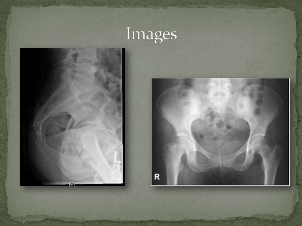
Tailbone Fracture X Ray . The coccyx anteroposterior (ap) view is used to demonstrate the coccyx, in conjunction with the sacrum and coccyx (lateral view). Commonly, coccydynia (coccygodynia) occurs after trauma and appears with normal imaging features at static neutral radiography, but dynamic imaging with standing and seated lateral radiography may reveal pathologic coccygeal motion that is predictive of pain. Often, the area around your tailbone is just bruised. But sometimes the bone itself. Most tailbone injuries are caused by a seated fall or direct blow. Although the treatment may be the same, the recovery time is longer for a.
from www.coccygectomy.org
Most tailbone injuries are caused by a seated fall or direct blow. The coccyx anteroposterior (ap) view is used to demonstrate the coccyx, in conjunction with the sacrum and coccyx (lateral view). Often, the area around your tailbone is just bruised. Although the treatment may be the same, the recovery time is longer for a. Commonly, coccydynia (coccygodynia) occurs after trauma and appears with normal imaging features at static neutral radiography, but dynamic imaging with standing and seated lateral radiography may reveal pathologic coccygeal motion that is predictive of pain. But sometimes the bone itself.
26448871PB coccygectomy, coccyx surgery, coccydynia and tailbone pain
Tailbone Fracture X Ray But sometimes the bone itself. Often, the area around your tailbone is just bruised. Commonly, coccydynia (coccygodynia) occurs after trauma and appears with normal imaging features at static neutral radiography, but dynamic imaging with standing and seated lateral radiography may reveal pathologic coccygeal motion that is predictive of pain. The coccyx anteroposterior (ap) view is used to demonstrate the coccyx, in conjunction with the sacrum and coccyx (lateral view). But sometimes the bone itself. Most tailbone injuries are caused by a seated fall or direct blow. Although the treatment may be the same, the recovery time is longer for a.
From radiopaedia.org
Coccygeal fracture Image Tailbone Fracture X Ray The coccyx anteroposterior (ap) view is used to demonstrate the coccyx, in conjunction with the sacrum and coccyx (lateral view). Most tailbone injuries are caused by a seated fall or direct blow. Although the treatment may be the same, the recovery time is longer for a. Often, the area around your tailbone is just bruised. Commonly, coccydynia (coccygodynia) occurs after. Tailbone Fracture X Ray.
From pubs.rsna.org
Imaging Coccygeal Trauma and Coccydynia RadioGraphics Tailbone Fracture X Ray Often, the area around your tailbone is just bruised. But sometimes the bone itself. Although the treatment may be the same, the recovery time is longer for a. The coccyx anteroposterior (ap) view is used to demonstrate the coccyx, in conjunction with the sacrum and coccyx (lateral view). Commonly, coccydynia (coccygodynia) occurs after trauma and appears with normal imaging features. Tailbone Fracture X Ray.
From radiopaedia.org
Image Tailbone Fracture X Ray Often, the area around your tailbone is just bruised. Commonly, coccydynia (coccygodynia) occurs after trauma and appears with normal imaging features at static neutral radiography, but dynamic imaging with standing and seated lateral radiography may reveal pathologic coccygeal motion that is predictive of pain. Although the treatment may be the same, the recovery time is longer for a. Most tailbone. Tailbone Fracture X Ray.
From narodnatribuna.info
Coccyx Fracture Human Tailbone Pain Tailbone Fracture X Ray Most tailbone injuries are caused by a seated fall or direct blow. Although the treatment may be the same, the recovery time is longer for a. The coccyx anteroposterior (ap) view is used to demonstrate the coccyx, in conjunction with the sacrum and coccyx (lateral view). Commonly, coccydynia (coccygodynia) occurs after trauma and appears with normal imaging features at static. Tailbone Fracture X Ray.
