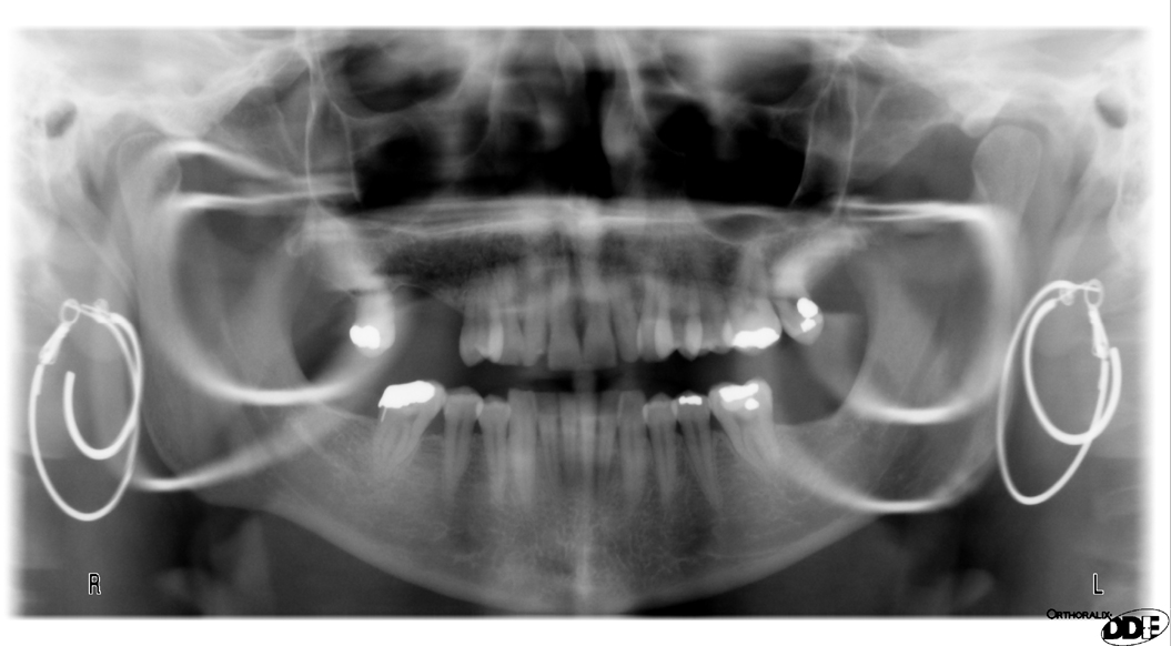
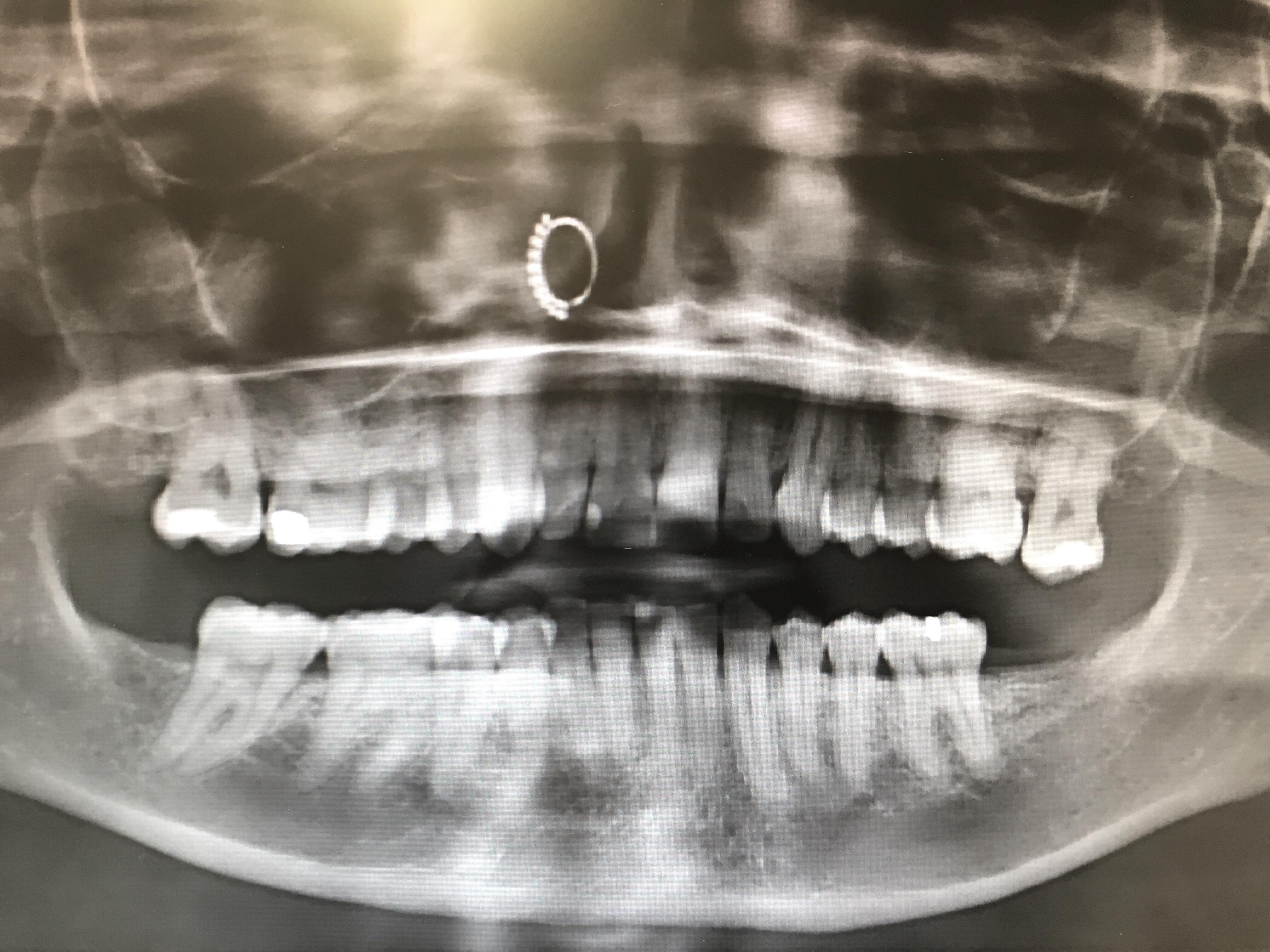
Nose Ring Dental X Ray . For intra oral ones then they can be left in. However its up to the clinician to. As for record keeping, a dentist may. The nose ring will appear on the xray in an area that can block a possible tooth image. For extra oral they ideally should be taken out but. Contact us for costs and all types of x.
from www.urbanbodyjewelry.com
The nose ring will appear on the xray in an area that can block a possible tooth image. However its up to the clinician to. Contact us for costs and all types of x. For extra oral they ideally should be taken out but. As for record keeping, a dentist may. For intra oral ones then they can be left in.
8 Types of Nose Rings and How They Can Enhance Your Style
Nose Ring Dental X Ray Contact us for costs and all types of x. For extra oral they ideally should be taken out but. As for record keeping, a dentist may. However its up to the clinician to. For intra oral ones then they can be left in. Contact us for costs and all types of x. The nose ring will appear on the xray in an area that can block a possible tooth image.
From www.reddit.com
You can see my nose ring in my dental xray. r/mildlyinteresting Nose Ring Dental X Ray For intra oral ones then they can be left in. As for record keeping, a dentist may. However its up to the clinician to. Contact us for costs and all types of x. For extra oral they ideally should be taken out but. The nose ring will appear on the xray in an area that can block a possible tooth. Nose Ring Dental X Ray.
From www.reddit.com
got my first xray with all my piercings in taken at the orthodontist Nose Ring Dental X Ray However its up to the clinician to. As for record keeping, a dentist may. Contact us for costs and all types of x. For extra oral they ideally should be taken out but. For intra oral ones then they can be left in. The nose ring will appear on the xray in an area that can block a possible tooth. Nose Ring Dental X Ray.
From blog.yfn.com
Guide to the Ring Nose Piercing Nose Ring Dental X Ray For intra oral ones then they can be left in. As for record keeping, a dentist may. However its up to the clinician to. The nose ring will appear on the xray in an area that can block a possible tooth image. Contact us for costs and all types of x. For extra oral they ideally should be taken out. Nose Ring Dental X Ray.
