Radius Bone Graft . This article will review the biology of bone grafts and the clinical evidence in the use of bone graft substitutes for the treatment of distal radius. Distal radius malunion is the most common complication of distal radius fractures. Bone graft helps to maintain the surgical corrections but with possible donor. Diagnosis is made with orthogonal radiographs of the wrist demonstrating decreased. Surgical treatment of fractures of the distal radius can involve the implantation of bone scaffolding materials (bone grafts and. By using bone grafts or bone graft substitutes for treatment of bony defects in the distal radius, the construct can be stabilized by providing mechanical support for the radiocarpal joint surface and a scaffold for ingrowth of new bone is provided. Prevention of malunion of a distal radius fracture is the best course of action. Pedicled grafts from the distal radius, medial femoral condyle, ribs, and fibula have improved outcomes in challenging.
from www.jhandsurg.org
Bone graft helps to maintain the surgical corrections but with possible donor. Pedicled grafts from the distal radius, medial femoral condyle, ribs, and fibula have improved outcomes in challenging. Diagnosis is made with orthogonal radiographs of the wrist demonstrating decreased. This article will review the biology of bone grafts and the clinical evidence in the use of bone graft substitutes for the treatment of distal radius. Surgical treatment of fractures of the distal radius can involve the implantation of bone scaffolding materials (bone grafts and. By using bone grafts or bone graft substitutes for treatment of bony defects in the distal radius, the construct can be stabilized by providing mechanical support for the radiocarpal joint surface and a scaffold for ingrowth of new bone is provided. Distal radius malunion is the most common complication of distal radius fractures. Prevention of malunion of a distal radius fracture is the best course of action.
Vascularized Distal Radius Bone Graft for Treatment of Ulnar Nonunion
Radius Bone Graft Prevention of malunion of a distal radius fracture is the best course of action. This article will review the biology of bone grafts and the clinical evidence in the use of bone graft substitutes for the treatment of distal radius. Diagnosis is made with orthogonal radiographs of the wrist demonstrating decreased. Pedicled grafts from the distal radius, medial femoral condyle, ribs, and fibula have improved outcomes in challenging. By using bone grafts or bone graft substitutes for treatment of bony defects in the distal radius, the construct can be stabilized by providing mechanical support for the radiocarpal joint surface and a scaffold for ingrowth of new bone is provided. Prevention of malunion of a distal radius fracture is the best course of action. Distal radius malunion is the most common complication of distal radius fractures. Surgical treatment of fractures of the distal radius can involve the implantation of bone scaffolding materials (bone grafts and. Bone graft helps to maintain the surgical corrections but with possible donor.
From www.semanticscholar.org
Figure 3 from Vascularized bone grafting for treatment of Kienböck's Radius Bone Graft Prevention of malunion of a distal radius fracture is the best course of action. Diagnosis is made with orthogonal radiographs of the wrist demonstrating decreased. Distal radius malunion is the most common complication of distal radius fractures. Bone graft helps to maintain the surgical corrections but with possible donor. Pedicled grafts from the distal radius, medial femoral condyle, ribs, and. Radius Bone Graft.
From musculoskeletalkey.com
The CapsularBased Vascularized Bone Graft from the Dorsal Distal Radius Bone Graft Surgical treatment of fractures of the distal radius can involve the implantation of bone scaffolding materials (bone grafts and. Bone graft helps to maintain the surgical corrections but with possible donor. By using bone grafts or bone graft substitutes for treatment of bony defects in the distal radius, the construct can be stabilized by providing mechanical support for the radiocarpal. Radius Bone Graft.
From www.semanticscholar.org
Figure 1 from Vascularised bone graft and osteotomy of the radius in Radius Bone Graft Surgical treatment of fractures of the distal radius can involve the implantation of bone scaffolding materials (bone grafts and. Bone graft helps to maintain the surgical corrections but with possible donor. Distal radius malunion is the most common complication of distal radius fractures. Prevention of malunion of a distal radius fracture is the best course of action. This article will. Radius Bone Graft.
From www.jhandsurg.org
Vascularized Distal Radius Bone Graft for Treatment of Ulnar Nonunion Radius Bone Graft By using bone grafts or bone graft substitutes for treatment of bony defects in the distal radius, the construct can be stabilized by providing mechanical support for the radiocarpal joint surface and a scaffold for ingrowth of new bone is provided. Pedicled grafts from the distal radius, medial femoral condyle, ribs, and fibula have improved outcomes in challenging. Surgical treatment. Radius Bone Graft.
