Best Restoration For Root Caries . This clinical practice guideline will recommend which direct restorative materials and caries removal approaches to use for primary and. This systematic review will explore the effects of interventions for managing root caries, including prevention of new root caries,. Sdf + ki application combined with gic restoration had a synergistic effect on root caries prevention. For moderate to advanced caries lesions on vital, anterior, permanent teeth requiring a class iii (approximal) restoration, the guideline panel. For moderate § and advanced §§ caries lesions on vital posterior permanent teeth requiring a class v (cervical third of facial or lingual) restoration, the guideline panel suggests the use of. In 2023, a panel of experts convened by the ada council on scientific affairs presented clinical recommendations for the use of 16 restorative. This report is based on the clinical practice guideline which offers. The guideline also affirms the efficacy of the most common restorative materials for treating moderate and advanced caries and suggests specific materials for primary and.
from www.clarencetam.co.nz
This report is based on the clinical practice guideline which offers. For moderate to advanced caries lesions on vital, anterior, permanent teeth requiring a class iii (approximal) restoration, the guideline panel. The guideline also affirms the efficacy of the most common restorative materials for treating moderate and advanced caries and suggests specific materials for primary and. Sdf + ki application combined with gic restoration had a synergistic effect on root caries prevention. This systematic review will explore the effects of interventions for managing root caries, including prevention of new root caries,. For moderate § and advanced §§ caries lesions on vital posterior permanent teeth requiring a class v (cervical third of facial or lingual) restoration, the guideline panel suggests the use of. This clinical practice guideline will recommend which direct restorative materials and caries removal approaches to use for primary and. In 2023, a panel of experts convened by the ada council on scientific affairs presented clinical recommendations for the use of 16 restorative.
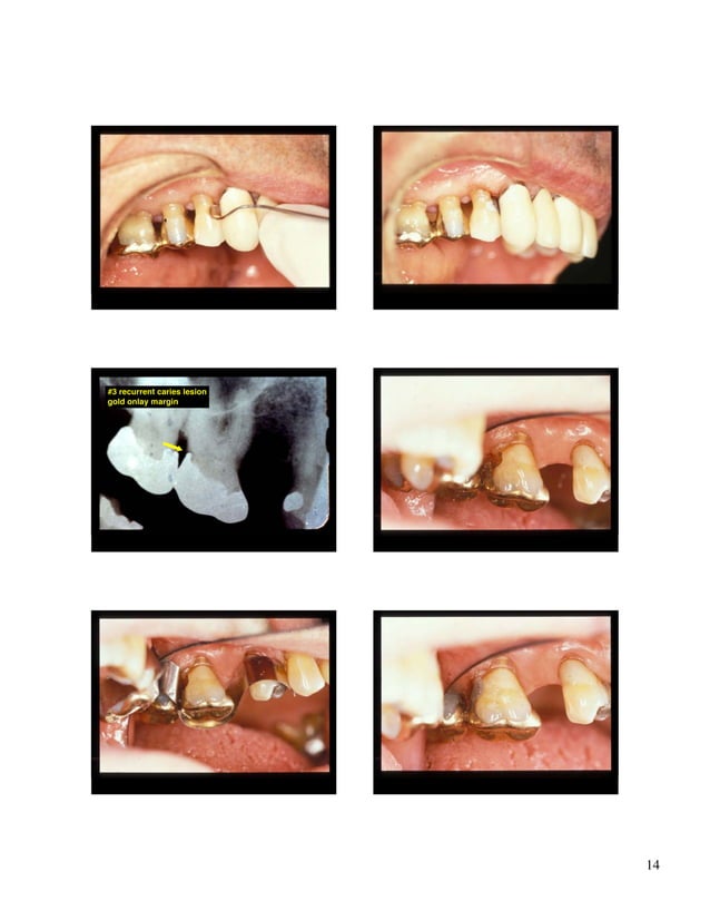
Subgingival root cavities restored with full isolation
Best Restoration For Root Caries For moderate to advanced caries lesions on vital, anterior, permanent teeth requiring a class iii (approximal) restoration, the guideline panel. For moderate to advanced caries lesions on vital, anterior, permanent teeth requiring a class iii (approximal) restoration, the guideline panel. Sdf + ki application combined with gic restoration had a synergistic effect on root caries prevention. This report is based on the clinical practice guideline which offers. This clinical practice guideline will recommend which direct restorative materials and caries removal approaches to use for primary and. For moderate § and advanced §§ caries lesions on vital posterior permanent teeth requiring a class v (cervical third of facial or lingual) restoration, the guideline panel suggests the use of. The guideline also affirms the efficacy of the most common restorative materials for treating moderate and advanced caries and suggests specific materials for primary and. This systematic review will explore the effects of interventions for managing root caries, including prevention of new root caries,. In 2023, a panel of experts convened by the ada council on scientific affairs presented clinical recommendations for the use of 16 restorative.
