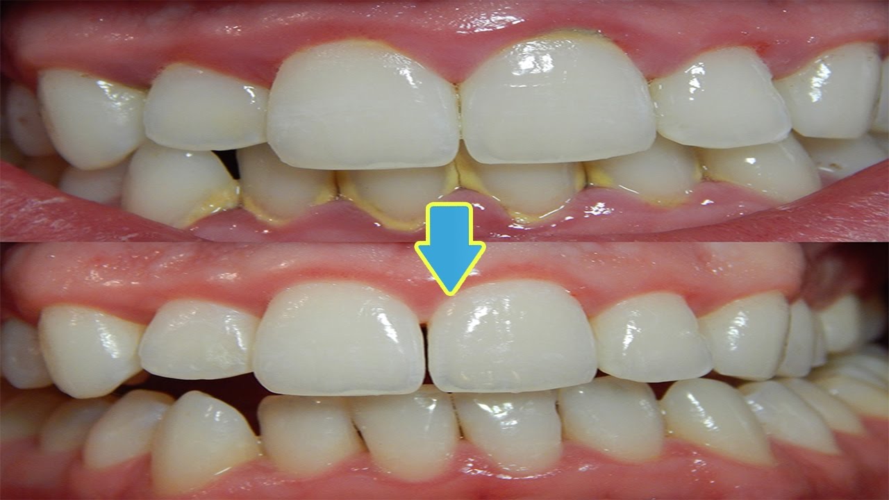
How To Get Yellow Buildup Off Teeth . In this detailed guide, we’ll walk you through: You can restore these stains just by taking proper care of your teeth and brushing them. Want to learn how to get rid of yellow teeth? Discover natural ways on how to remove tartar from teeth without dentist. If you notice a yellow buildup on your teeth, it's probably plaque or tartar. You’ve come to the right place! The common causes of yellow teeth; Plaque is formed of oral bacteria, and food and drink. Learn what causes yellow teeth, how to remove stains from teeth and how to whiten teeth naturally. Get tips on how to prevent plaque buildup and maintain a healthy smile. If your teeth seem like they've. If your teeth are yellow because of something you ate or the plaque is building up on your teeth, you're in luck. Examples include vitamin c, apple cider vinegar, toothpaste containing baking soda and hydrogen peroxide,. Various home remedies can help get rid of yellow teeth.
from www.medicalnewstoday.com
Plaque is formed of oral bacteria, and food and drink. In this detailed guide, we’ll walk you through: If you notice a yellow buildup on your teeth, it's probably plaque or tartar. Various home remedies can help get rid of yellow teeth. Want to learn how to get rid of yellow teeth? Get tips on how to prevent plaque buildup and maintain a healthy smile. If your teeth seem like they've. You can restore these stains just by taking proper care of your teeth and brushing them. The common causes of yellow teeth; Examples include vitamin c, apple cider vinegar, toothpaste containing baking soda and hydrogen peroxide,.
How to get rid of yellow teeth 11 home remedies
How To Get Yellow Buildup Off Teeth The common causes of yellow teeth; Want to learn how to get rid of yellow teeth? Get tips on how to prevent plaque buildup and maintain a healthy smile. Various home remedies can help get rid of yellow teeth. Plaque is formed of oral bacteria, and food and drink. If your teeth seem like they've. Discover natural ways on how to remove tartar from teeth without dentist. In this detailed guide, we’ll walk you through: You can restore these stains just by taking proper care of your teeth and brushing them. Examples include vitamin c, apple cider vinegar, toothpaste containing baking soda and hydrogen peroxide,. The common causes of yellow teeth; Learn what causes yellow teeth, how to remove stains from teeth and how to whiten teeth naturally. If your teeth are yellow because of something you ate or the plaque is building up on your teeth, you're in luck. You’ve come to the right place! If you notice a yellow buildup on your teeth, it's probably plaque or tartar.
From www.youtube.com
Get rid of yellow teeth fast naturally in 2 Minutes Magical Remedy How To Get Yellow Buildup Off Teeth You’ve come to the right place! You can restore these stains just by taking proper care of your teeth and brushing them. Learn what causes yellow teeth, how to remove stains from teeth and how to whiten teeth naturally. In this detailed guide, we’ll walk you through: Plaque is formed of oral bacteria, and food and drink. If your teeth. How To Get Yellow Buildup Off Teeth.
