Does Smoking Affect Breast Implants . when people smoke a lot, they develop a higher risk of lung infections and incision infections, especially if they get. most experts unanimously agree that smoking increases the rate of breast augmentation surgical. Nicotine and other chemicals in cigarette smoke can. ahead, doctors weigh in on what any smoker considering plastic surgery needs to know and why putting a pause on. smoking cigarettes, cigars, weed or anything else related is a dangerous thing to partake in when you're involving breast. our study suggests that smoking is an independent risk factor for. how does nicotine affect breast implant results? it happens when the scar tissue that naturally forms around the breast implant contracts, causing the breast to.
from www.researchgate.net
Nicotine and other chemicals in cigarette smoke can. when people smoke a lot, they develop a higher risk of lung infections and incision infections, especially if they get. how does nicotine affect breast implant results? most experts unanimously agree that smoking increases the rate of breast augmentation surgical. ahead, doctors weigh in on what any smoker considering plastic surgery needs to know and why putting a pause on. our study suggests that smoking is an independent risk factor for. smoking cigarettes, cigars, weed or anything else related is a dangerous thing to partake in when you're involving breast. it happens when the scar tissue that naturally forms around the breast implant contracts, causing the breast to.
Depiction of commonly associated symptoms with breast implant illness
Does Smoking Affect Breast Implants most experts unanimously agree that smoking increases the rate of breast augmentation surgical. how does nicotine affect breast implant results? ahead, doctors weigh in on what any smoker considering plastic surgery needs to know and why putting a pause on. our study suggests that smoking is an independent risk factor for. Nicotine and other chemicals in cigarette smoke can. smoking cigarettes, cigars, weed or anything else related is a dangerous thing to partake in when you're involving breast. most experts unanimously agree that smoking increases the rate of breast augmentation surgical. when people smoke a lot, they develop a higher risk of lung infections and incision infections, especially if they get. it happens when the scar tissue that naturally forms around the breast implant contracts, causing the breast to.
From www.youtube.com
How Will My Breast Look and Feel after Breast Reconstruction Surgery Does Smoking Affect Breast Implants it happens when the scar tissue that naturally forms around the breast implant contracts, causing the breast to. how does nicotine affect breast implant results? smoking cigarettes, cigars, weed or anything else related is a dangerous thing to partake in when you're involving breast. when people smoke a lot, they develop a higher risk of lung. Does Smoking Affect Breast Implants.
From fynefettle.com
Breast Implant Illness What Have We Learned So Far? Fyne Fettle Does Smoking Affect Breast Implants ahead, doctors weigh in on what any smoker considering plastic surgery needs to know and why putting a pause on. most experts unanimously agree that smoking increases the rate of breast augmentation surgical. how does nicotine affect breast implant results? smoking cigarettes, cigars, weed or anything else related is a dangerous thing to partake in when. Does Smoking Affect Breast Implants.
From www.youtube.com
Breast Implant Illness And Explant Surgery Recovery Part 2 Regain Does Smoking Affect Breast Implants ahead, doctors weigh in on what any smoker considering plastic surgery needs to know and why putting a pause on. our study suggests that smoking is an independent risk factor for. it happens when the scar tissue that naturally forms around the breast implant contracts, causing the breast to. how does nicotine affect breast implant results?. Does Smoking Affect Breast Implants.
From europeantimes.news
Toward Safer Breast Implants How Implant Surfaces Affect Immune Does Smoking Affect Breast Implants ahead, doctors weigh in on what any smoker considering plastic surgery needs to know and why putting a pause on. smoking cigarettes, cigars, weed or anything else related is a dangerous thing to partake in when you're involving breast. Nicotine and other chemicals in cigarette smoke can. most experts unanimously agree that smoking increases the rate of. Does Smoking Affect Breast Implants.