From www.reddit.com
Got an X ray at the dentist and couldn’t take out my nose ring, so now Nose Ring Dental X Ray However its up to the clinician to. The nose ring will appear on the xray in an area that can block a possible tooth image. For intra oral ones then they can be left in. As for record keeping, a dentist may. For extra oral they ideally should be taken out but. Contact us for costs and all types of. Nose Ring Dental X Ray.
From www.reddit.com
The way my nose ring and lip ring show up in my dental Xrays r Nose Ring Dental X Ray For intra oral ones then they can be left in. However its up to the clinician to. The nose ring will appear on the xray in an area that can block a possible tooth image. As for record keeping, a dentist may. For extra oral they ideally should be taken out but. Contact us for costs and all types of. Nose Ring Dental X Ray.
From ayiemmo.com
Silver Nose Rings Ayiemmo Nose Ring Dental X Ray The nose ring will appear on the xray in an area that can block a possible tooth image. For intra oral ones then they can be left in. As for record keeping, a dentist may. Contact us for costs and all types of x. However its up to the clinician to. For extra oral they ideally should be taken out. Nose Ring Dental X Ray.
From www.pierceduniverse.com
Nose Rings Pierced Universe Nose Ring Dental X Ray Contact us for costs and all types of x. As for record keeping, a dentist may. For extra oral they ideally should be taken out but. The nose ring will appear on the xray in an area that can block a possible tooth image. However its up to the clinician to. For intra oral ones then they can be left. Nose Ring Dental X Ray.
From www.joom.com
Satın alın Rings ClipOn Nose Hoop Rings Fake Nose Piercings Nose Ring Nose Ring Dental X Ray The nose ring will appear on the xray in an area that can block a possible tooth image. However its up to the clinician to. As for record keeping, a dentist may. For extra oral they ideally should be taken out but. For intra oral ones then they can be left in. Contact us for costs and all types of. Nose Ring Dental X Ray.
From www.desertcart.ae
Buy Fake Nose Rings Stainless Steel Septum Nose Ring Horseshoe Nose Ring Dental X Ray For intra oral ones then they can be left in. Contact us for costs and all types of x. However its up to the clinician to. As for record keeping, a dentist may. The nose ring will appear on the xray in an area that can block a possible tooth image. For extra oral they ideally should be taken out. Nose Ring Dental X Ray.
From www.hunzabazar.com
Generic 2 Pcs Unisex Surgical Steel Hinged Clicker Segment Nose Rings Nose Ring Dental X Ray However its up to the clinician to. Contact us for costs and all types of x. For extra oral they ideally should be taken out but. For intra oral ones then they can be left in. As for record keeping, a dentist may. The nose ring will appear on the xray in an area that can block a possible tooth. Nose Ring Dental X Ray.
From pubs.rsna.org
Masses of the Nose, Nasal Cavity, and Nasopharynx in Children Nose Ring Dental X Ray However its up to the clinician to. For intra oral ones then they can be left in. The nose ring will appear on the xray in an area that can block a possible tooth image. For extra oral they ideally should be taken out but. Contact us for costs and all types of x. As for record keeping, a dentist. Nose Ring Dental X Ray.
From www.pinterest.co.uk
three pairs of nose rings with chains attached to each one, and an ear Nose Ring Dental X Ray However its up to the clinician to. The nose ring will appear on the xray in an area that can block a possible tooth image. For extra oral they ideally should be taken out but. Contact us for costs and all types of x. For intra oral ones then they can be left in. As for record keeping, a dentist. Nose Ring Dental X Ray.
From www.etsy.com
316L Surgical Steel Seamless Continuous Nose Ring Helix Daith Etsy Nose Ring Dental X Ray Contact us for costs and all types of x. The nose ring will appear on the xray in an area that can block a possible tooth image. For intra oral ones then they can be left in. For extra oral they ideally should be taken out but. As for record keeping, a dentist may. However its up to the clinician. Nose Ring Dental X Ray.
