Crutch Jacobs Disease . A brain biopsy or an exam of brain tissue after death, known as an autopsy, is the gold standard to confirm the presence of creutzfeldt. It affects the brain and causes dementia and other. Once symptoms start, the condition worsens quickly, causing a. Also called classic cjd, it worsens quickly.
from www.livescience.com
Once symptoms start, the condition worsens quickly, causing a. Also called classic cjd, it worsens quickly. A brain biopsy or an exam of brain tissue after death, known as an autopsy, is the gold standard to confirm the presence of creutzfeldt. It affects the brain and causes dementia and other.
CreutzfeldtJakob Disease Symptoms, Diagnosis and Treatment Live Science
Crutch Jacobs Disease A brain biopsy or an exam of brain tissue after death, known as an autopsy, is the gold standard to confirm the presence of creutzfeldt. Also called classic cjd, it worsens quickly. It affects the brain and causes dementia and other. A brain biopsy or an exam of brain tissue after death, known as an autopsy, is the gold standard to confirm the presence of creutzfeldt. Once symptoms start, the condition worsens quickly, causing a.
From www.livescience.com
CreutzfeldtJakob Disease Symptoms, Diagnosis and Treatment Live Science Crutch Jacobs Disease Once symptoms start, the condition worsens quickly, causing a. It affects the brain and causes dementia and other. A brain biopsy or an exam of brain tissue after death, known as an autopsy, is the gold standard to confirm the presence of creutzfeldt. Also called classic cjd, it worsens quickly. Crutch Jacobs Disease.
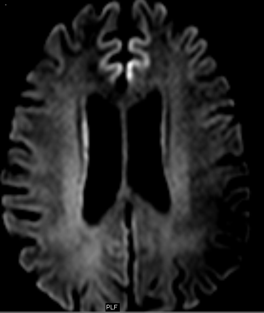
From www.cureus.com
Cureus Imaging Manifestations of CreutzfeldtJakob Disease and Case Series Crutch Jacobs Disease Once symptoms start, the condition worsens quickly, causing a. It affects the brain and causes dementia and other. A brain biopsy or an exam of brain tissue after death, known as an autopsy, is the gold standard to confirm the presence of creutzfeldt. Also called classic cjd, it worsens quickly. Crutch Jacobs Disease.
From www.alamy.com
CREUTZFELDT JAKOB DISEASE, MRI Stock Photo, Royalty Free Image 53867137 Alamy Crutch Jacobs Disease Also called classic cjd, it worsens quickly. Once symptoms start, the condition worsens quickly, causing a. It affects the brain and causes dementia and other. A brain biopsy or an exam of brain tissue after death, known as an autopsy, is the gold standard to confirm the presence of creutzfeldt. Crutch Jacobs Disease.
From www.thelancet.com
Biomarkers and diagnostic guidelines for sporadic CreutzfeldtJakob disease The Lancet Neurology Crutch Jacobs Disease Once symptoms start, the condition worsens quickly, causing a. Also called classic cjd, it worsens quickly. It affects the brain and causes dementia and other. A brain biopsy or an exam of brain tissue after death, known as an autopsy, is the gold standard to confirm the presence of creutzfeldt. Crutch Jacobs Disease.
From www.slideshare.net
CreutzfeldtJacob Disease Crutch Jacobs Disease Once symptoms start, the condition worsens quickly, causing a. Also called classic cjd, it worsens quickly. A brain biopsy or an exam of brain tissue after death, known as an autopsy, is the gold standard to confirm the presence of creutzfeldt. It affects the brain and causes dementia and other. Crutch Jacobs Disease.
From healthtian.com
Creutzfeldtjakob Disease Causes and Symptoms Healthtian Crutch Jacobs Disease Also called classic cjd, it worsens quickly. Once symptoms start, the condition worsens quickly, causing a. It affects the brain and causes dementia and other. A brain biopsy or an exam of brain tissue after death, known as an autopsy, is the gold standard to confirm the presence of creutzfeldt. Crutch Jacobs Disease.
