Ada Code Removal Of Space Maintainer . Removal of plaque, calculus and stains from the tooth structures and implants in the primary and transitional dentition. Cdt codes for dental space maintainers. D1551—recement or rebond bilateral space maintainer,. Replacing current code d1550—recement or rebond space maintainer. It is intended to control. This update includes 14 new codes, one new category. A passive appliance, usually cemented in place, that holds teeth in position. The american dental association’s cdt procedure codes and nomenclature have been updated for 2024. There can be premature loss of any tooth due to caries or orthodontic serial.
from www.utermarkorthopedo.com
A passive appliance, usually cemented in place, that holds teeth in position. The american dental association’s cdt procedure codes and nomenclature have been updated for 2024. D1551—recement or rebond bilateral space maintainer,. There can be premature loss of any tooth due to caries or orthodontic serial. It is intended to control. Removal of plaque, calculus and stains from the tooth structures and implants in the primary and transitional dentition. Replacing current code d1550—recement or rebond space maintainer. This update includes 14 new codes, one new category. Cdt codes for dental space maintainers.
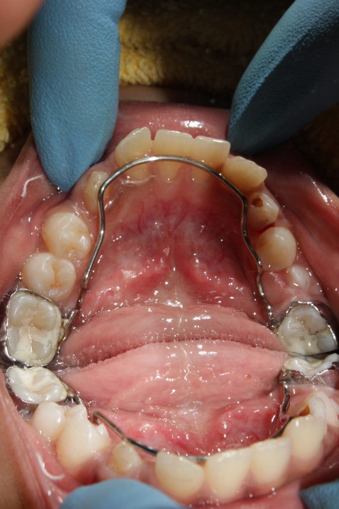
Space Maintainers Barbara J. Utermark, D.M.D. Martinez
Ada Code Removal Of Space Maintainer Replacing current code d1550—recement or rebond space maintainer. A passive appliance, usually cemented in place, that holds teeth in position. There can be premature loss of any tooth due to caries or orthodontic serial. The american dental association’s cdt procedure codes and nomenclature have been updated for 2024. It is intended to control. Replacing current code d1550—recement or rebond space maintainer. This update includes 14 new codes, one new category. Removal of plaque, calculus and stains from the tooth structures and implants in the primary and transitional dentition. D1551—recement or rebond bilateral space maintainer,. Cdt codes for dental space maintainers.
From www.riendental.com.au
Band and loop space maintainer. Ada Code Removal Of Space Maintainer There can be premature loss of any tooth due to caries or orthodontic serial. D1551—recement or rebond bilateral space maintainer,. Cdt codes for dental space maintainers. This update includes 14 new codes, one new category. The american dental association’s cdt procedure codes and nomenclature have been updated for 2024. Replacing current code d1550—recement or rebond space maintainer. A passive appliance,. Ada Code Removal Of Space Maintainer.
From www.utermarkorthopedo.com
Space Maintainers Barbara J. Utermark, D.M.D. Martinez Ada Code Removal Of Space Maintainer The american dental association’s cdt procedure codes and nomenclature have been updated for 2024. There can be premature loss of any tooth due to caries or orthodontic serial. D1551—recement or rebond bilateral space maintainer,. Cdt codes for dental space maintainers. It is intended to control. Removal of plaque, calculus and stains from the tooth structures and implants in the primary. Ada Code Removal Of Space Maintainer.
From www.pinterest.com
Pin en Dentistry Ada Code Removal Of Space Maintainer Replacing current code d1550—recement or rebond space maintainer. Removal of plaque, calculus and stains from the tooth structures and implants in the primary and transitional dentition. D1551—recement or rebond bilateral space maintainer,. The american dental association’s cdt procedure codes and nomenclature have been updated for 2024. This update includes 14 new codes, one new category. Cdt codes for dental space. Ada Code Removal Of Space Maintainer.