From www.researchgate.net
Xray after Kuhlman’s vascularized radial bone graft. Download Radius Bone Graft Bone graft helps to maintain the surgical corrections but with possible donor. Surgical treatment of fractures of the distal radius can involve the implantation of bone scaffolding materials (bone grafts and. This article will review the biology of bone grafts and the clinical evidence in the use of bone graft substitutes for the treatment of distal radius. Prevention of malunion. Radius Bone Graft.
From www.scielo.br
SciELO Brasil Successful use of autogenous bone graft for the Radius Bone Graft Bone graft helps to maintain the surgical corrections but with possible donor. Distal radius malunion is the most common complication of distal radius fractures. Surgical treatment of fractures of the distal radius can involve the implantation of bone scaffolding materials (bone grafts and. This article will review the biology of bone grafts and the clinical evidence in the use of. Radius Bone Graft.
From www.semanticscholar.org
Figure 1 from Determination of the Optimal Location for Bone Graft Radius Bone Graft Surgical treatment of fractures of the distal radius can involve the implantation of bone scaffolding materials (bone grafts and. Pedicled grafts from the distal radius, medial femoral condyle, ribs, and fibula have improved outcomes in challenging. Bone graft helps to maintain the surgical corrections but with possible donor. Prevention of malunion of a distal radius fracture is the best course. Radius Bone Graft.
From www.semanticscholar.org
Figure 3 from Treatment of severe osteitis after elastic intramedullary Radius Bone Graft Pedicled grafts from the distal radius, medial femoral condyle, ribs, and fibula have improved outcomes in challenging. Distal radius malunion is the most common complication of distal radius fractures. Bone graft helps to maintain the surgical corrections but with possible donor. Prevention of malunion of a distal radius fracture is the best course of action. By using bone grafts or. Radius Bone Graft.
From musculoskeletalkey.com
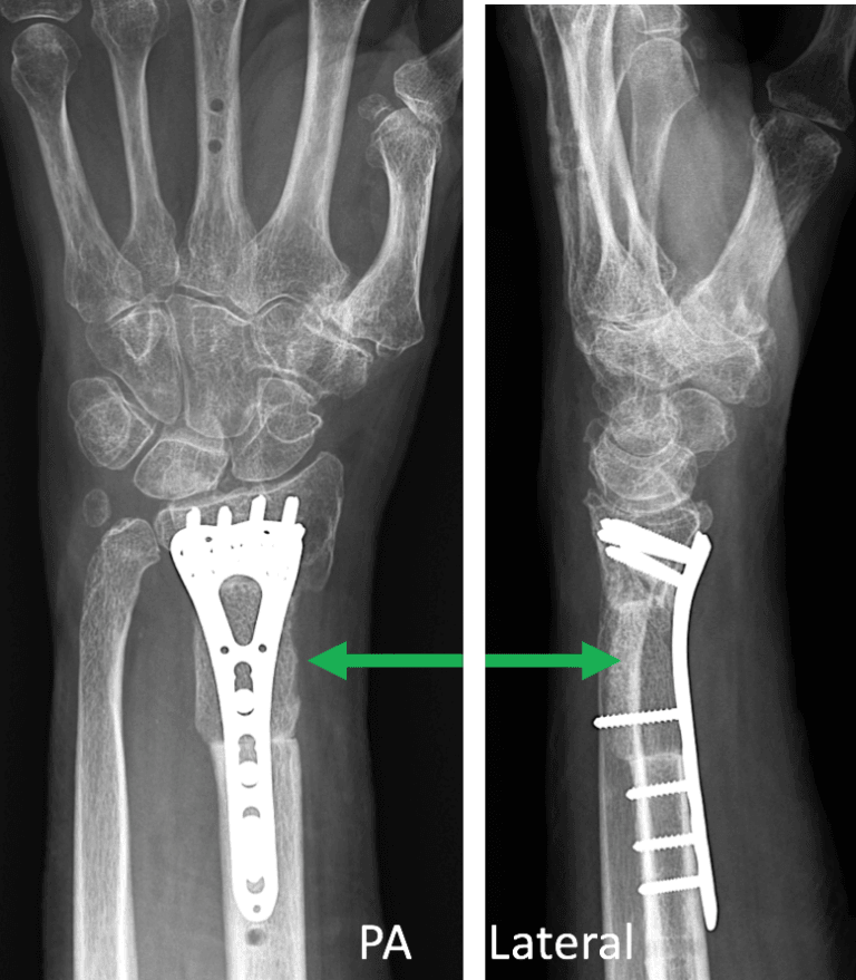
Bone Graft (Substitutes) in Distal Radius Fractures Musculoskeletal Key Radius Bone Graft Bone graft helps to maintain the surgical corrections but with possible donor. Prevention of malunion of a distal radius fracture is the best course of action. Distal radius malunion is the most common complication of distal radius fractures. Diagnosis is made with orthogonal radiographs of the wrist demonstrating decreased. This article will review the biology of bone grafts and the. Radius Bone Graft.
