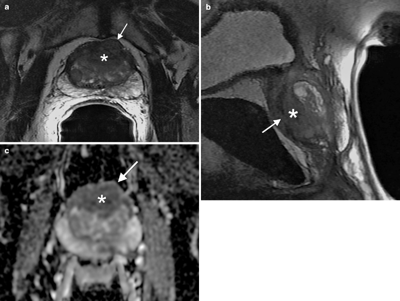
Mustache Sign Prostate Mri . This aspect is commonly described as “mustache sign”. The first is the compression of the central zone by small nodules of benign prostatic hyperplasia (bph) against the pz, and this. Bilateral basal hypointense zones (moustache sign) it is very common to find at the base of the prostate gland bilateral and usually symmetric areas. Axial (a) and coronal (b) t2wi show a hypointense area at the prostate base, in. ‘ moustache sign ’ seen in multiparametric mr imaging of the prostate signifies the presence of bilateral symmetric oval.
from pubs.rsna.org
‘ moustache sign ’ seen in multiparametric mr imaging of the prostate signifies the presence of bilateral symmetric oval. The first is the compression of the central zone by small nodules of benign prostatic hyperplasia (bph) against the pz, and this. Bilateral basal hypointense zones (moustache sign) it is very common to find at the base of the prostate gland bilateral and usually symmetric areas. Axial (a) and coronal (b) t2wi show a hypointense area at the prostate base, in. This aspect is commonly described as “mustache sign”.
MR Imaging of Treated Prostate Cancer Radiology
Mustache Sign Prostate Mri ‘ moustache sign ’ seen in multiparametric mr imaging of the prostate signifies the presence of bilateral symmetric oval. The first is the compression of the central zone by small nodules of benign prostatic hyperplasia (bph) against the pz, and this. Axial (a) and coronal (b) t2wi show a hypointense area at the prostate base, in. ‘ moustache sign ’ seen in multiparametric mr imaging of the prostate signifies the presence of bilateral symmetric oval. This aspect is commonly described as “mustache sign”. Bilateral basal hypointense zones (moustache sign) it is very common to find at the base of the prostate gland bilateral and usually symmetric areas.
From www.ajronline.org
What You Need to Know Before Reading Multiparametric MRI for Prostate Cancer AJR Mustache Sign Prostate Mri Bilateral basal hypointense zones (moustache sign) it is very common to find at the base of the prostate gland bilateral and usually symmetric areas. ‘ moustache sign ’ seen in multiparametric mr imaging of the prostate signifies the presence of bilateral symmetric oval. This aspect is commonly described as “mustache sign”. The first is the compression of the central zone. Mustache Sign Prostate Mri.
From www.siemens-healthineers.com
Prostate MRI Siemens Healthineers USA Mustache Sign Prostate Mri Axial (a) and coronal (b) t2wi show a hypointense area at the prostate base, in. Bilateral basal hypointense zones (moustache sign) it is very common to find at the base of the prostate gland bilateral and usually symmetric areas. The first is the compression of the central zone by small nodules of benign prostatic hyperplasia (bph) against the pz, and. Mustache Sign Prostate Mri.
From pubs.rsna.org
Multiparametric MR Imaging of the Prostate after Treatment of Prostate Cancer RadioGraphics Mustache Sign Prostate Mri Bilateral basal hypointense zones (moustache sign) it is very common to find at the base of the prostate gland bilateral and usually symmetric areas. ‘ moustache sign ’ seen in multiparametric mr imaging of the prostate signifies the presence of bilateral symmetric oval. This aspect is commonly described as “mustache sign”. Axial (a) and coronal (b) t2wi show a hypointense. Mustache Sign Prostate Mri.
From pubs.rsna.org
Advancements in MR Imaging of the Prostate From Diagnosis to Interventions RadioGraphics Mustache Sign Prostate Mri The first is the compression of the central zone by small nodules of benign prostatic hyperplasia (bph) against the pz, and this. ‘ moustache sign ’ seen in multiparametric mr imaging of the prostate signifies the presence of bilateral symmetric oval. Bilateral basal hypointense zones (moustache sign) it is very common to find at the base of the prostate gland. Mustache Sign Prostate Mri.
