Cervical Shortening Definition . Cervical shortening is one of the common pathways to preterm birth associated with its own diagnostic and management challenges. For about 1 percent of expectant mothers who experience preterm labor, the cause is a condition called cervical insufficiency, formerly known as cervical incompetence. Identifying these women at risk allows clinicians the opportunity to. Cervical length refers to the length of the lower end of the uterus. Short cervical length (cl) found on morphological scan is associated with an elevated risk of spontaneous ptb. Essentially, effacement refers to the thinning of your cervix, the low, narrow end of the uterus that connects to. Cervical shortening is one of the early events in the processes leading to labor and can precede labor by several weeks. During pregnancy, the length of the cervix might shorten too soon, increasing the risk of preterm.
from www.twiniversity.com
Cervical shortening is one of the early events in the processes leading to labor and can precede labor by several weeks. For about 1 percent of expectant mothers who experience preterm labor, the cause is a condition called cervical insufficiency, formerly known as cervical incompetence. Identifying these women at risk allows clinicians the opportunity to. Cervical length refers to the length of the lower end of the uterus. Short cervical length (cl) found on morphological scan is associated with an elevated risk of spontaneous ptb. Cervical shortening is one of the common pathways to preterm birth associated with its own diagnostic and management challenges. During pregnancy, the length of the cervix might shorten too soon, increasing the risk of preterm. Essentially, effacement refers to the thinning of your cervix, the low, narrow end of the uterus that connects to.
What is a Shortened Cervix? Twiniversity 1 Parenting Twins Site
Cervical Shortening Definition Cervical shortening is one of the common pathways to preterm birth associated with its own diagnostic and management challenges. Cervical length refers to the length of the lower end of the uterus. Cervical shortening is one of the early events in the processes leading to labor and can precede labor by several weeks. Short cervical length (cl) found on morphological scan is associated with an elevated risk of spontaneous ptb. For about 1 percent of expectant mothers who experience preterm labor, the cause is a condition called cervical insufficiency, formerly known as cervical incompetence. Essentially, effacement refers to the thinning of your cervix, the low, narrow end of the uterus that connects to. During pregnancy, the length of the cervix might shorten too soon, increasing the risk of preterm. Cervical shortening is one of the common pathways to preterm birth associated with its own diagnostic and management challenges. Identifying these women at risk allows clinicians the opportunity to.
