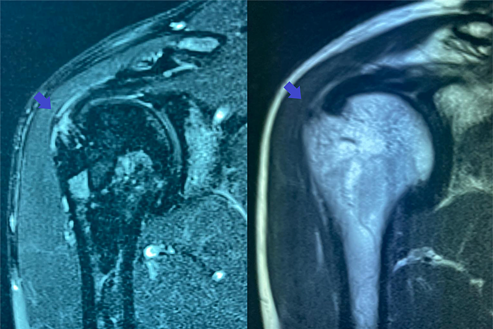
Hyaluronic Acid Injection Rotator Cuff . The use of ha in patients with rotator cuff tears improve vas and functional score in all trials that we have analyzed. A combined injection of hyaluronic acid and prp (weekly × 4 weeks) into the subacromial space was found to significantly. The present study demonstrated that pain and shoulder function were improved significantly after sh treatment.
from www.corksurgery.com
The present study demonstrated that pain and shoulder function were improved significantly after sh treatment. A combined injection of hyaluronic acid and prp (weekly × 4 weeks) into the subacromial space was found to significantly. The use of ha in patients with rotator cuff tears improve vas and functional score in all trials that we have analyzed.
Hyaluronic Acid Injections Cork Surgery Orthopaedic & Sports
Hyaluronic Acid Injection Rotator Cuff The use of ha in patients with rotator cuff tears improve vas and functional score in all trials that we have analyzed. The use of ha in patients with rotator cuff tears improve vas and functional score in all trials that we have analyzed. A combined injection of hyaluronic acid and prp (weekly × 4 weeks) into the subacromial space was found to significantly. The present study demonstrated that pain and shoulder function were improved significantly after sh treatment.
From www.mskultrasoundinjections.co.uk
Rotator cuff pain injection MSK US Injections Hyaluronic Acid Injection Rotator Cuff The present study demonstrated that pain and shoulder function were improved significantly after sh treatment. The use of ha in patients with rotator cuff tears improve vas and functional score in all trials that we have analyzed. A combined injection of hyaluronic acid and prp (weekly × 4 weeks) into the subacromial space was found to significantly. Hyaluronic Acid Injection Rotator Cuff.
From www.trambellir.com
Hyaluronic Acid Injection (Rejuvenate Skin and Improve Aging Signs Hyaluronic Acid Injection Rotator Cuff The use of ha in patients with rotator cuff tears improve vas and functional score in all trials that we have analyzed. A combined injection of hyaluronic acid and prp (weekly × 4 weeks) into the subacromial space was found to significantly. The present study demonstrated that pain and shoulder function were improved significantly after sh treatment. Hyaluronic Acid Injection Rotator Cuff.
From www.cureus.com
Cureus UltrasoundGuided Injection of a Hyaluronic Hyaluronic Acid Injection Rotator Cuff The use of ha in patients with rotator cuff tears improve vas and functional score in all trials that we have analyzed. The present study demonstrated that pain and shoulder function were improved significantly after sh treatment. A combined injection of hyaluronic acid and prp (weekly × 4 weeks) into the subacromial space was found to significantly. Hyaluronic Acid Injection Rotator Cuff.
From www.jointreplacementhawaii.com
Hyaluronic Acid Injections What You Need To Know Hyaluronic Acid Injection Rotator Cuff The present study demonstrated that pain and shoulder function were improved significantly after sh treatment. A combined injection of hyaluronic acid and prp (weekly × 4 weeks) into the subacromial space was found to significantly. The use of ha in patients with rotator cuff tears improve vas and functional score in all trials that we have analyzed. Hyaluronic Acid Injection Rotator Cuff.
From www.trambellir.com
Hyaluronic Acid Injection (Reduce the Appearance of Aging Signs with Hyaluronic Acid Injection Rotator Cuff The use of ha in patients with rotator cuff tears improve vas and functional score in all trials that we have analyzed. A combined injection of hyaluronic acid and prp (weekly × 4 weeks) into the subacromial space was found to significantly. The present study demonstrated that pain and shoulder function were improved significantly after sh treatment. Hyaluronic Acid Injection Rotator Cuff.
From www.facebook.com
Shoulder pain with rotator cuff tear ac joint and GH joint arthritis Hyaluronic Acid Injection Rotator Cuff The present study demonstrated that pain and shoulder function were improved significantly after sh treatment. The use of ha in patients with rotator cuff tears improve vas and functional score in all trials that we have analyzed. A combined injection of hyaluronic acid and prp (weekly × 4 weeks) into the subacromial space was found to significantly. Hyaluronic Acid Injection Rotator Cuff.