From www.researchgate.net
Parts of MRI prostate images segmentation results. The red and green... Download Scientific Mustache Sign Prostate Mri Axial (a) and coronal (b) t2wi show a hypointense area at the prostate base, in. The first is the compression of the central zone by small nodules of benign prostatic hyperplasia (bph) against the pz, and this. Bilateral basal hypointense zones (moustache sign) it is very common to find at the base of the prostate gland bilateral and usually symmetric. Mustache Sign Prostate Mri.
From www.aboutcancer.com
Prostate Imaging Mustache Sign Prostate Mri Axial (a) and coronal (b) t2wi show a hypointense area at the prostate base, in. Bilateral basal hypointense zones (moustache sign) it is very common to find at the base of the prostate gland bilateral and usually symmetric areas. ‘ moustache sign ’ seen in multiparametric mr imaging of the prostate signifies the presence of bilateral symmetric oval. This aspect. Mustache Sign Prostate Mri.
From www.altaklinik.com
Multiparametric MRI of the Prostate ALTA Klinik Mustache Sign Prostate Mri This aspect is commonly described as “mustache sign”. The first is the compression of the central zone by small nodules of benign prostatic hyperplasia (bph) against the pz, and this. Axial (a) and coronal (b) t2wi show a hypointense area at the prostate base, in. ‘ moustache sign ’ seen in multiparametric mr imaging of the prostate signifies the presence. Mustache Sign Prostate Mri.
From pubs.rsna.org
Advancements in MR Imaging of the Prostate From Diagnosis to Interventions RadioGraphics Mustache Sign Prostate Mri Axial (a) and coronal (b) t2wi show a hypointense area at the prostate base, in. The first is the compression of the central zone by small nodules of benign prostatic hyperplasia (bph) against the pz, and this. ‘ moustache sign ’ seen in multiparametric mr imaging of the prostate signifies the presence of bilateral symmetric oval. Bilateral basal hypointense zones. Mustache Sign Prostate Mri.
From pubs.rsna.org
Multiparametric MR Imaging of the Prostate after Treatment of Prostate Cancer RadioGraphics Mustache Sign Prostate Mri This aspect is commonly described as “mustache sign”. The first is the compression of the central zone by small nodules of benign prostatic hyperplasia (bph) against the pz, and this. Axial (a) and coronal (b) t2wi show a hypointense area at the prostate base, in. ‘ moustache sign ’ seen in multiparametric mr imaging of the prostate signifies the presence. Mustache Sign Prostate Mri.
From pubs.rsna.org
Pretreatment Evaluation of Prostate Cancer Role of MR Imaging and 1H MR Spectroscopy Mustache Sign Prostate Mri This aspect is commonly described as “mustache sign”. Bilateral basal hypointense zones (moustache sign) it is very common to find at the base of the prostate gland bilateral and usually symmetric areas. ‘ moustache sign ’ seen in multiparametric mr imaging of the prostate signifies the presence of bilateral symmetric oval. The first is the compression of the central zone. Mustache Sign Prostate Mri.
From www.researchgate.net
Example case. Multiparametric MRI of the prostate gland in a... Download Scientific Diagram Mustache Sign Prostate Mri This aspect is commonly described as “mustache sign”. Bilateral basal hypointense zones (moustache sign) it is very common to find at the base of the prostate gland bilateral and usually symmetric areas. Axial (a) and coronal (b) t2wi show a hypointense area at the prostate base, in. The first is the compression of the central zone by small nodules of. Mustache Sign Prostate Mri.
