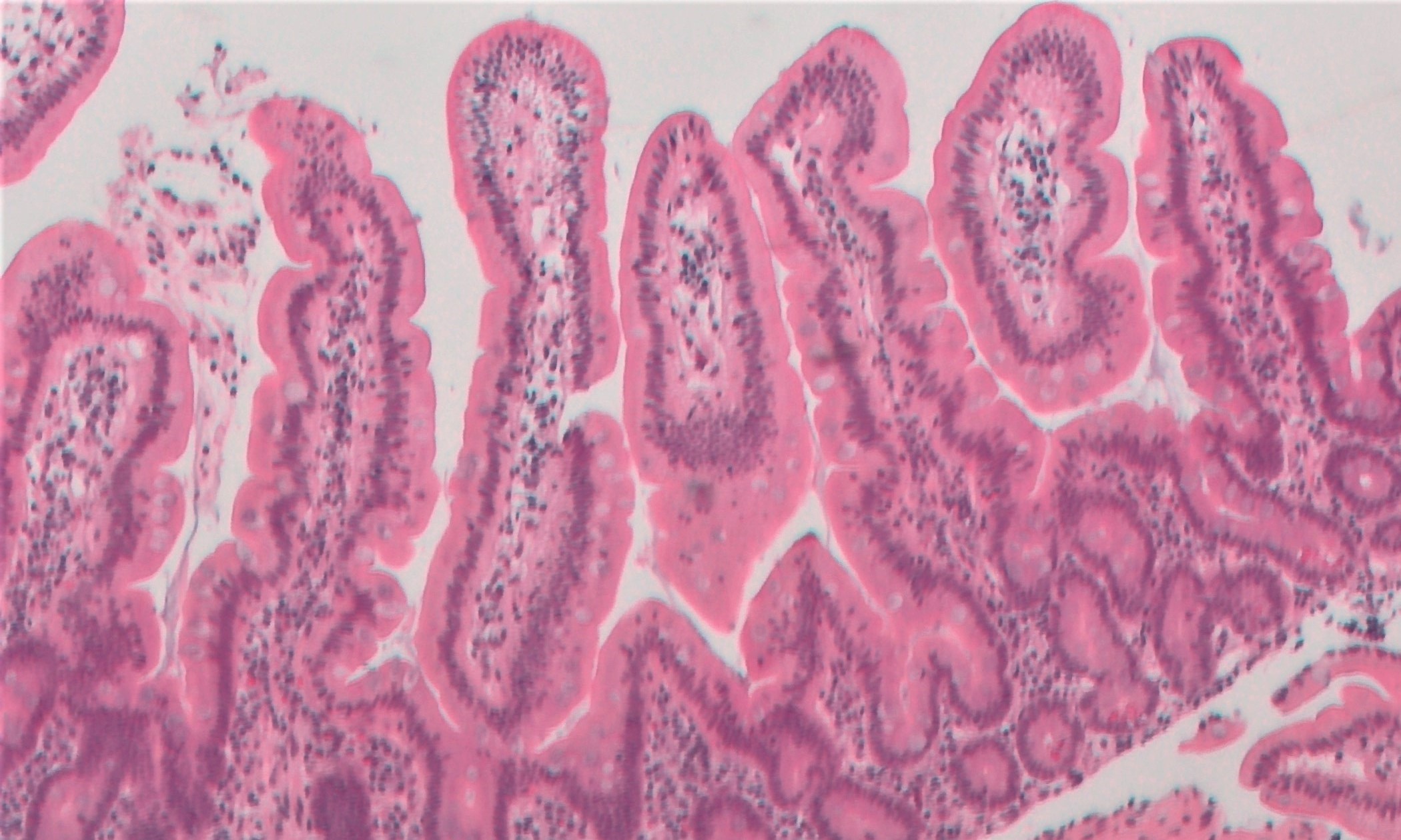
Peptic Duodenitis With Brunner's Gland Hyperplasia . Brunner gland hyperplasia is associated most frequently with peptic duodenitis. They are designed to protect the duodenum from acid. Brunner glands diminish in size and. Histologic findings indicative of duodenal mucosa injury as a result of chronic exposure to increased gastric secretion. Brunner gland hyperplasia (bgh) is defined as benign hyperplastic proliferation of mature brunner glands, commonly in the duodenal. The folds may be larger, more nodular, or polypoid compared with. Brunner’s gland hyperplasia is a very rare lesion of the duodenum, which is usually asymptomatic and diagnosed incidentally during. In patients with peptic duodenitis, groups of brunner glands may be present in the superficial portion of the mucosa.
