What Is Avascular Necrosis Of Scaphoid . Avascular necrosis is the death of bone tissue due to a lack of blood supply. This technique is an attractive, minimally invasive alternative for nonunion and avascular necrosis resulting from fractures of the proximal pole of. Many conditions can cause joint pain. In fact, there is a risk that fractures of the proximal scaphoid will completely disrupt the blood supply, causing part of the scaphoid to necrose, or die. Scaphoid is the bone of the wrist most frequently fractured. Avascular necrosis (avn) is the death of bone tissue due to a lack of blood. Some 10% of scaphoid fractures have associated fractures of other. Avascular necrosis (avn) of the scaphoid predominantly occurs in the proximal. Also called osteonecrosis, it can lead to tiny breaks. Imaging tests can help pinpoint the source of pain. There may be poor retrograde blood flow from the distal to the proximal scaphoid.
from radiologyimages.blogspot.com
Avascular necrosis (avn) of the scaphoid predominantly occurs in the proximal. Avascular necrosis (avn) is the death of bone tissue due to a lack of blood. In fact, there is a risk that fractures of the proximal scaphoid will completely disrupt the blood supply, causing part of the scaphoid to necrose, or die. Many conditions can cause joint pain. Also called osteonecrosis, it can lead to tiny breaks. Imaging tests can help pinpoint the source of pain. Some 10% of scaphoid fractures have associated fractures of other. There may be poor retrograde blood flow from the distal to the proximal scaphoid. This technique is an attractive, minimally invasive alternative for nonunion and avascular necrosis resulting from fractures of the proximal pole of. Scaphoid is the bone of the wrist most frequently fractured.
Daily Dose Avascular necrosis of scaphoid
What Is Avascular Necrosis Of Scaphoid Avascular necrosis (avn) is the death of bone tissue due to a lack of blood. Avascular necrosis (avn) of the scaphoid predominantly occurs in the proximal. Avascular necrosis is the death of bone tissue due to a lack of blood supply. Imaging tests can help pinpoint the source of pain. Avascular necrosis (avn) is the death of bone tissue due to a lack of blood. There may be poor retrograde blood flow from the distal to the proximal scaphoid. This technique is an attractive, minimally invasive alternative for nonunion and avascular necrosis resulting from fractures of the proximal pole of. Scaphoid is the bone of the wrist most frequently fractured. Also called osteonecrosis, it can lead to tiny breaks. Many conditions can cause joint pain. Some 10% of scaphoid fractures have associated fractures of other. In fact, there is a risk that fractures of the proximal scaphoid will completely disrupt the blood supply, causing part of the scaphoid to necrose, or die.
From www.semanticscholar.org
Figure 1 from Avascular necrosis and fracture of the scaphoid in a What Is Avascular Necrosis Of Scaphoid Avascular necrosis (avn) of the scaphoid predominantly occurs in the proximal. Also called osteonecrosis, it can lead to tiny breaks. Avascular necrosis (avn) is the death of bone tissue due to a lack of blood. There may be poor retrograde blood flow from the distal to the proximal scaphoid. Imaging tests can help pinpoint the source of pain. This technique. What Is Avascular Necrosis Of Scaphoid.
From boneandjoint.org.uk
Avascular necrosis of the scaphoid in children treated by splint What Is Avascular Necrosis Of Scaphoid This technique is an attractive, minimally invasive alternative for nonunion and avascular necrosis resulting from fractures of the proximal pole of. Some 10% of scaphoid fractures have associated fractures of other. Avascular necrosis is the death of bone tissue due to a lack of blood supply. Also called osteonecrosis, it can lead to tiny breaks. Imaging tests can help pinpoint. What Is Avascular Necrosis Of Scaphoid.
From radiologycases.my
Avascular necrosis of scaphoid bone Radiology Cases What Is Avascular Necrosis Of Scaphoid There may be poor retrograde blood flow from the distal to the proximal scaphoid. Many conditions can cause joint pain. In fact, there is a risk that fractures of the proximal scaphoid will completely disrupt the blood supply, causing part of the scaphoid to necrose, or die. Avascular necrosis is the death of bone tissue due to a lack of. What Is Avascular Necrosis Of Scaphoid.
From www.animalia-life.club
Scaphoid Fracture Avascular Necrosis What Is Avascular Necrosis Of Scaphoid Imaging tests can help pinpoint the source of pain. Avascular necrosis (avn) of the scaphoid predominantly occurs in the proximal. Many conditions can cause joint pain. This technique is an attractive, minimally invasive alternative for nonunion and avascular necrosis resulting from fractures of the proximal pole of. Avascular necrosis (avn) is the death of bone tissue due to a lack. What Is Avascular Necrosis Of Scaphoid.
