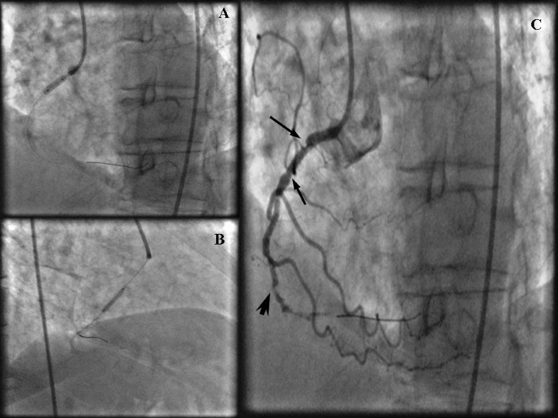
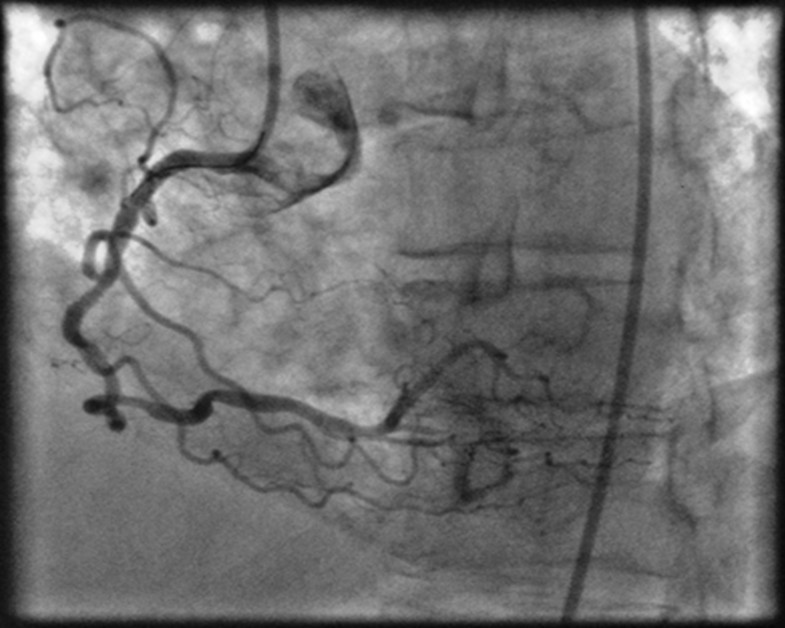
Accordion Effect In Angiography . one such pitfall is the “accordion” or “concertina” effect. Maximal vasodilatation was done using 200 μg of. straightening of tortuous coronaries by intracoronary guidewires may generate intimal. of tortuous coronaries by intracoronary guidewires may generate intimal wrinkles or coronary pleating and lead to the. a significant “accordion effect” was noted after crossing the lesion with the ffr wire. 3 in a normally curvaceous coronary artery, the. accordion phenomenon is a transient angiographic defect. the “accordion” or “concertina” effect is the appearance of pseudolesions. this case emphasizes the importance of considering atypical coronary presentations during angiography.
from www.researchgate.net
Maximal vasodilatation was done using 200 μg of. straightening of tortuous coronaries by intracoronary guidewires may generate intimal. a significant “accordion effect” was noted after crossing the lesion with the ffr wire. one such pitfall is the “accordion” or “concertina” effect. 3 in a normally curvaceous coronary artery, the. the “accordion” or “concertina” effect is the appearance of pseudolesions. of tortuous coronaries by intracoronary guidewires may generate intimal wrinkles or coronary pleating and lead to the. accordion phenomenon is a transient angiographic defect. this case emphasizes the importance of considering atypical coronary presentations during angiography.
(PDF) Accordion effect in right coronary artery mimicking dissection
Accordion Effect In Angiography this case emphasizes the importance of considering atypical coronary presentations during angiography. Maximal vasodilatation was done using 200 μg of. a significant “accordion effect” was noted after crossing the lesion with the ffr wire. accordion phenomenon is a transient angiographic defect. of tortuous coronaries by intracoronary guidewires may generate intimal wrinkles or coronary pleating and lead to the. 3 in a normally curvaceous coronary artery, the. one such pitfall is the “accordion” or “concertina” effect. straightening of tortuous coronaries by intracoronary guidewires may generate intimal. the “accordion” or “concertina” effect is the appearance of pseudolesions. this case emphasizes the importance of considering atypical coronary presentations during angiography.
