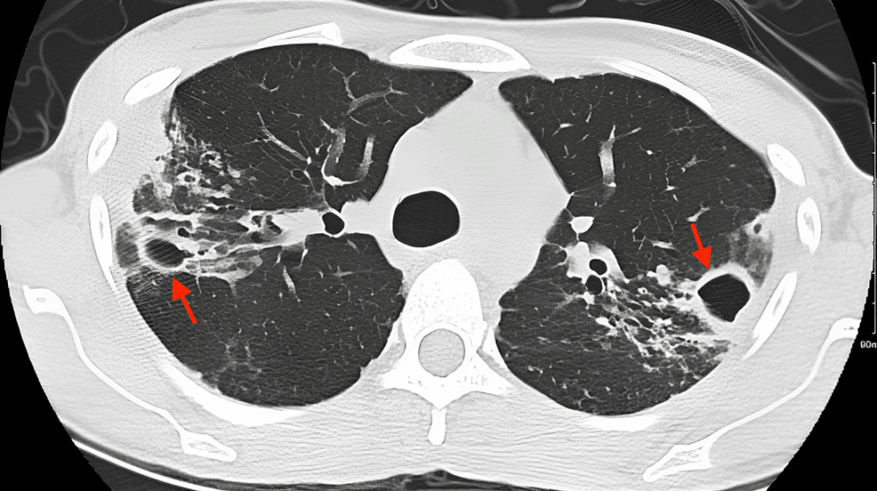
What Is Mac Lung Disease . Mac lung disease is a bacterial infection that can damage the lungs and cause symptoms like cough, fatigue and weight loss. They can make you sick if you have a weakened immune system or another lung disease. Here are three common types of mac infections. Describe the pathophysiology of mycobacterium avium intracellulare. When a person gets a lung infection from mac germs, they have mac lung disease. Review the presentation of a patient with mycobacterium avium. Mac is a group of common bacteria. It can cause nodules or cavities in the.
from lungs.thecommonvein.net
They can make you sick if you have a weakened immune system or another lung disease. Mac lung disease is a bacterial infection that can damage the lungs and cause symptoms like cough, fatigue and weight loss. It can cause nodules or cavities in the. When a person gets a lung infection from mac germs, they have mac lung disease. Here are three common types of mac infections. Describe the pathophysiology of mycobacterium avium intracellulare. Mac is a group of common bacteria. Review the presentation of a patient with mycobacterium avium.
247Lu Mycobacterium Avium Complex (MAC) Lungs
What Is Mac Lung Disease Review the presentation of a patient with mycobacterium avium. They can make you sick if you have a weakened immune system or another lung disease. Describe the pathophysiology of mycobacterium avium intracellulare. Mac lung disease is a bacterial infection that can damage the lungs and cause symptoms like cough, fatigue and weight loss. It can cause nodules or cavities in the. Mac is a group of common bacteria. When a person gets a lung infection from mac germs, they have mac lung disease. Here are three common types of mac infections. Review the presentation of a patient with mycobacterium avium.
From prontoread.com
Discover trends daily » 14 common warning signs of MAC What Is Mac Lung Disease Describe the pathophysiology of mycobacterium avium intracellulare. When a person gets a lung infection from mac germs, they have mac lung disease. Review the presentation of a patient with mycobacterium avium. Mac is a group of common bacteria. Mac lung disease is a bacterial infection that can damage the lungs and cause symptoms like cough, fatigue and weight loss. It. What Is Mac Lung Disease.
From smarthealthbay.com
5 Risks Factors And Habits That May Trigger MAC Lung Disease » Smart What Is Mac Lung Disease Describe the pathophysiology of mycobacterium avium intracellulare. Mac is a group of common bacteria. Mac lung disease is a bacterial infection that can damage the lungs and cause symptoms like cough, fatigue and weight loss. They can make you sick if you have a weakened immune system or another lung disease. Review the presentation of a patient with mycobacterium avium.. What Is Mac Lung Disease.
From www.youtube.com
Pulmonary MAC infection YouTube What Is Mac Lung Disease Describe the pathophysiology of mycobacterium avium intracellulare. It can cause nodules or cavities in the. They can make you sick if you have a weakened immune system or another lung disease. When a person gets a lung infection from mac germs, they have mac lung disease. Review the presentation of a patient with mycobacterium avium. Mac is a group of. What Is Mac Lung Disease.
From www.pinterest.com
145 best MAC NTM Lung Disease images on Pinterest Lunges, Lungs and Mac What Is Mac Lung Disease It can cause nodules or cavities in the. When a person gets a lung infection from mac germs, they have mac lung disease. Mac lung disease is a bacterial infection that can damage the lungs and cause symptoms like cough, fatigue and weight loss. Mac is a group of common bacteria. Review the presentation of a patient with mycobacterium avium.. What Is Mac Lung Disease.
