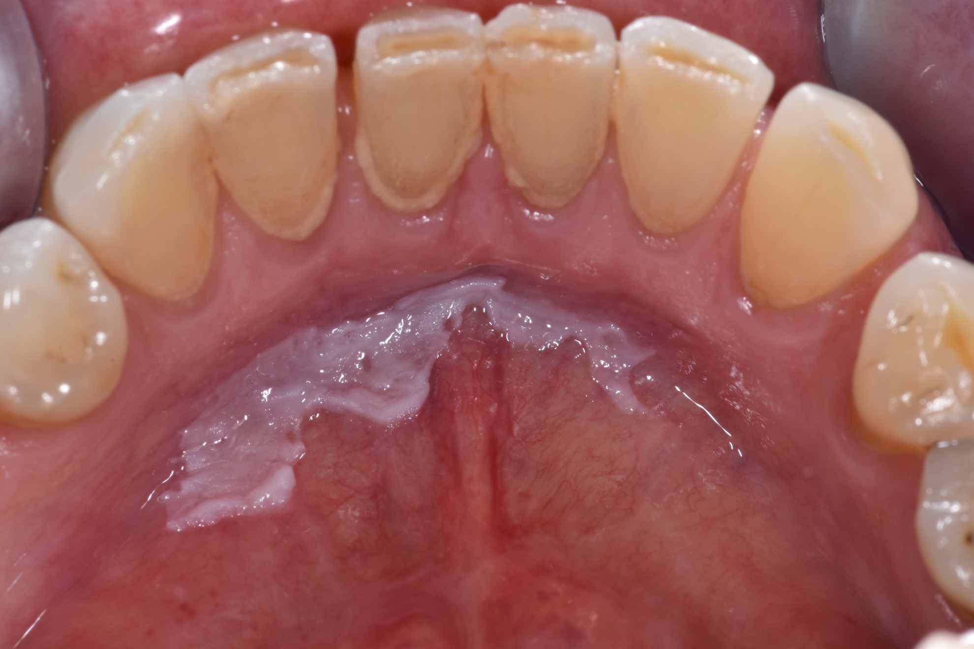
White Spots On Gums Leukoplakia . Leukoplakia is a condition involving thickened white patches on the mucous membranes (lining) of the mouth, gums, and/or. Leukoplakia patches on your tongue, gums, roof of your mouth, or the inside of your cheeks may be: If you accidentally bite the inside of your cheek or burn the roof of your. The patches don’t hurt but they don’t. They may thicken or harden overtime, and they. They are typically harmless, although some doctors think they are precancerous. Leukoplakia describes white patches on the roof of the mouth, tongue, and gums. This mouth condition appears as thick, white patches on the gums, the cheeks and the bottom of the mouth that cannot be scraped. Leukoplakia are small white patches that appear on the gums, the insides of the cheeks, the bottom of the mouth, and the tongue. Leukoplakia is a condition that creates white patches on your tongue, gums or the inside of your cheeks. But not every white patch in the mouth is leukoplakia.
from www.facebook.com
If you accidentally bite the inside of your cheek or burn the roof of your. Leukoplakia describes white patches on the roof of the mouth, tongue, and gums. They may thicken or harden overtime, and they. They are typically harmless, although some doctors think they are precancerous. But not every white patch in the mouth is leukoplakia. Leukoplakia are small white patches that appear on the gums, the insides of the cheeks, the bottom of the mouth, and the tongue. The patches don’t hurt but they don’t. Leukoplakia is a condition involving thickened white patches on the mucous membranes (lining) of the mouth, gums, and/or. This mouth condition appears as thick, white patches on the gums, the cheeks and the bottom of the mouth that cannot be scraped. Leukoplakia is a condition that creates white patches on your tongue, gums or the inside of your cheeks.
