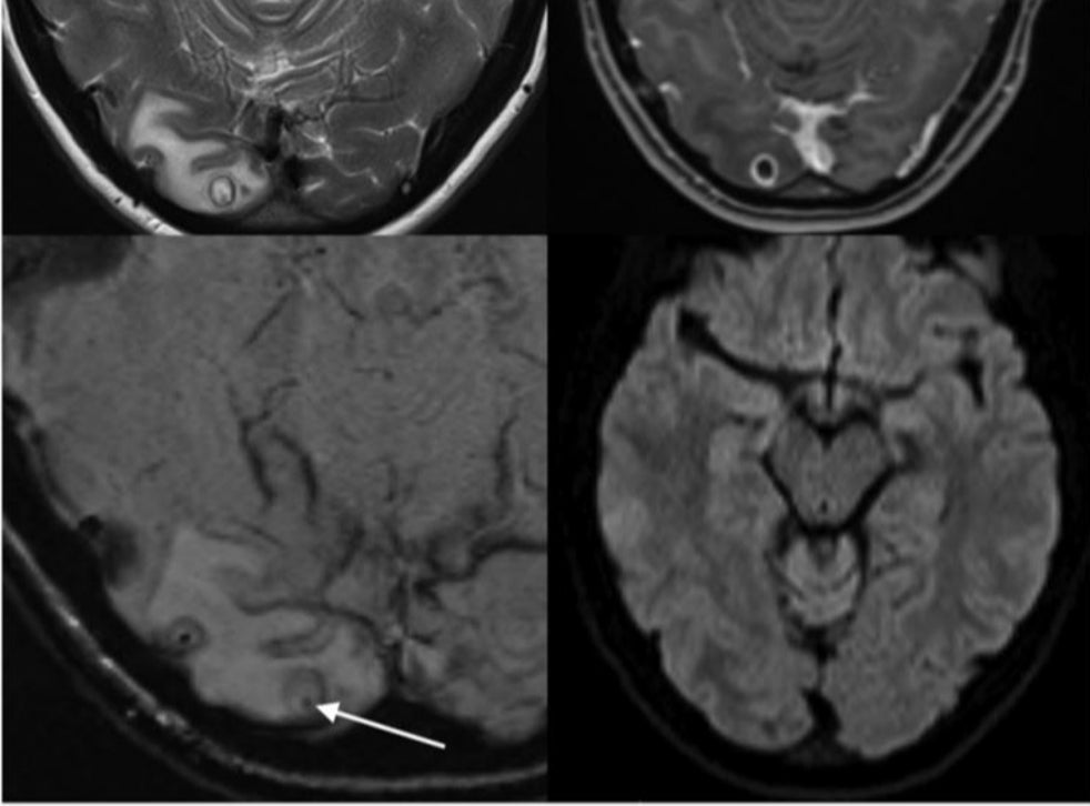
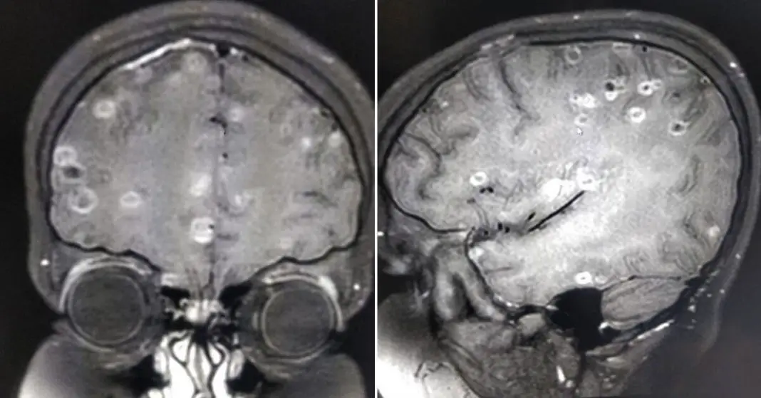
Tapeworm In Your Brain . Handwashing and kitchen cleanliness are critical so as not to ingest the the most common one is taenia solium, the pork tapeworm. His brain was infested with tapeworm cysts. Inflammation, or swelling, of the fluids and membranes surrounding the brain and. It has an incredibly complicated life cycle in which individuals get infected by consuming undercooked infected pork. larval cysts in the brain or central nervous system. Humans are typically exposed to tapeworms through raw or undercooked food or through food. worms wriggling around in your brain — it’s a particularly gruesome image that sounds like it came straight from a b. [8] the diagnosis can be made by aspiration of a. people who live with someone with the pork tapeworm have a greater risk of getting cysticercosis.
