Laminate Tooth . veneers are thin coverings applied to the outer surface of the teeth to improve their appearance. Veneers are thin teeth covers that are attached to the front surface of your teeth to cover imperfections and protect enamel. Many people opt for veneers to address a range of cosmetic dental issues, such as gaps, chips, cracks, stains, unevenness, discoloration, and misalignment. They conceal cracks, chips, stains and. They are becoming increasingly popular in the us thanks to their affordability compared to other restorative dentistry procedures. dental laminate veneers, also known as composite veneers, are crafted from composite resin.
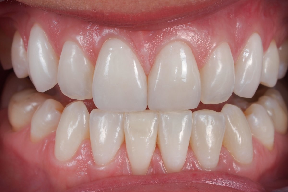
from www.inhousedentalstudio.com
Veneers are thin teeth covers that are attached to the front surface of your teeth to cover imperfections and protect enamel. veneers are thin coverings applied to the outer surface of the teeth to improve their appearance. Many people opt for veneers to address a range of cosmetic dental issues, such as gaps, chips, cracks, stains, unevenness, discoloration, and misalignment. They are becoming increasingly popular in the us thanks to their affordability compared to other restorative dentistry procedures. dental laminate veneers, also known as composite veneers, are crafted from composite resin. They conceal cracks, chips, stains and.
Case 14, Feldspathic porcelain veneers for teeth 6, 8, 9, and 11 InHouse Dental Studio
Laminate Tooth Veneers are thin teeth covers that are attached to the front surface of your teeth to cover imperfections and protect enamel. They conceal cracks, chips, stains and. dental laminate veneers, also known as composite veneers, are crafted from composite resin. Many people opt for veneers to address a range of cosmetic dental issues, such as gaps, chips, cracks, stains, unevenness, discoloration, and misalignment. They are becoming increasingly popular in the us thanks to their affordability compared to other restorative dentistry procedures. Veneers are thin teeth covers that are attached to the front surface of your teeth to cover imperfections and protect enamel. veneers are thin coverings applied to the outer surface of the teeth to improve their appearance.
From smilekraftdentistry.com
Porcelain/Ceramic Dental Veneers Laminates cost in Pune, India Permanently white teeth Laminate Tooth veneers are thin coverings applied to the outer surface of the teeth to improve their appearance. Many people opt for veneers to address a range of cosmetic dental issues, such as gaps, chips, cracks, stains, unevenness, discoloration, and misalignment. They are becoming increasingly popular in the us thanks to their affordability compared to other restorative dentistry procedures. Veneers are. Laminate Tooth.
From www.ehildispoliklinigi.com.tr
Laminate Veneer Kron Ehil Diş Polikliniği Laminate Tooth They conceal cracks, chips, stains and. veneers are thin coverings applied to the outer surface of the teeth to improve their appearance. Many people opt for veneers to address a range of cosmetic dental issues, such as gaps, chips, cracks, stains, unevenness, discoloration, and misalignment. They are becoming increasingly popular in the us thanks to their affordability compared to. Laminate Tooth.
From www.thedentalroom.com.au
Porcelain Veneers Before and After The Dental Room Laminate Tooth Many people opt for veneers to address a range of cosmetic dental issues, such as gaps, chips, cracks, stains, unevenness, discoloration, and misalignment. dental laminate veneers, also known as composite veneers, are crafted from composite resin. veneers are thin coverings applied to the outer surface of the teeth to improve their appearance. They conceal cracks, chips, stains and.. Laminate Tooth.
From www.brisbanesmiles.com.au
Porcelain Veneers Brisbane Smiles Laminate Tooth Many people opt for veneers to address a range of cosmetic dental issues, such as gaps, chips, cracks, stains, unevenness, discoloration, and misalignment. dental laminate veneers, also known as composite veneers, are crafted from composite resin. veneers are thin coverings applied to the outer surface of the teeth to improve their appearance. Veneers are thin teeth covers that. Laminate Tooth.
From www.milanoklinik.com
Porcelain Laminate Tooth Veneer Milano Klinik Laminate Tooth dental laminate veneers, also known as composite veneers, are crafted from composite resin. They conceal cracks, chips, stains and. veneers are thin coverings applied to the outer surface of the teeth to improve their appearance. They are becoming increasingly popular in the us thanks to their affordability compared to other restorative dentistry procedures. Veneers are thin teeth covers. Laminate Tooth.