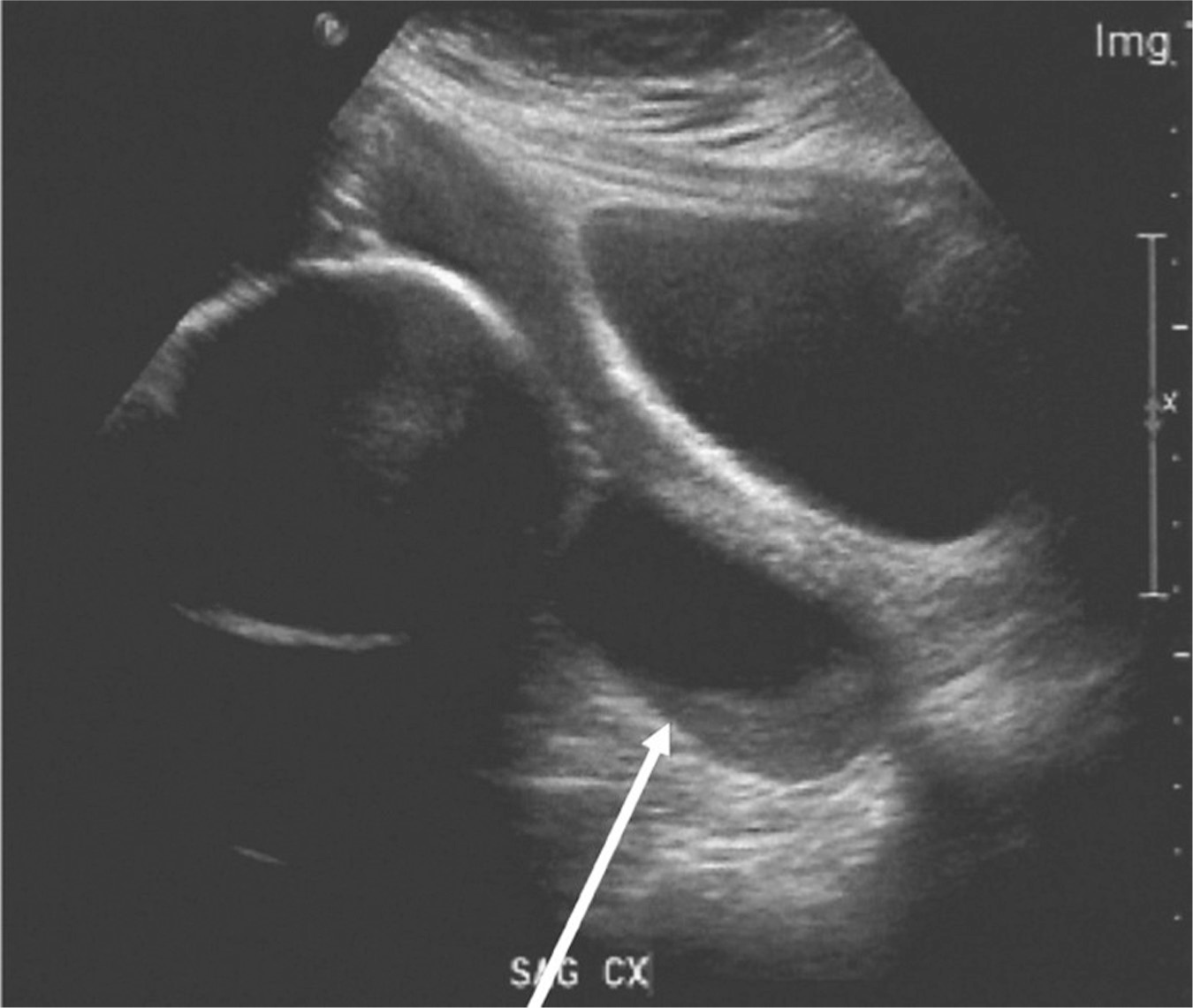
From www.researchgate.net
Inflammation as a marker for cervical shortening. Download Table Cervical Shortening Definition Cervical shortening is one of the common pathways to preterm birth associated with its own diagnostic and management challenges. Cervical length refers to the length of the lower end of the uterus. Cervical shortening is one of the early events in the processes leading to labor and can precede labor by several weeks. Essentially, effacement refers to the thinning of. Cervical Shortening Definition.
From www.researchgate.net
eceiverroperating characteristics curves for cervical length shortening... Download Scientific Cervical Shortening Definition For about 1 percent of expectant mothers who experience preterm labor, the cause is a condition called cervical insufficiency, formerly known as cervical incompetence. During pregnancy, the length of the cervix might shorten too soon, increasing the risk of preterm. Identifying these women at risk allows clinicians the opportunity to. Cervical shortening is one of the common pathways to preterm. Cervical Shortening Definition.
From www.medindia.net
Cervical Ripening Methods, Benefits, Risks Cervical Shortening Definition For about 1 percent of expectant mothers who experience preterm labor, the cause is a condition called cervical insufficiency, formerly known as cervical incompetence. Identifying these women at risk allows clinicians the opportunity to. Essentially, effacement refers to the thinning of your cervix, the low, narrow end of the uterus that connects to. Cervical shortening is one of the early. Cervical Shortening Definition.
From www.beingtheparent.com
Cervical Effacement During Pregnancy Being The Parent Cervical Shortening Definition Essentially, effacement refers to the thinning of your cervix, the low, narrow end of the uterus that connects to. Short cervical length (cl) found on morphological scan is associated with an elevated risk of spontaneous ptb. Cervical shortening is one of the early events in the processes leading to labor and can precede labor by several weeks. Cervical length refers. Cervical Shortening Definition.
From www.researchgate.net
(PDF) Effect of Membrane Sweeping on Cervical Length by Transvaginal Ultrasonography and Impact Cervical Shortening Definition Cervical shortening is one of the early events in the processes leading to labor and can precede labor by several weeks. During pregnancy, the length of the cervix might shorten too soon, increasing the risk of preterm. Cervical length refers to the length of the lower end of the uterus. Cervical shortening is one of the common pathways to preterm. Cervical Shortening Definition.