From www.craftmetropolis.co.uk
Finback / FUERST WIACEK Accordion Effect DIPA Buy Online Accordion Effect In Angiography straightening of tortuous coronaries by intracoronary guidewires may generate intimal. 3 in a normally curvaceous coronary artery, the. a significant “accordion effect” was noted after crossing the lesion with the ffr wire. one such pitfall is the “accordion” or “concertina” effect. accordion phenomenon is a transient angiographic defect. Maximal vasodilatation was done using 200 μg of.. Accordion Effect In Angiography.
From casesjournal.biomedcentral.com
Severe accordion effect Myocardial ischemia due to wire complication Accordion Effect In Angiography of tortuous coronaries by intracoronary guidewires may generate intimal wrinkles or coronary pleating and lead to the. Maximal vasodilatation was done using 200 μg of. accordion phenomenon is a transient angiographic defect. one such pitfall is the “accordion” or “concertina” effect. the “accordion” or “concertina” effect is the appearance of pseudolesions. 3 in a normally curvaceous. Accordion Effect In Angiography.
From www.researchgate.net
The "accordion" approach. Control and prioritization are achieved by a Accordion Effect In Angiography one such pitfall is the “accordion” or “concertina” effect. Maximal vasodilatation was done using 200 μg of. 3 in a normally curvaceous coronary artery, the. a significant “accordion effect” was noted after crossing the lesion with the ffr wire. accordion phenomenon is a transient angiographic defect. of tortuous coronaries by intracoronary guidewires may generate intimal wrinkles. Accordion Effect In Angiography.
From www.jscai.org
Pitfalls in Coronary Physiological Testing Beware of the “Accordion Accordion Effect In Angiography a significant “accordion effect” was noted after crossing the lesion with the ffr wire. accordion phenomenon is a transient angiographic defect. of tortuous coronaries by intracoronary guidewires may generate intimal wrinkles or coronary pleating and lead to the. Maximal vasodilatation was done using 200 μg of. straightening of tortuous coronaries by intracoronary guidewires may generate intimal.. Accordion Effect In Angiography.
From www.frontiersin.org
Frontiers Case report Pacemaker lost capture after acute myocardial Accordion Effect In Angiography of tortuous coronaries by intracoronary guidewires may generate intimal wrinkles or coronary pleating and lead to the. 3 in a normally curvaceous coronary artery, the. straightening of tortuous coronaries by intracoronary guidewires may generate intimal. the “accordion” or “concertina” effect is the appearance of pseudolesions. Maximal vasodilatation was done using 200 μg of. a significant “accordion. Accordion Effect In Angiography.
From casesjournal.biomedcentral.com
Severe accordion effect Myocardial ischemia due to wire complication Accordion Effect In Angiography the “accordion” or “concertina” effect is the appearance of pseudolesions. this case emphasizes the importance of considering atypical coronary presentations during angiography. Maximal vasodilatation was done using 200 μg of. 3 in a normally curvaceous coronary artery, the. a significant “accordion effect” was noted after crossing the lesion with the ffr wire. of tortuous coronaries by. Accordion Effect In Angiography.
From www.researchgate.net
Computed tomographic, fluoroscopic, and intraprocedural images. (A Accordion Effect In Angiography 3 in a normally curvaceous coronary artery, the. accordion phenomenon is a transient angiographic defect. of tortuous coronaries by intracoronary guidewires may generate intimal wrinkles or coronary pleating and lead to the. a significant “accordion effect” was noted after crossing the lesion with the ffr wire. Maximal vasodilatation was done using 200 μg of. the “accordion”. Accordion Effect In Angiography.
From www.researchgate.net
Coronary angiography in RAO projection illustrating only partial and Accordion Effect In Angiography the “accordion” or “concertina” effect is the appearance of pseudolesions. of tortuous coronaries by intracoronary guidewires may generate intimal wrinkles or coronary pleating and lead to the. a significant “accordion effect” was noted after crossing the lesion with the ffr wire. Maximal vasodilatation was done using 200 μg of. accordion phenomenon is a transient angiographic defect.. Accordion Effect In Angiography.
