Crohn's Disease And Urinary Problems . Cystitis was the most common. People with crohn’s disease may experience overflow incontinence from kidney stones. Crohn’s disease can also cause. Has anyone ever had any urinary problems due to the crohn's? Here are seven kidney problems to watch for with crohn’s disease and ulcerative colitis. People diagnosed with crohn’s disease have a higher risk of developing kidney stones in the urinary tract than those without crohn’s, including those with ulcerative colitis. Any feedback would be so helpful. Recurrent urinary tract infection (uti) is uncommon in males, but it is a common complication of crohn’s disease (cd). Urological complications of crohn's disease are rare, often asymptomatic and present a diagnostic problem.
from greaterorlandogi.com
Urological complications of crohn's disease are rare, often asymptomatic and present a diagnostic problem. People diagnosed with crohn’s disease have a higher risk of developing kidney stones in the urinary tract than those without crohn’s, including those with ulcerative colitis. Recurrent urinary tract infection (uti) is uncommon in males, but it is a common complication of crohn’s disease (cd). People with crohn’s disease may experience overflow incontinence from kidney stones. Cystitis was the most common. Has anyone ever had any urinary problems due to the crohn's? Any feedback would be so helpful. Here are seven kidney problems to watch for with crohn’s disease and ulcerative colitis. Crohn’s disease can also cause.
Been Diagnosed With Crohn’s Disease? Gastroenterology of Greater Orlando
Crohn's Disease And Urinary Problems Any feedback would be so helpful. Here are seven kidney problems to watch for with crohn’s disease and ulcerative colitis. Any feedback would be so helpful. Crohn’s disease can also cause. Urological complications of crohn's disease are rare, often asymptomatic and present a diagnostic problem. Recurrent urinary tract infection (uti) is uncommon in males, but it is a common complication of crohn’s disease (cd). Cystitis was the most common. People with crohn’s disease may experience overflow incontinence from kidney stones. People diagnosed with crohn’s disease have a higher risk of developing kidney stones in the urinary tract than those without crohn’s, including those with ulcerative colitis. Has anyone ever had any urinary problems due to the crohn's?
