What Is Leishmania Infantum . Leishmaniasis is a vectorborne disease that can infect humans, dogs, and other mammals. However, other zoonotic species of leishmania may infect dogs. Canine leishmania infections are predominantly due to leishmania infantum. Leishmaniasis is caused by protozoan parasites which are transmitted by the bite of infected female phlebotomine sandflies. The most important leishmania parasite to affect domestic animals is l infantum, also known as l chagasi in latin america. The first part of this review on. The disease affects some of the world’s poorest. The two most common kinds are. Leishmania chagasi) is the cause of a severe zoonotic disease in dogs and humans. Dogs are the main reservoir. We identified one of its causative.
from wwwnc.cdc.gov
Dogs are the main reservoir. We identified one of its causative. The disease affects some of the world’s poorest. Leishmaniasis is caused by protozoan parasites which are transmitted by the bite of infected female phlebotomine sandflies. The two most common kinds are. Canine leishmania infections are predominantly due to leishmania infantum. Leishmania chagasi) is the cause of a severe zoonotic disease in dogs and humans. The most important leishmania parasite to affect domestic animals is l infantum, also known as l chagasi in latin america. However, other zoonotic species of leishmania may infect dogs. The first part of this review on.
Figure Fatal Visceral Leishmaniasis Caused by Leishmania infantum
What Is Leishmania Infantum Canine leishmania infections are predominantly due to leishmania infantum. Dogs are the main reservoir. Leishmaniasis is caused by protozoan parasites which are transmitted by the bite of infected female phlebotomine sandflies. The two most common kinds are. The most important leishmania parasite to affect domestic animals is l infantum, also known as l chagasi in latin america. However, other zoonotic species of leishmania may infect dogs. Leishmaniasis is a vectorborne disease that can infect humans, dogs, and other mammals. The disease affects some of the world’s poorest. We identified one of its causative. The first part of this review on. Canine leishmania infections are predominantly due to leishmania infantum. Leishmania chagasi) is the cause of a severe zoonotic disease in dogs and humans.
From yorkleish.org
A Leishmania infantum marker associated with miltefosine What Is Leishmania Infantum Canine leishmania infections are predominantly due to leishmania infantum. The two most common kinds are. Dogs are the main reservoir. Leishmaniasis is a vectorborne disease that can infect humans, dogs, and other mammals. Leishmaniasis is caused by protozoan parasites which are transmitted by the bite of infected female phlebotomine sandflies. However, other zoonotic species of leishmania may infect dogs. The. What Is Leishmania Infantum.
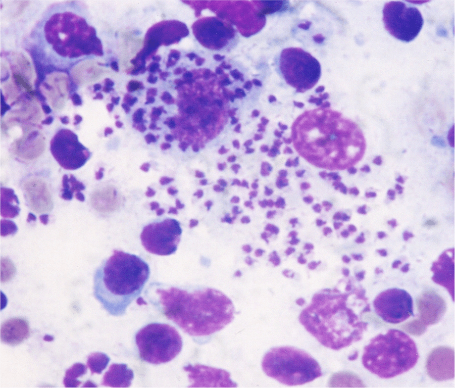
From www.insst.es
Parásito Leishmania infantum (Leishmania chagasi) Parásito Agentes What Is Leishmania Infantum Dogs are the main reservoir. Leishmaniasis is caused by protozoan parasites which are transmitted by the bite of infected female phlebotomine sandflies. However, other zoonotic species of leishmania may infect dogs. The most important leishmania parasite to affect domestic animals is l infantum, also known as l chagasi in latin america. Leishmaniasis is a vectorborne disease that can infect humans,. What Is Leishmania Infantum.
From social.cn1699.cn
Leishmania infantum infecting the carnivore Nasua nasua from urban What Is Leishmania Infantum The most important leishmania parasite to affect domestic animals is l infantum, also known as l chagasi in latin america. We identified one of its causative. However, other zoonotic species of leishmania may infect dogs. Leishmaniasis is caused by protozoan parasites which are transmitted by the bite of infected female phlebotomine sandflies. Dogs are the main reservoir. Leishmania chagasi) is. What Is Leishmania Infantum.
From yorkleish.org
What Is Leishmaniasis? Leish York Leish York What Is Leishmania Infantum The disease affects some of the world’s poorest. Leishmaniasis is a vectorborne disease that can infect humans, dogs, and other mammals. Canine leishmania infections are predominantly due to leishmania infantum. The most important leishmania parasite to affect domestic animals is l infantum, also known as l chagasi in latin america. We identified one of its causative. Dogs are the main. What Is Leishmania Infantum.
