Orthodontic Sinusitis . Odontogenic sinusitis (ods) can present a therapeutic dilemma because multiple treatment strategies have been reported. A dental sinus is an abnormal channel that drains from a longstanding dental abscess associated with a necrotic or dead tooth. The maxillary sinus is the paranasal sinus that impacts most on the work of the dentist as they will often be required to make a. It is actually inflammation of the maxillary sinus. Sinusitis is an inflammation of the mucosal lining of the paranasal sinuses. Odontogenic maxillary sinusitis (oms) is a subtype of maxillary sinusitis (ms). Learn about the potential impact of orthodontic treatment on sinus issues, tips for preventing complications, and the importance of open communication with your. Ods is distinct from rhinosinusitis in that it is.
from artdenta.es
It is actually inflammation of the maxillary sinus. The maxillary sinus is the paranasal sinus that impacts most on the work of the dentist as they will often be required to make a. Ods is distinct from rhinosinusitis in that it is. Learn about the potential impact of orthodontic treatment on sinus issues, tips for preventing complications, and the importance of open communication with your. Odontogenic sinusitis (ods) can present a therapeutic dilemma because multiple treatment strategies have been reported. Sinusitis is an inflammation of the mucosal lining of the paranasal sinuses. Odontogenic maxillary sinusitis (oms) is a subtype of maxillary sinusitis (ms). A dental sinus is an abnormal channel that drains from a longstanding dental abscess associated with a necrotic or dead tooth.
Sinusitis Maxilar. ¿Qué es? Consecuencia bucodental Clínica Dental en
Orthodontic Sinusitis Odontogenic sinusitis (ods) can present a therapeutic dilemma because multiple treatment strategies have been reported. Sinusitis is an inflammation of the mucosal lining of the paranasal sinuses. Odontogenic maxillary sinusitis (oms) is a subtype of maxillary sinusitis (ms). Learn about the potential impact of orthodontic treatment on sinus issues, tips for preventing complications, and the importance of open communication with your. The maxillary sinus is the paranasal sinus that impacts most on the work of the dentist as they will often be required to make a. A dental sinus is an abnormal channel that drains from a longstanding dental abscess associated with a necrotic or dead tooth. Odontogenic sinusitis (ods) can present a therapeutic dilemma because multiple treatment strategies have been reported. It is actually inflammation of the maxillary sinus. Ods is distinct from rhinosinusitis in that it is.
From www.mayoclinic.org
Sinusitis and tooth pain Mayo Clinic Orthodontic Sinusitis Learn about the potential impact of orthodontic treatment on sinus issues, tips for preventing complications, and the importance of open communication with your. Ods is distinct from rhinosinusitis in that it is. It is actually inflammation of the maxillary sinus. Sinusitis is an inflammation of the mucosal lining of the paranasal sinuses. Odontogenic maxillary sinusitis (oms) is a subtype of. Orthodontic Sinusitis.
From www.jacksonavedental.com
Sinus Exposure After Tooth Extraction 1311 Jackson Ave Dental Orthodontic Sinusitis A dental sinus is an abnormal channel that drains from a longstanding dental abscess associated with a necrotic or dead tooth. Odontogenic maxillary sinusitis (oms) is a subtype of maxillary sinusitis (ms). It is actually inflammation of the maxillary sinus. Ods is distinct from rhinosinusitis in that it is. Sinusitis is an inflammation of the mucosal lining of the paranasal. Orthodontic Sinusitis.
From www.researchgate.net
(ac) A case of mild odontogenic sinusitis, showing dental caries Orthodontic Sinusitis Odontogenic sinusitis (ods) can present a therapeutic dilemma because multiple treatment strategies have been reported. The maxillary sinus is the paranasal sinus that impacts most on the work of the dentist as they will often be required to make a. Ods is distinct from rhinosinusitis in that it is. Odontogenic maxillary sinusitis (oms) is a subtype of maxillary sinusitis (ms).. Orthodontic Sinusitis.
From www.slideshare.net
Maxillary sinus /certified fixed orthodontic courses by Indian dental… Orthodontic Sinusitis Learn about the potential impact of orthodontic treatment on sinus issues, tips for preventing complications, and the importance of open communication with your. A dental sinus is an abnormal channel that drains from a longstanding dental abscess associated with a necrotic or dead tooth. Odontogenic maxillary sinusitis (oms) is a subtype of maxillary sinusitis (ms). Odontogenic sinusitis (ods) can present. Orthodontic Sinusitis.
