Ogilvie Syndrome Etiology . In some cases the small bowel may also be involved. The exact cause isn’t fully understood, but scientists believe it results from a dysfunction of your autonomic. Patients presenting with ogilvie's syndrome have underlying medical and surgical conditions predisposing them to the syndrome.
from ibimapublishing.com
Patients presenting with ogilvie's syndrome have underlying medical and surgical conditions predisposing them to the syndrome. In some cases the small bowel may also be involved. The exact cause isn’t fully understood, but scientists believe it results from a dysfunction of your autonomic.
The Giant Caecum with No Apparent Reason Ogilvie’s Syndrome
Ogilvie Syndrome Etiology In some cases the small bowel may also be involved. The exact cause isn’t fully understood, but scientists believe it results from a dysfunction of your autonomic. In some cases the small bowel may also be involved. Patients presenting with ogilvie's syndrome have underlying medical and surgical conditions predisposing them to the syndrome.
From hjog.org
Diagnosis and management of Ogilvie’s Syndrome post Caesarean Section Ogilvie Syndrome Etiology The exact cause isn’t fully understood, but scientists believe it results from a dysfunction of your autonomic. Patients presenting with ogilvie's syndrome have underlying medical and surgical conditions predisposing them to the syndrome. In some cases the small bowel may also be involved. Ogilvie Syndrome Etiology.
From www.youtube.com
Ogilvie syndrome YouTube Ogilvie Syndrome Etiology In some cases the small bowel may also be involved. Patients presenting with ogilvie's syndrome have underlying medical and surgical conditions predisposing them to the syndrome. The exact cause isn’t fully understood, but scientists believe it results from a dysfunction of your autonomic. Ogilvie Syndrome Etiology.
From jamanetwork.com
Ogilvie Syndrome as a Postoperative Complication Cardiology JAMA Ogilvie Syndrome Etiology The exact cause isn’t fully understood, but scientists believe it results from a dysfunction of your autonomic. Patients presenting with ogilvie's syndrome have underlying medical and surgical conditions predisposing them to the syndrome. In some cases the small bowel may also be involved. Ogilvie Syndrome Etiology.
From www.semanticscholar.org
Figure 1 from A Case of Hemiplegia Vegetativa Alterna, Paroxysmal Ogilvie Syndrome Etiology Patients presenting with ogilvie's syndrome have underlying medical and surgical conditions predisposing them to the syndrome. The exact cause isn’t fully understood, but scientists believe it results from a dysfunction of your autonomic. In some cases the small bowel may also be involved. Ogilvie Syndrome Etiology.
From www.researchgate.net
(PDF) Ogilvie's syndrome Management and Ogilvie Syndrome Etiology Patients presenting with ogilvie's syndrome have underlying medical and surgical conditions predisposing them to the syndrome. In some cases the small bowel may also be involved. The exact cause isn’t fully understood, but scientists believe it results from a dysfunction of your autonomic. Ogilvie Syndrome Etiology.
From www.rwkgoodman.com
What is Ogilvie syndrome? Symptoms, diagnosis, treatment and more Ogilvie Syndrome Etiology Patients presenting with ogilvie's syndrome have underlying medical and surgical conditions predisposing them to the syndrome. The exact cause isn’t fully understood, but scientists believe it results from a dysfunction of your autonomic. In some cases the small bowel may also be involved. Ogilvie Syndrome Etiology.