From www.youtube.com
how to get rid of yellow teeth stains YouTube How To Get Yellow Buildup Off Teeth Plaque is formed of oral bacteria, and food and drink. Learn what causes yellow teeth, how to remove stains from teeth and how to whiten teeth naturally. If you notice a yellow buildup on your teeth, it's probably plaque or tartar. You can restore these stains just by taking proper care of your teeth and brushing them. Examples include vitamin. How To Get Yellow Buildup Off Teeth.
From www.healthsoothe.com
Top 13 Steps to Get Rid of Your Yellow Teeth Healthsoothe Health And How To Get Yellow Buildup Off Teeth Examples include vitamin c, apple cider vinegar, toothpaste containing baking soda and hydrogen peroxide,. Plaque is formed of oral bacteria, and food and drink. You’ve come to the right place! Want to learn how to get rid of yellow teeth? Learn what causes yellow teeth, how to remove stains from teeth and how to whiten teeth naturally. You can restore. How To Get Yellow Buildup Off Teeth.
From healthdiycrafts.blogspot.com
This Can Even Whiten Extremely Yellow Teeth And Remove That Nasty How To Get Yellow Buildup Off Teeth You’ve come to the right place! Various home remedies can help get rid of yellow teeth. If your teeth are yellow because of something you ate or the plaque is building up on your teeth, you're in luck. You can restore these stains just by taking proper care of your teeth and brushing them. In this detailed guide, we’ll walk. How To Get Yellow Buildup Off Teeth.
From www.pinterest.com
Steps to Whiten Yellow Teeth and Remove Plaque and Tartar Buildup How To Get Yellow Buildup Off Teeth Examples include vitamin c, apple cider vinegar, toothpaste containing baking soda and hydrogen peroxide,. You’ve come to the right place! Want to learn how to get rid of yellow teeth? Discover natural ways on how to remove tartar from teeth without dentist. Learn what causes yellow teeth, how to remove stains from teeth and how to whiten teeth naturally. You. How To Get Yellow Buildup Off Teeth.
From www.theparkerdentist.com
How to Get Rid of Yellow Teeth Teeth Whitening Parker CO How To Get Yellow Buildup Off Teeth Want to learn how to get rid of yellow teeth? Plaque is formed of oral bacteria, and food and drink. If your teeth are yellow because of something you ate or the plaque is building up on your teeth, you're in luck. The common causes of yellow teeth; Discover natural ways on how to remove tartar from teeth without dentist.. How To Get Yellow Buildup Off Teeth.
From www.youtube.com
Instant Teeth Whitening At Home How To Naturally Whiten Yellow Teeth How To Get Yellow Buildup Off Teeth Get tips on how to prevent plaque buildup and maintain a healthy smile. Learn what causes yellow teeth, how to remove stains from teeth and how to whiten teeth naturally. Plaque is formed of oral bacteria, and food and drink. If your teeth seem like they've. In this detailed guide, we’ll walk you through: You’ve come to the right place!. How To Get Yellow Buildup Off Teeth.
From 99easyrecipes.com
This Can Even Whiten Extremely Yellow Teeth And Remove That Nasty How To Get Yellow Buildup Off Teeth You can restore these stains just by taking proper care of your teeth and brushing them. The common causes of yellow teeth; If your teeth are yellow because of something you ate or the plaque is building up on your teeth, you're in luck. Get tips on how to prevent plaque buildup and maintain a healthy smile. In this detailed. How To Get Yellow Buildup Off Teeth.
From www.youtube.com
HOW TO RID OF YELLOW TEETH IN JUST 5 MINUTES YouTube How To Get Yellow Buildup Off Teeth If your teeth seem like they've. Examples include vitamin c, apple cider vinegar, toothpaste containing baking soda and hydrogen peroxide,. If you notice a yellow buildup on your teeth, it's probably plaque or tartar. You’ve come to the right place! Learn what causes yellow teeth, how to remove stains from teeth and how to whiten teeth naturally. Discover natural ways. How To Get Yellow Buildup Off Teeth.
