Tumor On Jugular Vein In Neck . tumors that grow in this area are called glomus jugulare tumors because they form at the top of the jugular vein. Hereditary and acquired risk factors for thrombosis include intravenous drug. jugular bulb (glomus jugulare) — glomus tumors are most common in this region of the jugular vein just below the middle ear. It was first described by. jugular paraganglioma (previously known as glomus jugulare) is a paraganglioma of the head and neck that. a glomus jugulare tumor grows in the temporal bone of the skull, in an area called the jugular foramen. solitary fibrous tumor (sft) is a mesenchymal tumor and commonly arises from pleura. ijv thrombosis is the formation of thrombus located intraluminally in the ijv.
from www.semanticscholar.org
a glomus jugulare tumor grows in the temporal bone of the skull, in an area called the jugular foramen. tumors that grow in this area are called glomus jugulare tumors because they form at the top of the jugular vein. ijv thrombosis is the formation of thrombus located intraluminally in the ijv. Hereditary and acquired risk factors for thrombosis include intravenous drug. jugular bulb (glomus jugulare) — glomus tumors are most common in this region of the jugular vein just below the middle ear. solitary fibrous tumor (sft) is a mesenchymal tumor and commonly arises from pleura. It was first described by. jugular paraganglioma (previously known as glomus jugulare) is a paraganglioma of the head and neck that.
External jugular vein thrombosis secondary to deep tissue neck massage
Tumor On Jugular Vein In Neck jugular paraganglioma (previously known as glomus jugulare) is a paraganglioma of the head and neck that. ijv thrombosis is the formation of thrombus located intraluminally in the ijv. Hereditary and acquired risk factors for thrombosis include intravenous drug. solitary fibrous tumor (sft) is a mesenchymal tumor and commonly arises from pleura. jugular bulb (glomus jugulare) — glomus tumors are most common in this region of the jugular vein just below the middle ear. a glomus jugulare tumor grows in the temporal bone of the skull, in an area called the jugular foramen. tumors that grow in this area are called glomus jugulare tumors because they form at the top of the jugular vein. It was first described by. jugular paraganglioma (previously known as glomus jugulare) is a paraganglioma of the head and neck that.
From www.surgeryjournal.co.uk
The anterior triangle of the neck Surgery Oxford International Edition Tumor On Jugular Vein In Neck Hereditary and acquired risk factors for thrombosis include intravenous drug. jugular bulb (glomus jugulare) — glomus tumors are most common in this region of the jugular vein just below the middle ear. It was first described by. solitary fibrous tumor (sft) is a mesenchymal tumor and commonly arises from pleura. a glomus jugulare tumor grows in the. Tumor On Jugular Vein In Neck.
From www.thepermanentejournal.org
Image Diagnosis Classic External Jugular Vein Aneurysm The Tumor On Jugular Vein In Neck a glomus jugulare tumor grows in the temporal bone of the skull, in an area called the jugular foramen. It was first described by. jugular paraganglioma (previously known as glomus jugulare) is a paraganglioma of the head and neck that. solitary fibrous tumor (sft) is a mesenchymal tumor and commonly arises from pleura. jugular bulb (glomus. Tumor On Jugular Vein In Neck.
From www.semanticscholar.org
External jugular vein thrombosis secondary to deep tissue neck massage Tumor On Jugular Vein In Neck solitary fibrous tumor (sft) is a mesenchymal tumor and commonly arises from pleura. a glomus jugulare tumor grows in the temporal bone of the skull, in an area called the jugular foramen. It was first described by. jugular bulb (glomus jugulare) — glomus tumors are most common in this region of the jugular vein just below the. Tumor On Jugular Vein In Neck.
From www.pinterest.ca
The Jugular Venous Pulse And Hepatojugular Reflux Examinations Of Tumor On Jugular Vein In Neck ijv thrombosis is the formation of thrombus located intraluminally in the ijv. a glomus jugulare tumor grows in the temporal bone of the skull, in an area called the jugular foramen. Hereditary and acquired risk factors for thrombosis include intravenous drug. It was first described by. jugular bulb (glomus jugulare) — glomus tumors are most common in. Tumor On Jugular Vein In Neck.
From www.cureus.com
Cureus Internal Jugular Vein Thrombosis Unusual Diagnosis of a Tumor On Jugular Vein In Neck ijv thrombosis is the formation of thrombus located intraluminally in the ijv. solitary fibrous tumor (sft) is a mesenchymal tumor and commonly arises from pleura. tumors that grow in this area are called glomus jugulare tumors because they form at the top of the jugular vein. Hereditary and acquired risk factors for thrombosis include intravenous drug. . Tumor On Jugular Vein In Neck.