from www.ajronline.org
The folds may be larger, more nodular, or polypoid compared with. They are designed to protect the duodenum from acid. Brunner gland hyperplasia (bgh) is defined as benign hyperplastic proliferation of mature brunner glands, commonly in the duodenal. In patients with peptic duodenitis, groups of brunner glands may be present in the superficial portion of the mucosa. Brunner gland hyperplasia is associated most frequently with peptic duodenitis. Histologic findings indicative of duodenal mucosa injury as a result of chronic exposure to increased gastric secretion. Brunner’s gland hyperplasia is a very rare lesion of the duodenum, which is usually asymptomatic and diagnosed incidentally during. Brunner glands diminish in size and.
Brunner's Gland Hyperplasia and Hamartoma Imaging Features with
Peptic Duodenitis With Brunner's Gland Hyperplasia In patients with peptic duodenitis, groups of brunner glands may be present in the superficial portion of the mucosa. Brunner glands diminish in size and. Brunner’s gland hyperplasia is a very rare lesion of the duodenum, which is usually asymptomatic and diagnosed incidentally during. Brunner gland hyperplasia is associated most frequently with peptic duodenitis. The folds may be larger, more nodular, or polypoid compared with. Histologic findings indicative of duodenal mucosa injury as a result of chronic exposure to increased gastric secretion. Brunner gland hyperplasia (bgh) is defined as benign hyperplastic proliferation of mature brunner glands, commonly in the duodenal. In patients with peptic duodenitis, groups of brunner glands may be present in the superficial portion of the mucosa. They are designed to protect the duodenum from acid.
From clinicalpub.com
Polyps of the Small Intestine Clinical Tree Peptic Duodenitis With Brunner's Gland Hyperplasia Histologic findings indicative of duodenal mucosa injury as a result of chronic exposure to increased gastric secretion. In patients with peptic duodenitis, groups of brunner glands may be present in the superficial portion of the mucosa. The folds may be larger, more nodular, or polypoid compared with. They are designed to protect the duodenum from acid. Brunner gland hyperplasia (bgh). Peptic Duodenitis With Brunner's Gland Hyperplasia.
From www.pathologyjournal.rcpa.edu.au
Brunner’s gland cyst a clinicopathological study of 25 cases Peptic Duodenitis With Brunner's Gland Hyperplasia The folds may be larger, more nodular, or polypoid compared with. They are designed to protect the duodenum from acid. Brunner’s gland hyperplasia is a very rare lesion of the duodenum, which is usually asymptomatic and diagnosed incidentally during. Brunner gland hyperplasia (bgh) is defined as benign hyperplastic proliferation of mature brunner glands, commonly in the duodenal. Histologic findings indicative. Peptic Duodenitis With Brunner's Gland Hyperplasia.
From www.mypathologyreport.ca
Peptic duodenitis (duodenum) MyPathologyReport.ca Peptic Duodenitis With Brunner's Gland Hyperplasia Histologic findings indicative of duodenal mucosa injury as a result of chronic exposure to increased gastric secretion. Brunner’s gland hyperplasia is a very rare lesion of the duodenum, which is usually asymptomatic and diagnosed incidentally during. Brunner gland hyperplasia is associated most frequently with peptic duodenitis. Brunner glands diminish in size and. Brunner gland hyperplasia (bgh) is defined as benign. Peptic Duodenitis With Brunner's Gland Hyperplasia.