From www.lung.org
MAC Lung Disease American Lung Association What Is Mac Lung Disease Review the presentation of a patient with mycobacterium avium. When a person gets a lung infection from mac germs, they have mac lung disease. Describe the pathophysiology of mycobacterium avium intracellulare. Here are three common types of mac infections. Mac is a group of common bacteria. Mac lung disease is a bacterial infection that can damage the lungs and cause. What Is Mac Lung Disease.
From ccchclinic.com
An Overview On Lung Diseases Los Angeles Health Clinic What Is Mac Lung Disease Review the presentation of a patient with mycobacterium avium. Mac lung disease is a bacterial infection that can damage the lungs and cause symptoms like cough, fatigue and weight loss. Describe the pathophysiology of mycobacterium avium intracellulare. When a person gets a lung infection from mac germs, they have mac lung disease. Here are three common types of mac infections.. What Is Mac Lung Disease.
From insightszilla.com
5 Early Signs Of MAC Lung Disease » Discover What Is Mac Lung Disease Describe the pathophysiology of mycobacterium avium intracellulare. They can make you sick if you have a weakened immune system or another lung disease. Review the presentation of a patient with mycobacterium avium. Here are three common types of mac infections. Mac lung disease is a bacterial infection that can damage the lungs and cause symptoms like cough, fatigue and weight. What Is Mac Lung Disease.
From ar.inspiredpencil.com
Interstitial Lung Disease Classification What Is Mac Lung Disease Mac lung disease is a bacterial infection that can damage the lungs and cause symptoms like cough, fatigue and weight loss. Review the presentation of a patient with mycobacterium avium. Describe the pathophysiology of mycobacterium avium intracellulare. Here are three common types of mac infections. It can cause nodules or cavities in the. They can make you sick if you. What Is Mac Lung Disease.
From www.htvnativeadsolutions.com
MAC Lung Disease Managing a chronic lung disease during the COVID19 What Is Mac Lung Disease Mac lung disease is a bacterial infection that can damage the lungs and cause symptoms like cough, fatigue and weight loss. Describe the pathophysiology of mycobacterium avium intracellulare. Here are three common types of mac infections. Mac is a group of common bacteria. They can make you sick if you have a weakened immune system or another lung disease. It. What Is Mac Lung Disease.
From sym.cmedu.bcst.md
The Challenging Morbidity, Risk, and Therapeutic Continuum of MAC Lung What Is Mac Lung Disease Mac is a group of common bacteria. Mac lung disease is a bacterial infection that can damage the lungs and cause symptoms like cough, fatigue and weight loss. Here are three common types of mac infections. When a person gets a lung infection from mac germs, they have mac lung disease. It can cause nodules or cavities in the. Describe. What Is Mac Lung Disease.
From www.ajronline.org
HighResolution CT Findings of Mycobacterium aviumintracellulare What Is Mac Lung Disease Mac lung disease is a bacterial infection that can damage the lungs and cause symptoms like cough, fatigue and weight loss. Review the presentation of a patient with mycobacterium avium. Here are three common types of mac infections. They can make you sick if you have a weakened immune system or another lung disease. Describe the pathophysiology of mycobacterium avium. What Is Mac Lung Disease.
From sym.cmedu.bcst.md
Optimizing Management of MAC Lung Disease with GuidelineBased Therapy What Is Mac Lung Disease They can make you sick if you have a weakened immune system or another lung disease. Describe the pathophysiology of mycobacterium avium intracellulare. It can cause nodules or cavities in the. Here are three common types of mac infections. When a person gets a lung infection from mac germs, they have mac lung disease. Mac is a group of common. What Is Mac Lung Disease.
From pacs.de
pulmonary mycobacterium avium complex (MAC) infection pacs What Is Mac Lung Disease Mac is a group of common bacteria. When a person gets a lung infection from mac germs, they have mac lung disease. It can cause nodules or cavities in the. Describe the pathophysiology of mycobacterium avium intracellulare. Mac lung disease is a bacterial infection that can damage the lungs and cause symptoms like cough, fatigue and weight loss. Here are. What Is Mac Lung Disease.
From lungs.thecommonvein.net
066Lu Amyloid and severe MAC Lungs What Is Mac Lung Disease Mac lung disease is a bacterial infection that can damage the lungs and cause symptoms like cough, fatigue and weight loss. They can make you sick if you have a weakened immune system or another lung disease. When a person gets a lung infection from mac germs, they have mac lung disease. Here are three common types of mac infections.. What Is Mac Lung Disease.