From www.animalia-life.club
Scaphoid Fracture Avascular Necrosis What Is Avascular Necrosis Of Scaphoid Some 10% of scaphoid fractures have associated fractures of other. Avascular necrosis is the death of bone tissue due to a lack of blood supply. Avascular necrosis (avn) of the scaphoid predominantly occurs in the proximal. Also called osteonecrosis, it can lead to tiny breaks. Avascular necrosis (avn) is the death of bone tissue due to a lack of blood.. What Is Avascular Necrosis Of Scaphoid.
From ankleandfootcentre.com.au
Kohler's Disease (Avascular Necrosis of the Navicular) Ankle, Foot What Is Avascular Necrosis Of Scaphoid Some 10% of scaphoid fractures have associated fractures of other. Avascular necrosis (avn) is the death of bone tissue due to a lack of blood. Imaging tests can help pinpoint the source of pain. Avascular necrosis (avn) of the scaphoid predominantly occurs in the proximal. Also called osteonecrosis, it can lead to tiny breaks. There may be poor retrograde blood. What Is Avascular Necrosis Of Scaphoid.
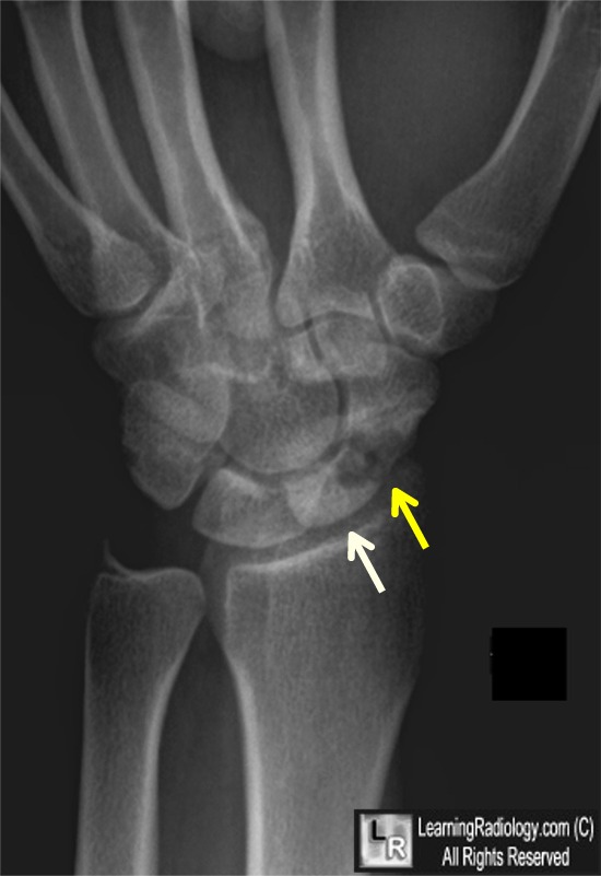
From www.learningradiology.com
LearningRadiology Avascular, Necrosis, Scaphoid, AVN, navicular What Is Avascular Necrosis Of Scaphoid Imaging tests can help pinpoint the source of pain. Many conditions can cause joint pain. There may be poor retrograde blood flow from the distal to the proximal scaphoid. Avascular necrosis is the death of bone tissue due to a lack of blood supply. Avascular necrosis (avn) of the scaphoid predominantly occurs in the proximal. Some 10% of scaphoid fractures. What Is Avascular Necrosis Of Scaphoid.
From www.animalia-life.club
Scaphoid Fracture Avascular Necrosis What Is Avascular Necrosis Of Scaphoid There may be poor retrograde blood flow from the distal to the proximal scaphoid. Avascular necrosis (avn) of the scaphoid predominantly occurs in the proximal. This technique is an attractive, minimally invasive alternative for nonunion and avascular necrosis resulting from fractures of the proximal pole of. In fact, there is a risk that fractures of the proximal scaphoid will completely. What Is Avascular Necrosis Of Scaphoid.
From www.animalia-life.club
Scaphoid Fracture Avascular Necrosis What Is Avascular Necrosis Of Scaphoid This technique is an attractive, minimally invasive alternative for nonunion and avascular necrosis resulting from fractures of the proximal pole of. Many conditions can cause joint pain. Avascular necrosis (avn) is the death of bone tissue due to a lack of blood. Avascular necrosis (avn) of the scaphoid predominantly occurs in the proximal. Scaphoid is the bone of the wrist. What Is Avascular Necrosis Of Scaphoid.
