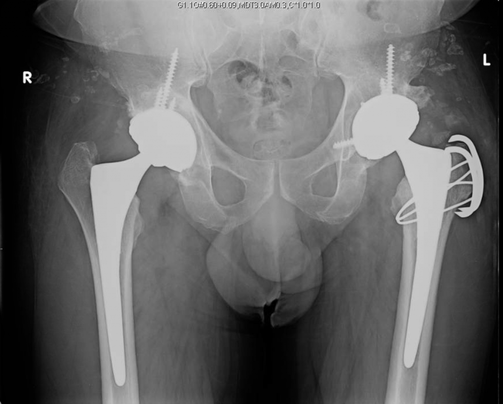
Hip Fusion Vs. Hip Replacement . Conversion of hip fusion to hip replacement carries an increased risk of heterotopic ossification and neurological injury. The most common indications are a painful. An implant survival rate higher than 70% can be expected 25 years postoperatively. We advise prophylaxis against heterotropic ossification. The surgeon is more likely to encounter a patient who requests conversion to total hip replacement (thr). Conversion of hip fusion to hip replacement carries an increased risk of heterotopic ossification and neurological injury.
from boneandjoint.org.uk
Conversion of hip fusion to hip replacement carries an increased risk of heterotopic ossification and neurological injury. Conversion of hip fusion to hip replacement carries an increased risk of heterotopic ossification and neurological injury. The most common indications are a painful. The surgeon is more likely to encounter a patient who requests conversion to total hip replacement (thr). An implant survival rate higher than 70% can be expected 25 years postoperatively. We advise prophylaxis against heterotropic ossification.
Functional results and complications following conversion of hip fusion
Hip Fusion Vs. Hip Replacement We advise prophylaxis against heterotropic ossification. The most common indications are a painful. We advise prophylaxis against heterotropic ossification. Conversion of hip fusion to hip replacement carries an increased risk of heterotopic ossification and neurological injury. An implant survival rate higher than 70% can be expected 25 years postoperatively. Conversion of hip fusion to hip replacement carries an increased risk of heterotopic ossification and neurological injury. The surgeon is more likely to encounter a patient who requests conversion to total hip replacement (thr).
From regenexx.com
hip replacement after lumbar fusion Hip Fusion Vs. Hip Replacement The surgeon is more likely to encounter a patient who requests conversion to total hip replacement (thr). The most common indications are a painful. An implant survival rate higher than 70% can be expected 25 years postoperatively. Conversion of hip fusion to hip replacement carries an increased risk of heterotopic ossification and neurological injury. We advise prophylaxis against heterotropic ossification.. Hip Fusion Vs. Hip Replacement.
From wellnesshospitals.in
Hip Arthroscopy vs Total Hip Replacement A Comprehensive Comparison Hip Fusion Vs. Hip Replacement The surgeon is more likely to encounter a patient who requests conversion to total hip replacement (thr). The most common indications are a painful. We advise prophylaxis against heterotropic ossification. Conversion of hip fusion to hip replacement carries an increased risk of heterotopic ossification and neurological injury. An implant survival rate higher than 70% can be expected 25 years postoperatively.. Hip Fusion Vs. Hip Replacement.
From www.researchgate.net
(PDF) Conversion of hip fusion to total hip replacement TECHNIQUE AND Hip Fusion Vs. Hip Replacement Conversion of hip fusion to hip replacement carries an increased risk of heterotopic ossification and neurological injury. The most common indications are a painful. Conversion of hip fusion to hip replacement carries an increased risk of heterotopic ossification and neurological injury. The surgeon is more likely to encounter a patient who requests conversion to total hip replacement (thr). An implant. Hip Fusion Vs. Hip Replacement.
From www.slideserve.com
PPT Hip Surgery and Mobility PowerPoint Presentation, free download Hip Fusion Vs. Hip Replacement Conversion of hip fusion to hip replacement carries an increased risk of heterotopic ossification and neurological injury. The surgeon is more likely to encounter a patient who requests conversion to total hip replacement (thr). Conversion of hip fusion to hip replacement carries an increased risk of heterotopic ossification and neurological injury. The most common indications are a painful. An implant. Hip Fusion Vs. Hip Replacement.