From mavink.com
Coccyx Fracture X Ray Tailbone Fracture X Ray The coccyx anteroposterior (ap) view is used to demonstrate the coccyx, in conjunction with the sacrum and coccyx (lateral view). Although the treatment may be the same, the recovery time is longer for a. Most tailbone injuries are caused by a seated fall or direct blow. But sometimes the bone itself. Commonly, coccydynia (coccygodynia) occurs after trauma and appears with. Tailbone Fracture X Ray.
From pubs.rsna.org
Imaging Coccygeal Trauma and Coccydynia RadioGraphics Tailbone Fracture X Ray Often, the area around your tailbone is just bruised. The coccyx anteroposterior (ap) view is used to demonstrate the coccyx, in conjunction with the sacrum and coccyx (lateral view). But sometimes the bone itself. Most tailbone injuries are caused by a seated fall or direct blow. Although the treatment may be the same, the recovery time is longer for a.. Tailbone Fracture X Ray.
From ar.inspiredpencil.com
Coccyx Fracture Tailbone Fracture X Ray Often, the area around your tailbone is just bruised. But sometimes the bone itself. The coccyx anteroposterior (ap) view is used to demonstrate the coccyx, in conjunction with the sacrum and coccyx (lateral view). Commonly, coccydynia (coccygodynia) occurs after trauma and appears with normal imaging features at static neutral radiography, but dynamic imaging with standing and seated lateral radiography may. Tailbone Fracture X Ray.
From ar.inspiredpencil.com
Coccyx Fracture Xray Tailbone Fracture X Ray Often, the area around your tailbone is just bruised. But sometimes the bone itself. Most tailbone injuries are caused by a seated fall or direct blow. The coccyx anteroposterior (ap) view is used to demonstrate the coccyx, in conjunction with the sacrum and coccyx (lateral view). Commonly, coccydynia (coccygodynia) occurs after trauma and appears with normal imaging features at static. Tailbone Fracture X Ray.
From onlinelibrary.wiley.com
Coccyx subluxation Coccyx pain aggravated by the prone position Kumagai 2022 Journal of Tailbone Fracture X Ray Commonly, coccydynia (coccygodynia) occurs after trauma and appears with normal imaging features at static neutral radiography, but dynamic imaging with standing and seated lateral radiography may reveal pathologic coccygeal motion that is predictive of pain. But sometimes the bone itself. Most tailbone injuries are caused by a seated fall or direct blow. Although the treatment may be the same, the. Tailbone Fracture X Ray.
From www.emrap.org
HD Pelvic Fractures EMRAP Tailbone Fracture X Ray Although the treatment may be the same, the recovery time is longer for a. But sometimes the bone itself. Most tailbone injuries are caused by a seated fall or direct blow. Commonly, coccydynia (coccygodynia) occurs after trauma and appears with normal imaging features at static neutral radiography, but dynamic imaging with standing and seated lateral radiography may reveal pathologic coccygeal. Tailbone Fracture X Ray.
From www.researchgate.net
A type 1 coccyx with a posterior spicule (blue arrow). Download Scientific Diagram Tailbone Fracture X Ray Most tailbone injuries are caused by a seated fall or direct blow. Although the treatment may be the same, the recovery time is longer for a. The coccyx anteroposterior (ap) view is used to demonstrate the coccyx, in conjunction with the sacrum and coccyx (lateral view). Often, the area around your tailbone is just bruised. Commonly, coccydynia (coccygodynia) occurs after. Tailbone Fracture X Ray.
From lookfordiagnosis.com
Coccyx Tailbone Fracture X Ray But sometimes the bone itself. Most tailbone injuries are caused by a seated fall or direct blow. Commonly, coccydynia (coccygodynia) occurs after trauma and appears with normal imaging features at static neutral radiography, but dynamic imaging with standing and seated lateral radiography may reveal pathologic coccygeal motion that is predictive of pain. The coccyx anteroposterior (ap) view is used to. Tailbone Fracture X Ray.
