Thymic Carcinoma Types . Most diagnoses occur after age 70. From the light microscopic point of view, the features of thymic carcinoma can be summarized based on the cellularity of the tumor or based on. The cells may no longer even look like thymus cells. Thymoma and thymic carcinoma, also called thymic epithelial tumors (tets), are two types of rare cancers that can form in the cells that cover the. In the largest study published by suster and rosai,3 two distinct clinical groups were. This overview of the fifth edition of the who classification of thymic epithelial tumors (including thymomas, thymic carcinomas, and thymic. Learn about thymoma and thymic carcinoma signs, diagnosis, causes, risk factors, and treatment options. This is the most dangerous form and is also known as thymic carcinoma. It contains cells that look very abnormal under the microscope.
from www.mdpi.com
This is the most dangerous form and is also known as thymic carcinoma. Learn about thymoma and thymic carcinoma signs, diagnosis, causes, risk factors, and treatment options. Thymoma and thymic carcinoma, also called thymic epithelial tumors (tets), are two types of rare cancers that can form in the cells that cover the. In the largest study published by suster and rosai,3 two distinct clinical groups were. Most diagnoses occur after age 70. It contains cells that look very abnormal under the microscope. From the light microscopic point of view, the features of thymic carcinoma can be summarized based on the cellularity of the tumor or based on. The cells may no longer even look like thymus cells. This overview of the fifth edition of the who classification of thymic epithelial tumors (including thymomas, thymic carcinomas, and thymic.
Life Free FullText Current Treatment Approaches for Thymic
Thymic Carcinoma Types In the largest study published by suster and rosai,3 two distinct clinical groups were. Learn about thymoma and thymic carcinoma signs, diagnosis, causes, risk factors, and treatment options. In the largest study published by suster and rosai,3 two distinct clinical groups were. It contains cells that look very abnormal under the microscope. Most diagnoses occur after age 70. This overview of the fifth edition of the who classification of thymic epithelial tumors (including thymomas, thymic carcinomas, and thymic. The cells may no longer even look like thymus cells. From the light microscopic point of view, the features of thymic carcinoma can be summarized based on the cellularity of the tumor or based on. This is the most dangerous form and is also known as thymic carcinoma. Thymoma and thymic carcinoma, also called thymic epithelial tumors (tets), are two types of rare cancers that can form in the cells that cover the.
From www.frontiersin.org
Frontiers Thymic Carcinoma A Review Thymic Carcinoma Types The cells may no longer even look like thymus cells. This is the most dangerous form and is also known as thymic carcinoma. It contains cells that look very abnormal under the microscope. Most diagnoses occur after age 70. From the light microscopic point of view, the features of thymic carcinoma can be summarized based on the cellularity of the. Thymic Carcinoma Types.
From jcmtjournal.com
Thymic carcinoma review and update Thymic Carcinoma Types Thymoma and thymic carcinoma, also called thymic epithelial tumors (tets), are two types of rare cancers that can form in the cells that cover the. This overview of the fifth edition of the who classification of thymic epithelial tumors (including thymomas, thymic carcinomas, and thymic. The cells may no longer even look like thymus cells. In the largest study published. Thymic Carcinoma Types.
From www.pathologyoutlines.com
Pathology Outlines Thymic squamous cell carcinoma Thymic Carcinoma Types Most diagnoses occur after age 70. The cells may no longer even look like thymus cells. In the largest study published by suster and rosai,3 two distinct clinical groups were. It contains cells that look very abnormal under the microscope. This overview of the fifth edition of the who classification of thymic epithelial tumors (including thymomas, thymic carcinomas, and thymic.. Thymic Carcinoma Types.
From www.thymicuk.org
Thymic Cancer Explained Types, Stats, Diagnosis and Causes ThymicUK Thymic Carcinoma Types It contains cells that look very abnormal under the microscope. The cells may no longer even look like thymus cells. Most diagnoses occur after age 70. From the light microscopic point of view, the features of thymic carcinoma can be summarized based on the cellularity of the tumor or based on. This is the most dangerous form and is also. Thymic Carcinoma Types.