From www.animalia-life.club
Scaphoid Fracture Avascular Necrosis What Is Avascular Necrosis Of Scaphoid Many conditions can cause joint pain. Avascular necrosis (avn) is the death of bone tissue due to a lack of blood. In fact, there is a risk that fractures of the proximal scaphoid will completely disrupt the blood supply, causing part of the scaphoid to necrose, or die. Avascular necrosis is the death of bone tissue due to a lack. What Is Avascular Necrosis Of Scaphoid.
From www.reumatologiaclinica.org
Bilateral Avascular Necrosis of the Scaphoid (Preiser’ Disease), a Rare What Is Avascular Necrosis Of Scaphoid Many conditions can cause joint pain. This technique is an attractive, minimally invasive alternative for nonunion and avascular necrosis resulting from fractures of the proximal pole of. In fact, there is a risk that fractures of the proximal scaphoid will completely disrupt the blood supply, causing part of the scaphoid to necrose, or die. Some 10% of scaphoid fractures have. What Is Avascular Necrosis Of Scaphoid.
From radiopaedia.org
Avascular necrosis scaphoid nonunion Image What Is Avascular Necrosis Of Scaphoid This technique is an attractive, minimally invasive alternative for nonunion and avascular necrosis resulting from fractures of the proximal pole of. Avascular necrosis (avn) of the scaphoid predominantly occurs in the proximal. There may be poor retrograde blood flow from the distal to the proximal scaphoid. In fact, there is a risk that fractures of the proximal scaphoid will completely. What Is Avascular Necrosis Of Scaphoid.
From radiopaedia.org
Avascular necrosis scaphoid nonunion Image What Is Avascular Necrosis Of Scaphoid Imaging tests can help pinpoint the source of pain. Scaphoid is the bone of the wrist most frequently fractured. Avascular necrosis is the death of bone tissue due to a lack of blood supply. Also called osteonecrosis, it can lead to tiny breaks. Some 10% of scaphoid fractures have associated fractures of other. In fact, there is a risk that. What Is Avascular Necrosis Of Scaphoid.
From www.schreibermd.com
Scaphoid Fracture Raleigh Hand Surgery — Joseph J. Schreiber, MD What Is Avascular Necrosis Of Scaphoid Imaging tests can help pinpoint the source of pain. This technique is an attractive, minimally invasive alternative for nonunion and avascular necrosis resulting from fractures of the proximal pole of. Also called osteonecrosis, it can lead to tiny breaks. In fact, there is a risk that fractures of the proximal scaphoid will completely disrupt the blood supply, causing part of. What Is Avascular Necrosis Of Scaphoid.
From www.animalia-life.club
Scaphoid Fracture Avascular Necrosis What Is Avascular Necrosis Of Scaphoid Some 10% of scaphoid fractures have associated fractures of other. Avascular necrosis (avn) is the death of bone tissue due to a lack of blood. There may be poor retrograde blood flow from the distal to the proximal scaphoid. Avascular necrosis (avn) of the scaphoid predominantly occurs in the proximal. Scaphoid is the bone of the wrist most frequently fractured.. What Is Avascular Necrosis Of Scaphoid.
From www.animalia-life.club
Scaphoid Fracture Avascular Necrosis What Is Avascular Necrosis Of Scaphoid Avascular necrosis (avn) of the scaphoid predominantly occurs in the proximal. Many conditions can cause joint pain. Scaphoid is the bone of the wrist most frequently fractured. In fact, there is a risk that fractures of the proximal scaphoid will completely disrupt the blood supply, causing part of the scaphoid to necrose, or die. This technique is an attractive, minimally. What Is Avascular Necrosis Of Scaphoid.
From www.learningradiology.com
LearningRadiology Avascular Necrosis Scaphoid, AVN, navicular What Is Avascular Necrosis Of Scaphoid Avascular necrosis is the death of bone tissue due to a lack of blood supply. Some 10% of scaphoid fractures have associated fractures of other. Avascular necrosis (avn) of the scaphoid predominantly occurs in the proximal. There may be poor retrograde blood flow from the distal to the proximal scaphoid. In fact, there is a risk that fractures of the. What Is Avascular Necrosis Of Scaphoid.
From radiopaedia.org
Scaphoid fracture and avascular necrosis Image What Is Avascular Necrosis Of Scaphoid In fact, there is a risk that fractures of the proximal scaphoid will completely disrupt the blood supply, causing part of the scaphoid to necrose, or die. Avascular necrosis is the death of bone tissue due to a lack of blood supply. Some 10% of scaphoid fractures have associated fractures of other. This technique is an attractive, minimally invasive alternative. What Is Avascular Necrosis Of Scaphoid.