From www.facialart.com
treatment for sinus perforation from infected tooth treatment for Orthodontic Sinusitis Odontogenic sinusitis (ods) can present a therapeutic dilemma because multiple treatment strategies have been reported. A dental sinus is an abnormal channel that drains from a longstanding dental abscess associated with a necrotic or dead tooth. Learn about the potential impact of orthodontic treatment on sinus issues, tips for preventing complications, and the importance of open communication with your. The. Orthodontic Sinusitis.
From constanzavaldes.cl
Constanza Valdes La sinusitis odontogénica Orthodontic Sinusitis The maxillary sinus is the paranasal sinus that impacts most on the work of the dentist as they will often be required to make a. It is actually inflammation of the maxillary sinus. Learn about the potential impact of orthodontic treatment on sinus issues, tips for preventing complications, and the importance of open communication with your. Odontogenic sinusitis (ods) can. Orthodontic Sinusitis.
From www.thejpd.org
Sinus augmentation by orthodontic movement as an alternative to a Orthodontic Sinusitis Odontogenic maxillary sinusitis (oms) is a subtype of maxillary sinusitis (ms). A dental sinus is an abnormal channel that drains from a longstanding dental abscess associated with a necrotic or dead tooth. Ods is distinct from rhinosinusitis in that it is. The maxillary sinus is the paranasal sinus that impacts most on the work of the dentist as they will. Orthodontic Sinusitis.
From www.slideshare.net
Maxillary sinus /certified fixed orthodontic courses by Indian dental… Orthodontic Sinusitis Sinusitis is an inflammation of the mucosal lining of the paranasal sinuses. The maxillary sinus is the paranasal sinus that impacts most on the work of the dentist as they will often be required to make a. Odontogenic sinusitis (ods) can present a therapeutic dilemma because multiple treatment strategies have been reported. It is actually inflammation of the maxillary sinus.. Orthodontic Sinusitis.
From docfloss.com
Sinus Elevation/Lift Dental Implants & Periodontics of CT Orthodontic Sinusitis Learn about the potential impact of orthodontic treatment on sinus issues, tips for preventing complications, and the importance of open communication with your. Ods is distinct from rhinosinusitis in that it is. It is actually inflammation of the maxillary sinus. A dental sinus is an abnormal channel that drains from a longstanding dental abscess associated with a necrotic or dead. Orthodontic Sinusitis.
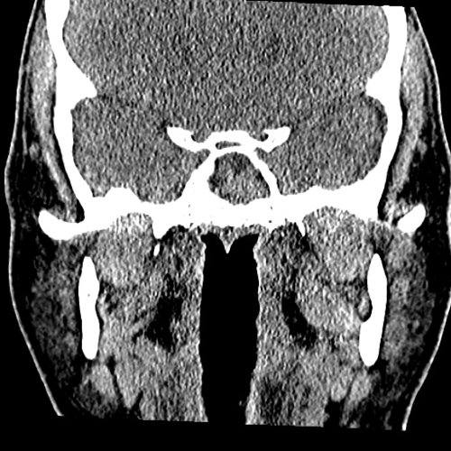
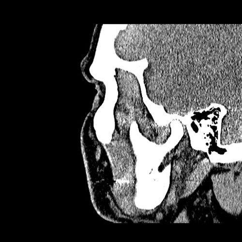
From www.embodi3d.com
Chronic sinusitis Dental, Orthodontic, Maxillofacial CTs Orthodontic Sinusitis Odontogenic sinusitis (ods) can present a therapeutic dilemma because multiple treatment strategies have been reported. Ods is distinct from rhinosinusitis in that it is. Sinusitis is an inflammation of the mucosal lining of the paranasal sinuses. It is actually inflammation of the maxillary sinus. Learn about the potential impact of orthodontic treatment on sinus issues, tips for preventing complications, and. Orthodontic Sinusitis.