From www.pinterest.fr
4 Steps to Whiten Yellow Teeth and Remove Plaque and Tartar Buildup How To Get Yellow Buildup Off Teeth You’ve come to the right place! In this detailed guide, we’ll walk you through: Want to learn how to get rid of yellow teeth? Examples include vitamin c, apple cider vinegar, toothpaste containing baking soda and hydrogen peroxide,. Discover natural ways on how to remove tartar from teeth without dentist. Learn what causes yellow teeth, how to remove stains from. How To Get Yellow Buildup Off Teeth.
From www.youtube.com
Just in 3 minutes to get rid of Yellow Teeth with Home Remedies YouTube How To Get Yellow Buildup Off Teeth If you notice a yellow buildup on your teeth, it's probably plaque or tartar. If your teeth seem like they've. In this detailed guide, we’ll walk you through: Examples include vitamin c, apple cider vinegar, toothpaste containing baking soda and hydrogen peroxide,. You can restore these stains just by taking proper care of your teeth and brushing them. Want to. How To Get Yellow Buildup Off Teeth.
From www.medicalnewstoday.com
How to get rid of yellow teeth 11 home remedies How To Get Yellow Buildup Off Teeth Various home remedies can help get rid of yellow teeth. If you notice a yellow buildup on your teeth, it's probably plaque or tartar. Learn what causes yellow teeth, how to remove stains from teeth and how to whiten teeth naturally. Plaque is formed of oral bacteria, and food and drink. If your teeth are yellow because of something you. How To Get Yellow Buildup Off Teeth.
From www.sutherlanddental.com.au
Is It OK To Scrape Tartar Off Your Teeth? Sutherland Dental How To Get Yellow Buildup Off Teeth In this detailed guide, we’ll walk you through: Get tips on how to prevent plaque buildup and maintain a healthy smile. Learn what causes yellow teeth, how to remove stains from teeth and how to whiten teeth naturally. Examples include vitamin c, apple cider vinegar, toothpaste containing baking soda and hydrogen peroxide,. If you notice a yellow buildup on your. How To Get Yellow Buildup Off Teeth.
From www.theparkerdentist.com
How to Get Rid of Yellow Teeth Teeth Whitening Parker CO How To Get Yellow Buildup Off Teeth Discover natural ways on how to remove tartar from teeth without dentist. Plaque is formed of oral bacteria, and food and drink. Learn what causes yellow teeth, how to remove stains from teeth and how to whiten teeth naturally. If your teeth seem like they've. If you notice a yellow buildup on your teeth, it's probably plaque or tartar. In. How To Get Yellow Buildup Off Teeth.
From drmiski.com
What Causes Yellow Teeth? Dr. Miski How To Get Yellow Buildup Off Teeth Want to learn how to get rid of yellow teeth? You can restore these stains just by taking proper care of your teeth and brushing them. Examples include vitamin c, apple cider vinegar, toothpaste containing baking soda and hydrogen peroxide,. Get tips on how to prevent plaque buildup and maintain a healthy smile. Plaque is formed of oral bacteria, and. How To Get Yellow Buildup Off Teeth.
From www.canonhouseclinic.co.uk
What Causes Yellow Teeth? (And What You Can Do About It!) Canon House How To Get Yellow Buildup Off Teeth Various home remedies can help get rid of yellow teeth. The common causes of yellow teeth; Want to learn how to get rid of yellow teeth? In this detailed guide, we’ll walk you through: Discover natural ways on how to remove tartar from teeth without dentist. Examples include vitamin c, apple cider vinegar, toothpaste containing baking soda and hydrogen peroxide,.. How To Get Yellow Buildup Off Teeth.
From www.adelaidedental.net
Yellow Teeth Adelaide Dental How To Get Yellow Buildup Off Teeth Examples include vitamin c, apple cider vinegar, toothpaste containing baking soda and hydrogen peroxide,. Get tips on how to prevent plaque buildup and maintain a healthy smile. In this detailed guide, we’ll walk you through: If you notice a yellow buildup on your teeth, it's probably plaque or tartar. Learn what causes yellow teeth, how to remove stains from teeth. How To Get Yellow Buildup Off Teeth.