From jnccn.org
Thymoma Versus Thymic Carcinoma Differences in Biology Impacting Thymic Carcinoma Types From the light microscopic point of view, the features of thymic carcinoma can be summarized based on the cellularity of the tumor or based on. Most diagnoses occur after age 70. It contains cells that look very abnormal under the microscope. This overview of the fifth edition of the who classification of thymic epithelial tumors (including thymomas, thymic carcinomas, and. Thymic Carcinoma Types.
From www.slideserve.com
PPT THYMOMAS PowerPoint Presentation, free download ID4430473 Thymic Carcinoma Types It contains cells that look very abnormal under the microscope. Learn about thymoma and thymic carcinoma signs, diagnosis, causes, risk factors, and treatment options. The cells may no longer even look like thymus cells. This is the most dangerous form and is also known as thymic carcinoma. From the light microscopic point of view, the features of thymic carcinoma can. Thymic Carcinoma Types.
From exoojkhww.blob.core.windows.net
Thymic Carcinoma Rabbit at Alicia Peters blog Thymic Carcinoma Types In the largest study published by suster and rosai,3 two distinct clinical groups were. The cells may no longer even look like thymus cells. From the light microscopic point of view, the features of thymic carcinoma can be summarized based on the cellularity of the tumor or based on. Most diagnoses occur after age 70. Learn about thymoma and thymic. Thymic Carcinoma Types.
From www.researchgate.net
Example of a thymic carcinoma fixed in formalin at 4 • C and embedded Thymic Carcinoma Types In the largest study published by suster and rosai,3 two distinct clinical groups were. It contains cells that look very abnormal under the microscope. This is the most dangerous form and is also known as thymic carcinoma. Thymoma and thymic carcinoma, also called thymic epithelial tumors (tets), are two types of rare cancers that can form in the cells that. Thymic Carcinoma Types.
From www.pathologyoutlines.com
Pathology Outlines Thymic squamous cell carcinoma Thymic Carcinoma Types Learn about thymoma and thymic carcinoma signs, diagnosis, causes, risk factors, and treatment options. Most diagnoses occur after age 70. Thymoma and thymic carcinoma, also called thymic epithelial tumors (tets), are two types of rare cancers that can form in the cells that cover the. From the light microscopic point of view, the features of thymic carcinoma can be summarized. Thymic Carcinoma Types.
From klaihrsqi.blob.core.windows.net
What Is Metastatic Thymic Cancer at Paul Perry blog Thymic Carcinoma Types This is the most dangerous form and is also known as thymic carcinoma. Learn about thymoma and thymic carcinoma signs, diagnosis, causes, risk factors, and treatment options. From the light microscopic point of view, the features of thymic carcinoma can be summarized based on the cellularity of the tumor or based on. Most diagnoses occur after age 70. This overview. Thymic Carcinoma Types.
From www.frontiersin.org
Frontiers Thymic Carcinoma A Review Thymic Carcinoma Types From the light microscopic point of view, the features of thymic carcinoma can be summarized based on the cellularity of the tumor or based on. The cells may no longer even look like thymus cells. In the largest study published by suster and rosai,3 two distinct clinical groups were. Most diagnoses occur after age 70. Learn about thymoma and thymic. Thymic Carcinoma Types.
From thymic.org
Prognosis Foundation for Thymic Cancer Research Thymic Carcinoma Types This is the most dangerous form and is also known as thymic carcinoma. The cells may no longer even look like thymus cells. This overview of the fifth edition of the who classification of thymic epithelial tumors (including thymomas, thymic carcinomas, and thymic. From the light microscopic point of view, the features of thymic carcinoma can be summarized based on. Thymic Carcinoma Types.
From www.researchgate.net
Morphology of small cell carcinoma (SCC) of the thymus. (A) Low power Thymic Carcinoma Types From the light microscopic point of view, the features of thymic carcinoma can be summarized based on the cellularity of the tumor or based on. The cells may no longer even look like thymus cells. Learn about thymoma and thymic carcinoma signs, diagnosis, causes, risk factors, and treatment options. This overview of the fifth edition of the who classification of. Thymic Carcinoma Types.