From www.ctisus.com
Jugular Vein Thrombosis and Neck Abscess and Septic Emboli Neuro Case Tumor On Jugular Vein In Neck Hereditary and acquired risk factors for thrombosis include intravenous drug. a glomus jugulare tumor grows in the temporal bone of the skull, in an area called the jugular foramen. jugular paraganglioma (previously known as glomus jugulare) is a paraganglioma of the head and neck that. solitary fibrous tumor (sft) is a mesenchymal tumor and commonly arises from. Tumor On Jugular Vein In Neck.
From www.researchgate.net
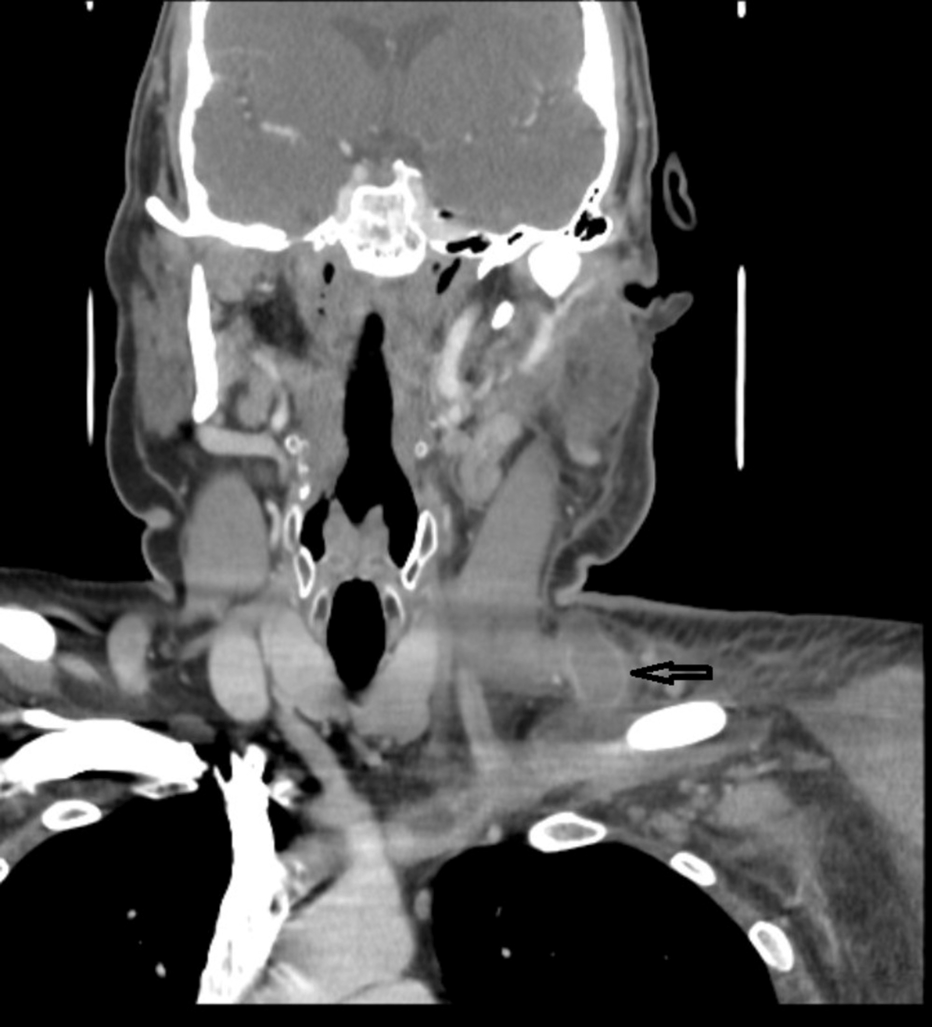
CTA of the neck revealing thrombosis of the right IJV (arrow); (A Tumor On Jugular Vein In Neck ijv thrombosis is the formation of thrombus located intraluminally in the ijv. tumors that grow in this area are called glomus jugulare tumors because they form at the top of the jugular vein. jugular bulb (glomus jugulare) — glomus tumors are most common in this region of the jugular vein just below the middle ear. jugular. Tumor On Jugular Vein In Neck.