From www.mdpi.com
Diagnostics Free FullText Evaluation of the Maxillary Sinus of Orthodontic Sinusitis Odontogenic sinusitis (ods) can present a therapeutic dilemma because multiple treatment strategies have been reported. It is actually inflammation of the maxillary sinus. Ods is distinct from rhinosinusitis in that it is. Sinusitis is an inflammation of the mucosal lining of the paranasal sinuses. Odontogenic maxillary sinusitis (oms) is a subtype of maxillary sinusitis (ms). Learn about the potential impact. Orthodontic Sinusitis.
From artdenta.es
Sinusitis Maxilar. ¿Qué es? Consecuencia bucodental Clínica Dental en Orthodontic Sinusitis A dental sinus is an abnormal channel that drains from a longstanding dental abscess associated with a necrotic or dead tooth. The maxillary sinus is the paranasal sinus that impacts most on the work of the dentist as they will often be required to make a. It is actually inflammation of the maxillary sinus. Sinusitis is an inflammation of the. Orthodontic Sinusitis.
From www.hawaiipacificdental.com
Sinus Lift before Dental Implant Surgery Hawaii Kai East Honolulu, HI Orthodontic Sinusitis The maxillary sinus is the paranasal sinus that impacts most on the work of the dentist as they will often be required to make a. Odontogenic maxillary sinusitis (oms) is a subtype of maxillary sinusitis (ms). Ods is distinct from rhinosinusitis in that it is. A dental sinus is an abnormal channel that drains from a longstanding dental abscess associated. Orthodontic Sinusitis.
From www.embodi3d.com
Chronic sinusitis Dental, Orthodontic, Maxillofacial CTs Orthodontic Sinusitis The maxillary sinus is the paranasal sinus that impacts most on the work of the dentist as they will often be required to make a. Odontogenic maxillary sinusitis (oms) is a subtype of maxillary sinusitis (ms). It is actually inflammation of the maxillary sinus. Odontogenic sinusitis (ods) can present a therapeutic dilemma because multiple treatment strategies have been reported. A. Orthodontic Sinusitis.
From www.embodi3d.com
Chronic sinusitis Dental, Orthodontic, Maxillofacial CTs Orthodontic Sinusitis The maxillary sinus is the paranasal sinus that impacts most on the work of the dentist as they will often be required to make a. Sinusitis is an inflammation of the mucosal lining of the paranasal sinuses. Learn about the potential impact of orthodontic treatment on sinus issues, tips for preventing complications, and the importance of open communication with your.. Orthodontic Sinusitis.
From pocketdentistry.com
12 Paranasal Sinuses Pocket Dentistry Orthodontic Sinusitis Ods is distinct from rhinosinusitis in that it is. Odontogenic sinusitis (ods) can present a therapeutic dilemma because multiple treatment strategies have been reported. Odontogenic maxillary sinusitis (oms) is a subtype of maxillary sinusitis (ms). It is actually inflammation of the maxillary sinus. The maxillary sinus is the paranasal sinus that impacts most on the work of the dentist as. Orthodontic Sinusitis.
From www.embodi3d.com
Chronic sinusitis Dental, Orthodontic, Maxillofacial CTs Orthodontic Sinusitis Learn about the potential impact of orthodontic treatment on sinus issues, tips for preventing complications, and the importance of open communication with your. It is actually inflammation of the maxillary sinus. Ods is distinct from rhinosinusitis in that it is. The maxillary sinus is the paranasal sinus that impacts most on the work of the dentist as they will often. Orthodontic Sinusitis.
From www.embodi3d.com
Chronic sinusitis Dental, Orthodontic, Maxillofacial CTs Orthodontic Sinusitis Odontogenic maxillary sinusitis (oms) is a subtype of maxillary sinusitis (ms). Odontogenic sinusitis (ods) can present a therapeutic dilemma because multiple treatment strategies have been reported. Learn about the potential impact of orthodontic treatment on sinus issues, tips for preventing complications, and the importance of open communication with your. The maxillary sinus is the paranasal sinus that impacts most on. Orthodontic Sinusitis.
From lakefrontfamilydentistry.com
Sinus Tooth Pain Orthodontic Sinusitis It is actually inflammation of the maxillary sinus. The maxillary sinus is the paranasal sinus that impacts most on the work of the dentist as they will often be required to make a. Ods is distinct from rhinosinusitis in that it is. Odontogenic maxillary sinusitis (oms) is a subtype of maxillary sinusitis (ms). A dental sinus is an abnormal channel. Orthodontic Sinusitis.
