, we were able to close the gap and give him a smile he’s proud to share. That’s where composite bonding. Closing Gaps With Composite.
From hosnerdental.com
Closing Gaps Gallery Hosner Family Dentistry Closing Gaps With Composite In the case of filling gaps in teeth, the composite is used to extend the tooth slightly to close the diastema. Composite bonding or tooth bonding is a cosmetic dental procedure used to repair chips, cracks, gaps, and other minor imperfections in your teeth. In this article, we’ll explore the. That’s where composite bonding comes into play, offering a minimally. Closing Gaps With Composite.
From www.lakeviewdentalfl.com
Close Gap Between Teeth With Composite Lakeview Dental Closing Gaps With Composite Composite material can be used to cover the original tooth completely, in which case it's called a composite veneer. In the case of filling gaps in teeth, the composite is used to extend the tooth slightly to close the diastema. Composite bonding or tooth bonding is a cosmetic dental procedure used to repair chips, cracks, gaps, and other minor imperfections. Closing Gaps With Composite.
From maisondental.co.uk
Gap Closure with Composite Bonding Maison Dental Closing Gaps With Composite That’s where composite bonding comes into play, offering a minimally invasive and effective solution for closing those unwanted. In this article, we’ll explore the. It's also a common treatment for chipped tooth repair. It's used for many dental issues,. Composite bonding or tooth bonding is a cosmetic dental procedure used to repair chips, cracks, gaps, and other minor imperfections in. Closing Gaps With Composite.
From www.clarencetam.co.nz
Closing Large Gaps between Teeth with Composite Closing Gaps With Composite Using a minimally invasive procedure called composite bonding, we were able to close the gap and give him a smile he’s proud to share. That’s where composite bonding comes into play, offering a minimally invasive and effective solution for closing those unwanted. It's also a common treatment for chipped tooth repair. In this article, we’ll explore the. It's used for. Closing Gaps With Composite.
From exozwidlv.blob.core.windows.net
What Is Dental Bonding Made Of at Maria Mosser blog Closing Gaps With Composite Using a minimally invasive procedure called composite bonding, we were able to close the gap and give him a smile he’s proud to share. In this article, we’ll explore the. That’s where composite bonding comes into play, offering a minimally invasive and effective solution for closing those unwanted. Composite material can be used to cover the original tooth completely, in. Closing Gaps With Composite.
From smartdocposters.com
Closing gaps between teeth using tooth coloured composite fillings Closing Gaps With Composite Using a minimally invasive procedure called composite bonding, we were able to close the gap and give him a smile he’s proud to share. It's also a common treatment for chipped tooth repair. It's used for many dental issues,. Composite material can be used to cover the original tooth completely, in which case it's called a composite veneer. Composite bonding. Closing Gaps With Composite.
From jayadental.com
Jaya Dental Surgery Jaya Dental Surgery Closing Gaps With Composite Composite material can be used to cover the original tooth completely, in which case it's called a composite veneer. In the case of filling gaps in teeth, the composite is used to extend the tooth slightly to close the diastema. It's used for many dental issues,. In this article, we’ll explore the. Using a minimally invasive procedure called composite bonding,. Closing Gaps With Composite.
From www.murraydental.co.uk
Composite Bonding Northern Ireland Murray Dental Omagh Closing Gaps With Composite That’s where composite bonding comes into play, offering a minimally invasive and effective solution for closing those unwanted. Composite bonding or tooth bonding is a cosmetic dental procedure used to repair chips, cracks, gaps, and other minor imperfections in your teeth. It's also a common treatment for chipped tooth repair. It's used for many dental issues,. In the case of. Closing Gaps With Composite.
From www.lakeviewdentalfl.com
Close Visible Gap Between Teeth With Composite Lakeview Dental Closing Gaps With Composite Composite material can be used to cover the original tooth completely, in which case it's called a composite veneer. Composite bonding or tooth bonding is a cosmetic dental procedure used to repair chips, cracks, gaps, and other minor imperfections in your teeth. That’s where composite bonding comes into play, offering a minimally invasive and effective solution for closing those unwanted.. Closing Gaps With Composite.
From ceyxqluh.blob.core.windows.net
Gap Closing Bands at Misty Rawls blog Closing Gaps With Composite In the case of filling gaps in teeth, the composite is used to extend the tooth slightly to close the diastema. It's used for many dental issues,. In this article, we’ll explore the. It's also a common treatment for chipped tooth repair. Composite bonding or tooth bonding is a cosmetic dental procedure used to repair chips, cracks, gaps, and other. Closing Gaps With Composite.