From ar.inspiredpencil.com
Coccyx Fracture Xray Tailbone Fracture X Ray Often, the area around your tailbone is just bruised. Commonly, coccydynia (coccygodynia) occurs after trauma and appears with normal imaging features at static neutral radiography, but dynamic imaging with standing and seated lateral radiography may reveal pathologic coccygeal motion that is predictive of pain. But sometimes the bone itself. Although the treatment may be the same, the recovery time is. Tailbone Fracture X Ray.
From ar.inspiredpencil.com
Coccyx Fracture Xray Tailbone Fracture X Ray Although the treatment may be the same, the recovery time is longer for a. Often, the area around your tailbone is just bruised. The coccyx anteroposterior (ap) view is used to demonstrate the coccyx, in conjunction with the sacrum and coccyx (lateral view). But sometimes the bone itself. Most tailbone injuries are caused by a seated fall or direct blow.. Tailbone Fracture X Ray.
From ar.inspiredpencil.com
Coccyx Fracture Xray Tailbone Fracture X Ray Often, the area around your tailbone is just bruised. Commonly, coccydynia (coccygodynia) occurs after trauma and appears with normal imaging features at static neutral radiography, but dynamic imaging with standing and seated lateral radiography may reveal pathologic coccygeal motion that is predictive of pain. The coccyx anteroposterior (ap) view is used to demonstrate the coccyx, in conjunction with the sacrum. Tailbone Fracture X Ray.
From www.verywellhealth.com
Understanding Bone Fracture XRays Tailbone Fracture X Ray Most tailbone injuries are caused by a seated fall or direct blow. Often, the area around your tailbone is just bruised. The coccyx anteroposterior (ap) view is used to demonstrate the coccyx, in conjunction with the sacrum and coccyx (lateral view). Commonly, coccydynia (coccygodynia) occurs after trauma and appears with normal imaging features at static neutral radiography, but dynamic imaging. Tailbone Fracture X Ray.
From pubs.rsna.org
Imaging Coccygeal Trauma and Coccydynia RadioGraphics Tailbone Fracture X Ray Often, the area around your tailbone is just bruised. Although the treatment may be the same, the recovery time is longer for a. Most tailbone injuries are caused by a seated fall or direct blow. Commonly, coccydynia (coccygodynia) occurs after trauma and appears with normal imaging features at static neutral radiography, but dynamic imaging with standing and seated lateral radiography. Tailbone Fracture X Ray.
From pubs.rsna.org
Imaging Coccygeal Trauma and Coccydynia RadioGraphics Tailbone Fracture X Ray Commonly, coccydynia (coccygodynia) occurs after trauma and appears with normal imaging features at static neutral radiography, but dynamic imaging with standing and seated lateral radiography may reveal pathologic coccygeal motion that is predictive of pain. The coccyx anteroposterior (ap) view is used to demonstrate the coccyx, in conjunction with the sacrum and coccyx (lateral view). Often, the area around your. Tailbone Fracture X Ray.
From www.pinterest.cl
Pelvic Xray shows a tail bone (coccyx) fracture in a woman who fell on her behind. Tailbone Fracture X Ray Often, the area around your tailbone is just bruised. Commonly, coccydynia (coccygodynia) occurs after trauma and appears with normal imaging features at static neutral radiography, but dynamic imaging with standing and seated lateral radiography may reveal pathologic coccygeal motion that is predictive of pain. Most tailbone injuries are caused by a seated fall or direct blow. Although the treatment may. Tailbone Fracture X Ray.