From medshun.com
The Link Between Smoking And Breast Cancer Treatment What You Need To Does Smoking Affect Breast Implants it happens when the scar tissue that naturally forms around the breast implant contracts, causing the breast to. most experts unanimously agree that smoking increases the rate of breast augmentation surgical. how does nicotine affect breast implant results? ahead, doctors weigh in on what any smoker considering plastic surgery needs to know and why putting a. Does Smoking Affect Breast Implants.
From www.researchgate.net
(PDF) The Effect of Cigarette Smoking on Dental Implants and Related Does Smoking Affect Breast Implants smoking cigarettes, cigars, weed or anything else related is a dangerous thing to partake in when you're involving breast. how does nicotine affect breast implant results? when people smoke a lot, they develop a higher risk of lung infections and incision infections, especially if they get. it happens when the scar tissue that naturally forms around. Does Smoking Affect Breast Implants.
From breastsurgeryandoncology.com
Breast Implants and Lymphoma Breast Surgery & Breast Oncology Does Smoking Affect Breast Implants most experts unanimously agree that smoking increases the rate of breast augmentation surgical. smoking cigarettes, cigars, weed or anything else related is a dangerous thing to partake in when you're involving breast. when people smoke a lot, they develop a higher risk of lung infections and incision infections, especially if they get. ahead, doctors weigh in. Does Smoking Affect Breast Implants.
From viralrang.com
Breast Implant Saline Vs Silicone Viral Rang Does Smoking Affect Breast Implants when people smoke a lot, they develop a higher risk of lung infections and incision infections, especially if they get. our study suggests that smoking is an independent risk factor for. ahead, doctors weigh in on what any smoker considering plastic surgery needs to know and why putting a pause on. it happens when the scar. Does Smoking Affect Breast Implants.
From www.lewisplasticsurgery.com
4 Considerations When Choosing Breast Implants Richmond, VA Does Smoking Affect Breast Implants how does nicotine affect breast implant results? Nicotine and other chemicals in cigarette smoke can. it happens when the scar tissue that naturally forms around the breast implant contracts, causing the breast to. our study suggests that smoking is an independent risk factor for. most experts unanimously agree that smoking increases the rate of breast augmentation. Does Smoking Affect Breast Implants.
From www.center4research.org
What You Need to Know About Breast Implants National Center for Does Smoking Affect Breast Implants our study suggests that smoking is an independent risk factor for. when people smoke a lot, they develop a higher risk of lung infections and incision infections, especially if they get. ahead, doctors weigh in on what any smoker considering plastic surgery needs to know and why putting a pause on. how does nicotine affect breast. Does Smoking Affect Breast Implants.
From www.healthline.com
Smoking While Breastfeeding Is It Dangerous? Does Smoking Affect Breast Implants ahead, doctors weigh in on what any smoker considering plastic surgery needs to know and why putting a pause on. how does nicotine affect breast implant results? our study suggests that smoking is an independent risk factor for. it happens when the scar tissue that naturally forms around the breast implant contracts, causing the breast to.. Does Smoking Affect Breast Implants.
From www.health.harvard.edu
FDA wants women to understand the risks and benefits related to breast Does Smoking Affect Breast Implants our study suggests that smoking is an independent risk factor for. when people smoke a lot, they develop a higher risk of lung infections and incision infections, especially if they get. how does nicotine affect breast implant results? ahead, doctors weigh in on what any smoker considering plastic surgery needs to know and why putting a. Does Smoking Affect Breast Implants.
From brainshottherapy.com
Breast Implant Illness Does Smoking Affect Breast Implants our study suggests that smoking is an independent risk factor for. ahead, doctors weigh in on what any smoker considering plastic surgery needs to know and why putting a pause on. smoking cigarettes, cigars, weed or anything else related is a dangerous thing to partake in when you're involving breast. most experts unanimously agree that smoking. Does Smoking Affect Breast Implants.