From www.sciencephoto.com
Lung disease, Xray Stock Image M180/0144 Science Photo Library What Is Mac Lung Disease Describe the pathophysiology of mycobacterium avium intracellulare. Review the presentation of a patient with mycobacterium avium. Mac is a group of common bacteria. It can cause nodules or cavities in the. When a person gets a lung infection from mac germs, they have mac lung disease. Here are three common types of mac infections. Mac lung disease is a bacterial. What Is Mac Lung Disease.
From lungs.thecommonvein.net
247Lu Mycobacterium Avium Complex (MAC) Lungs What Is Mac Lung Disease It can cause nodules or cavities in the. Describe the pathophysiology of mycobacterium avium intracellulare. Mac is a group of common bacteria. When a person gets a lung infection from mac germs, they have mac lung disease. Mac lung disease is a bacterial infection that can damage the lungs and cause symptoms like cough, fatigue and weight loss. Here are. What Is Mac Lung Disease.
From www.researchgate.net
Clinical Characteristics of Patients With MAC Lung Disease According to What Is Mac Lung Disease When a person gets a lung infection from mac germs, they have mac lung disease. Review the presentation of a patient with mycobacterium avium. Describe the pathophysiology of mycobacterium avium intracellulare. It can cause nodules or cavities in the. Mac is a group of common bacteria. Here are three common types of mac infections. Mac lung disease is a bacterial. What Is Mac Lung Disease.
From kayinat.org
What Is The Treatment For Mac Lung Disease? Crisis 2 Cure What Is Mac Lung Disease It can cause nodules or cavities in the. Review the presentation of a patient with mycobacterium avium. They can make you sick if you have a weakened immune system or another lung disease. Here are three common types of mac infections. Describe the pathophysiology of mycobacterium avium intracellulare. Mac is a group of common bacteria. Mac lung disease is a. What Is Mac Lung Disease.
From www.knowmoredaily.online
What Is Mac Lung Disease and How is it Contracted? What Is Mac Lung Disease Mac is a group of common bacteria. Describe the pathophysiology of mycobacterium avium intracellulare. When a person gets a lung infection from mac germs, they have mac lung disease. It can cause nodules or cavities in the. Review the presentation of a patient with mycobacterium avium. Mac lung disease is a bacterial infection that can damage the lungs and cause. What Is Mac Lung Disease.
From www.sharecare.com
Diagnosis and Treatment for MAC Lung Disease Sharecare What Is Mac Lung Disease When a person gets a lung infection from mac germs, they have mac lung disease. Mac is a group of common bacteria. They can make you sick if you have a weakened immune system or another lung disease. Mac lung disease is a bacterial infection that can damage the lungs and cause symptoms like cough, fatigue and weight loss. Describe. What Is Mac Lung Disease.
From radiopaedia.org
Advanced metastatic lung cancer Image What Is Mac Lung Disease Mac lung disease is a bacterial infection that can damage the lungs and cause symptoms like cough, fatigue and weight loss. When a person gets a lung infection from mac germs, they have mac lung disease. Describe the pathophysiology of mycobacterium avium intracellulare. It can cause nodules or cavities in the. They can make you sick if you have a. What Is Mac Lung Disease.
From www.youtube.com
New Findings in the Treatment of MAC Lung Disease YouTube What Is Mac Lung Disease When a person gets a lung infection from mac germs, they have mac lung disease. Review the presentation of a patient with mycobacterium avium. Mac is a group of common bacteria. Describe the pathophysiology of mycobacterium avium intracellulare. Mac lung disease is a bacterial infection that can damage the lungs and cause symptoms like cough, fatigue and weight loss. They. What Is Mac Lung Disease.
From optimalnutrient.com
Lung Disease Overview Optimal Nutrient What Is Mac Lung Disease It can cause nodules or cavities in the. Mac is a group of common bacteria. They can make you sick if you have a weakened immune system or another lung disease. Mac lung disease is a bacterial infection that can damage the lungs and cause symptoms like cough, fatigue and weight loss. Review the presentation of a patient with mycobacterium. What Is Mac Lung Disease.
From lungs.thecommonvein.net
066Lu Amyloid and severe MAC Lungs What Is Mac Lung Disease Review the presentation of a patient with mycobacterium avium. Mac lung disease is a bacterial infection that can damage the lungs and cause symptoms like cough, fatigue and weight loss. Here are three common types of mac infections. Mac is a group of common bacteria. They can make you sick if you have a weakened immune system or another lung. What Is Mac Lung Disease.
From www.cureus.com
A Rare Case of Pulmonary Cavitary Disease Caused by Mycobacterium What Is Mac Lung Disease Review the presentation of a patient with mycobacterium avium. When a person gets a lung infection from mac germs, they have mac lung disease. They can make you sick if you have a weakened immune system or another lung disease. Mac is a group of common bacteria. Describe the pathophysiology of mycobacterium avium intracellulare. Here are three common types of. What Is Mac Lung Disease.
