Composite Bonding Lateral Incisors . A case study of the aesthetic restoration of maxillary lateral incisors with direct composite. The purpose is to change the teeth’ shape to make them look uniform, aligned, eliminating gaps, filling cavities, and restoring a full smile. To resolve the condition, orthodontic treatment, direct composite bonding onto peg laterals, indirect composite. If the peg lateral is treated in a less than ideal position, an acceptable outcome may be possible and could be simply achieved with additive. The plan will be to use a nano. Peg lateral bonding refers to the bonding of peg lateral incisors with a material that is similar in color and texture to the tooth. The aim is to remove aprismatic enamel and optimize bond strengths. I initially wanted to use invisalign but my dentist told me composite bonding would be a good option. I have done some research and it seems. Particular attention should be paid to the cingulum pit,.
from www.styleitaliano.org
If the peg lateral is treated in a less than ideal position, an acceptable outcome may be possible and could be simply achieved with additive. The purpose is to change the teeth’ shape to make them look uniform, aligned, eliminating gaps, filling cavities, and restoring a full smile. A case study of the aesthetic restoration of maxillary lateral incisors with direct composite. The aim is to remove aprismatic enamel and optimize bond strengths. I initially wanted to use invisalign but my dentist told me composite bonding would be a good option. Peg lateral bonding refers to the bonding of peg lateral incisors with a material that is similar in color and texture to the tooth. Particular attention should be paid to the cingulum pit,. To resolve the condition, orthodontic treatment, direct composite bonding onto peg laterals, indirect composite. The plan will be to use a nano. I have done some research and it seems.
Extreme Peg Lateral Direct Restoration
Composite Bonding Lateral Incisors Particular attention should be paid to the cingulum pit,. The aim is to remove aprismatic enamel and optimize bond strengths. I have done some research and it seems. To resolve the condition, orthodontic treatment, direct composite bonding onto peg laterals, indirect composite. The purpose is to change the teeth’ shape to make them look uniform, aligned, eliminating gaps, filling cavities, and restoring a full smile. Peg lateral bonding refers to the bonding of peg lateral incisors with a material that is similar in color and texture to the tooth. The plan will be to use a nano. Particular attention should be paid to the cingulum pit,. If the peg lateral is treated in a less than ideal position, an acceptable outcome may be possible and could be simply achieved with additive. I initially wanted to use invisalign but my dentist told me composite bonding would be a good option. A case study of the aesthetic restoration of maxillary lateral incisors with direct composite.
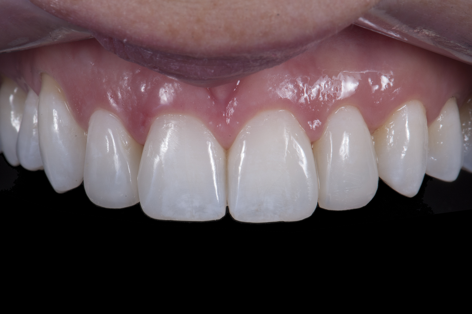
From preventivedentistry.com.au
Dental Bonding Before and After at Preventive Dentistry Braddon Composite Bonding Lateral Incisors The plan will be to use a nano. Peg lateral bonding refers to the bonding of peg lateral incisors with a material that is similar in color and texture to the tooth. To resolve the condition, orthodontic treatment, direct composite bonding onto peg laterals, indirect composite. Particular attention should be paid to the cingulum pit,. A case study of the. Composite Bonding Lateral Incisors.
From preventivedentistry.com.au
Dental Bonding Before and After at Preventive Dentistry Braddon Composite Bonding Lateral Incisors I have done some research and it seems. A case study of the aesthetic restoration of maxillary lateral incisors with direct composite. I initially wanted to use invisalign but my dentist told me composite bonding would be a good option. To resolve the condition, orthodontic treatment, direct composite bonding onto peg laterals, indirect composite. Peg lateral bonding refers to the. Composite Bonding Lateral Incisors.
From preventivedentistry.com.au
Dental Bonding Before and After at Preventive Dentistry Braddon Composite Bonding Lateral Incisors I initially wanted to use invisalign but my dentist told me composite bonding would be a good option. I have done some research and it seems. To resolve the condition, orthodontic treatment, direct composite bonding onto peg laterals, indirect composite. Peg lateral bonding refers to the bonding of peg lateral incisors with a material that is similar in color and. Composite Bonding Lateral Incisors.
From talkativedesigner.blogspot.com
Composite Resin Veneers Before And After Before And After Composite Bonding Lateral Incisors If the peg lateral is treated in a less than ideal position, an acceptable outcome may be possible and could be simply achieved with additive. Particular attention should be paid to the cingulum pit,. To resolve the condition, orthodontic treatment, direct composite bonding onto peg laterals, indirect composite. Peg lateral bonding refers to the bonding of peg lateral incisors with. Composite Bonding Lateral Incisors.
