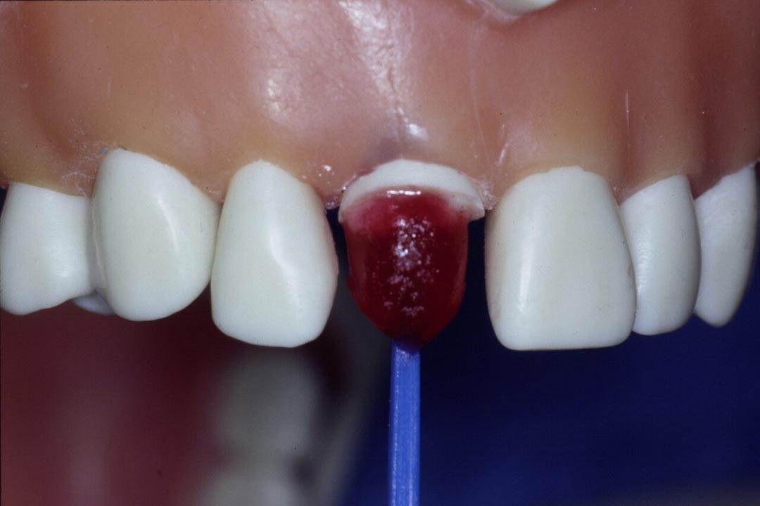
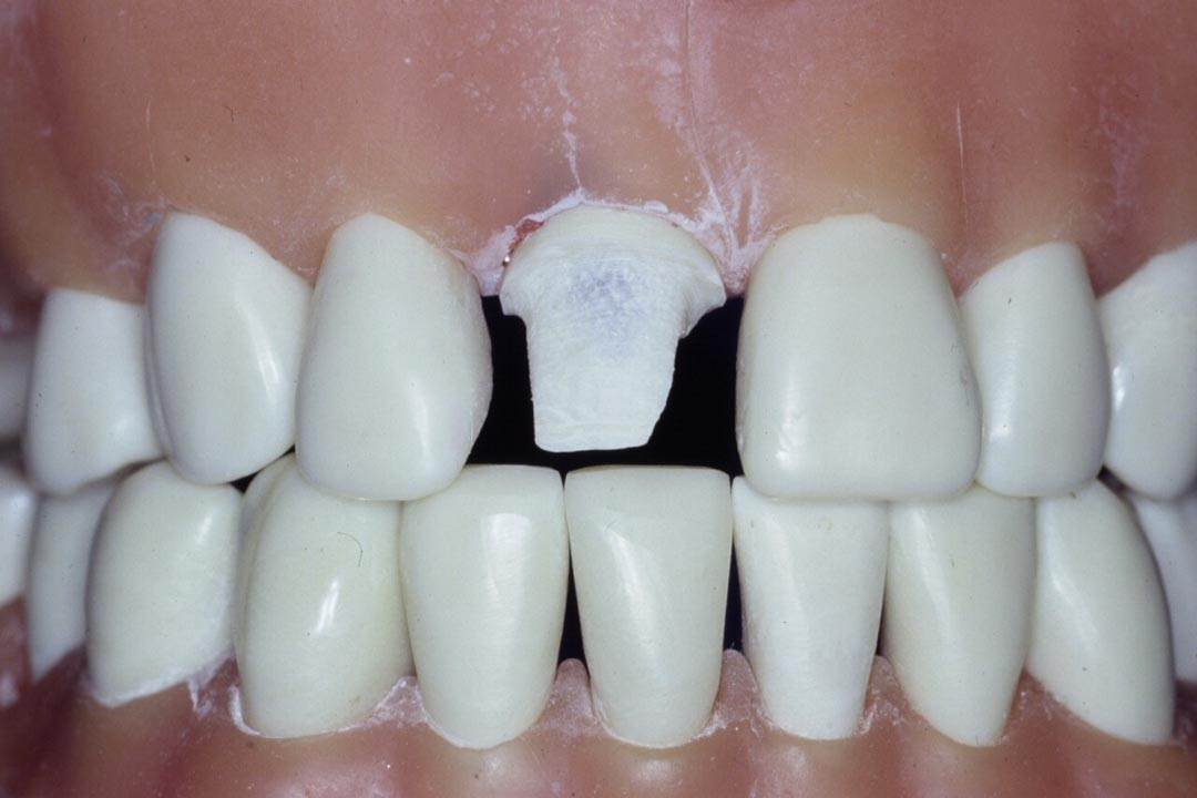
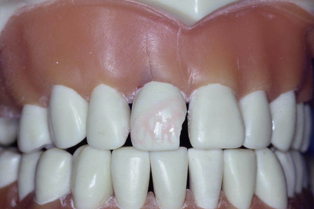
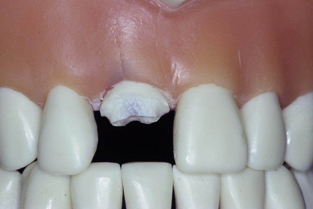
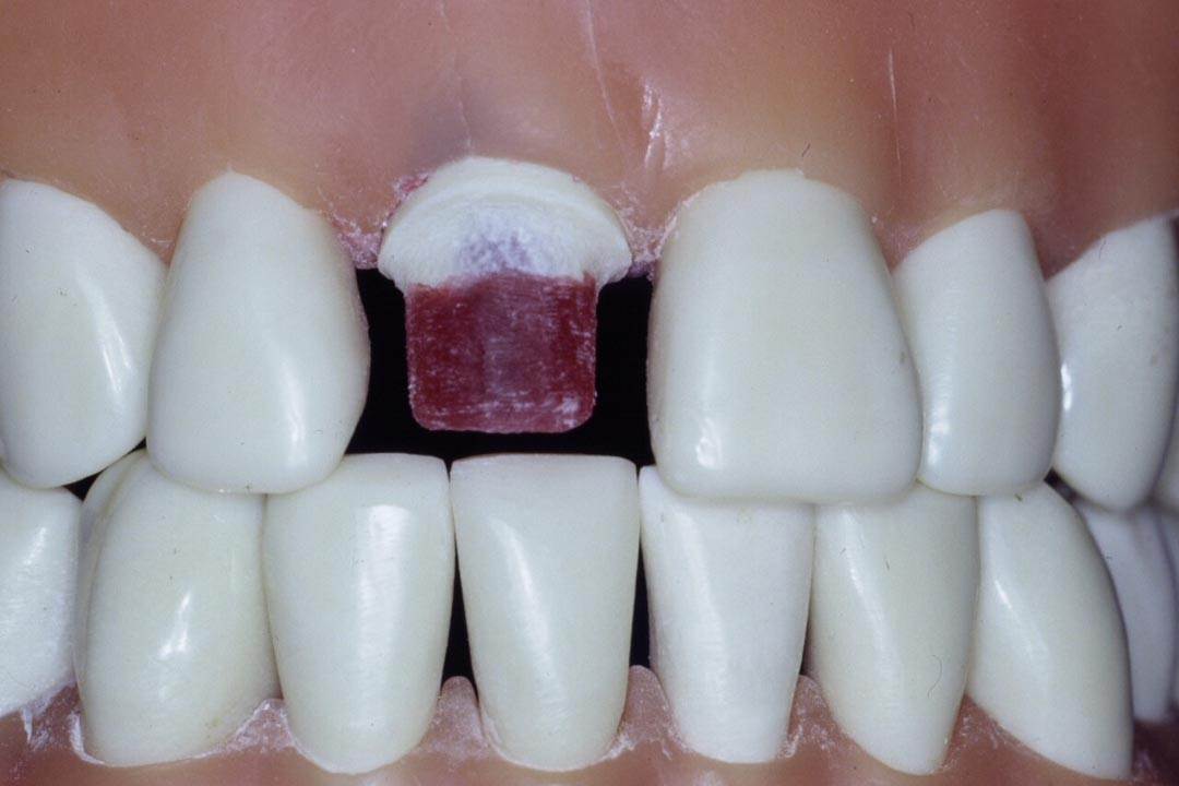
What Is Dowel And Core . A dowel, usually made of metal, is fitted in to a prepared canal of a natural tooth. “the foremost purpose of a. When combined with an artificial crown or core, it provides retention and resistance for the. A modern approach to post and core restoration: The aim of this systematic review was to determine which dowel (post) and core system is the most. The purpose of this review was to assess the factors that may. Foroud hakim september 1, 201810 mins read. A dowel and core is commonly placed to provide retention for a subsequent crown when coronal tooth structure is lacking.