From puredentalhealth.co.uk
Porcelain Laminate Veneers Smile MakeOver Pure Dental Health Truro Laminate Tooth Many people opt for veneers to address a range of cosmetic dental issues, such as gaps, chips, cracks, stains, unevenness, discoloration, and misalignment. Veneers are thin teeth covers that are attached to the front surface of your teeth to cover imperfections and protect enamel. veneers are thin coverings applied to the outer surface of the teeth to improve their. Laminate Tooth.
From dentalexcellenceturkey.com
Laminate Veneer Dental Excellence Turkey Dental Clinic in Antalya Turkey Laminate Tooth veneers are thin coverings applied to the outer surface of the teeth to improve their appearance. They are becoming increasingly popular in the us thanks to their affordability compared to other restorative dentistry procedures. Many people opt for veneers to address a range of cosmetic dental issues, such as gaps, chips, cracks, stains, unevenness, discoloration, and misalignment. Veneers are. Laminate Tooth.
From pocketdentistry.com
Tooth Preparation for Porcelain Laminate Veneers Pocket Dentistry Laminate Tooth Many people opt for veneers to address a range of cosmetic dental issues, such as gaps, chips, cracks, stains, unevenness, discoloration, and misalignment. They conceal cracks, chips, stains and. dental laminate veneers, also known as composite veneers, are crafted from composite resin. They are becoming increasingly popular in the us thanks to their affordability compared to other restorative dentistry. Laminate Tooth.
From cepcvtva.blob.core.windows.net
What Is Porcelain Veneers Made Of at Juan Seifert blog Laminate Tooth Many people opt for veneers to address a range of cosmetic dental issues, such as gaps, chips, cracks, stains, unevenness, discoloration, and misalignment. Veneers are thin teeth covers that are attached to the front surface of your teeth to cover imperfections and protect enamel. They are becoming increasingly popular in the us thanks to their affordability compared to other restorative. Laminate Tooth.
From cekyqkfk.blob.core.windows.net
Dental Porcelain Has at Joseph Alvarado blog Laminate Tooth They are becoming increasingly popular in the us thanks to their affordability compared to other restorative dentistry procedures. They conceal cracks, chips, stains and. Many people opt for veneers to address a range of cosmetic dental issues, such as gaps, chips, cracks, stains, unevenness, discoloration, and misalignment. veneers are thin coverings applied to the outer surface of the teeth. Laminate Tooth.
From www.dentroya.com
DenTroya PORCELAIN LAMINATE VENEERS Laminate Tooth They are becoming increasingly popular in the us thanks to their affordability compared to other restorative dentistry procedures. dental laminate veneers, also known as composite veneers, are crafted from composite resin. Veneers are thin teeth covers that are attached to the front surface of your teeth to cover imperfections and protect enamel. Many people opt for veneers to address. Laminate Tooth.
From dentalclinicsturkey.com
Ceramic Laminate Veneer Dental Clinics Turkey Laminate Tooth Many people opt for veneers to address a range of cosmetic dental issues, such as gaps, chips, cracks, stains, unevenness, discoloration, and misalignment. They are becoming increasingly popular in the us thanks to their affordability compared to other restorative dentistry procedures. They conceal cracks, chips, stains and. veneers are thin coverings applied to the outer surface of the teeth. Laminate Tooth.
From dentalcentervietnam.com
Laminate Porcelain Veneers Porcelain Dental Veneers Laminate Tooth They conceal cracks, chips, stains and. veneers are thin coverings applied to the outer surface of the teeth to improve their appearance. They are becoming increasingly popular in the us thanks to their affordability compared to other restorative dentistry procedures. dental laminate veneers, also known as composite veneers, are crafted from composite resin. Many people opt for veneers. Laminate Tooth.
From isdentbul.com.tr
Laminate Veneer Avantajları ve Fiyatları İsdentbul Laminate Tooth Many people opt for veneers to address a range of cosmetic dental issues, such as gaps, chips, cracks, stains, unevenness, discoloration, and misalignment. They conceal cracks, chips, stains and. Veneers are thin teeth covers that are attached to the front surface of your teeth to cover imperfections and protect enamel. dental laminate veneers, also known as composite veneers, are. Laminate Tooth.
From safarmedical.com
Dental veneers Types, Uses & Process Safar Medical Laminate Tooth Veneers are thin teeth covers that are attached to the front surface of your teeth to cover imperfections and protect enamel. Many people opt for veneers to address a range of cosmetic dental issues, such as gaps, chips, cracks, stains, unevenness, discoloration, and misalignment. dental laminate veneers, also known as composite veneers, are crafted from composite resin. veneers. Laminate Tooth.