From www.thelancet.com
Leishmaniasis The Lancet What Is Leishmania Infantum The two most common kinds are. Leishmaniasis is a vectorborne disease that can infect humans, dogs, and other mammals. Leishmania chagasi) is the cause of a severe zoonotic disease in dogs and humans. Canine leishmania infections are predominantly due to leishmania infantum. The first part of this review on. Dogs are the main reservoir. The disease affects some of the. What Is Leishmania Infantum.
From mavink.com
Cutaneous Leishmaniasis Parasite What Is Leishmania Infantum Leishmania chagasi) is the cause of a severe zoonotic disease in dogs and humans. Canine leishmania infections are predominantly due to leishmania infantum. Dogs are the main reservoir. The first part of this review on. Leishmaniasis is a vectorborne disease that can infect humans, dogs, and other mammals. The two most common kinds are. However, other zoonotic species of leishmania. What Is Leishmania Infantum.
From medicalxpress.com
Leishmaniasis causes skin lesions, and is often lethal What Is Leishmania Infantum The disease affects some of the world’s poorest. The two most common kinds are. The first part of this review on. The most important leishmania parasite to affect domestic animals is l infantum, also known as l chagasi in latin america. We identified one of its causative. Dogs are the main reservoir. Leishmaniasis is caused by protozoan parasites which are. What Is Leishmania Infantum.
From www.researchgate.net
Morphology of Leishmania infantum wildtype, Δhsp70II, and HSP70II What Is Leishmania Infantum The two most common kinds are. Leishmaniasis is a vectorborne disease that can infect humans, dogs, and other mammals. Leishmaniasis is caused by protozoan parasites which are transmitted by the bite of infected female phlebotomine sandflies. The first part of this review on. Canine leishmania infections are predominantly due to leishmania infantum. Dogs are the main reservoir. We identified one. What Is Leishmania Infantum.
From www.cell.com
Leishmania infantum Trends in Parasitology What Is Leishmania Infantum The two most common kinds are. We identified one of its causative. However, other zoonotic species of leishmania may infect dogs. The first part of this review on. The disease affects some of the world’s poorest. Leishmaniasis is a vectorborne disease that can infect humans, dogs, and other mammals. Leishmania chagasi) is the cause of a severe zoonotic disease in. What Is Leishmania Infantum.
From universe84a.com
Leishmaniasis Introduction, classification, Pathogenesis, Lab Diagnosis What Is Leishmania Infantum Leishmaniasis is caused by protozoan parasites which are transmitted by the bite of infected female phlebotomine sandflies. However, other zoonotic species of leishmania may infect dogs. The disease affects some of the world’s poorest. The two most common kinds are. We identified one of its causative. Canine leishmania infections are predominantly due to leishmania infantum. The most important leishmania parasite. What Is Leishmania Infantum.
From www.mdpi.com
Free FullText Underestimation of Human Cutaneous What Is Leishmania Infantum The two most common kinds are. Leishmaniasis is caused by protozoan parasites which are transmitted by the bite of infected female phlebotomine sandflies. The most important leishmania parasite to affect domestic animals is l infantum, also known as l chagasi in latin america. We identified one of its causative. The disease affects some of the world’s poorest. Canine leishmania infections. What Is Leishmania Infantum.
From www.cabidigitallibrary.org
cutaneous leishmaniasis CABI Compendium What Is Leishmania Infantum Leishmaniasis is caused by protozoan parasites which are transmitted by the bite of infected female phlebotomine sandflies. Leishmania chagasi) is the cause of a severe zoonotic disease in dogs and humans. The two most common kinds are. We identified one of its causative. The most important leishmania parasite to affect domestic animals is l infantum, also known as l chagasi. What Is Leishmania Infantum.
From pt.slideshare.net
Leishmania infantum What Is Leishmania Infantum The disease affects some of the world’s poorest. We identified one of its causative. Leishmaniasis is caused by protozoan parasites which are transmitted by the bite of infected female phlebotomine sandflies. Dogs are the main reservoir. The most important leishmania parasite to affect domestic animals is l infantum, also known as l chagasi in latin america. Canine leishmania infections are. What Is Leishmania Infantum.
From jeffareslab.org
molecular and genome evolution What Is Leishmania Infantum The disease affects some of the world’s poorest. Canine leishmania infections are predominantly due to leishmania infantum. Leishmania chagasi) is the cause of a severe zoonotic disease in dogs and humans. The first part of this review on. Dogs are the main reservoir. The most important leishmania parasite to affect domestic animals is l infantum, also known as l chagasi. What Is Leishmania Infantum.
From www.youtube.com
Medical vocabulary What does Leishmania infantum mean YouTube What Is Leishmania Infantum Leishmaniasis is caused by protozoan parasites which are transmitted by the bite of infected female phlebotomine sandflies. We identified one of its causative. The disease affects some of the world’s poorest. However, other zoonotic species of leishmania may infect dogs. Dogs are the main reservoir. Canine leishmania infections are predominantly due to leishmania infantum. The two most common kinds are.. What Is Leishmania Infantum.