From www.researchgate.net
EEG in CreutzfeldtJakob Disease (day 12) Download Scientific Diagram Crutch Jacobs Disease A brain biopsy or an exam of brain tissue after death, known as an autopsy, is the gold standard to confirm the presence of creutzfeldt. Once symptoms start, the condition worsens quickly, causing a. It affects the brain and causes dementia and other. Also called classic cjd, it worsens quickly. Crutch Jacobs Disease.
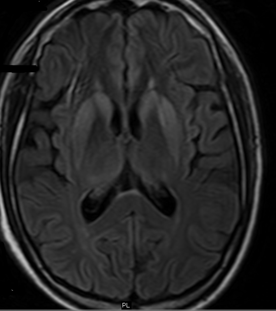
From radiologykey.com
CreutzfeldtJakob Disease Radiology Key Crutch Jacobs Disease Also called classic cjd, it worsens quickly. Once symptoms start, the condition worsens quickly, causing a. A brain biopsy or an exam of brain tissue after death, known as an autopsy, is the gold standard to confirm the presence of creutzfeldt. It affects the brain and causes dementia and other. Crutch Jacobs Disease.
From lookfordiagnosis.com
CreutzfeldtJakob Syndrome; New Variant CreutzfeldtJakob Disease; Spongiform Encephalopathy Crutch Jacobs Disease Once symptoms start, the condition worsens quickly, causing a. Also called classic cjd, it worsens quickly. It affects the brain and causes dementia and other. A brain biopsy or an exam of brain tissue after death, known as an autopsy, is the gold standard to confirm the presence of creutzfeldt. Crutch Jacobs Disease.
From www.slideshare.net
CreutzfeldtJacob Disease Crutch Jacobs Disease Once symptoms start, the condition worsens quickly, causing a. A brain biopsy or an exam of brain tissue after death, known as an autopsy, is the gold standard to confirm the presence of creutzfeldt. Also called classic cjd, it worsens quickly. It affects the brain and causes dementia and other. Crutch Jacobs Disease.
From step1.medbullets.com
Spongiform Encephalopathy / CreutzfeldtJakob Disease Neurology Medbullets Step 1 Crutch Jacobs Disease Once symptoms start, the condition worsens quickly, causing a. A brain biopsy or an exam of brain tissue after death, known as an autopsy, is the gold standard to confirm the presence of creutzfeldt. It affects the brain and causes dementia and other. Also called classic cjd, it worsens quickly. Crutch Jacobs Disease.
From www.youtube.com
CJD CreutzfeldtJakob Disease Mayo Clinic YouTube Crutch Jacobs Disease Also called classic cjd, it worsens quickly. Once symptoms start, the condition worsens quickly, causing a. A brain biopsy or an exam of brain tissue after death, known as an autopsy, is the gold standard to confirm the presence of creutzfeldt. It affects the brain and causes dementia and other. Crutch Jacobs Disease.
From sumerdoc.blogspot.com
CreutzfeldtJacob disease Teaching Points Sumer's Radiology Blog Crutch Jacobs Disease Also called classic cjd, it worsens quickly. Once symptoms start, the condition worsens quickly, causing a. A brain biopsy or an exam of brain tissue after death, known as an autopsy, is the gold standard to confirm the presence of creutzfeldt. It affects the brain and causes dementia and other. Crutch Jacobs Disease.
From jamanetwork.com
Sporadic CreutzfeldtJakob Disease Mimicking Variant CreutzfeldtJakob Disease. Dementia and Crutch Jacobs Disease It affects the brain and causes dementia and other. A brain biopsy or an exam of brain tissue after death, known as an autopsy, is the gold standard to confirm the presence of creutzfeldt. Also called classic cjd, it worsens quickly. Once symptoms start, the condition worsens quickly, causing a. Crutch Jacobs Disease.
From www.thelancet.com
Variant or sporadic CreutzfeldtJakob disease? The Lancet Crutch Jacobs Disease A brain biopsy or an exam of brain tissue after death, known as an autopsy, is the gold standard to confirm the presence of creutzfeldt. It affects the brain and causes dementia and other. Once symptoms start, the condition worsens quickly, causing a. Also called classic cjd, it worsens quickly. Crutch Jacobs Disease.