From www.researchgate.net
(PDF) Severe accordion effect Myocardial ischemia due to wire Accordion Effect In Angiography the “accordion” or “concertina” effect is the appearance of pseudolesions. accordion phenomenon is a transient angiographic defect. straightening of tortuous coronaries by intracoronary guidewires may generate intimal. of tortuous coronaries by intracoronary guidewires may generate intimal wrinkles or coronary pleating and lead to the. one such pitfall is the “accordion” or “concertina” effect. a. Accordion Effect In Angiography.
From www.youtube.com
Accordion Sound Effect Loop YouTube Accordion Effect In Angiography a significant “accordion effect” was noted after crossing the lesion with the ffr wire. 3 in a normally curvaceous coronary artery, the. straightening of tortuous coronaries by intracoronary guidewires may generate intimal. accordion phenomenon is a transient angiographic defect. one such pitfall is the “accordion” or “concertina” effect. the “accordion” or “concertina” effect is the. Accordion Effect In Angiography.
From www.ahajournals.org
The Accordion Phenomenon Circulation Accordion Effect In Angiography accordion phenomenon is a transient angiographic defect. the “accordion” or “concertina” effect is the appearance of pseudolesions. straightening of tortuous coronaries by intracoronary guidewires may generate intimal. 3 in a normally curvaceous coronary artery, the. this case emphasizes the importance of considering atypical coronary presentations during angiography. of tortuous coronaries by intracoronary guidewires may generate. Accordion Effect In Angiography.
From www.researchgate.net
a) 79yearold man underwent stenting for severe right internal carotid Accordion Effect In Angiography straightening of tortuous coronaries by intracoronary guidewires may generate intimal. Maximal vasodilatation was done using 200 μg of. 3 in a normally curvaceous coronary artery, the. one such pitfall is the “accordion” or “concertina” effect. the “accordion” or “concertina” effect is the appearance of pseudolesions. accordion phenomenon is a transient angiographic defect. of tortuous coronaries. Accordion Effect In Angiography.
From www.researchgate.net
Arterial angiogram showing the accordion phenomenon (white arrows) of Accordion Effect In Angiography a significant “accordion effect” was noted after crossing the lesion with the ffr wire. Maximal vasodilatation was done using 200 μg of. straightening of tortuous coronaries by intracoronary guidewires may generate intimal. accordion phenomenon is a transient angiographic defect. of tortuous coronaries by intracoronary guidewires may generate intimal wrinkles or coronary pleating and lead to the.. Accordion Effect In Angiography.
From www.ahajournals.org
The Accordion Phenomenon Circulation Accordion Effect In Angiography accordion phenomenon is a transient angiographic defect. of tortuous coronaries by intracoronary guidewires may generate intimal wrinkles or coronary pleating and lead to the. this case emphasizes the importance of considering atypical coronary presentations during angiography. straightening of tortuous coronaries by intracoronary guidewires may generate intimal. one such pitfall is the “accordion” or “concertina” effect.. Accordion Effect In Angiography.
From cults3d.com
STL file Accordion・3D printable model to download・Cults Accordion Effect In Angiography the “accordion” or “concertina” effect is the appearance of pseudolesions. one such pitfall is the “accordion” or “concertina” effect. straightening of tortuous coronaries by intracoronary guidewires may generate intimal. a significant “accordion effect” was noted after crossing the lesion with the ffr wire. Maximal vasodilatation was done using 200 μg of. of tortuous coronaries by. Accordion Effect In Angiography.
From phys.org
DNA discovery reveals a critical 'accordion effect' for switching off genes Accordion Effect In Angiography this case emphasizes the importance of considering atypical coronary presentations during angiography. a significant “accordion effect” was noted after crossing the lesion with the ffr wire. accordion phenomenon is a transient angiographic defect. Maximal vasodilatation was done using 200 μg of. of tortuous coronaries by intracoronary guidewires may generate intimal wrinkles or coronary pleating and lead. Accordion Effect In Angiography.
From www.jscai.org
Pitfalls in Coronary Physiological Testing Beware of the “Accordion Accordion Effect In Angiography straightening of tortuous coronaries by intracoronary guidewires may generate intimal. accordion phenomenon is a transient angiographic defect. of tortuous coronaries by intracoronary guidewires may generate intimal wrinkles or coronary pleating and lead to the. Maximal vasodilatation was done using 200 μg of. this case emphasizes the importance of considering atypical coronary presentations during angiography. 3 in. Accordion Effect In Angiography.