From www.semanticscholar.org
Nonhealing old world cutaneous leishmaniasis caused by L. infantum in What Is Leishmania Infantum The two most common kinds are. The first part of this review on. We identified one of its causative. Dogs are the main reservoir. Leishmaniasis is caused by protozoan parasites which are transmitted by the bite of infected female phlebotomine sandflies. However, other zoonotic species of leishmania may infect dogs. The most important leishmania parasite to affect domestic animals is. What Is Leishmania Infantum.
From www.mdpi.com
Pathogens Free FullText Modulation of Macrophage Redox and What Is Leishmania Infantum The first part of this review on. The disease affects some of the world’s poorest. The two most common kinds are. Leishmania chagasi) is the cause of a severe zoonotic disease in dogs and humans. The most important leishmania parasite to affect domestic animals is l infantum, also known as l chagasi in latin america. We identified one of its. What Is Leishmania Infantum.
From www.cell.com
Same parasite, different unraveling the epidemiology of What Is Leishmania Infantum The first part of this review on. Leishmaniasis is caused by protozoan parasites which are transmitted by the bite of infected female phlebotomine sandflies. The two most common kinds are. Leishmaniasis is a vectorborne disease that can infect humans, dogs, and other mammals. We identified one of its causative. However, other zoonotic species of leishmania may infect dogs. Canine leishmania. What Is Leishmania Infantum.
From wwwnc.cdc.gov
Figure Leishmania infantum in USBorn Dog Volume 26, Number 8 What Is Leishmania Infantum The first part of this review on. The two most common kinds are. We identified one of its causative. Dogs are the main reservoir. Leishmaniasis is a vectorborne disease that can infect humans, dogs, and other mammals. Canine leishmania infections are predominantly due to leishmania infantum. The most important leishmania parasite to affect domestic animals is l infantum, also known. What Is Leishmania Infantum.
From www.veterinaria-atual.pt
Citologia como método de diagnóstico de Leishmania infantum What Is Leishmania Infantum However, other zoonotic species of leishmania may infect dogs. We identified one of its causative. Leishmania chagasi) is the cause of a severe zoonotic disease in dogs and humans. The disease affects some of the world’s poorest. Canine leishmania infections are predominantly due to leishmania infantum. The two most common kinds are. The first part of this review on. Dogs. What Is Leishmania Infantum.
From simple.wikipedia.org
FileLeishmaniasis life cycle diagram en.svg Simple English Wikipedia What Is Leishmania Infantum Canine leishmania infections are predominantly due to leishmania infantum. Dogs are the main reservoir. The most important leishmania parasite to affect domestic animals is l infantum, also known as l chagasi in latin america. Leishmaniasis is a vectorborne disease that can infect humans, dogs, and other mammals. Leishmania chagasi) is the cause of a severe zoonotic disease in dogs and. What Is Leishmania Infantum.
From www.scielo.br
SciELO Brasil Detection of Leishmania infantum amastigotes in What Is Leishmania Infantum Leishmaniasis is a vectorborne disease that can infect humans, dogs, and other mammals. Leishmania chagasi) is the cause of a severe zoonotic disease in dogs and humans. The two most common kinds are. The first part of this review on. The disease affects some of the world’s poorest. Leishmaniasis is caused by protozoan parasites which are transmitted by the bite. What Is Leishmania Infantum.
From www.researchgate.net
The classical Leishmania life cycle (A) requires both a sand fly and What Is Leishmania Infantum Leishmaniasis is a vectorborne disease that can infect humans, dogs, and other mammals. We identified one of its causative. The first part of this review on. Leishmania chagasi) is the cause of a severe zoonotic disease in dogs and humans. The most important leishmania parasite to affect domestic animals is l infantum, also known as l chagasi in latin america.. What Is Leishmania Infantum.
From www.researchgate.net
life cycle of Leishmania infantum, alternating between What Is Leishmania Infantum The first part of this review on. Leishmania chagasi) is the cause of a severe zoonotic disease in dogs and humans. The two most common kinds are. Leishmaniasis is caused by protozoan parasites which are transmitted by the bite of infected female phlebotomine sandflies. Dogs are the main reservoir. The disease affects some of the world’s poorest. Leishmaniasis is a. What Is Leishmania Infantum.
From jamanetwork.com
Cutaneous Leishmaniasis Due to Leishmania infantum Dermatology JAMA What Is Leishmania Infantum Leishmaniasis is a vectorborne disease that can infect humans, dogs, and other mammals. Canine leishmania infections are predominantly due to leishmania infantum. The most important leishmania parasite to affect domestic animals is l infantum, also known as l chagasi in latin america. Leishmania chagasi) is the cause of a severe zoonotic disease in dogs and humans. We identified one of. What Is Leishmania Infantum.