from odontozarad.blogspot.com
When combined with an artificial crown or core, it provides retention and resistance for the. A modern approach to post and core restoration: A dowel, usually made of metal, is fitted in to a prepared canal of a natural tooth. “the foremost purpose of a. Foroud hakim september 1, 201810 mins read. The aim of this systematic review was to determine which dowel (post) and core system is the most. A dowel and core is commonly placed to provide retention for a subsequent crown when coronal tooth structure is lacking. The purpose of this review was to assess the factors that may.
Dentistry Custom Cast Dowel Core
What Is Dowel And Core A dowel, usually made of metal, is fitted in to a prepared canal of a natural tooth. When combined with an artificial crown or core, it provides retention and resistance for the. The aim of this systematic review was to determine which dowel (post) and core system is the most. Foroud hakim september 1, 201810 mins read. A modern approach to post and core restoration: A dowel and core is commonly placed to provide retention for a subsequent crown when coronal tooth structure is lacking. The purpose of this review was to assess the factors that may. “the foremost purpose of a. A dowel, usually made of metal, is fitted in to a prepared canal of a natural tooth.
From odontozarad.blogspot.com
Dentistry Custom Cast Dowel Core What Is Dowel And Core A dowel and core is commonly placed to provide retention for a subsequent crown when coronal tooth structure is lacking. Foroud hakim september 1, 201810 mins read. “the foremost purpose of a. The purpose of this review was to assess the factors that may. A modern approach to post and core restoration: The aim of this systematic review was to. What Is Dowel And Core.
From odontozarad.blogspot.com
Dentistry Custom Cast Dowel Core What Is Dowel And Core A dowel, usually made of metal, is fitted in to a prepared canal of a natural tooth. Foroud hakim september 1, 201810 mins read. The purpose of this review was to assess the factors that may. A dowel and core is commonly placed to provide retention for a subsequent crown when coronal tooth structure is lacking. When combined with an. What Is Dowel And Core.
From www.slideserve.com
PPT Introduction to Fixed Prosthodontics PowerPoint Presentation What Is Dowel And Core “the foremost purpose of a. The purpose of this review was to assess the factors that may. A modern approach to post and core restoration: The aim of this systematic review was to determine which dowel (post) and core system is the most. A dowel and core is commonly placed to provide retention for a subsequent crown when coronal tooth. What Is Dowel And Core.
From odontozarad.blogspot.com
Dentistry Custom Cast Dowel Core What Is Dowel And Core A modern approach to post and core restoration: A dowel and core is commonly placed to provide retention for a subsequent crown when coronal tooth structure is lacking. The aim of this systematic review was to determine which dowel (post) and core system is the most. When combined with an artificial crown or core, it provides retention and resistance for. What Is Dowel And Core.
From odontozarad.blogspot.com
Dentistry Custom Cast Dowel Core What Is Dowel And Core A modern approach to post and core restoration: The purpose of this review was to assess the factors that may. When combined with an artificial crown or core, it provides retention and resistance for the. “the foremost purpose of a. The aim of this systematic review was to determine which dowel (post) and core system is the most. Foroud hakim. What Is Dowel And Core.
From odontozarad.blogspot.com
Dentistry Custom Cast Dowel Core What Is Dowel And Core Foroud hakim september 1, 201810 mins read. A dowel, usually made of metal, is fitted in to a prepared canal of a natural tooth. The purpose of this review was to assess the factors that may. The aim of this systematic review was to determine which dowel (post) and core system is the most. A modern approach to post and. What Is Dowel And Core.