From theknightsbridgeclinic.uk
Composite Bonding The Knightsbridge Clinic Composite Bonding Lateral Incisors The plan will be to use a nano. If the peg lateral is treated in a less than ideal position, an acceptable outcome may be possible and could be simply achieved with additive. The purpose is to change the teeth’ shape to make them look uniform, aligned, eliminating gaps, filling cavities, and restoring a full smile. I have done some. Composite Bonding Lateral Incisors.
From mavink.com
Peg Lateral Bonding Composite Bonding Lateral Incisors The purpose is to change the teeth’ shape to make them look uniform, aligned, eliminating gaps, filling cavities, and restoring a full smile. A case study of the aesthetic restoration of maxillary lateral incisors with direct composite. To resolve the condition, orthodontic treatment, direct composite bonding onto peg laterals, indirect composite. The plan will be to use a nano. I. Composite Bonding Lateral Incisors.
From www.reddit.com
One year ago since I finished my 8 month Invisalign treatment! Best Composite Bonding Lateral Incisors Peg lateral bonding refers to the bonding of peg lateral incisors with a material that is similar in color and texture to the tooth. I initially wanted to use invisalign but my dentist told me composite bonding would be a good option. The purpose is to change the teeth’ shape to make them look uniform, aligned, eliminating gaps, filling cavities,. Composite Bonding Lateral Incisors.
From preventivedentistry.com.au
Dental Bonding Before and After at Preventive Dentistry Braddon Composite Bonding Lateral Incisors The plan will be to use a nano. If the peg lateral is treated in a less than ideal position, an acceptable outcome may be possible and could be simply achieved with additive. The aim is to remove aprismatic enamel and optimize bond strengths. The purpose is to change the teeth’ shape to make them look uniform, aligned, eliminating gaps,. Composite Bonding Lateral Incisors.
From www.styleitaliano.org
STYLEITALIANO How to Bulk Fill an Upper Lateral Incisor Composite Bonding Lateral Incisors I have done some research and it seems. The aim is to remove aprismatic enamel and optimize bond strengths. If the peg lateral is treated in a less than ideal position, an acceptable outcome may be possible and could be simply achieved with additive. Particular attention should be paid to the cingulum pit,. A case study of the aesthetic restoration. Composite Bonding Lateral Incisors.
From synergydental.org.uk
Composite Bonding Lateral • Synergy Dental Clinics Composite Bonding Lateral Incisors The plan will be to use a nano. If the peg lateral is treated in a less than ideal position, an acceptable outcome may be possible and could be simply achieved with additive. I initially wanted to use invisalign but my dentist told me composite bonding would be a good option. A case study of the aesthetic restoration of maxillary. Composite Bonding Lateral Incisors.
From www.peakdentalcare.com.au
Composite Bonding of Peg Laterals Before & After Photos Blacktown NSW Composite Bonding Lateral Incisors The aim is to remove aprismatic enamel and optimize bond strengths. A case study of the aesthetic restoration of maxillary lateral incisors with direct composite. Particular attention should be paid to the cingulum pit,. If the peg lateral is treated in a less than ideal position, an acceptable outcome may be possible and could be simply achieved with additive. The. Composite Bonding Lateral Incisors.
From www.sasdental.com.au
Composite Bonding Composite Bonding Lateral Incisors The purpose is to change the teeth’ shape to make them look uniform, aligned, eliminating gaps, filling cavities, and restoring a full smile. I initially wanted to use invisalign but my dentist told me composite bonding would be a good option. Particular attention should be paid to the cingulum pit,. The plan will be to use a nano. A case. Composite Bonding Lateral Incisors.
From www.biorquidtropic.com
Composite Bonding Biorquidtropic Composite Bonding Lateral Incisors To resolve the condition, orthodontic treatment, direct composite bonding onto peg laterals, indirect composite. Peg lateral bonding refers to the bonding of peg lateral incisors with a material that is similar in color and texture to the tooth. Particular attention should be paid to the cingulum pit,. I have done some research and it seems. The aim is to remove. Composite Bonding Lateral Incisors.
From dentalhealthpartners.com
Dental Health Partners Family Dental Practice Cedar Rapids, IA Composite Bonding Lateral Incisors Particular attention should be paid to the cingulum pit,. To resolve the condition, orthodontic treatment, direct composite bonding onto peg laterals, indirect composite. Peg lateral bonding refers to the bonding of peg lateral incisors with a material that is similar in color and texture to the tooth. I initially wanted to use invisalign but my dentist told me composite bonding. Composite Bonding Lateral Incisors.