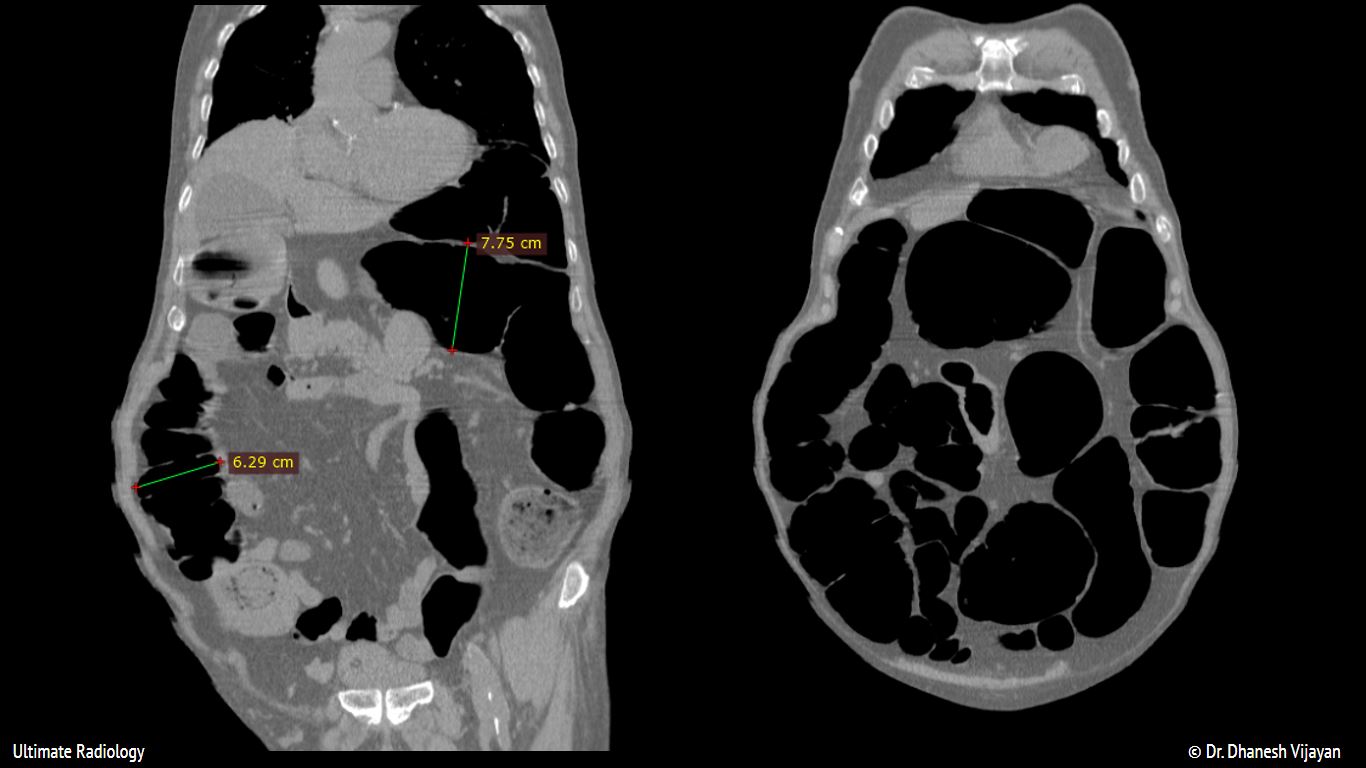
From ultimate-radiology.blogspot.com
Ultimate Radiology Ogilvie Syndrome or Acute Colonic Pseudo Obstruction Ogilvie Syndrome Etiology The exact cause isn’t fully understood, but scientists believe it results from a dysfunction of your autonomic. Patients presenting with ogilvie's syndrome have underlying medical and surgical conditions predisposing them to the syndrome. In some cases the small bowel may also be involved. Ogilvie Syndrome Etiology.
From radiopaedia.org
Ogilvie syndrome Image Ogilvie Syndrome Etiology The exact cause isn’t fully understood, but scientists believe it results from a dysfunction of your autonomic. In some cases the small bowel may also be involved. Patients presenting with ogilvie's syndrome have underlying medical and surgical conditions predisposing them to the syndrome. Ogilvie Syndrome Etiology.
From www.slideshare.net
Colon ap 72110 Ogilvie Syndrome Etiology Patients presenting with ogilvie's syndrome have underlying medical and surgical conditions predisposing them to the syndrome. In some cases the small bowel may also be involved. The exact cause isn’t fully understood, but scientists believe it results from a dysfunction of your autonomic. Ogilvie Syndrome Etiology.
From radiopaedia.org
Ogilvie syndrome Image Ogilvie Syndrome Etiology Patients presenting with ogilvie's syndrome have underlying medical and surgical conditions predisposing them to the syndrome. In some cases the small bowel may also be involved. The exact cause isn’t fully understood, but scientists believe it results from a dysfunction of your autonomic. Ogilvie Syndrome Etiology.
From radiopaedia.org
Ogilvie syndrome Image Ogilvie Syndrome Etiology Patients presenting with ogilvie's syndrome have underlying medical and surgical conditions predisposing them to the syndrome. In some cases the small bowel may also be involved. The exact cause isn’t fully understood, but scientists believe it results from a dysfunction of your autonomic. Ogilvie Syndrome Etiology.
From www.slideserve.com
PPT Large Bowel Obstruction PowerPoint Presentation ID244375 Ogilvie Syndrome Etiology In some cases the small bowel may also be involved. The exact cause isn’t fully understood, but scientists believe it results from a dysfunction of your autonomic. Patients presenting with ogilvie's syndrome have underlying medical and surgical conditions predisposing them to the syndrome. Ogilvie Syndrome Etiology.