From www.researchgate.net
Internal Jugular Vein Thrombosis? Tumor On Jugular Vein In Neck jugular bulb (glomus jugulare) — glomus tumors are most common in this region of the jugular vein just below the middle ear. ijv thrombosis is the formation of thrombus located intraluminally in the ijv. solitary fibrous tumor (sft) is a mesenchymal tumor and commonly arises from pleura. It was first described by. a glomus jugulare tumor. Tumor On Jugular Vein In Neck.
From i-mri.org
Evaluation of the Cause of Internal Jugular Vein Obstruction on Head Tumor On Jugular Vein In Neck ijv thrombosis is the formation of thrombus located intraluminally in the ijv. jugular paraganglioma (previously known as glomus jugulare) is a paraganglioma of the head and neck that. Hereditary and acquired risk factors for thrombosis include intravenous drug. jugular bulb (glomus jugulare) — glomus tumors are most common in this region of the jugular vein just below. Tumor On Jugular Vein In Neck.
From www.researchgate.net
Neck ultrasound showing left internal jugular vein thrombosis (red Tumor On Jugular Vein In Neck jugular bulb (glomus jugulare) — glomus tumors are most common in this region of the jugular vein just below the middle ear. solitary fibrous tumor (sft) is a mesenchymal tumor and commonly arises from pleura. jugular paraganglioma (previously known as glomus jugulare) is a paraganglioma of the head and neck that. Hereditary and acquired risk factors for. Tumor On Jugular Vein In Neck.
From journals.sagepub.com
Sonography of Isolated Internal Jugular Vein Impingement and Thrombosis Tumor On Jugular Vein In Neck jugular bulb (glomus jugulare) — glomus tumors are most common in this region of the jugular vein just below the middle ear. ijv thrombosis is the formation of thrombus located intraluminally in the ijv. tumors that grow in this area are called glomus jugulare tumors because they form at the top of the jugular vein. jugular. Tumor On Jugular Vein In Neck.
From americanjs.com
Glomus Jugulare Tumor Presenting as Deep Vein Thrombosis American Tumor On Jugular Vein In Neck ijv thrombosis is the formation of thrombus located intraluminally in the ijv. jugular paraganglioma (previously known as glomus jugulare) is a paraganglioma of the head and neck that. tumors that grow in this area are called glomus jugulare tumors because they form at the top of the jugular vein. Hereditary and acquired risk factors for thrombosis include. Tumor On Jugular Vein In Neck.
From www.annsaudimed.net
Rare leftsided presentation of internal jugular vein ectasia in an Tumor On Jugular Vein In Neck jugular paraganglioma (previously known as glomus jugulare) is a paraganglioma of the head and neck that. tumors that grow in this area are called glomus jugulare tumors because they form at the top of the jugular vein. It was first described by. Hereditary and acquired risk factors for thrombosis include intravenous drug. solitary fibrous tumor (sft) is. Tumor On Jugular Vein In Neck.
From www.researchgate.net
Internal jugular vein thrombosis. (A) Neck resonance Tumor On Jugular Vein In Neck jugular bulb (glomus jugulare) — glomus tumors are most common in this region of the jugular vein just below the middle ear. a glomus jugulare tumor grows in the temporal bone of the skull, in an area called the jugular foramen. Hereditary and acquired risk factors for thrombosis include intravenous drug. jugular paraganglioma (previously known as glomus. Tumor On Jugular Vein In Neck.
From mavink.com
Carotid Artery Lump In Neck Tumor On Jugular Vein In Neck a glomus jugulare tumor grows in the temporal bone of the skull, in an area called the jugular foramen. jugular bulb (glomus jugulare) — glomus tumors are most common in this region of the jugular vein just below the middle ear. jugular paraganglioma (previously known as glomus jugulare) is a paraganglioma of the head and neck that.. Tumor On Jugular Vein In Neck.
From www.ajronline.org
Successful Interventional Treatment of Acute Internal Jugular Vein Tumor On Jugular Vein In Neck ijv thrombosis is the formation of thrombus located intraluminally in the ijv. tumors that grow in this area are called glomus jugulare tumors because they form at the top of the jugular vein. jugular bulb (glomus jugulare) — glomus tumors are most common in this region of the jugular vein just below the middle ear. jugular. Tumor On Jugular Vein In Neck.
From www.amjmed.com
Follow the Lead Internal Jugular Vein Thrombosis The American Tumor On Jugular Vein In Neck a glomus jugulare tumor grows in the temporal bone of the skull, in an area called the jugular foramen. ijv thrombosis is the formation of thrombus located intraluminally in the ijv. solitary fibrous tumor (sft) is a mesenchymal tumor and commonly arises from pleura. jugular paraganglioma (previously known as glomus jugulare) is a paraganglioma of the. Tumor On Jugular Vein In Neck.