From pocketdentistry.com
Orthodontic tooth movement through the maxillary sinus in an adult with Orthodontic Sinusitis Ods is distinct from rhinosinusitis in that it is. Odontogenic maxillary sinusitis (oms) is a subtype of maxillary sinusitis (ms). It is actually inflammation of the maxillary sinus. Odontogenic sinusitis (ods) can present a therapeutic dilemma because multiple treatment strategies have been reported. Sinusitis is an inflammation of the mucosal lining of the paranasal sinuses. A dental sinus is an. Orthodontic Sinusitis.
From www.embodi3d.com
Chronic sinusitis Dental, Orthodontic, Maxillofacial CTs Orthodontic Sinusitis Odontogenic maxillary sinusitis (oms) is a subtype of maxillary sinusitis (ms). Learn about the potential impact of orthodontic treatment on sinus issues, tips for preventing complications, and the importance of open communication with your. Sinusitis is an inflammation of the mucosal lining of the paranasal sinuses. The maxillary sinus is the paranasal sinus that impacts most on the work of. Orthodontic Sinusitis.
From docfloss.com
Sinus Elevation/Lift Dental Implants & Periodontics of CT Orthodontic Sinusitis Sinusitis is an inflammation of the mucosal lining of the paranasal sinuses. Learn about the potential impact of orthodontic treatment on sinus issues, tips for preventing complications, and the importance of open communication with your. A dental sinus is an abnormal channel that drains from a longstanding dental abscess associated with a necrotic or dead tooth. Odontogenic maxillary sinusitis (oms). Orthodontic Sinusitis.
From www.slideshare.net
Maxillary sinus /certified fixed orthodontic courses by Indian dental… Orthodontic Sinusitis Learn about the potential impact of orthodontic treatment on sinus issues, tips for preventing complications, and the importance of open communication with your. Odontogenic maxillary sinusitis (oms) is a subtype of maxillary sinusitis (ms). It is actually inflammation of the maxillary sinus. Ods is distinct from rhinosinusitis in that it is. The maxillary sinus is the paranasal sinus that impacts. Orthodontic Sinusitis.
From www.embodi3d.com
Chronic sinusitis Dental, Orthodontic, Maxillofacial CTs Orthodontic Sinusitis The maxillary sinus is the paranasal sinus that impacts most on the work of the dentist as they will often be required to make a. Ods is distinct from rhinosinusitis in that it is. Sinusitis is an inflammation of the mucosal lining of the paranasal sinuses. Odontogenic maxillary sinusitis (oms) is a subtype of maxillary sinusitis (ms). It is actually. Orthodontic Sinusitis.
From decisionsindentistry.com
Maxillary Sinusitis of Endodontic Origin Decisions in Dentistry Orthodontic Sinusitis Sinusitis is an inflammation of the mucosal lining of the paranasal sinuses. Odontogenic sinusitis (ods) can present a therapeutic dilemma because multiple treatment strategies have been reported. It is actually inflammation of the maxillary sinus. Ods is distinct from rhinosinusitis in that it is. Odontogenic maxillary sinusitis (oms) is a subtype of maxillary sinusitis (ms). The maxillary sinus is the. Orthodontic Sinusitis.
From www.slideshare.net
Maxillary sinus /certified fixed orthodontic courses by Indian dental… Orthodontic Sinusitis A dental sinus is an abnormal channel that drains from a longstanding dental abscess associated with a necrotic or dead tooth. Odontogenic sinusitis (ods) can present a therapeutic dilemma because multiple treatment strategies have been reported. Learn about the potential impact of orthodontic treatment on sinus issues, tips for preventing complications, and the importance of open communication with your. Ods. Orthodontic Sinusitis.
From www.radshare.net
Odontogenic sinusitis Radiology Case Orthodontic Sinusitis A dental sinus is an abnormal channel that drains from a longstanding dental abscess associated with a necrotic or dead tooth. Odontogenic sinusitis (ods) can present a therapeutic dilemma because multiple treatment strategies have been reported. It is actually inflammation of the maxillary sinus. Odontogenic maxillary sinusitis (oms) is a subtype of maxillary sinusitis (ms). Sinusitis is an inflammation of. Orthodontic Sinusitis.
