What Is Orbital Compartment Syndrome . Orbital compartment syndrome (ocs) is a true ophthalmological emergency. When intraorbital tension rises, damage to. Orbital compartment syndrome is an uncommon, ophthalmic surgical emergency characterized by an acute rise in orbital pressure. When intraorbital tension rises, damage to ocular. Orbital compartment syndrome (ocs) is an emergent condition that occurs when intraorbital pressure exceeds ophthalmic artery pressure, causing compression and. Orbital compartment syndrome is an uncommon, ophthalmic surgical emergency characterized by an acute rise in orbital pressure. Orbital compartment syndrome refers to a situation in which an expansile process within the closed compartment of the orbit leads to increased orbital pressure,. It develops as a result of an acute rise in intra. Orbital compartment syndrome (ocs) is a potentially blinding condition.
from www.cureus.com
Orbital compartment syndrome (ocs) is a true ophthalmological emergency. When intraorbital tension rises, damage to. It develops as a result of an acute rise in intra. When intraorbital tension rises, damage to ocular. Orbital compartment syndrome is an uncommon, ophthalmic surgical emergency characterized by an acute rise in orbital pressure. Orbital compartment syndrome refers to a situation in which an expansile process within the closed compartment of the orbit leads to increased orbital pressure,. Orbital compartment syndrome is an uncommon, ophthalmic surgical emergency characterized by an acute rise in orbital pressure. Orbital compartment syndrome (ocs) is an emergent condition that occurs when intraorbital pressure exceeds ophthalmic artery pressure, causing compression and. Orbital compartment syndrome (ocs) is a potentially blinding condition.
Cureus Orbital Compartment Syndrome How a Young Man’s Vision was
What Is Orbital Compartment Syndrome Orbital compartment syndrome (ocs) is an emergent condition that occurs when intraorbital pressure exceeds ophthalmic artery pressure, causing compression and. Orbital compartment syndrome (ocs) is a true ophthalmological emergency. Orbital compartment syndrome (ocs) is a potentially blinding condition. When intraorbital tension rises, damage to ocular. Orbital compartment syndrome is an uncommon, ophthalmic surgical emergency characterized by an acute rise in orbital pressure. When intraorbital tension rises, damage to. Orbital compartment syndrome refers to a situation in which an expansile process within the closed compartment of the orbit leads to increased orbital pressure,. Orbital compartment syndrome (ocs) is an emergent condition that occurs when intraorbital pressure exceeds ophthalmic artery pressure, causing compression and. It develops as a result of an acute rise in intra. Orbital compartment syndrome is an uncommon, ophthalmic surgical emergency characterized by an acute rise in orbital pressure.
From www.cureus.com
Cureus Bilateral Orbital Plasmacytomas With Orbital Compartment Syndrome What Is Orbital Compartment Syndrome Orbital compartment syndrome is an uncommon, ophthalmic surgical emergency characterized by an acute rise in orbital pressure. Orbital compartment syndrome refers to a situation in which an expansile process within the closed compartment of the orbit leads to increased orbital pressure,. Orbital compartment syndrome (ocs) is a true ophthalmological emergency. Orbital compartment syndrome is an uncommon, ophthalmic surgical emergency characterized. What Is Orbital Compartment Syndrome.