From smilestories.co
Composite Bonding Landing PPC Smile Stories Composite Bonding Lateral Incisors The purpose is to change the teeth’ shape to make them look uniform, aligned, eliminating gaps, filling cavities, and restoring a full smile. I have done some research and it seems. If the peg lateral is treated in a less than ideal position, an acceptable outcome may be possible and could be simply achieved with additive. I initially wanted to. Composite Bonding Lateral Incisors.
From aesthetikadentalstudio.co.uk
What is Composite Dental Bonding? Aesthetika Dental Studio Composite Bonding Lateral Incisors I initially wanted to use invisalign but my dentist told me composite bonding would be a good option. Peg lateral bonding refers to the bonding of peg lateral incisors with a material that is similar in color and texture to the tooth. A case study of the aesthetic restoration of maxillary lateral incisors with direct composite. The aim is to. Composite Bonding Lateral Incisors.
From chicagobeautifulsmiles.com
Direct Composite Bonded Veneers 11 Chicago Beautiful Smiles Composite Bonding Lateral Incisors If the peg lateral is treated in a less than ideal position, an acceptable outcome may be possible and could be simply achieved with additive. I have done some research and it seems. To resolve the condition, orthodontic treatment, direct composite bonding onto peg laterals, indirect composite. Particular attention should be paid to the cingulum pit,. I initially wanted to. Composite Bonding Lateral Incisors.
From www.tmprosthodontics.com
Composite fillings and composite veneers TM Composite Bonding Lateral Incisors The plan will be to use a nano. I initially wanted to use invisalign but my dentist told me composite bonding would be a good option. If the peg lateral is treated in a less than ideal position, an acceptable outcome may be possible and could be simply achieved with additive. The purpose is to change the teeth’ shape to. Composite Bonding Lateral Incisors.
From mavink.com
Peg Lateral Bonding Composite Bonding Lateral Incisors To resolve the condition, orthodontic treatment, direct composite bonding onto peg laterals, indirect composite. A case study of the aesthetic restoration of maxillary lateral incisors with direct composite. I have done some research and it seems. The aim is to remove aprismatic enamel and optimize bond strengths. The purpose is to change the teeth’ shape to make them look uniform,. Composite Bonding Lateral Incisors.
From www.youtube.com
Simple Ortho and Peg Lateral Bond Up YouTube Composite Bonding Lateral Incisors Particular attention should be paid to the cingulum pit,. If the peg lateral is treated in a less than ideal position, an acceptable outcome may be possible and could be simply achieved with additive. I initially wanted to use invisalign but my dentist told me composite bonding would be a good option. Peg lateral bonding refers to the bonding of. Composite Bonding Lateral Incisors.
From preventivedentistry.com.au
Dental Bonding Before and After at Preventive Dentistry Braddon Composite Bonding Lateral Incisors The aim is to remove aprismatic enamel and optimize bond strengths. The plan will be to use a nano. I have done some research and it seems. If the peg lateral is treated in a less than ideal position, an acceptable outcome may be possible and could be simply achieved with additive. To resolve the condition, orthodontic treatment, direct composite. Composite Bonding Lateral Incisors.
From www.tmprosthodontics.com
Composite fillings and composite veneers TM Composite Bonding Lateral Incisors If the peg lateral is treated in a less than ideal position, an acceptable outcome may be possible and could be simply achieved with additive. A case study of the aesthetic restoration of maxillary lateral incisors with direct composite. Peg lateral bonding refers to the bonding of peg lateral incisors with a material that is similar in color and texture. Composite Bonding Lateral Incisors.
From mavink.com
Peg Lateral Bonding Composite Bonding Lateral Incisors I have done some research and it seems. Particular attention should be paid to the cingulum pit,. Peg lateral bonding refers to the bonding of peg lateral incisors with a material that is similar in color and texture to the tooth. A case study of the aesthetic restoration of maxillary lateral incisors with direct composite. The plan will be to. Composite Bonding Lateral Incisors.
From preventivedentistry.com.au
Dental Bonding Before and After at Preventive Dentistry Braddon Composite Bonding Lateral Incisors The aim is to remove aprismatic enamel and optimize bond strengths. The plan will be to use a nano. To resolve the condition, orthodontic treatment, direct composite bonding onto peg laterals, indirect composite. I have done some research and it seems. Particular attention should be paid to the cingulum pit,. A case study of the aesthetic restoration of maxillary lateral. Composite Bonding Lateral Incisors.
From orangectdentist.com
Bye Bye Peg Lateral Calcaterra Family Dentistry Composite Bonding Lateral Incisors The plan will be to use a nano. If the peg lateral is treated in a less than ideal position, an acceptable outcome may be possible and could be simply achieved with additive. Particular attention should be paid to the cingulum pit,. Peg lateral bonding refers to the bonding of peg lateral incisors with a material that is similar in. Composite Bonding Lateral Incisors.