From www.animalia-life.club
Scaphoid Fracture Avascular Necrosis What Is Avascular Necrosis Of Scaphoid Some 10% of scaphoid fractures have associated fractures of other. Avascular necrosis (avn) is the death of bone tissue due to a lack of blood. In fact, there is a risk that fractures of the proximal scaphoid will completely disrupt the blood supply, causing part of the scaphoid to necrose, or die. Also called osteonecrosis, it can lead to tiny. What Is Avascular Necrosis Of Scaphoid.
From radiopaedia.org
Scaphoid avascular necrosis Image What Is Avascular Necrosis Of Scaphoid Many conditions can cause joint pain. Imaging tests can help pinpoint the source of pain. Also called osteonecrosis, it can lead to tiny breaks. Some 10% of scaphoid fractures have associated fractures of other. Scaphoid is the bone of the wrist most frequently fractured. Avascular necrosis (avn) is the death of bone tissue due to a lack of blood. Avascular. What Is Avascular Necrosis Of Scaphoid.
From radiologycases.my
Avascular necrosis of scaphoid bone Radiology Cases What Is Avascular Necrosis Of Scaphoid Many conditions can cause joint pain. In fact, there is a risk that fractures of the proximal scaphoid will completely disrupt the blood supply, causing part of the scaphoid to necrose, or die. Imaging tests can help pinpoint the source of pain. Also called osteonecrosis, it can lead to tiny breaks. Avascular necrosis (avn) of the scaphoid predominantly occurs in. What Is Avascular Necrosis Of Scaphoid.
From www.svuhradiology.ie
Scaphoid AVN CT Radiology at St. Vincent's University Hospital What Is Avascular Necrosis Of Scaphoid Avascular necrosis (avn) of the scaphoid predominantly occurs in the proximal. Avascular necrosis (avn) is the death of bone tissue due to a lack of blood. Also called osteonecrosis, it can lead to tiny breaks. There may be poor retrograde blood flow from the distal to the proximal scaphoid. Avascular necrosis is the death of bone tissue due to a. What Is Avascular Necrosis Of Scaphoid.
From mungfali.com
Scaphoid Fracture Avascular Necrosis What Is Avascular Necrosis Of Scaphoid Avascular necrosis (avn) of the scaphoid predominantly occurs in the proximal. Scaphoid is the bone of the wrist most frequently fractured. Also called osteonecrosis, it can lead to tiny breaks. Avascular necrosis is the death of bone tissue due to a lack of blood supply. There may be poor retrograde blood flow from the distal to the proximal scaphoid. Many. What Is Avascular Necrosis Of Scaphoid.
From www.schreibermd.com
Scaphoid Fracture Raleigh Hand Surgery — Joseph J. Schreiber, MD What Is Avascular Necrosis Of Scaphoid There may be poor retrograde blood flow from the distal to the proximal scaphoid. Many conditions can cause joint pain. This technique is an attractive, minimally invasive alternative for nonunion and avascular necrosis resulting from fractures of the proximal pole of. Also called osteonecrosis, it can lead to tiny breaks. Avascular necrosis is the death of bone tissue due to. What Is Avascular Necrosis Of Scaphoid.
From boneandjoint.org.uk
Avascular necrosis of the scaphoid in children treated by splint What Is Avascular Necrosis Of Scaphoid Also called osteonecrosis, it can lead to tiny breaks. Many conditions can cause joint pain. There may be poor retrograde blood flow from the distal to the proximal scaphoid. This technique is an attractive, minimally invasive alternative for nonunion and avascular necrosis resulting from fractures of the proximal pole of. Avascular necrosis is the death of bone tissue due to. What Is Avascular Necrosis Of Scaphoid.
From www.semanticscholar.org
Figure 1 from Idiopathic avascular necrosis of the scaphoid. Semantic What Is Avascular Necrosis Of Scaphoid Imaging tests can help pinpoint the source of pain. There may be poor retrograde blood flow from the distal to the proximal scaphoid. Some 10% of scaphoid fractures have associated fractures of other. Avascular necrosis (avn) of the scaphoid predominantly occurs in the proximal. Also called osteonecrosis, it can lead to tiny breaks. Avascular necrosis is the death of bone. What Is Avascular Necrosis Of Scaphoid.