From www.vanillasmiles.dental
Space Maintainers in Shivaji Nagar Pune Vanilla smiles Ada Code Removal Of Space Maintainer This update includes 14 new codes, one new category. Cdt codes for dental space maintainers. It is intended to control. Replacing current code d1550—recement or rebond space maintainer. D1551—recement or rebond bilateral space maintainer,. There can be premature loss of any tooth due to caries or orthodontic serial. A passive appliance, usually cemented in place, that holds teeth in position.. Ada Code Removal Of Space Maintainer.
From slidetodoc.com
Basic Space Maintainers lecture one Prepared by Dr Ada Code Removal Of Space Maintainer The american dental association’s cdt procedure codes and nomenclature have been updated for 2024. Removal of plaque, calculus and stains from the tooth structures and implants in the primary and transitional dentition. There can be premature loss of any tooth due to caries or orthodontic serial. A passive appliance, usually cemented in place, that holds teeth in position. D1551—recement or. Ada Code Removal Of Space Maintainer.
From giowxwnyb.blob.core.windows.net
Code For Removal Of Space Maintainer at Kristen Henry blog Ada Code Removal Of Space Maintainer It is intended to control. Cdt codes for dental space maintainers. The american dental association’s cdt procedure codes and nomenclature have been updated for 2024. There can be premature loss of any tooth due to caries or orthodontic serial. Replacing current code d1550—recement or rebond space maintainer. Removal of plaque, calculus and stains from the tooth structures and implants in. Ada Code Removal Of Space Maintainer.
From www.vanillasmiles.dental
Space Maintainers in Shivaji Nagar Pune Vanilla smiles Ada Code Removal Of Space Maintainer The american dental association’s cdt procedure codes and nomenclature have been updated for 2024. D1551—recement or rebond bilateral space maintainer,. Replacing current code d1550—recement or rebond space maintainer. It is intended to control. A passive appliance, usually cemented in place, that holds teeth in position. Cdt codes for dental space maintainers. This update includes 14 new codes, one new category.. Ada Code Removal Of Space Maintainer.
From www.youtube.com
Pediatric Chairside Space Maintainer system — Application Ada Code Removal Of Space Maintainer Removal of plaque, calculus and stains from the tooth structures and implants in the primary and transitional dentition. There can be premature loss of any tooth due to caries or orthodontic serial. This update includes 14 new codes, one new category. D1551—recement or rebond bilateral space maintainer,. Replacing current code d1550—recement or rebond space maintainer. A passive appliance, usually cemented. Ada Code Removal Of Space Maintainer.
From www.youtube.com
Management of Space Maintenance Problem in Children YouTube Ada Code Removal Of Space Maintainer Cdt codes for dental space maintainers. It is intended to control. A passive appliance, usually cemented in place, that holds teeth in position. D1551—recement or rebond bilateral space maintainer,. Removal of plaque, calculus and stains from the tooth structures and implants in the primary and transitional dentition. The american dental association’s cdt procedure codes and nomenclature have been updated for. Ada Code Removal Of Space Maintainer.
From www.slideserve.com
PPT Basic Space Maintainers Teaching Module and Competency PowerPoint Ada Code Removal Of Space Maintainer D1551—recement or rebond bilateral space maintainer,. This update includes 14 new codes, one new category. It is intended to control. There can be premature loss of any tooth due to caries or orthodontic serial. Replacing current code d1550—recement or rebond space maintainer. The american dental association’s cdt procedure codes and nomenclature have been updated for 2024. A passive appliance, usually. Ada Code Removal Of Space Maintainer.
From www.dentaltown.com
Space Maintenance The Right Appliance at the Right Time by Josh Wren Ada Code Removal Of Space Maintainer Replacing current code d1550—recement or rebond space maintainer. Removal of plaque, calculus and stains from the tooth structures and implants in the primary and transitional dentition. D1551—recement or rebond bilateral space maintainer,. The american dental association’s cdt procedure codes and nomenclature have been updated for 2024. This update includes 14 new codes, one new category. There can be premature loss. Ada Code Removal Of Space Maintainer.