From www.troccap.com
Leishmania Troccap What Is Leishmania Infantum Leishmaniasis is a vectorborne disease that can infect humans, dogs, and other mammals. The first part of this review on. Leishmaniasis is caused by protozoan parasites which are transmitted by the bite of infected female phlebotomine sandflies. The two most common kinds are. Canine leishmania infections are predominantly due to leishmania infantum. Leishmania chagasi) is the cause of a severe. What Is Leishmania Infantum.
From www.researchgate.net
Seroprevalence of Leishmania infantum infection in stray cats of What Is Leishmania Infantum Leishmania chagasi) is the cause of a severe zoonotic disease in dogs and humans. The most important leishmania parasite to affect domestic animals is l infantum, also known as l chagasi in latin america. The first part of this review on. However, other zoonotic species of leishmania may infect dogs. We identified one of its causative. Leishmaniasis is a vectorborne. What Is Leishmania Infantum.
From en.wikipedia.org
Leishmania Wikipedia What Is Leishmania Infantum The first part of this review on. We identified one of its causative. Canine leishmania infections are predominantly due to leishmania infantum. Leishmaniasis is a vectorborne disease that can infect humans, dogs, and other mammals. Dogs are the main reservoir. Leishmaniasis is caused by protozoan parasites which are transmitted by the bite of infected female phlebotomine sandflies. The most important. What Is Leishmania Infantum.
From www.cell.com
Leishmania infantum Trends in Parasitology What Is Leishmania Infantum We identified one of its causative. The most important leishmania parasite to affect domestic animals is l infantum, also known as l chagasi in latin america. Leishmania chagasi) is the cause of a severe zoonotic disease in dogs and humans. However, other zoonotic species of leishmania may infect dogs. The disease affects some of the world’s poorest. Leishmaniasis is a. What Is Leishmania Infantum.
From www.visavet.es
Leishmania infantum What Is Leishmania Infantum The first part of this review on. We identified one of its causative. Leishmaniasis is a vectorborne disease that can infect humans, dogs, and other mammals. Dogs are the main reservoir. The disease affects some of the world’s poorest. However, other zoonotic species of leishmania may infect dogs. Leishmania chagasi) is the cause of a severe zoonotic disease in dogs. What Is Leishmania Infantum.
From wwwnc.cdc.gov
Figure Fatal Visceral Leishmaniasis Caused by Leishmania infantum What Is Leishmania Infantum However, other zoonotic species of leishmania may infect dogs. Canine leishmania infections are predominantly due to leishmania infantum. Leishmaniasis is a vectorborne disease that can infect humans, dogs, and other mammals. Leishmaniasis is caused by protozoan parasites which are transmitted by the bite of infected female phlebotomine sandflies. The most important leishmania parasite to affect domestic animals is l infantum,. What Is Leishmania Infantum.
From mungfali.com
Leishmaniasis Life Cycle Diagram What Is Leishmania Infantum The most important leishmania parasite to affect domestic animals is l infantum, also known as l chagasi in latin america. We identified one of its causative. Leishmaniasis is a vectorborne disease that can infect humans, dogs, and other mammals. However, other zoonotic species of leishmania may infect dogs. The two most common kinds are. The first part of this review. What Is Leishmania Infantum.
From speciality.medicaldialogues.in
A case of Leishmania infantum reported in NEJM What Is Leishmania Infantum Leishmaniasis is a vectorborne disease that can infect humans, dogs, and other mammals. Canine leishmania infections are predominantly due to leishmania infantum. The two most common kinds are. The disease affects some of the world’s poorest. Dogs are the main reservoir. The most important leishmania parasite to affect domestic animals is l infantum, also known as l chagasi in latin. What Is Leishmania Infantum.
From www.researchgate.net
life cycle of Leishmania infantum, alternating between What Is Leishmania Infantum Leishmaniasis is caused by protozoan parasites which are transmitted by the bite of infected female phlebotomine sandflies. Canine leishmania infections are predominantly due to leishmania infantum. We identified one of its causative. Leishmania chagasi) is the cause of a severe zoonotic disease in dogs and humans. The disease affects some of the world’s poorest. Dogs are the main reservoir. The. What Is Leishmania Infantum.
From dic.academic.ru
Leishmania infantum это... Что такое Leishmania infantum? What Is Leishmania Infantum However, other zoonotic species of leishmania may infect dogs. The most important leishmania parasite to affect domestic animals is l infantum, also known as l chagasi in latin america. The two most common kinds are. The disease affects some of the world’s poorest. The first part of this review on. Leishmania chagasi) is the cause of a severe zoonotic disease. What Is Leishmania Infantum.