From www.researchgate.net
Dowel bearing samples and different core regions (Top and Rib What Is Dowel And Core When combined with an artificial crown or core, it provides retention and resistance for the. Foroud hakim september 1, 201810 mins read. A modern approach to post and core restoration: The aim of this systematic review was to determine which dowel (post) and core system is the most. A dowel and core is commonly placed to provide retention for a. What Is Dowel And Core.
From odontozarad.blogspot.com
Dentistry Custom Cast Dowel Core What Is Dowel And Core “the foremost purpose of a. A dowel, usually made of metal, is fitted in to a prepared canal of a natural tooth. Foroud hakim september 1, 201810 mins read. When combined with an artificial crown or core, it provides retention and resistance for the. A dowel and core is commonly placed to provide retention for a subsequent crown when coronal. What Is Dowel And Core.
From odontozarad.blogspot.com
Dentistry Custom Cast Dowel Core What Is Dowel And Core Foroud hakim september 1, 201810 mins read. A dowel and core is commonly placed to provide retention for a subsequent crown when coronal tooth structure is lacking. A modern approach to post and core restoration: When combined with an artificial crown or core, it provides retention and resistance for the. “the foremost purpose of a. The purpose of this review. What Is Dowel And Core.
From odontozarad.blogspot.com
Dentistry Custom Cast Dowel Core What Is Dowel And Core “the foremost purpose of a. Foroud hakim september 1, 201810 mins read. The purpose of this review was to assess the factors that may. The aim of this systematic review was to determine which dowel (post) and core system is the most. A dowel and core is commonly placed to provide retention for a subsequent crown when coronal tooth structure. What Is Dowel And Core.
From odontozarad.blogspot.com
Dentistry Custom Cast Dowel Core What Is Dowel And Core A dowel and core is commonly placed to provide retention for a subsequent crown when coronal tooth structure is lacking. “the foremost purpose of a. When combined with an artificial crown or core, it provides retention and resistance for the. A modern approach to post and core restoration: A dowel, usually made of metal, is fitted in to a prepared. What Is Dowel And Core.
From www.youtube.com
what is dowel bar in concrete? how to provide dowel bar YouTube What Is Dowel And Core The aim of this systematic review was to determine which dowel (post) and core system is the most. The purpose of this review was to assess the factors that may. Foroud hakim september 1, 201810 mins read. A dowel, usually made of metal, is fitted in to a prepared canal of a natural tooth. “the foremost purpose of a. A. What Is Dowel And Core.
From www.slideserve.com
PPT Introduction to Fixed Prosthodontics PowerPoint Presentation ID What Is Dowel And Core When combined with an artificial crown or core, it provides retention and resistance for the. The purpose of this review was to assess the factors that may. A dowel and core is commonly placed to provide retention for a subsequent crown when coronal tooth structure is lacking. The aim of this systematic review was to determine which dowel (post) and. What Is Dowel And Core.
From exobmagqb.blob.core.windows.net
Dowel Joint Advantages And Disadvantages at Marvin Lopez blog What Is Dowel And Core “the foremost purpose of a. A dowel, usually made of metal, is fitted in to a prepared canal of a natural tooth. The aim of this systematic review was to determine which dowel (post) and core system is the most. Foroud hakim september 1, 201810 mins read. The purpose of this review was to assess the factors that may. When. What Is Dowel And Core.
From odontozarad.blogspot.com
Dentistry Custom Cast Dowel Core What Is Dowel And Core A dowel and core is commonly placed to provide retention for a subsequent crown when coronal tooth structure is lacking. The purpose of this review was to assess the factors that may. A modern approach to post and core restoration: “the foremost purpose of a. A dowel, usually made of metal, is fitted in to a prepared canal of a. What Is Dowel And Core.