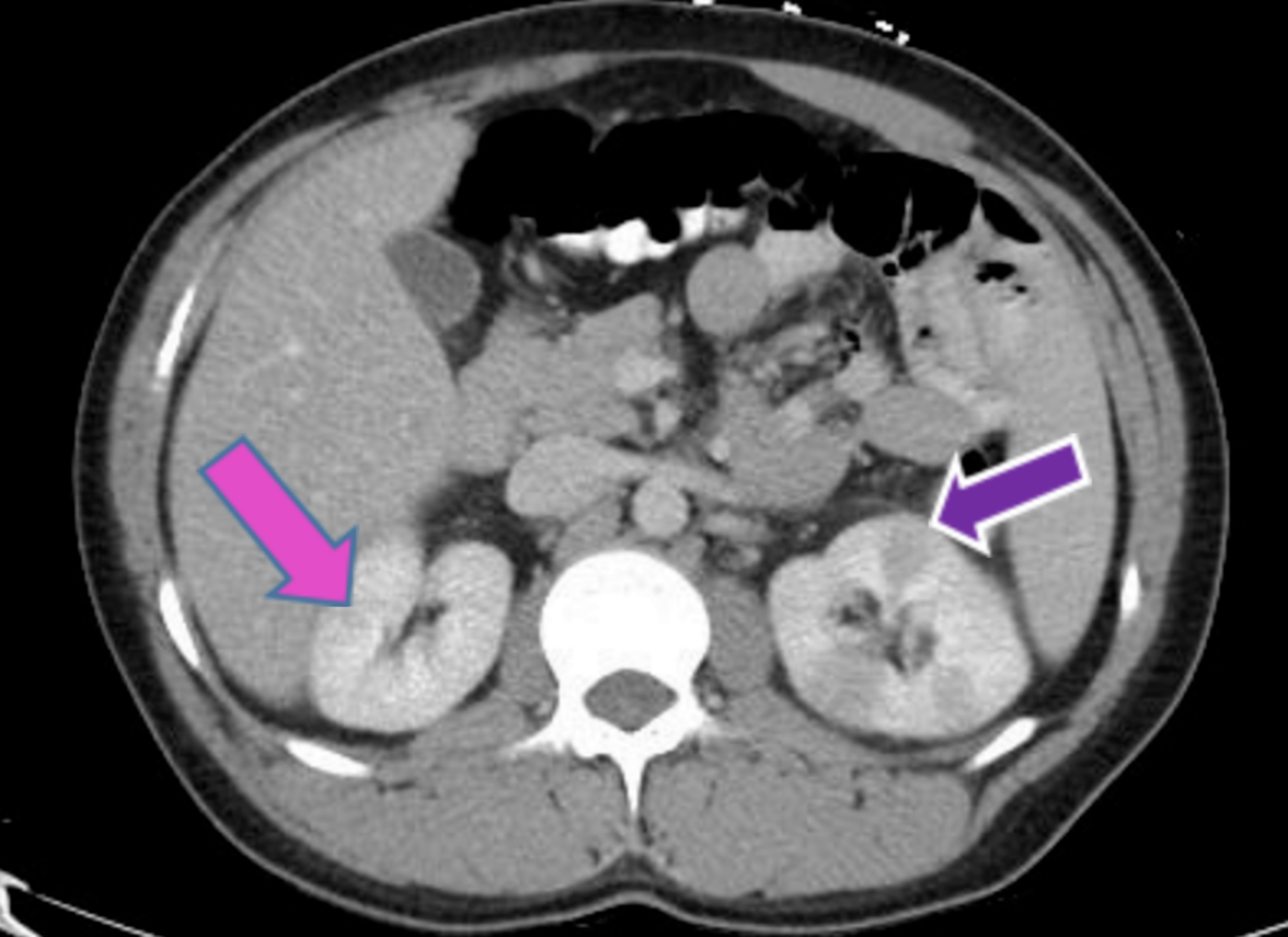
From casereports.bmj.com
Recurrent urinary tract infections in a patient with Crohn's disease Crohn's Disease And Urinary Problems Cystitis was the most common. Has anyone ever had any urinary problems due to the crohn's? People diagnosed with crohn’s disease have a higher risk of developing kidney stones in the urinary tract than those without crohn’s, including those with ulcerative colitis. Urological complications of crohn's disease are rare, often asymptomatic and present a diagnostic problem. Here are seven kidney. Crohn's Disease And Urinary Problems.
From www.health-secrets.net
Crohn's Disease Symptoms, Causes and Treatment Health Secrets and Tips Crohn's Disease And Urinary Problems Has anyone ever had any urinary problems due to the crohn's? Crohn’s disease can also cause. People diagnosed with crohn’s disease have a higher risk of developing kidney stones in the urinary tract than those without crohn’s, including those with ulcerative colitis. Urological complications of crohn's disease are rare, often asymptomatic and present a diagnostic problem. Any feedback would be. Crohn's Disease And Urinary Problems.
From adc.bmj.com
Crohn's disease presenting as bladder mass Archives of Disease in Crohn's Disease And Urinary Problems Has anyone ever had any urinary problems due to the crohn's? Recurrent urinary tract infection (uti) is uncommon in males, but it is a common complication of crohn’s disease (cd). Cystitis was the most common. People diagnosed with crohn’s disease have a higher risk of developing kidney stones in the urinary tract than those without crohn’s, including those with ulcerative. Crohn's Disease And Urinary Problems.
From www.researchgate.net
(PDF) Crohn’s Disease and Urinary Manifestations A Crohn’s Intestinal Crohn's Disease And Urinary Problems Crohn’s disease can also cause. People with crohn’s disease may experience overflow incontinence from kidney stones. Any feedback would be so helpful. People diagnosed with crohn’s disease have a higher risk of developing kidney stones in the urinary tract than those without crohn’s, including those with ulcerative colitis. Cystitis was the most common. Recurrent urinary tract infection (uti) is uncommon. Crohn's Disease And Urinary Problems.