From www.jvascsurgcases.org
External jugular vein thrombosis secondary to deep tissue neck massage Tumor On Jugular Vein In Neck tumors that grow in this area are called glomus jugulare tumors because they form at the top of the jugular vein. ijv thrombosis is the formation of thrombus located intraluminally in the ijv. It was first described by. Hereditary and acquired risk factors for thrombosis include intravenous drug. jugular paraganglioma (previously known as glomus jugulare) is a. Tumor On Jugular Vein In Neck.
From ar.iiarjournals.org
Resection for Internal Jugular Vein Thrombosis and Cervical Lymph Nodes Tumor On Jugular Vein In Neck tumors that grow in this area are called glomus jugulare tumors because they form at the top of the jugular vein. ijv thrombosis is the formation of thrombus located intraluminally in the ijv. a glomus jugulare tumor grows in the temporal bone of the skull, in an area called the jugular foramen. jugular paraganglioma (previously known. Tumor On Jugular Vein In Neck.
From journals.sagepub.com
Sonography of Isolated Internal Jugular Vein Impingement and Thrombosis Tumor On Jugular Vein In Neck ijv thrombosis is the formation of thrombus located intraluminally in the ijv. jugular bulb (glomus jugulare) — glomus tumors are most common in this region of the jugular vein just below the middle ear. Hereditary and acquired risk factors for thrombosis include intravenous drug. solitary fibrous tumor (sft) is a mesenchymal tumor and commonly arises from pleura.. Tumor On Jugular Vein In Neck.
From www.medicalnewstoday.com
Jugular vein distention (JVD) Causes, risk factors, and diagnosis Tumor On Jugular Vein In Neck It was first described by. tumors that grow in this area are called glomus jugulare tumors because they form at the top of the jugular vein. jugular bulb (glomus jugulare) — glomus tumors are most common in this region of the jugular vein just below the middle ear. Hereditary and acquired risk factors for thrombosis include intravenous drug.. Tumor On Jugular Vein In Neck.
From www.researchgate.net
Massive internal jugular vein tumor thrombus derived from squamous cell Tumor On Jugular Vein In Neck solitary fibrous tumor (sft) is a mesenchymal tumor and commonly arises from pleura. a glomus jugulare tumor grows in the temporal bone of the skull, in an area called the jugular foramen. ijv thrombosis is the formation of thrombus located intraluminally in the ijv. jugular paraganglioma (previously known as glomus jugulare) is a paraganglioma of the. Tumor On Jugular Vein In Neck.
From www.annalsofvascularsurgery.com
Internal Jugular Vein Thrombosis due to Chronic Kidney Disease A Case Tumor On Jugular Vein In Neck ijv thrombosis is the formation of thrombus located intraluminally in the ijv. Hereditary and acquired risk factors for thrombosis include intravenous drug. tumors that grow in this area are called glomus jugulare tumors because they form at the top of the jugular vein. jugular paraganglioma (previously known as glomus jugulare) is a paraganglioma of the head and. Tumor On Jugular Vein In Neck.
From www.semanticscholar.org
Figure 1 from Nonglomic tumors of the jugular foramen differential Tumor On Jugular Vein In Neck solitary fibrous tumor (sft) is a mesenchymal tumor and commonly arises from pleura. ijv thrombosis is the formation of thrombus located intraluminally in the ijv. jugular bulb (glomus jugulare) — glomus tumors are most common in this region of the jugular vein just below the middle ear. Hereditary and acquired risk factors for thrombosis include intravenous drug.. Tumor On Jugular Vein In Neck.
From www.researchgate.net
On the superior left, glomus tumor of the right jugular foramen seen on Tumor On Jugular Vein In Neck tumors that grow in this area are called glomus jugulare tumors because they form at the top of the jugular vein. jugular paraganglioma (previously known as glomus jugulare) is a paraganglioma of the head and neck that. Hereditary and acquired risk factors for thrombosis include intravenous drug. solitary fibrous tumor (sft) is a mesenchymal tumor and commonly. Tumor On Jugular Vein In Neck.
From www.semanticscholar.org
Figure 3 from External jugular vein thrombosis secondary to deep tissue Tumor On Jugular Vein In Neck jugular bulb (glomus jugulare) — glomus tumors are most common in this region of the jugular vein just below the middle ear. ijv thrombosis is the formation of thrombus located intraluminally in the ijv. It was first described by. jugular paraganglioma (previously known as glomus jugulare) is a paraganglioma of the head and neck that. a. Tumor On Jugular Vein In Neck.