From www.dreamstime.com
Hyaluronic Acid Injection for Facial Procedure Stock Image Image of Hyaluronic Acid Injection Rotator Cuff A combined injection of hyaluronic acid and prp (weekly × 4 weeks) into the subacromial space was found to significantly. The present study demonstrated that pain and shoulder function were improved significantly after sh treatment. The use of ha in patients with rotator cuff tears improve vas and functional score in all trials that we have analyzed. Hyaluronic Acid Injection Rotator Cuff.
From www.steroidinjectionslondon.co.uk
Hyaluronic Acid Injections For Joints London Hyaluronic Acid Injection Rotator Cuff The use of ha in patients with rotator cuff tears improve vas and functional score in all trials that we have analyzed. A combined injection of hyaluronic acid and prp (weekly × 4 weeks) into the subacromial space was found to significantly. The present study demonstrated that pain and shoulder function were improved significantly after sh treatment. Hyaluronic Acid Injection Rotator Cuff.
From www.youtube.com
Hyaluronic Acid Injection for Rotator Cuff and Shoulder Pain YouTube Hyaluronic Acid Injection Rotator Cuff A combined injection of hyaluronic acid and prp (weekly × 4 weeks) into the subacromial space was found to significantly. The use of ha in patients with rotator cuff tears improve vas and functional score in all trials that we have analyzed. The present study demonstrated that pain and shoulder function were improved significantly after sh treatment. Hyaluronic Acid Injection Rotator Cuff.
From gpvoice.com.au
Rotator cuff tears do steroid injections work? GP Voice Hyaluronic Acid Injection Rotator Cuff The use of ha in patients with rotator cuff tears improve vas and functional score in all trials that we have analyzed. The present study demonstrated that pain and shoulder function were improved significantly after sh treatment. A combined injection of hyaluronic acid and prp (weekly × 4 weeks) into the subacromial space was found to significantly. Hyaluronic Acid Injection Rotator Cuff.
From cambridgeshoulder.co.uk
Fig 7A. Subacromial Injection Cambridge Shoulder Hyaluronic Acid Injection Rotator Cuff The present study demonstrated that pain and shoulder function were improved significantly after sh treatment. A combined injection of hyaluronic acid and prp (weekly × 4 weeks) into the subacromial space was found to significantly. The use of ha in patients with rotator cuff tears improve vas and functional score in all trials that we have analyzed. Hyaluronic Acid Injection Rotator Cuff.
From www.understandortho.com
Hyaluronic Acid Injections UnderstandOrtho™ Hyaluronic Acid Injection Rotator Cuff A combined injection of hyaluronic acid and prp (weekly × 4 weeks) into the subacromial space was found to significantly. The use of ha in patients with rotator cuff tears improve vas and functional score in all trials that we have analyzed. The present study demonstrated that pain and shoulder function were improved significantly after sh treatment. Hyaluronic Acid Injection Rotator Cuff.
From www.youtube.com
Hyaluronic Acid Joint Fluid Injection YouTube Hyaluronic Acid Injection Rotator Cuff The use of ha in patients with rotator cuff tears improve vas and functional score in all trials that we have analyzed. The present study demonstrated that pain and shoulder function were improved significantly after sh treatment. A combined injection of hyaluronic acid and prp (weekly × 4 weeks) into the subacromial space was found to significantly. Hyaluronic Acid Injection Rotator Cuff.
From cpi-pain.com
Hyaluronic Acid Injections for Pain Management Comprehensive Pain Hyaluronic Acid Injection Rotator Cuff A combined injection of hyaluronic acid and prp (weekly × 4 weeks) into the subacromial space was found to significantly. The present study demonstrated that pain and shoulder function were improved significantly after sh treatment. The use of ha in patients with rotator cuff tears improve vas and functional score in all trials that we have analyzed. Hyaluronic Acid Injection Rotator Cuff.
From www.corksurgery.com
Hyaluronic Acid Injections Cork Surgery Orthopaedic & Sports Hyaluronic Acid Injection Rotator Cuff The present study demonstrated that pain and shoulder function were improved significantly after sh treatment. The use of ha in patients with rotator cuff tears improve vas and functional score in all trials that we have analyzed. A combined injection of hyaluronic acid and prp (weekly × 4 weeks) into the subacromial space was found to significantly. Hyaluronic Acid Injection Rotator Cuff.
From www.cureus.com
UltrasoundGuided Injection of a Hyaluronic Acid Hyaluronic Acid Injection Rotator Cuff The present study demonstrated that pain and shoulder function were improved significantly after sh treatment. The use of ha in patients with rotator cuff tears improve vas and functional score in all trials that we have analyzed. A combined injection of hyaluronic acid and prp (weekly × 4 weeks) into the subacromial space was found to significantly. Hyaluronic Acid Injection Rotator Cuff.