From clinicalpub.com
Neoplasms of the Small Intestine Clinical Tree Peptic Duodenitis With Brunner's Gland Hyperplasia In patients with peptic duodenitis, groups of brunner glands may be present in the superficial portion of the mucosa. Brunner gland hyperplasia (bgh) is defined as benign hyperplastic proliferation of mature brunner glands, commonly in the duodenal. Histologic findings indicative of duodenal mucosa injury as a result of chronic exposure to increased gastric secretion. The folds may be larger, more. Peptic Duodenitis With Brunner's Gland Hyperplasia.
From www.youtube.com
Peptic Duodenitis, Celiac Disease, Duodenal Adenoma Pathology 101 GI Peptic Duodenitis With Brunner's Gland Hyperplasia Brunner gland hyperplasia (bgh) is defined as benign hyperplastic proliferation of mature brunner glands, commonly in the duodenal. The folds may be larger, more nodular, or polypoid compared with. Histologic findings indicative of duodenal mucosa injury as a result of chronic exposure to increased gastric secretion. Brunner glands diminish in size and. They are designed to protect the duodenum from. Peptic Duodenitis With Brunner's Gland Hyperplasia.
From www.pathologyoutlines.com
Pathology Outlines Peptic duodenitis Peptic Duodenitis With Brunner's Gland Hyperplasia Brunner’s gland hyperplasia is a very rare lesion of the duodenum, which is usually asymptomatic and diagnosed incidentally during. In patients with peptic duodenitis, groups of brunner glands may be present in the superficial portion of the mucosa. The folds may be larger, more nodular, or polypoid compared with. Histologic findings indicative of duodenal mucosa injury as a result of. Peptic Duodenitis With Brunner's Gland Hyperplasia.
From radiologykey.com
Brunner Gland Hyperplasia Radiology Key Peptic Duodenitis With Brunner's Gland Hyperplasia Brunner gland hyperplasia (bgh) is defined as benign hyperplastic proliferation of mature brunner glands, commonly in the duodenal. In patients with peptic duodenitis, groups of brunner glands may be present in the superficial portion of the mucosa. Brunner gland hyperplasia is associated most frequently with peptic duodenitis. Brunner’s gland hyperplasia is a very rare lesion of the duodenum, which is. Peptic Duodenitis With Brunner's Gland Hyperplasia.
From fer13013.blogspot.com
GASTROINTESTINAL AND LIVER HISTOLOGY PATHOLOGY ATLAS DUODENUM PEPTIC Peptic Duodenitis With Brunner's Gland Hyperplasia Brunner’s gland hyperplasia is a very rare lesion of the duodenum, which is usually asymptomatic and diagnosed incidentally during. They are designed to protect the duodenum from acid. Brunner gland hyperplasia is associated most frequently with peptic duodenitis. The folds may be larger, more nodular, or polypoid compared with. Histologic findings indicative of duodenal mucosa injury as a result of. Peptic Duodenitis With Brunner's Gland Hyperplasia.
From fer13013.blogspot.com
GASTROINTESTINAL AND LIVER HISTOLOGY PATHOLOGY ATLAS DUODENUM PEPTIC Peptic Duodenitis With Brunner's Gland Hyperplasia Brunner gland hyperplasia is associated most frequently with peptic duodenitis. Brunner gland hyperplasia (bgh) is defined as benign hyperplastic proliferation of mature brunner glands, commonly in the duodenal. Brunner’s gland hyperplasia is a very rare lesion of the duodenum, which is usually asymptomatic and diagnosed incidentally during. In patients with peptic duodenitis, groups of brunner glands may be present in. Peptic Duodenitis With Brunner's Gland Hyperplasia.