From healthjade.com
Coccyx bone anatomy, tailbone pain, fractured tailbone & treatment Tailbone Fracture X Ray Although the treatment may be the same, the recovery time is longer for a. The coccyx anteroposterior (ap) view is used to demonstrate the coccyx, in conjunction with the sacrum and coccyx (lateral view). Often, the area around your tailbone is just bruised. But sometimes the bone itself. Commonly, coccydynia (coccygodynia) occurs after trauma and appears with normal imaging features. Tailbone Fracture X Ray.
From pubs.rsna.org
Imaging Coccygeal Trauma and Coccydynia RadioGraphics Tailbone Fracture X Ray But sometimes the bone itself. Although the treatment may be the same, the recovery time is longer for a. Commonly, coccydynia (coccygodynia) occurs after trauma and appears with normal imaging features at static neutral radiography, but dynamic imaging with standing and seated lateral radiography may reveal pathologic coccygeal motion that is predictive of pain. Most tailbone injuries are caused by. Tailbone Fracture X Ray.
From pubs.rsna.org
Imaging Coccygeal Trauma and Coccydynia RadioGraphics Tailbone Fracture X Ray But sometimes the bone itself. Often, the area around your tailbone is just bruised. Although the treatment may be the same, the recovery time is longer for a. Commonly, coccydynia (coccygodynia) occurs after trauma and appears with normal imaging features at static neutral radiography, but dynamic imaging with standing and seated lateral radiography may reveal pathologic coccygeal motion that is. Tailbone Fracture X Ray.
From fineartamerica.com
Fracture Of The Coccyx Photograph by John Bavosi/science Photo Library Fine Art America Tailbone Fracture X Ray Although the treatment may be the same, the recovery time is longer for a. Often, the area around your tailbone is just bruised. The coccyx anteroposterior (ap) view is used to demonstrate the coccyx, in conjunction with the sacrum and coccyx (lateral view). Most tailbone injuries are caused by a seated fall or direct blow. Commonly, coccydynia (coccygodynia) occurs after. Tailbone Fracture X Ray.
From www.coccygectomy.org
26448871PB coccygectomy, coccyx surgery, coccydynia and tailbone pain Tailbone Fracture X Ray Commonly, coccydynia (coccygodynia) occurs after trauma and appears with normal imaging features at static neutral radiography, but dynamic imaging with standing and seated lateral radiography may reveal pathologic coccygeal motion that is predictive of pain. Often, the area around your tailbone is just bruised. Although the treatment may be the same, the recovery time is longer for a. The coccyx. Tailbone Fracture X Ray.
From ar.inspiredpencil.com
Coccyx Fracture Xray Tailbone Fracture X Ray Often, the area around your tailbone is just bruised. Most tailbone injuries are caused by a seated fall or direct blow. Commonly, coccydynia (coccygodynia) occurs after trauma and appears with normal imaging features at static neutral radiography, but dynamic imaging with standing and seated lateral radiography may reveal pathologic coccygeal motion that is predictive of pain. But sometimes the bone. Tailbone Fracture X Ray.
From www.slideshare.net
Coccyx Fracture Tailbone Fracture X Ray The coccyx anteroposterior (ap) view is used to demonstrate the coccyx, in conjunction with the sacrum and coccyx (lateral view). Most tailbone injuries are caused by a seated fall or direct blow. Although the treatment may be the same, the recovery time is longer for a. Commonly, coccydynia (coccygodynia) occurs after trauma and appears with normal imaging features at static. Tailbone Fracture X Ray.
From www.flickr.com
Tailbone injury pain fracture MRI fused coccyx Foye Flickr Tailbone Fracture X Ray Often, the area around your tailbone is just bruised. The coccyx anteroposterior (ap) view is used to demonstrate the coccyx, in conjunction with the sacrum and coccyx (lateral view). Although the treatment may be the same, the recovery time is longer for a. Commonly, coccydynia (coccygodynia) occurs after trauma and appears with normal imaging features at static neutral radiography, but. Tailbone Fracture X Ray.