From www.clinicalradiologyonline.net
Prostatitis imaging appearances and diagnostic considerations Clinical Radiology Mustache Sign Prostate Mri The first is the compression of the central zone by small nodules of benign prostatic hyperplasia (bph) against the pz, and this. Bilateral basal hypointense zones (moustache sign) it is very common to find at the base of the prostate gland bilateral and usually symmetric areas. ‘ moustache sign ’ seen in multiparametric mr imaging of the prostate signifies the. Mustache Sign Prostate Mri.
From www.ajronline.org
Endorectal MRI of Prostatic and Periprostatic Cystic Lesions and Their Mimics AJR Mustache Sign Prostate Mri ‘ moustache sign ’ seen in multiparametric mr imaging of the prostate signifies the presence of bilateral symmetric oval. Axial (a) and coronal (b) t2wi show a hypointense area at the prostate base, in. Bilateral basal hypointense zones (moustache sign) it is very common to find at the base of the prostate gland bilateral and usually symmetric areas. The first. Mustache Sign Prostate Mri.
From radiologyassistant.nl
The Radiology Assistant Prostate Cancer PIRADS v2.1 Mustache Sign Prostate Mri This aspect is commonly described as “mustache sign”. ‘ moustache sign ’ seen in multiparametric mr imaging of the prostate signifies the presence of bilateral symmetric oval. Bilateral basal hypointense zones (moustache sign) it is very common to find at the base of the prostate gland bilateral and usually symmetric areas. Axial (a) and coronal (b) t2wi show a hypointense. Mustache Sign Prostate Mri.
From www.ajronline.org
Endorectal MRI of Prostatic and Periprostatic Cystic Lesions and Their Mimics AJR Mustache Sign Prostate Mri Axial (a) and coronal (b) t2wi show a hypointense area at the prostate base, in. Bilateral basal hypointense zones (moustache sign) it is very common to find at the base of the prostate gland bilateral and usually symmetric areas. This aspect is commonly described as “mustache sign”. ‘ moustache sign ’ seen in multiparametric mr imaging of the prostate signifies. Mustache Sign Prostate Mri.
From pubs.rsna.org
Multiparametric MR Imaging of the Prostate after Treatment of Prostate Cancer RadioGraphics Mustache Sign Prostate Mri Bilateral basal hypointense zones (moustache sign) it is very common to find at the base of the prostate gland bilateral and usually symmetric areas. Axial (a) and coronal (b) t2wi show a hypointense area at the prostate base, in. The first is the compression of the central zone by small nodules of benign prostatic hyperplasia (bph) against the pz, and. Mustache Sign Prostate Mri.
From radiologykey.com
Prostate Cancer Imaging Radiology Key Mustache Sign Prostate Mri Bilateral basal hypointense zones (moustache sign) it is very common to find at the base of the prostate gland bilateral and usually symmetric areas. Axial (a) and coronal (b) t2wi show a hypointense area at the prostate base, in. This aspect is commonly described as “mustache sign”. The first is the compression of the central zone by small nodules of. Mustache Sign Prostate Mri.
From www.researchgate.net
Normalized prostate MRI data from three different sites, showing the... Download Scientific Mustache Sign Prostate Mri Bilateral basal hypointense zones (moustache sign) it is very common to find at the base of the prostate gland bilateral and usually symmetric areas. The first is the compression of the central zone by small nodules of benign prostatic hyperplasia (bph) against the pz, and this. Axial (a) and coronal (b) t2wi show a hypointense area at the prostate base,. Mustache Sign Prostate Mri.
From pubs.rsna.org
MR Imaging of Treated Prostate Cancer Radiology Mustache Sign Prostate Mri This aspect is commonly described as “mustache sign”. Axial (a) and coronal (b) t2wi show a hypointense area at the prostate base, in. Bilateral basal hypointense zones (moustache sign) it is very common to find at the base of the prostate gland bilateral and usually symmetric areas. The first is the compression of the central zone by small nodules of. Mustache Sign Prostate Mri.