From www.slideshare.net
Root caries restoration.07.ppt Best Restoration For Root Caries In 2023, a panel of experts convened by the ada council on scientific affairs presented clinical recommendations for the use of 16 restorative. For moderate to advanced caries lesions on vital, anterior, permanent teeth requiring a class iii (approximal) restoration, the guideline panel. This clinical practice guideline will recommend which direct restorative materials and caries removal approaches to use for. Best Restoration For Root Caries.
From www.mccarldental.com
Tooth Decay on the Root Surface MCCarl Dental Group Best Restoration For Root Caries In 2023, a panel of experts convened by the ada council on scientific affairs presented clinical recommendations for the use of 16 restorative. Sdf + ki application combined with gic restoration had a synergistic effect on root caries prevention. This clinical practice guideline will recommend which direct restorative materials and caries removal approaches to use for primary and. The guideline. Best Restoration For Root Caries.
From pocketdentistry.com
10 Root Caries Pocket Dentistry Best Restoration For Root Caries This clinical practice guideline will recommend which direct restorative materials and caries removal approaches to use for primary and. The guideline also affirms the efficacy of the most common restorative materials for treating moderate and advanced caries and suggests specific materials for primary and. This report is based on the clinical practice guideline which offers. For moderate § and advanced. Best Restoration For Root Caries.
From www.dreamstime.com
Endodontic Root Canal Treatment Process Stock Illustration Best Restoration For Root Caries In 2023, a panel of experts convened by the ada council on scientific affairs presented clinical recommendations for the use of 16 restorative. The guideline also affirms the efficacy of the most common restorative materials for treating moderate and advanced caries and suggests specific materials for primary and. This systematic review will explore the effects of interventions for managing root. Best Restoration For Root Caries.
From onlinelibrary.wiley.com
Treatments of dental crown caries, root surface caries, and dentin Best Restoration For Root Caries For moderate to advanced caries lesions on vital, anterior, permanent teeth requiring a class iii (approximal) restoration, the guideline panel. This report is based on the clinical practice guideline which offers. This systematic review will explore the effects of interventions for managing root caries, including prevention of new root caries,. This clinical practice guideline will recommend which direct restorative materials. Best Restoration For Root Caries.
From www.dentistry33.com
Which restorative adhesive strategies to adopt in root caries Dentistry33 Best Restoration For Root Caries For moderate § and advanced §§ caries lesions on vital posterior permanent teeth requiring a class v (cervical third of facial or lingual) restoration, the guideline panel suggests the use of. Sdf + ki application combined with gic restoration had a synergistic effect on root caries prevention. For moderate to advanced caries lesions on vital, anterior, permanent teeth requiring a. Best Restoration For Root Caries.
From www.putneydentalcare.com.au
Root Canal vs Filling What Procedure Do I Need? Putney Dental Care Best Restoration For Root Caries For moderate § and advanced §§ caries lesions on vital posterior permanent teeth requiring a class v (cervical third of facial or lingual) restoration, the guideline panel suggests the use of. This clinical practice guideline will recommend which direct restorative materials and caries removal approaches to use for primary and. This systematic review will explore the effects of interventions for. Best Restoration For Root Caries.