From www.oralhealthgroup.com
Space Maintainers Made Easy Oral Health Group Ada Code Removal Of Space Maintainer There can be premature loss of any tooth due to caries or orthodontic serial. It is intended to control. Removal of plaque, calculus and stains from the tooth structures and implants in the primary and transitional dentition. Cdt codes for dental space maintainers. This update includes 14 new codes, one new category. D1551—recement or rebond bilateral space maintainer,. Replacing current. Ada Code Removal Of Space Maintainer.
From orthodonticresource.com
The Fabrication of a Space Maintainer Orthodontic Resource Group Ada Code Removal Of Space Maintainer There can be premature loss of any tooth due to caries or orthodontic serial. A passive appliance, usually cemented in place, that holds teeth in position. Removal of plaque, calculus and stains from the tooth structures and implants in the primary and transitional dentition. The american dental association’s cdt procedure codes and nomenclature have been updated for 2024. It is. Ada Code Removal Of Space Maintainer.
From www.archwired.com
What Is A Space Maintainer in Orthodontics? ArchWired Ada Code Removal Of Space Maintainer Removal of plaque, calculus and stains from the tooth structures and implants in the primary and transitional dentition. There can be premature loss of any tooth due to caries or orthodontic serial. Replacing current code d1550—recement or rebond space maintainer. Cdt codes for dental space maintainers. This update includes 14 new codes, one new category. It is intended to control.. Ada Code Removal Of Space Maintainer.
From www.parklundlabs.com
Space Regainer/Maintainer Parklund Orthodontic Lab Ada Code Removal Of Space Maintainer The american dental association’s cdt procedure codes and nomenclature have been updated for 2024. D1551—recement or rebond bilateral space maintainer,. Cdt codes for dental space maintainers. There can be premature loss of any tooth due to caries or orthodontic serial. It is intended to control. Replacing current code d1550—recement or rebond space maintainer. This update includes 14 new codes, one. Ada Code Removal Of Space Maintainer.
From www.dmsdentistry.com
Space Maintainers DMS Dentistry Ada Code Removal Of Space Maintainer D1551—recement or rebond bilateral space maintainer,. It is intended to control. This update includes 14 new codes, one new category. A passive appliance, usually cemented in place, that holds teeth in position. Cdt codes for dental space maintainers. Removal of plaque, calculus and stains from the tooth structures and implants in the primary and transitional dentition. Replacing current code d1550—recement. Ada Code Removal Of Space Maintainer.
From martlabpro.com
Dental Diagnosis Codes 2023 What You Need To Know MartLabPro Ada Code Removal Of Space Maintainer Removal of plaque, calculus and stains from the tooth structures and implants in the primary and transitional dentition. It is intended to control. Cdt codes for dental space maintainers. Replacing current code d1550—recement or rebond space maintainer. The american dental association’s cdt procedure codes and nomenclature have been updated for 2024. This update includes 14 new codes, one new category.. Ada Code Removal Of Space Maintainer.
From www.vanillasmiles.dental
Space Maintainers in Shivaji Nagar Pune Vanilla smiles Ada Code Removal Of Space Maintainer Removal of plaque, calculus and stains from the tooth structures and implants in the primary and transitional dentition. D1551—recement or rebond bilateral space maintainer,. Replacing current code d1550—recement or rebond space maintainer. A passive appliance, usually cemented in place, that holds teeth in position. There can be premature loss of any tooth due to caries or orthodontic serial. The american. Ada Code Removal Of Space Maintainer.
From www.orthodonticacademy.co.uk
The effectiveness of thermoplastic retainers as a space maintainer Ada Code Removal Of Space Maintainer Replacing current code d1550—recement or rebond space maintainer. Removal of plaque, calculus and stains from the tooth structures and implants in the primary and transitional dentition. Cdt codes for dental space maintainers. The american dental association’s cdt procedure codes and nomenclature have been updated for 2024. This update includes 14 new codes, one new category. A passive appliance, usually cemented. Ada Code Removal Of Space Maintainer.