What is leukoplakia? Leukoplakia is a condition that causes white
White Spots On Gums Leukoplakia Leukoplakia patches on your tongue, gums, roof of your mouth, or the inside of your cheeks may be: Leukoplakia patches on your tongue, gums, roof of your mouth, or the inside of your cheeks may be: This mouth condition appears as thick, white patches on the gums, the cheeks and the bottom of the mouth that cannot be scraped. If you accidentally bite the inside of your cheek or burn the roof of your. Leukoplakia describes white patches on the roof of the mouth, tongue, and gums. Leukoplakia are small white patches that appear on the gums, the insides of the cheeks, the bottom of the mouth, and the tongue. The patches don’t hurt but they don’t. But not every white patch in the mouth is leukoplakia. They may thicken or harden overtime, and they. They are typically harmless, although some doctors think they are precancerous. Leukoplakia is a condition involving thickened white patches on the mucous membranes (lining) of the mouth, gums, and/or. Leukoplakia is a condition that creates white patches on your tongue, gums or the inside of your cheeks.
From dentistryandmedicine.blogspot.com
Dentistry and Medicine LeukoplakiaDefinition, Epidemiology, Clinical White Spots On Gums Leukoplakia Leukoplakia are small white patches that appear on the gums, the insides of the cheeks, the bottom of the mouth, and the tongue. They are typically harmless, although some doctors think they are precancerous. This mouth condition appears as thick, white patches on the gums, the cheeks and the bottom of the mouth that cannot be scraped. They may thicken. White Spots On Gums Leukoplakia.
From www.verywellhealth.com
Leukoplakia Symptoms, Causes, Diagnosis, and Treatment White Spots On Gums Leukoplakia Leukoplakia are small white patches that appear on the gums, the insides of the cheeks, the bottom of the mouth, and the tongue. But not every white patch in the mouth is leukoplakia. This mouth condition appears as thick, white patches on the gums, the cheeks and the bottom of the mouth that cannot be scraped. They are typically harmless,. White Spots On Gums Leukoplakia.
From cardsdental.com
White Spots on Gums Causes, Treatment & Prevention White Spots On Gums Leukoplakia The patches don’t hurt but they don’t. If you accidentally bite the inside of your cheek or burn the roof of your. Leukoplakia is a condition involving thickened white patches on the mucous membranes (lining) of the mouth, gums, and/or. Leukoplakia patches on your tongue, gums, roof of your mouth, or the inside of your cheeks may be: Leukoplakia describes. White Spots On Gums Leukoplakia.
From diseaeseshows.com
leukoplakia on gums pictures, photos White Spots On Gums Leukoplakia They are typically harmless, although some doctors think they are precancerous. If you accidentally bite the inside of your cheek or burn the roof of your. Leukoplakia is a condition involving thickened white patches on the mucous membranes (lining) of the mouth, gums, and/or. Leukoplakia patches on your tongue, gums, roof of your mouth, or the inside of your cheeks. White Spots On Gums Leukoplakia.
From opmdcare.com
Oral Leukoplakia OPMDCARE White Spots On Gums Leukoplakia If you accidentally bite the inside of your cheek or burn the roof of your. Leukoplakia describes white patches on the roof of the mouth, tongue, and gums. This mouth condition appears as thick, white patches on the gums, the cheeks and the bottom of the mouth that cannot be scraped. They may thicken or harden overtime, and they. Leukoplakia. White Spots On Gums Leukoplakia.
From www.medicalnewstoday.com
White spots and sores on gums Causes, treatment, and symptoms White Spots On Gums Leukoplakia The patches don’t hurt but they don’t. Leukoplakia are small white patches that appear on the gums, the insides of the cheeks, the bottom of the mouth, and the tongue. They may thicken or harden overtime, and they. Leukoplakia describes white patches on the roof of the mouth, tongue, and gums. Leukoplakia is a condition that creates white patches on. White Spots On Gums Leukoplakia.
From exykvqokl.blob.core.windows.net
White Patches On Gums Pictures at Christina Landes blog White Spots On Gums Leukoplakia But not every white patch in the mouth is leukoplakia. They may thicken or harden overtime, and they. They are typically harmless, although some doctors think they are precancerous. The patches don’t hurt but they don’t. Leukoplakia are small white patches that appear on the gums, the insides of the cheeks, the bottom of the mouth, and the tongue. Leukoplakia. White Spots On Gums Leukoplakia.
From ar.inspiredpencil.com
White Patches On Gum Line White Spots On Gums Leukoplakia They may thicken or harden overtime, and they. If you accidentally bite the inside of your cheek or burn the roof of your. Leukoplakia is a condition involving thickened white patches on the mucous membranes (lining) of the mouth, gums, and/or. Leukoplakia is a condition that creates white patches on your tongue, gums or the inside of your cheeks. They. White Spots On Gums Leukoplakia.