From www.dmsdentistry.com
Sinus Lift DMS Dentistry Orthodontic Sinusitis A dental sinus is an abnormal channel that drains from a longstanding dental abscess associated with a necrotic or dead tooth. Odontogenic sinusitis (ods) can present a therapeutic dilemma because multiple treatment strategies have been reported. It is actually inflammation of the maxillary sinus. Learn about the potential impact of orthodontic treatment on sinus issues, tips for preventing complications, and. Orthodontic Sinusitis.
From www.slideshare.net
Maxillary sinus /certified fixed orthodontic courses by Indian dental… Orthodontic Sinusitis Odontogenic maxillary sinusitis (oms) is a subtype of maxillary sinusitis (ms). Sinusitis is an inflammation of the mucosal lining of the paranasal sinuses. It is actually inflammation of the maxillary sinus. Odontogenic sinusitis (ods) can present a therapeutic dilemma because multiple treatment strategies have been reported. A dental sinus is an abnormal channel that drains from a longstanding dental abscess. Orthodontic Sinusitis.
From www.embodi3d.com
Chronic sinusitis Dental, Orthodontic, Maxillofacial CTs Orthodontic Sinusitis A dental sinus is an abnormal channel that drains from a longstanding dental abscess associated with a necrotic or dead tooth. Ods is distinct from rhinosinusitis in that it is. Odontogenic maxillary sinusitis (oms) is a subtype of maxillary sinusitis (ms). The maxillary sinus is the paranasal sinus that impacts most on the work of the dentist as they will. Orthodontic Sinusitis.
From www.embodi3d.com
Chronic sinusitis Dental, Orthodontic, Maxillofacial CTs Orthodontic Sinusitis Odontogenic sinusitis (ods) can present a therapeutic dilemma because multiple treatment strategies have been reported. It is actually inflammation of the maxillary sinus. The maxillary sinus is the paranasal sinus that impacts most on the work of the dentist as they will often be required to make a. Ods is distinct from rhinosinusitis in that it is. Sinusitis is an. Orthodontic Sinusitis.
From www.dentistry33.com
Diagnostic efficacy of orthopantomography in sinus disease Dentistry33 Orthodontic Sinusitis Learn about the potential impact of orthodontic treatment on sinus issues, tips for preventing complications, and the importance of open communication with your. It is actually inflammation of the maxillary sinus. Odontogenic sinusitis (ods) can present a therapeutic dilemma because multiple treatment strategies have been reported. A dental sinus is an abnormal channel that drains from a longstanding dental abscess. Orthodontic Sinusitis.
From www.scribd.com
Maxillary Sinus / Orthodontic Courses by Indian Dental Academy PDF Orthodontic Sinusitis Odontogenic sinusitis (ods) can present a therapeutic dilemma because multiple treatment strategies have been reported. The maxillary sinus is the paranasal sinus that impacts most on the work of the dentist as they will often be required to make a. A dental sinus is an abnormal channel that drains from a longstanding dental abscess associated with a necrotic or dead. Orthodontic Sinusitis.
From www.dentistry33.com
Diagnostic efficacy of orthopantomography in sinus disease Dentistry33 Orthodontic Sinusitis Ods is distinct from rhinosinusitis in that it is. Odontogenic sinusitis (ods) can present a therapeutic dilemma because multiple treatment strategies have been reported. Learn about the potential impact of orthodontic treatment on sinus issues, tips for preventing complications, and the importance of open communication with your. The maxillary sinus is the paranasal sinus that impacts most on the work. Orthodontic Sinusitis.
From www.embodi3d.com
Chronic sinusitis Dental, Orthodontic, Maxillofacial CTs Orthodontic Sinusitis A dental sinus is an abnormal channel that drains from a longstanding dental abscess associated with a necrotic or dead tooth. Ods is distinct from rhinosinusitis in that it is. It is actually inflammation of the maxillary sinus. Learn about the potential impact of orthodontic treatment on sinus issues, tips for preventing complications, and the importance of open communication with. Orthodontic Sinusitis.