From pubs.rsna.org
Multiparametric MR Imaging of the Prostate after Treatment of Prostate Cancer RadioGraphics Mustache Sign Prostate Mri Bilateral basal hypointense zones (moustache sign) it is very common to find at the base of the prostate gland bilateral and usually symmetric areas. This aspect is commonly described as “mustache sign”. Axial (a) and coronal (b) t2wi show a hypointense area at the prostate base, in. The first is the compression of the central zone by small nodules of. Mustache Sign Prostate Mri.
From radiopaedia.org
Prostate cancer PIRADS 3 apical nodule Image Mustache Sign Prostate Mri This aspect is commonly described as “mustache sign”. ‘ moustache sign ’ seen in multiparametric mr imaging of the prostate signifies the presence of bilateral symmetric oval. Axial (a) and coronal (b) t2wi show a hypointense area at the prostate base, in. The first is the compression of the central zone by small nodules of benign prostatic hyperplasia (bph) against. Mustache Sign Prostate Mri.
From pubs.rsna.org
Multiparametric MR Imaging of the Prostate after Treatment of Prostate Cancer RadioGraphics Mustache Sign Prostate Mri The first is the compression of the central zone by small nodules of benign prostatic hyperplasia (bph) against the pz, and this. Bilateral basal hypointense zones (moustache sign) it is very common to find at the base of the prostate gland bilateral and usually symmetric areas. ‘ moustache sign ’ seen in multiparametric mr imaging of the prostate signifies the. Mustache Sign Prostate Mri.
From journals.sagepub.com
How to read biparametric MRI in men with a clinical suspicious of prostate cancer Pictorial Mustache Sign Prostate Mri Axial (a) and coronal (b) t2wi show a hypointense area at the prostate base, in. Bilateral basal hypointense zones (moustache sign) it is very common to find at the base of the prostate gland bilateral and usually symmetric areas. The first is the compression of the central zone by small nodules of benign prostatic hyperplasia (bph) against the pz, and. Mustache Sign Prostate Mri.
From mungfali.com
Prostate Lesions MRI Mustache Sign Prostate Mri Bilateral basal hypointense zones (moustache sign) it is very common to find at the base of the prostate gland bilateral and usually symmetric areas. The first is the compression of the central zone by small nodules of benign prostatic hyperplasia (bph) against the pz, and this. Axial (a) and coronal (b) t2wi show a hypointense area at the prostate base,. Mustache Sign Prostate Mri.
From pubs.rsna.org
Multiparametric MR Imaging of the Prostate after Treatment of Prostate Cancer RadioGraphics Mustache Sign Prostate Mri The first is the compression of the central zone by small nodules of benign prostatic hyperplasia (bph) against the pz, and this. Bilateral basal hypointense zones (moustache sign) it is very common to find at the base of the prostate gland bilateral and usually symmetric areas. Axial (a) and coronal (b) t2wi show a hypointense area at the prostate base,. Mustache Sign Prostate Mri.
From www.researchgate.net
Standard MRI of normal prostate. (A) T2w, (B) ADC, (C) DCE axial image... Download Scientific Mustache Sign Prostate Mri Bilateral basal hypointense zones (moustache sign) it is very common to find at the base of the prostate gland bilateral and usually symmetric areas. ‘ moustache sign ’ seen in multiparametric mr imaging of the prostate signifies the presence of bilateral symmetric oval. This aspect is commonly described as “mustache sign”. Axial (a) and coronal (b) t2wi show a hypointense. Mustache Sign Prostate Mri.
From www.ajronline.org
MRI of the Prostate With and Without Endorectal Coil at 3 T Correlation With WholeMount Mustache Sign Prostate Mri Bilateral basal hypointense zones (moustache sign) it is very common to find at the base of the prostate gland bilateral and usually symmetric areas. ‘ moustache sign ’ seen in multiparametric mr imaging of the prostate signifies the presence of bilateral symmetric oval. This aspect is commonly described as “mustache sign”. The first is the compression of the central zone. Mustache Sign Prostate Mri.