From smartdocposters.com
Closing gaps between teeth using tooth coloured composite fillings Closing Gaps With Composite Composite bonding or tooth bonding is a cosmetic dental procedure used to repair chips, cracks, gaps, and other minor imperfections in your teeth. Using a minimally invasive procedure called composite bonding, we were able to close the gap and give him a smile he’s proud to share. That’s where composite bonding comes into play, offering a minimally invasive and effective. Closing Gaps With Composite.
From hosnerdental.com
Closing Gaps Gallery Hosner Family Dentistry Closing Gaps With Composite Composite material can be used to cover the original tooth completely, in which case it's called a composite veneer. It's used for many dental issues,. In the case of filling gaps in teeth, the composite is used to extend the tooth slightly to close the diastema. It's also a common treatment for chipped tooth repair. In this article, we’ll explore. Closing Gaps With Composite.
From www.youtube.com
Time lapse of Dental Composite Veneers to close gaps YouTube Closing Gaps With Composite In the case of filling gaps in teeth, the composite is used to extend the tooth slightly to close the diastema. Composite bonding or tooth bonding is a cosmetic dental procedure used to repair chips, cracks, gaps, and other minor imperfections in your teeth. It's also a common treatment for chipped tooth repair. Using a minimally invasive procedure called composite. Closing Gaps With Composite.
From hosnerdental.com
Closing Gaps Gallery Hosner Family Dentistry Closing Gaps With Composite It's also a common treatment for chipped tooth repair. Using a minimally invasive procedure called composite bonding, we were able to close the gap and give him a smile he’s proud to share. Composite material can be used to cover the original tooth completely, in which case it's called a composite veneer. In this article, we’ll explore the. In the. Closing Gaps With Composite.
From theknightsbridgeclinic.uk
Composite Bonding The Knightsbridge Clinic Closing Gaps With Composite Composite material can be used to cover the original tooth completely, in which case it's called a composite veneer. It's used for many dental issues,. That’s where composite bonding comes into play, offering a minimally invasive and effective solution for closing those unwanted. It's also a common treatment for chipped tooth repair. Composite bonding or tooth bonding is a cosmetic. Closing Gaps With Composite.
From leedervilledental.com.au
Closing Gaps With Composite It's also a common treatment for chipped tooth repair. Using a minimally invasive procedure called composite bonding, we were able to close the gap and give him a smile he’s proud to share. That’s where composite bonding comes into play, offering a minimally invasive and effective solution for closing those unwanted. In this article, we’ll explore the. Composite bonding or. Closing Gaps With Composite.
From www.facebook.com
Closing gaps by direct composite... DParacha Dental Closing Gaps With Composite In the case of filling gaps in teeth, the composite is used to extend the tooth slightly to close the diastema. Composite bonding or tooth bonding is a cosmetic dental procedure used to repair chips, cracks, gaps, and other minor imperfections in your teeth. That’s where composite bonding comes into play, offering a minimally invasive and effective solution for closing. Closing Gaps With Composite.
From www.clarencetam.co.nz
Closing Large Gaps between Teeth with Composite Closing Gaps With Composite In this article, we’ll explore the. Composite bonding or tooth bonding is a cosmetic dental procedure used to repair chips, cracks, gaps, and other minor imperfections in your teeth. Composite material can be used to cover the original tooth completely, in which case it's called a composite veneer. That’s where composite bonding comes into play, offering a minimally invasive and. Closing Gaps With Composite.
From www.styleitaliano.org
Diastema managing closing gaps with direct restorations Closing Gaps With Composite Using a minimally invasive procedure called composite bonding, we were able to close the gap and give him a smile he’s proud to share. In this article, we’ll explore the. Composite bonding or tooth bonding is a cosmetic dental procedure used to repair chips, cracks, gaps, and other minor imperfections in your teeth. It's also a common treatment for chipped. Closing Gaps With Composite.
From windsordentists.com.au
Replacing Composite Fillings with Porcelain Veneers Windsor Dentists Closing Gaps With Composite In the case of filling gaps in teeth, the composite is used to extend the tooth slightly to close the diastema. Composite material can be used to cover the original tooth completely, in which case it's called a composite veneer. It's used for many dental issues,. Composite bonding or tooth bonding is a cosmetic dental procedure used to repair chips,. Closing Gaps With Composite.
From www.clarencetam.co.nz
Closing large gaps between teeth with composite resin artistry Closing Gaps With Composite Composite bonding or tooth bonding is a cosmetic dental procedure used to repair chips, cracks, gaps, and other minor imperfections in your teeth. Using a minimally invasive procedure called composite bonding, we were able to close the gap and give him a smile he’s proud to share. That’s where composite bonding comes into play, offering a minimally invasive and effective. Closing Gaps With Composite.