From www.researchgate.net
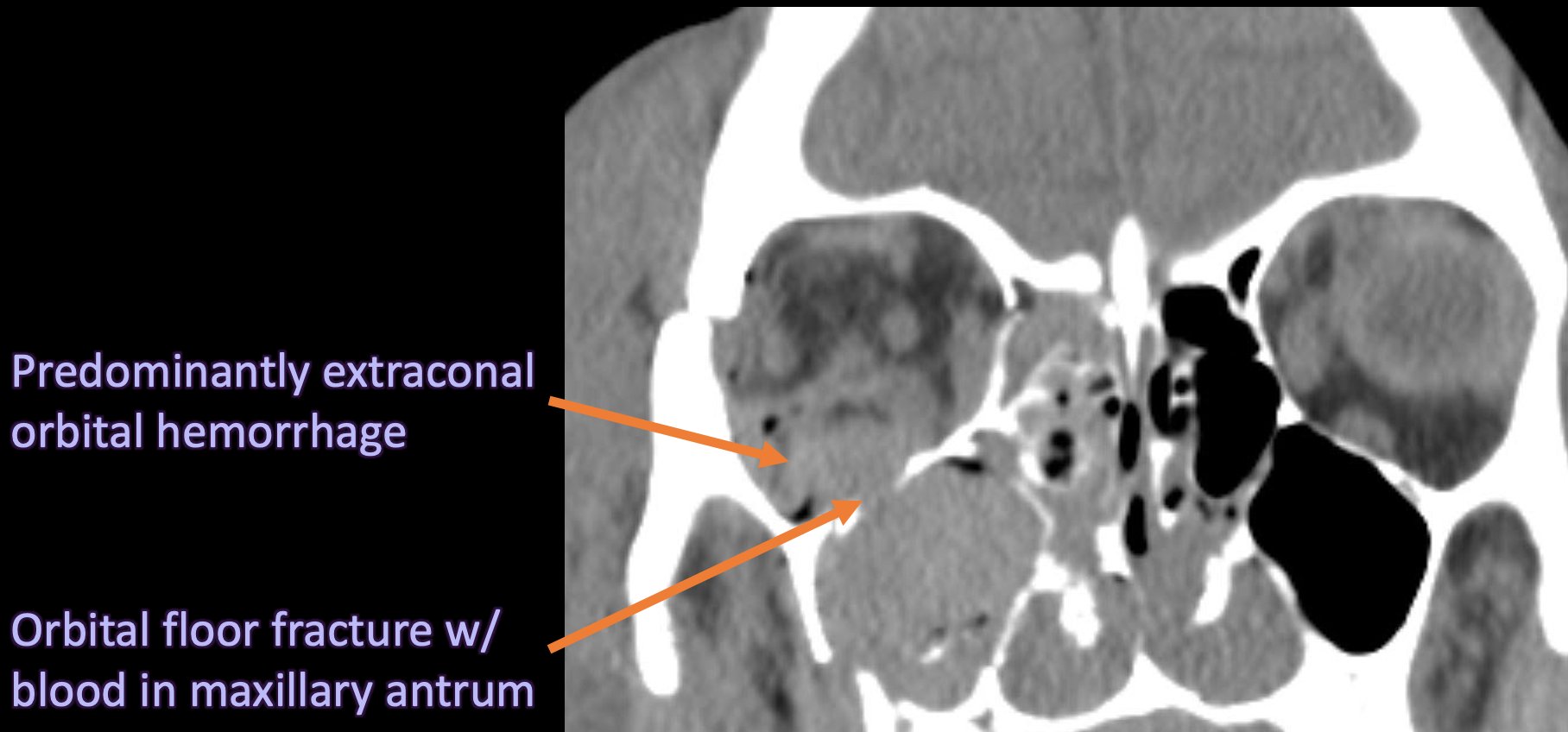
Orbital compartment syndrome. Coronal CT image in the bone window (a What Is Orbital Compartment Syndrome When intraorbital tension rises, damage to. Orbital compartment syndrome (ocs) is a true ophthalmological emergency. Orbital compartment syndrome is an uncommon, ophthalmic surgical emergency characterized by an acute rise in orbital pressure. It develops as a result of an acute rise in intra. Orbital compartment syndrome (ocs) is an emergent condition that occurs when intraorbital pressure exceeds ophthalmic artery pressure,. What Is Orbital Compartment Syndrome.
From webeye.ophth.uiowa.edu
Orbital Compartment Syndrome Curriculum What Is Orbital Compartment Syndrome Orbital compartment syndrome is an uncommon, ophthalmic surgical emergency characterized by an acute rise in orbital pressure. It develops as a result of an acute rise in intra. Orbital compartment syndrome (ocs) is an emergent condition that occurs when intraorbital pressure exceeds ophthalmic artery pressure, causing compression and. When intraorbital tension rises, damage to ocular. Orbital compartment syndrome refers to. What Is Orbital Compartment Syndrome.
From pubs.rsna.org
Demystifying Orbital Emergencies A Pictorial Review RadioGraphics What Is Orbital Compartment Syndrome Orbital compartment syndrome is an uncommon, ophthalmic surgical emergency characterized by an acute rise in orbital pressure. Orbital compartment syndrome refers to a situation in which an expansile process within the closed compartment of the orbit leads to increased orbital pressure,. Orbital compartment syndrome (ocs) is a true ophthalmological emergency. Orbital compartment syndrome (ocs) is a potentially blinding condition. Orbital. What Is Orbital Compartment Syndrome.