From www.slideshare.net
Ogilvie syndrom Ogilvie Syndrome Etiology Patients presenting with ogilvie's syndrome have underlying medical and surgical conditions predisposing them to the syndrome. The exact cause isn’t fully understood, but scientists believe it results from a dysfunction of your autonomic. In some cases the small bowel may also be involved. Ogilvie Syndrome Etiology.
From ibimapublishing.com
The Giant Caecum with No Apparent Reason Ogilvie’s Syndrome Ogilvie Syndrome Etiology In some cases the small bowel may also be involved. Patients presenting with ogilvie's syndrome have underlying medical and surgical conditions predisposing them to the syndrome. The exact cause isn’t fully understood, but scientists believe it results from a dysfunction of your autonomic. Ogilvie Syndrome Etiology.
From www.youtube.com
Pseudoobstruction/Ogilvie syndrome pathophysiology, clinical Ogilvie Syndrome Etiology In some cases the small bowel may also be involved. Patients presenting with ogilvie's syndrome have underlying medical and surgical conditions predisposing them to the syndrome. The exact cause isn’t fully understood, but scientists believe it results from a dysfunction of your autonomic. Ogilvie Syndrome Etiology.
From www.slideshare.net
Ogilvie syndrom Ogilvie Syndrome Etiology Patients presenting with ogilvie's syndrome have underlying medical and surgical conditions predisposing them to the syndrome. The exact cause isn’t fully understood, but scientists believe it results from a dysfunction of your autonomic. In some cases the small bowel may also be involved. Ogilvie Syndrome Etiology.
From ultimate-radiology.blogspot.com
Ultimate Radiology Ogilvie Syndrome or Acute Colonic Pseudo Obstruction Ogilvie Syndrome Etiology Patients presenting with ogilvie's syndrome have underlying medical and surgical conditions predisposing them to the syndrome. In some cases the small bowel may also be involved. The exact cause isn’t fully understood, but scientists believe it results from a dysfunction of your autonomic. Ogilvie Syndrome Etiology.
From ultimate-radiology.blogspot.com
Ultimate Radiology Ogilvie Syndrome or Acute Colonic Pseudo Obstruction Ogilvie Syndrome Etiology The exact cause isn’t fully understood, but scientists believe it results from a dysfunction of your autonomic. In some cases the small bowel may also be involved. Patients presenting with ogilvie's syndrome have underlying medical and surgical conditions predisposing them to the syndrome. Ogilvie Syndrome Etiology.
From www.slideserve.com
PPT Ogilvie Syndrome A Gastrointestinal Clinical Case Study Ogilvie Syndrome Etiology Patients presenting with ogilvie's syndrome have underlying medical and surgical conditions predisposing them to the syndrome. The exact cause isn’t fully understood, but scientists believe it results from a dysfunction of your autonomic. In some cases the small bowel may also be involved. Ogilvie Syndrome Etiology.
From medizzy.com
Ogilvie Syndrome MEDizzy Ogilvie Syndrome Etiology Patients presenting with ogilvie's syndrome have underlying medical and surgical conditions predisposing them to the syndrome. In some cases the small bowel may also be involved. The exact cause isn’t fully understood, but scientists believe it results from a dysfunction of your autonomic. Ogilvie Syndrome Etiology.
From www.researchgate.net
(PDF) Ogilvie's Syndrome treatment Ogilvie Syndrome Etiology Patients presenting with ogilvie's syndrome have underlying medical and surgical conditions predisposing them to the syndrome. The exact cause isn’t fully understood, but scientists believe it results from a dysfunction of your autonomic. In some cases the small bowel may also be involved. Ogilvie Syndrome Etiology.
From radiopaedia.org
Ogilvie syndrome Image Ogilvie Syndrome Etiology In some cases the small bowel may also be involved. Patients presenting with ogilvie's syndrome have underlying medical and surgical conditions predisposing them to the syndrome. The exact cause isn’t fully understood, but scientists believe it results from a dysfunction of your autonomic. Ogilvie Syndrome Etiology.
From www.slideshare.net
Ogilvies syndrome Ogilvie Syndrome Etiology In some cases the small bowel may also be involved. Patients presenting with ogilvie's syndrome have underlying medical and surgical conditions predisposing them to the syndrome. The exact cause isn’t fully understood, but scientists believe it results from a dysfunction of your autonomic. Ogilvie Syndrome Etiology.
From www.cmaj.ca
Ogilvie syndrome acute pseudoobstruction of the colon CMAJ Ogilvie Syndrome Etiology The exact cause isn’t fully understood, but scientists believe it results from a dysfunction of your autonomic. Patients presenting with ogilvie's syndrome have underlying medical and surgical conditions predisposing them to the syndrome. In some cases the small bowel may also be involved. Ogilvie Syndrome Etiology.