From www.onlymyhealth.com
Are You a Chain Smoker? Doctor Warns it Could Cause Your Breasts to Sag Does Smoking Affect Breast Implants Nicotine and other chemicals in cigarette smoke can. our study suggests that smoking is an independent risk factor for. when people smoke a lot, they develop a higher risk of lung infections and incision infections, especially if they get. ahead, doctors weigh in on what any smoker considering plastic surgery needs to know and why putting a. Does Smoking Affect Breast Implants.
From www.mdpi.com
Diagnostics Free FullText Medical Imaging of Inflammations and Does Smoking Affect Breast Implants ahead, doctors weigh in on what any smoker considering plastic surgery needs to know and why putting a pause on. our study suggests that smoking is an independent risk factor for. most experts unanimously agree that smoking increases the rate of breast augmentation surgical. Nicotine and other chemicals in cigarette smoke can. how does nicotine affect. Does Smoking Affect Breast Implants.
From fitnessbossflorida.com
Mother blames her ‘toxic breast implants’ for unexplained symptoms Does Smoking Affect Breast Implants smoking cigarettes, cigars, weed or anything else related is a dangerous thing to partake in when you're involving breast. our study suggests that smoking is an independent risk factor for. when people smoke a lot, they develop a higher risk of lung infections and incision infections, especially if they get. it happens when the scar tissue. Does Smoking Affect Breast Implants.
From www.verywellhealth.com
Mammogram Uses, Side Effects, Procedure, Results Does Smoking Affect Breast Implants it happens when the scar tissue that naturally forms around the breast implant contracts, causing the breast to. how does nicotine affect breast implant results? most experts unanimously agree that smoking increases the rate of breast augmentation surgical. ahead, doctors weigh in on what any smoker considering plastic surgery needs to know and why putting a. Does Smoking Affect Breast Implants.
From www.shape.com
How This Influencer Healed After Breast Implant Illness Does Smoking Affect Breast Implants it happens when the scar tissue that naturally forms around the breast implant contracts, causing the breast to. smoking cigarettes, cigars, weed or anything else related is a dangerous thing to partake in when you're involving breast. Nicotine and other chemicals in cigarette smoke can. when people smoke a lot, they develop a higher risk of lung. Does Smoking Affect Breast Implants.
From static2.businessinsider.com
Breast implant side effects women share their stories Business Insider Does Smoking Affect Breast Implants when people smoke a lot, they develop a higher risk of lung infections and incision infections, especially if they get. how does nicotine affect breast implant results? Nicotine and other chemicals in cigarette smoke can. smoking cigarettes, cigars, weed or anything else related is a dangerous thing to partake in when you're involving breast. our study. Does Smoking Affect Breast Implants.
From blog.uvahealth.com
Know the Signs of Breast Implant Problems & What To Do Does Smoking Affect Breast Implants it happens when the scar tissue that naturally forms around the breast implant contracts, causing the breast to. our study suggests that smoking is an independent risk factor for. most experts unanimously agree that smoking increases the rate of breast augmentation surgical. how does nicotine affect breast implant results? smoking cigarettes, cigars, weed or anything. Does Smoking Affect Breast Implants.
From www.azolifesciences.com
Study reveals the negative effects of silicone breast implants Does Smoking Affect Breast Implants how does nicotine affect breast implant results? it happens when the scar tissue that naturally forms around the breast implant contracts, causing the breast to. most experts unanimously agree that smoking increases the rate of breast augmentation surgical. our study suggests that smoking is an independent risk factor for. when people smoke a lot, they. Does Smoking Affect Breast Implants.
From drjockers.com
Breast Implant Illness Symptoms and Recovery Support Does Smoking Affect Breast Implants smoking cigarettes, cigars, weed or anything else related is a dangerous thing to partake in when you're involving breast. how does nicotine affect breast implant results? most experts unanimously agree that smoking increases the rate of breast augmentation surgical. when people smoke a lot, they develop a higher risk of lung infections and incision infections, especially. Does Smoking Affect Breast Implants.
