Arthritis In Ankle Bone Symptoms . This article will go over what you should know about ankle osteoarthritis, including the symptoms of ankle osteoarthritis, how osteoarthritis in the ankle is diagnosed, and treatment for ankle osteoarthritis. It can vary from a dull ache to sharp, stabbing discomfort. Reduced motion, such as problems pushing the gas pedal in your. Osteoarthritis of the ankle usually affects someone young people who have had an ankle injury. Arthritic ankle pain may not be felt in the joint itself, but in the middle or back of the foot. The pain may come and go or be low level and. The most common foot and ankle arthritis symptoms include: Stiffness or a reduced range of motion (how far you can move your. Learn more about the symptoms, diagnosis, and outlook here. Ankle arthritis may include any of the following symptoms: Tenderness at and around your ankle joint. Ankle arthritis affects the tibiotalar joint, which. Trouble walking and bending your ankle. Arthritis in the ankle can lead to pain, swelling, deformity, and instability in the ankle joint.
from creakyjoints.org
It can vary from a dull ache to sharp, stabbing discomfort. The pain may come and go or be low level and. Arthritic ankle pain may not be felt in the joint itself, but in the middle or back of the foot. Ankle arthritis may include any of the following symptoms: Arthritis in the ankle can lead to pain, swelling, deformity, and instability in the ankle joint. This article will go over what you should know about ankle osteoarthritis, including the symptoms of ankle osteoarthritis, how osteoarthritis in the ankle is diagnosed, and treatment for ankle osteoarthritis. The most common foot and ankle arthritis symptoms include: Trouble walking and bending your ankle. Learn more about the symptoms, diagnosis, and outlook here. Ankle arthritis affects the tibiotalar joint, which.
10 Symptoms of Osteoarthritis You Might Be Ignoring
Arthritis In Ankle Bone Symptoms Ankle arthritis may include any of the following symptoms: Reduced motion, such as problems pushing the gas pedal in your. Arthritic ankle pain may not be felt in the joint itself, but in the middle or back of the foot. Stiffness or a reduced range of motion (how far you can move your. The most common foot and ankle arthritis symptoms include: Learn more about the symptoms, diagnosis, and outlook here. This article will go over what you should know about ankle osteoarthritis, including the symptoms of ankle osteoarthritis, how osteoarthritis in the ankle is diagnosed, and treatment for ankle osteoarthritis. Trouble walking and bending your ankle. The pain may come and go or be low level and. Osteoarthritis of the ankle usually affects someone young people who have had an ankle injury. Ankle arthritis may include any of the following symptoms: It can vary from a dull ache to sharp, stabbing discomfort. Ankle arthritis affects the tibiotalar joint, which. Tenderness at and around your ankle joint. Arthritis in the ankle can lead to pain, swelling, deformity, and instability in the ankle joint.
From creakyjoints.org
10 Symptoms of Osteoarthritis You Might Be Ignoring Arthritis In Ankle Bone Symptoms Learn more about the symptoms, diagnosis, and outlook here. Reduced motion, such as problems pushing the gas pedal in your. Arthritic ankle pain may not be felt in the joint itself, but in the middle or back of the foot. Trouble walking and bending your ankle. This article will go over what you should know about ankle osteoarthritis, including the. Arthritis In Ankle Bone Symptoms.
From swfhealthandwellness.com
Ankle Arthritis and Your Options • Southwest Florida's Health and Arthritis In Ankle Bone Symptoms This article will go over what you should know about ankle osteoarthritis, including the symptoms of ankle osteoarthritis, how osteoarthritis in the ankle is diagnosed, and treatment for ankle osteoarthritis. The most common foot and ankle arthritis symptoms include: Ankle arthritis may include any of the following symptoms: Reduced motion, such as problems pushing the gas pedal in your. Stiffness. Arthritis In Ankle Bone Symptoms.
From www.northflboneandjoint.com
Treating Ankle Arthritis North Florida Bone & Joint Specialists Arthritis In Ankle Bone Symptoms Arthritic ankle pain may not be felt in the joint itself, but in the middle or back of the foot. Arthritis in the ankle can lead to pain, swelling, deformity, and instability in the ankle joint. Ankle arthritis affects the tibiotalar joint, which. Tenderness at and around your ankle joint. The most common foot and ankle arthritis symptoms include: Reduced. Arthritis In Ankle Bone Symptoms.