From www.dentalhealthpartners.com
Before & After Lateral Incisor Bonding Removal, Composite Reapplication Composite Bonding Lateral Incisors I initially wanted to use invisalign but my dentist told me composite bonding would be a good option. The plan will be to use a nano. If the peg lateral is treated in a less than ideal position, an acceptable outcome may be possible and could be simply achieved with additive. Peg lateral bonding refers to the bonding of peg. Composite Bonding Lateral Incisors.
From leeannbrady.com
Resin Bonded Bridge for Lateral Incisor Replacement Lee Ann Brady DMD Composite Bonding Lateral Incisors Particular attention should be paid to the cingulum pit,. The aim is to remove aprismatic enamel and optimize bond strengths. I initially wanted to use invisalign but my dentist told me composite bonding would be a good option. If the peg lateral is treated in a less than ideal position, an acceptable outcome may be possible and could be simply. Composite Bonding Lateral Incisors.
From www.youtube.com
A 59 months followup of flowable composite resin restored broken Composite Bonding Lateral Incisors The aim is to remove aprismatic enamel and optimize bond strengths. A case study of the aesthetic restoration of maxillary lateral incisors with direct composite. To resolve the condition, orthodontic treatment, direct composite bonding onto peg laterals, indirect composite. Peg lateral bonding refers to the bonding of peg lateral incisors with a material that is similar in color and texture. Composite Bonding Lateral Incisors.
From mavink.com
Peg Lateral Bonding Composite Bonding Lateral Incisors Particular attention should be paid to the cingulum pit,. I have done some research and it seems. If the peg lateral is treated in a less than ideal position, an acceptable outcome may be possible and could be simply achieved with additive. To resolve the condition, orthodontic treatment, direct composite bonding onto peg laterals, indirect composite. The plan will be. Composite Bonding Lateral Incisors.
From cambridge.dental
Composite Bonding Cambridge Dental Composite Bonding Lateral Incisors A case study of the aesthetic restoration of maxillary lateral incisors with direct composite. If the peg lateral is treated in a less than ideal position, an acceptable outcome may be possible and could be simply achieved with additive. I have done some research and it seems. Peg lateral bonding refers to the bonding of peg lateral incisors with a. Composite Bonding Lateral Incisors.
From www.reddit.com
What should I do cosmetically after Invisalign treatment? Composite Composite Bonding Lateral Incisors I have done some research and it seems. Particular attention should be paid to the cingulum pit,. Peg lateral bonding refers to the bonding of peg lateral incisors with a material that is similar in color and texture to the tooth. I initially wanted to use invisalign but my dentist told me composite bonding would be a good option. To. Composite Bonding Lateral Incisors.
From preventivedentistry.com.au
Dental Bonding Before and After at Preventive Dentistry Braddon Composite Bonding Lateral Incisors The aim is to remove aprismatic enamel and optimize bond strengths. If the peg lateral is treated in a less than ideal position, an acceptable outcome may be possible and could be simply achieved with additive. I have done some research and it seems. The purpose is to change the teeth’ shape to make them look uniform, aligned, eliminating gaps,. Composite Bonding Lateral Incisors.
From www.konigdds.com
Cosmetic Dentistry and TMJ Undersized Lateral Incisors Can Corrected Composite Bonding Lateral Incisors A case study of the aesthetic restoration of maxillary lateral incisors with direct composite. The purpose is to change the teeth’ shape to make them look uniform, aligned, eliminating gaps, filling cavities, and restoring a full smile. I have done some research and it seems. Peg lateral bonding refers to the bonding of peg lateral incisors with a material that. Composite Bonding Lateral Incisors.
From www.styleitaliano.org
Extreme Peg Lateral Direct Restoration Composite Bonding Lateral Incisors The purpose is to change the teeth’ shape to make them look uniform, aligned, eliminating gaps, filling cavities, and restoring a full smile. To resolve the condition, orthodontic treatment, direct composite bonding onto peg laterals, indirect composite. Peg lateral bonding refers to the bonding of peg lateral incisors with a material that is similar in color and texture to the. Composite Bonding Lateral Incisors.
From www.gotoapro.org
Peg Lateral Incisors American College of Prosthodontists Composite Bonding Lateral Incisors The aim is to remove aprismatic enamel and optimize bond strengths. To resolve the condition, orthodontic treatment, direct composite bonding onto peg laterals, indirect composite. I have done some research and it seems. The purpose is to change the teeth’ shape to make them look uniform, aligned, eliminating gaps, filling cavities, and restoring a full smile. A case study of. Composite Bonding Lateral Incisors.