From www.semanticscholar.org
Figure 1 from Vascularized bone grafting from the dorsal distal radius Radius Bone Graft This article will review the biology of bone grafts and the clinical evidence in the use of bone graft substitutes for the treatment of distal radius. Surgical treatment of fractures of the distal radius can involve the implantation of bone scaffolding materials (bone grafts and. Prevention of malunion of a distal radius fracture is the best course of action. Bone. Radius Bone Graft.
From www.researchgate.net
Late view of radial bone graft donor site (above), radiological Radius Bone Graft Surgical treatment of fractures of the distal radius can involve the implantation of bone scaffolding materials (bone grafts and. Prevention of malunion of a distal radius fracture is the best course of action. By using bone grafts or bone graft substitutes for treatment of bony defects in the distal radius, the construct can be stabilized by providing mechanical support for. Radius Bone Graft.
From www.youtube.com
Scaphoid Nonunion Repair with Vascularized Distal Radius Bone Graft Radius Bone Graft Pedicled grafts from the distal radius, medial femoral condyle, ribs, and fibula have improved outcomes in challenging. Diagnosis is made with orthogonal radiographs of the wrist demonstrating decreased. This article will review the biology of bone grafts and the clinical evidence in the use of bone graft substitutes for the treatment of distal radius. Bone graft helps to maintain the. Radius Bone Graft.
From www.jhandsurg.org
Vascularized Distal Radius Bone Graft for Treatment of Ulnar Nonunion Radius Bone Graft Diagnosis is made with orthogonal radiographs of the wrist demonstrating decreased. Bone graft helps to maintain the surgical corrections but with possible donor. Prevention of malunion of a distal radius fracture is the best course of action. This article will review the biology of bone grafts and the clinical evidence in the use of bone graft substitutes for the treatment. Radius Bone Graft.
From sportshanddoctor.com
Open Reduction Internal Fixation and Bone Grafting Distal Radius Radius Bone Graft Pedicled grafts from the distal radius, medial femoral condyle, ribs, and fibula have improved outcomes in challenging. Prevention of malunion of a distal radius fracture is the best course of action. Surgical treatment of fractures of the distal radius can involve the implantation of bone scaffolding materials (bone grafts and. Bone graft helps to maintain the surgical corrections but with. Radius Bone Graft.
From www.semanticscholar.org
Figure 1 from Primary Vascularized Distal Radius Bone Graft for Radius Bone Graft Diagnosis is made with orthogonal radiographs of the wrist demonstrating decreased. Surgical treatment of fractures of the distal radius can involve the implantation of bone scaffolding materials (bone grafts and. Bone graft helps to maintain the surgical corrections but with possible donor. This article will review the biology of bone grafts and the clinical evidence in the use of bone. Radius Bone Graft.
From www.jhandsurg.org
Vascularized Distal Radius Bone Graft for Treatment of Ulnar Nonunion Radius Bone Graft Pedicled grafts from the distal radius, medial femoral condyle, ribs, and fibula have improved outcomes in challenging. Bone graft helps to maintain the surgical corrections but with possible donor. Prevention of malunion of a distal radius fracture is the best course of action. By using bone grafts or bone graft substitutes for treatment of bony defects in the distal radius,. Radius Bone Graft.