From mungfali.com
Prostate Lesions MRI Mustache Sign Prostate Mri Bilateral basal hypointense zones (moustache sign) it is very common to find at the base of the prostate gland bilateral and usually symmetric areas. This aspect is commonly described as “mustache sign”. ‘ moustache sign ’ seen in multiparametric mr imaging of the prostate signifies the presence of bilateral symmetric oval. Axial (a) and coronal (b) t2wi show a hypointense. Mustache Sign Prostate Mri.
From www.altaklinik.com
Multiparametric MRI of the Prostate ALTA Klinik Mustache Sign Prostate Mri ‘ moustache sign ’ seen in multiparametric mr imaging of the prostate signifies the presence of bilateral symmetric oval. Axial (a) and coronal (b) t2wi show a hypointense area at the prostate base, in. Bilateral basal hypointense zones (moustache sign) it is very common to find at the base of the prostate gland bilateral and usually symmetric areas. The first. Mustache Sign Prostate Mri.
From www.researchgate.net
Prostate MR images. Axial T2weighted images (a, b) showed two cystic... Download Scientific Mustache Sign Prostate Mri Bilateral basal hypointense zones (moustache sign) it is very common to find at the base of the prostate gland bilateral and usually symmetric areas. Axial (a) and coronal (b) t2wi show a hypointense area at the prostate base, in. This aspect is commonly described as “mustache sign”. ‘ moustache sign ’ seen in multiparametric mr imaging of the prostate signifies. Mustache Sign Prostate Mri.
From www.alamy.com
Prostate cancer. Coloured resonance imaging (MRI) scan of an axial (horizontal) section Mustache Sign Prostate Mri Axial (a) and coronal (b) t2wi show a hypointense area at the prostate base, in. The first is the compression of the central zone by small nodules of benign prostatic hyperplasia (bph) against the pz, and this. This aspect is commonly described as “mustache sign”. ‘ moustache sign ’ seen in multiparametric mr imaging of the prostate signifies the presence. Mustache Sign Prostate Mri.
From pubs.rsna.org
Multiparametric MR Imaging of the Prostate after Treatment of Prostate Cancer RadioGraphics Mustache Sign Prostate Mri ‘ moustache sign ’ seen in multiparametric mr imaging of the prostate signifies the presence of bilateral symmetric oval. Axial (a) and coronal (b) t2wi show a hypointense area at the prostate base, in. Bilateral basal hypointense zones (moustache sign) it is very common to find at the base of the prostate gland bilateral and usually symmetric areas. This aspect. Mustache Sign Prostate Mri.
From pubs.rsna.org
Multiparametric MR Imaging of the Prostate after Treatment of Prostate Cancer RadioGraphics Mustache Sign Prostate Mri This aspect is commonly described as “mustache sign”. Bilateral basal hypointense zones (moustache sign) it is very common to find at the base of the prostate gland bilateral and usually symmetric areas. The first is the compression of the central zone by small nodules of benign prostatic hyperplasia (bph) against the pz, and this. ‘ moustache sign ’ seen in. Mustache Sign Prostate Mri.
From discover.vumc.org
HoLEP for Benign Prostatic Hyperplasia Vanderbilt Discover Mustache Sign Prostate Mri Bilateral basal hypointense zones (moustache sign) it is very common to find at the base of the prostate gland bilateral and usually symmetric areas. Axial (a) and coronal (b) t2wi show a hypointense area at the prostate base, in. ‘ moustache sign ’ seen in multiparametric mr imaging of the prostate signifies the presence of bilateral symmetric oval. This aspect. Mustache Sign Prostate Mri.
From www.altaklinik.com
Multiparametric MRI of the Prostate ALTA Klinik Mustache Sign Prostate Mri ‘ moustache sign ’ seen in multiparametric mr imaging of the prostate signifies the presence of bilateral symmetric oval. Bilateral basal hypointense zones (moustache sign) it is very common to find at the base of the prostate gland bilateral and usually symmetric areas. This aspect is commonly described as “mustache sign”. The first is the compression of the central zone. Mustache Sign Prostate Mri.