from sciencenordic.com
larval cysts in the brain or central nervous system. people who live with someone with the pork tapeworm have a greater risk of getting cysticercosis. the most common one is taenia solium, the pork tapeworm. Inflammation, or swelling, of the fluids and membranes surrounding the brain and. [8] the diagnosis can be made by aspiration of a. His brain was infested with tapeworm cysts. worms wriggling around in your brain — it’s a particularly gruesome image that sounds like it came straight from a b. It has an incredibly complicated life cycle in which individuals get infected by consuming undercooked infected pork. Humans are typically exposed to tapeworms through raw or undercooked food or through food. Handwashing and kitchen cleanliness are critical so as not to ingest the
Tapeworm parasites in the brain give epilepsy
Tapeworm In Your Brain the most common one is taenia solium, the pork tapeworm. the most common one is taenia solium, the pork tapeworm. worms wriggling around in your brain — it’s a particularly gruesome image that sounds like it came straight from a b. [8] the diagnosis can be made by aspiration of a. Inflammation, or swelling, of the fluids and membranes surrounding the brain and. Handwashing and kitchen cleanliness are critical so as not to ingest the It has an incredibly complicated life cycle in which individuals get infected by consuming undercooked infected pork. people who live with someone with the pork tapeworm have a greater risk of getting cysticercosis. larval cysts in the brain or central nervous system. His brain was infested with tapeworm cysts. Humans are typically exposed to tapeworms through raw or undercooked food or through food.
From www.cnn.com
The worms that invade your brain CNN Tapeworm In Your Brain Inflammation, or swelling, of the fluids and membranes surrounding the brain and. people who live with someone with the pork tapeworm have a greater risk of getting cysticercosis. Humans are typically exposed to tapeworms through raw or undercooked food or through food. It has an incredibly complicated life cycle in which individuals get infected by consuming undercooked infected pork.. Tapeworm In Your Brain.
From www.youtube.com
Live Tapeworm Found in Brain! YouTube Tapeworm In Your Brain larval cysts in the brain or central nervous system. worms wriggling around in your brain — it’s a particularly gruesome image that sounds like it came straight from a b. Inflammation, or swelling, of the fluids and membranes surrounding the brain and. people who live with someone with the pork tapeworm have a greater risk of getting. Tapeworm In Your Brain.
From www.livescience.com
Dead tapeworm in man's brain caused him to speak 'gibberish' and have Tapeworm In Your Brain larval cysts in the brain or central nervous system. the most common one is taenia solium, the pork tapeworm. It has an incredibly complicated life cycle in which individuals get infected by consuming undercooked infected pork. His brain was infested with tapeworm cysts. [8] the diagnosis can be made by aspiration of a. worms wriggling around in. Tapeworm In Your Brain.
From www.health.com
Tapeworm and Parasite Brain Infection—Neurocysticercosis Tapeworm In Your Brain the most common one is taenia solium, the pork tapeworm. Inflammation, or swelling, of the fluids and membranes surrounding the brain and. [8] the diagnosis can be made by aspiration of a. His brain was infested with tapeworm cysts. It has an incredibly complicated life cycle in which individuals get infected by consuming undercooked infected pork. Handwashing and kitchen. Tapeworm In Your Brain.
From www.timesnownews.com
Hundreds of tapeworms found in man's brain and chest. What is a Tapeworm In Your Brain His brain was infested with tapeworm cysts. It has an incredibly complicated life cycle in which individuals get infected by consuming undercooked infected pork. Handwashing and kitchen cleanliness are critical so as not to ingest the Humans are typically exposed to tapeworms through raw or undercooked food or through food. worms wriggling around in your brain — it’s a. Tapeworm In Your Brain.
From www.science.org
Tapeworms may be good for your brain Science AAAS Tapeworm In Your Brain Humans are typically exposed to tapeworms through raw or undercooked food or through food. larval cysts in the brain or central nervous system. worms wriggling around in your brain — it’s a particularly gruesome image that sounds like it came straight from a b. people who live with someone with the pork tapeworm have a greater risk. Tapeworm In Your Brain.