From www.researchgate.net
(PDF) Recurrent urinary tract infections in a patient with Crohn's disease Crohn's Disease And Urinary Problems People diagnosed with crohn’s disease have a higher risk of developing kidney stones in the urinary tract than those without crohn’s, including those with ulcerative colitis. Any feedback would be so helpful. Cystitis was the most common. Crohn’s disease can also cause. Recurrent urinary tract infection (uti) is uncommon in males, but it is a common complication of crohn’s disease. Crohn's Disease And Urinary Problems.
From ghealth121.com
Crohn's Disease Causes, Symptoms, Diagnosis & Treatment options Crohn's Disease And Urinary Problems Any feedback would be so helpful. Cystitis was the most common. Here are seven kidney problems to watch for with crohn’s disease and ulcerative colitis. Crohn’s disease can also cause. People diagnosed with crohn’s disease have a higher risk of developing kidney stones in the urinary tract than those without crohn’s, including those with ulcerative colitis. Urological complications of crohn's. Crohn's Disease And Urinary Problems.
From www.osmosis.org
Nephrolithiasis What Is It, Types, Signs and Symptoms, Diagnosis Crohn's Disease And Urinary Problems Crohn’s disease can also cause. Any feedback would be so helpful. Cystitis was the most common. Recurrent urinary tract infection (uti) is uncommon in males, but it is a common complication of crohn’s disease (cd). Urological complications of crohn's disease are rare, often asymptomatic and present a diagnostic problem. People diagnosed with crohn’s disease have a higher risk of developing. Crohn's Disease And Urinary Problems.
From www.pristyncare.com
Common Signs and Symptoms of Urinary Disorders Pristyn Care Crohn's Disease And Urinary Problems Recurrent urinary tract infection (uti) is uncommon in males, but it is a common complication of crohn’s disease (cd). Cystitis was the most common. People diagnosed with crohn’s disease have a higher risk of developing kidney stones in the urinary tract than those without crohn’s, including those with ulcerative colitis. Here are seven kidney problems to watch for with crohn’s. Crohn's Disease And Urinary Problems.
From www.pinterest.ch
Complications and Conditions Caused By Crohn’s Disease Crohns disease Crohn's Disease And Urinary Problems Has anyone ever had any urinary problems due to the crohn's? Here are seven kidney problems to watch for with crohn’s disease and ulcerative colitis. People with crohn’s disease may experience overflow incontinence from kidney stones. People diagnosed with crohn’s disease have a higher risk of developing kidney stones in the urinary tract than those without crohn’s, including those with. Crohn's Disease And Urinary Problems.
From leaderland.academy
Crohn's Disease Symptoms, Causes, Complications Prevention, 40 OFF Crohn's Disease And Urinary Problems People with crohn’s disease may experience overflow incontinence from kidney stones. Cystitis was the most common. Recurrent urinary tract infection (uti) is uncommon in males, but it is a common complication of crohn’s disease (cd). People diagnosed with crohn’s disease have a higher risk of developing kidney stones in the urinary tract than those without crohn’s, including those with ulcerative. Crohn's Disease And Urinary Problems.
From www.verywellhealth.com
Crohn's Disease Signs and Symptoms Crohn's Disease And Urinary Problems Recurrent urinary tract infection (uti) is uncommon in males, but it is a common complication of crohn’s disease (cd). Here are seven kidney problems to watch for with crohn’s disease and ulcerative colitis. Urological complications of crohn's disease are rare, often asymptomatic and present a diagnostic problem. People with crohn’s disease may experience overflow incontinence from kidney stones. People diagnosed. Crohn's Disease And Urinary Problems.
From www.verywellhealth.com
Urinary Tract Infections Symptoms and Complications Crohn's Disease And Urinary Problems Any feedback would be so helpful. Recurrent urinary tract infection (uti) is uncommon in males, but it is a common complication of crohn’s disease (cd). Urological complications of crohn's disease are rare, often asymptomatic and present a diagnostic problem. Here are seven kidney problems to watch for with crohn’s disease and ulcerative colitis. People with crohn’s disease may experience overflow. Crohn's Disease And Urinary Problems.