From www.youtube.com
How to take dental xrays with bisecting angle positioning YouTube Nose Ring Dental X Ray For extra oral they ideally should be taken out but. For intra oral ones then they can be left in. As for record keeping, a dentist may. Contact us for costs and all types of x. However its up to the clinician to. The nose ring will appear on the xray in an area that can block a possible tooth. Nose Ring Dental X Ray.
From www.youtube.com
SnapARay DS Endo Dentsply Sirona YouTube Nose Ring Dental X Ray For intra oral ones then they can be left in. The nose ring will appear on the xray in an area that can block a possible tooth image. Contact us for costs and all types of x. For extra oral they ideally should be taken out but. As for record keeping, a dentist may. However its up to the clinician. Nose Ring Dental X Ray.
From www.amazon.com
Septum Nose Ring Horseshoe Fake Nose Ring Hoop Nose Ring Dental X Ray Contact us for costs and all types of x. For intra oral ones then they can be left in. For extra oral they ideally should be taken out but. The nose ring will appear on the xray in an area that can block a possible tooth image. However its up to the clinician to. As for record keeping, a dentist. Nose Ring Dental X Ray.
From www.pierceduniverse.com
Nose Rings Pierced Universe Nose Ring Dental X Ray The nose ring will appear on the xray in an area that can block a possible tooth image. For intra oral ones then they can be left in. Contact us for costs and all types of x. For extra oral they ideally should be taken out but. However its up to the clinician to. As for record keeping, a dentist. Nose Ring Dental X Ray.
From dentagama.com
Medusa piercing News Dentagama Nose Ring Dental X Ray However its up to the clinician to. Contact us for costs and all types of x. As for record keeping, a dentist may. The nose ring will appear on the xray in an area that can block a possible tooth image. For intra oral ones then they can be left in. For extra oral they ideally should be taken out. Nose Ring Dental X Ray.
From drgstoothpix.com
Radiographic Technique Patient preparation Dr. G's Toothpix Nose Ring Dental X Ray As for record keeping, a dentist may. For intra oral ones then they can be left in. The nose ring will appear on the xray in an area that can block a possible tooth image. Contact us for costs and all types of x. However its up to the clinician to. For extra oral they ideally should be taken out. Nose Ring Dental X Ray.
From www.dontwasteyourmoney.com
FANSING Hinged Surgical Steel Nose Ring Nose Ring Dental X Ray The nose ring will appear on the xray in an area that can block a possible tooth image. As for record keeping, a dentist may. For extra oral they ideally should be taken out but. However its up to the clinician to. Contact us for costs and all types of x. For intra oral ones then they can be left. Nose Ring Dental X Ray.
From www.reddit.com
You can see my nose ring in my dental xray r/mildlyinteresting Nose Ring Dental X Ray For intra oral ones then they can be left in. As for record keeping, a dentist may. The nose ring will appear on the xray in an area that can block a possible tooth image. However its up to the clinician to. For extra oral they ideally should be taken out but. Contact us for costs and all types of. Nose Ring Dental X Ray.
From api-shein.shein.com
Rhinestone Decor Nose Ring Nose Ring Dental X Ray Contact us for costs and all types of x. However its up to the clinician to. As for record keeping, a dentist may. For intra oral ones then they can be left in. For extra oral they ideally should be taken out but. The nose ring will appear on the xray in an area that can block a possible tooth. Nose Ring Dental X Ray.
From bodyjewelz.com
316 Stainless Steel Hinged Hoop Twisted Rope Nose Rings Body Jewelz Nose Ring Dental X Ray However its up to the clinician to. For intra oral ones then they can be left in. Contact us for costs and all types of x. The nose ring will appear on the xray in an area that can block a possible tooth image. As for record keeping, a dentist may. For extra oral they ideally should be taken out. Nose Ring Dental X Ray.
From medizzy.com
Types of dental Xrays MEDizzy Nose Ring Dental X Ray As for record keeping, a dentist may. For intra oral ones then they can be left in. However its up to the clinician to. The nose ring will appear on the xray in an area that can block a possible tooth image. Contact us for costs and all types of x. For extra oral they ideally should be taken out. Nose Ring Dental X Ray.