From www.vrogue.co
Orbital Compartment Syndrome Curriculum Cellulitis In vrogue.co What Is Orbital Compartment Syndrome Orbital compartment syndrome is an uncommon, ophthalmic surgical emergency characterized by an acute rise in orbital pressure. It develops as a result of an acute rise in intra. Orbital compartment syndrome (ocs) is an emergent condition that occurs when intraorbital pressure exceeds ophthalmic artery pressure, causing compression and. When intraorbital tension rises, damage to ocular. Orbital compartment syndrome (ocs) is. What Is Orbital Compartment Syndrome.
From westjem.com
Orbital Compartment Syndrome Following Mechanical Fall The Western What Is Orbital Compartment Syndrome Orbital compartment syndrome (ocs) is a true ophthalmological emergency. Orbital compartment syndrome is an uncommon, ophthalmic surgical emergency characterized by an acute rise in orbital pressure. Orbital compartment syndrome (ocs) is a potentially blinding condition. When intraorbital tension rises, damage to. Orbital compartment syndrome (ocs) is an emergent condition that occurs when intraorbital pressure exceeds ophthalmic artery pressure, causing compression. What Is Orbital Compartment Syndrome.
From onlinelibrary.wiley.com
Orbital compartment syndrome Pearls and pitfalls for the emergency What Is Orbital Compartment Syndrome When intraorbital tension rises, damage to ocular. Orbital compartment syndrome (ocs) is a potentially blinding condition. Orbital compartment syndrome refers to a situation in which an expansile process within the closed compartment of the orbit leads to increased orbital pressure,. Orbital compartment syndrome (ocs) is a true ophthalmological emergency. Orbital compartment syndrome is an uncommon, ophthalmic surgical emergency characterized by. What Is Orbital Compartment Syndrome.
From www.researchgate.net
(PDF) Orbital compartment syndrome from retrobulbar hemorrhage What Is Orbital Compartment Syndrome When intraorbital tension rises, damage to. When intraorbital tension rises, damage to ocular. It develops as a result of an acute rise in intra. Orbital compartment syndrome (ocs) is a true ophthalmological emergency. Orbital compartment syndrome is an uncommon, ophthalmic surgical emergency characterized by an acute rise in orbital pressure. Orbital compartment syndrome is an uncommon, ophthalmic surgical emergency characterized. What Is Orbital Compartment Syndrome.
From www.cureus.com
Cureus Orbital Compartment Syndrome How a Young Man’s Vision was What Is Orbital Compartment Syndrome When intraorbital tension rises, damage to ocular. Orbital compartment syndrome (ocs) is an emergent condition that occurs when intraorbital pressure exceeds ophthalmic artery pressure, causing compression and. Orbital compartment syndrome (ocs) is a true ophthalmological emergency. Orbital compartment syndrome is an uncommon, ophthalmic surgical emergency characterized by an acute rise in orbital pressure. Orbital compartment syndrome refers to a situation. What Is Orbital Compartment Syndrome.
From www.vrogue.co
Acute Orbital Compartment Syndrome Due To Traumatic H vrogue.co What Is Orbital Compartment Syndrome Orbital compartment syndrome (ocs) is an emergent condition that occurs when intraorbital pressure exceeds ophthalmic artery pressure, causing compression and. When intraorbital tension rises, damage to ocular. It develops as a result of an acute rise in intra. Orbital compartment syndrome is an uncommon, ophthalmic surgical emergency characterized by an acute rise in orbital pressure. When intraorbital tension rises, damage. What Is Orbital Compartment Syndrome.
From www.eyerounds.org
Orbital Compartment Syndrome Curriculum What Is Orbital Compartment Syndrome Orbital compartment syndrome (ocs) is a potentially blinding condition. Orbital compartment syndrome is an uncommon, ophthalmic surgical emergency characterized by an acute rise in orbital pressure. When intraorbital tension rises, damage to ocular. It develops as a result of an acute rise in intra. Orbital compartment syndrome (ocs) is an emergent condition that occurs when intraorbital pressure exceeds ophthalmic artery. What Is Orbital Compartment Syndrome.
From www.researchgate.net
(PDF) Acute orbital compartment syndrome What Is Orbital Compartment Syndrome Orbital compartment syndrome (ocs) is a potentially blinding condition. Orbital compartment syndrome (ocs) is a true ophthalmological emergency. Orbital compartment syndrome refers to a situation in which an expansile process within the closed compartment of the orbit leads to increased orbital pressure,. Orbital compartment syndrome (ocs) is an emergent condition that occurs when intraorbital pressure exceeds ophthalmic artery pressure, causing. What Is Orbital Compartment Syndrome.