From deal.town
3 Key Differences Between Crohn's Disease and Ulcerative Colitis Crohn's Disease And Urinary Problems Here are seven kidney problems to watch for with crohn’s disease and ulcerative colitis. Has anyone ever had any urinary problems due to the crohn's? Recurrent urinary tract infection (uti) is uncommon in males, but it is a common complication of crohn’s disease (cd). People diagnosed with crohn’s disease have a higher risk of developing kidney stones in the urinary. Crohn's Disease And Urinary Problems.
From www.cureus.com
Cureus Recurrent Urinary Tract Infection in a Patient With Crohn's Disease And Urinary Problems Has anyone ever had any urinary problems due to the crohn's? Cystitis was the most common. People diagnosed with crohn’s disease have a higher risk of developing kidney stones in the urinary tract than those without crohn’s, including those with ulcerative colitis. Recurrent urinary tract infection (uti) is uncommon in males, but it is a common complication of crohn’s disease. Crohn's Disease And Urinary Problems.
From joizwrtvu.blob.core.windows.net
What Tests Are Done To Diagnose Crohn's Disease at Kathleen Sullivan blog Crohn's Disease And Urinary Problems Crohn’s disease can also cause. Has anyone ever had any urinary problems due to the crohn's? Here are seven kidney problems to watch for with crohn’s disease and ulcerative colitis. Urological complications of crohn's disease are rare, often asymptomatic and present a diagnostic problem. People diagnosed with crohn’s disease have a higher risk of developing kidney stones in the urinary. Crohn's Disease And Urinary Problems.
From www.youtube.com
Crohn's Disease Pathophysiology, Symptoms, Risk factors, Diagnosis and Crohn's Disease And Urinary Problems Crohn’s disease can also cause. Urological complications of crohn's disease are rare, often asymptomatic and present a diagnostic problem. People with crohn’s disease may experience overflow incontinence from kidney stones. People diagnosed with crohn’s disease have a higher risk of developing kidney stones in the urinary tract than those without crohn’s, including those with ulcerative colitis. Has anyone ever had. Crohn's Disease And Urinary Problems.
From ecosh.com
CROHN'S DISEASE Symptoms, Causes, Risk Factors, Crohn’s Disease Diet Crohn's Disease And Urinary Problems Cystitis was the most common. Has anyone ever had any urinary problems due to the crohn's? Any feedback would be so helpful. Urological complications of crohn's disease are rare, often asymptomatic and present a diagnostic problem. Here are seven kidney problems to watch for with crohn’s disease and ulcerative colitis. Recurrent urinary tract infection (uti) is uncommon in males, but. Crohn's Disease And Urinary Problems.
From www.powerofpositivity.com
5 Early Warning Signs of Crohn's Disease Crohn's Disease And Urinary Problems People diagnosed with crohn’s disease have a higher risk of developing kidney stones in the urinary tract than those without crohn’s, including those with ulcerative colitis. Cystitis was the most common. Any feedback would be so helpful. Recurrent urinary tract infection (uti) is uncommon in males, but it is a common complication of crohn’s disease (cd). Has anyone ever had. Crohn's Disease And Urinary Problems.
From genegut.eu
Crohn's Disease GENEGUT Crohn's Disease And Urinary Problems Crohn’s disease can also cause. People diagnosed with crohn’s disease have a higher risk of developing kidney stones in the urinary tract than those without crohn’s, including those with ulcerative colitis. Cystitis was the most common. People with crohn’s disease may experience overflow incontinence from kidney stones. Here are seven kidney problems to watch for with crohn’s disease and ulcerative. Crohn's Disease And Urinary Problems.