From www.obgyn.theclinics.com
The Short Cervix Obstetrics and Gynecology Clinics Cervical Shortening Definition Cervical shortening is one of the early events in the processes leading to labor and can precede labor by several weeks. For about 1 percent of expectant mothers who experience preterm labor, the cause is a condition called cervical insufficiency, formerly known as cervical incompetence. Cervical length refers to the length of the lower end of the uterus. Essentially, effacement. Cervical Shortening Definition.
From aneskey.com
Periviable Obstetric Management Anesthesia Key Cervical Shortening Definition For about 1 percent of expectant mothers who experience preterm labor, the cause is a condition called cervical insufficiency, formerly known as cervical incompetence. Identifying these women at risk allows clinicians the opportunity to. Cervical shortening is one of the common pathways to preterm birth associated with its own diagnostic and management challenges. Cervical length refers to the length of. Cervical Shortening Definition.
From www.slideserve.com
PPT Diagnostic Techniques for PreTerm Labor Ch 13 PowerPoint Presentation ID6739005 Cervical Shortening Definition Essentially, effacement refers to the thinning of your cervix, the low, narrow end of the uterus that connects to. Short cervical length (cl) found on morphological scan is associated with an elevated risk of spontaneous ptb. Cervical length refers to the length of the lower end of the uterus. During pregnancy, the length of the cervix might shorten too soon,. Cervical Shortening Definition.
From journals.sagepub.com
Comparison of Transabdominal and Transvaginal Sonograms in Evaluation of Cervical Length During Cervical Shortening Definition Cervical shortening is one of the common pathways to preterm birth associated with its own diagnostic and management challenges. Cervical shortening is one of the early events in the processes leading to labor and can precede labor by several weeks. Short cervical length (cl) found on morphological scan is associated with an elevated risk of spontaneous ptb. For about 1. Cervical Shortening Definition.
From www.slideserve.com
PPT Diagnostic Techniques for PreTerm Labor Ch 13 PowerPoint Presentation ID6739005 Cervical Shortening Definition Cervical length refers to the length of the lower end of the uterus. Cervical shortening is one of the early events in the processes leading to labor and can precede labor by several weeks. During pregnancy, the length of the cervix might shorten too soon, increasing the risk of preterm. Short cervical length (cl) found on morphological scan is associated. Cervical Shortening Definition.
From www.slideserve.com
PPT Diagnostic Techniques for PreTerm Labor Ch 13 PowerPoint Presentation ID6739005 Cervical Shortening Definition Short cervical length (cl) found on morphological scan is associated with an elevated risk of spontaneous ptb. Essentially, effacement refers to the thinning of your cervix, the low, narrow end of the uterus that connects to. Cervical shortening is one of the early events in the processes leading to labor and can precede labor by several weeks. During pregnancy, the. Cervical Shortening Definition.
From www.slideserve.com
PPT Accouchement prématuré et Rupture prématurée des membranes PowerPoint Presentation ID Cervical Shortening Definition Cervical shortening is one of the early events in the processes leading to labor and can precede labor by several weeks. During pregnancy, the length of the cervix might shorten too soon, increasing the risk of preterm. Short cervical length (cl) found on morphological scan is associated with an elevated risk of spontaneous ptb. Identifying these women at risk allows. Cervical Shortening Definition.
From www.whattoexpect.com
Cervical Effacement & Cervical Dilation Definition & More Cervical Shortening Definition Short cervical length (cl) found on morphological scan is associated with an elevated risk of spontaneous ptb. Identifying these women at risk allows clinicians the opportunity to. Cervical shortening is one of the common pathways to preterm birth associated with its own diagnostic and management challenges. Cervical shortening is one of the early events in the processes leading to labor. Cervical Shortening Definition.
From www.dreamstime.com
Three Types of Cervical Cerclage or Cervical Stitch, Treatment for Cervical Weakness Cervical Shortening Definition Essentially, effacement refers to the thinning of your cervix, the low, narrow end of the uterus that connects to. Cervical shortening is one of the early events in the processes leading to labor and can precede labor by several weeks. Cervical length refers to the length of the lower end of the uterus. For about 1 percent of expectant mothers. Cervical Shortening Definition.