From www.lybrate.com
Leukoplakia Symptoms, Causes, Treatment, Cost, and Side Effects White Spots On Gums Leukoplakia Leukoplakia are small white patches that appear on the gums, the insides of the cheeks, the bottom of the mouth, and the tongue. Leukoplakia is a condition involving thickened white patches on the mucous membranes (lining) of the mouth, gums, and/or. They may thicken or harden overtime, and they. Leukoplakia patches on your tongue, gums, roof of your mouth, or. White Spots On Gums Leukoplakia.
From diseaeseshows.com
leukoplakia on gums pictures, photos White Spots On Gums Leukoplakia They are typically harmless, although some doctors think they are precancerous. Leukoplakia is a condition that creates white patches on your tongue, gums or the inside of your cheeks. Leukoplakia patches on your tongue, gums, roof of your mouth, or the inside of your cheeks may be: This mouth condition appears as thick, white patches on the gums, the cheeks. White Spots On Gums Leukoplakia.
From bweisshealth.com
What are White Spots on Gums and How to Prevent Them White Spots On Gums Leukoplakia Leukoplakia are small white patches that appear on the gums, the insides of the cheeks, the bottom of the mouth, and the tongue. Leukoplakia patches on your tongue, gums, roof of your mouth, or the inside of your cheeks may be: They are typically harmless, although some doctors think they are precancerous. Leukoplakia is a condition that creates white patches. White Spots On Gums Leukoplakia.
From opmdcare.com
Oral Leukoplakia OPMDCARE White Spots On Gums Leukoplakia Leukoplakia is a condition involving thickened white patches on the mucous membranes (lining) of the mouth, gums, and/or. This mouth condition appears as thick, white patches on the gums, the cheeks and the bottom of the mouth that cannot be scraped. But not every white patch in the mouth is leukoplakia. They are typically harmless, although some doctors think they. White Spots On Gums Leukoplakia.
From opmdcare.com
Oral Leukoplakia OPMDCARE White Spots On Gums Leukoplakia They may thicken or harden overtime, and they. Leukoplakia is a condition that creates white patches on your tongue, gums or the inside of your cheeks. This mouth condition appears as thick, white patches on the gums, the cheeks and the bottom of the mouth that cannot be scraped. If you accidentally bite the inside of your cheek or burn. White Spots On Gums Leukoplakia.
From www.nhs.uk
Leukoplakia NHS White Spots On Gums Leukoplakia They may thicken or harden overtime, and they. Leukoplakia are small white patches that appear on the gums, the insides of the cheeks, the bottom of the mouth, and the tongue. Leukoplakia is a condition involving thickened white patches on the mucous membranes (lining) of the mouth, gums, and/or. This mouth condition appears as thick, white patches on the gums,. White Spots On Gums Leukoplakia.
From mungfali.com
White Spots On Gums Cancer White Spots On Gums Leukoplakia But not every white patch in the mouth is leukoplakia. Leukoplakia describes white patches on the roof of the mouth, tongue, and gums. The patches don’t hurt but they don’t. This mouth condition appears as thick, white patches on the gums, the cheeks and the bottom of the mouth that cannot be scraped. Leukoplakia are small white patches that appear. White Spots On Gums Leukoplakia.
From luminancered.com
White Spots on Gums 5 Possible Diagnoses White Spots On Gums Leukoplakia But not every white patch in the mouth is leukoplakia. Leukoplakia are small white patches that appear on the gums, the insides of the cheeks, the bottom of the mouth, and the tongue. Leukoplakia is a condition involving thickened white patches on the mucous membranes (lining) of the mouth, gums, and/or. Leukoplakia is a condition that creates white patches on. White Spots On Gums Leukoplakia.
From www.nhs.uk
Leukoplakia NHS White Spots On Gums Leukoplakia Leukoplakia is a condition involving thickened white patches on the mucous membranes (lining) of the mouth, gums, and/or. But not every white patch in the mouth is leukoplakia. Leukoplakia patches on your tongue, gums, roof of your mouth, or the inside of your cheeks may be: Leukoplakia are small white patches that appear on the gums, the insides of the. White Spots On Gums Leukoplakia.