From www.alamy.com
Arthritis at ankle joint (Gout , Rheumatoid arthritis Stock Photo Arthritis In Ankle Bone Symptoms The pain may come and go or be low level and. Ankle arthritis affects the tibiotalar joint, which. Arthritis in the ankle can lead to pain, swelling, deformity, and instability in the ankle joint. Arthritic ankle pain may not be felt in the joint itself, but in the middle or back of the foot. Trouble walking and bending your ankle.. Arthritis In Ankle Bone Symptoms.
From www.sciencephoto.com
Psoriatic arthritis of the ankle Stock Image C007/2740 Science Arthritis In Ankle Bone Symptoms It can vary from a dull ache to sharp, stabbing discomfort. The pain may come and go or be low level and. Tenderness at and around your ankle joint. This article will go over what you should know about ankle osteoarthritis, including the symptoms of ankle osteoarthritis, how osteoarthritis in the ankle is diagnosed, and treatment for ankle osteoarthritis. Ankle. Arthritis In Ankle Bone Symptoms.
From www.inpodiatrygroup.com
Ankle Arthritis Explained By An Indianapolis Foot Surgeon Indiana Arthritis In Ankle Bone Symptoms Ankle arthritis affects the tibiotalar joint, which. Osteoarthritis of the ankle usually affects someone young people who have had an ankle injury. Arthritis in the ankle can lead to pain, swelling, deformity, and instability in the ankle joint. Learn more about the symptoms, diagnosis, and outlook here. Tenderness at and around your ankle joint. The most common foot and ankle. Arthritis In Ankle Bone Symptoms.
From www.youtube.com
What is ankle arthritis? YouTube Arthritis In Ankle Bone Symptoms Reduced motion, such as problems pushing the gas pedal in your. Ankle arthritis affects the tibiotalar joint, which. Stiffness or a reduced range of motion (how far you can move your. Arthritis in the ankle can lead to pain, swelling, deformity, and instability in the ankle joint. Trouble walking and bending your ankle. The most common foot and ankle arthritis. Arthritis In Ankle Bone Symptoms.
From www.sciencephoto.com
Osteoarthritis of the ankle Stock Image C008/5685 Science Photo Arthritis In Ankle Bone Symptoms Arthritic ankle pain may not be felt in the joint itself, but in the middle or back of the foot. Trouble walking and bending your ankle. Ankle arthritis may include any of the following symptoms: It can vary from a dull ache to sharp, stabbing discomfort. Stiffness or a reduced range of motion (how far you can move your. Reduced. Arthritis In Ankle Bone Symptoms.
From footeducation.com
Ankle Arthritis FootEducation Arthritis In Ankle Bone Symptoms Arthritis in the ankle can lead to pain, swelling, deformity, and instability in the ankle joint. The pain may come and go or be low level and. Reduced motion, such as problems pushing the gas pedal in your. Arthritic ankle pain may not be felt in the joint itself, but in the middle or back of the foot. The most. Arthritis In Ankle Bone Symptoms.
From nick-cullen.squarespace.com
Ankle Arthritis — Stanmore foot & ankle surgery Arthritis In Ankle Bone Symptoms Arthritis in the ankle can lead to pain, swelling, deformity, and instability in the ankle joint. Trouble walking and bending your ankle. Ankle arthritis may include any of the following symptoms: Learn more about the symptoms, diagnosis, and outlook here. Tenderness at and around your ankle joint. This article will go over what you should know about ankle osteoarthritis, including. Arthritis In Ankle Bone Symptoms.
From www.therehabcentre.com.sg
Arthritis can I get it in my ankles? The Rehab Centre Arthritis In Ankle Bone Symptoms Learn more about the symptoms, diagnosis, and outlook here. The pain may come and go or be low level and. Ankle arthritis affects the tibiotalar joint, which. Reduced motion, such as problems pushing the gas pedal in your. The most common foot and ankle arthritis symptoms include: Trouble walking and bending your ankle. Arthritic ankle pain may not be felt. Arthritis In Ankle Bone Symptoms.
From www.verywellhealth.com
Ankle Pain Causes, Treatment, and When to See a Doctor Arthritis In Ankle Bone Symptoms Stiffness or a reduced range of motion (how far you can move your. This article will go over what you should know about ankle osteoarthritis, including the symptoms of ankle osteoarthritis, how osteoarthritis in the ankle is diagnosed, and treatment for ankle osteoarthritis. Ankle arthritis affects the tibiotalar joint, which. Learn more about the symptoms, diagnosis, and outlook here. Arthritis. Arthritis In Ankle Bone Symptoms.