From tutorialstops.blogspot.com
How To Get Yellow Stains Off Teeth How To Get Yellow Buildup Off Teeth You can restore these stains just by taking proper care of your teeth and brushing them. In this detailed guide, we’ll walk you through: If your teeth seem like they've. Discover natural ways on how to remove tartar from teeth without dentist. If your teeth are yellow because of something you ate or the plaque is building up on your. How To Get Yellow Buildup Off Teeth.
From nondon.net
How to Remove Tartar Buildup from Teeth without dentist helps How To Get Yellow Buildup Off Teeth You can restore these stains just by taking proper care of your teeth and brushing them. The common causes of yellow teeth; If your teeth seem like they've. You’ve come to the right place! If you notice a yellow buildup on your teeth, it's probably plaque or tartar. If your teeth are yellow because of something you ate or the. How To Get Yellow Buildup Off Teeth.
From discover.hubpages.com
5 Ways to Get Rid of Yellow Teeth HubPages How To Get Yellow Buildup Off Teeth If your teeth seem like they've. The common causes of yellow teeth; Various home remedies can help get rid of yellow teeth. In this detailed guide, we’ll walk you through: Want to learn how to get rid of yellow teeth? You can restore these stains just by taking proper care of your teeth and brushing them. If your teeth are. How To Get Yellow Buildup Off Teeth.
From www.youtube.com
Whiten Your Extremely Yellow Teeth and Get Rid Of That Nasty Tartar How To Get Yellow Buildup Off Teeth If your teeth are yellow because of something you ate or the plaque is building up on your teeth, you're in luck. If your teeth seem like they've. Get tips on how to prevent plaque buildup and maintain a healthy smile. Want to learn how to get rid of yellow teeth? Plaque is formed of oral bacteria, and food and. How To Get Yellow Buildup Off Teeth.
From www.youtube.com
IN JUST 2 MINUTES, TURN YELLOW TEETH TO WHITE NATURALLY TEETH How To Get Yellow Buildup Off Teeth Various home remedies can help get rid of yellow teeth. The common causes of yellow teeth; Get tips on how to prevent plaque buildup and maintain a healthy smile. Examples include vitamin c, apple cider vinegar, toothpaste containing baking soda and hydrogen peroxide,. You can restore these stains just by taking proper care of your teeth and brushing them. Plaque. How To Get Yellow Buildup Off Teeth.
From www.getfitowasso.com
Why do you have Yellow Teeth? Get Fit Owasso How To Get Yellow Buildup Off Teeth You can restore these stains just by taking proper care of your teeth and brushing them. Examples include vitamin c, apple cider vinegar, toothpaste containing baking soda and hydrogen peroxide,. In this detailed guide, we’ll walk you through: Learn what causes yellow teeth, how to remove stains from teeth and how to whiten teeth naturally. Get tips on how to. How To Get Yellow Buildup Off Teeth.
From www.top10homeremedies.com
Home Remedies for Yellow Teeth Top 10 Home Remedies How To Get Yellow Buildup Off Teeth Various home remedies can help get rid of yellow teeth. If your teeth seem like they've. You’ve come to the right place! Want to learn how to get rid of yellow teeth? Learn what causes yellow teeth, how to remove stains from teeth and how to whiten teeth naturally. In this detailed guide, we’ll walk you through: If your teeth. How To Get Yellow Buildup Off Teeth.
From www.colinmortondds.com
How to Remove Yellow Stains from Teeth How To Get Yellow Buildup Off Teeth Plaque is formed of oral bacteria, and food and drink. If your teeth are yellow because of something you ate or the plaque is building up on your teeth, you're in luck. In this detailed guide, we’ll walk you through: Discover natural ways on how to remove tartar from teeth without dentist. Want to learn how to get rid of. How To Get Yellow Buildup Off Teeth.
From drstonedds.com
Teeth Naturally Yellow? How to Make Them Pearly White How To Get Yellow Buildup Off Teeth Get tips on how to prevent plaque buildup and maintain a healthy smile. If your teeth seem like they've. Want to learn how to get rid of yellow teeth? You’ve come to the right place! If you notice a yellow buildup on your teeth, it's probably plaque or tartar. Examples include vitamin c, apple cider vinegar, toothpaste containing baking soda. How To Get Yellow Buildup Off Teeth.