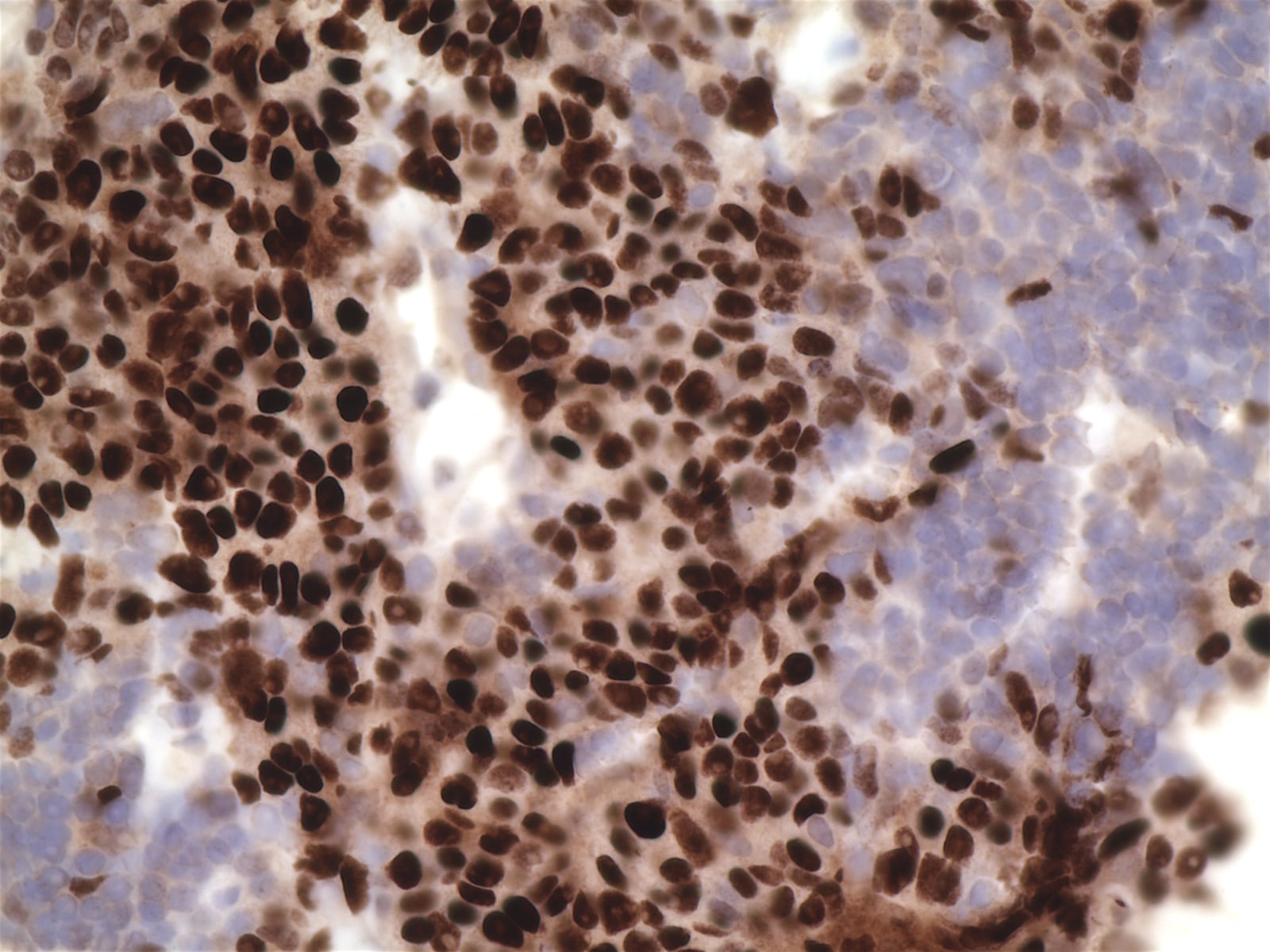
From www.researchgate.net
L1CAM expression in thymic epithelial tumors. a, b Thymic squamous cell Thymic Carcinoma Types In the largest study published by suster and rosai,3 two distinct clinical groups were. The cells may no longer even look like thymus cells. From the light microscopic point of view, the features of thymic carcinoma can be summarized based on the cellularity of the tumor or based on. Most diagnoses occur after age 70. This overview of the fifth. Thymic Carcinoma Types.