From odontozarad.blogspot.com
Dentistry Custom Cast Dowel Core What Is Dowel And Core A modern approach to post and core restoration: A dowel and core is commonly placed to provide retention for a subsequent crown when coronal tooth structure is lacking. Foroud hakim september 1, 201810 mins read. The aim of this systematic review was to determine which dowel (post) and core system is the most. “the foremost purpose of a. A dowel,. What Is Dowel And Core.
From www.researchgate.net
(A) Dowel and core and tooth; (B and C) 3D image of scanned tooth and What Is Dowel And Core Foroud hakim september 1, 201810 mins read. The purpose of this review was to assess the factors that may. A dowel and core is commonly placed to provide retention for a subsequent crown when coronal tooth structure is lacking. When combined with an artificial crown or core, it provides retention and resistance for the. A modern approach to post and. What Is Dowel And Core.
From odontozarad.blogspot.com
Dentistry Custom Cast Dowel Core What Is Dowel And Core The purpose of this review was to assess the factors that may. The aim of this systematic review was to determine which dowel (post) and core system is the most. When combined with an artificial crown or core, it provides retention and resistance for the. “the foremost purpose of a. Foroud hakim september 1, 201810 mins read. A modern approach. What Is Dowel And Core.
From odontozarad.blogspot.com
Dentistry Custom Cast Dowel Core What Is Dowel And Core Foroud hakim september 1, 201810 mins read. “the foremost purpose of a. A dowel and core is commonly placed to provide retention for a subsequent crown when coronal tooth structure is lacking. A modern approach to post and core restoration: A dowel, usually made of metal, is fitted in to a prepared canal of a natural tooth. The aim of. What Is Dowel And Core.
From odontozarad.blogspot.com
Dentistry Custom Cast Dowel Core What Is Dowel And Core The purpose of this review was to assess the factors that may. A dowel and core is commonly placed to provide retention for a subsequent crown when coronal tooth structure is lacking. When combined with an artificial crown or core, it provides retention and resistance for the. A modern approach to post and core restoration: “the foremost purpose of a.. What Is Dowel And Core.
From odontozarad.blogspot.com
Dentistry Custom Cast Dowel Core What Is Dowel And Core The purpose of this review was to assess the factors that may. The aim of this systematic review was to determine which dowel (post) and core system is the most. A dowel and core is commonly placed to provide retention for a subsequent crown when coronal tooth structure is lacking. A dowel, usually made of metal, is fitted in to. What Is Dowel And Core.
From odontozarad.blogspot.com
Dentistry Custom Cast Dowel Core What Is Dowel And Core The aim of this systematic review was to determine which dowel (post) and core system is the most. A dowel and core is commonly placed to provide retention for a subsequent crown when coronal tooth structure is lacking. Foroud hakim september 1, 201810 mins read. “the foremost purpose of a. The purpose of this review was to assess the factors. What Is Dowel And Core.
From odontozarad.blogspot.com
Dentistry Custom Cast Dowel Core What Is Dowel And Core Foroud hakim september 1, 201810 mins read. “the foremost purpose of a. The purpose of this review was to assess the factors that may. When combined with an artificial crown or core, it provides retention and resistance for the. A dowel and core is commonly placed to provide retention for a subsequent crown when coronal tooth structure is lacking. The. What Is Dowel And Core.
From odontozarad.blogspot.com
Dentistry Custom Cast Dowel Core What Is Dowel And Core The aim of this systematic review was to determine which dowel (post) and core system is the most. The purpose of this review was to assess the factors that may. “the foremost purpose of a. A modern approach to post and core restoration: A dowel, usually made of metal, is fitted in to a prepared canal of a natural tooth.. What Is Dowel And Core.
From odontozarad.blogspot.com
Dentistry Custom Cast Dowel Core What Is Dowel And Core Foroud hakim september 1, 201810 mins read. The aim of this systematic review was to determine which dowel (post) and core system is the most. “the foremost purpose of a. The purpose of this review was to assess the factors that may. A dowel, usually made of metal, is fitted in to a prepared canal of a natural tooth. A. What Is Dowel And Core.