From maisondental.co.uk
Closing Upper & Lower Gaps with Composite Bonding Maison Dental Closing Gaps With Composite Composite material can be used to cover the original tooth completely, in which case it's called a composite veneer. In the case of filling gaps in teeth, the composite is used to extend the tooth slightly to close the diastema. In this article, we’ll explore the. Using a minimally invasive procedure called composite bonding, we were able to close the. Closing Gaps With Composite.
From www.youtube.com
How teeth gap are closed without braces Front tooth gap closing with Closing Gaps With Composite Composite bonding or tooth bonding is a cosmetic dental procedure used to repair chips, cracks, gaps, and other minor imperfections in your teeth. It's also a common treatment for chipped tooth repair. In this article, we’ll explore the. In the case of filling gaps in teeth, the composite is used to extend the tooth slightly to close the diastema. Using. Closing Gaps With Composite.
From www.pinterest.co.uk
Composit bonding carried out to close gaps between front 6 teeth. All Closing Gaps With Composite In this article, we’ll explore the. Using a minimally invasive procedure called composite bonding, we were able to close the gap and give him a smile he’s proud to share. That’s where composite bonding comes into play, offering a minimally invasive and effective solution for closing those unwanted. In the case of filling gaps in teeth, the composite is used. Closing Gaps With Composite.
From dxozgybgz.blob.core.windows.net
Closing Gap Composite Bonding at Phillip Perkins blog Closing Gaps With Composite Composite bonding or tooth bonding is a cosmetic dental procedure used to repair chips, cracks, gaps, and other minor imperfections in your teeth. In this article, we’ll explore the. Composite material can be used to cover the original tooth completely, in which case it's called a composite veneer. That’s where composite bonding comes into play, offering a minimally invasive and. Closing Gaps With Composite.
From maisondental.co.uk
Closing Upper & Lower Gaps with Composite Bonding Maison Dental Closing Gaps With Composite In the case of filling gaps in teeth, the composite is used to extend the tooth slightly to close the diastema. Composite material can be used to cover the original tooth completely, in which case it's called a composite veneer. Composite bonding or tooth bonding is a cosmetic dental procedure used to repair chips, cracks, gaps, and other minor imperfections. Closing Gaps With Composite.
From www.lakeviewdentalfl.com
Composite Veneer Closing Large Gap Lakeview Dental Closing Gaps With Composite Using a minimally invasive procedure called composite bonding, we were able to close the gap and give him a smile he’s proud to share. Composite bonding or tooth bonding is a cosmetic dental procedure used to repair chips, cracks, gaps, and other minor imperfections in your teeth. Composite material can be used to cover the original tooth completely, in which. Closing Gaps With Composite.
From hosnerdental.com
Closing Gaps Gallery Hosner Family Dentistry Closing Gaps With Composite In this article, we’ll explore the. It's also a common treatment for chipped tooth repair. That’s where composite bonding comes into play, offering a minimally invasive and effective solution for closing those unwanted. Composite bonding or tooth bonding is a cosmetic dental procedure used to repair chips, cracks, gaps, and other minor imperfections in your teeth. It's used for many. Closing Gaps With Composite.
From www.elsinoresmile.com
Veneers Before and After Porcelain, Composite, Gaps, Results Closing Gaps With Composite Composite material can be used to cover the original tooth completely, in which case it's called a composite veneer. Using a minimally invasive procedure called composite bonding, we were able to close the gap and give him a smile he’s proud to share. In this article, we’ll explore the. It's used for many dental issues,. That’s where composite bonding comes. Closing Gaps With Composite.
From halamedicalcenter.ae
Gapped Teeth How We Close Gaps Between Teeth? Hala Medical Center Closing Gaps With Composite It's also a common treatment for chipped tooth repair. In the case of filling gaps in teeth, the composite is used to extend the tooth slightly to close the diastema. Composite material can be used to cover the original tooth completely, in which case it's called a composite veneer. It's used for many dental issues,. That’s where composite bonding comes. Closing Gaps With Composite.
From smilestories.co
Composite Bonding To Close A Gap Smile Stories Closing Gaps With Composite Composite bonding or tooth bonding is a cosmetic dental procedure used to repair chips, cracks, gaps, and other minor imperfections in your teeth. In the case of filling gaps in teeth, the composite is used to extend the tooth slightly to close the diastema. In this article, we’ll explore the. Composite material can be used to cover the original tooth. Closing Gaps With Composite.