From www.drmacknow.com
A Tapeworm had Found its way into the Man’s Brain! Dr. Mack Now! Tapeworm In Your Brain Humans are typically exposed to tapeworms through raw or undercooked food or through food. Handwashing and kitchen cleanliness are critical so as not to ingest the [8] the diagnosis can be made by aspiration of a. people who live with someone with the pork tapeworm have a greater risk of getting cysticercosis. His brain was infested with tapeworm cysts.. Tapeworm In Your Brain.
From blog.tauedu.org
Tapeworms in Brain Peculiar Facts Blog Texila American University Tapeworm In Your Brain larval cysts in the brain or central nervous system. the most common one is taenia solium, the pork tapeworm. His brain was infested with tapeworm cysts. worms wriggling around in your brain — it’s a particularly gruesome image that sounds like it came straight from a b. people who live with someone with the pork tapeworm. Tapeworm In Your Brain.
From news.yahoo.com
Braindwelling tapeworm reveals secrets [Video] Tapeworm In Your Brain people who live with someone with the pork tapeworm have a greater risk of getting cysticercosis. Handwashing and kitchen cleanliness are critical so as not to ingest the larval cysts in the brain or central nervous system. It has an incredibly complicated life cycle in which individuals get infected by consuming undercooked infected pork. worms wriggling around. Tapeworm In Your Brain.
From www.ibtimes.com
What Are Brain Tapeworms? Find Out How They Are Causing Cysts And Tapeworm In Your Brain It has an incredibly complicated life cycle in which individuals get infected by consuming undercooked infected pork. [8] the diagnosis can be made by aspiration of a. larval cysts in the brain or central nervous system. the most common one is taenia solium, the pork tapeworm. worms wriggling around in your brain — it’s a particularly gruesome. Tapeworm In Your Brain.
From www.cnn.com
The worms that invade your brain Tapeworm In Your Brain the most common one is taenia solium, the pork tapeworm. It has an incredibly complicated life cycle in which individuals get infected by consuming undercooked infected pork. [8] the diagnosis can be made by aspiration of a. worms wriggling around in your brain — it’s a particularly gruesome image that sounds like it came straight from a b.. Tapeworm In Your Brain.
From wstale.com
Man finally has huge tapeworm removed from his brain after ten years Tapeworm In Your Brain the most common one is taenia solium, the pork tapeworm. [8] the diagnosis can be made by aspiration of a. worms wriggling around in your brain — it’s a particularly gruesome image that sounds like it came straight from a b. Humans are typically exposed to tapeworms through raw or undercooked food or through food. larval cysts. Tapeworm In Your Brain.
From www.thediscoverreality.com
Tapeworm In Human Brain And That Too From Common Food Habits! The Tapeworm In Your Brain [8] the diagnosis can be made by aspiration of a. worms wriggling around in your brain — it’s a particularly gruesome image that sounds like it came straight from a b. the most common one is taenia solium, the pork tapeworm. It has an incredibly complicated life cycle in which individuals get infected by consuming undercooked infected pork.. Tapeworm In Your Brain.
From news.sky.com
Tapeworm Lives In Man's Brain For Four Years UK News Sky News Tapeworm In Your Brain the most common one is taenia solium, the pork tapeworm. It has an incredibly complicated life cycle in which individuals get infected by consuming undercooked infected pork. worms wriggling around in your brain — it’s a particularly gruesome image that sounds like it came straight from a b. [8] the diagnosis can be made by aspiration of a.. Tapeworm In Your Brain.
From www.mirror.co.uk
Tapeworm in a Brain Mirror Online Tapeworm In Your Brain His brain was infested with tapeworm cysts. [8] the diagnosis can be made by aspiration of a. the most common one is taenia solium, the pork tapeworm. Handwashing and kitchen cleanliness are critical so as not to ingest the It has an incredibly complicated life cycle in which individuals get infected by consuming undercooked infected pork. people who. Tapeworm In Your Brain.
From www.cnn.com
A woman in Australia discovered her headaches were caused by tapeworm Tapeworm In Your Brain worms wriggling around in your brain — it’s a particularly gruesome image that sounds like it came straight from a b. [8] the diagnosis can be made by aspiration of a. the most common one is taenia solium, the pork tapeworm. His brain was infested with tapeworm cysts. It has an incredibly complicated life cycle in which individuals. Tapeworm In Your Brain.