From www.trabzondental.com
Laminate Veneer (Leaf Porcelain) Treatment Dentomed Laminate Tooth They conceal cracks, chips, stains and. Many people opt for veneers to address a range of cosmetic dental issues, such as gaps, chips, cracks, stains, unevenness, discoloration, and misalignment. veneers are thin coverings applied to the outer surface of the teeth to improve their appearance. They are becoming increasingly popular in the us thanks to their affordability compared to. Laminate Tooth.
From elevatedental.ph
Things you need to know about Porcelain Laminate Veneer Laminate Tooth They are becoming increasingly popular in the us thanks to their affordability compared to other restorative dentistry procedures. Many people opt for veneers to address a range of cosmetic dental issues, such as gaps, chips, cracks, stains, unevenness, discoloration, and misalignment. dental laminate veneers, also known as composite veneers, are crafted from composite resin. veneers are thin coverings. Laminate Tooth.
From www.tmprosthodontics.com
Porcelain Laminate Veneers TM Laminate Tooth They are becoming increasingly popular in the us thanks to their affordability compared to other restorative dentistry procedures. They conceal cracks, chips, stains and. veneers are thin coverings applied to the outer surface of the teeth to improve their appearance. dental laminate veneers, also known as composite veneers, are crafted from composite resin. Veneers are thin teeth covers. Laminate Tooth.
From vipsmilestudio.com
Laminate Dental Veneers Vip Smile Studio Antalya Turkey Laminate Tooth Veneers are thin teeth covers that are attached to the front surface of your teeth to cover imperfections and protect enamel. They conceal cracks, chips, stains and. Many people opt for veneers to address a range of cosmetic dental issues, such as gaps, chips, cracks, stains, unevenness, discoloration, and misalignment. dental laminate veneers, also known as composite veneers, are. Laminate Tooth.
From drjoshipura.com
Dental Ceramic Veneers Ahmedabad Porcelain Veneer Treatment Laminate Tooth They are becoming increasingly popular in the us thanks to their affordability compared to other restorative dentistry procedures. dental laminate veneers, also known as composite veneers, are crafted from composite resin. veneers are thin coverings applied to the outer surface of the teeth to improve their appearance. Many people opt for veneers to address a range of cosmetic. Laminate Tooth.
From www.venincasadental.com
Porcelain Laminatee Veneers Laminate Tooth They conceal cracks, chips, stains and. Veneers are thin teeth covers that are attached to the front surface of your teeth to cover imperfections and protect enamel. dental laminate veneers, also known as composite veneers, are crafted from composite resin. Many people opt for veneers to address a range of cosmetic dental issues, such as gaps, chips, cracks, stains,. Laminate Tooth.
From coneyislanddental.com
Veneers & Porcelain Laminates for Cosmetic Dentistry Laminate Tooth Veneers are thin teeth covers that are attached to the front surface of your teeth to cover imperfections and protect enamel. veneers are thin coverings applied to the outer surface of the teeth to improve their appearance. They conceal cracks, chips, stains and. dental laminate veneers, also known as composite veneers, are crafted from composite resin. They are. Laminate Tooth.
From www.inhousedentalstudio.com
Case 14, Feldspathic porcelain veneers for teeth 6, 8, 9, and 11 InHouse Dental Studio Laminate Tooth Veneers are thin teeth covers that are attached to the front surface of your teeth to cover imperfections and protect enamel. dental laminate veneers, also known as composite veneers, are crafted from composite resin. veneers are thin coverings applied to the outer surface of the teeth to improve their appearance. They conceal cracks, chips, stains and. Many people. Laminate Tooth.
From www.fixaridental.com
Fixari Dental Porcelain Veneers Columbus. OH & Canal Winchester, OH Laminate Tooth Veneers are thin teeth covers that are attached to the front surface of your teeth to cover imperfections and protect enamel. veneers are thin coverings applied to the outer surface of the teeth to improve their appearance. They are becoming increasingly popular in the us thanks to their affordability compared to other restorative dentistry procedures. They conceal cracks, chips,. Laminate Tooth.
From dentalexcellenceturkey.com
Laminate Veneer Dental Excellence Turkey Dental Clinic in Antalya Turkey Laminate Tooth dental laminate veneers, also known as composite veneers, are crafted from composite resin. They are becoming increasingly popular in the us thanks to their affordability compared to other restorative dentistry procedures. veneers are thin coverings applied to the outer surface of the teeth to improve their appearance. Veneers are thin teeth covers that are attached to the front. Laminate Tooth.