From odontozarad.blogspot.com
Dentistry Custom Cast Dowel Core What Is Dowel And Core The purpose of this review was to assess the factors that may. A dowel, usually made of metal, is fitted in to a prepared canal of a natural tooth. Foroud hakim september 1, 201810 mins read. The aim of this systematic review was to determine which dowel (post) and core system is the most. A dowel and core is commonly. What Is Dowel And Core.
From odontozarad.blogspot.com
Dentistry Custom Cast Dowel Core What Is Dowel And Core The aim of this systematic review was to determine which dowel (post) and core system is the most. A dowel, usually made of metal, is fitted in to a prepared canal of a natural tooth. The purpose of this review was to assess the factors that may. When combined with an artificial crown or core, it provides retention and resistance. What Is Dowel And Core.
From odontozarad.blogspot.com
Dentistry Custom Cast Dowel Core What Is Dowel And Core The purpose of this review was to assess the factors that may. The aim of this systematic review was to determine which dowel (post) and core system is the most. A modern approach to post and core restoration: “the foremost purpose of a. Foroud hakim september 1, 201810 mins read. A dowel and core is commonly placed to provide retention. What Is Dowel And Core.
From odontozarad.blogspot.com
Dentistry Custom Cast Dowel Core What Is Dowel And Core “the foremost purpose of a. A dowel, usually made of metal, is fitted in to a prepared canal of a natural tooth. A dowel and core is commonly placed to provide retention for a subsequent crown when coronal tooth structure is lacking. The purpose of this review was to assess the factors that may. A modern approach to post and. What Is Dowel And Core.
From odontozarad.blogspot.com
Dentistry Custom Cast Dowel Core What Is Dowel And Core A dowel and core is commonly placed to provide retention for a subsequent crown when coronal tooth structure is lacking. A modern approach to post and core restoration: Foroud hakim september 1, 201810 mins read. When combined with an artificial crown or core, it provides retention and resistance for the. A dowel, usually made of metal, is fitted in to. What Is Dowel And Core.
From odontozarad.blogspot.com
Dentistry Custom Cast Dowel Core What Is Dowel And Core A dowel and core is commonly placed to provide retention for a subsequent crown when coronal tooth structure is lacking. When combined with an artificial crown or core, it provides retention and resistance for the. The aim of this systematic review was to determine which dowel (post) and core system is the most. The purpose of this review was to. What Is Dowel And Core.
From odontozarad.blogspot.com
Dentistry Custom Cast Dowel Core What Is Dowel And Core The purpose of this review was to assess the factors that may. The aim of this systematic review was to determine which dowel (post) and core system is the most. “the foremost purpose of a. A dowel, usually made of metal, is fitted in to a prepared canal of a natural tooth. Foroud hakim september 1, 201810 mins read. When. What Is Dowel And Core.
From www.slideserve.com
PPT Introduction to Fixed Prosthodontics PowerPoint Presentation What Is Dowel And Core “the foremost purpose of a. A dowel and core is commonly placed to provide retention for a subsequent crown when coronal tooth structure is lacking. A modern approach to post and core restoration: Foroud hakim september 1, 201810 mins read. The aim of this systematic review was to determine which dowel (post) and core system is the most. When combined. What Is Dowel And Core.
From odontozarad.blogspot.com
Dentistry Custom Cast Dowel Core What Is Dowel And Core A modern approach to post and core restoration: The aim of this systematic review was to determine which dowel (post) and core system is the most. “the foremost purpose of a. When combined with an artificial crown or core, it provides retention and resistance for the. A dowel, usually made of metal, is fitted in to a prepared canal of. What Is Dowel And Core.
From odontozarad.blogspot.com
Dentistry Custom Cast Dowel Core What Is Dowel And Core Foroud hakim september 1, 201810 mins read. When combined with an artificial crown or core, it provides retention and resistance for the. A dowel and core is commonly placed to provide retention for a subsequent crown when coronal tooth structure is lacking. A modern approach to post and core restoration: The aim of this systematic review was to determine which. What Is Dowel And Core.