From www.jem-journal.com
Lateral Canthotomy and Cantholysis Emergency Management of Orbital What Is Orbital Compartment Syndrome Orbital compartment syndrome (ocs) is a potentially blinding condition. It develops as a result of an acute rise in intra. When intraorbital tension rises, damage to ocular. Orbital compartment syndrome is an uncommon, ophthalmic surgical emergency characterized by an acute rise in orbital pressure. Orbital compartment syndrome (ocs) is an emergent condition that occurs when intraorbital pressure exceeds ophthalmic artery. What Is Orbital Compartment Syndrome.
From www.jvir.org
Orbital Compartment Syndrome Due to Acute Hemorrhage within an Orbital What Is Orbital Compartment Syndrome It develops as a result of an acute rise in intra. Orbital compartment syndrome (ocs) is an emergent condition that occurs when intraorbital pressure exceeds ophthalmic artery pressure, causing compression and. Orbital compartment syndrome (ocs) is a potentially blinding condition. When intraorbital tension rises, damage to. Orbital compartment syndrome is an uncommon, ophthalmic surgical emergency characterized by an acute rise. What Is Orbital Compartment Syndrome.
From www.jocn-journal.com
Orbital compartment syndrome following bicoronal flap and craniotomy What Is Orbital Compartment Syndrome Orbital compartment syndrome is an uncommon, ophthalmic surgical emergency characterized by an acute rise in orbital pressure. It develops as a result of an acute rise in intra. Orbital compartment syndrome (ocs) is an emergent condition that occurs when intraorbital pressure exceeds ophthalmic artery pressure, causing compression and. Orbital compartment syndrome is an uncommon, ophthalmic surgical emergency characterized by an. What Is Orbital Compartment Syndrome.
From www.vrogue.co
Orbital Compartment Syndrome Following Bicoronal Flap vrogue.co What Is Orbital Compartment Syndrome Orbital compartment syndrome is an uncommon, ophthalmic surgical emergency characterized by an acute rise in orbital pressure. Orbital compartment syndrome (ocs) is an emergent condition that occurs when intraorbital pressure exceeds ophthalmic artery pressure, causing compression and. When intraorbital tension rises, damage to. It develops as a result of an acute rise in intra. Orbital compartment syndrome (ocs) is a. What Is Orbital Compartment Syndrome.
From www.slideserve.com
PPT Ophthalmic emergencies PowerPoint Presentation, free download What Is Orbital Compartment Syndrome When intraorbital tension rises, damage to. Orbital compartment syndrome (ocs) is a true ophthalmological emergency. Orbital compartment syndrome (ocs) is an emergent condition that occurs when intraorbital pressure exceeds ophthalmic artery pressure, causing compression and. It develops as a result of an acute rise in intra. Orbital compartment syndrome (ocs) is a potentially blinding condition. When intraorbital tension rises, damage. What Is Orbital Compartment Syndrome.
From www.slideserve.com
PPT Ophthalmic emergencies PowerPoint Presentation, free download What Is Orbital Compartment Syndrome When intraorbital tension rises, damage to ocular. When intraorbital tension rises, damage to. Orbital compartment syndrome refers to a situation in which an expansile process within the closed compartment of the orbit leads to increased orbital pressure,. Orbital compartment syndrome (ocs) is a true ophthalmological emergency. Orbital compartment syndrome (ocs) is a potentially blinding condition. It develops as a result. What Is Orbital Compartment Syndrome.
From www.ijoms.com
Emergency management for orbital compartment syndrome—is What Is Orbital Compartment Syndrome Orbital compartment syndrome is an uncommon, ophthalmic surgical emergency characterized by an acute rise in orbital pressure. It develops as a result of an acute rise in intra. When intraorbital tension rises, damage to ocular. Orbital compartment syndrome (ocs) is a true ophthalmological emergency. When intraorbital tension rises, damage to. Orbital compartment syndrome is an uncommon, ophthalmic surgical emergency characterized. What Is Orbital Compartment Syndrome.