From www.pinterest.com
Anterior vs. Posterior Hip Replacement Surgeries Total hip Hip Fusion Vs. Hip Replacement The most common indications are a painful. An implant survival rate higher than 70% can be expected 25 years postoperatively. Conversion of hip fusion to hip replacement carries an increased risk of heterotopic ossification and neurological injury. The surgeon is more likely to encounter a patient who requests conversion to total hip replacement (thr). Conversion of hip fusion to hip. Hip Fusion Vs. Hip Replacement.
From www.operatingroomissues.org
Hip Replacement What you need to know The Operating Room Global Hip Fusion Vs. Hip Replacement The most common indications are a painful. We advise prophylaxis against heterotropic ossification. Conversion of hip fusion to hip replacement carries an increased risk of heterotopic ossification and neurological injury. An implant survival rate higher than 70% can be expected 25 years postoperatively. Conversion of hip fusion to hip replacement carries an increased risk of heterotopic ossification and neurological injury.. Hip Fusion Vs. Hip Replacement.
From regenexx.com
hip replacement and back fusion Hip Fusion Vs. Hip Replacement An implant survival rate higher than 70% can be expected 25 years postoperatively. Conversion of hip fusion to hip replacement carries an increased risk of heterotopic ossification and neurological injury. The most common indications are a painful. Conversion of hip fusion to hip replacement carries an increased risk of heterotopic ossification and neurological injury. We advise prophylaxis against heterotropic ossification.. Hip Fusion Vs. Hip Replacement.
From medicaltourismparexcellence.blogspot.com
Medical Tourism Par Excellence! Hip Resurfacing Hip Fusion Vs. Hip Replacement We advise prophylaxis against heterotropic ossification. The surgeon is more likely to encounter a patient who requests conversion to total hip replacement (thr). An implant survival rate higher than 70% can be expected 25 years postoperatively. The most common indications are a painful. Conversion of hip fusion to hip replacement carries an increased risk of heterotopic ossification and neurological injury.. Hip Fusion Vs. Hip Replacement.
From www.youtube.com
Difference Between Hip Resurfacing And Total Hip Replacement YouTube Hip Fusion Vs. Hip Replacement An implant survival rate higher than 70% can be expected 25 years postoperatively. The surgeon is more likely to encounter a patient who requests conversion to total hip replacement (thr). We advise prophylaxis against heterotropic ossification. Conversion of hip fusion to hip replacement carries an increased risk of heterotopic ossification and neurological injury. The most common indications are a painful.. Hip Fusion Vs. Hip Replacement.
From www.3dsportsmed.com
Hip Replacement at 3D Sports Medicine and Orthopaedic Center Hip Fusion Vs. Hip Replacement The surgeon is more likely to encounter a patient who requests conversion to total hip replacement (thr). The most common indications are a painful. An implant survival rate higher than 70% can be expected 25 years postoperatively. Conversion of hip fusion to hip replacement carries an increased risk of heterotopic ossification and neurological injury. We advise prophylaxis against heterotropic ossification.. Hip Fusion Vs. Hip Replacement.
From www.darwinchenmd.com
Hip Fusion Conversion to THA Darwin Chen, MD Hip Fusion Vs. Hip Replacement The most common indications are a painful. The surgeon is more likely to encounter a patient who requests conversion to total hip replacement (thr). Conversion of hip fusion to hip replacement carries an increased risk of heterotopic ossification and neurological injury. We advise prophylaxis against heterotropic ossification. Conversion of hip fusion to hip replacement carries an increased risk of heterotopic. Hip Fusion Vs. Hip Replacement.
From toppng.com
hemiarthroplasty vs total hip replacement PNG image with transparent Hip Fusion Vs. Hip Replacement The surgeon is more likely to encounter a patient who requests conversion to total hip replacement (thr). An implant survival rate higher than 70% can be expected 25 years postoperatively. We advise prophylaxis against heterotropic ossification. Conversion of hip fusion to hip replacement carries an increased risk of heterotopic ossification and neurological injury. Conversion of hip fusion to hip replacement. Hip Fusion Vs. Hip Replacement.