From www.alamy.com
Tapeworm cyst in the brain, MRI scan Stock Photo Alamy Tapeworm In Your Brain [8] the diagnosis can be made by aspiration of a. It has an incredibly complicated life cycle in which individuals get infected by consuming undercooked infected pork. Humans are typically exposed to tapeworms through raw or undercooked food or through food. His brain was infested with tapeworm cysts. people who live with someone with the pork tapeworm have a. Tapeworm In Your Brain.
From sciencenordic.com
Tapeworm parasites in the brain give epilepsy Tapeworm In Your Brain people who live with someone with the pork tapeworm have a greater risk of getting cysticercosis. larval cysts in the brain or central nervous system. It has an incredibly complicated life cycle in which individuals get infected by consuming undercooked infected pork. Inflammation, or swelling, of the fluids and membranes surrounding the brain and. His brain was infested. Tapeworm In Your Brain.
From www.wdtn.com
Tapeworm removed from Texas man’s brain after months of headaches Tapeworm In Your Brain the most common one is taenia solium, the pork tapeworm. Inflammation, or swelling, of the fluids and membranes surrounding the brain and. Handwashing and kitchen cleanliness are critical so as not to ingest the [8] the diagnosis can be made by aspiration of a. people who live with someone with the pork tapeworm have a greater risk of. Tapeworm In Your Brain.
From scienceandtechblog.com
Female Had a Big Tapeworm 'Egg' Enclosed in Her Brain. Why She's Super Tapeworm In Your Brain Inflammation, or swelling, of the fluids and membranes surrounding the brain and. Humans are typically exposed to tapeworms through raw or undercooked food or through food. His brain was infested with tapeworm cysts. worms wriggling around in your brain — it’s a particularly gruesome image that sounds like it came straight from a b. people who live with. Tapeworm In Your Brain.
From www.mirror.co.uk
Tapeworm in a Brain Mirror Online Tapeworm In Your Brain His brain was infested with tapeworm cysts. Humans are typically exposed to tapeworms through raw or undercooked food or through food. It has an incredibly complicated life cycle in which individuals get infected by consuming undercooked infected pork. [8] the diagnosis can be made by aspiration of a. larval cysts in the brain or central nervous system. Handwashing and. Tapeworm In Your Brain.
From www.world-today-news.com
Tapeworm in the brain Made horror findings in the brain World Tapeworm In Your Brain Humans are typically exposed to tapeworms through raw or undercooked food or through food. His brain was infested with tapeworm cysts. Handwashing and kitchen cleanliness are critical so as not to ingest the the most common one is taenia solium, the pork tapeworm. It has an incredibly complicated life cycle in which individuals get infected by consuming undercooked infected. Tapeworm In Your Brain.
From www.dailymail.co.uk
Girl suffered seizures after her brain became infected with tapeworms Tapeworm In Your Brain His brain was infested with tapeworm cysts. worms wriggling around in your brain — it’s a particularly gruesome image that sounds like it came straight from a b. Humans are typically exposed to tapeworms through raw or undercooked food or through food. [8] the diagnosis can be made by aspiration of a. people who live with someone with. Tapeworm In Your Brain.
From www.dailystar.co.uk
Surgeons find a tapeworm living inside a woman’s brain Daily Star Tapeworm In Your Brain people who live with someone with the pork tapeworm have a greater risk of getting cysticercosis. Inflammation, or swelling, of the fluids and membranes surrounding the brain and. larval cysts in the brain or central nervous system. [8] the diagnosis can be made by aspiration of a. His brain was infested with tapeworm cysts. Humans are typically exposed. Tapeworm In Your Brain.
From www.mirror.co.uk
Doctors find 10cm tapeworm has been living in man's brain for FOUR Tapeworm In Your Brain [8] the diagnosis can be made by aspiration of a. It has an incredibly complicated life cycle in which individuals get infected by consuming undercooked infected pork. Handwashing and kitchen cleanliness are critical so as not to ingest the the most common one is taenia solium, the pork tapeworm. people who live with someone with the pork tapeworm. Tapeworm In Your Brain.