From ankleandfootsurgery.co.uk
Ankle Arthritis Ankle & Foot professional solutions limited Arthritis In Ankle Bone Symptoms Ankle arthritis may include any of the following symptoms: Arthritic ankle pain may not be felt in the joint itself, but in the middle or back of the foot. Arthritis in the ankle can lead to pain, swelling, deformity, and instability in the ankle joint. This article will go over what you should know about ankle osteoarthritis, including the symptoms. Arthritis In Ankle Bone Symptoms.
From fineartamerica.com
Osteoarthritis Of Ankle Photograph by Dr P. Marazzi/science Photo Library Arthritis In Ankle Bone Symptoms Arthritic ankle pain may not be felt in the joint itself, but in the middle or back of the foot. Tenderness at and around your ankle joint. Arthritis in the ankle can lead to pain, swelling, deformity, and instability in the ankle joint. Reduced motion, such as problems pushing the gas pedal in your. This article will go over what. Arthritis In Ankle Bone Symptoms.
From www.eastcoastpodiatry.sg
Podiatry Clinic for the Athritis of the Foot and Ankle Arthritis In Ankle Bone Symptoms The most common foot and ankle arthritis symptoms include: It can vary from a dull ache to sharp, stabbing discomfort. Osteoarthritis of the ankle usually affects someone young people who have had an ankle injury. Trouble walking and bending your ankle. Arthritis in the ankle can lead to pain, swelling, deformity, and instability in the ankle joint. This article will. Arthritis In Ankle Bone Symptoms.
From www.mdedge.com
Assessment steps and treatment tips for ankle arthritis MDedge Family Arthritis In Ankle Bone Symptoms This article will go over what you should know about ankle osteoarthritis, including the symptoms of ankle osteoarthritis, how osteoarthritis in the ankle is diagnosed, and treatment for ankle osteoarthritis. The pain may come and go or be low level and. Osteoarthritis of the ankle usually affects someone young people who have had an ankle injury. Arthritic ankle pain may. Arthritis In Ankle Bone Symptoms.
From www.myfootshop.com
Osteoarthritis of the foot and ankle Arthritis In Ankle Bone Symptoms Ankle arthritis may include any of the following symptoms: Arthritic ankle pain may not be felt in the joint itself, but in the middle or back of the foot. Learn more about the symptoms, diagnosis, and outlook here. The pain may come and go or be low level and. Trouble walking and bending your ankle. The most common foot and. Arthritis In Ankle Bone Symptoms.
From www.orthoinfo.org
Arthritis of the Foot and Ankle OrthoInfo AAOS Arthritis In Ankle Bone Symptoms Learn more about the symptoms, diagnosis, and outlook here. The pain may come and go or be low level and. Tenderness at and around your ankle joint. Arthritis in the ankle can lead to pain, swelling, deformity, and instability in the ankle joint. Ankle arthritis may include any of the following symptoms: Arthritic ankle pain may not be felt in. Arthritis In Ankle Bone Symptoms.
From www.sciencephoto.com
Arthritis of the ankle Stock Image M110/0520 Science Photo Library Arthritis In Ankle Bone Symptoms Tenderness at and around your ankle joint. Stiffness or a reduced range of motion (how far you can move your. Osteoarthritis of the ankle usually affects someone young people who have had an ankle injury. This article will go over what you should know about ankle osteoarthritis, including the symptoms of ankle osteoarthritis, how osteoarthritis in the ankle is diagnosed,. Arthritis In Ankle Bone Symptoms.
From www.orthobullets.com
Ankle Arthritis Foot & Ankle Orthobullets Arthritis In Ankle Bone Symptoms Arthritis in the ankle can lead to pain, swelling, deformity, and instability in the ankle joint. Trouble walking and bending your ankle. Ankle arthritis may include any of the following symptoms: This article will go over what you should know about ankle osteoarthritis, including the symptoms of ankle osteoarthritis, how osteoarthritis in the ankle is diagnosed, and treatment for ankle. Arthritis In Ankle Bone Symptoms.