From www.aao.org
20202021 BCSC Basic and Clinical Science Course™ What Is Orbital Compartment Syndrome Orbital compartment syndrome is an uncommon, ophthalmic surgical emergency characterized by an acute rise in orbital pressure. Orbital compartment syndrome (ocs) is an emergent condition that occurs when intraorbital pressure exceeds ophthalmic artery pressure, causing compression and. Orbital compartment syndrome is an uncommon, ophthalmic surgical emergency characterized by an acute rise in orbital pressure. Orbital compartment syndrome (ocs) is a. What Is Orbital Compartment Syndrome.
From www.vrogue.co
Figure 1 From Orbital Compartment Syndrome With Traum vrogue.co What Is Orbital Compartment Syndrome Orbital compartment syndrome is an uncommon, ophthalmic surgical emergency characterized by an acute rise in orbital pressure. Orbital compartment syndrome (ocs) is a true ophthalmological emergency. It develops as a result of an acute rise in intra. Orbital compartment syndrome (ocs) is a potentially blinding condition. When intraorbital tension rises, damage to ocular. Orbital compartment syndrome (ocs) is an emergent. What Is Orbital Compartment Syndrome.
From www.goldjournal.net
Orbital Compartment Syndrome as the Presenting Sign of Disseminated What Is Orbital Compartment Syndrome When intraorbital tension rises, damage to. When intraorbital tension rises, damage to ocular. Orbital compartment syndrome is an uncommon, ophthalmic surgical emergency characterized by an acute rise in orbital pressure. Orbital compartment syndrome is an uncommon, ophthalmic surgical emergency characterized by an acute rise in orbital pressure. Orbital compartment syndrome (ocs) is a potentially blinding condition. Orbital compartment syndrome (ocs). What Is Orbital Compartment Syndrome.
From pubs.rsna.org
Demystifying Orbital Emergencies A Pictorial Review RadioGraphics What Is Orbital Compartment Syndrome Orbital compartment syndrome (ocs) is a true ophthalmological emergency. Orbital compartment syndrome refers to a situation in which an expansile process within the closed compartment of the orbit leads to increased orbital pressure,. Orbital compartment syndrome (ocs) is an emergent condition that occurs when intraorbital pressure exceeds ophthalmic artery pressure, causing compression and. When intraorbital tension rises, damage to. Orbital. What Is Orbital Compartment Syndrome.
From westjem.com
Orbital Compartment Syndrome Following Mechanical Fall The Western What Is Orbital Compartment Syndrome Orbital compartment syndrome refers to a situation in which an expansile process within the closed compartment of the orbit leads to increased orbital pressure,. Orbital compartment syndrome (ocs) is a potentially blinding condition. When intraorbital tension rises, damage to ocular. Orbital compartment syndrome is an uncommon, ophthalmic surgical emergency characterized by an acute rise in orbital pressure. When intraorbital tension. What Is Orbital Compartment Syndrome.
From journals.lww.com
Orbital Compartment Syndrome in Eosinophilic Angiocentric Fi What Is Orbital Compartment Syndrome Orbital compartment syndrome is an uncommon, ophthalmic surgical emergency characterized by an acute rise in orbital pressure. When intraorbital tension rises, damage to ocular. Orbital compartment syndrome refers to a situation in which an expansile process within the closed compartment of the orbit leads to increased orbital pressure,. When intraorbital tension rises, damage to. Orbital compartment syndrome (ocs) is a. What Is Orbital Compartment Syndrome.
From laptrinhx.com
Orbital Compartment Syndrome Pearls and Pitfalls for the ED Physician What Is Orbital Compartment Syndrome Orbital compartment syndrome (ocs) is an emergent condition that occurs when intraorbital pressure exceeds ophthalmic artery pressure, causing compression and. Orbital compartment syndrome refers to a situation in which an expansile process within the closed compartment of the orbit leads to increased orbital pressure,. Orbital compartment syndrome is an uncommon, ophthalmic surgical emergency characterized by an acute rise in orbital. What Is Orbital Compartment Syndrome.
From www.perplexity.ai
Orbital compartment syndrome What Is Orbital Compartment Syndrome Orbital compartment syndrome (ocs) is a potentially blinding condition. When intraorbital tension rises, damage to. Orbital compartment syndrome is an uncommon, ophthalmic surgical emergency characterized by an acute rise in orbital pressure. Orbital compartment syndrome (ocs) is a true ophthalmological emergency. It develops as a result of an acute rise in intra. When intraorbital tension rises, damage to ocular. Orbital. What Is Orbital Compartment Syndrome.