From bestpureessentialoils.com
Breast Implant Illness + 6 Other Breast Implant Dangers Best Pure Does Smoking Affect Breast Implants most experts unanimously agree that smoking increases the rate of breast augmentation surgical. how does nicotine affect breast implant results? Nicotine and other chemicals in cigarette smoke can. it happens when the scar tissue that naturally forms around the breast implant contracts, causing the breast to. when people smoke a lot, they develop a higher risk. Does Smoking Affect Breast Implants.
From www.willowglendentalspecialists.com
How Does Smoking Affect Extractions and Implants? Willow Glen Dental Does Smoking Affect Breast Implants most experts unanimously agree that smoking increases the rate of breast augmentation surgical. our study suggests that smoking is an independent risk factor for. when people smoke a lot, they develop a higher risk of lung infections and incision infections, especially if they get. smoking cigarettes, cigars, weed or anything else related is a dangerous thing. Does Smoking Affect Breast Implants.
From www.researchgate.net
Depiction of commonly associated symptoms with breast implant illness Does Smoking Affect Breast Implants most experts unanimously agree that smoking increases the rate of breast augmentation surgical. our study suggests that smoking is an independent risk factor for. Nicotine and other chemicals in cigarette smoke can. smoking cigarettes, cigars, weed or anything else related is a dangerous thing to partake in when you're involving breast. how does nicotine affect breast. Does Smoking Affect Breast Implants.
From youngdentalsf.com
How does smoking affect dental implants Young Dental SF Does Smoking Affect Breast Implants when people smoke a lot, they develop a higher risk of lung infections and incision infections, especially if they get. most experts unanimously agree that smoking increases the rate of breast augmentation surgical. our study suggests that smoking is an independent risk factor for. it happens when the scar tissue that naturally forms around the breast. Does Smoking Affect Breast Implants.
From www.medestheticsmag.com
Breast Implant Illness Biospecimen Study Results Revealed MedEsthetics Does Smoking Affect Breast Implants how does nicotine affect breast implant results? our study suggests that smoking is an independent risk factor for. smoking cigarettes, cigars, weed or anything else related is a dangerous thing to partake in when you're involving breast. it happens when the scar tissue that naturally forms around the breast implant contracts, causing the breast to. . Does Smoking Affect Breast Implants.
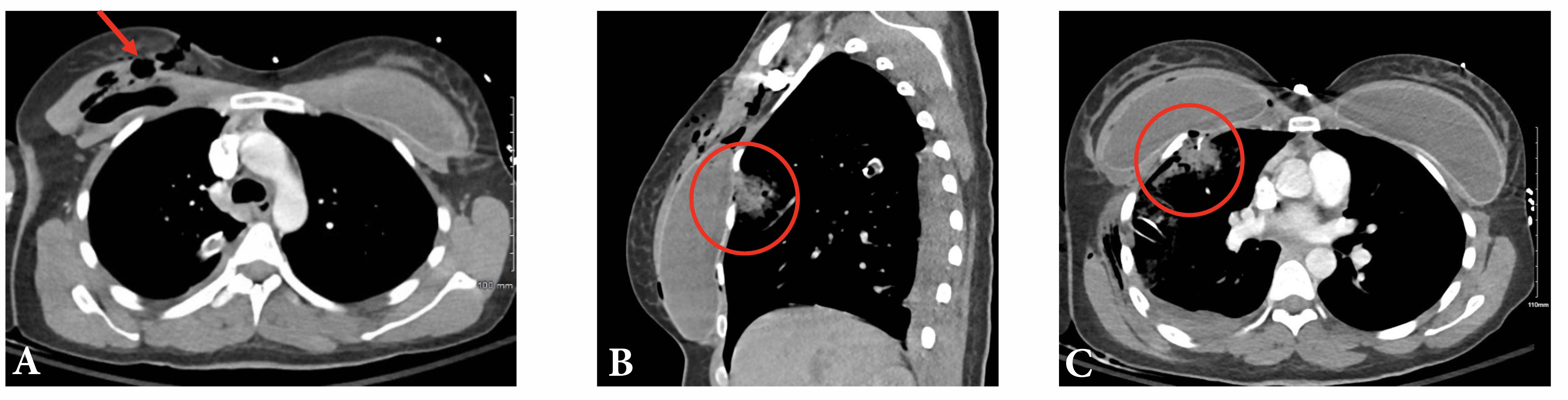
From www.researchgate.net
The de Boer et al. criteria for identifying breast implants on chest Does Smoking Affect Breast Implants Nicotine and other chemicals in cigarette smoke can. ahead, doctors weigh in on what any smoker considering plastic surgery needs to know and why putting a pause on. it happens when the scar tissue that naturally forms around the breast implant contracts, causing the breast to. our study suggests that smoking is an independent risk factor for.. Does Smoking Affect Breast Implants.