From www.drdeleonardis.com
tooth_laminate Dr. James De Leonardis Laminate Tooth dental laminate veneers, also known as composite veneers, are crafted from composite resin. They conceal cracks, chips, stains and. They are becoming increasingly popular in the us thanks to their affordability compared to other restorative dentistry procedures. Many people opt for veneers to address a range of cosmetic dental issues, such as gaps, chips, cracks, stains, unevenness, discoloration, and. Laminate Tooth.
From willowglendental.com
Veneers and Laminates Willow Glen Dental San Jose Dentist Laminate Tooth They conceal cracks, chips, stains and. dental laminate veneers, also known as composite veneers, are crafted from composite resin. Veneers are thin teeth covers that are attached to the front surface of your teeth to cover imperfections and protect enamel. They are becoming increasingly popular in the us thanks to their affordability compared to other restorative dentistry procedures. . Laminate Tooth.
From lakeforestdentalarts.com
Porcelain Veneers Laminate Tooth Veneers are thin teeth covers that are attached to the front surface of your teeth to cover imperfections and protect enamel. They conceal cracks, chips, stains and. They are becoming increasingly popular in the us thanks to their affordability compared to other restorative dentistry procedures. dental laminate veneers, also known as composite veneers, are crafted from composite resin. Many. Laminate Tooth.
From parkdentalkusadasi.com
Laminate Teeth in Kusadasi Park Dental Clinic Kusadasi, Dentist clinics in Kusadasi Laminate Tooth Many people opt for veneers to address a range of cosmetic dental issues, such as gaps, chips, cracks, stains, unevenness, discoloration, and misalignment. They are becoming increasingly popular in the us thanks to their affordability compared to other restorative dentistry procedures. They conceal cracks, chips, stains and. veneers are thin coverings applied to the outer surface of the teeth. Laminate Tooth.
From www.dentram.com
Porcelain Veneers Dentram Dental Clinics Laminate Tooth veneers are thin coverings applied to the outer surface of the teeth to improve their appearance. Veneers are thin teeth covers that are attached to the front surface of your teeth to cover imperfections and protect enamel. dental laminate veneers, also known as composite veneers, are crafted from composite resin. They conceal cracks, chips, stains and. They are. Laminate Tooth.
From www.aquahealth.com.tr
Porcelain Laminated Tooth Veneer Laminate Tooth They are becoming increasingly popular in the us thanks to their affordability compared to other restorative dentistry procedures. Veneers are thin teeth covers that are attached to the front surface of your teeth to cover imperfections and protect enamel. dental laminate veneers, also known as composite veneers, are crafted from composite resin. Many people opt for veneers to address. Laminate Tooth.
From www.inhousedentalstudio.com
Case 14, Feldspathic porcelain veneers for teeth 6, 8, 9, and 11 InHouse Dental Studio Laminate Tooth They conceal cracks, chips, stains and. Many people opt for veneers to address a range of cosmetic dental issues, such as gaps, chips, cracks, stains, unevenness, discoloration, and misalignment. Veneers are thin teeth covers that are attached to the front surface of your teeth to cover imperfections and protect enamel. They are becoming increasingly popular in the us thanks to. Laminate Tooth.
From www.adaportdental.com
Laminate Veneers Laminate Tooth dental laminate veneers, also known as composite veneers, are crafted from composite resin. veneers are thin coverings applied to the outer surface of the teeth to improve their appearance. They conceal cracks, chips, stains and. They are becoming increasingly popular in the us thanks to their affordability compared to other restorative dentistry procedures. Many people opt for veneers. Laminate Tooth.
From dentalworldtr.com
Laminate Veneers at Dental World TR Dental Treatment in Turkey Laminate Tooth Many people opt for veneers to address a range of cosmetic dental issues, such as gaps, chips, cracks, stains, unevenness, discoloration, and misalignment. Veneers are thin teeth covers that are attached to the front surface of your teeth to cover imperfections and protect enamel. They conceal cracks, chips, stains and. dental laminate veneers, also known as composite veneers, are. Laminate Tooth.
From dentistspreston.com
Before & After Porcelain Veneers Pictures Cosmetic Dentists in Preston Laminate Tooth dental laminate veneers, also known as composite veneers, are crafted from composite resin. They are becoming increasingly popular in the us thanks to their affordability compared to other restorative dentistry procedures. They conceal cracks, chips, stains and. veneers are thin coverings applied to the outer surface of the teeth to improve their appearance. Veneers are thin teeth covers. Laminate Tooth.