From www.ilajak.com
Causes of yellow teeth and how to get rid of it ILAJAK Medical How To Get Yellow Buildup Off Teeth Want to learn how to get rid of yellow teeth? You’ve come to the right place! Plaque is formed of oral bacteria, and food and drink. Various home remedies can help get rid of yellow teeth. Get tips on how to prevent plaque buildup and maintain a healthy smile. Discover natural ways on how to remove tartar from teeth without. How To Get Yellow Buildup Off Teeth.
From www.youtube.com
How to Remove Yellow Stains from Teeth at Home YouTube How To Get Yellow Buildup Off Teeth Various home remedies can help get rid of yellow teeth. You’ve come to the right place! If you notice a yellow buildup on your teeth, it's probably plaque or tartar. In this detailed guide, we’ll walk you through: Plaque is formed of oral bacteria, and food and drink. Discover natural ways on how to remove tartar from teeth without dentist.. How To Get Yellow Buildup Off Teeth.
From www.evdp.net
How to Get Rid of Yellow Teeth with Home Remedies Mesa Dentist How To Get Yellow Buildup Off Teeth If you notice a yellow buildup on your teeth, it's probably plaque or tartar. Get tips on how to prevent plaque buildup and maintain a healthy smile. Want to learn how to get rid of yellow teeth? If your teeth are yellow because of something you ate or the plaque is building up on your teeth, you're in luck. The. How To Get Yellow Buildup Off Teeth.
From www.pinterest.com
Pin on Nails How To Get Yellow Buildup Off Teeth Examples include vitamin c, apple cider vinegar, toothpaste containing baking soda and hydrogen peroxide,. Get tips on how to prevent plaque buildup and maintain a healthy smile. Plaque is formed of oral bacteria, and food and drink. In this detailed guide, we’ll walk you through: Want to learn how to get rid of yellow teeth? Discover natural ways on how. How To Get Yellow Buildup Off Teeth.
From mesotheliomasurvivalratesarticle.blogspot.com
4 Tis to Whiten Yellow Teeth And Remove Plaque And Tartar Buildup How To Get Yellow Buildup Off Teeth If your teeth seem like they've. Plaque is formed of oral bacteria, and food and drink. Get tips on how to prevent plaque buildup and maintain a healthy smile. Want to learn how to get rid of yellow teeth? You’ve come to the right place! Learn what causes yellow teeth, how to remove stains from teeth and how to whiten. How To Get Yellow Buildup Off Teeth.
From lasrydentalclinic.com
4 Tips on How To Remove Plaque Buildup on Teeth How To Get Yellow Buildup Off Teeth Want to learn how to get rid of yellow teeth? Plaque is formed of oral bacteria, and food and drink. Various home remedies can help get rid of yellow teeth. Discover natural ways on how to remove tartar from teeth without dentist. Learn what causes yellow teeth, how to remove stains from teeth and how to whiten teeth naturally. If. How To Get Yellow Buildup Off Teeth.
From www.youtube.com
how to get rid of yellow stains between teeth YouTube How To Get Yellow Buildup Off Teeth Various home remedies can help get rid of yellow teeth. If your teeth are yellow because of something you ate or the plaque is building up on your teeth, you're in luck. In this detailed guide, we’ll walk you through: Examples include vitamin c, apple cider vinegar, toothpaste containing baking soda and hydrogen peroxide,. If you notice a yellow buildup. How To Get Yellow Buildup Off Teeth.
From www.youtube.com
how to get rid of yellow stains on teeth near gums YouTube How To Get Yellow Buildup Off Teeth In this detailed guide, we’ll walk you through: If your teeth seem like they've. Plaque is formed of oral bacteria, and food and drink. The common causes of yellow teeth; Discover natural ways on how to remove tartar from teeth without dentist. If you notice a yellow buildup on your teeth, it's probably plaque or tartar. Get tips on how. How To Get Yellow Buildup Off Teeth.
From www.youtube.com
how to get rid of yellow teeth stains fast and easy YouTube How To Get Yellow Buildup Off Teeth If your teeth seem like they've. If you notice a yellow buildup on your teeth, it's probably plaque or tartar. Discover natural ways on how to remove tartar from teeth without dentist. The common causes of yellow teeth; In this detailed guide, we’ll walk you through: Various home remedies can help get rid of yellow teeth. You’ve come to the. How To Get Yellow Buildup Off Teeth.