From www.dentalproductsreport.com
How to Repair Amalgam Restorations With Recurrent Caries Best Restoration For Root Caries This clinical practice guideline will recommend which direct restorative materials and caries removal approaches to use for primary and. This report is based on the clinical practice guideline which offers. For moderate § and advanced §§ caries lesions on vital posterior permanent teeth requiring a class v (cervical third of facial or lingual) restoration, the guideline panel suggests the use. Best Restoration For Root Caries.
From www.slideshare.net
Root Caries Best Restoration For Root Caries For moderate § and advanced §§ caries lesions on vital posterior permanent teeth requiring a class v (cervical third of facial or lingual) restoration, the guideline panel suggests the use of. This report is based on the clinical practice guideline which offers. In 2023, a panel of experts convened by the ada council on scientific affairs presented clinical recommendations for. Best Restoration For Root Caries.
From www.mdpi.com
Materials Free FullText Clinical and Microbiological Evaluation of Best Restoration For Root Caries The guideline also affirms the efficacy of the most common restorative materials for treating moderate and advanced caries and suggests specific materials for primary and. This systematic review will explore the effects of interventions for managing root caries, including prevention of new root caries,. This clinical practice guideline will recommend which direct restorative materials and caries removal approaches to use. Best Restoration For Root Caries.
From www.researchgate.net
Root caries lesions restored using ART. Download Scientific Diagram Best Restoration For Root Caries This report is based on the clinical practice guideline which offers. For moderate § and advanced §§ caries lesions on vital posterior permanent teeth requiring a class v (cervical third of facial or lingual) restoration, the guideline panel suggests the use of. In 2023, a panel of experts convened by the ada council on scientific affairs presented clinical recommendations for. Best Restoration For Root Caries.
From exoxxvywm.blob.core.windows.net
Best Restorative Material For Root Caries at Judith Ducote blog Best Restoration For Root Caries Sdf + ki application combined with gic restoration had a synergistic effect on root caries prevention. In 2023, a panel of experts convened by the ada council on scientific affairs presented clinical recommendations for the use of 16 restorative. The guideline also affirms the efficacy of the most common restorative materials for treating moderate and advanced caries and suggests specific. Best Restoration For Root Caries.
From www.slideshare.net
Root caries restoration.07.ppt Best Restoration For Root Caries Sdf + ki application combined with gic restoration had a synergistic effect on root caries prevention. This report is based on the clinical practice guideline which offers. This systematic review will explore the effects of interventions for managing root caries, including prevention of new root caries,. For moderate § and advanced §§ caries lesions on vital posterior permanent teeth requiring. Best Restoration For Root Caries.
From www.caringdentists.com
root caries Dr. Gentry Best Restoration For Root Caries The guideline also affirms the efficacy of the most common restorative materials for treating moderate and advanced caries and suggests specific materials for primary and. This clinical practice guideline will recommend which direct restorative materials and caries removal approaches to use for primary and. This systematic review will explore the effects of interventions for managing root caries, including prevention of. Best Restoration For Root Caries.
From www.youtube.com
Restoring Root Caries with Pulpdent's ACTIVA BioACTIVE YouTube Best Restoration For Root Caries The guideline also affirms the efficacy of the most common restorative materials for treating moderate and advanced caries and suggests specific materials for primary and. For moderate § and advanced §§ caries lesions on vital posterior permanent teeth requiring a class v (cervical third of facial or lingual) restoration, the guideline panel suggests the use of. Sdf + ki application. Best Restoration For Root Caries.
From www.semanticscholar.org
Figure 7 from Management of deep caries and the exposed pulp Best Restoration For Root Caries This systematic review will explore the effects of interventions for managing root caries, including prevention of new root caries,. For moderate § and advanced §§ caries lesions on vital posterior permanent teeth requiring a class v (cervical third of facial or lingual) restoration, the guideline panel suggests the use of. This clinical practice guideline will recommend which direct restorative materials. Best Restoration For Root Caries.