From www.ajronline.org
Brunner's Gland Hyperplasia and Hamartoma Imaging Features with Peptic Duodenitis With Brunner's Gland Hyperplasia They are designed to protect the duodenum from acid. Histologic findings indicative of duodenal mucosa injury as a result of chronic exposure to increased gastric secretion. In patients with peptic duodenitis, groups of brunner glands may be present in the superficial portion of the mucosa. Brunner’s gland hyperplasia is a very rare lesion of the duodenum, which is usually asymptomatic. Peptic Duodenitis With Brunner's Gland Hyperplasia.
From www.pathologyoutlines.com
Pathology Outlines Peptic duodenitis Peptic Duodenitis With Brunner's Gland Hyperplasia The folds may be larger, more nodular, or polypoid compared with. Brunner’s gland hyperplasia is a very rare lesion of the duodenum, which is usually asymptomatic and diagnosed incidentally during. Brunner gland hyperplasia is associated most frequently with peptic duodenitis. Brunner gland hyperplasia (bgh) is defined as benign hyperplastic proliferation of mature brunner glands, commonly in the duodenal. They are. Peptic Duodenitis With Brunner's Gland Hyperplasia.
From www.ajronline.org
Brunner's Gland Hyperplasia and Hamartoma Imaging Features with Peptic Duodenitis With Brunner's Gland Hyperplasia Histologic findings indicative of duodenal mucosa injury as a result of chronic exposure to increased gastric secretion. Brunner gland hyperplasia (bgh) is defined as benign hyperplastic proliferation of mature brunner glands, commonly in the duodenal. The folds may be larger, more nodular, or polypoid compared with. They are designed to protect the duodenum from acid. In patients with peptic duodenitis,. Peptic Duodenitis With Brunner's Gland Hyperplasia.
From www.pathologyoutlines.com
Pathology Outlines Peptic duodenitis Peptic Duodenitis With Brunner's Gland Hyperplasia Brunner glands diminish in size and. Brunner’s gland hyperplasia is a very rare lesion of the duodenum, which is usually asymptomatic and diagnosed incidentally during. The folds may be larger, more nodular, or polypoid compared with. Brunner gland hyperplasia (bgh) is defined as benign hyperplastic proliferation of mature brunner glands, commonly in the duodenal. Histologic findings indicative of duodenal mucosa. Peptic Duodenitis With Brunner's Gland Hyperplasia.
From www.ajronline.org
Brunner's Gland Hyperplasia and Hamartoma Imaging Features with Peptic Duodenitis With Brunner's Gland Hyperplasia In patients with peptic duodenitis, groups of brunner glands may be present in the superficial portion of the mucosa. Histologic findings indicative of duodenal mucosa injury as a result of chronic exposure to increased gastric secretion. Brunner gland hyperplasia is associated most frequently with peptic duodenitis. Brunner gland hyperplasia (bgh) is defined as benign hyperplastic proliferation of mature brunner glands,. Peptic Duodenitis With Brunner's Gland Hyperplasia.
From www.pathologyoutlines.com
Pathology Outlines Peptic duodenitis Peptic Duodenitis With Brunner's Gland Hyperplasia Brunner gland hyperplasia is associated most frequently with peptic duodenitis. The folds may be larger, more nodular, or polypoid compared with. Brunner’s gland hyperplasia is a very rare lesion of the duodenum, which is usually asymptomatic and diagnosed incidentally during. In patients with peptic duodenitis, groups of brunner glands may be present in the superficial portion of the mucosa. Brunner. Peptic Duodenitis With Brunner's Gland Hyperplasia.
From fer13013.blogspot.com
GASTROINTESTINAL AND LIVER HISTOLOGY PATHOLOGY ATLAS DUODENUM PEPTIC Peptic Duodenitis With Brunner's Gland Hyperplasia The folds may be larger, more nodular, or polypoid compared with. They are designed to protect the duodenum from acid. Brunner glands diminish in size and. Brunner’s gland hyperplasia is a very rare lesion of the duodenum, which is usually asymptomatic and diagnosed incidentally during. Brunner gland hyperplasia is associated most frequently with peptic duodenitis. Histologic findings indicative of duodenal. Peptic Duodenitis With Brunner's Gland Hyperplasia.