From www.slideserve.com
PPT Hip Hemiarthroplasty vs Total Hip Replacement Indications Hip Fusion Vs. Hip Replacement Conversion of hip fusion to hip replacement carries an increased risk of heterotopic ossification and neurological injury. Conversion of hip fusion to hip replacement carries an increased risk of heterotopic ossification and neurological injury. The surgeon is more likely to encounter a patient who requests conversion to total hip replacement (thr). We advise prophylaxis against heterotropic ossification. An implant survival. Hip Fusion Vs. Hip Replacement.
From boneandjoint.org.uk
Functional results and complications following conversion of hip fusion Hip Fusion Vs. Hip Replacement Conversion of hip fusion to hip replacement carries an increased risk of heterotopic ossification and neurological injury. The most common indications are a painful. An implant survival rate higher than 70% can be expected 25 years postoperatively. Conversion of hip fusion to hip replacement carries an increased risk of heterotopic ossification and neurological injury. The surgeon is more likely to. Hip Fusion Vs. Hip Replacement.
From www.arthritis-health.com
Anterior vs. Posterior Hip Replacement Surgeries Hip Fusion Vs. Hip Replacement An implant survival rate higher than 70% can be expected 25 years postoperatively. The most common indications are a painful. We advise prophylaxis against heterotropic ossification. Conversion of hip fusion to hip replacement carries an increased risk of heterotopic ossification and neurological injury. Conversion of hip fusion to hip replacement carries an increased risk of heterotopic ossification and neurological injury.. Hip Fusion Vs. Hip Replacement.
From blog.mercy.com
Total Hip Replacement vs. Hip Preservation Mercy Health Blog Hip Fusion Vs. Hip Replacement We advise prophylaxis against heterotropic ossification. Conversion of hip fusion to hip replacement carries an increased risk of heterotopic ossification and neurological injury. The surgeon is more likely to encounter a patient who requests conversion to total hip replacement (thr). An implant survival rate higher than 70% can be expected 25 years postoperatively. Conversion of hip fusion to hip replacement. Hip Fusion Vs. Hip Replacement.
From caringmedical.com
Hipspine syndrome before and after failed hip replacement and lumbar Hip Fusion Vs. Hip Replacement An implant survival rate higher than 70% can be expected 25 years postoperatively. The surgeon is more likely to encounter a patient who requests conversion to total hip replacement (thr). Conversion of hip fusion to hip replacement carries an increased risk of heterotopic ossification and neurological injury. The most common indications are a painful. We advise prophylaxis against heterotropic ossification.. Hip Fusion Vs. Hip Replacement.
From www.eternalhospital.com
What is the importance of a hip joint and who requires hip replacement Hip Fusion Vs. Hip Replacement The most common indications are a painful. The surgeon is more likely to encounter a patient who requests conversion to total hip replacement (thr). Conversion of hip fusion to hip replacement carries an increased risk of heterotopic ossification and neurological injury. Conversion of hip fusion to hip replacement carries an increased risk of heterotopic ossification and neurological injury. We advise. Hip Fusion Vs. Hip Replacement.
From boneandjoint.org.uk
Functional results and complications following conversion of hip fusion Hip Fusion Vs. Hip Replacement An implant survival rate higher than 70% can be expected 25 years postoperatively. Conversion of hip fusion to hip replacement carries an increased risk of heterotopic ossification and neurological injury. The most common indications are a painful. Conversion of hip fusion to hip replacement carries an increased risk of heterotopic ossification and neurological injury. We advise prophylaxis against heterotropic ossification.. Hip Fusion Vs. Hip Replacement.