From www.slideshare.net
Root Caries Best Restoration For Root Caries This systematic review will explore the effects of interventions for managing root caries, including prevention of new root caries,. Sdf + ki application combined with gic restoration had a synergistic effect on root caries prevention. The guideline also affirms the efficacy of the most common restorative materials for treating moderate and advanced caries and suggests specific materials for primary and.. Best Restoration For Root Caries.
From www.slideshare.net
Root caries restoration.07.ppt Best Restoration For Root Caries This clinical practice guideline will recommend which direct restorative materials and caries removal approaches to use for primary and. In 2023, a panel of experts convened by the ada council on scientific affairs presented clinical recommendations for the use of 16 restorative. Sdf + ki application combined with gic restoration had a synergistic effect on root caries prevention. This systematic. Best Restoration For Root Caries.
From exoxxvywm.blob.core.windows.net
Best Restorative Material For Root Caries at Judith Ducote blog Best Restoration For Root Caries For moderate to advanced caries lesions on vital, anterior, permanent teeth requiring a class iii (approximal) restoration, the guideline panel. This clinical practice guideline will recommend which direct restorative materials and caries removal approaches to use for primary and. This systematic review will explore the effects of interventions for managing root caries, including prevention of new root caries,. For moderate. Best Restoration For Root Caries.
From www.slideshare.net
Root caries restoration.07.ppt Best Restoration For Root Caries This systematic review will explore the effects of interventions for managing root caries, including prevention of new root caries,. This report is based on the clinical practice guideline which offers. For moderate to advanced caries lesions on vital, anterior, permanent teeth requiring a class iii (approximal) restoration, the guideline panel. For moderate § and advanced §§ caries lesions on vital. Best Restoration For Root Caries.
From www.clarencetam.co.nz
Subgingival root cavities restored with full isolation Best Restoration For Root Caries This report is based on the clinical practice guideline which offers. This clinical practice guideline will recommend which direct restorative materials and caries removal approaches to use for primary and. This systematic review will explore the effects of interventions for managing root caries, including prevention of new root caries,. For moderate to advanced caries lesions on vital, anterior, permanent teeth. Best Restoration For Root Caries.
From www.dentaltown.com
Show Your Work Restoring Deep Root Caries by Dr. Ahmad Fayad Dentaltown Best Restoration For Root Caries Sdf + ki application combined with gic restoration had a synergistic effect on root caries prevention. The guideline also affirms the efficacy of the most common restorative materials for treating moderate and advanced caries and suggests specific materials for primary and. This report is based on the clinical practice guideline which offers. For moderate § and advanced §§ caries lesions. Best Restoration For Root Caries.
From hospitaldaface.com.br
10 coisas que você não sabia sobre as cáries! Hospital da Face Best Restoration For Root Caries This report is based on the clinical practice guideline which offers. For moderate § and advanced §§ caries lesions on vital posterior permanent teeth requiring a class v (cervical third of facial or lingual) restoration, the guideline panel suggests the use of. In 2023, a panel of experts convened by the ada council on scientific affairs presented clinical recommendations for. Best Restoration For Root Caries.
From www.dailynutritionnews.com
Tooth Enamel Restoration All You Need to Know Daily Nutrition News Best Restoration For Root Caries The guideline also affirms the efficacy of the most common restorative materials for treating moderate and advanced caries and suggests specific materials for primary and. This report is based on the clinical practice guideline which offers. In 2023, a panel of experts convened by the ada council on scientific affairs presented clinical recommendations for the use of 16 restorative. For. Best Restoration For Root Caries.
From www.greatercurve.com
A method to restore root caries Greater Curve Best Restoration For Root Caries For moderate § and advanced §§ caries lesions on vital posterior permanent teeth requiring a class v (cervical third of facial or lingual) restoration, the guideline panel suggests the use of. This clinical practice guideline will recommend which direct restorative materials and caries removal approaches to use for primary and. For moderate to advanced caries lesions on vital, anterior, permanent. Best Restoration For Root Caries.
From www.sdpt.net
Root Caries Criteria Best Restoration For Root Caries This systematic review will explore the effects of interventions for managing root caries, including prevention of new root caries,. This report is based on the clinical practice guideline which offers. This clinical practice guideline will recommend which direct restorative materials and caries removal approaches to use for primary and. For moderate to advanced caries lesions on vital, anterior, permanent teeth. Best Restoration For Root Caries.