From www.researchgate.net
Jugular glomus tumor. A, Left vertebral arteriogram, anteroposterior Tumor On Jugular Vein In Neck a glomus jugulare tumor grows in the temporal bone of the skull, in an area called the jugular foramen. solitary fibrous tumor (sft) is a mesenchymal tumor and commonly arises from pleura. jugular paraganglioma (previously known as glomus jugulare) is a paraganglioma of the head and neck that. jugular bulb (glomus jugulare) — glomus tumors are. Tumor On Jugular Vein In Neck.
From www.cureus.com
Cureus Lemierre’s Syndrome in the External Jugular Vein Precipitated Tumor On Jugular Vein In Neck ijv thrombosis is the formation of thrombus located intraluminally in the ijv. tumors that grow in this area are called glomus jugulare tumors because they form at the top of the jugular vein. jugular paraganglioma (previously known as glomus jugulare) is a paraganglioma of the head and neck that. solitary fibrous tumor (sft) is a mesenchymal. Tumor On Jugular Vein In Neck.
From regenexx.com
Jugular Vein Compression Due to the Neck and CCI Regenexx Tumor On Jugular Vein In Neck jugular paraganglioma (previously known as glomus jugulare) is a paraganglioma of the head and neck that. jugular bulb (glomus jugulare) — glomus tumors are most common in this region of the jugular vein just below the middle ear. a glomus jugulare tumor grows in the temporal bone of the skull, in an area called the jugular foramen.. Tumor On Jugular Vein In Neck.
From www.researchgate.net
CT images of internal jugular vein thrombosis. Postcontrast neck CT Tumor On Jugular Vein In Neck tumors that grow in this area are called glomus jugulare tumors because they form at the top of the jugular vein. ijv thrombosis is the formation of thrombus located intraluminally in the ijv. jugular paraganglioma (previously known as glomus jugulare) is a paraganglioma of the head and neck that. a glomus jugulare tumor grows in the. Tumor On Jugular Vein In Neck.
From radiopaedia.org
Image Tumor On Jugular Vein In Neck It was first described by. jugular bulb (glomus jugulare) — glomus tumors are most common in this region of the jugular vein just below the middle ear. jugular paraganglioma (previously known as glomus jugulare) is a paraganglioma of the head and neck that. solitary fibrous tumor (sft) is a mesenchymal tumor and commonly arises from pleura. . Tumor On Jugular Vein In Neck.
From www.semanticscholar.org
Figure 1 from Nonglomic tumors of the jugular foramen differential Tumor On Jugular Vein In Neck Hereditary and acquired risk factors for thrombosis include intravenous drug. It was first described by. tumors that grow in this area are called glomus jugulare tumors because they form at the top of the jugular vein. solitary fibrous tumor (sft) is a mesenchymal tumor and commonly arises from pleura. jugular paraganglioma (previously known as glomus jugulare) is. Tumor On Jugular Vein In Neck.
From www.alamy.com
A textbook of clinical anatomy for students and practitioners . Fig Tumor On Jugular Vein In Neck solitary fibrous tumor (sft) is a mesenchymal tumor and commonly arises from pleura. tumors that grow in this area are called glomus jugulare tumors because they form at the top of the jugular vein. It was first described by. a glomus jugulare tumor grows in the temporal bone of the skull, in an area called the jugular. Tumor On Jugular Vein In Neck.
From regenexx.com
Jugular Vein Compression Due to the Neck and CCI Regenexx Tumor On Jugular Vein In Neck ijv thrombosis is the formation of thrombus located intraluminally in the ijv. a glomus jugulare tumor grows in the temporal bone of the skull, in an area called the jugular foramen. tumors that grow in this area are called glomus jugulare tumors because they form at the top of the jugular vein. jugular bulb (glomus jugulare). Tumor On Jugular Vein In Neck.
From brunofuga.adv.br
Jugular Veins Anatomy And Function, 45 OFF Tumor On Jugular Vein In Neck jugular bulb (glomus jugulare) — glomus tumors are most common in this region of the jugular vein just below the middle ear. jugular paraganglioma (previously known as glomus jugulare) is a paraganglioma of the head and neck that. It was first described by. tumors that grow in this area are called glomus jugulare tumors because they form. Tumor On Jugular Vein In Neck.