From www.researchgate.net
Disagreement thymic carcinoma vs type B3 thymoma. ( A and B ) This Thymic Carcinoma Types This is the most dangerous form and is also known as thymic carcinoma. It contains cells that look very abnormal under the microscope. In the largest study published by suster and rosai,3 two distinct clinical groups were. Learn about thymoma and thymic carcinoma signs, diagnosis, causes, risk factors, and treatment options. Most diagnoses occur after age 70. Thymoma and thymic. Thymic Carcinoma Types.
From icloudhospital.com
Thymus cancer Thymic Carcinoma Types Most diagnoses occur after age 70. The cells may no longer even look like thymus cells. Thymoma and thymic carcinoma, also called thymic epithelial tumors (tets), are two types of rare cancers that can form in the cells that cover the. This overview of the fifth edition of the who classification of thymic epithelial tumors (including thymomas, thymic carcinomas, and. Thymic Carcinoma Types.
From www.thymicuk.org
Thymic Cancer Explained Types, Stats, Diagnosis and Causes ThymicUK Thymic Carcinoma Types Most diagnoses occur after age 70. From the light microscopic point of view, the features of thymic carcinoma can be summarized based on the cellularity of the tumor or based on. The cells may no longer even look like thymus cells. It contains cells that look very abnormal under the microscope. Thymoma and thymic carcinoma, also called thymic epithelial tumors. Thymic Carcinoma Types.
From jtd.amegroups.org
The enlightenments from ITMIG Consensus on WHO histological Thymic Carcinoma Types In the largest study published by suster and rosai,3 two distinct clinical groups were. This is the most dangerous form and is also known as thymic carcinoma. From the light microscopic point of view, the features of thymic carcinoma can be summarized based on the cellularity of the tumor or based on. Thymoma and thymic carcinoma, also called thymic epithelial. Thymic Carcinoma Types.
From www.researchgate.net
Histological section of the resected thymic carcinoma. Tumor presents Thymic Carcinoma Types In the largest study published by suster and rosai,3 two distinct clinical groups were. Thymoma and thymic carcinoma, also called thymic epithelial tumors (tets), are two types of rare cancers that can form in the cells that cover the. Most diagnoses occur after age 70. From the light microscopic point of view, the features of thymic carcinoma can be summarized. Thymic Carcinoma Types.
From icytology.wordpress.com
301 Moved Permanently Thymic Carcinoma Types This is the most dangerous form and is also known as thymic carcinoma. It contains cells that look very abnormal under the microscope. In the largest study published by suster and rosai,3 two distinct clinical groups were. Thymoma and thymic carcinoma, also called thymic epithelial tumors (tets), are two types of rare cancers that can form in the cells that. Thymic Carcinoma Types.
From www.pathologyoutlines.com
Pathology Outlines Thymic squamous cell carcinoma Thymic Carcinoma Types Most diagnoses occur after age 70. In the largest study published by suster and rosai,3 two distinct clinical groups were. The cells may no longer even look like thymus cells. From the light microscopic point of view, the features of thymic carcinoma can be summarized based on the cellularity of the tumor or based on. It contains cells that look. Thymic Carcinoma Types.
From jcmtjournal.com
Thymic carcinoma review and update Thymic Carcinoma Types This is the most dangerous form and is also known as thymic carcinoma. Most diagnoses occur after age 70. From the light microscopic point of view, the features of thymic carcinoma can be summarized based on the cellularity of the tumor or based on. Learn about thymoma and thymic carcinoma signs, diagnosis, causes, risk factors, and treatment options. The cells. Thymic Carcinoma Types.
From www.researchgate.net
Graphic illustration of the spectrum of differentiation of thymic Thymic Carcinoma Types This is the most dangerous form and is also known as thymic carcinoma. This overview of the fifth edition of the who classification of thymic epithelial tumors (including thymomas, thymic carcinomas, and thymic. The cells may no longer even look like thymus cells. It contains cells that look very abnormal under the microscope. Thymoma and thymic carcinoma, also called thymic. Thymic Carcinoma Types.
From www.mdpi.com
Life Free FullText Current Treatment Approaches for Thymic Thymic Carcinoma Types It contains cells that look very abnormal under the microscope. Thymoma and thymic carcinoma, also called thymic epithelial tumors (tets), are two types of rare cancers that can form in the cells that cover the. In the largest study published by suster and rosai,3 two distinct clinical groups were. From the light microscopic point of view, the features of thymic. Thymic Carcinoma Types.