From www.freshtrends.com
Nose Rings 14K Gold, Diamond & Platinum Nose Rings FreshTrends Page 4 Nose Ring Dental X Ray For extra oral they ideally should be taken out but. For intra oral ones then they can be left in. Contact us for costs and all types of x. However its up to the clinician to. As for record keeping, a dentist may. The nose ring will appear on the xray in an area that can block a possible tooth. Nose Ring Dental X Ray.
From www.urbanbodyjewelry.com
8 Types of Nose Rings and How They Can Enhance Your Style Nose Ring Dental X Ray Contact us for costs and all types of x. However its up to the clinician to. For intra oral ones then they can be left in. For extra oral they ideally should be taken out but. As for record keeping, a dentist may. The nose ring will appear on the xray in an area that can block a possible tooth. Nose Ring Dental X Ray.
From www.pinterest.com
Pin on Products Nose Ring Dental X Ray For intra oral ones then they can be left in. As for record keeping, a dentist may. However its up to the clinician to. Contact us for costs and all types of x. The nose ring will appear on the xray in an area that can block a possible tooth image. For extra oral they ideally should be taken out. Nose Ring Dental X Ray.
From www.reddit.com
Was told I could keep my nose ring on during xrays... Got a laugh out Nose Ring Dental X Ray For extra oral they ideally should be taken out but. The nose ring will appear on the xray in an area that can block a possible tooth image. Contact us for costs and all types of x. As for record keeping, a dentist may. However its up to the clinician to. For intra oral ones then they can be left. Nose Ring Dental X Ray.
From www.pierceduniverse.com
Tiny Nose Rings Pierced Universe Nose Ring Dental X Ray However its up to the clinician to. As for record keeping, a dentist may. For extra oral they ideally should be taken out but. Contact us for costs and all types of x. The nose ring will appear on the xray in an area that can block a possible tooth image. For intra oral ones then they can be left. Nose Ring Dental X Ray.
From www.bodycandy.com
10 Fascinating Pictures of Body Jewelry in XRays BodyCandy Nose Ring Dental X Ray For intra oral ones then they can be left in. Contact us for costs and all types of x. As for record keeping, a dentist may. However its up to the clinician to. The nose ring will appear on the xray in an area that can block a possible tooth image. For extra oral they ideally should be taken out. Nose Ring Dental X Ray.
From 3ddentistry.co
Digital XRays 3D Dentistry Nose Ring Dental X Ray As for record keeping, a dentist may. However its up to the clinician to. The nose ring will appear on the xray in an area that can block a possible tooth image. For intra oral ones then they can be left in. Contact us for costs and all types of x. For extra oral they ideally should be taken out. Nose Ring Dental X Ray.
From www.dontwasteyourmoney.com
D.Bella Hypoallergenic Stainless Steel Nose Rings, 21Piece Nose Ring Dental X Ray Contact us for costs and all types of x. As for record keeping, a dentist may. For intra oral ones then they can be left in. However its up to the clinician to. For extra oral they ideally should be taken out but. The nose ring will appear on the xray in an area that can block a possible tooth. Nose Ring Dental X Ray.
From www.fruugo.dk
3 Pcs Nose Rings Horseshoe Fake Nose Ring Hoop Septum Nose Nose Ring Dental X Ray However its up to the clinician to. As for record keeping, a dentist may. For intra oral ones then they can be left in. Contact us for costs and all types of x. For extra oral they ideally should be taken out but. The nose ring will appear on the xray in an area that can block a possible tooth. Nose Ring Dental X Ray.
From www.yfn.com
Silver Nose Ring YFN Nose Ring Dental X Ray Contact us for costs and all types of x. For extra oral they ideally should be taken out but. The nose ring will appear on the xray in an area that can block a possible tooth image. For intra oral ones then they can be left in. As for record keeping, a dentist may. However its up to the clinician. Nose Ring Dental X Ray.
From bodyjewelz.com
316 Stainless Steel Septum Clicker Nose Rings Body Jewelz Nose Ring Dental X Ray The nose ring will appear on the xray in an area that can block a possible tooth image. For extra oral they ideally should be taken out but. Contact us for costs and all types of x. As for record keeping, a dentist may. For intra oral ones then they can be left in. However its up to the clinician. Nose Ring Dental X Ray.