From www.ajronline.org
Brunner's Gland Hyperplasia and Hamartoma Imaging Features with Peptic Duodenitis With Brunner's Gland Hyperplasia Brunner glands diminish in size and. Brunner gland hyperplasia is associated most frequently with peptic duodenitis. Brunner’s gland hyperplasia is a very rare lesion of the duodenum, which is usually asymptomatic and diagnosed incidentally during. They are designed to protect the duodenum from acid. The folds may be larger, more nodular, or polypoid compared with. In patients with peptic duodenitis,. Peptic Duodenitis With Brunner's Gland Hyperplasia.
From klapapzzt.blob.core.windows.net
Enlarged Brunner Glands at Kevin Navarro blog Peptic Duodenitis With Brunner's Gland Hyperplasia The folds may be larger, more nodular, or polypoid compared with. Brunner glands diminish in size and. Brunner gland hyperplasia (bgh) is defined as benign hyperplastic proliferation of mature brunner glands, commonly in the duodenal. Brunner’s gland hyperplasia is a very rare lesion of the duodenum, which is usually asymptomatic and diagnosed incidentally during. Brunner gland hyperplasia is associated most. Peptic Duodenitis With Brunner's Gland Hyperplasia.
From www.sciencephoto.com
Peptic duodenitis, light micrograph Stock Image C057/1437 Science Peptic Duodenitis With Brunner's Gland Hyperplasia Brunner gland hyperplasia (bgh) is defined as benign hyperplastic proliferation of mature brunner glands, commonly in the duodenal. Brunner gland hyperplasia is associated most frequently with peptic duodenitis. In patients with peptic duodenitis, groups of brunner glands may be present in the superficial portion of the mucosa. They are designed to protect the duodenum from acid. Brunner glands diminish in. Peptic Duodenitis With Brunner's Gland Hyperplasia.
From www.researchgate.net
Histological images of Brunner's gland hyperplasia in the duodenum. (A Peptic Duodenitis With Brunner's Gland Hyperplasia Brunner glands diminish in size and. Histologic findings indicative of duodenal mucosa injury as a result of chronic exposure to increased gastric secretion. Brunner’s gland hyperplasia is a very rare lesion of the duodenum, which is usually asymptomatic and diagnosed incidentally during. Brunner gland hyperplasia (bgh) is defined as benign hyperplastic proliferation of mature brunner glands, commonly in the duodenal.. Peptic Duodenitis With Brunner's Gland Hyperplasia.
From www.pathologyoutlines.com
Pathology Outlines Brunner gland hyperplasia Peptic Duodenitis With Brunner's Gland Hyperplasia Brunner’s gland hyperplasia is a very rare lesion of the duodenum, which is usually asymptomatic and diagnosed incidentally during. Brunner gland hyperplasia (bgh) is defined as benign hyperplastic proliferation of mature brunner glands, commonly in the duodenal. They are designed to protect the duodenum from acid. The folds may be larger, more nodular, or polypoid compared with. Histologic findings indicative. Peptic Duodenitis With Brunner's Gland Hyperplasia.
From www.cureus.com
Cureus Brunner's Gland Hyperplasia A Massive Duodenal Lesion Peptic Duodenitis With Brunner's Gland Hyperplasia Brunner glands diminish in size and. The folds may be larger, more nodular, or polypoid compared with. Brunner’s gland hyperplasia is a very rare lesion of the duodenum, which is usually asymptomatic and diagnosed incidentally during. Histologic findings indicative of duodenal mucosa injury as a result of chronic exposure to increased gastric secretion. They are designed to protect the duodenum. Peptic Duodenitis With Brunner's Gland Hyperplasia.