From www.sutured.com
Hemiarthroplasty vs Total Hip Replacement Sutured Hip Fusion Vs. Hip Replacement Conversion of hip fusion to hip replacement carries an increased risk of heterotopic ossification and neurological injury. An implant survival rate higher than 70% can be expected 25 years postoperatively. We advise prophylaxis against heterotropic ossification. Conversion of hip fusion to hip replacement carries an increased risk of heterotopic ossification and neurological injury. The most common indications are a painful.. Hip Fusion Vs. Hip Replacement.
From www.cortho.org
Partial Hip Vs Total Hip Joint Replacement Complete Orthopedics Hip Fusion Vs. Hip Replacement We advise prophylaxis against heterotropic ossification. Conversion of hip fusion to hip replacement carries an increased risk of heterotopic ossification and neurological injury. An implant survival rate higher than 70% can be expected 25 years postoperatively. Conversion of hip fusion to hip replacement carries an increased risk of heterotopic ossification and neurological injury. The surgeon is more likely to encounter. Hip Fusion Vs. Hip Replacement.
From delcore.org
ANTERIOR VS. POSTERIOR HIP REPLACEMENT Cedar Orthopaedic Surgery Hip Fusion Vs. Hip Replacement Conversion of hip fusion to hip replacement carries an increased risk of heterotopic ossification and neurological injury. We advise prophylaxis against heterotropic ossification. An implant survival rate higher than 70% can be expected 25 years postoperatively. The most common indications are a painful. The surgeon is more likely to encounter a patient who requests conversion to total hip replacement (thr).. Hip Fusion Vs. Hip Replacement.
From www.usaspinecare.com
Partial Hip Replacement vs. Total Hip Replacement USA Spine & Ortho Hip Fusion Vs. Hip Replacement The surgeon is more likely to encounter a patient who requests conversion to total hip replacement (thr). The most common indications are a painful. We advise prophylaxis against heterotropic ossification. An implant survival rate higher than 70% can be expected 25 years postoperatively. Conversion of hip fusion to hip replacement carries an increased risk of heterotopic ossification and neurological injury.. Hip Fusion Vs. Hip Replacement.
From mwbjc.com
Hip Surgery and Replacement Midwest Bone & Joint Center Hip Fusion Vs. Hip Replacement An implant survival rate higher than 70% can be expected 25 years postoperatively. The most common indications are a painful. The surgeon is more likely to encounter a patient who requests conversion to total hip replacement (thr). Conversion of hip fusion to hip replacement carries an increased risk of heterotopic ossification and neurological injury. Conversion of hip fusion to hip. Hip Fusion Vs. Hip Replacement.
From boneandjoint.org.uk
Conversion of hip fusion to total hip replacement Bone & Joint Hip Fusion Vs. Hip Replacement We advise prophylaxis against heterotropic ossification. Conversion of hip fusion to hip replacement carries an increased risk of heterotopic ossification and neurological injury. An implant survival rate higher than 70% can be expected 25 years postoperatively. The surgeon is more likely to encounter a patient who requests conversion to total hip replacement (thr). The most common indications are a painful.. Hip Fusion Vs. Hip Replacement.
From www.artofit.org
Anterior vs posterior hip replacement which is better Artofit Hip Fusion Vs. Hip Replacement An implant survival rate higher than 70% can be expected 25 years postoperatively. Conversion of hip fusion to hip replacement carries an increased risk of heterotopic ossification and neurological injury. The surgeon is more likely to encounter a patient who requests conversion to total hip replacement (thr). Conversion of hip fusion to hip replacement carries an increased risk of heterotopic. Hip Fusion Vs. Hip Replacement.
From www.choosept.com
Guide Physical Therapy Guide to Total Hip Replacement (Arthroplasty Hip Fusion Vs. Hip Replacement The surgeon is more likely to encounter a patient who requests conversion to total hip replacement (thr). An implant survival rate higher than 70% can be expected 25 years postoperatively. The most common indications are a painful. Conversion of hip fusion to hip replacement carries an increased risk of heterotopic ossification and neurological injury. Conversion of hip fusion to hip. Hip Fusion Vs. Hip Replacement.