From www.semanticscholar.org
Figure 3 from Simultaneous Avascular Necrosis of the Lunate and What Is Avascular Necrosis Of Scaphoid Avascular necrosis is the death of bone tissue due to a lack of blood supply. Many conditions can cause joint pain. This technique is an attractive, minimally invasive alternative for nonunion and avascular necrosis resulting from fractures of the proximal pole of. Some 10% of scaphoid fractures have associated fractures of other. Also called osteonecrosis, it can lead to tiny. What Is Avascular Necrosis Of Scaphoid.
From radiopaedia.org
Scaphoid avascular necrosis with undisplaced pisiform fracture Image What Is Avascular Necrosis Of Scaphoid There may be poor retrograde blood flow from the distal to the proximal scaphoid. Also called osteonecrosis, it can lead to tiny breaks. Some 10% of scaphoid fractures have associated fractures of other. Imaging tests can help pinpoint the source of pain. Scaphoid is the bone of the wrist most frequently fractured. Many conditions can cause joint pain. Avascular necrosis. What Is Avascular Necrosis Of Scaphoid.
From radiologyimages.blogspot.com
Daily Dose Avascular necrosis of scaphoid What Is Avascular Necrosis Of Scaphoid This technique is an attractive, minimally invasive alternative for nonunion and avascular necrosis resulting from fractures of the proximal pole of. In fact, there is a risk that fractures of the proximal scaphoid will completely disrupt the blood supply, causing part of the scaphoid to necrose, or die. Many conditions can cause joint pain. Some 10% of scaphoid fractures have. What Is Avascular Necrosis Of Scaphoid.
From www.animalia-life.club
Scaphoid Fracture Avascular Necrosis What Is Avascular Necrosis Of Scaphoid Avascular necrosis (avn) of the scaphoid predominantly occurs in the proximal. Avascular necrosis is the death of bone tissue due to a lack of blood supply. This technique is an attractive, minimally invasive alternative for nonunion and avascular necrosis resulting from fractures of the proximal pole of. Scaphoid is the bone of the wrist most frequently fractured. Also called osteonecrosis,. What Is Avascular Necrosis Of Scaphoid.
From www.animalia-life.club
Scaphoid Fracture Avascular Necrosis What Is Avascular Necrosis Of Scaphoid Scaphoid is the bone of the wrist most frequently fractured. Avascular necrosis is the death of bone tissue due to a lack of blood supply. Imaging tests can help pinpoint the source of pain. There may be poor retrograde blood flow from the distal to the proximal scaphoid. Many conditions can cause joint pain. Avascular necrosis (avn) of the scaphoid. What Is Avascular Necrosis Of Scaphoid.
From learningradiology.com
LearningRadiology What Is Avascular Necrosis Of Scaphoid This technique is an attractive, minimally invasive alternative for nonunion and avascular necrosis resulting from fractures of the proximal pole of. There may be poor retrograde blood flow from the distal to the proximal scaphoid. Avascular necrosis is the death of bone tissue due to a lack of blood supply. Imaging tests can help pinpoint the source of pain. Many. What Is Avascular Necrosis Of Scaphoid.
From www.animalia-life.club
Scaphoid Fracture Avascular Necrosis What Is Avascular Necrosis Of Scaphoid Some 10% of scaphoid fractures have associated fractures of other. Scaphoid is the bone of the wrist most frequently fractured. This technique is an attractive, minimally invasive alternative for nonunion and avascular necrosis resulting from fractures of the proximal pole of. In fact, there is a risk that fractures of the proximal scaphoid will completely disrupt the blood supply, causing. What Is Avascular Necrosis Of Scaphoid.
From boneandjoint.org.uk
Avascular necrosis of the scaphoid in children treated by splint What Is Avascular Necrosis Of Scaphoid In fact, there is a risk that fractures of the proximal scaphoid will completely disrupt the blood supply, causing part of the scaphoid to necrose, or die. Scaphoid is the bone of the wrist most frequently fractured. There may be poor retrograde blood flow from the distal to the proximal scaphoid. Avascular necrosis is the death of bone tissue due. What Is Avascular Necrosis Of Scaphoid.
From mungfali.com
Scaphoid Fracture Avascular Necrosis What Is Avascular Necrosis Of Scaphoid Avascular necrosis (avn) is the death of bone tissue due to a lack of blood. Some 10% of scaphoid fractures have associated fractures of other. There may be poor retrograde blood flow from the distal to the proximal scaphoid. This technique is an attractive, minimally invasive alternative for nonunion and avascular necrosis resulting from fractures of the proximal pole of.. What Is Avascular Necrosis Of Scaphoid.