From ostrowonline.usc.edu
White Oral Lesions That Need Your Attention White Spots On Gums Leukoplakia Leukoplakia patches on your tongue, gums, roof of your mouth, or the inside of your cheeks may be: Leukoplakia is a condition that creates white patches on your tongue, gums or the inside of your cheeks. They may thicken or harden overtime, and they. Leukoplakia describes white patches on the roof of the mouth, tongue, and gums. The patches don’t. White Spots On Gums Leukoplakia.
From www.medicalnewstoday.com
White gums Causes, symptoms, and how to get rid of them White Spots On Gums Leukoplakia They are typically harmless, although some doctors think they are precancerous. Leukoplakia are small white patches that appear on the gums, the insides of the cheeks, the bottom of the mouth, and the tongue. They may thicken or harden overtime, and they. If you accidentally bite the inside of your cheek or burn the roof of your. Leukoplakia is a. White Spots On Gums Leukoplakia.
From healthjade.net
Burning Tongue Syndrome Causes, Sensation, and Treatment White Spots On Gums Leukoplakia They may thicken or harden overtime, and they. Leukoplakia are small white patches that appear on the gums, the insides of the cheeks, the bottom of the mouth, and the tongue. If you accidentally bite the inside of your cheek or burn the roof of your. Leukoplakia is a condition that creates white patches on your tongue, gums or the. White Spots On Gums Leukoplakia.
From healthtwentyfour.com
White Spots On Gums Causes, Treatment & Prevention White Spots On Gums Leukoplakia Leukoplakia is a condition involving thickened white patches on the mucous membranes (lining) of the mouth, gums, and/or. Leukoplakia describes white patches on the roof of the mouth, tongue, and gums. Leukoplakia are small white patches that appear on the gums, the insides of the cheeks, the bottom of the mouth, and the tongue. Leukoplakia patches on your tongue, gums,. White Spots On Gums Leukoplakia.
From opmdcare.com
Oral Leukoplakia OPMDCARE White Spots On Gums Leukoplakia If you accidentally bite the inside of your cheek or burn the roof of your. Leukoplakia patches on your tongue, gums, roof of your mouth, or the inside of your cheeks may be: Leukoplakia describes white patches on the roof of the mouth, tongue, and gums. Leukoplakia is a condition that creates white patches on your tongue, gums or the. White Spots On Gums Leukoplakia.
From mavink.com
White Spots On Gums Cancer White Spots On Gums Leukoplakia Leukoplakia describes white patches on the roof of the mouth, tongue, and gums. Leukoplakia is a condition involving thickened white patches on the mucous membranes (lining) of the mouth, gums, and/or. Leukoplakia are small white patches that appear on the gums, the insides of the cheeks, the bottom of the mouth, and the tongue. But not every white patch in. White Spots On Gums Leukoplakia.
From healthjade.net
Oral cavity cancer, causes, symptoms, diagnosis, treatment & prognosis White Spots On Gums Leukoplakia Leukoplakia is a condition that creates white patches on your tongue, gums or the inside of your cheeks. If you accidentally bite the inside of your cheek or burn the roof of your. Leukoplakia is a condition involving thickened white patches on the mucous membranes (lining) of the mouth, gums, and/or. This mouth condition appears as thick, white patches on. White Spots On Gums Leukoplakia.
From www.mdpi.com
Dentistry Journal Free FullText Oral White Lesions An Updated White Spots On Gums Leukoplakia Leukoplakia is a condition that creates white patches on your tongue, gums or the inside of your cheeks. They may thicken or harden overtime, and they. Leukoplakia are small white patches that appear on the gums, the insides of the cheeks, the bottom of the mouth, and the tongue. This mouth condition appears as thick, white patches on the gums,. White Spots On Gums Leukoplakia.
From www.tooth-life.com
What is this white line that suddenly appeared on my gums? White Spots On Gums Leukoplakia Leukoplakia is a condition involving thickened white patches on the mucous membranes (lining) of the mouth, gums, and/or. Leukoplakia patches on your tongue, gums, roof of your mouth, or the inside of your cheeks may be: This mouth condition appears as thick, white patches on the gums, the cheeks and the bottom of the mouth that cannot be scraped. But. White Spots On Gums Leukoplakia.