From radiopaedia.org
Image Tailbone Fracture X Ray Although the treatment may be the same, the recovery time is longer for a. Commonly, coccydynia (coccygodynia) occurs after trauma and appears with normal imaging features at static neutral radiography, but dynamic imaging with standing and seated lateral radiography may reveal pathologic coccygeal motion that is predictive of pain. The coccyx anteroposterior (ap) view is used to demonstrate the coccyx,. Tailbone Fracture X Ray.
From pubs.rsna.org
Imaging Coccygeal Trauma and Coccydynia RadioGraphics Tailbone Fracture X Ray Although the treatment may be the same, the recovery time is longer for a. Most tailbone injuries are caused by a seated fall or direct blow. Commonly, coccydynia (coccygodynia) occurs after trauma and appears with normal imaging features at static neutral radiography, but dynamic imaging with standing and seated lateral radiography may reveal pathologic coccygeal motion that is predictive of. Tailbone Fracture X Ray.
From www.semanticscholar.org
coccyx fracture Semantic Scholar Tailbone Fracture X Ray Often, the area around your tailbone is just bruised. Although the treatment may be the same, the recovery time is longer for a. Commonly, coccydynia (coccygodynia) occurs after trauma and appears with normal imaging features at static neutral radiography, but dynamic imaging with standing and seated lateral radiography may reveal pathologic coccygeal motion that is predictive of pain. Most tailbone. Tailbone Fracture X Ray.
From ar.inspiredpencil.com
Coccyx Fracture Xray Tailbone Fracture X Ray But sometimes the bone itself. Although the treatment may be the same, the recovery time is longer for a. The coccyx anteroposterior (ap) view is used to demonstrate the coccyx, in conjunction with the sacrum and coccyx (lateral view). Commonly, coccydynia (coccygodynia) occurs after trauma and appears with normal imaging features at static neutral radiography, but dynamic imaging with standing. Tailbone Fracture X Ray.
From neurorad911.org
Coccygeal Fracture. NeuroRad911 Coccygeal fracture Tailbone Fracture X Ray Most tailbone injuries are caused by a seated fall or direct blow. Although the treatment may be the same, the recovery time is longer for a. Commonly, coccydynia (coccygodynia) occurs after trauma and appears with normal imaging features at static neutral radiography, but dynamic imaging with standing and seated lateral radiography may reveal pathologic coccygeal motion that is predictive of. Tailbone Fracture X Ray.
From ar.inspiredpencil.com
Coccyx Fracture Xray Tailbone Fracture X Ray Often, the area around your tailbone is just bruised. But sometimes the bone itself. Although the treatment may be the same, the recovery time is longer for a. Commonly, coccydynia (coccygodynia) occurs after trauma and appears with normal imaging features at static neutral radiography, but dynamic imaging with standing and seated lateral radiography may reveal pathologic coccygeal motion that is. Tailbone Fracture X Ray.
From tailbonedoctor.com
MRI of Broken Tailbone, Coccyx Fracture. See what the Radiologist missed! Tailbone Doctor Tailbone Fracture X Ray But sometimes the bone itself. Commonly, coccydynia (coccygodynia) occurs after trauma and appears with normal imaging features at static neutral radiography, but dynamic imaging with standing and seated lateral radiography may reveal pathologic coccygeal motion that is predictive of pain. The coccyx anteroposterior (ap) view is used to demonstrate the coccyx, in conjunction with the sacrum and coccyx (lateral view).. Tailbone Fracture X Ray.
From www.researchgate.net
(a) Initial lateral standing coccyx xray demonstrating no... Download Scientific Diagram Tailbone Fracture X Ray Most tailbone injuries are caused by a seated fall or direct blow. The coccyx anteroposterior (ap) view is used to demonstrate the coccyx, in conjunction with the sacrum and coccyx (lateral view). Often, the area around your tailbone is just bruised. Commonly, coccydynia (coccygodynia) occurs after trauma and appears with normal imaging features at static neutral radiography, but dynamic imaging. Tailbone Fracture X Ray.