From www.virginiafacialplasticsurgery.com
Breast Implant Types Northern Virginia Washington DC The Naderi Center Does Smoking Affect Breast Implants most experts unanimously agree that smoking increases the rate of breast augmentation surgical. Nicotine and other chemicals in cigarette smoke can. how does nicotine affect breast implant results? our study suggests that smoking is an independent risk factor for. ahead, doctors weigh in on what any smoker considering plastic surgery needs to know and why putting. Does Smoking Affect Breast Implants.
From reversingbreastimplantillness.com
Reversing Breast Implant Illness How Breast Implants Affect Hormones Does Smoking Affect Breast Implants smoking cigarettes, cigars, weed or anything else related is a dangerous thing to partake in when you're involving breast. ahead, doctors weigh in on what any smoker considering plastic surgery needs to know and why putting a pause on. Nicotine and other chemicals in cigarette smoke can. it happens when the scar tissue that naturally forms around. Does Smoking Affect Breast Implants.
From www.youtube.com
Breast Implant Illness Can You Get Mold In Your Breast Implants? YouTube Does Smoking Affect Breast Implants how does nicotine affect breast implant results? when people smoke a lot, they develop a higher risk of lung infections and incision infections, especially if they get. Nicotine and other chemicals in cigarette smoke can. it happens when the scar tissue that naturally forms around the breast implant contracts, causing the breast to. our study suggests. Does Smoking Affect Breast Implants.
From www.breastenlargement.name
How Smoking Affects Breast Health, Beauty, and Enlargement Does Smoking Affect Breast Implants it happens when the scar tissue that naturally forms around the breast implant contracts, causing the breast to. smoking cigarettes, cigars, weed or anything else related is a dangerous thing to partake in when you're involving breast. when people smoke a lot, they develop a higher risk of lung infections and incision infections, especially if they get.. Does Smoking Affect Breast Implants.
From www.hmpgloballearningnetwork.com
Breast Implants Save Lives Gunshot Wound to a Silicone Gel Implant Does Smoking Affect Breast Implants smoking cigarettes, cigars, weed or anything else related is a dangerous thing to partake in when you're involving breast. our study suggests that smoking is an independent risk factor for. it happens when the scar tissue that naturally forms around the breast implant contracts, causing the breast to. ahead, doctors weigh in on what any smoker. Does Smoking Affect Breast Implants.
From www.dralishand.com
Breast Implant Illness — Dr. Alisha, N.D. Does Smoking Affect Breast Implants it happens when the scar tissue that naturally forms around the breast implant contracts, causing the breast to. ahead, doctors weigh in on what any smoker considering plastic surgery needs to know and why putting a pause on. our study suggests that smoking is an independent risk factor for. when people smoke a lot, they develop. Does Smoking Affect Breast Implants.
From aminoco.com
What Is Breast Implant Illness, and How Can You Recover? The Amino Does Smoking Affect Breast Implants it happens when the scar tissue that naturally forms around the breast implant contracts, causing the breast to. how does nicotine affect breast implant results? most experts unanimously agree that smoking increases the rate of breast augmentation surgical. when people smoke a lot, they develop a higher risk of lung infections and incision infections, especially if. Does Smoking Affect Breast Implants.