From opmdcare.com
Oral Leukoplakia OPMDCARE White Spots On Gums Leukoplakia The patches don’t hurt but they don’t. Leukoplakia patches on your tongue, gums, roof of your mouth, or the inside of your cheeks may be: They may thicken or harden overtime, and they. Leukoplakia describes white patches on the roof of the mouth, tongue, and gums. Leukoplakia is a condition that creates white patches on your tongue, gums or the. White Spots On Gums Leukoplakia.
From eaom.eu
Leukoplakia European Association of Oral Medicine White Spots On Gums Leukoplakia They are typically harmless, although some doctors think they are precancerous. Leukoplakia describes white patches on the roof of the mouth, tongue, and gums. This mouth condition appears as thick, white patches on the gums, the cheeks and the bottom of the mouth that cannot be scraped. Leukoplakia patches on your tongue, gums, roof of your mouth, or the inside. White Spots On Gums Leukoplakia.
From www.rdhmag.com
Do you have a patchy understanding of leukoplakia? Registered Dental White Spots On Gums Leukoplakia But not every white patch in the mouth is leukoplakia. Leukoplakia is a condition that creates white patches on your tongue, gums or the inside of your cheeks. Leukoplakia patches on your tongue, gums, roof of your mouth, or the inside of your cheeks may be: Leukoplakia is a condition involving thickened white patches on the mucous membranes (lining) of. White Spots On Gums Leukoplakia.
From www.medicalnewstoday.com
Leukoplakia Symptoms, causes, and prevention White Spots On Gums Leukoplakia They are typically harmless, although some doctors think they are precancerous. Leukoplakia is a condition involving thickened white patches on the mucous membranes (lining) of the mouth, gums, and/or. This mouth condition appears as thick, white patches on the gums, the cheeks and the bottom of the mouth that cannot be scraped. Leukoplakia patches on your tongue, gums, roof of. White Spots On Gums Leukoplakia.
From www.medindia.net
Leukoplakia White Patches on Tongue White Spots On Gums Leukoplakia Leukoplakia describes white patches on the roof of the mouth, tongue, and gums. Leukoplakia is a condition involving thickened white patches on the mucous membranes (lining) of the mouth, gums, and/or. If you accidentally bite the inside of your cheek or burn the roof of your. The patches don’t hurt but they don’t. But not every white patch in the. White Spots On Gums Leukoplakia.
From www.facebook.com
What is leukoplakia? Leukoplakia is a condition that causes white White Spots On Gums Leukoplakia Leukoplakia describes white patches on the roof of the mouth, tongue, and gums. They may thicken or harden overtime, and they. Leukoplakia is a condition involving thickened white patches on the mucous membranes (lining) of the mouth, gums, and/or. If you accidentally bite the inside of your cheek or burn the roof of your. The patches don’t hurt but they. White Spots On Gums Leukoplakia.
From www.mdpi.com
Dentistry Journal Free FullText Oral White Lesions An Updated White Spots On Gums Leukoplakia Leukoplakia is a condition involving thickened white patches on the mucous membranes (lining) of the mouth, gums, and/or. Leukoplakia are small white patches that appear on the gums, the insides of the cheeks, the bottom of the mouth, and the tongue. Leukoplakia patches on your tongue, gums, roof of your mouth, or the inside of your cheeks may be: But. White Spots On Gums Leukoplakia.
From healthlibrary.askapollo.com
Leukoplakia Patches Causes, Symptoms, and Treatments White Spots On Gums Leukoplakia Leukoplakia is a condition that creates white patches on your tongue, gums or the inside of your cheeks. Leukoplakia describes white patches on the roof of the mouth, tongue, and gums. But not every white patch in the mouth is leukoplakia. Leukoplakia are small white patches that appear on the gums, the insides of the cheeks, the bottom of the. White Spots On Gums Leukoplakia.
From healthjade.net
Leukoplakia, Hairy Leukoplakia Causes, Diagnosis, Treatment White Spots On Gums Leukoplakia But not every white patch in the mouth is leukoplakia. They are typically harmless, although some doctors think they are precancerous. The patches don’t hurt but they don’t. Leukoplakia is a condition involving thickened white patches on the mucous membranes (lining) of the mouth, gums, and/or. Leukoplakia describes white patches on the roof of the mouth, tongue, and gums. Leukoplakia. White Spots On Gums Leukoplakia.