From nwpd.com.au
Does my child need a space maintainer? Norwest Paediatric Dentistry Ada Code Removal Of Space Maintainer Cdt codes for dental space maintainers. The american dental association’s cdt procedure codes and nomenclature have been updated for 2024. It is intended to control. Replacing current code d1550—recement or rebond space maintainer. Removal of plaque, calculus and stains from the tooth structures and implants in the primary and transitional dentition. A passive appliance, usually cemented in place, that holds. Ada Code Removal Of Space Maintainer.
From br.pinterest.com
Space maintainers in dentistry News Dentistry, Dental, Dental Ada Code Removal Of Space Maintainer This update includes 14 new codes, one new category. Removal of plaque, calculus and stains from the tooth structures and implants in the primary and transitional dentition. It is intended to control. A passive appliance, usually cemented in place, that holds teeth in position. There can be premature loss of any tooth due to caries or orthodontic serial. D1551—recement or. Ada Code Removal Of Space Maintainer.
From www.odontovida.com
Space Maintainers Benefits and Types inar OdontoVida Ada Code Removal Of Space Maintainer It is intended to control. Cdt codes for dental space maintainers. Removal of plaque, calculus and stains from the tooth structures and implants in the primary and transitional dentition. This update includes 14 new codes, one new category. There can be premature loss of any tooth due to caries or orthodontic serial. Replacing current code d1550—recement or rebond space maintainer.. Ada Code Removal Of Space Maintainer.
From www.vanillasmiles.dental
Space Maintainers in Shivaji Nagar Pune Vanilla smiles Ada Code Removal Of Space Maintainer The american dental association’s cdt procedure codes and nomenclature have been updated for 2024. Removal of plaque, calculus and stains from the tooth structures and implants in the primary and transitional dentition. D1551—recement or rebond bilateral space maintainer,. It is intended to control. A passive appliance, usually cemented in place, that holds teeth in position. This update includes 14 new. Ada Code Removal Of Space Maintainer.
From drmattgaworski.com
Space Maintainers Colorado Springs & Falcon Orthodontics Ada Code Removal Of Space Maintainer This update includes 14 new codes, one new category. Removal of plaque, calculus and stains from the tooth structures and implants in the primary and transitional dentition. A passive appliance, usually cemented in place, that holds teeth in position. There can be premature loss of any tooth due to caries or orthodontic serial. D1551—recement or rebond bilateral space maintainer,. Cdt. Ada Code Removal Of Space Maintainer.
From thefuturedentistry.com
Space Maintainers Focus Dentistry Ada Code Removal Of Space Maintainer Removal of plaque, calculus and stains from the tooth structures and implants in the primary and transitional dentition. There can be premature loss of any tooth due to caries or orthodontic serial. This update includes 14 new codes, one new category. It is intended to control. A passive appliance, usually cemented in place, that holds teeth in position. Replacing current. Ada Code Removal Of Space Maintainer.
From www.pinterest.com
Pin on Health and Fitness Ada Code Removal Of Space Maintainer It is intended to control. A passive appliance, usually cemented in place, that holds teeth in position. Removal of plaque, calculus and stains from the tooth structures and implants in the primary and transitional dentition. Cdt codes for dental space maintainers. This update includes 14 new codes, one new category. Replacing current code d1550—recement or rebond space maintainer. D1551—recement or. Ada Code Removal Of Space Maintainer.
From exopayykz.blob.core.windows.net
Recement Unilateral Space Maintainer Code at Ruby Hall blog Ada Code Removal Of Space Maintainer Replacing current code d1550—recement or rebond space maintainer. Removal of plaque, calculus and stains from the tooth structures and implants in the primary and transitional dentition. There can be premature loss of any tooth due to caries or orthodontic serial. This update includes 14 new codes, one new category. Cdt codes for dental space maintainers. D1551—recement or rebond bilateral space. Ada Code Removal Of Space Maintainer.