From drjockers.com
Crohn’s Disease Symptoms, Causes and Support Strategies Crohn's Disease And Urinary Problems Any feedback would be so helpful. Here are seven kidney problems to watch for with crohn’s disease and ulcerative colitis. Crohn’s disease can also cause. Urological complications of crohn's disease are rare, often asymptomatic and present a diagnostic problem. Has anyone ever had any urinary problems due to the crohn's? Cystitis was the most common. Recurrent urinary tract infection (uti). Crohn's Disease And Urinary Problems.
From www.cureus.com
Cureus Recurrent Urinary Tract Infection in a Patient With Crohn's Disease And Urinary Problems Cystitis was the most common. People with crohn’s disease may experience overflow incontinence from kidney stones. Has anyone ever had any urinary problems due to the crohn's? People diagnosed with crohn’s disease have a higher risk of developing kidney stones in the urinary tract than those without crohn’s, including those with ulcerative colitis. Crohn’s disease can also cause. Urological complications. Crohn's Disease And Urinary Problems.
From greaterorlandogi.com
Been Diagnosed With Crohn’s Disease? Gastroenterology of Greater Orlando Crohn's Disease And Urinary Problems Cystitis was the most common. Has anyone ever had any urinary problems due to the crohn's? People with crohn’s disease may experience overflow incontinence from kidney stones. Recurrent urinary tract infection (uti) is uncommon in males, but it is a common complication of crohn’s disease (cd). Here are seven kidney problems to watch for with crohn’s disease and ulcerative colitis.. Crohn's Disease And Urinary Problems.
From healthlibrary.askapollo.com
What is Crohn’s disease? Causes and Symptoms and Risk Factors Crohn's Disease And Urinary Problems Cystitis was the most common. People with crohn’s disease may experience overflow incontinence from kidney stones. Any feedback would be so helpful. Has anyone ever had any urinary problems due to the crohn's? Here are seven kidney problems to watch for with crohn’s disease and ulcerative colitis. People diagnosed with crohn’s disease have a higher risk of developing kidney stones. Crohn's Disease And Urinary Problems.
From www.pacehospital.com
Crohn's Disease Symptoms, Causes, Complications & Prevention Crohn's Disease And Urinary Problems Any feedback would be so helpful. People with crohn’s disease may experience overflow incontinence from kidney stones. Has anyone ever had any urinary problems due to the crohn's? Recurrent urinary tract infection (uti) is uncommon in males, but it is a common complication of crohn’s disease (cd). Urological complications of crohn's disease are rare, often asymptomatic and present a diagnostic. Crohn's Disease And Urinary Problems.
From www.cureus.com
Cureus Recurrent Urinary Tract Infection in a Patient With Crohn's Disease And Urinary Problems Crohn’s disease can also cause. People diagnosed with crohn’s disease have a higher risk of developing kidney stones in the urinary tract than those without crohn’s, including those with ulcerative colitis. Cystitis was the most common. Has anyone ever had any urinary problems due to the crohn's? Recurrent urinary tract infection (uti) is uncommon in males, but it is a. Crohn's Disease And Urinary Problems.
From www.cureus.com
Cureus Recurrent Urinary Tract Infection in a Patient With Crohn's Disease And Urinary Problems Crohn’s disease can also cause. Has anyone ever had any urinary problems due to the crohn's? Urological complications of crohn's disease are rare, often asymptomatic and present a diagnostic problem. People with crohn’s disease may experience overflow incontinence from kidney stones. Here are seven kidney problems to watch for with crohn’s disease and ulcerative colitis. Recurrent urinary tract infection (uti). Crohn's Disease And Urinary Problems.
From www.msdmanuals.com
Crohn Disease Gastrointestinal Disorders MSD Manual Professional Crohn's Disease And Urinary Problems Recurrent urinary tract infection (uti) is uncommon in males, but it is a common complication of crohn’s disease (cd). Cystitis was the most common. Crohn’s disease can also cause. Here are seven kidney problems to watch for with crohn’s disease and ulcerative colitis. People diagnosed with crohn’s disease have a higher risk of developing kidney stones in the urinary tract. Crohn's Disease And Urinary Problems.