From www.braddreshermd.com
Treatment for Ankle Arthritis Arthritis In Ankle Bone Symptoms Learn more about the symptoms, diagnosis, and outlook here. Arthritis in the ankle can lead to pain, swelling, deformity, and instability in the ankle joint. Tenderness at and around your ankle joint. The most common foot and ankle arthritis symptoms include: Arthritic ankle pain may not be felt in the joint itself, but in the middle or back of the. Arthritis In Ankle Bone Symptoms.
From www.epainassist.com
Ankle Joint ArthritisCausesSymptomsTreatmentNSAIDs, Opioids, PT Arthritis In Ankle Bone Symptoms Trouble walking and bending your ankle. This article will go over what you should know about ankle osteoarthritis, including the symptoms of ankle osteoarthritis, how osteoarthritis in the ankle is diagnosed, and treatment for ankle osteoarthritis. The most common foot and ankle arthritis symptoms include: Tenderness at and around your ankle joint. Stiffness or a reduced range of motion (how. Arthritis In Ankle Bone Symptoms.
From coloradopaincare.com
Ankle Osteoarthritis Colorado Pain Care Arthritis In Ankle Bone Symptoms Ankle arthritis may include any of the following symptoms: Arthritis in the ankle can lead to pain, swelling, deformity, and instability in the ankle joint. Arthritic ankle pain may not be felt in the joint itself, but in the middle or back of the foot. Reduced motion, such as problems pushing the gas pedal in your. It can vary from. Arthritis In Ankle Bone Symptoms.
From footeducation.com
Ankle Arthritis FootEducation Arthritis In Ankle Bone Symptoms Learn more about the symptoms, diagnosis, and outlook here. Ankle arthritis may include any of the following symptoms: Trouble walking and bending your ankle. Osteoarthritis of the ankle usually affects someone young people who have had an ankle injury. Reduced motion, such as problems pushing the gas pedal in your. Arthritis in the ankle can lead to pain, swelling, deformity,. Arthritis In Ankle Bone Symptoms.
From myankle.co.uk
What Is Ankle Arthritis? MyAnkle Ankle Arthritis Surgeon London Arthritis In Ankle Bone Symptoms Trouble walking and bending your ankle. Reduced motion, such as problems pushing the gas pedal in your. Learn more about the symptoms, diagnosis, and outlook here. Arthritic ankle pain may not be felt in the joint itself, but in the middle or back of the foot. Stiffness or a reduced range of motion (how far you can move your. It. Arthritis In Ankle Bone Symptoms.
From www.medicalnewstoday.com
Rheumatoid arthritis in the ankles Symptoms and treatment Arthritis In Ankle Bone Symptoms It can vary from a dull ache to sharp, stabbing discomfort. Osteoarthritis of the ankle usually affects someone young people who have had an ankle injury. This article will go over what you should know about ankle osteoarthritis, including the symptoms of ankle osteoarthritis, how osteoarthritis in the ankle is diagnosed, and treatment for ankle osteoarthritis. Arthritic ankle pain may. Arthritis In Ankle Bone Symptoms.
From www.manhattanfootcare.com
What Causes Ankle Arthritis? Arthritis In Ankle Bone Symptoms It can vary from a dull ache to sharp, stabbing discomfort. Osteoarthritis of the ankle usually affects someone young people who have had an ankle injury. Tenderness at and around your ankle joint. This article will go over what you should know about ankle osteoarthritis, including the symptoms of ankle osteoarthritis, how osteoarthritis in the ankle is diagnosed, and treatment. Arthritis In Ankle Bone Symptoms.
From www.estautbergmd.com
How is Ankle Arthritis Diagnosed and Treated? Eugene Stautberg, MD Arthritis In Ankle Bone Symptoms The most common foot and ankle arthritis symptoms include: Trouble walking and bending your ankle. Tenderness at and around your ankle joint. It can vary from a dull ache to sharp, stabbing discomfort. Ankle arthritis affects the tibiotalar joint, which. Reduced motion, such as problems pushing the gas pedal in your. Learn more about the symptoms, diagnosis, and outlook here.. Arthritis In Ankle Bone Symptoms.
From tucsonfoot.com
Ankle Arthritis Symptoms, Diagnosis, and Treatment Tucson Foot Arthritis In Ankle Bone Symptoms It can vary from a dull ache to sharp, stabbing discomfort. Arthritic ankle pain may not be felt in the joint itself, but in the middle or back of the foot. Tenderness at and around your ankle joint. Ankle arthritis may include any of the following symptoms: Learn more about the symptoms, diagnosis, and outlook here. Arthritis in the ankle. Arthritis In Ankle Bone Symptoms.