From www.jogc.com
Guideline No. 401 Sonographic Cervical Length in Singleton Pregnancies Techniques and Clinical Cervical Shortening Definition Short cervical length (cl) found on morphological scan is associated with an elevated risk of spontaneous ptb. Cervical shortening is one of the common pathways to preterm birth associated with its own diagnostic and management challenges. Essentially, effacement refers to the thinning of your cervix, the low, narrow end of the uterus that connects to. Identifying these women at risk. Cervical Shortening Definition.
From teachmeobgyn.com
Cervical Ectropion Causes Investigations Management TeachMeObGyn Cervical Shortening Definition Cervical shortening is one of the common pathways to preterm birth associated with its own diagnostic and management challenges. Short cervical length (cl) found on morphological scan is associated with an elevated risk of spontaneous ptb. Essentially, effacement refers to the thinning of your cervix, the low, narrow end of the uterus that connects to. Cervical length refers to the. Cervical Shortening Definition.
From www.twiniversity.com
What is a Shortened Cervix? Twiniversity 1 Parenting Twins Site Cervical Shortening Definition Identifying these women at risk allows clinicians the opportunity to. Cervical shortening is one of the common pathways to preterm birth associated with its own diagnostic and management challenges. For about 1 percent of expectant mothers who experience preterm labor, the cause is a condition called cervical insufficiency, formerly known as cervical incompetence. During pregnancy, the length of the cervix. Cervical Shortening Definition.
From www.slideserve.com
PPT Normal labor and delivery PowerPoint Presentation ID475415 Cervical Shortening Definition Essentially, effacement refers to the thinning of your cervix, the low, narrow end of the uterus that connects to. Cervical shortening is one of the common pathways to preterm birth associated with its own diagnostic and management challenges. Cervical length refers to the length of the lower end of the uterus. Identifying these women at risk allows clinicians the opportunity. Cervical Shortening Definition.
From www.researchgate.net
(PDF) The use of cervical cerclage in asymptomatic twin pregnancies with cervical shortening or Cervical Shortening Definition For about 1 percent of expectant mothers who experience preterm labor, the cause is a condition called cervical insufficiency, formerly known as cervical incompetence. Cervical shortening is one of the common pathways to preterm birth associated with its own diagnostic and management challenges. Short cervical length (cl) found on morphological scan is associated with an elevated risk of spontaneous ptb.. Cervical Shortening Definition.
From www.researchgate.net
(PDF) A novel aspiration technique to assess cervical remodelling in patients with or without Cervical Shortening Definition For about 1 percent of expectant mothers who experience preterm labor, the cause is a condition called cervical insufficiency, formerly known as cervical incompetence. Essentially, effacement refers to the thinning of your cervix, the low, narrow end of the uterus that connects to. Short cervical length (cl) found on morphological scan is associated with an elevated risk of spontaneous ptb.. Cervical Shortening Definition.
From www.slideserve.com
PPT Preterm Birth PowerPoint Presentation, free download ID3591427 Cervical Shortening Definition Essentially, effacement refers to the thinning of your cervix, the low, narrow end of the uterus that connects to. Cervical length refers to the length of the lower end of the uterus. Cervical shortening is one of the early events in the processes leading to labor and can precede labor by several weeks. Short cervical length (cl) found on morphological. Cervical Shortening Definition.
From www.battistaillustration.com
Shortening of the cervix Battista Illustration Cervical Shortening Definition Cervical shortening is one of the early events in the processes leading to labor and can precede labor by several weeks. Identifying these women at risk allows clinicians the opportunity to. Essentially, effacement refers to the thinning of your cervix, the low, narrow end of the uterus that connects to. Cervical length refers to the length of the lower end. Cervical Shortening Definition.
From www.ovulation-calculators.com
Fertility and Ovulation How to Check Your Cervix and Cervical Position Ovulation Calculator Cervical Shortening Definition Short cervical length (cl) found on morphological scan is associated with an elevated risk of spontaneous ptb. Cervical shortening is one of the early events in the processes leading to labor and can precede labor by several weeks. For about 1 percent of expectant mothers who experience preterm labor, the cause is a condition called cervical insufficiency, formerly known as. Cervical Shortening Definition.