From www.slideshare.net
Root caries restoration.07.ppt Best Restoration For Root Caries For moderate § and advanced §§ caries lesions on vital posterior permanent teeth requiring a class v (cervical third of facial or lingual) restoration, the guideline panel suggests the use of. For moderate to advanced caries lesions on vital, anterior, permanent teeth requiring a class iii (approximal) restoration, the guideline panel. In 2023, a panel of experts convened by the. Best Restoration For Root Caries.
From www.slideshare.net
Root caries restoration.07.ppt Best Restoration For Root Caries For moderate to advanced caries lesions on vital, anterior, permanent teeth requiring a class iii (approximal) restoration, the guideline panel. This systematic review will explore the effects of interventions for managing root caries, including prevention of new root caries,. The guideline also affirms the efficacy of the most common restorative materials for treating moderate and advanced caries and suggests specific. Best Restoration For Root Caries.
From www.slideshare.net
Root caries restoration.07.ppt Best Restoration For Root Caries For moderate § and advanced §§ caries lesions on vital posterior permanent teeth requiring a class v (cervical third of facial or lingual) restoration, the guideline panel suggests the use of. Sdf + ki application combined with gic restoration had a synergistic effect on root caries prevention. In 2023, a panel of experts convened by the ada council on scientific. Best Restoration For Root Caries.
From www.slideshare.net
Root caries restoration.07.ppt Best Restoration For Root Caries For moderate to advanced caries lesions on vital, anterior, permanent teeth requiring a class iii (approximal) restoration, the guideline panel. For moderate § and advanced §§ caries lesions on vital posterior permanent teeth requiring a class v (cervical third of facial or lingual) restoration, the guideline panel suggests the use of. In 2023, a panel of experts convened by the. Best Restoration For Root Caries.
From exoxxvywm.blob.core.windows.net
Best Restorative Material For Root Caries at Judith Ducote blog Best Restoration For Root Caries This report is based on the clinical practice guideline which offers. This systematic review will explore the effects of interventions for managing root caries, including prevention of new root caries,. For moderate § and advanced §§ caries lesions on vital posterior permanent teeth requiring a class v (cervical third of facial or lingual) restoration, the guideline panel suggests the use. Best Restoration For Root Caries.
From www.youtube.com
class V composite restoration procedure guide YouTube Best Restoration For Root Caries Sdf + ki application combined with gic restoration had a synergistic effect on root caries prevention. This clinical practice guideline will recommend which direct restorative materials and caries removal approaches to use for primary and. For moderate § and advanced §§ caries lesions on vital posterior permanent teeth requiring a class v (cervical third of facial or lingual) restoration, the. Best Restoration For Root Caries.
From www.slideshare.net
Root Caries Best Restoration For Root Caries This report is based on the clinical practice guideline which offers. In 2023, a panel of experts convened by the ada council on scientific affairs presented clinical recommendations for the use of 16 restorative. Sdf + ki application combined with gic restoration had a synergistic effect on root caries prevention. The guideline also affirms the efficacy of the most common. Best Restoration For Root Caries.
From medizzy.com
Root caries MEDizzy Best Restoration For Root Caries The guideline also affirms the efficacy of the most common restorative materials for treating moderate and advanced caries and suggests specific materials for primary and. Sdf + ki application combined with gic restoration had a synergistic effect on root caries prevention. For moderate § and advanced §§ caries lesions on vital posterior permanent teeth requiring a class v (cervical third. Best Restoration For Root Caries.
From medicaldialogues.in
Permanent discolouration important barrier to acceptance of SDF Best Restoration For Root Caries The guideline also affirms the efficacy of the most common restorative materials for treating moderate and advanced caries and suggests specific materials for primary and. This report is based on the clinical practice guideline which offers. This systematic review will explore the effects of interventions for managing root caries, including prevention of new root caries,. This clinical practice guideline will. Best Restoration For Root Caries.