From www.orthofootmd.com
Ankle Arthritis Symptoms, Causes, and Treatments OrthofootMD Arthritis In Ankle Bone Symptoms Learn more about the symptoms, diagnosis, and outlook here. Arthritic ankle pain may not be felt in the joint itself, but in the middle or back of the foot. This article will go over what you should know about ankle osteoarthritis, including the symptoms of ankle osteoarthritis, how osteoarthritis in the ankle is diagnosed, and treatment for ankle osteoarthritis. Osteoarthritis. Arthritis In Ankle Bone Symptoms.
From www.verywellhealth.com
Ankle Arthritis Causes, Symptoms, and Treatment Arthritis In Ankle Bone Symptoms Tenderness at and around your ankle joint. It can vary from a dull ache to sharp, stabbing discomfort. Ankle arthritis affects the tibiotalar joint, which. Learn more about the symptoms, diagnosis, and outlook here. Stiffness or a reduced range of motion (how far you can move your. Arthritic ankle pain may not be felt in the joint itself, but in. Arthritis In Ankle Bone Symptoms.
From creakyjoints.org
Arthritis in the Ankle Treatments, Exercises, and Home Remedies Arthritis In Ankle Bone Symptoms Arthritis in the ankle can lead to pain, swelling, deformity, and instability in the ankle joint. Ankle arthritis may include any of the following symptoms: Tenderness at and around your ankle joint. This article will go over what you should know about ankle osteoarthritis, including the symptoms of ankle osteoarthritis, how osteoarthritis in the ankle is diagnosed, and treatment for. Arthritis In Ankle Bone Symptoms.
From www.estautbergmd.com
What is Ankle Arthritis? Eugene Stautberg, MD General Orthopedic Surgeon Arthritis In Ankle Bone Symptoms Osteoarthritis of the ankle usually affects someone young people who have had an ankle injury. The pain may come and go or be low level and. Ankle arthritis affects the tibiotalar joint, which. Stiffness or a reduced range of motion (how far you can move your. Trouble walking and bending your ankle. Learn more about the symptoms, diagnosis, and outlook. Arthritis In Ankle Bone Symptoms.
From giomrkxaf.blob.core.windows.net
Arthritis In Ankle Feeling at Glenn Schuster blog Arthritis In Ankle Bone Symptoms Ankle arthritis may include any of the following symptoms: Tenderness at and around your ankle joint. Osteoarthritis of the ankle usually affects someone young people who have had an ankle injury. Arthritic ankle pain may not be felt in the joint itself, but in the middle or back of the foot. The most common foot and ankle arthritis symptoms include:. Arthritis In Ankle Bone Symptoms.
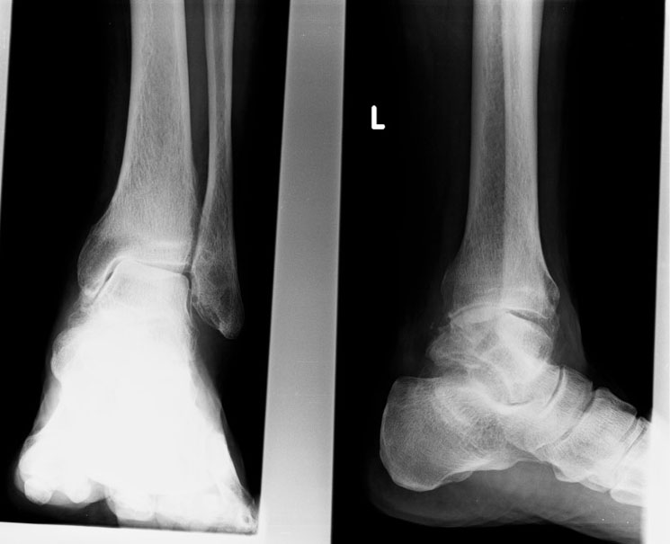
From radiopaedia.org
Severe osteoarthritis of the ankle Image Arthritis In Ankle Bone Symptoms The most common foot and ankle arthritis symptoms include: The pain may come and go or be low level and. Ankle arthritis affects the tibiotalar joint, which. This article will go over what you should know about ankle osteoarthritis, including the symptoms of ankle osteoarthritis, how osteoarthritis in the ankle is diagnosed, and treatment for ankle osteoarthritis. Reduced motion, such. Arthritis In Ankle Bone Symptoms.