From fer13013.blogspot.com
GASTROINTESTINAL AND LIVER HISTOLOGY PATHOLOGY ATLAS DUODENUM PEPTIC Peptic Duodenitis With Brunner's Gland Hyperplasia Brunner gland hyperplasia is associated most frequently with peptic duodenitis. The folds may be larger, more nodular, or polypoid compared with. In patients with peptic duodenitis, groups of brunner glands may be present in the superficial portion of the mucosa. They are designed to protect the duodenum from acid. Histologic findings indicative of duodenal mucosa injury as a result of. Peptic Duodenitis With Brunner's Gland Hyperplasia.
From www.wjgnet.com
Brunner’s gland hyperplasia associated with lipomatous Peptic Duodenitis With Brunner's Gland Hyperplasia Brunner gland hyperplasia (bgh) is defined as benign hyperplastic proliferation of mature brunner glands, commonly in the duodenal. Brunner glands diminish in size and. Brunner’s gland hyperplasia is a very rare lesion of the duodenum, which is usually asymptomatic and diagnosed incidentally during. They are designed to protect the duodenum from acid. Histologic findings indicative of duodenal mucosa injury as. Peptic Duodenitis With Brunner's Gland Hyperplasia.
From www.pathologyoutlines.com
Pathology Outlines Brunner gland hyperplasia Peptic Duodenitis With Brunner's Gland Hyperplasia Brunner gland hyperplasia (bgh) is defined as benign hyperplastic proliferation of mature brunner glands, commonly in the duodenal. In patients with peptic duodenitis, groups of brunner glands may be present in the superficial portion of the mucosa. Brunner’s gland hyperplasia is a very rare lesion of the duodenum, which is usually asymptomatic and diagnosed incidentally during. Brunner glands diminish in. Peptic Duodenitis With Brunner's Gland Hyperplasia.
From www.pathologyoutlines.com
Pathology Outlines Brunner gland hyperplasia Peptic Duodenitis With Brunner's Gland Hyperplasia Brunner gland hyperplasia (bgh) is defined as benign hyperplastic proliferation of mature brunner glands, commonly in the duodenal. They are designed to protect the duodenum from acid. In patients with peptic duodenitis, groups of brunner glands may be present in the superficial portion of the mucosa. Brunner glands diminish in size and. Brunner’s gland hyperplasia is a very rare lesion. Peptic Duodenitis With Brunner's Gland Hyperplasia.
From www.ajronline.org
Brunner's Gland Hyperplasia and Hamartoma Imaging Features with Peptic Duodenitis With Brunner's Gland Hyperplasia In patients with peptic duodenitis, groups of brunner glands may be present in the superficial portion of the mucosa. Brunner gland hyperplasia is associated most frequently with peptic duodenitis. They are designed to protect the duodenum from acid. Brunner’s gland hyperplasia is a very rare lesion of the duodenum, which is usually asymptomatic and diagnosed incidentally during. Brunner gland hyperplasia. Peptic Duodenitis With Brunner's Gland Hyperplasia.
From www.pathologyoutlines.com
Pathology Outlines Brunner gland hyperplasia Peptic Duodenitis With Brunner's Gland Hyperplasia Brunner’s gland hyperplasia is a very rare lesion of the duodenum, which is usually asymptomatic and diagnosed incidentally during. The folds may be larger, more nodular, or polypoid compared with. Brunner glands diminish in size and. In patients with peptic duodenitis, groups of brunner glands may be present in the superficial portion of the mucosa. They are designed to protect. Peptic Duodenitis With Brunner's Gland Hyperplasia.
From blog.naver.com
브루너샘 과형성증(Brunner's gland hyperplasia) 네이버 블로그 Peptic Duodenitis With Brunner's Gland Hyperplasia The folds may be larger, more nodular, or polypoid compared with. Histologic findings indicative of duodenal mucosa injury as a result of chronic exposure to increased gastric secretion. Brunner gland hyperplasia is associated most frequently with peptic duodenitis. Brunner gland hyperplasia (bgh) is defined as benign hyperplastic proliferation of mature brunner glands, commonly in the duodenal. In patients with peptic. Peptic Duodenitis With Brunner's Gland Hyperplasia.