From www.youtube.com
CreutzfeldtJakob disease Meaning YouTube Crutch Jacobs Disease It affects the brain and causes dementia and other. Also called classic cjd, it worsens quickly. A brain biopsy or an exam of brain tissue after death, known as an autopsy, is the gold standard to confirm the presence of creutzfeldt. Once symptoms start, the condition worsens quickly, causing a. Crutch Jacobs Disease.
From www.slideshare.net
CreutzfeldtJacob Disease Crutch Jacobs Disease A brain biopsy or an exam of brain tissue after death, known as an autopsy, is the gold standard to confirm the presence of creutzfeldt. It affects the brain and causes dementia and other. Once symptoms start, the condition worsens quickly, causing a. Also called classic cjd, it worsens quickly. Crutch Jacobs Disease.
From www.youtube.com
SYMPTOMS OF CREUTZFELDT JAKOB DISEASE YouTube Crutch Jacobs Disease Also called classic cjd, it worsens quickly. It affects the brain and causes dementia and other. Once symptoms start, the condition worsens quickly, causing a. A brain biopsy or an exam of brain tissue after death, known as an autopsy, is the gold standard to confirm the presence of creutzfeldt. Crutch Jacobs Disease.
From www.youtube.com
أغرب الأمراض العصبية مرض كروتزفيلد جاكوب Creutzfeldt Jakob disease YouTube Crutch Jacobs Disease It affects the brain and causes dementia and other. Also called classic cjd, it worsens quickly. A brain biopsy or an exam of brain tissue after death, known as an autopsy, is the gold standard to confirm the presence of creutzfeldt. Once symptoms start, the condition worsens quickly, causing a. Crutch Jacobs Disease.
From www.cureus.com
Cureus Imaging Manifestations of CreutzfeldtJakob Disease and Case Series Crutch Jacobs Disease Also called classic cjd, it worsens quickly. It affects the brain and causes dementia and other. Once symptoms start, the condition worsens quickly, causing a. A brain biopsy or an exam of brain tissue after death, known as an autopsy, is the gold standard to confirm the presence of creutzfeldt. Crutch Jacobs Disease.
From ajemjournal-test.com.marlin-prod.literatumonline.com
CreutzfeldtJakob disease An Emergency Department presentation The American Journal of Crutch Jacobs Disease A brain biopsy or an exam of brain tissue after death, known as an autopsy, is the gold standard to confirm the presence of creutzfeldt. It affects the brain and causes dementia and other. Once symptoms start, the condition worsens quickly, causing a. Also called classic cjd, it worsens quickly. Crutch Jacobs Disease.
From www.thelancet.com
Biomarkers and diagnostic guidelines for sporadic CreutzfeldtJakob disease The Lancet Neurology Crutch Jacobs Disease Also called classic cjd, it worsens quickly. It affects the brain and causes dementia and other. A brain biopsy or an exam of brain tissue after death, known as an autopsy, is the gold standard to confirm the presence of creutzfeldt. Once symptoms start, the condition worsens quickly, causing a. Crutch Jacobs Disease.
From medizzy.com
Creutzfeldt Jacob Disease (CJD) MEDizzy Crutch Jacobs Disease A brain biopsy or an exam of brain tissue after death, known as an autopsy, is the gold standard to confirm the presence of creutzfeldt. Once symptoms start, the condition worsens quickly, causing a. It affects the brain and causes dementia and other. Also called classic cjd, it worsens quickly. Crutch Jacobs Disease.
From fineartamerica.com
Creutzfeldtjakob Disease, Mri Scan Photograph by Science Photo Library Crutch Jacobs Disease Once symptoms start, the condition worsens quickly, causing a. It affects the brain and causes dementia and other. Also called classic cjd, it worsens quickly. A brain biopsy or an exam of brain tissue after death, known as an autopsy, is the gold standard to confirm the presence of creutzfeldt. Crutch Jacobs Disease.
From www.youtube.com
Creutzfield_Jakob_Disease YouTube Crutch Jacobs Disease It affects the brain and causes dementia and other. Also called classic cjd, it worsens quickly. A brain biopsy or an exam of brain tissue after death, known as an autopsy, is the gold standard to confirm the presence of creutzfeldt. Once symptoms start, the condition worsens quickly, causing a. Crutch Jacobs Disease.