From www.researchgate.net
(PDF) Enhancement of rotator cuff tendonbone healing using bone marrow Hyaluronic Acid Injection Rotator Cuff The use of ha in patients with rotator cuff tears improve vas and functional score in all trials that we have analyzed. A combined injection of hyaluronic acid and prp (weekly × 4 weeks) into the subacromial space was found to significantly. The present study demonstrated that pain and shoulder function were improved significantly after sh treatment. Hyaluronic Acid Injection Rotator Cuff.
From www.researchgate.net
(PDF) UltrasoundGuided Injection of a Hyaluronic Hyaluronic Acid Injection Rotator Cuff A combined injection of hyaluronic acid and prp (weekly × 4 weeks) into the subacromial space was found to significantly. The use of ha in patients with rotator cuff tears improve vas and functional score in all trials that we have analyzed. The present study demonstrated that pain and shoulder function were improved significantly after sh treatment. Hyaluronic Acid Injection Rotator Cuff.
From www.cureus.com
UltrasoundGuided Injection of a Hyaluronic Acid Hyaluronic Acid Injection Rotator Cuff The use of ha in patients with rotator cuff tears improve vas and functional score in all trials that we have analyzed. The present study demonstrated that pain and shoulder function were improved significantly after sh treatment. A combined injection of hyaluronic acid and prp (weekly × 4 weeks) into the subacromial space was found to significantly. Hyaluronic Acid Injection Rotator Cuff.
From www.researchgate.net
(PDF) Preoperative hyaluronic acid injection modulates postoperative Hyaluronic Acid Injection Rotator Cuff The use of ha in patients with rotator cuff tears improve vas and functional score in all trials that we have analyzed. The present study demonstrated that pain and shoulder function were improved significantly after sh treatment. A combined injection of hyaluronic acid and prp (weekly × 4 weeks) into the subacromial space was found to significantly. Hyaluronic Acid Injection Rotator Cuff.
From azlaserdentistry.com
How dose Hyaluronic acid injections work? Advanced Laser Dentistry Hyaluronic Acid Injection Rotator Cuff A combined injection of hyaluronic acid and prp (weekly × 4 weeks) into the subacromial space was found to significantly. The present study demonstrated that pain and shoulder function were improved significantly after sh treatment. The use of ha in patients with rotator cuff tears improve vas and functional score in all trials that we have analyzed. Hyaluronic Acid Injection Rotator Cuff.
From www.dreamstime.com
Hyaluronic Acid Injection for Facial Rejuvenation Procedure. Stock Hyaluronic Acid Injection Rotator Cuff The present study demonstrated that pain and shoulder function were improved significantly after sh treatment. The use of ha in patients with rotator cuff tears improve vas and functional score in all trials that we have analyzed. A combined injection of hyaluronic acid and prp (weekly × 4 weeks) into the subacromial space was found to significantly. Hyaluronic Acid Injection Rotator Cuff.
From www.sportsmedreview.com
Hyaluronic Acid and Rotator Cuff Tendonitis Sports Medicine Review Hyaluronic Acid Injection Rotator Cuff A combined injection of hyaluronic acid and prp (weekly × 4 weeks) into the subacromial space was found to significantly. The use of ha in patients with rotator cuff tears improve vas and functional score in all trials that we have analyzed. The present study demonstrated that pain and shoulder function were improved significantly after sh treatment. Hyaluronic Acid Injection Rotator Cuff.
From mbi-bio.com
Hyaluronic Acid IntraArticular Injection in Treating Joint Disorders Hyaluronic Acid Injection Rotator Cuff The use of ha in patients with rotator cuff tears improve vas and functional score in all trials that we have analyzed. The present study demonstrated that pain and shoulder function were improved significantly after sh treatment. A combined injection of hyaluronic acid and prp (weekly × 4 weeks) into the subacromial space was found to significantly. Hyaluronic Acid Injection Rotator Cuff.
From comprehensiveaccidentandinjury.com
Hyaluronic Acid Injections for Torn Meniscus The Next Generation of Hyaluronic Acid Injection Rotator Cuff The use of ha in patients with rotator cuff tears improve vas and functional score in all trials that we have analyzed. A combined injection of hyaluronic acid and prp (weekly × 4 weeks) into the subacromial space was found to significantly. The present study demonstrated that pain and shoulder function were improved significantly after sh treatment. Hyaluronic Acid Injection Rotator Cuff.