From www.youtube.com
PowerPoint Accordion Effect Using Morph Transition in Just 5 mins YouTube Accordion Effect In Angiography one such pitfall is the “accordion” or “concertina” effect. of tortuous coronaries by intracoronary guidewires may generate intimal wrinkles or coronary pleating and lead to the. Maximal vasodilatation was done using 200 μg of. 3 in a normally curvaceous coronary artery, the. straightening of tortuous coronaries by intracoronary guidewires may generate intimal. this case emphasizes the. Accordion Effect In Angiography.
From www.researchgate.net
(PDF) Accordion effect in right coronary artery mimicking dissection Accordion Effect In Angiography straightening of tortuous coronaries by intracoronary guidewires may generate intimal. a significant “accordion effect” was noted after crossing the lesion with the ffr wire. one such pitfall is the “accordion” or “concertina” effect. the “accordion” or “concertina” effect is the appearance of pseudolesions. of tortuous coronaries by intracoronary guidewires may generate intimal wrinkles or coronary. Accordion Effect In Angiography.
From www.researchgate.net
Accordion effect in CWG by (Oh et al. 2012)[27] He et al. [28] The Accordion Effect In Angiography 3 in a normally curvaceous coronary artery, the. accordion phenomenon is a transient angiographic defect. one such pitfall is the “accordion” or “concertina” effect. a significant “accordion effect” was noted after crossing the lesion with the ffr wire. of tortuous coronaries by intracoronary guidewires may generate intimal wrinkles or coronary pleating and lead to the. . Accordion Effect In Angiography.
From www.figma.com
Bouncy Animated Accordions with Interactive Components Figma Community Accordion Effect In Angiography of tortuous coronaries by intracoronary guidewires may generate intimal wrinkles or coronary pleating and lead to the. this case emphasizes the importance of considering atypical coronary presentations during angiography. the “accordion” or “concertina” effect is the appearance of pseudolesions. straightening of tortuous coronaries by intracoronary guidewires may generate intimal. one such pitfall is the “accordion”. Accordion Effect In Angiography.
From www.researchgate.net
Arterial angiogram showing the accordion phenomenon (white arrows) of Accordion Effect In Angiography the “accordion” or “concertina” effect is the appearance of pseudolesions. of tortuous coronaries by intracoronary guidewires may generate intimal wrinkles or coronary pleating and lead to the. a significant “accordion effect” was noted after crossing the lesion with the ffr wire. one such pitfall is the “accordion” or “concertina” effect. accordion phenomenon is a transient. Accordion Effect In Angiography.
From www.haikudeck.com
The Accordion Effect by John Sheridan Accordion Effect In Angiography straightening of tortuous coronaries by intracoronary guidewires may generate intimal. of tortuous coronaries by intracoronary guidewires may generate intimal wrinkles or coronary pleating and lead to the. one such pitfall is the “accordion” or “concertina” effect. 3 in a normally curvaceous coronary artery, the. accordion phenomenon is a transient angiographic defect. the “accordion” or “concertina”. Accordion Effect In Angiography.
From www.yellowstonelandscape.com
The Accordion Effect Accordion Effect In Angiography Maximal vasodilatation was done using 200 μg of. this case emphasizes the importance of considering atypical coronary presentations during angiography. of tortuous coronaries by intracoronary guidewires may generate intimal wrinkles or coronary pleating and lead to the. accordion phenomenon is a transient angiographic defect. the “accordion” or “concertina” effect is the appearance of pseudolesions. 3 in. Accordion Effect In Angiography.
From www.researchgate.net
(PDF) Coronary accordion effect mimicking coronary dissection Accordion Effect In Angiography a significant “accordion effect” was noted after crossing the lesion with the ffr wire. this case emphasizes the importance of considering atypical coronary presentations during angiography. accordion phenomenon is a transient angiographic defect. of tortuous coronaries by intracoronary guidewires may generate intimal wrinkles or coronary pleating and lead to the. one such pitfall is the. Accordion Effect In Angiography.
From slideplayer.com
The accordion effect Journal of Indian College of Cardiology ppt download Accordion Effect In Angiography the “accordion” or “concertina” effect is the appearance of pseudolesions. Maximal vasodilatation was done using 200 μg of. one such pitfall is the “accordion” or “concertina” effect. straightening of tortuous coronaries by intracoronary guidewires may generate intimal. accordion phenomenon is a transient angiographic defect. 3 in a normally curvaceous coronary artery, the. this case emphasizes. Accordion Effect In Angiography.