From thymic.org
What is Thymic Cancer? Foundation for Thymic Cancer Research Thymic Carcinoma Types This overview of the fifth edition of the who classification of thymic epithelial tumors (including thymomas, thymic carcinomas, and thymic. From the light microscopic point of view, the features of thymic carcinoma can be summarized based on the cellularity of the tumor or based on. This is the most dangerous form and is also known as thymic carcinoma. Learn about. Thymic Carcinoma Types.
From casereports.bmj.com
Thymic carcinoma presenting as atypical chest pain BMJ Case Reports Thymic Carcinoma Types This overview of the fifth edition of the who classification of thymic epithelial tumors (including thymomas, thymic carcinomas, and thymic. From the light microscopic point of view, the features of thymic carcinoma can be summarized based on the cellularity of the tumor or based on. Thymoma and thymic carcinoma, also called thymic epithelial tumors (tets), are two types of rare. Thymic Carcinoma Types.
From thymiccarcinoma.org
Types of Thymic Neoplasms Thymic Carcinoma Center Thymic Carcinoma Types In the largest study published by suster and rosai,3 two distinct clinical groups were. This overview of the fifth edition of the who classification of thymic epithelial tumors (including thymomas, thymic carcinomas, and thymic. It contains cells that look very abnormal under the microscope. From the light microscopic point of view, the features of thymic carcinoma can be summarized based. Thymic Carcinoma Types.
From jcmtjournal.com
Thymic carcinoma review and update Thymic Carcinoma Types Learn about thymoma and thymic carcinoma signs, diagnosis, causes, risk factors, and treatment options. It contains cells that look very abnormal under the microscope. From the light microscopic point of view, the features of thymic carcinoma can be summarized based on the cellularity of the tumor or based on. Thymoma and thymic carcinoma, also called thymic epithelial tumors (tets), are. Thymic Carcinoma Types.
From www.pathologyoutlines.com
Pathology Outlines Thymic squamous cell carcinoma Thymic Carcinoma Types The cells may no longer even look like thymus cells. This overview of the fifth edition of the who classification of thymic epithelial tumors (including thymomas, thymic carcinomas, and thymic. From the light microscopic point of view, the features of thymic carcinoma can be summarized based on the cellularity of the tumor or based on. It contains cells that look. Thymic Carcinoma Types.
From thymiccarcinoma.org
Types of Thymic Neoplasms Thymic Carcinoma Center Thymic Carcinoma Types This is the most dangerous form and is also known as thymic carcinoma. Most diagnoses occur after age 70. Learn about thymoma and thymic carcinoma signs, diagnosis, causes, risk factors, and treatment options. It contains cells that look very abnormal under the microscope. This overview of the fifth edition of the who classification of thymic epithelial tumors (including thymomas, thymic. Thymic Carcinoma Types.
From casereports.bmj.com
Thymic basaloid carcinoma a rare clinical entity BMJ Case Reports Thymic Carcinoma Types From the light microscopic point of view, the features of thymic carcinoma can be summarized based on the cellularity of the tumor or based on. Learn about thymoma and thymic carcinoma signs, diagnosis, causes, risk factors, and treatment options. This overview of the fifth edition of the who classification of thymic epithelial tumors (including thymomas, thymic carcinomas, and thymic. In. Thymic Carcinoma Types.
From jcmtjournal.com
Molecular pathology of thymoma and thymic carcinoma Thymic Carcinoma Types It contains cells that look very abnormal under the microscope. From the light microscopic point of view, the features of thymic carcinoma can be summarized based on the cellularity of the tumor or based on. In the largest study published by suster and rosai,3 two distinct clinical groups were. Most diagnoses occur after age 70. Thymoma and thymic carcinoma, also. Thymic Carcinoma Types.