From www.cureus.com
Cureus Report of a Case of CreutzfeldtJakob Disease With an Unusual Quick Evolution Crutch Jacobs Disease It affects the brain and causes dementia and other. A brain biopsy or an exam of brain tissue after death, known as an autopsy, is the gold standard to confirm the presence of creutzfeldt. Once symptoms start, the condition worsens quickly, causing a. Also called classic cjd, it worsens quickly. Crutch Jacobs Disease.
From www.slideshare.net
Jacob syndrome Crutch Jacobs Disease Once symptoms start, the condition worsens quickly, causing a. A brain biopsy or an exam of brain tissue after death, known as an autopsy, is the gold standard to confirm the presence of creutzfeldt. Also called classic cjd, it worsens quickly. It affects the brain and causes dementia and other. Crutch Jacobs Disease.
From www.youtube.com
CreutzfeldtJakob disease YouTube Crutch Jacobs Disease It affects the brain and causes dementia and other. Also called classic cjd, it worsens quickly. A brain biopsy or an exam of brain tissue after death, known as an autopsy, is the gold standard to confirm the presence of creutzfeldt. Once symptoms start, the condition worsens quickly, causing a. Crutch Jacobs Disease.
From onlinelibrary.wiley.com
Creutzfeldt‐Jakob disease Iwasaki 2017 Neuropathology Wiley Online Library Crutch Jacobs Disease A brain biopsy or an exam of brain tissue after death, known as an autopsy, is the gold standard to confirm the presence of creutzfeldt. It affects the brain and causes dementia and other. Once symptoms start, the condition worsens quickly, causing a. Also called classic cjd, it worsens quickly. Crutch Jacobs Disease.
From pixels.com
Creutzfeldtjakob Disease Photograph by Zephyr/science Photo Library Crutch Jacobs Disease Once symptoms start, the condition worsens quickly, causing a. A brain biopsy or an exam of brain tissue after death, known as an autopsy, is the gold standard to confirm the presence of creutzfeldt. Also called classic cjd, it worsens quickly. It affects the brain and causes dementia and other. Crutch Jacobs Disease.
From www.dovemed.com
CreutzfeldtJakob Disease (CJD) Crutch Jacobs Disease A brain biopsy or an exam of brain tissue after death, known as an autopsy, is the gold standard to confirm the presence of creutzfeldt. Also called classic cjd, it worsens quickly. Once symptoms start, the condition worsens quickly, causing a. It affects the brain and causes dementia and other. Crutch Jacobs Disease.
From www.pinterest.com
CreutzfeldtJakob disease (CJD) (A & B) Sporadic CJD showing hyperintense striatum on FLAIR Crutch Jacobs Disease Once symptoms start, the condition worsens quickly, causing a. It affects the brain and causes dementia and other. A brain biopsy or an exam of brain tissue after death, known as an autopsy, is the gold standard to confirm the presence of creutzfeldt. Also called classic cjd, it worsens quickly. Crutch Jacobs Disease.
From www.sciencephoto.com
Prions in CreutzfeldtJakob Disease Stock Image C017/2721 Science Photo Library Crutch Jacobs Disease Also called classic cjd, it worsens quickly. Once symptoms start, the condition worsens quickly, causing a. A brain biopsy or an exam of brain tissue after death, known as an autopsy, is the gold standard to confirm the presence of creutzfeldt. It affects the brain and causes dementia and other. Crutch Jacobs Disease.
From www.indianradiology.com
CreutzfeldtJacob disease Teaching Points Sumer's Radiology Blog Crutch Jacobs Disease Once symptoms start, the condition worsens quickly, causing a. It affects the brain and causes dementia and other. A brain biopsy or an exam of brain tissue after death, known as an autopsy, is the gold standard to confirm the presence of creutzfeldt. Also called classic cjd, it worsens quickly. Crutch Jacobs Disease.
From healthjade.com
CreutzfeldtJakob disease Causes, Symptoms, Diagnosis & Treatment Crutch Jacobs Disease It affects the brain and causes dementia and other. Once symptoms start, the condition worsens quickly, causing a. Also called classic cjd, it worsens quickly. A brain biopsy or an exam of brain tissue after death, known as an autopsy, is the gold standard to confirm the presence of creutzfeldt. Crutch Jacobs Disease.