From depositphotos.com
Cervical effacement and dilation during labor or delivery. Cervix changes from not effaced and Cervical Shortening Definition Short cervical length (cl) found on morphological scan is associated with an elevated risk of spontaneous ptb. For about 1 percent of expectant mothers who experience preterm labor, the cause is a condition called cervical insufficiency, formerly known as cervical incompetence. Cervical shortening is one of the common pathways to preterm birth associated with its own diagnostic and management challenges.. Cervical Shortening Definition.
From www.pampers.ca
What is Effacement? Pampers Cervical Shortening Definition For about 1 percent of expectant mothers who experience preterm labor, the cause is a condition called cervical insufficiency, formerly known as cervical incompetence. Cervical shortening is one of the early events in the processes leading to labor and can precede labor by several weeks. Cervical shortening is one of the common pathways to preterm birth associated with its own. Cervical Shortening Definition.
From encyclopedia.pub
Cervical Imaging in the Low Resource Setting Encyclopedia MDPI Cervical Shortening Definition Essentially, effacement refers to the thinning of your cervix, the low, narrow end of the uterus that connects to. During pregnancy, the length of the cervix might shorten too soon, increasing the risk of preterm. Identifying these women at risk allows clinicians the opportunity to. Cervical shortening is one of the common pathways to preterm birth associated with its own. Cervical Shortening Definition.
From www.slideserve.com
PPT Chapter 17 PowerPoint Presentation, free download ID1076776 Cervical Shortening Definition Cervical shortening is one of the common pathways to preterm birth associated with its own diagnostic and management challenges. Identifying these women at risk allows clinicians the opportunity to. Essentially, effacement refers to the thinning of your cervix, the low, narrow end of the uterus that connects to. For about 1 percent of expectant mothers who experience preterm labor, the. Cervical Shortening Definition.
From excelcharts.z13.web.core.windows.net
Cervical Dilation Chart Soft/hard cervix vs effaced Cervical Shortening Definition Essentially, effacement refers to the thinning of your cervix, the low, narrow end of the uterus that connects to. Cervical shortening is one of the common pathways to preterm birth associated with its own diagnostic and management challenges. Cervical shortening is one of the early events in the processes leading to labor and can precede labor by several weeks. Identifying. Cervical Shortening Definition.
From slideplayer.com
Inland Imaging Ultrasound ppt download Cervical Shortening Definition Identifying these women at risk allows clinicians the opportunity to. Cervical shortening is one of the common pathways to preterm birth associated with its own diagnostic and management challenges. During pregnancy, the length of the cervix might shorten too soon, increasing the risk of preterm. Cervical length refers to the length of the lower end of the uterus. Short cervical. Cervical Shortening Definition.
From www.cloudninecare.com
Cervical Cervical Shortening Definition Essentially, effacement refers to the thinning of your cervix, the low, narrow end of the uterus that connects to. Short cervical length (cl) found on morphological scan is associated with an elevated risk of spontaneous ptb. During pregnancy, the length of the cervix might shorten too soon, increasing the risk of preterm. Cervical shortening is one of the common pathways. Cervical Shortening Definition.
From www.youtube.com
Cervical length measurement transabdominal/transvaginal ultrasound, management of shortened Cervical Shortening Definition During pregnancy, the length of the cervix might shorten too soon, increasing the risk of preterm. Essentially, effacement refers to the thinning of your cervix, the low, narrow end of the uterus that connects to. Cervical shortening is one of the early events in the processes leading to labor and can precede labor by several weeks. Cervical length refers to. Cervical Shortening Definition.
From www.semanticscholar.org
Assessment of cervical length and the relationship between short cervix and preterm birth Cervical Shortening Definition During pregnancy, the length of the cervix might shorten too soon, increasing the risk of preterm. Identifying these women at risk allows clinicians the opportunity to. Cervical length refers to the length of the lower end of the uterus. Essentially, effacement refers to the thinning of your cervix, the low, narrow end of the uterus that connects to. Cervical shortening. Cervical Shortening Definition.
From www.trialexhibitsinc.com
Ultrasound of a Short Cervix TrialQuest Inc. Cervical Shortening Definition Identifying these women at risk allows clinicians the opportunity to. Essentially, effacement refers to the thinning of your cervix, the low, narrow end of the uterus that connects to. Short cervical length (cl) found on morphological scan is associated with an elevated risk of spontaneous ptb. For about 1 percent of expectant mothers who experience preterm labor, the cause is. Cervical Shortening Definition.