From pubs.rsna.org
Orbital Neoplasms in Adults Clinical, Radiologic, and Pathologic What Is Orbital Compartment Syndrome Orbital compartment syndrome refers to a situation in which an expansile process within the closed compartment of the orbit leads to increased orbital pressure,. Orbital compartment syndrome is an uncommon, ophthalmic surgical emergency characterized by an acute rise in orbital pressure. It develops as a result of an acute rise in intra. Orbital compartment syndrome (ocs) is a potentially blinding. What Is Orbital Compartment Syndrome.
From webeye.ophth.uiowa.edu
Orbital Compartment Syndrome Curriculum What Is Orbital Compartment Syndrome When intraorbital tension rises, damage to. It develops as a result of an acute rise in intra. When intraorbital tension rises, damage to ocular. Orbital compartment syndrome (ocs) is a true ophthalmological emergency. Orbital compartment syndrome is an uncommon, ophthalmic surgical emergency characterized by an acute rise in orbital pressure. Orbital compartment syndrome refers to a situation in which an. What Is Orbital Compartment Syndrome.
From jamanetwork.com
Intraocular Pressure Changes and Orbital Compartment Syndrome What Is Orbital Compartment Syndrome Orbital compartment syndrome (ocs) is a true ophthalmological emergency. Orbital compartment syndrome is an uncommon, ophthalmic surgical emergency characterized by an acute rise in orbital pressure. When intraorbital tension rises, damage to ocular. Orbital compartment syndrome (ocs) is an emergent condition that occurs when intraorbital pressure exceeds ophthalmic artery pressure, causing compression and. It develops as a result of an. What Is Orbital Compartment Syndrome.
From www.ajnr.org
Imaging the Tight Orbit Radiologic Manifestations of Orbital What Is Orbital Compartment Syndrome Orbital compartment syndrome is an uncommon, ophthalmic surgical emergency characterized by an acute rise in orbital pressure. When intraorbital tension rises, damage to ocular. Orbital compartment syndrome refers to a situation in which an expansile process within the closed compartment of the orbit leads to increased orbital pressure,. Orbital compartment syndrome (ocs) is a true ophthalmological emergency. Orbital compartment syndrome. What Is Orbital Compartment Syndrome.
From www.cureus.com
Cureus Orbital Compartment Syndrome How a Young Man’s Vision was What Is Orbital Compartment Syndrome When intraorbital tension rises, damage to. Orbital compartment syndrome (ocs) is a true ophthalmological emergency. Orbital compartment syndrome is an uncommon, ophthalmic surgical emergency characterized by an acute rise in orbital pressure. It develops as a result of an acute rise in intra. Orbital compartment syndrome (ocs) is an emergent condition that occurs when intraorbital pressure exceeds ophthalmic artery pressure,. What Is Orbital Compartment Syndrome.
From www.jocn-journal.com
Orbital compartment syndrome following aneurysm surgery Journal of What Is Orbital Compartment Syndrome It develops as a result of an acute rise in intra. When intraorbital tension rises, damage to ocular. Orbital compartment syndrome is an uncommon, ophthalmic surgical emergency characterized by an acute rise in orbital pressure. Orbital compartment syndrome refers to a situation in which an expansile process within the closed compartment of the orbit leads to increased orbital pressure,. Orbital. What Is Orbital Compartment Syndrome.
From rebelem.com
Orbital Compartment Syndrome REBEL EM Emergency Medicine Blog What Is Orbital Compartment Syndrome Orbital compartment syndrome is an uncommon, ophthalmic surgical emergency characterized by an acute rise in orbital pressure. It develops as a result of an acute rise in intra. Orbital compartment syndrome (ocs) is a potentially blinding condition. Orbital compartment syndrome refers to a situation in which an expansile process within the closed compartment of the orbit leads to increased orbital. What Is Orbital Compartment Syndrome.
From www.vrogue.co
Orbital Compartment Syndrome Curriculum Cellulitis In vrogue.co What Is Orbital Compartment Syndrome Orbital compartment syndrome is an uncommon, ophthalmic surgical emergency characterized by an acute rise in orbital pressure. When intraorbital tension rises, damage to ocular. Orbital compartment syndrome (ocs) is an emergent condition that occurs when intraorbital pressure exceeds ophthalmic artery pressure, causing compression and. When intraorbital tension rises, damage to. It develops as a result of an acute rise in. What Is Orbital Compartment Syndrome.