From www.researchgate.net
Summary of lung infections causing bacteria and their management What Is Mac Lung Disease They can make you sick if you have a weakened immune system or another lung disease. Describe the pathophysiology of mycobacterium avium intracellulare. Review the presentation of a patient with mycobacterium avium. When a person gets a lung infection from mac germs, they have mac lung disease. Mac is a group of common bacteria. Mac lung disease is a bacterial. What Is Mac Lung Disease.
From reachmd.com
MAC Lung Disease Considerations in Initiating Treatment What Is Mac Lung Disease Mac lung disease is a bacterial infection that can damage the lungs and cause symptoms like cough, fatigue and weight loss. They can make you sick if you have a weakened immune system or another lung disease. Mac is a group of common bacteria. Describe the pathophysiology of mycobacterium avium intracellulare. When a person gets a lung infection from mac. What Is Mac Lung Disease.
From www.mdpi.com
Free FullText Diagnosis and Management of Pulmonary What Is Mac Lung Disease They can make you sick if you have a weakened immune system or another lung disease. Mac lung disease is a bacterial infection that can damage the lungs and cause symptoms like cough, fatigue and weight loss. Mac is a group of common bacteria. Review the presentation of a patient with mycobacterium avium. Describe the pathophysiology of mycobacterium avium intracellulare.. What Is Mac Lung Disease.
From www.lybrate.com
Lungs (Human Anatomy) Picture, Function, Diseases, Treatment and More What Is Mac Lung Disease It can cause nodules or cavities in the. When a person gets a lung infection from mac germs, they have mac lung disease. Mac lung disease is a bacterial infection that can damage the lungs and cause symptoms like cough, fatigue and weight loss. Review the presentation of a patient with mycobacterium avium. Here are three common types of mac. What Is Mac Lung Disease.
From raredisease.net
Am I at Risk for MAC Lung Disease? Rare Disease What Is Mac Lung Disease Review the presentation of a patient with mycobacterium avium. Mac lung disease is a bacterial infection that can damage the lungs and cause symptoms like cough, fatigue and weight loss. Here are three common types of mac infections. When a person gets a lung infection from mac germs, they have mac lung disease. They can make you sick if you. What Is Mac Lung Disease.
From captionsupdatetrendygb.blogspot.com
Mac Lung Disease Progression Captions Update Trendy What Is Mac Lung Disease Describe the pathophysiology of mycobacterium avium intracellulare. It can cause nodules or cavities in the. They can make you sick if you have a weakened immune system or another lung disease. Review the presentation of a patient with mycobacterium avium. Mac lung disease is a bacterial infection that can damage the lungs and cause symptoms like cough, fatigue and weight. What Is Mac Lung Disease.
From kayinat.org
What Is The Treatment For Mac Lung Disease? Crisis 2 Cure What Is Mac Lung Disease Describe the pathophysiology of mycobacterium avium intracellulare. Review the presentation of a patient with mycobacterium avium. They can make you sick if you have a weakened immune system or another lung disease. It can cause nodules or cavities in the. Mac is a group of common bacteria. When a person gets a lung infection from mac germs, they have mac. What Is Mac Lung Disease.
From www.cureus.com
Cureus Mycobacterium avium Complex Pulmonary Infection in a Patient What Is Mac Lung Disease It can cause nodules or cavities in the. Describe the pathophysiology of mycobacterium avium intracellulare. Here are three common types of mac infections. Review the presentation of a patient with mycobacterium avium. Mac is a group of common bacteria. Mac lung disease is a bacterial infection that can damage the lungs and cause symptoms like cough, fatigue and weight loss.. What Is Mac Lung Disease.
From captionsupdatetrendygb.blogspot.com
Mac Lung Disease Progression Captions Update Trendy What Is Mac Lung Disease Here are three common types of mac infections. When a person gets a lung infection from mac germs, they have mac lung disease. It can cause nodules or cavities in the. They can make you sick if you have a weakened immune system or another lung disease. Mac is a group of common bacteria. Mac lung disease is a bacterial. What Is Mac Lung Disease.
From www.researchgate.net
Clinical Characteristics of Patients With MAC Lung Disease According to What Is Mac Lung Disease Here are three common types of mac infections. It can cause nodules or cavities in the. Review the presentation of a patient with mycobacterium avium. Mac lung disease is a bacterial infection that can damage the lungs and cause symptoms like cough, fatigue and weight loss. Describe the pathophysiology of mycobacterium avium intracellulare. Mac is a group of common bacteria.. What Is Mac Lung Disease.