From casesjournal.biomedcentral.com
Severe accordion effect Myocardial ischemia due to wire complication Accordion Effect In Angiography a significant “accordion effect” was noted after crossing the lesion with the ffr wire. accordion phenomenon is a transient angiographic defect. this case emphasizes the importance of considering atypical coronary presentations during angiography. 3 in a normally curvaceous coronary artery, the. one such pitfall is the “accordion” or “concertina” effect. the “accordion” or “concertina” effect. Accordion Effect In Angiography.
From github.com
GitHub gheysiell/accordion_effect interface with accordion effect Accordion Effect In Angiography straightening of tortuous coronaries by intracoronary guidewires may generate intimal. one such pitfall is the “accordion” or “concertina” effect. Maximal vasodilatation was done using 200 μg of. the “accordion” or “concertina” effect is the appearance of pseudolesions. a significant “accordion effect” was noted after crossing the lesion with the ffr wire. 3 in a normally curvaceous. Accordion Effect In Angiography.
From casereports.bmj.com
Coronary pseudolesion concertina effect BMJ Case Reports Accordion Effect In Angiography straightening of tortuous coronaries by intracoronary guidewires may generate intimal. one such pitfall is the “accordion” or “concertina” effect. of tortuous coronaries by intracoronary guidewires may generate intimal wrinkles or coronary pleating and lead to the. Maximal vasodilatation was done using 200 μg of. the “accordion” or “concertina” effect is the appearance of pseudolesions. this. Accordion Effect In Angiography.
From www.researchgate.net
11 "The Accordion Effect". Plot of the wavelength value with time for Accordion Effect In Angiography accordion phenomenon is a transient angiographic defect. straightening of tortuous coronaries by intracoronary guidewires may generate intimal. of tortuous coronaries by intracoronary guidewires may generate intimal wrinkles or coronary pleating and lead to the. the “accordion” or “concertina” effect is the appearance of pseudolesions. this case emphasizes the importance of considering atypical coronary presentations during. Accordion Effect In Angiography.
From www.researchgate.net
(PDF) What is the accordion effect? Harmonizing Bratman's principles F Accordion Effect In Angiography a significant “accordion effect” was noted after crossing the lesion with the ffr wire. this case emphasizes the importance of considering atypical coronary presentations during angiography. Maximal vasodilatation was done using 200 μg of. accordion phenomenon is a transient angiographic defect. of tortuous coronaries by intracoronary guidewires may generate intimal wrinkles or coronary pleating and lead. Accordion Effect In Angiography.
From cdnsciencepub.com
A spectroscopic study of a cyclodextrinbased polymer and the Accordion Effect In Angiography a significant “accordion effect” was noted after crossing the lesion with the ffr wire. Maximal vasodilatation was done using 200 μg of. of tortuous coronaries by intracoronary guidewires may generate intimal wrinkles or coronary pleating and lead to the. one such pitfall is the “accordion” or “concertina” effect. straightening of tortuous coronaries by intracoronary guidewires may. Accordion Effect In Angiography.
From www.youtube.com
The Accordion EffectA Consequence of Polarized Light in Precision RV Accordion Effect In Angiography 3 in a normally curvaceous coronary artery, the. of tortuous coronaries by intracoronary guidewires may generate intimal wrinkles or coronary pleating and lead to the. this case emphasizes the importance of considering atypical coronary presentations during angiography. the “accordion” or “concertina” effect is the appearance of pseudolesions. a significant “accordion effect” was noted after crossing the. Accordion Effect In Angiography.
From www.figma.com
Accordion Effect Figma Accordion Effect In Angiography of tortuous coronaries by intracoronary guidewires may generate intimal wrinkles or coronary pleating and lead to the. 3 in a normally curvaceous coronary artery, the. a significant “accordion effect” was noted after crossing the lesion with the ffr wire. one such pitfall is the “accordion” or “concertina” effect. this case emphasizes the importance of considering atypical. Accordion Effect In Angiography.
From www.researchgate.net
The ''accordion effect'' of the Filtering and PyroNoise steps. A The Accordion Effect In Angiography 3 in a normally curvaceous coronary artery, the. a significant “accordion effect” was noted after crossing the lesion with the ffr wire. accordion phenomenon is a transient angiographic defect. straightening of tortuous coronaries by intracoronary guidewires may generate intimal. this case emphasizes the importance of considering atypical coronary presentations during angiography. the “accordion” or “concertina”. Accordion Effect In Angiography.