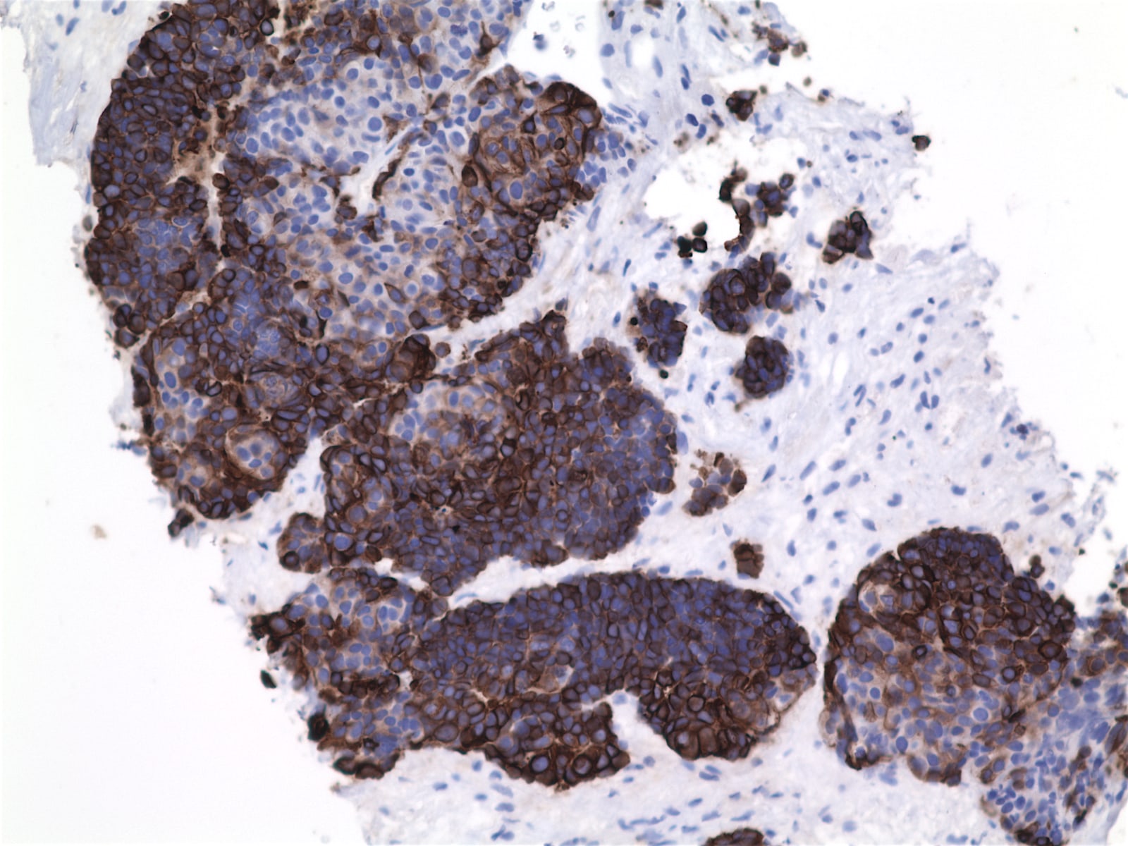
From www.researchgate.net
Immunohistochemistry (IHC) for thymic carcinoma and type B3 thymoma Thymic Carcinoma Types This is the most dangerous form and is also known as thymic carcinoma. From the light microscopic point of view, the features of thymic carcinoma can be summarized based on the cellularity of the tumor or based on. In the largest study published by suster and rosai,3 two distinct clinical groups were. It contains cells that look very abnormal under. Thymic Carcinoma Types.
From www.researchgate.net
Comparison of thymic epithelial tumors classifications On the left the Thymic Carcinoma Types Most diagnoses occur after age 70. This is the most dangerous form and is also known as thymic carcinoma. In the largest study published by suster and rosai,3 two distinct clinical groups were. It contains cells that look very abnormal under the microscope. The cells may no longer even look like thymus cells. This overview of the fifth edition of. Thymic Carcinoma Types.
From thymic.org
What is Thymic Cancer? Foundation for Thymic Cancer Research Thymic Carcinoma Types This overview of the fifth edition of the who classification of thymic epithelial tumors (including thymomas, thymic carcinomas, and thymic. Most diagnoses occur after age 70. This is the most dangerous form and is also known as thymic carcinoma. It contains cells that look very abnormal under the microscope. The cells may no longer even look like thymus cells. Thymoma. Thymic Carcinoma Types.