From www.sportsmedreview.com
Hyaluronic Acid and Rotator Cuff Tendonitis Sports Medicine Review Hyaluronic Acid Injection Rotator Cuff The use of ha in patients with rotator cuff tears improve vas and functional score in all trials that we have analyzed. The present study demonstrated that pain and shoulder function were improved significantly after sh treatment. A combined injection of hyaluronic acid and prp (weekly × 4 weeks) into the subacromial space was found to significantly. Hyaluronic Acid Injection Rotator Cuff.
From www.doctorandco.fr
Hyaluronic acid Injections in Paris Doctor & Co Dr Simon Sebbah Hyaluronic Acid Injection Rotator Cuff The use of ha in patients with rotator cuff tears improve vas and functional score in all trials that we have analyzed. A combined injection of hyaluronic acid and prp (weekly × 4 weeks) into the subacromial space was found to significantly. The present study demonstrated that pain and shoulder function were improved significantly after sh treatment. Hyaluronic Acid Injection Rotator Cuff.
From www.aurumhealthcare.com.au
Comparative Effectiveness of Injection Therapies in Rotator Cuff Hyaluronic Acid Injection Rotator Cuff The present study demonstrated that pain and shoulder function were improved significantly after sh treatment. The use of ha in patients with rotator cuff tears improve vas and functional score in all trials that we have analyzed. A combined injection of hyaluronic acid and prp (weekly × 4 weeks) into the subacromial space was found to significantly. Hyaluronic Acid Injection Rotator Cuff.
From www.reddit.com
Hyaluronic Acid Injection r/orthofixar Hyaluronic Acid Injection Rotator Cuff A combined injection of hyaluronic acid and prp (weekly × 4 weeks) into the subacromial space was found to significantly. The present study demonstrated that pain and shoulder function were improved significantly after sh treatment. The use of ha in patients with rotator cuff tears improve vas and functional score in all trials that we have analyzed. Hyaluronic Acid Injection Rotator Cuff.
From www.ha-fillers.com
Medicine Grade Hyaluronic Acid Injections For Knee Pain Hyaluronic Acid Injection Rotator Cuff A combined injection of hyaluronic acid and prp (weekly × 4 weeks) into the subacromial space was found to significantly. The use of ha in patients with rotator cuff tears improve vas and functional score in all trials that we have analyzed. The present study demonstrated that pain and shoulder function were improved significantly after sh treatment. Hyaluronic Acid Injection Rotator Cuff.
From singcleanmedical.com
Singjoint Hyaluronic Acid Injection for Knee Pain Hyaluronic Acid Injection Rotator Cuff The use of ha in patients with rotator cuff tears improve vas and functional score in all trials that we have analyzed. The present study demonstrated that pain and shoulder function were improved significantly after sh treatment. A combined injection of hyaluronic acid and prp (weekly × 4 weeks) into the subacromial space was found to significantly. Hyaluronic Acid Injection Rotator Cuff.
From www.researchgate.net
(PDF) Effectiveness of combined extracorporeal shockwave therapy and Hyaluronic Acid Injection Rotator Cuff The present study demonstrated that pain and shoulder function were improved significantly after sh treatment. The use of ha in patients with rotator cuff tears improve vas and functional score in all trials that we have analyzed. A combined injection of hyaluronic acid and prp (weekly × 4 weeks) into the subacromial space was found to significantly. Hyaluronic Acid Injection Rotator Cuff.
From www.researchgate.net
(PDF) Use of Hyaluronic Acid for Rotator Cuff Tendinopathy Hyaluronic Acid Injection Rotator Cuff A combined injection of hyaluronic acid and prp (weekly × 4 weeks) into the subacromial space was found to significantly. The use of ha in patients with rotator cuff tears improve vas and functional score in all trials that we have analyzed. The present study demonstrated that pain and shoulder function were improved significantly after sh treatment. Hyaluronic Acid Injection Rotator Cuff.
From www.researchgate.net
(PDF) Efficacy of Hyaluronic acid in Rotator Cuff pathology compared to Hyaluronic Acid Injection Rotator Cuff A combined injection of hyaluronic acid and prp (weekly × 4 weeks) into the subacromial space was found to significantly. The present study demonstrated that pain and shoulder function were improved significantly after sh treatment. The use of ha in patients with rotator cuff tears improve vas and functional score in all trials that we have analyzed. Hyaluronic Acid Injection Rotator Cuff.
From anika.com
Hyaluronic Acid A Natural Wonder In Rotator Cuff Repair Anika Hyaluronic Acid Injection Rotator Cuff A combined injection of hyaluronic acid and prp (weekly × 4 weeks) into the subacromial space was found to significantly. The use of ha in patients with rotator cuff tears improve vas and functional score in all trials that we have analyzed. The present study demonstrated that pain and shoulder function were improved significantly after sh treatment. Hyaluronic Acid Injection Rotator Cuff.