From www.researchgate.net
Duodenal biopsy Brunner gland hyperplasia Download Scientific Diagram Peptic Duodenitis With Brunner's Gland Hyperplasia Brunner’s gland hyperplasia is a very rare lesion of the duodenum, which is usually asymptomatic and diagnosed incidentally during. The folds may be larger, more nodular, or polypoid compared with. In patients with peptic duodenitis, groups of brunner glands may be present in the superficial portion of the mucosa. Brunner glands diminish in size and. Brunner gland hyperplasia is associated. Peptic Duodenitis With Brunner's Gland Hyperplasia.
From www.pathologyoutlines.com
Pathology Outlines Peptic duodenitis Peptic Duodenitis With Brunner's Gland Hyperplasia Brunner gland hyperplasia (bgh) is defined as benign hyperplastic proliferation of mature brunner glands, commonly in the duodenal. Brunner glands diminish in size and. Brunner gland hyperplasia is associated most frequently with peptic duodenitis. Brunner’s gland hyperplasia is a very rare lesion of the duodenum, which is usually asymptomatic and diagnosed incidentally during. Histologic findings indicative of duodenal mucosa injury. Peptic Duodenitis With Brunner's Gland Hyperplasia.
From www.researchgate.net
A, Brunner gland hyperplastic nodule/polyp. At low power, hyperplastic Peptic Duodenitis With Brunner's Gland Hyperplasia They are designed to protect the duodenum from acid. Brunner gland hyperplasia (bgh) is defined as benign hyperplastic proliferation of mature brunner glands, commonly in the duodenal. Histologic findings indicative of duodenal mucosa injury as a result of chronic exposure to increased gastric secretion. Brunner gland hyperplasia is associated most frequently with peptic duodenitis. In patients with peptic duodenitis, groups. Peptic Duodenitis With Brunner's Gland Hyperplasia.
From fer13013.blogspot.com
GASTROINTESTINAL AND LIVER HISTOLOGY PATHOLOGY ATLAS DUODENUM PEPTIC Peptic Duodenitis With Brunner's Gland Hyperplasia Brunner gland hyperplasia (bgh) is defined as benign hyperplastic proliferation of mature brunner glands, commonly in the duodenal. In patients with peptic duodenitis, groups of brunner glands may be present in the superficial portion of the mucosa. Brunner’s gland hyperplasia is a very rare lesion of the duodenum, which is usually asymptomatic and diagnosed incidentally during. Histologic findings indicative of. Peptic Duodenitis With Brunner's Gland Hyperplasia.
From www.ajronline.org
Brunner's Gland Hyperplasia and Hamartoma Imaging Features with Peptic Duodenitis With Brunner's Gland Hyperplasia Brunner gland hyperplasia (bgh) is defined as benign hyperplastic proliferation of mature brunner glands, commonly in the duodenal. In patients with peptic duodenitis, groups of brunner glands may be present in the superficial portion of the mucosa. Brunner’s gland hyperplasia is a very rare lesion of the duodenum, which is usually asymptomatic and diagnosed incidentally during. Histologic findings indicative of. Peptic Duodenitis With Brunner's Gland Hyperplasia.
From www.pathologyoutlines.com
Pathology Outlines Brunner gland hyperplasia Peptic Duodenitis With Brunner's Gland Hyperplasia In patients with peptic duodenitis, groups of brunner glands may be present in the superficial portion of the mucosa. Brunner glands diminish in size and. Brunner gland hyperplasia is associated most frequently with peptic duodenitis. Histologic findings indicative of duodenal mucosa injury as a result of chronic exposure to increased gastric secretion. The folds may be larger, more nodular, or. Peptic Duodenitis With Brunner's Gland Hyperplasia.