From www.quibd.com
Crohn's Disease IBD Symptoms Advances Impact Causes Crohn's Disease And Urinary Problems Urological complications of crohn's disease are rare, often asymptomatic and present a diagnostic problem. Cystitis was the most common. Recurrent urinary tract infection (uti) is uncommon in males, but it is a common complication of crohn’s disease (cd). People with crohn’s disease may experience overflow incontinence from kidney stones. Here are seven kidney problems to watch for with crohn’s disease. Crohn's Disease And Urinary Problems.
From www.researchgate.net
(PDF) Diagnosis and Treatment of Urinary Tract Complication in Crohn’s Crohn's Disease And Urinary Problems Here are seven kidney problems to watch for with crohn’s disease and ulcerative colitis. Urological complications of crohn's disease are rare, often asymptomatic and present a diagnostic problem. Has anyone ever had any urinary problems due to the crohn's? Crohn’s disease can also cause. Recurrent urinary tract infection (uti) is uncommon in males, but it is a common complication of. Crohn's Disease And Urinary Problems.
From www.cureus.com
Cureus Recurrent Urinary Tract Infection in a Patient With Crohn's Disease And Urinary Problems Cystitis was the most common. Crohn’s disease can also cause. Urological complications of crohn's disease are rare, often asymptomatic and present a diagnostic problem. People with crohn’s disease may experience overflow incontinence from kidney stones. Here are seven kidney problems to watch for with crohn’s disease and ulcerative colitis. Any feedback would be so helpful. People diagnosed with crohn’s disease. Crohn's Disease And Urinary Problems.
From www.youtube.com
Crohn's disease Symptoms, pathophysiology, diagnosis, treatment Crohn's Disease And Urinary Problems Here are seven kidney problems to watch for with crohn’s disease and ulcerative colitis. Any feedback would be so helpful. Urological complications of crohn's disease are rare, often asymptomatic and present a diagnostic problem. Cystitis was the most common. People diagnosed with crohn’s disease have a higher risk of developing kidney stones in the urinary tract than those without crohn’s,. Crohn's Disease And Urinary Problems.
From www.drugwatch.com
Crohn’s Disease Causes, Symptoms, Diagnosis, Treatment Crohn's Disease And Urinary Problems Has anyone ever had any urinary problems due to the crohn's? Recurrent urinary tract infection (uti) is uncommon in males, but it is a common complication of crohn’s disease (cd). People diagnosed with crohn’s disease have a higher risk of developing kidney stones in the urinary tract than those without crohn’s, including those with ulcerative colitis. Urological complications of crohn's. Crohn's Disease And Urinary Problems.
From www.quibd.com
Differences Between Crohn's and Colitis Qu IBD Crohn's Disease And Urinary Problems Cystitis was the most common. People diagnosed with crohn’s disease have a higher risk of developing kidney stones in the urinary tract than those without crohn’s, including those with ulcerative colitis. Urological complications of crohn's disease are rare, often asymptomatic and present a diagnostic problem. Crohn’s disease can also cause. Has anyone ever had any urinary problems due to the. Crohn's Disease And Urinary Problems.
From medicoapps.org
Crohn's Disease New Crohn's Disease And Urinary Problems Urological complications of crohn's disease are rare, often asymptomatic and present a diagnostic problem. Recurrent urinary tract infection (uti) is uncommon in males, but it is a common complication of crohn’s disease (cd). Any feedback would be so helpful. Cystitis was the most common. People with crohn’s disease may experience overflow incontinence from kidney stones. Crohn’s disease can also cause.. Crohn's Disease And Urinary Problems.
From www.researchgate.net
Urinary complications in Crohn’s disease and ulcerative colitis Crohn's Disease And Urinary Problems Urological complications of crohn's disease are rare, often asymptomatic and present a diagnostic problem. People diagnosed with crohn’s disease have a higher risk of developing kidney stones in the urinary tract than those without crohn’s, including those with ulcerative colitis. Cystitis was the most common. Crohn’s disease can also cause. Any feedback would be so helpful. Has anyone ever had. Crohn's Disease And Urinary Problems.