From medicolearning.com
Ogilvie’s Syndrome (AcuteColonic Pseudo Obstruction) MedicoLearning Ogilvie Syndrome Etiology In some cases the small bowel may also be involved. The exact cause isn’t fully understood, but scientists believe it results from a dysfunction of your autonomic. Patients presenting with ogilvie's syndrome have underlying medical and surgical conditions predisposing them to the syndrome. Ogilvie Syndrome Etiology.
From www.researchgate.net
Flow chart indicating the suggested protocol of the management of Ogilvie Syndrome Etiology The exact cause isn’t fully understood, but scientists believe it results from a dysfunction of your autonomic. In some cases the small bowel may also be involved. Patients presenting with ogilvie's syndrome have underlying medical and surgical conditions predisposing them to the syndrome. Ogilvie Syndrome Etiology.
From pacs.de
OgilvieSyndrom pacs Ogilvie Syndrome Etiology The exact cause isn’t fully understood, but scientists believe it results from a dysfunction of your autonomic. In some cases the small bowel may also be involved. Patients presenting with ogilvie's syndrome have underlying medical and surgical conditions predisposing them to the syndrome. Ogilvie Syndrome Etiology.
From pdfslide.net
(PPT) Ogilvie Syndrome A Gastrointestinal Clinical Case Study Holy Ogilvie Syndrome Etiology Patients presenting with ogilvie's syndrome have underlying medical and surgical conditions predisposing them to the syndrome. The exact cause isn’t fully understood, but scientists believe it results from a dysfunction of your autonomic. In some cases the small bowel may also be involved. Ogilvie Syndrome Etiology.
From www.researchgate.net
(PDF) Ogilvie Syndrome A Comprehensive Review of Pathophysiology Ogilvie Syndrome Etiology In some cases the small bowel may also be involved. Patients presenting with ogilvie's syndrome have underlying medical and surgical conditions predisposing them to the syndrome. The exact cause isn’t fully understood, but scientists believe it results from a dysfunction of your autonomic. Ogilvie Syndrome Etiology.
From www.sciencephoto.com
Ogilvie syndrome, CT scan Stock Image C048/9279 Science Photo Library Ogilvie Syndrome Etiology Patients presenting with ogilvie's syndrome have underlying medical and surgical conditions predisposing them to the syndrome. The exact cause isn’t fully understood, but scientists believe it results from a dysfunction of your autonomic. In some cases the small bowel may also be involved. Ogilvie Syndrome Etiology.
From besthealthcares174753315.wordpress.com
Ogilvie Syndrome Causes, Symptoms And Treatments healthcare Ogilvie Syndrome Etiology The exact cause isn’t fully understood, but scientists believe it results from a dysfunction of your autonomic. In some cases the small bowel may also be involved. Patients presenting with ogilvie's syndrome have underlying medical and surgical conditions predisposing them to the syndrome. Ogilvie Syndrome Etiology.
From rk.md
Ogilvie's Syndrome RK.MD Ogilvie Syndrome Etiology Patients presenting with ogilvie's syndrome have underlying medical and surgical conditions predisposing them to the syndrome. In some cases the small bowel may also be involved. The exact cause isn’t fully understood, but scientists believe it results from a dysfunction of your autonomic. Ogilvie Syndrome Etiology.
From wikidoc.org
Ogilvie syndrome CT wikidoc Ogilvie Syndrome Etiology In some cases the small bowel may also be involved. The exact cause isn’t fully understood, but scientists believe it results from a dysfunction of your autonomic. Patients presenting with ogilvie's syndrome have underlying medical and surgical conditions predisposing them to the syndrome. Ogilvie Syndrome Etiology.
From www.slideserve.com
PPT Large Bowel Obstruction PowerPoint Presentation ID244375 Ogilvie Syndrome Etiology Patients presenting with ogilvie's syndrome have underlying medical and surgical conditions predisposing them to the syndrome. In some cases the small bowel may also be involved. The exact cause isn’t fully understood, but scientists believe it results from a dysfunction of your autonomic. Ogilvie Syndrome Etiology.
From www.youtube.com
The OSign for Ogilvie syndrome after cesarean section. YouTube Ogilvie Syndrome Etiology Patients presenting with ogilvie's syndrome have underlying medical and surgical conditions predisposing them to the syndrome. In some cases the small bowel may also be involved. The exact cause isn’t fully understood, but scientists believe it results from a dysfunction of your autonomic. Ogilvie Syndrome Etiology.