From www.slideserve.com
PPT Band Loop Space Maintainer PowerPoint Presentation, free download Ada Code Removal Of Space Maintainer D1551—recement or rebond bilateral space maintainer,. Replacing current code d1550—recement or rebond space maintainer. This update includes 14 new codes, one new category. Removal of plaque, calculus and stains from the tooth structures and implants in the primary and transitional dentition. There can be premature loss of any tooth due to caries or orthodontic serial. It is intended to control.. Ada Code Removal Of Space Maintainer.
From exodhshui.blob.core.windows.net
Unilateral Space Maintainer Ada Code at Eugene Ortiz blog Ada Code Removal Of Space Maintainer A passive appliance, usually cemented in place, that holds teeth in position. It is intended to control. Removal of plaque, calculus and stains from the tooth structures and implants in the primary and transitional dentition. This update includes 14 new codes, one new category. Replacing current code d1550—recement or rebond space maintainer. There can be premature loss of any tooth. Ada Code Removal Of Space Maintainer.
From exopayykz.blob.core.windows.net
Recement Unilateral Space Maintainer Code at Ruby Hall blog Ada Code Removal Of Space Maintainer Removal of plaque, calculus and stains from the tooth structures and implants in the primary and transitional dentition. The american dental association’s cdt procedure codes and nomenclature have been updated for 2024. It is intended to control. There can be premature loss of any tooth due to caries or orthodontic serial. A passive appliance, usually cemented in place, that holds. Ada Code Removal Of Space Maintainer.
From www.kidstoothteam.com
The Placement And Removal Process For Space Maintainers Kids Tooth Team Ada Code Removal Of Space Maintainer D1551—recement or rebond bilateral space maintainer,. Cdt codes for dental space maintainers. A passive appliance, usually cemented in place, that holds teeth in position. The american dental association’s cdt procedure codes and nomenclature have been updated for 2024. It is intended to control. This update includes 14 new codes, one new category. Removal of plaque, calculus and stains from the. Ada Code Removal Of Space Maintainer.
From www.youtube.com
DISTAL SHOE SPACE MAINTAINER II MODIFICATIONS II FABRICATION II Ada Code Removal Of Space Maintainer It is intended to control. Cdt codes for dental space maintainers. Removal of plaque, calculus and stains from the tooth structures and implants in the primary and transitional dentition. Replacing current code d1550—recement or rebond space maintainer. This update includes 14 new codes, one new category. The american dental association’s cdt procedure codes and nomenclature have been updated for 2024.. Ada Code Removal Of Space Maintainer.
From victorsmiles.com
Space Maintainers Victor Smiles Victor, NY Ada Code Removal Of Space Maintainer A passive appliance, usually cemented in place, that holds teeth in position. Replacing current code d1550—recement or rebond space maintainer. The american dental association’s cdt procedure codes and nomenclature have been updated for 2024. There can be premature loss of any tooth due to caries or orthodontic serial. D1551—recement or rebond bilateral space maintainer,. This update includes 14 new codes,. Ada Code Removal Of Space Maintainer.
From exookzbyb.blob.core.windows.net
Space Maintainer Removal at Doris Myrie blog Ada Code Removal Of Space Maintainer Cdt codes for dental space maintainers. A passive appliance, usually cemented in place, that holds teeth in position. It is intended to control. Removal of plaque, calculus and stains from the tooth structures and implants in the primary and transitional dentition. This update includes 14 new codes, one new category. There can be premature loss of any tooth due to. Ada Code Removal Of Space Maintainer.
From giocrxixs.blob.core.windows.net
Fixed Retainer Removal Code at Brice Hook blog Ada Code Removal Of Space Maintainer There can be premature loss of any tooth due to caries or orthodontic serial. Cdt codes for dental space maintainers. Removal of plaque, calculus and stains from the tooth structures and implants in the primary and transitional dentition. A passive appliance, usually cemented in place, that holds teeth in position. D1551—recement or rebond bilateral space maintainer,. It is intended to. Ada Code Removal Of Space Maintainer.