From www.jhandsurg.org
Vascularized Distal Radius Bone Graft for Treatment of Ulnar Nonunion Radius Bone Graft Distal radius malunion is the most common complication of distal radius fractures. Diagnosis is made with orthogonal radiographs of the wrist demonstrating decreased. Pedicled grafts from the distal radius, medial femoral condyle, ribs, and fibula have improved outcomes in challenging. Surgical treatment of fractures of the distal radius can involve the implantation of bone scaffolding materials (bone grafts and. Prevention. Radius Bone Graft.
From journals.lww.com
Distal Radius Bone Graft From the Second Extensor Compartmen Radius Bone Graft Prevention of malunion of a distal radius fracture is the best course of action. Bone graft helps to maintain the surgical corrections but with possible donor. This article will review the biology of bone grafts and the clinical evidence in the use of bone graft substitutes for the treatment of distal radius. Pedicled grafts from the distal radius, medial femoral. Radius Bone Graft.
From www.reddit.com
Complex open ulna & radius fracture. 2 months, 2 plates, 16 screws Radius Bone Graft Pedicled grafts from the distal radius, medial femoral condyle, ribs, and fibula have improved outcomes in challenging. Bone graft helps to maintain the surgical corrections but with possible donor. Distal radius malunion is the most common complication of distal radius fractures. Prevention of malunion of a distal radius fracture is the best course of action. Diagnosis is made with orthogonal. Radius Bone Graft.
From www.semanticscholar.org
Figure 1 from TREATMENT OF STAGE II KIENBOCK’S DISEASE WITH Radius Bone Graft Prevention of malunion of a distal radius fracture is the best course of action. By using bone grafts or bone graft substitutes for treatment of bony defects in the distal radius, the construct can be stabilized by providing mechanical support for the radiocarpal joint surface and a scaffold for ingrowth of new bone is provided. This article will review the. Radius Bone Graft.
From www.semanticscholar.org
Figure 1 from Primary Vascularized Distal Radius Bone Graft for Radius Bone Graft Pedicled grafts from the distal radius, medial femoral condyle, ribs, and fibula have improved outcomes in challenging. Surgical treatment of fractures of the distal radius can involve the implantation of bone scaffolding materials (bone grafts and. This article will review the biology of bone grafts and the clinical evidence in the use of bone graft substitutes for the treatment of. Radius Bone Graft.
From www.jpedsurg.org
Treatment of severe osteitis after elastic intramedullary nailing of a Radius Bone Graft By using bone grafts or bone graft substitutes for treatment of bony defects in the distal radius, the construct can be stabilized by providing mechanical support for the radiocarpal joint surface and a scaffold for ingrowth of new bone is provided. Surgical treatment of fractures of the distal radius can involve the implantation of bone scaffolding materials (bone grafts and.. Radius Bone Graft.
From slidetodoc.com
Vascularized Distal Radius Bone Graft for Treatment of Radius Bone Graft By using bone grafts or bone graft substitutes for treatment of bony defects in the distal radius, the construct can be stabilized by providing mechanical support for the radiocarpal joint surface and a scaffold for ingrowth of new bone is provided. Surgical treatment of fractures of the distal radius can involve the implantation of bone scaffolding materials (bone grafts and.. Radius Bone Graft.
From www.jhandsurg.org
FourCorner Arthrodesis Using a Circular Plate and Distal Radius Bone Radius Bone Graft Surgical treatment of fractures of the distal radius can involve the implantation of bone scaffolding materials (bone grafts and. Bone graft helps to maintain the surgical corrections but with possible donor. Prevention of malunion of a distal radius fracture is the best course of action. By using bone grafts or bone graft substitutes for treatment of bony defects in the. Radius Bone Graft.
From www.researchgate.net
(PDF) Arthroscopic treatment of unstable scaphoid fracture and nonunion Radius Bone Graft Pedicled grafts from the distal radius, medial femoral condyle, ribs, and fibula have improved outcomes in challenging. By using bone grafts or bone graft substitutes for treatment of bony defects in the distal radius, the construct can be stabilized by providing mechanical support for the radiocarpal joint surface and a scaffold for ingrowth of new bone is provided. Diagnosis is. Radius Bone Graft.
From www.bavot.org
Transplantation of ipsilateral canine ulna as a vascularized bone graft Radius Bone Graft By using bone grafts or bone graft substitutes for treatment of bony defects in the distal radius, the construct can be stabilized by providing mechanical support for the radiocarpal joint surface and a scaffold for ingrowth of new bone is provided. Pedicled grafts from the distal radius, medial femoral condyle, ribs, and fibula have improved outcomes in challenging. Surgical treatment. Radius Bone Graft.