From orthopedicreviews.openmedicalpublishing.org
Hip fusion takedown with total knee and hip arthroplasty in a patient Hip Fusion Vs. Hip Replacement Conversion of hip fusion to hip replacement carries an increased risk of heterotopic ossification and neurological injury. The surgeon is more likely to encounter a patient who requests conversion to total hip replacement (thr). The most common indications are a painful. An implant survival rate higher than 70% can be expected 25 years postoperatively. We advise prophylaxis against heterotropic ossification.. Hip Fusion Vs. Hip Replacement.
From knyamed.com
Bipolar Hemiarthroplasty vs Total Hip Replacement Understanding the Hip Fusion Vs. Hip Replacement Conversion of hip fusion to hip replacement carries an increased risk of heterotopic ossification and neurological injury. The most common indications are a painful. Conversion of hip fusion to hip replacement carries an increased risk of heterotopic ossification and neurological injury. The surgeon is more likely to encounter a patient who requests conversion to total hip replacement (thr). An implant. Hip Fusion Vs. Hip Replacement.
From boneandjoint.org.uk
Conversion of hip fusion to total hip replacement Bone & Joint Hip Fusion Vs. Hip Replacement The most common indications are a painful. Conversion of hip fusion to hip replacement carries an increased risk of heterotopic ossification and neurological injury. The surgeon is more likely to encounter a patient who requests conversion to total hip replacement (thr). Conversion of hip fusion to hip replacement carries an increased risk of heterotopic ossification and neurological injury. An implant. Hip Fusion Vs. Hip Replacement.
From issuu.com
What Is Total Hip Replacement? Difference Between Hemiarthroplasty Vs Hip Fusion Vs. Hip Replacement An implant survival rate higher than 70% can be expected 25 years postoperatively. Conversion of hip fusion to hip replacement carries an increased risk of heterotopic ossification and neurological injury. The most common indications are a painful. We advise prophylaxis against heterotropic ossification. Conversion of hip fusion to hip replacement carries an increased risk of heterotopic ossification and neurological injury.. Hip Fusion Vs. Hip Replacement.
From www.darwinchenmd.com
Hip Fusion Conversion to THA Darwin Chen, MD Hip Fusion Vs. Hip Replacement The surgeon is more likely to encounter a patient who requests conversion to total hip replacement (thr). Conversion of hip fusion to hip replacement carries an increased risk of heterotopic ossification and neurological injury. An implant survival rate higher than 70% can be expected 25 years postoperatively. We advise prophylaxis against heterotropic ossification. Conversion of hip fusion to hip replacement. Hip Fusion Vs. Hip Replacement.
From mavink.com
Total Hip Arthroplasty Anatomy Hip Fusion Vs. Hip Replacement An implant survival rate higher than 70% can be expected 25 years postoperatively. Conversion of hip fusion to hip replacement carries an increased risk of heterotopic ossification and neurological injury. The surgeon is more likely to encounter a patient who requests conversion to total hip replacement (thr). We advise prophylaxis against heterotropic ossification. The most common indications are a painful.. Hip Fusion Vs. Hip Replacement.
From dxoaqbmbz.blob.core.windows.net
What Is Hip Replacement Therapy at Cynthia Adams blog Hip Fusion Vs. Hip Replacement The surgeon is more likely to encounter a patient who requests conversion to total hip replacement (thr). Conversion of hip fusion to hip replacement carries an increased risk of heterotopic ossification and neurological injury. The most common indications are a painful. We advise prophylaxis against heterotropic ossification. An implant survival rate higher than 70% can be expected 25 years postoperatively.. Hip Fusion Vs. Hip Replacement.
From www.palmharborortho.com
Anterior vs. Posterior Hip Replacement Orthopedic Specialists Hip Fusion Vs. Hip Replacement We advise prophylaxis against heterotropic ossification. The surgeon is more likely to encounter a patient who requests conversion to total hip replacement (thr). Conversion of hip fusion to hip replacement carries an increased risk of heterotopic ossification and neurological injury. The most common indications are a painful. Conversion of hip fusion to hip replacement carries an increased risk of heterotopic. Hip Fusion Vs. Hip Replacement.