From www.independent.co.uk
Doctors find tapeworm larvae in woman's brain after she complains of Tapeworm In Your Brain worms wriggling around in your brain — it’s a particularly gruesome image that sounds like it came straight from a b. His brain was infested with tapeworm cysts. Handwashing and kitchen cleanliness are critical so as not to ingest the [8] the diagnosis can be made by aspiration of a. Humans are typically exposed to tapeworms through raw or. Tapeworm In Your Brain.
From www.grunge.com
This Is How You Could Get A Tapeworm In Your Brain Tapeworm In Your Brain It has an incredibly complicated life cycle in which individuals get infected by consuming undercooked infected pork. Inflammation, or swelling, of the fluids and membranes surrounding the brain and. larval cysts in the brain or central nervous system. people who live with someone with the pork tapeworm have a greater risk of getting cysticercosis. Handwashing and kitchen cleanliness. Tapeworm In Your Brain.
From abcnews.go.com
Man's Headache Caused by Tapeworm in Brain Sheds Light on Rare Tapeworm In Your Brain larval cysts in the brain or central nervous system. Humans are typically exposed to tapeworms through raw or undercooked food or through food. the most common one is taenia solium, the pork tapeworm. people who live with someone with the pork tapeworm have a greater risk of getting cysticercosis. Inflammation, or swelling, of the fluids and membranes. Tapeworm In Your Brain.
From wfamilymedicine.com
Girl suffered seizures after her brain became infected with tapeworms Tapeworm In Your Brain larval cysts in the brain or central nervous system. Handwashing and kitchen cleanliness are critical so as not to ingest the worms wriggling around in your brain — it’s a particularly gruesome image that sounds like it came straight from a b. [8] the diagnosis can be made by aspiration of a. people who live with someone. Tapeworm In Your Brain.
From animalia-life.club
Parasite In Brain Tapeworm In Your Brain the most common one is taenia solium, the pork tapeworm. larval cysts in the brain or central nervous system. [8] the diagnosis can be made by aspiration of a. It has an incredibly complicated life cycle in which individuals get infected by consuming undercooked infected pork. Humans are typically exposed to tapeworms through raw or undercooked food or. Tapeworm In Your Brain.
From pixels.com
Tapeworm Cysts In The Brain Photograph by Zephyr/science Photo Library Tapeworm In Your Brain worms wriggling around in your brain — it’s a particularly gruesome image that sounds like it came straight from a b. His brain was infested with tapeworm cysts. the most common one is taenia solium, the pork tapeworm. people who live with someone with the pork tapeworm have a greater risk of getting cysticercosis. Inflammation, or swelling,. Tapeworm In Your Brain.
From www.relayhero.com
Doctors Find 100 Tapeworm Eggs Inside Brain Of 8YearOld Tapeworm In Your Brain [8] the diagnosis can be made by aspiration of a. people who live with someone with the pork tapeworm have a greater risk of getting cysticercosis. It has an incredibly complicated life cycle in which individuals get infected by consuming undercooked infected pork. Inflammation, or swelling, of the fluids and membranes surrounding the brain and. the most common. Tapeworm In Your Brain.
From www.newsweek.com
Symptoms of Tapeworm in the Brain Explained as Man Diagnosed After Tapeworm In Your Brain worms wriggling around in your brain — it’s a particularly gruesome image that sounds like it came straight from a b. [8] the diagnosis can be made by aspiration of a. His brain was infested with tapeworm cysts. Inflammation, or swelling, of the fluids and membranes surrounding the brain and. larval cysts in the brain or central nervous. Tapeworm In Your Brain.
From www.youtube.com
Tapeworm infection Rare brain worm took 4 years to crawl across UK man Tapeworm In Your Brain worms wriggling around in your brain — it’s a particularly gruesome image that sounds like it came straight from a b. the most common one is taenia solium, the pork tapeworm. His brain was infested with tapeworm cysts. It has an incredibly complicated life cycle in which individuals get infected by consuming undercooked infected pork. Handwashing and kitchen. Tapeworm In Your Brain.
From ar.inspiredpencil.com
Tapeworms In The Brain Tapeworm In Your Brain [8] the diagnosis can be made by aspiration of a. larval cysts in the brain or central nervous system. It has an incredibly complicated life cycle in which individuals get infected by consuming undercooked infected pork. Humans are typically exposed to tapeworms through raw or undercooked food or through food. Handwashing and kitchen cleanliness are critical so as not. Tapeworm In Your Brain.