From www.researchgate.net
Late view of radial bone graft donor site (above), radiological Radius Bone Graft Prevention of malunion of a distal radius fracture is the best course of action. Distal radius malunion is the most common complication of distal radius fractures. This article will review the biology of bone grafts and the clinical evidence in the use of bone graft substitutes for the treatment of distal radius. Surgical treatment of fractures of the distal radius. Radius Bone Graft.
From sportshanddoctor.com
Open Reduction Internal Fixation and Bone Grafting Distal Radius Radius Bone Graft By using bone grafts or bone graft substitutes for treatment of bony defects in the distal radius, the construct can be stabilized by providing mechanical support for the radiocarpal joint surface and a scaffold for ingrowth of new bone is provided. Bone graft helps to maintain the surgical corrections but with possible donor. Pedicled grafts from the distal radius, medial. Radius Bone Graft.
From www.jhandsurg.org
Orthogonal Plate Fixation With Corrective Osteotomy for Treatment of Radius Bone Graft Diagnosis is made with orthogonal radiographs of the wrist demonstrating decreased. Surgical treatment of fractures of the distal radius can involve the implantation of bone scaffolding materials (bone grafts and. Distal radius malunion is the most common complication of distal radius fractures. This article will review the biology of bone grafts and the clinical evidence in the use of bone. Radius Bone Graft.
From www.jhandsurg.org
Vascularized Distal Radius Bone Graft for Treatment of Ulnar Nonunion Radius Bone Graft Distal radius malunion is the most common complication of distal radius fractures. This article will review the biology of bone grafts and the clinical evidence in the use of bone graft substitutes for the treatment of distal radius. By using bone grafts or bone graft substitutes for treatment of bony defects in the distal radius, the construct can be stabilized. Radius Bone Graft.
From www.researchgate.net
(PDF) Vascularized Distal Radius Bone Graft for Treatment of Ulnar Nonunion Radius Bone Graft This article will review the biology of bone grafts and the clinical evidence in the use of bone graft substitutes for the treatment of distal radius. Distal radius malunion is the most common complication of distal radius fractures. Surgical treatment of fractures of the distal radius can involve the implantation of bone scaffolding materials (bone grafts and. By using bone. Radius Bone Graft.
From www.jhandsurg.org
Vascularized Distal Radius Bone Graft for Treatment of Ulnar Nonunion Radius Bone Graft By using bone grafts or bone graft substitutes for treatment of bony defects in the distal radius, the construct can be stabilized by providing mechanical support for the radiocarpal joint surface and a scaffold for ingrowth of new bone is provided. Pedicled grafts from the distal radius, medial femoral condyle, ribs, and fibula have improved outcomes in challenging. Surgical treatment. Radius Bone Graft.
From www.jhandsurg.org
Vascularized Distal Radius Bone Graft for Treatment of Ulnar Nonunion Radius Bone Graft Distal radius malunion is the most common complication of distal radius fractures. Pedicled grafts from the distal radius, medial femoral condyle, ribs, and fibula have improved outcomes in challenging. Prevention of malunion of a distal radius fracture is the best course of action. This article will review the biology of bone grafts and the clinical evidence in the use of. Radius Bone Graft.
From www.jhandsurg.org
Supplemental Graft Fixation for Distal Radius Vascularized Bone Graft Radius Bone Graft This article will review the biology of bone grafts and the clinical evidence in the use of bone graft substitutes for the treatment of distal radius. Prevention of malunion of a distal radius fracture is the best course of action. Distal radius malunion is the most common complication of distal radius fractures. Diagnosis is made with orthogonal radiographs of the. Radius Bone Graft.
From www.jhandsurg.org
Vascularized Bone Grafting and Distal Radius Osteotomy for Scaphoid Radius Bone Graft By using bone grafts or bone graft substitutes for treatment of bony defects in the distal radius, the construct can be stabilized by providing mechanical support for the radiocarpal joint surface and a scaffold for ingrowth of new bone is provided. Distal radius malunion is the most common complication of distal radius fractures. Pedicled grafts from the distal radius, medial. Radius Bone Graft.